Anterior and Posterior Nutcracker Syndrome Combined with May–Thurner Syndrome: First Report of This Unique Case
Abstract
1. Background
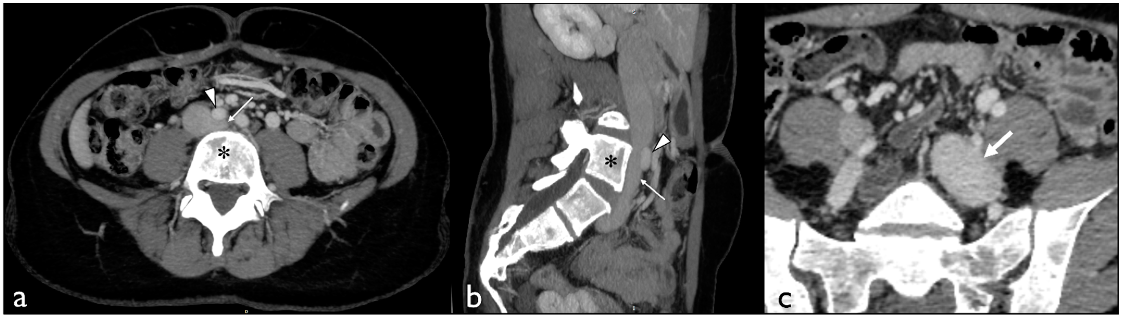
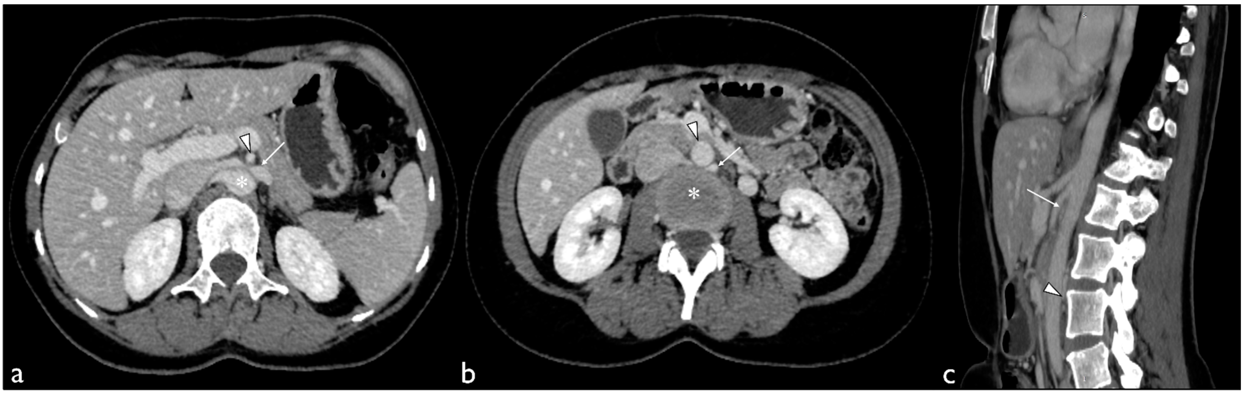
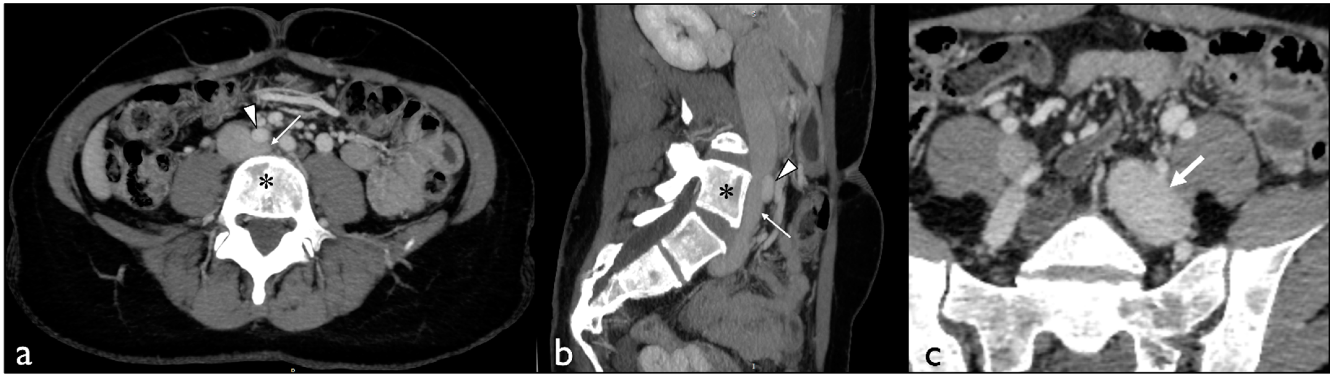
2. Case Presentation
3. Literature Review
3.1. Materials and Methods
3.2. Results
4. Discussion
5. Conclusions
Author Contributions
Funding
Institutional Review Board Statement
Informed Consent Statement
Data Availability Statement
Conflicts of Interest
References
- Granata, A.; Distefano, G.; Sturiale, A.; Figuera, M.; Foti, P.V.; Palmucci, S.; Basile, A. From nutcracker Phenomenon to Nutcracker Syndrome: A Pictorial Review. Diagnostics 2021, 11, 101. [Google Scholar] [CrossRef]
- Lamba, R.; Tanner, D.T.; Sekhon, S.; McGahan, J.P.; Corwin, M.T.; Lall, C.G. Multidetector CT of Vascular Compression Syndromes in the Abdomen and Pelvis. RadioGraphics 2014, 34, 93–115. [Google Scholar] [CrossRef]
- Taheri, S.A.; Williams, J.; Powell, S.; Cullen, J.; Peer, R.; Nowakowski, P.; Boman, L.; Plsano, S. Lliocaval compression syndrome. Am. J. Surg. 1987, 154, 169–172. [Google Scholar] [CrossRef] [PubMed]
- Ali-El-Dein, B.; Osman, Y.; Shehab El-Din, A.B.; El-Diasty, T.; Mansour, O.; Ghoneim, M.A. Anterior and posterior nutcracker syndrome: A report on 11 cases. Transpl. Proc. 2003, 35, 851–853. [Google Scholar] [CrossRef] [PubMed]
- Singla, R.; Sharma, T.; Gupta, R. Retro-Aortic Left Renal Vein with Left Suprarenal Vein Draining into Inferior Vena Cava. 2010. Available online: https://www.semanticscholar.org/paper/Retro-aortic-left-renal-vein-with-left-suprarenal-Singla-Sharma/e9542e3e8f2f43d6487468af0b804a1a9590887b (accessed on 12 January 2023).
- De Visschere, P.; De Man, R.; Rosseel, F.; Crolla, D.; Verstraete, K.; Villeirs, G. Combined Anterior and Posterior Nutcracker Phenomenon in Circumaortic Left Renal Vein. Vienna: EuroRad. 2008. Available online: http://www.eurorad.org/case.php?id=6962 (accessed on 22 October 2015).
- Özkan, M.B.; Bilgici, M.C.; Hayalioglu, E. Anterior and Posterior Nutcracker Syndrome Accompanying Left Circumaortic Renal Vein in an Adolescent. Case Report. Arch. Argent. Pediatr. 2016, 114, e114–e116. Available online: http://www.sap.org.ar/docs/publicaciones/archivosarg/2016/v114n2a24e.pdf (accessed on 20 March 2023). [PubMed]
