Sign in to use this feature.

Years

Between: -

Subjects

remove_circle_outline
remove_circle_outline
remove_circle_outline
remove_circle_outline
remove_circle_outline
remove_circle_outline

Journals

Article Types

Countries / Regions

Search Results (18)

Search Parameters:
Keywords = squid skin

Order results
Result details
Results per page
Select all
Export citation of selected articles as:
20 pages, 6734 KB  
Article
Modification of Natural Clays with Magnetite to Provide Boosted Antimicrobial Properties and Chemopreventive Activity Against Melanoma
by Alicja Wójcik, Jakub Matusiak, Marta Trzaskowska, Aleksandra Maciejczyk, Paulina Kazimierczak, Katarzyna Suśniak, Krzysztof Palka, Izabela Korona-Glowniak, Wojciech Franus and Agata Przekora
Materials 2025, 18(20), 4759; https://doi.org/10.3390/ma18204759 - 17 Oct 2025
Viewed by 464
Abstract
Historically, clays have been widely used for the treatment of wounds and to stop hemorrhaging. The aim of this study was to combine four natural clay minerals (kaolinite, glauconite, montmorillonite, and bentonite) with magnetite (Fe3O4) nanoparticles to produce Fe [...] Read more.
Historically, clays have been widely used for the treatment of wounds and to stop hemorrhaging. The aim of this study was to combine four natural clay minerals (kaolinite, glauconite, montmorillonite, and bentonite) with magnetite (Fe3O4) nanoparticles to produce Fe3O4–clay complexes with enhanced antimicrobial properties and chemopreventive activity against melanoma. The magnetite–clay complexes were synthesized by the chemical co-precipitation method and characterized using XRD, TEM, STEM-EDS, SEM, and SQUID magnetometer. Antimicrobial properties were determined by evaluation of MIC values. The most promising materials were also subjected to direct contact antibacterial test according to the OECD standard for porous materials. Cytotoxicity of the complexes towards melanoma cells and normal human skin fibroblasts was assessed by MTT assay. We performed XRD, which confirmed the formation of Fe3O4–clay complex materials. It was also proven that complexes exhibited superparamagnetic properties. Microbiological experiments clearly revealed that modification of natural clays with magnetite significantly boosted their antimicrobial properties. Fe3O4–montmorillonite and Fe3O4–bentonite showed the strongest antimicrobial activity. Moreover, the mentioned complexes had the ability to reduce the viability of melanoma cells by 35–40%, while exhibiting no cytotoxicity against the normal human fibroblast (BJ) cell line, which is an extremely desirable feature. Thus, it may be concluded that Fe3O4–montmorillonite and Fe3O4–bentonite complexes hold promise for use in the management of infected wounds and wounds after melanoma excision. Full article
(This article belongs to the Special Issue Biomaterials Modification, Characterization and Applications)
Show Figures

