Radiation Recall Pneumonitis with Pneumocystis jirovecii Superinfection and Treatment Induced Hyponatremia in a Patient with Non-Small-Cell Lung Cancer
Abstract
1. Introduction
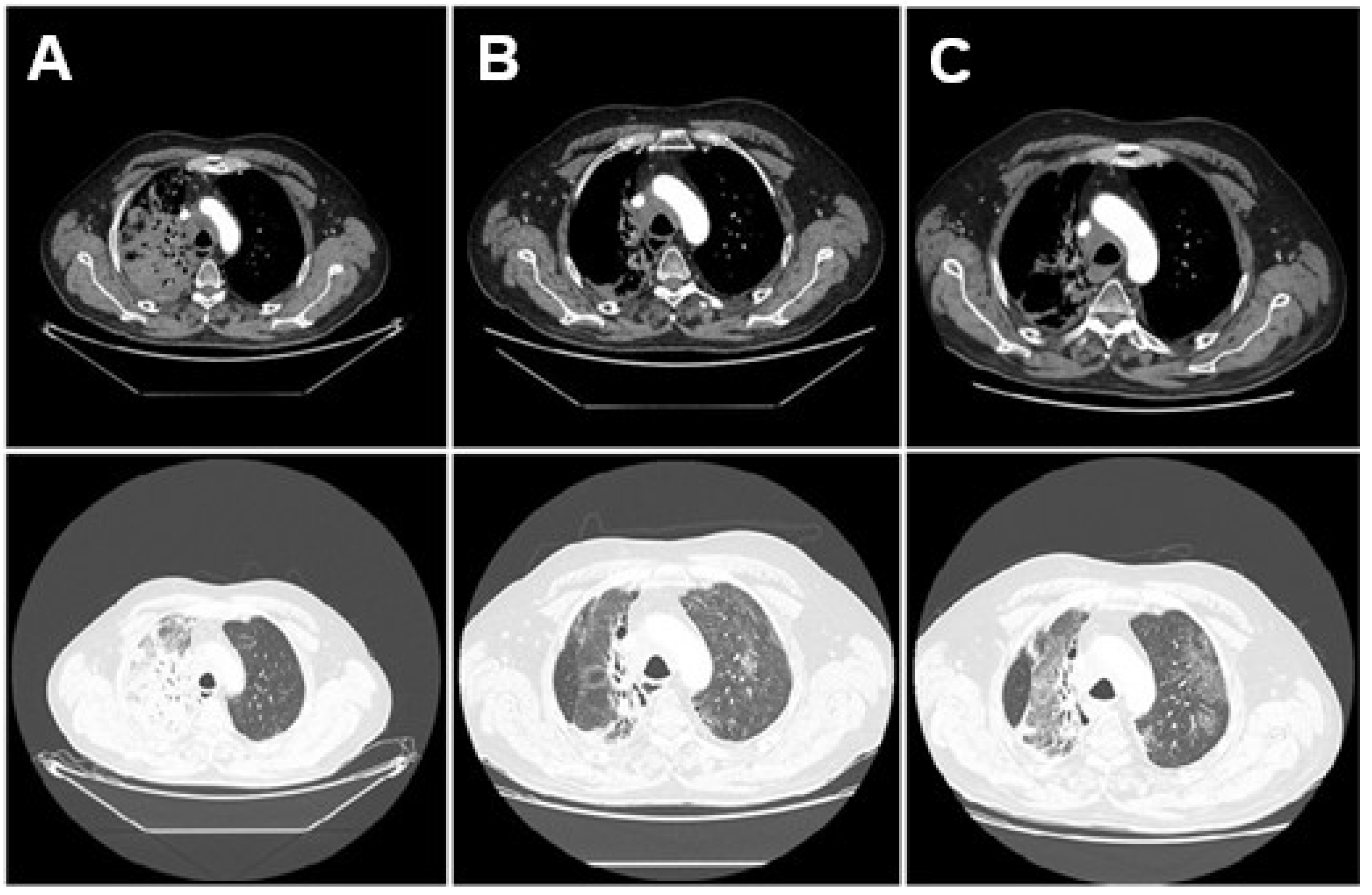
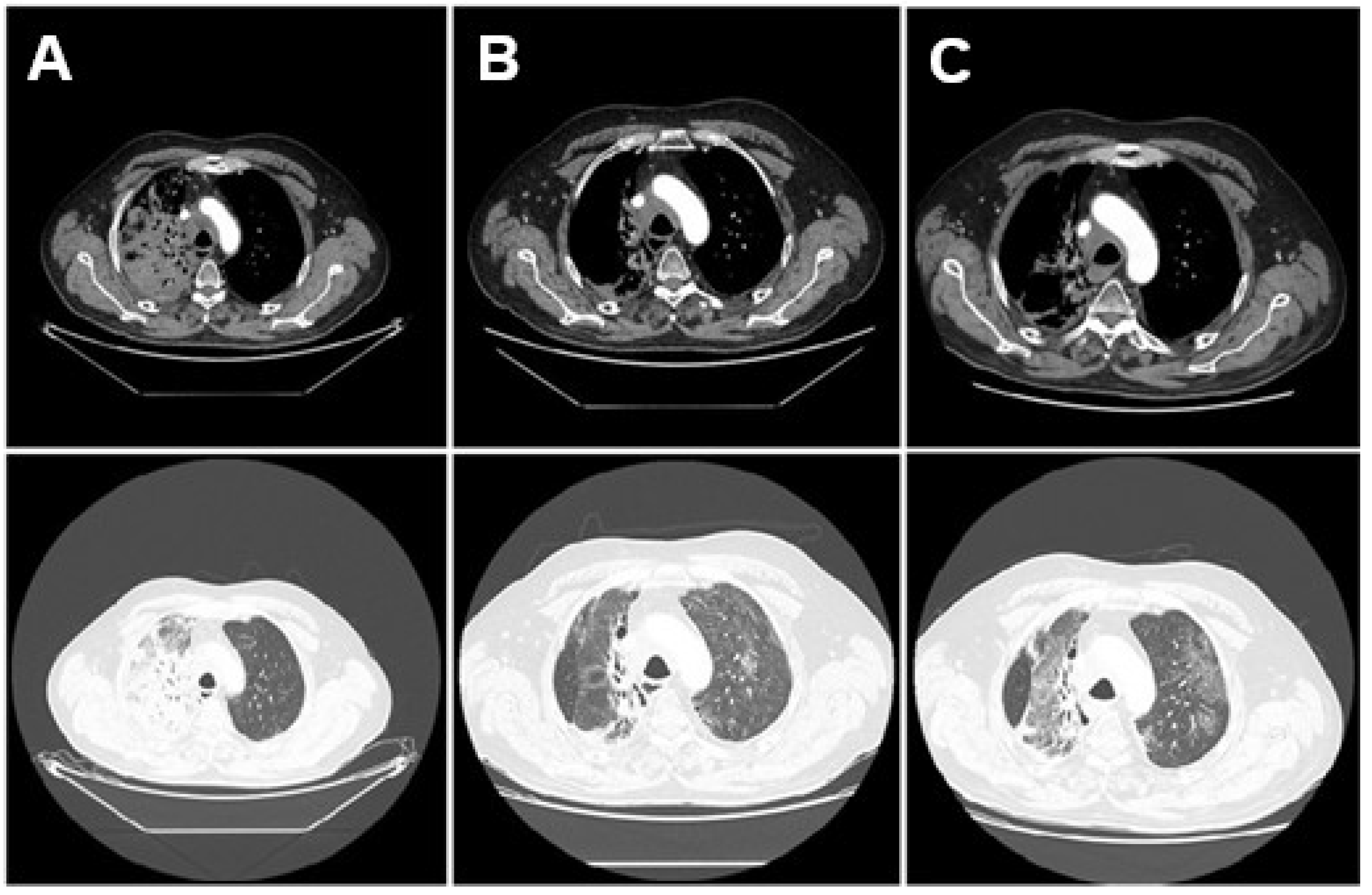
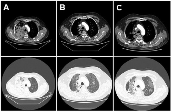
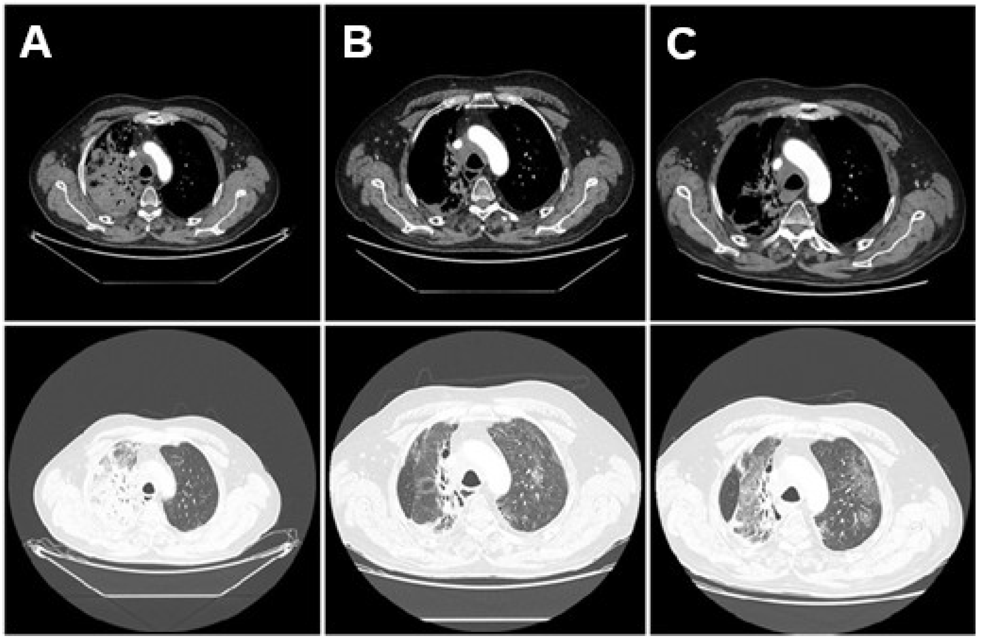
2. Case Presentation
3. Discussion
3.1. Radiation Recall Pneumonitis Syndrome and Immunotherapy
3.1.1. Incidence of Radiation Recall Pneumonitis Following Immunotherapy
3.1.2. Mechanism of Radiation Recall Pneumonitis Development
3.1.3. Diagnosis of RRP
3.1.4. Treatment of RRP
3.2. Pneumocystis jirovecii Infection (PCP)
3.2.1. Diagnosis of PCP
3.2.2. Treatment of PCP
3.2.3. Prophylaxis of PCP
3.3. Trimethoprim–Sulfamethoxazole-Induced Hyponatremia
4. Conclusions
Author Contributions
Funding
Institutional Review Board Statement
Informed Consent Statement
Data Availability Statement
Acknowledgments
Conflicts of Interest
Abbreviations
| BAL | Bronchoalveolar lavage |
| CT | Computed tomography |
| DFS | Disease-free survival |
| HRCT | High-resolution computed tomography |
| ICIs | Immune checkpoint inhibitors |
| MLD | Mean lung dose |
| NSCLC | Non-small-cell lung cancer |
| OS | Overall survival |
| PCP | Pneumocystis jirovecii pneumonia |
| PCR | Polymerase chain reaction |
| PD-L1 | Programmed death-ligand 1 |
| PFS | Progression-free survival |
| PJP | Pneumocystis jirovecii pneumonia |
| RRP | Radiation recall pneumonitis |
| SIADH | Syndrome of inappropriate antidiuretic hormone secretion |
| SVCS | Superior vena cava syndrome |
| TMP-SMX | Trimethoprim/sulfamethoxazole |
| VMAT | Volumetric modulated arc therapy |
| V20 | Lung volume receiving ≥20 Gy |
References
