Sign in to use this feature.

Years

Between: -

Subjects

remove_circle_outline
remove_circle_outline
remove_circle_outline

Journals

Article Types

Countries / Regions

Search Results (26)

Search Parameters:
Keywords = superior vena cava syndrome

Order results
Result details
Results per page
Select all
Export citation of selected articles as:
9 pages, 679 KB  
Case Report
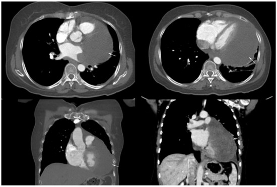
Radiation Recall Pneumonitis with Pneumocystis jirovecii Superinfection and Treatment Induced Hyponatremia in a Patient with Non-Small-Cell Lung Cancer
by Aleksandra Piórek, Adam Płużański, Dariusz M. Kowalski and Maciej Krzakowski
Diseases 2025, 13(11), 357; https://doi.org/10.3390/diseases13110357 - 4 Nov 2025
Cited by 1 | Viewed by 713
Abstract
Immune checkpoint inhibitors (ICIs) and thoracic radiotherapy are standard treatments for advanced non-small-cell lung cancer (NSCLC), especially in patients with high PD-L1 expression or symptoms such as superior vena cava syndrome (SVCS). Both therapies carry a risk of pulmonary toxicity, which may be [...] Read more.
Immune checkpoint inhibitors (ICIs) and thoracic radiotherapy are standard treatments for advanced non-small-cell lung cancer (NSCLC), especially in patients with high PD-L1 expression or symptoms such as superior vena cava syndrome (SVCS). Both therapies carry a risk of pulmonary toxicity, which may be exacerbated by opportunistic infections due to corticosteroid use. We report a unique case of a 65-year-old man with squamous-cell NSCLC and high PD-L1 expression (80%), who developed a rare complication: radiation recall pneumonitis (RRP), with superimposed Pneumocystis jirovecii pneumonia and severe symptomatic hyponatremia induced by trimethoprim/sulfamethoxazole (TMP-SMX). The coexistence of these three complications—radiotherapy- and immunotherapy-associated lung injury, opportunistic infection, and electrolyte imbalance—represents an exceptional clinical scenario not previously described in the literature. This report highlights the importance of differential diagnosis, early recognition of complications, and close monitoring of electrolytes in NSCLC patients undergoing complex treatment regimens. Full article
(This article belongs to the Section Oncology)
Show Figures

Figure 1

12 pages, 536 KB  
Article
A Retrospective Analysis of Endovascular Stent Insertion for Malignant Superior Vena Cava Obstruction, Focusing on Anticoagulation Practices
by Joshua Walker, Amsajini Ravinthiranathan, Athanasios Diamantopoulos, Spyridon Gennatas and Alexandros Georgiou
Curr. Oncol. 2025, 32(11), 601; https://doi.org/10.3390/curroncol32110601 - 27 Oct 2025
Viewed by 1090
Abstract
Background/Objectives: A knowledge gap persists regarding anticoagulation therapy after endovascular stent insertion for malignant superior vena cava obstruction (mSVCO). Guidelines are supported by retrospective studies with a radiological focus and lack specific drug recommendations. No studies to date have captured the multi-disciplinary nature [...] Read more.
Background/Objectives: A knowledge gap persists regarding anticoagulation therapy after endovascular stent insertion for malignant superior vena cava obstruction (mSVCO). Guidelines are supported by retrospective studies with a radiological focus and lack specific drug recommendations. No studies to date have captured the multi-disciplinary nature of decision-making over time. Methods: This single-center retrospective service evaluation includes patients with solid organ malignancy who received a stent for mSVCO between July 2016 and May 2022. Patient and treatment characteristics, clinical outcomes and prescribing decisions were collected from medical records and analyzed. Results: Of 49 patients (55% female, mean age 59), 73% had metastatic extra-thoracic disease at stent insertion. Technical success was achieved in 98% of cases and 92% survived to discharge. Forty-eight patients were followed until death. Median survival was 2.4 months. Post-procedure imaging (performed in 55% of patients) revealed 10 (21%) cases of systemic venous thromboembolism and 7 cases of stent thrombosis. Forty-four (91%) patients received anticoagulation therapy (62% therapeutic dose low molecular weight heparin). Those with thrombotic complications were fitter pre-procedurally than the rest of the cohort. There was one case of major bleeding. Twenty-two instances of therapy modification occurred following the initial plan, including nine changes due to a patient preference for oral therapy. Conclusion: Patients undergoing stenting for mSVCO demonstrate high thrombotic risk and a poor prognosis. Anticoagulation plans are frequently modified post discharge due to changing risk profiles and patient preferences. Multi-disciplinary collaboration is essential to support patient-centered and individualized management. Future research should investigate direct oral anticoagulants and anti-platelet therapy and develop risk assessment tools for this population. Full article
(This article belongs to the Special Issue The Role of Real-World Evidence (RWE) in Thoracic Malignancies)
Show Figures