Figure 1

18 pages, 3019 KB  
Article
Functional Biopolymer Coatings with Nisin/Na-EDTA as an Active Agent: Enhancing Seafood Preservation
by Wladimir Silva-Vera, Sebastián Escobar-Aguirre, Robert Emilio Mora-Luna and Romina L. Abarca
Foods 2025, 14(12), 2100; https://doi.org/10.3390/foods14122100 - 14 Jun 2025
Viewed by 872
Abstract
The increasing demand for reliable food preservation strategies has driven the development of active biopolymer-based films as alternatives to conventional packaging. This study evaluates Nisin/Na-EDTA-enriched alginate and gelatin films for preserving Dosidicus gigas (jumbo squid) during refrigerated storage. Films were formulated using alginate, [...] Read more.
The increasing demand for reliable food preservation strategies has driven the development of active biopolymer-based films as alternatives to conventional packaging. This study evaluates Nisin/Na-EDTA-enriched alginate and gelatin films for preserving Dosidicus gigas (jumbo squid) during refrigerated storage. Films were formulated using alginate, gelatin 220/280 Bloom, and glycerol, and characterized in terms of their mechanical, optical, and biodegradation properties. Their effectiveness for the preservation of squid fillets was tested, focusing on weight loss and color stability during refrigerated storage. The incorporation of Nisin/Na-EDTA significantly modified the film’s properties: elongation at break increased from 4.95% (alginate control) to 65.13% (gelatin 280 active), while tensile strength decreased from 8.86 MPa to 0.798 MPa (alginate). Transparency was reduced by up to 2.5 times in active agent-incorporated alginate films. All films degraded within 14 days under soil exposure, with polysaccharide-based films degrading faster. In refrigerated storage, squid fillets coated with gelatin–alginate films containing Nisin showed reduced weight loss (24.05%) compared with uncoated controls (66.36%), particularly in skin-on samples. Color parameters and whiteness index were better preserved with gelatin-based coatings. These results demonstrate the potential of gelatin–alginate films with Nisin/Na-EDTA as biodegradable, active packaging to extend the shelf life of high-protein seafood. Full article
(This article belongs to the Special Issue Application of Edible Coating in Food Preservation)
Show Figures

Graphical abstract

17 pages, 2632 KB  
Essay
Preparation of Calcium-Chelating Peptides from Squid Skin and Evaluation of Calcium Absorption Capacity in Caco-2 Cell Monolayer Model
by Jihao Zeng, Xue Bai, Yongli Zhang, Qianyu Le, Jinhong Wu and Huiyun Chen
Foods 2025, 14(9), 1594; https://doi.org/10.3390/foods14091594 - 30 Apr 2025
Viewed by 1467
Abstract
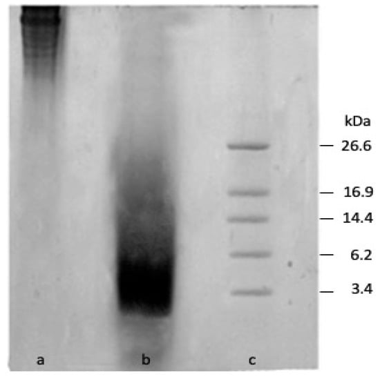
To develop a highly bioavailable calcium supplement, this study utilized Peruvian squid (Dosidicus gigas) skin as a raw material. Through alkaline protease hydrolysis and enzymatic membrane reactor separation, three molecular weight fractions of squid skin peptides were obtained, followed by calcium [...] Read more.
To develop a highly bioavailable calcium supplement, this study utilized Peruvian squid (Dosidicus gigas) skin as a raw material. Through alkaline protease hydrolysis and enzymatic membrane reactor separation, three molecular weight fractions of squid skin peptides were obtained, followed by calcium ion chelation to synthesize calcium-chelating peptides (CCPs-SS). Systematic characterization revealed that the less than 1 kDa fraction of CCPs-SS exhibited superior antioxidant capacity (82.18%) and calcium chelation efficiency (77.14%) in cellular models compared to higher molecular weight counterparts. Optimal synthesis conditions were identified as 60 °C, pH 9, and 12 mg/mL calcium chloride concentration. Post-chelation analyses demonstrated significant physicochemical alterations for CCPs-SS: ζ-potential shifted from −18.4 mV to −10.47 mV, while particle size increased from 476.75 nm to 664.4 nm. Notably, membrane separation enhanced phenylalanine and leucine molar concentrations by 25.5% and 57.6%, respectively, suggesting structural modifications that potentiate bioactivity. These findings demonstrate an innovative strategy for converting squid processing byproducts into functional nutraceuticals, which not only addresses calcium deficiency challenges but also promotes resource sustainability by utilizing waste materials. Full article
(This article belongs to the Special Issue Comprehensive Utilization of By-Products in Food Industry)
Show Figures