- Koyama, N.; Iwase, O.; Nakashima, E.; Kishida, K.; Kondo, T.; Watanabe, Y.; Takahashi, H.; Umebayashi, Y.; Ogawa, Y.; Miura, H. High incidence and early onset of nivolumab-induced pneumonitis: Four case reports and literature review. BMC Pulm. Med. 2018, 18, 23. [Google Scholar] [CrossRef]
- Yerolatsite, M.; Torounidou, N.; Amylidi, A.L.; Rapti, I.C.; Zarkavelis, G.; Kampletsas, E.; Voulgari, P.V. A Systematic Review of Pneumonitis Following Treatment with Immune Checkpoint Inhibitors and Radiotherapy. Biomedicines 2025, 13, 946. [Google Scholar] [CrossRef]
- Stern, A.; Green, H.; Paul, M.; Vidal, L.; Leibovici, L. Prophylaxis for Pneumocystis pneumonia (PCP) in non-HIV immunocompromised patients. Cochrane Database Syst. Rev. 2014, 2014, CD005590. [Google Scholar] [CrossRef]
- Dunbar, A.; Schauwvlieghe, A.; Algoe, S.; van Hellemond, J.J.; Reynders, M.; Vandecasteele, S.; Boelens, J.; Depuydt, P.; Rijnders, B. Epidemiology of Pneumocystis jirovecii Pneumonia and (Non-)use of Prophylaxis. Front. Cell Infect. Microbiol. 2020, 10, 224. [Google Scholar] [CrossRef]
- Azeem, A.; Majeed, N.; Khuwaja, S. Hyponatremia Associated with Standard-Dose Trimethoprim-Sulfamethoxazole Use in an Immunocompetent Patient. WMJ 2022, 121, E57–E59. [Google Scholar]
- Noto, H.; Kaneko, Y.; Takano, T.; Kurokawa, K. Severe hyponatremia and hyperkalemia induced by trimethoprim-sulfamethoxazole in patients with Pneumocystis carinii pneumonia. Intern. Med. 1995, 34, 96–99. [Google Scholar] [CrossRef] [PubMed][Green Version]
- Alrasheed, M.I.; Almanea, R.K.; Hijaz, B.M.; Riazuddin, M. Severe hyponatremia due to trimethoprim-sulfamethoxazole: A case report. AME Case Rep. 2025, 9, 43. [Google Scholar] [CrossRef] [PubMed]
- Riviere, P.; Sumner, W.; Cornell, M.; Sandhu, A.; Murphy, J.D.; Hattangadi-Gluth, J.; Bruggeman, A.; Kim, S.S.; Randall, J.M.; Sharabi, A.B. Radiation Recall Pneumonitis After Treatment with Checkpoint Blockade Immunotherapy: A Case Series and Review of Literature. Front. Oncol. 2021, 11, 662954. [Google Scholar] [CrossRef] [PubMed]