Graphical abstract

22 pages, 2597 KB  
Review
A Comprehensive Review of Catheter-Related Thrombosis
by Marina López-Rubio, Marta-Olimpia Lago-Rodríguez, Lucía Ordieres-Ortega, Crhistian-Mario Oblitas, Sergio Moragón-Ledesma, Rubén Alonso-Beato, Luis-Antonio Alvarez-Sala-Walther and Francisco Galeano-Valle
J. Clin. Med. 2024, 13(24), 7818; https://doi.org/10.3390/jcm13247818 - 21 Dec 2024
Cited by 13 | Viewed by 19307
Abstract
Catheter-related thrombosis (CRT) is a frequent and potentially serious complication associated with the widespread use of intravascular devices such as central venous catheters, including peripherally inserted central catheters and implantable port systems, pacemakers or implantable cardioverter-defibrillators. Although CRT management has been informed by [...] Read more.
Catheter-related thrombosis (CRT) is a frequent and potentially serious complication associated with the widespread use of intravascular devices such as central venous catheters, including peripherally inserted central catheters and implantable port systems, pacemakers or implantable cardioverter-defibrillators. Although CRT management has been informed by guidelines extrapolated from lower extremity deep vein thrombosis (DVT), unique challenges remain due to the distinct anatomical, pathophysiological, and clinical characteristics of upper extremity DVT. Risk factors for CRT are multifactorial, encompassing patient-related characteristics such as cancer, prior venous thromboembolism, and infection, as well as catheter-specific factors like device type, lumens, and insertion site. The diagnosis of CRT relies primarily on ultrasonography; however, computed tomography angiography and magnetic resonance imaging play a complementary role, particularly in anatomically challenging cases or when complications such as pulmonary embolism or superior vena cava syndrome are suspected. Treatment strategies for CRT include anticoagulation, catheter removal when feasible, and, in select cases, local thrombolysis or catheter-directed interventions. Anticoagulation remains the cornerstone of therapy, with direct oral anticoagulants increasingly favored due to their safety profile and efficacy. This article provides a detailed review of CRT, focusing on clinical features, diagnostic methods, and treatment strategies while addressing specific challenges in managing pacemaker and hemodialysis catheter-related thrombosis. Full article
Show Figures