- Pupca, G.; Miclăuş, G.D.; Bucuraş, V.; Iacob, N.; Sas, I.; Matusz, P.; Tubbs, R.S.; Loukas, M. Left crossed fused renal ectopia L-shaped kidney type, with double nutcracker syndrome (anterior and posterior). Romanian J. Morphol. Embryol. 2014, 55, 1237–1241. [Google Scholar]
- Belczak, S.Q.; Neto, F.C.; Boim de Araújo, W.J.; Karakhanian, W.K.; Karakhanian, W.Z. Endovascular treatment of a patient with nutcracker syndrome and pelvic varices involving anterior and posterior renal veins. J. Vasc. Surg. Cases Innov. Tech. 2022, 8, 202–205. [Google Scholar] [CrossRef] [PubMed]
- Dilli, A.; Ayaz, U.; Kaplanoglu, H.; Saltas, H.; Hekimoğlu, B. Evaluation of the left renal vein variations and inferior vena cava variations using helical computed tomography. Clin. Imaging 2012, 37, 530–535. [Google Scholar] [CrossRef] [PubMed]
- Zhu, J.; Zhang, L.; Yang, Z.; Zhou, H.; Tang, G. Classification of the renal vein variations: A study with multidetector computed tomography. Surg. Radiol. Anat. 2015, 37, 667–675. [Google Scholar] [CrossRef] [PubMed]
- Rathod, K.; Ahmed, N.; Raut, A. Circumaortic renal collar. J. Postgrad. Med. 2004, 50, 77. [Google Scholar] [PubMed]
- Ananthan, K.; Onida, S.; Davies, A.H. Nutcracker Syndrome: An Update on Current Diagnostic Criteria and Management Guidelines. Eur. J. Vasc. Endovasc. Surg. 2017, 53, 886–894. [Google Scholar] [CrossRef] [PubMed]
- Grant, J.C.B. Method of Anatomy; Baltimore, M.D., Ed.; Williams & Wilkins: Philadelphia, PA, USA, 1937; p. 158. [Google Scholar]
- Tiralongo, F.; Distefano, G.; Palermo, M.; Granata, A.; Giurazza, F.; Vacirca, F.; Palmucci, S.; Venturini, M.; Basile, A. Liquid and Solid Embolic Agents in Gonadal Veins. J. Clin. Med. 2021, 10, 1596. [Google Scholar] [CrossRef] [PubMed]
- Kurklinsky, A.K.; Rooke, T.W. Nutcracker phenomenon and nutcracker syndrome. Mayo Clin. Proc. 2010, 85, 552–559. [Google Scholar] [CrossRef] [PubMed]
- Cheon, J.-E.; Kim, W.S.; Kim, I.-O.; Kim, S.H.; Yeon, K.M.; Ha, I.S.; Cheong, H.I.; Choi, Y. Nutcracker syndrome in children with gross haematuria: Doppler sonographic evaluation of the left renal vein. Pediatr. Radiol. 2006, 36, 682–686. [Google Scholar] [CrossRef] [PubMed]
- Surgical and Endovascular Interventions for Nutcracker Syndrome—PubMed. Available online: https://pubmed.ncbi.nlm.nih.gov/25220323/ (accessed on 20 March 2023).