- Cousin, F.; Desir, C.; Ben Mustapha, S.; Mievis, C.; Coucke, P.; Hustinx, R. Incidence, risk factors, and CT characteristics of radiation recall pneumonitis induced by immune checkpoint inhibitor in lung cancer. Radiother. Oncol. 2021, 157, 47–55. [Google Scholar] [CrossRef]
- McGovern, K.; Ghaly, M.; Esposito, M.; Barnaby, K.; Seetharamu, N. Radiation recall pneumonitis in the setting of immunotherapy and radiation: A focused review. Future Sci. OA 2019, 5, FSO378. [Google Scholar] [CrossRef]
- Lu, X.; Wang, J.; Zhang, T.; Zhou, Z.; Deng, L.; Wang, X.; Wang, W.; Liu, W.; Tang, W.; Wang, Z.; et al. Comprehensive Pneumonitis Profile of Thoracic Radiotherapy Followed by Immune Checkpoint Inhibitor and Risk Factors for Radiation Recall Pneumonitis in Lung Cancer. Front. Immunol. 2022, 13, 918787. [Google Scholar] [CrossRef]
- Chen, Y.; Huang, Z.; Xing, L.; Meng, X.; Yu, J. Radiation Recall Pneumonitis Induced by Anti-PD-1 Blockade: A Case Report and Review of the Literature. Front. Oncol. 2020, 10, 561. [Google Scholar] [CrossRef]
- Ye, X.; Yang, J.; Stebbing, J.; Peng, L. Radiation recall pneumonitis triggered by an immune checkpoint inhibitor following re-irradiation in a lung cancer patient: A case report. BMC Pulm. Med. 2022, 22, 54. [Google Scholar] [CrossRef]
- Torresan, S.; Zussino, G.; Cortiula, F.; Follador, A.; Fasola, G.; Girometti, R.; Cereser, L. Radiation Recall Pneumonitis Anticipates Bilateral Immune-Induced Pneumonitis in Non-Small Cell Lung Cancer. J. Clin. Med. 2023, 12, 1266. [Google Scholar] [CrossRef] [PubMed]
- Wang, M.; Xu, S.; Zhu, H. Radiation Recall Pneumonitis Induced by Sintilimab: A Case Report and Literature Review. Front. Immunol. 2022, 13, 823767. [Google Scholar] [CrossRef] [PubMed]