Figure 1

15 pages, 2701 KB  
Case Report
Raghib Syndrome and Pulmonary Arterial Hypertension in a Pediatric Patient: Case Report and Literature Review
by Liliana Gozar, Maria Oana Săsăran, Marius Cătălin Cosma, Daniela Toma, Andreea Georgiana Nan and Horea Gozar
J. Clin. Med. 2024, 13(12), 3623; https://doi.org/10.3390/jcm13123623 - 20 Jun 2024
Viewed by 2415
Abstract
Background: Raghib syndrome is a rare malformation complex consisting of the drainage of the left superior vena cava (LSVC) into the left atrium, ostial atresia of the coronary sinus and an atrial septal defect (ASD). Case Report: This report aims to present the [...] Read more.
Background: Raghib syndrome is a rare malformation complex consisting of the drainage of the left superior vena cava (LSVC) into the left atrium, ostial atresia of the coronary sinus and an atrial septal defect (ASD). Case Report: This report aims to present the case of a child newly diagnosed with Raghib syndrome, complicated by pulmonary arterial hypertension, and to review previously published cases with the same diagnosis. A six-year-old female patient presented with signs and symptoms of heart failure (Ross III), reduced exercise tolerance and severe delay in stature and ponderal development. The imagistic work-up included echocardiography, followed by computer tomography (CT) and magnetic resonance imaging (MRI), through which a diagnosis of Raghib syndrome was established, complicated by pulmonary hypertension. As in other cases presented in the literature, MRI allowed for an accurate diagnosis, detecting the absent coronary sinus. The decision regarding the surgical closure of the ASD was made, with the patient having a favorable clinical evolution but with the persistence of elevated pulmonary artery pressure, for which Sildenafil therapy was instituted. Conclusions: The malformation complex consisting of an atrial septal defect, ostium atresia of the coronary sinus, uncovered coronary sinus, and persistent left superior vena cava, as identified through multiple imagistic investigations, was suggestive of the rare diagnosis of Raghib syndrome in this case. Among the limited number of cases of Raghib syndrome available in the literature, the present case is distinguished by the severity of the pulmonary artery hypertension at a very young age and in the absence of other concurrent cardiac malformations. Full article
Show Figures

Figure 1

4 pages, 1838 KB  
Interesting Images
Images of Extremely Rare Cantrell Phenomenon
by Artur Fabijan, Sara Korabiewska-Pluta, Tomasz Puzio, Bartosz Polis and Tomasz Moszura
Diagnostics 2024, 14(10), 1003; https://doi.org/10.3390/diagnostics14101003 - 13 May 2024
Cited by 1 | Viewed by 1675
Abstract
We present a case of a neonate born with prenatal diagnosis of Cantrell syndrome and ectopia cordis. This extremely rare congenital disorder underscores the significant need for multimodality imaging to plan further management. The aim of the study was to present the thoracoabdominal [...] Read more.
We present a case of a neonate born with prenatal diagnosis of Cantrell syndrome and ectopia cordis. This extremely rare congenital disorder underscores the significant need for multimodality imaging to plan further management. The aim of the study was to present the thoracoabdominal syndrome using a three-dimensional computed tomography angiography. The CT scans confirmed complex intracardiac defects consisting of tetralogy of Fallot, total anomalous pulmonary venous return and persistent left superior vena cava. In conclusion, Cantrell syndrome necessitates a multidisciplinary approach, from the onset of the prenatal diagnosis followed by prompt medical imaging and surgical interventions after birth. The thoracoabdominal wall defect including complete ectopia cordis is an extremely rare disorder with a fatal outcome. Full article
(This article belongs to the Section Medical Imaging and Theranostics)
Show Figures

Figure 1

11 pages, 1112 KB  
Brief Report
Illuminating the Genetic Basis of Congenital Heart Disease in Patients with Kabuki Syndrome
by Chung-Lin Lee, Chih-Kuang Chuang, Ming-Ren Chen, Ju-Li Lin, Huei-Ching Chiu, Ya-Hui Chang, Yuan-Rong Tu, Yun-Ting Lo, Hsiang-Yu Lin and Shuan-Pei Lin
Diagnostics 2024, 14(8), 846; https://doi.org/10.3390/diagnostics14080846 - 19 Apr 2024
Viewed by 3364
Abstract
Congenital heart defects (CHDs) affect a substantial proportion of patients with Kabuki syndrome. However, the prevalence and type of CHD and the genotype–phenotype correlations in Asian populations are not fully elucidated. This study performed a retrospective analysis of 23 Taiwanese patients with molecularly [...] Read more.
Congenital heart defects (CHDs) affect a substantial proportion of patients with Kabuki syndrome. However, the prevalence and type of CHD and the genotype–phenotype correlations in Asian populations are not fully elucidated. This study performed a retrospective analysis of 23 Taiwanese patients with molecularly confirmed Kabuki syndrome. Twenty-two patients presented with pathogenic variants in the KMT2D gene. Comprehensive clinical assessments were performed. A literature review was conducted to summarize the spectrum of CHDs in patients with Kabuki syndrome. In total, 16 (73.9%) of 22 patients with pathogenic KMT2D variants had CHDs. The most common types of CHD were atrial septal defects (37.5%), ventricular septal defects (18.8%), coarctation of the aorta (18.8%), bicuspid aortic valve (12.5%), persistent left superior vena cava (12.5%), mitral valve prolapse (12.5%), mitral regurgitation (12.5%), and patent ductus arteriosus (12.5%). Other cardiac abnormalities were less common. Further, there were no clear genotype–phenotype correlations found. A literature review revealed similar patterns of CHDs, with a predominance of left-sided obstructive lesions and septal defects. In conclusion, the most common types of CHDs in Taiwanese patients with Kabuki syndrome who presented with KMT2D mutations are left-sided obstructive lesions and septal defects. Full article
(This article belongs to the Section Pathology and Molecular Diagnostics)
Show Figures