- Menard, M.T. Nutcracker syndrome: When should it be treated and how? Perspect. Vasc. Surg. Endovasc. Ther. 2009, 21, 117–124. [Google Scholar] [CrossRef] [PubMed]
- Basile, A.; Tsetis, D.; Calcara, G.; Figuera, M.; Patti, M.T.; Ettorre, G.C.; Granata, A. Percutaneous nitinol stent implantation in the treatment of nutcracker syndrome in young adults. J. Vasc. Interv. Radiol. 2007, 18, 1042–1046. [Google Scholar] [CrossRef] [PubMed]
- May, R.; Thurner, J. The cause of the predominantly sinistral occurrence of thrombosis of the pelvic veins. Angiology 1957, 8, 419–427. [Google Scholar] [CrossRef] [PubMed]
- Heller, T.; Teichert, C.; Hafer, J.; Weber, M.A.; Kröger, J.C.; Meinel, F.G. Prevalence of May-Thurner Syndrome in Patients with Deep Vein Thrombosis at a Large Medical Referral Center. Rofo 2019, 191, 1107–1117. [Google Scholar] [CrossRef] [PubMed]
- Aghdasi, S.; Serati, A.R.; Moosavi, J.; Emami, S.; Movahed, M.R. Variceal Veins Embolization and Left Renal Vein Stenting in a Patient with Combined Nutcracker and May–Thurner Syndrome. Int. J. Angiol. 2022, 31, 138–142. [Google Scholar] [CrossRef] [PubMed]



| First Author, Year Published | Sex | Age | Anatomical Variants | Symptoms | Type of Treatment |
|---|---|---|---|---|---|
| De Visschere et al., 2008 [6] | Female | 40 | Circumaortic LRV | Incidental finding | - |
| Özkan et al., 2016 [7] | Male | 16 | Circumaortic LRV | Flank pain and tenderness | - |
| Pupca et al., 2014 [8] | Male | 26 | Circumaortic LRV in Crossed fused renal ectopia | Intermittent flank pain | - |
| Belczak et al., 2022 [9] | Female | 36 | One anterior and three posterior renal veins | Flank and pelvic pain and hematuria | Gonadal vein embolization and stenting of the major posterior renal vein |
| Tiralongo et al., 2023 | Female | 39 | Circumaortic LRV | Intermittent flank pain | - |
Disclaimer/Publisher’s Note: The statements, opinions and data contained in all publications are solely those of the individual author(s) and contributor(s) and not of MDPI and/or the editor(s). MDPI and/or the editor(s) disclaim responsibility for any injury to people or property resulting from any ideas, methods, instructions or products referred to in the content. |
© 2023 by the authors. Licensee MDPI, Basel, Switzerland. This article is an open access article distributed under the terms and conditions of the Creative Commons Attribution (CC BY) license (https://creativecommons.org/licenses/by/4.0/).
Share and Cite
Tiralongo, F.; Galioto, F.; Distefano, G.; Palmucci, S.; Basile, A.; Di Rosa, S. Anterior and Posterior Nutcracker Syndrome Combined with May–Thurner Syndrome: First Report of This Unique Case. Diagnostics 2023, 13, 1433. https://doi.org/10.3390/diagnostics13081433
Tiralongo F, Galioto F, Distefano G, Palmucci S, Basile A, Di Rosa S. Anterior and Posterior Nutcracker Syndrome Combined with May–Thurner Syndrome: First Report of This Unique Case. Diagnostics. 2023; 13(8):1433. https://doi.org/10.3390/diagnostics13081433
Chicago/Turabian StyleTiralongo, Francesco, Federica Galioto, Giulio Distefano, Stefano Palmucci, Antonio Basile, and Salvatore Di Rosa. 2023. "Anterior and Posterior Nutcracker Syndrome Combined with May–Thurner Syndrome: First Report of This Unique Case" Diagnostics 13, no. 8: 1433. https://doi.org/10.3390/diagnostics13081433
APA StyleTiralongo, F., Galioto, F., Distefano, G., Palmucci, S., Basile, A., & Di Rosa, S. (2023). Anterior and Posterior Nutcracker Syndrome Combined with May–Thurner Syndrome: First Report of This Unique Case. Diagnostics, 13(8), 1433. https://doi.org/10.3390/diagnostics13081433