Figure 1

16 pages, 4209 KB  
Article
Squid Skin Decellularised Dermal Matrix for Enhancing Repair of Acute Cranial Injuries in Rabbit Model
by Lixin Liu, Yida Pang, Haoze Yang, Qiyi Zhou, JinHua Hou, Wenhui Wu and Jeevithan Elango
J. Funct. Biomater. 2025, 16(5), 159; https://doi.org/10.3390/jfb16050159 - 30 Apr 2025
Viewed by 1180
Abstract
Squid skin decellularized dermal matrix (SADM) is gaining attention in tissue engineering and regenerative medicine due to its mimicking of the extracellular matrix property. Hence, SADM was used to investigate mimicking the microenvironment of cellular growth, inducing cellular infiltration and angiogenesis, and facilitating [...] Read more.
Squid skin decellularized dermal matrix (SADM) is gaining attention in tissue engineering and regenerative medicine due to its mimicking of the extracellular matrix property. Hence, SADM was used to investigate mimicking the microenvironment of cellular growth, inducing cellular infiltration and angiogenesis, and facilitating the repair of acute craniofacial wounds. For this, tissue regeneration membranes from squid skin were prepared by decolorization, degreasing and decellularisation methods. The effect of SADM in guiding bone tissue regeneration was evaluated using the rabbit skull bone defect model. SEM images of SADM had a bilayer membrane architecture characterized by a reticulated porous structure on one side and a dense, non-porous surface on the opposite side. Notably, the water absorption capacity of SADM was approximately eight times higher than its weight, exhibiting a porosity of 58% and a peak average tensile stress of 10.43 MPa. Additionally, simulations of tissue fluid degradation indicated a degradation rate of 70.42% and 88.33% on days 8 and 12, respectively. Following 4 and 8 weeks of animal studies focused on repairing cranial bone defects in rabbits, the findings demonstrated that SADM served as an effective barrier against fibrous connective tissue, promoted the proliferation of osteoblasts, and supported bone regeneration. This was confirmed through micro-CT imaging, and sections were stained with senna solid green. In summary, SADM is capable of directing cell infiltration and bone tissue formation, modulating the expression and secretion of inflammatory and skin repair-related factors, thereby enhancing tissue healing. Full article
Show Figures

Graphical abstract

15 pages, 4887 KB  
Article
Screening of Potential Angiotensin-Converting Enzyme-Inhibitory Peptides in Squid (Todarodes pacificus) Skin Hydrolysates: Preliminary Study of Its Mechanism of Inhibition
by Mingyuan Li, Qianqian Liang, Yurui Zhang, Xin Jiang, Yuan Gu, Xin Song, Xichang Wang and Wenzheng Shi
Mar. Drugs 2025, 23(2), 81; https://doi.org/10.3390/md23020081 - 13 Feb 2025
Cited by 3 | Viewed by 1775
Abstract
Background: Hypertension has been identified as a significant risk factor for cardiovascular disease. Given the prevalence of the adverse effects of angiotensin-converting enzyme-inhibitory (ACEI) drugs, natural and effective alternatives to these medications need to be identified. Methods: An investigative study was conducted to [...] Read more.
Background: Hypertension has been identified as a significant risk factor for cardiovascular disease. Given the prevalence of the adverse effects of angiotensin-converting enzyme-inhibitory (ACEI) drugs, natural and effective alternatives to these medications need to be identified. Methods: An investigative study was conducted to assess the ACEI capacity and structural characteristics of enzymatic hydrolysates with varying molecular weights derived from squid skin. The amino acid sequences of the enzymatic digests were analyzed via Nano LC-MS/MS and screened for peptides with ACEI activity using an in silico analysis. Furthermore, molecular docking was employed to investigate the interaction between potential ACEI peptides and ACE. Results: TPSH-V (MW < 1 kDa) exhibited the highest rate of ACEI, a property attributable to its substantial hydrophobic amino acid content. Additionally, TPSH-V exhibited high temperature and pH stability, indicative of regular ordering in its secondary structure. The binding modes of four potential novel ACEI peptides to ACE were predicted via molecular docking with the sequences of FHGLPAK, IIAPPERKY, RGLPAYE, and VPSDVEF, all of which can bind to the ACE active site via hydrogen bonding, with FHGLPAK, RGLPAYE, and VPSDVEF being able to coordinate with Zn2+. Conclusions: Squid skin constitutes a viable resource for the production of ACEI peptides. Full article
(This article belongs to the Special Issue Value-Added Products from Marine Fishes)
Show Figures