Figure 1

7 pages, 8071 KB  
Case Report
Anterior and Posterior Nutcracker Syndrome Combined with May–Thurner Syndrome: First Report of This Unique Case
by Francesco Tiralongo, Federica Galioto, Giulio Distefano, Stefano Palmucci, Antonio Basile and Salvatore Di Rosa
Diagnostics 2023, 13(8), 1433; https://doi.org/10.3390/diagnostics13081433 - 16 Apr 2023
Cited by 9 | Viewed by 3486
Abstract
Background: Anterior nutcracker syndrome is defined as the compression of the left renal vein (LRV) between the superior mesenteric artery (SMA) and the aorta, whereas posterior nutcracker syndrome refers to the compression of the retroaortic LRV between the aorta and the vertebral column—the [...] Read more.
Background: Anterior nutcracker syndrome is defined as the compression of the left renal vein (LRV) between the superior mesenteric artery (SMA) and the aorta, whereas posterior nutcracker syndrome refers to the compression of the retroaortic LRV between the aorta and the vertebral column—the presence of the circumaortic left renal vein may predispose to “combined nutcracker syndrome”. May–Thurner syndrome consists of obstruction of the left common iliac vein caused by the crossing right common iliac artery. We report a unique case of combined nutcracker syndrome associated with May–Thurner syndrome. Case presentation: A 39-year-old Caucasian female came to our radiology unit for triple-negative breast cancer computed tomography (CT) staging. She complained of pain in hermid-back and low-back regions and intermittent abdominal pain in the left flank region. Multidetector computed tomography (MDCT) incidentally revealed a circumaortic left renal vein draining to the inferior vena cava, with bulbous dilatation of both the antero-superior and posterior-inferior branches, which was associated with pathological serpiginous dilation of the left ovarian vein with varicose pelvic veins. Axial CT imaging of the pelvis also showed compression of the left common iliac vein by the overlying right common iliac artery consistent with May–Thurner syndrome without signs of venous thrombosis. Conclusion: Contrast-enhanced CT is the best imaging modality for suspected vascular compression syndromes. CT findings showed a combination of anterior and posterior nutcracker syndrome in the left circumaortic renal vein, associated with May–Thurner syndrome, which has not previously been described in the literature. Full article
(This article belongs to the Section Medical Imaging and Theranostics)
Show Figures