- Noda-Narita, S.; Naito, T.; Udagawa, H.; Goto, K.; Miyawaki, T.; Mamesaya, N.; Nakashima, K.; Kenmotsu, H.; Shimokawaji, T.; Kato, T.; et al. Nivolumab-induced radiation recall pneumonitis in non-small-cell lung cancer patients with thoracic radiation therapy. Cancer Sci. 2023, 114, 630–639. [Google Scholar] [CrossRef] [PubMed]
- Li, J.; Zheng, L.; Liu, C.; Liu, W.; Li, Y.; Wang, D.; Jiang, T. Incidences of pneumonitis associated with the combination of radiotherapy and immune checkpoint inhibitors in lung cancer: A systematic review and meta-analysis. Front. Oncol. 2025, 15, 1365966. [Google Scholar] [CrossRef]
- Shibaki, R.; Akamatsu, H.; Fujimoto, M.; Koh, Y.; Yamamoto, N. Nivolumab induced radiation recall pneumonitis after two years of radiotherapy. Ann. Oncol. 2017, 28, 1404–1405. [Google Scholar] [CrossRef]
- Grassi, F.; Granata, V.; Fusco, R.; De Muzio, F.; Cutolo, C.; Gabelloni, M.; Borgheresi, A.; Danti, G.; Picone, C.; Giovagnoni, A.; et al. Radiation Recall Pneumonitis: The Open Challenge in Differential Diagnosis of Pneumonia Induced by Oncological Treatments. J. Clin. Med. 2023, 12, 1442. [Google Scholar] [CrossRef] [PubMed]
- Tasaka, S. Recent Advances in the Diagnosis and Management of Pneumocystis Pneumonia. Tuberc. Respir. Dis. 2020, 83, 132–140. [Google Scholar] [CrossRef]
- Apostolopoulou, A.; Fishman, J.A. The Pathogenesis and Diagnosis of Pneumocystis jiroveci Pneumonia. J. Fungi 2022, 8, 1167. [Google Scholar] [CrossRef] [PubMed]
- Fu, Z.; Yang, X.; Bi, N.; Zhai, Y.; Chen, D.; Wang, W.; Deng, L.; Zhang, T.; Zhou, Z.; Liang, J. Radiation pneumonitis complicated by Pneumocystis carinii in patients with thoracic neoplasia: A clinical analysis of 7 cases. Cancer Commun. 2019, 39, 47. [Google Scholar] [CrossRef] [PubMed]
- Marak, C.; Nunley, M.; Guddati, A.K.; Kaushik, P.; Bannon, M.; Ashraf, A. Severe hyponatremia due to trimethoprim-sulfamethoxazole-induced SIADH. SAGE Open Med. Case Rep. 2022, 10, 2050313X221132654. [Google Scholar] [CrossRef] [PubMed]