Figure 1

11 pages, 3301 KB  
Article
Protein Charge Neutralization Is the Proximate Driver Dynamically Tuning Reflectin Assembly
by Robert Levenson, Brandon Malady, Tyler Lee, Yahya Al Sabeh, Michael J. Gordon and Daniel E. Morse
Int. J. Mol. Sci. 2024, 25(16), 8954; https://doi.org/10.3390/ijms25168954 - 17 Aug 2024
Cited by 2 | Viewed by 1788
Abstract
Reflectin is a cationic, block copolymeric protein that mediates the dynamic fine-tuning of color and brightness of light reflected from nanostructured Bragg reflectors in iridocyte skin cells of squids. In vivo, the neuronally activated phosphorylation of reflectin triggers its assembly, driving osmotic dehydration [...] Read more.
Reflectin is a cationic, block copolymeric protein that mediates the dynamic fine-tuning of color and brightness of light reflected from nanostructured Bragg reflectors in iridocyte skin cells of squids. In vivo, the neuronally activated phosphorylation of reflectin triggers its assembly, driving osmotic dehydration of the membrane-bounded Bragg lamellae containing the protein to simultaneously shrink the lamellar thickness and spacing while increasing their refractive index contrast, thus tuning the wavelength and increasing the brightness of reflectance. In vitro, we show that the reduction in repulsive net charge of the purified, recombinant reflectin—either (for the first time) by generalized anionic screening with salt or by pH titration—drives a finely tuned, precisely calibrated increase in the size of the resulting multimeric assemblies. The calculated effects of phosphorylation in vivo are consistent with these effects observed in vitro. The precise proportionality between the assembly size and charge neutralization is enabled by the demonstrated rapid dynamic arrest of multimer growth by a continual, equilibrium tuning of the balance between the protein’s Coulombic repulsion and short-range interactive forces. The resulting stability of reflectin assemblies with time ensures a reciprocally precise control of the particle number concentration, encoding a precise calibration between the extent of neuronal signaling, osmotic pressure, and the resulting optical changes. The charge regulation of reflectin assembly precisely fine-tunes a colligative property-based nanostructured biological machine. A physical mechanism is proposed. Full article
(This article belongs to the Section Molecular Biophysics)
Show Figures