Figure 1

13 pages, 2031 KB  
Article
A TARP Syndrome Phenotype Is Associated with a Novel Splicing Variant in RBM10
by Marta Owczarek-Lipska, Fenja Markus, Eva Bültmann, G. Christoph Korenke and John Neidhardt
Genes 2022, 13(11), 2154; https://doi.org/10.3390/genes13112154 - 18 Nov 2022
Cited by 3 | Viewed by 4330
Abstract
TARP syndrome (Talipes equinovarus, Atrial septal defect, Robin sequence, and Persistence of the left superior vena cava) is a rare genetic condition, caused by developmental defects during embryogenesis. The phenotypic spectrum of TARP shows high clinical variability with patients either missing cardinal features [...] Read more.
TARP syndrome (Talipes equinovarus, Atrial septal defect, Robin sequence, and Persistence of the left superior vena cava) is a rare genetic condition, caused by developmental defects during embryogenesis. The phenotypic spectrum of TARP shows high clinical variability with patients either missing cardinal features or having additional clinical traits. Initially, TARP was considered a lethal syndrome, but patients with milder symptoms were recently described. The TARP-locus was mapped to the gene RNA-binding motif protein 10 (RBM10) on the human X-chromosome. We clinically and genetically described a six-year-old boy with a TARP-phenotype. Clinical heterogeneity of symptoms prompted us to sequence the entire exome of this patient. We identified a novel splice variant (NM_005676: c.17+1G>C, p.?) in RBM10. A patient-derived cell line was used to verify the pathogenicity of the RBM10 splice variant by RNA analyses, Western blotting, and immunofluorescence staining. Our molecular genetic findings together with the analyses of progressing clinical symptoms confirmed the diagnosis of TARP. It seems essential to analyze correlations between genotype, phenotype, and molecular/cellular data to better understand RBM10-associated pathomechanisms, assist genetic counseling, and support development of therapeutic approaches. Full article
(This article belongs to the Section Human Genomics and Genetic Diseases)
Show Figures

Figure 1

7 pages, 1225 KB  
Case Report
A Primary Mediastinal Monophasic Spindle-Cell Synovial Sarcoma with Superior Venacaval Obstruction
by Deepak Madi, Nikhil Victor Dsouza, Matthew Antony Manoj, Basavaprabhu Achappa and Stergios Boussios
Diseases 2022, 10(4), 105; https://doi.org/10.3390/diseases10040105 - 17 Nov 2022
Viewed by 2293
Abstract
Primary mediastinal sarcoma is a rare tumour that usually presents with nonspecific symptoms such as hoarseness, dyspnoea, and chest pain. Superior vena cava (SVC) syndrome is an extremely uncommon complication that is caused by the compression, invasion, and thrombosis of the SVC or [...] Read more.
Primary mediastinal sarcoma is a rare tumour that usually presents with nonspecific symptoms such as hoarseness, dyspnoea, and chest pain. Superior vena cava (SVC) syndrome is an extremely uncommon complication that is caused by the compression, invasion, and thrombosis of the SVC or brachiocephalic veins. SVC syndrome can present as asymptomatic cases or as rare life-threatening emergencies with upper airway obstruction and increased intracranial pressure. This report describes the case of a 58-year-old female who presented with swelling of the face, neck, and upper limbs associated with dyspnoea on exertion. The radiological investigations revealed a large well-defined central necrotic peripherally enhancing lesion in the superior mediastinum extending anteriorly with the compression of brachiocephalic veins. A histopathological examination detected spindle cells arranged in fascicles with nuclear atypia with immunohistochemistry positive for creatine kinase (CK), smooth muscle actin (SMA), desmin and CD99. These findings established the diagnosis of a mediastinal monophasic synovial sarcoma with SVC obstruction. The patient was initiated on palliative radiotherapy for the management of the SVC, followed by systemic biological treatment with the tyrosine kinase inhibitor pazopanib, and was clinically improved. It is essential to promptly diagnose and treat this condition, especially when SVC syndrome manifests. Full article
Show Figures