Disclaimer/Publisher’s Note: The statements, opinions and data contained in all publications are solely those of the individual author(s) and contributor(s) and not of MDPI and/or the editor(s). MDPI and/or the editor(s) disclaim responsibility for any injury to people or property resulting from any ideas, methods, instructions or products referred to in the content. |
© 2025 by the authors. Licensee MDPI, Basel, Switzerland. This article is an open access article distributed under the terms and conditions of the Creative Commons Attribution (CC BY) license (https://creativecommons.org/licenses/by/4.0/).
Share and Cite
Piórek, A.; Płużański, A.; Kowalski, D.M.; Krzakowski, M. Radiation Recall Pneumonitis with Pneumocystis jirovecii Superinfection and Treatment Induced Hyponatremia in a Patient with Non-Small-Cell Lung Cancer. Diseases 2025, 13, 357. https://doi.org/10.3390/diseases13110357
Piórek A, Płużański A, Kowalski DM, Krzakowski M. Radiation Recall Pneumonitis with Pneumocystis jirovecii Superinfection and Treatment Induced Hyponatremia in a Patient with Non-Small-Cell Lung Cancer. Diseases. 2025; 13(11):357. https://doi.org/10.3390/diseases13110357
Chicago/Turabian StylePiórek, Aleksandra, Adam Płużański, Dariusz M. Kowalski, and Maciej Krzakowski. 2025. "Radiation Recall Pneumonitis with Pneumocystis jirovecii Superinfection and Treatment Induced Hyponatremia in a Patient with Non-Small-Cell Lung Cancer" Diseases 13, no. 11: 357. https://doi.org/10.3390/diseases13110357
APA StylePiórek, A., Płużański, A., Kowalski, D. M., & Krzakowski, M. (2025). Radiation Recall Pneumonitis with Pneumocystis jirovecii Superinfection and Treatment Induced Hyponatremia in a Patient with Non-Small-Cell Lung Cancer. Diseases, 13(11), 357. https://doi.org/10.3390/diseases13110357