Figure 1

21 pages, 5548 KB  
Article
Stem-Cell-Regenerative and Protective Effects of Squid (Symplectoteuthis oualaniensis) Skin Collagen Peptides against H2O2-Induced Fibroblast Injury
by Mingjun Wei, Lakshmi Jeevithan, Na Li, Lixin Liu, Jiren Xu, Wenhui Wu and Jeevithan Elango
Mar. Drugs 2024, 22(6), 255; https://doi.org/10.3390/md22060255 - 30 May 2024
Cited by 9 | Viewed by 2741
Abstract
Recently, there has been a growing interest in collagen peptides derived from marine sources for their notable ability to protect skin cells against apoptosis induced by oxidants. Therefore, the current study aimed to investigate the fundamental properties of collagen peptides, including their physicochemical, [...] Read more.
Recently, there has been a growing interest in collagen peptides derived from marine sources for their notable ability to protect skin cells against apoptosis induced by oxidants. Therefore, the current study aimed to investigate the fundamental properties of collagen peptides, including their physicochemical, thermal, structural, stem-cell-regenerative, and skin-cell-protective effects, in comparison to commercial collagen peptides. The acid-soluble (ASC) and pepsin-soluble (PSC) collagens exhibited three distinct bands on SDS-PAGE, namely α (α1 and α2), β, and γ chains, confirming a type I pattern. The thermal profiles obtained from TG and DSC analyses confirmed the denaturation of PSC and ASC at temperatures ranging from 51.94 to 56.4 °C and from 52.07 to 56.53 °C, respectively. The purified collagen peptides were analyzed using SDS-PAGE and MALDI-TOF mass spectrometry, revealing a mass range of 900–15,000 Da. Furthermore, the de novo peptide sequence analysis confirmed the presence of the Gly-X-Y repeating sequence in collagen peptides. Collagen peptide treatments significantly enhanced HFF-1 cell proliferation and migration compared to the control group. ELISA results confirmed the potential interactions between collagen peptides and HFF-1 cells through α2β1, α10β1, and α11β1 integrin receptors. Notably, collagen peptide treatment effectively restored the proliferation of HFF-1 cells damaged by H2O2. Consequently, the advantageous characteristics of squid skin collagen peptides highlight their promising role in regenerative medicine. Full article
(This article belongs to the Special Issue Fundamentals and Biomedical Applications of Marine Collagen)
Show Figures

Figure 1

19 pages, 676 KB  
Article
Protein Hydrolysis as a Way to Valorise Squid-Processing Byproducts: Obtaining and Identification of ACE, DPP-IV and PEP Inhibitory Peptides
by Hajer Bougatef, Assaad Sila, Ali Bougatef and Oscar Martínez-Alvarez
Mar. Drugs 2024, 22(4), 156; https://doi.org/10.3390/md22040156 - 28 Mar 2024
Cited by 9 | Viewed by 3056
Abstract
The industrial processing of Argentine shortfin squid to obtain rings generates a significant amount of protein-rich waste, including the skin, which is rich in collagen and attached myofibrillar proteins. This waste is generally discarded. In this study, skin was used as a source [...] Read more.
The industrial processing of Argentine shortfin squid to obtain rings generates a significant amount of protein-rich waste, including the skin, which is rich in collagen and attached myofibrillar proteins. This waste is generally discarded. In this study, skin was used as a source of proteins that were hydrolysed using Trypsin, Esperase® or Alcalase®, which released peptides with antioxidant potential and, in particular, antihypertensive (ACE inhibition), hypoglycemic (DPP-IV inhibition) and/or nootropic (PEP inhibition) potential. Among the three enzymes tested, Esperase® and Alcalase produced hydrolysates with potent ACE-, DPP-IV- and PEP-inhibiting properties. These hydrolysates underwent chromatography fractionation, and the composition of the most bioactive fractions was analysed using HPLC-MS-MS. The fractions with the highest bioactivity exhibited very low IC50 values (16 and 66 µg/mL for ACE inhibition, 97 µg/mL for DPP-IV inhibition and 55 µg/mL for PEP inhibition) and were mainly derived from the hydrolysate obtained using Esperase®. The presence of Leu at the C-terminal appeared to be crucial for the ACE inhibitory activity of these fractions. The DPP-IV inhibitory activity of peptides seemed to be determined by the presence of Pro or Ala in the second position from the N-terminus, and Gly and/or Pro in the last C-terminal positions. Similarly, the presence of Pro in the peptides present in the best PEP inhibitory fraction seemed to be important in the inhibitory effect. These results demonstrate that the skin of the Argentine shortfin squid is a valuable source of bioactive peptides, suitable for incorporation into human nutrition as nutraceuticals and food supplements. Full article
(This article belongs to the Special Issue Fishery Discards, Processing Waste and Marine By-Products)
Show Figures