Figure 1

10 pages, 1478 KB  
Case Report
A Rare Case of Polysplenia Syndrome Associated with Severe Cardiac Malformations and Congenital Alveolar Dysplasia in a One-Month-Old Infant: A Complete Macroscopic and Histopathologic Study
by Cosmin Ioan Mohor, Sorin Radu Fleaca, Alexandra Oprinca Muja, George Calin Oprinca, Mihai Dan Roman, Radu Chicea, Adrian Gheorghe Boicean, Horatiu Dura, Ciprian Tanasescu, Nicolas Catalin Ionut Ion, Mihai Faur, Ciprian Ionut Bacila, Florina Batar and Calin Ilie Mohor
J. Cardiovasc. Dev. Dis. 2022, 9(5), 135; https://doi.org/10.3390/jcdd9050135 - 27 Apr 2022
Cited by 5 | Viewed by 4262
Abstract
Polysplenia syndrome represents a type of left atrial isomerism characterized by multiple small spleens, often associated with cardiac malformations and with situs ambiguus of the abdominal organs. The case presented is of a one-month-old male infant, weighing approximately 3000 g, born at the [...] Read more.
Polysplenia syndrome represents a type of left atrial isomerism characterized by multiple small spleens, often associated with cardiac malformations and with situs ambiguus of the abdominal organs. The case presented is of a one-month-old male infant, weighing approximately 3000 g, born at the County Clinical Emergency Hospital of Sibiu, who was hospitalized from birth until death. The patient suffered cardio-respiratory arrest due to severe hypoxia and septicemia on the background of a series of complex cardiac malformations associated with congenital abdominal organ anomalies. Examination of the body revealed a common atrium with complete atrioventricular canal defect, left ventricular hypertrophy, right ventricle hypoplasia, truncus arteriosus, superior vena cava duplication, bilobation of the lungs, situs ambiguous of the abdominal organs with right-sided stomach, a midline liver, gall bladder agenesis, multiple right-sided spleens and complete inversion of the intestines and pancreas. Histopathology concluded that the patient suffered cardiac lesions consistent with infantile lactic acidosis, as well as pulmonary modifications suggesting congenital alveolar dysplasia and altered hepatic architecture compatible with fibrosis. Full article
Show Figures

Figure 1

8 pages, 3014 KB  
Case Report
Primary Pericardial Synovial Sarcoma: A Case Report and Literature Review
by Simona Manole, Roxana Pintican, Emanuel Palade, Maria Magdalena Duma, Alexandra Dadarlat-Pop, Calin Schiau, Ioana Bene, Raluca Rancea, Diana Miclea, Viorel Manole, Adrian Molnar and Carolina Solomon
Diagnostics 2022, 12(1), 158; https://doi.org/10.3390/diagnostics12010158 - 10 Jan 2022
Cited by 7 | Viewed by 2732
Abstract
We report a case of a 52-year-old woman who was referred to our institution with a superior vena cava syndrome and was investigated through echocardiography, CT and MRI revealing a well-defined, encapsulated pericardial mass. The pathology, correlated with the immunohistochemical analysis, concluded it [...] Read more.
We report a case of a 52-year-old woman who was referred to our institution with a superior vena cava syndrome and was investigated through echocardiography, CT and MRI revealing a well-defined, encapsulated pericardial mass. The pathology, correlated with the immunohistochemical analysis, concluded it was an extremely rare primary pericardial synovial sarcoma. The patient underwent surgery and chemotherapy with a 16-month disease-free survival and passed away after a contralateral aggressive relapse. Moreover, we discuss the role of each imaging modality together with their pericardial synovial sarcoma reported features. Full article
(This article belongs to the Section Pathology and Molecular Diagnostics)
Show Figures

Figure 1

9 pages, 3274 KB  
Case Report
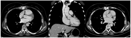
Clinical or Imaging Diagnosis of the Current Medical Practice for Superior Vena Cava Syndrome?
by Liliana Dragomir, Virginia Marina, Mihaela Anghele and Aurelian-Dumitrache Anghele
Diagnostics 2021, 11(11), 2058; https://doi.org/10.3390/diagnostics11112058 - 6 Nov 2021
Cited by 11 | Viewed by 18551
Abstract
Most cases of superior vena cava syndrome are easily diagnosed bya clinical examination alone, but several diagnostic tests and procedures can be helpful. When a patient presentswith a suspected diagnosis of superior vena cava syndrome, the first step is to obtain an imaging [...] Read more.
Most cases of superior vena cava syndrome are easily diagnosed bya clinical examination alone, but several diagnostic tests and procedures can be helpful. When a patient presentswith a suspected diagnosis of superior vena cava syndrome, the first step is to obtain an imaging study that confirms the diagnosis and aids treatment decisions. Magnetic resonance imaging, contrast-enhanced CT scanning, radionuclide flow studies and traditional venography are all appropriate techniques. Still, the CT scan is the most readily available technology in most centers. The CT scan and magnetic resonance imaging also provide information on possible etiologies and can therefore direct the approach towards a tissue diagnosis. Full article
(This article belongs to the Section Medical Imaging and Theranostics)
Show Figures