Graphical abstract

15 pages, 2924 KB  
Article
The Antioxidant Protective Effect of Iris-Squid-Derived Protein Hydrolysates (>10 kDa) in HSF Fibroblast Cells Induced by H2O2
by Na Li, Xiaozhen Diao, Xinyi Pu, Pengjie Tang, Jeevithan Elango and Wenhui Wu
J. Compos. Sci. 2023, 7(6), 228; https://doi.org/10.3390/jcs7060228 - 3 Jun 2023
Cited by 2 | Viewed by 2302
Abstract
One of the supporting factors behind the biomolecules recently used in anti-aging and skin nourishment is their antioxidant properties. Hydrogen peroxide (H2O2) is a well-known small molecule oxidant that induces apoptosis in human skin fibroblast (HSF) cells through the [...] Read more.
One of the supporting factors behind the biomolecules recently used in anti-aging and skin nourishment is their antioxidant properties. Hydrogen peroxide (H2O2) is a well-known small molecule oxidant that induces apoptosis in human skin fibroblast (HSF) cells through the synthesis of inflammatory cytokines. Hence, this study aimed to investigate the antioxidant activities of protein hydrolysates prepared from Iris squid (Symplectoteuthis oualaniensis) (PHCSO) in vitro. Firstly, two peptides with MWs more than 10 kDa (PHCSO-1) and less than 10 kDa (PHCSO-2) were obtained through ultrafiltration and were characterized (molecular pattern amino acid composition, FTIR) before testing the antioxidant activity (DPPH radical scavenging activity and hydroxyl radical scavenging activity). Then, the effects of PHCSOs on HSF cell viability, H2O2-induced oxidative stress model of HSF cells, ROS fluorescence staining, level of cytokines (IL-1, IL-6 and TNF-α) and cellular antioxidant properties (SOD activity, CAT activity, GSH and MDA content) were investigated. The cell morphology was examined through fluorescence staining and inflammatory factors and antioxidant activity analysis showed that superior properties were observed in PHCSO-2 peptide compared to PHCSO-1 and PHCSO. Among the peptides, PHCSO-2 (5 mg/mL) had higher DPPH and hydroxyl radical scavenging activities of 58% and 57%, respectively. On the other hand, the PHCSO-2 treatment reduced the TNF-α activity by 25%, which indicated the effective protection of PHCSO-2 from oxidative stress damage in the skin. These findings proved that peptides with less than 10 kDa were more suitable for therapeutic purposes, with good antioxidant properties. Accordingly, the protein hydrolysate from S. oualaniensis proved to be an excellent marine-based antioxidant peptide, which could be applied in cosmetic, pharmaceutical and food industries. Full article
Show Figures

Figure 1

16 pages, 1495 KB  
Article
Optimisation of Low-Toxicity Solvent Employment for Total Lipid and Tocopherol Compound Extraction from Patagonian Squid By-Products
by Alicia Rodríguez, Marcos Trigo, Santiago P. Aubourg and Isabel Medina
Foods 2023, 12(3), 504; https://doi.org/10.3390/foods12030504 - 21 Jan 2023
Cited by 10 | Viewed by 2529
Abstract
The extraction of total lipids and tocopherol compounds from Patagonian squid (Doriteuthis gahi) by-products (viscera, heads, skin, etc.), resulting from squid mantel commercialisation, was studied. An optimisation simplex-lattice design by employing low-toxicity solvents (ethanol, acetone, and ethyl acetate) was carried out [...] Read more.
The extraction of total lipids and tocopherol compounds from Patagonian squid (Doriteuthis gahi) by-products (viscera, heads, skin, etc.), resulting from squid mantel commercialisation, was studied. An optimisation simplex-lattice design by employing low-toxicity solvents (ethanol, acetone, and ethyl acetate) was carried out taking into account their relative concentrations. The variance analysis of data showed that the quadratic model was statistically significant (p < 0.05); empirical coded equations were obtained as a function of the low-toxicity solvent ratios. The optimised lipid extraction was obtained by employing the 0.642/0.318/0.040 (ethanol/acetone/ethyl acetate) solvent ratio, respectively, leading to an 84% recovery of the total lipids extracted by the traditional procedure. In all extracting systems tested, the presence of α-, γ-, and δ-tocopherol compounds was detected, α-tocopherol being the most abundant. For α-, γ-, and δ-tocopherol compounds, the optimisation process showed that acetone extraction led to the highest concentrations in the lipid extract obtained (2736.5, 36.8, and 2.8 mg·kg−1 lipids, respectively). Taking into account the recovery yield on a by-product basis, the values obtained for the three tocopherols were included in the 88.0–97.7%, 80.0–95.0%, and 25–75% ranges, respectively, when compared to the traditional extraction. This study provides a novel and valuable possibility for α-tocopherol extraction from marine by-products. Full article
Show Figures