Figure 1

31 pages, 6061 KB  
Article
Robert’s Intragastric Alcohol-Induced Gastric Lesion Model as an Escalated General Peripheral and Central Syndrome, Counteracted by the Stable Gastric Pentadecapeptide BPC 157
by Slaven Gojkovic, Ivan Krezic, Hrvoje Vranes, Helena Zizek, Domagoj Drmic, Lovorka Batelja Vuletic, Marija Milavic, Suncana Sikiric, Irma Stilinovic, Paris Simeon, Mario Knezevic, Toni Kolak, Marijan Tepes, Karol Simonji, Sanja Strbe, Nora Nikolac Gabaj, Ivan Barisic, Emma Grace Oreskovic, Eva Lovric, Antonio Kokot, Anita Skrtic, Alenka Boban Blagaic, Sven Seiwerth and Predrag Sikiricadd Show full author list remove Hide full author list
Biomedicines 2021, 9(10), 1300; https://doi.org/10.3390/biomedicines9101300 - 23 Sep 2021
Cited by 29 | Viewed by 6442
Abstract
We redefined Robert’s prototypical cytoprotection model, namely the intragastric administration of 96% alcohol in order to generate a general peripheral and central syndrome similar to that which occurs when major central or peripheral veins are occluded in animal models. With this redefinition, we [...] Read more.
We redefined Robert’s prototypical cytoprotection model, namely the intragastric administration of 96% alcohol in order to generate a general peripheral and central syndrome similar to that which occurs when major central or peripheral veins are occluded in animal models. With this redefinition, we used Robert’s model to examine the cytoprotective effects of the stable gastric pentadecapeptide BPC 157. The intragastric administration of alcohol induced gastric lesions, intracranial (superior sagittal sinus) hypertension, severe brain swelling and lesions, portal and vena caval hypertension, aortal hypotension, severe thrombosis, inferior vena cava and superior mesenteric vein congestion, azygos vein failure (as a failed collateral pathway), electrocardiogram disturbances, and heart, lung, liver and kidney lesions. The use of BPC 157 therapy (10 µg/kg or 10 ng/kg given intraperitoneally 1 min after alcohol) counteracted these deficits rapidly. Specifically, BPC 157 reversed brain swelling and superior mesenteric vein and inferior vena caval congestion, and helped the azygos vein to recover, which improved the collateral blood flow pathway. Microscopically, BPC 157 counteracted brain (i.e., intracerebral hemorrhage with degenerative changes of cerebral and cerebellar neurons), heart (acute subendocardial infarct), lung (parenchymal hemorrhage), liver (congestion), kidney (congestion) and gastrointestinal (epithelium loss, hemorrhagic gastritis) lesions. In addition, this may have taken place along with the activation of specific molecular pathways. In conclusion, these findings clarify and extend the theory of cytoprotection, offer an approach to its practical application, and establish BPC 157 as a prospective cytoprotective treatment. Full article
(This article belongs to the Special Issue Frontiers in Pentadecapeptide BPC 157)
Show Figures

Figure 1

7 pages, 5234 KB  
Case Report
Cardiopulmonary Arrest Caused by Large Substernal Goiter—Treatment with Combined Cervical Approach and Median Mini-Sternotomy: Report of a Case
by Charilaos Koulouris, Aristoklis Paraschou, Vasiliki Manaki, Stylianos Mantalovas, Kassiani Spiridou, Andreana Spiridou, Styliani Laskou, Nickos Michalopoulos, Petru Adrian Radu, Dan Cartu, Valeriu Șurlin, Victor Strambu, Isaak Kesisoglou and Konstantinos Sapalidis
Medicina 2021, 57(4), 303; https://doi.org/10.3390/medicina57040303 - 24 Mar 2021
Cited by 1 | Viewed by 3205
Abstract
Introduction: Substernal goiter is usually defined as a goiter that extends below the thoracic inlet or a goiter with more than 50% of its mass lying below the thoracic inlet. Substernal goiters may compress adjacent anatomical structures causing a variety of symptoms. Case [...] Read more.
Introduction: Substernal goiter is usually defined as a goiter that extends below the thoracic inlet or a goiter with more than 50% of its mass lying below the thoracic inlet. Substernal goiters may compress adjacent anatomical structures causing a variety of symptoms. Case report: Here we report a rare case of a 75-year-old woman presenting with cardiac arrest caused by acute respiratory failure due to tracheal compression by a substernal goiter. Discussion: Substernal goiters can be classified as primary or secondary depending on their site of origin. Symptoms are diverse and include a palpable neck mass, mild dyspnea to asphyxia, dysphagia, dysphonia, and superior vena cava syndrome. Diagnosis of substernal goiter is largely based on computed tomography imaging, which will show the location of the goiter and its extension in the thoracic cavity. Surgery is the treatment of choice for symptomatic patients with substernal goiter. The majority of substernal goiters are resected through a cervical approach. However, in approximately 5% of patients, a thoracic approach is required. The most important factor determining whether a thoracic approach should be used is the depth of the extension to the tracheal bifurcation on CT imaging. Conclusion: Cardiac arrest appearing as the first symptom of a substernal goiter is a very rare condition and should be treated by emergency thyroidectomy via a cervical or thoracic approach depending on the CT imaging findings. Full article
(This article belongs to the Section Surgery)
Show Figures

Figure 1

5 pages, 1186 KB  
Case Report
Right Atrium Mass Assessed with 18F-FDG PET/CT Scan Turns Out to Be an Uncommon Relapse of Testicular Diffuse Large B-cell Lymphoma: A Case Report
by Stefano Panareo, Luca Urso, Ivan Santi, Gian Matteo Rigolin, Antonio Cuneo, Corrado Cittanti and Mirco Bartolomei
Diagnostics 2020, 10(11), 987; https://doi.org/10.3390/diagnostics10110987 - 23 Nov 2020
Cited by 7 | Viewed by 3274
Abstract
We report the case of a 71-year-old man affected by testicular large B-cell lymphoma (DLBCL), treated with right orchiectomy and first-line chemotherapy (R-CHOP, 8 cycles). A complete remission was obtained after therapy. Twenty-two months after the primary diagnosis the patient suddenly presented dyspnoea [...] Read more.
We report the case of a 71-year-old man affected by testicular large B-cell lymphoma (DLBCL), treated with right orchiectomy and first-line chemotherapy (R-CHOP, 8 cycles). A complete remission was obtained after therapy. Twenty-two months after the primary diagnosis the patient suddenly presented dyspnoea and superior vena cava syndrome; thus, he underwent a CT scan that revealed a large mass in the right atrium, expanding to the superior vena cava. A differential diagnosis between a neoplastic mass and a clot was proposed. The subsequent MR did not clarify the nature of the mass; therefore, the patient underwent an 18F-FDG PET/CT scan (PET/CT), after a specific preparation to reduce fluoro-deoxyglucose (FDG) myocardial uptake. PET/CT revealed an intense FDG uptake involving the whole mass (SUVmax 9.4), suggestive for neoplasm and confirmed by the subsequent endocardiac biopsy. The patient was treated with 8 cycles of R-COMP, obtaining a complete remission, as indicated by the PET/CT performed after the seventh cycle of therapy. The case that we are reporting highlights that DLBCL can have an uncommon relapse presentation in the atrium. PET/CT, compared to conventional imaging, can be a valuable tool to detect early and better characterize cardiac lesions in order to improve the poor prognosis of these conditions. Full article
(This article belongs to the Special Issue Positron Emission Tomography (PET) Imaging for Therapy Monitoring)
Show Figures

Figure 1

Back to TopTop