Figure 1

14 pages, 1443 KB  
Article
Comparative Study of Bioactive Lipid Extraction from Squid (Doryteuthis gahi) by-Products by Green Solvents
by Santiago P. Aubourg, Marcos Trigo, María Jesús González, Salomé Lois and Isabel Medina
Foods 2022, 11(15), 2188; https://doi.org/10.3390/foods11152188 - 23 Jul 2022
Cited by 9 | Viewed by 2993
Abstract
A novel approach of bioactive lipid extraction by different green solvents was carried out on squid (Doryteuthis gahi) by-products. By-products (viscera, heads, skin, tails, etc.), considered as a single product, were subjected to the following solvent systems: ethanol, acetone, ethyl acetate, [...] Read more.
A novel approach of bioactive lipid extraction by different green solvents was carried out on squid (Doryteuthis gahi) by-products. By-products (viscera, heads, skin, tails, etc.), considered as a single product, were subjected to the following solvent systems: ethanol, acetone, ethyl acetate, 1/1 ethanol/acetone, 1/1 ethanol/ethyl acetate, and 1/1 acetone/ethyl acetate. Analyses carried out included lipid yield, lipid class content, and fatty acid (FA) composition. Results were compared to the lipid extract obtained by the traditional procedure (1/1 chloroform/methanol). Lipid yields obtained by green solvents led to a 33.4–73.2% recovery compared to traditional extraction; the highest values (p < 0.05) were obtained by ethanol-containing systems. Compared to the traditional procedure, ethanol systems showed an 85.8–90.3% recovery of phospholipid compounds and no differences (p > 0.05) in the ω3/ω6 ratio. Green-extracting systems led to higher average values for eicosapentaenoic acid content (15.66–18.56 g·100 g−1 total FAs) and polyene index (1.93–3.29) than chloroform/methanol extraction; differences were significant (p < 0.05) for systems including acetone and ethyl acetate. No differences (p > 0.05) were detected for docosahexaenoic acid content between the traditional procedure and green systems, with all values being included in the 31.12–32.61 g·100 g−1 total FA range. The suitability of EtOH-containing green systems for extraction of bioactive lipid compounds from squid by-products was concluded. Full article
Show Figures

Figure 1

16 pages, 2031 KB  
Article
Development of Chitosan/Squid Skin Gelatin Hydrolysate Films: Structural, Physical, Antioxidant, and Antifungal Properties
by Dulce Alondra Cuevas-Acuña, Maribel Plascencia-Jatomea, Hisila del Carmen Santacruz-Ortega, Wilfrido Torres-Arreola and Josafat Marina Ezquerra-Brauer
Coatings 2021, 11(9), 1088; https://doi.org/10.3390/coatings11091088 - 8 Sep 2021
Cited by 15 | Viewed by 2924
Abstract
Chitosan (85% deacetylated, viscosity > 400 MPa, and molecular weight of 570.3 kDa)/squid gelatin hydrolysates (SGH) were prepared by incorporating SGHs (10%, 20%, and 40%) into chitosan films. SGH were obtained from squid skin gelatin by hydrolysis with Alcalase. The effects of adding [...] Read more.
Chitosan (85% deacetylated, viscosity > 400 MPa, and molecular weight of 570.3 kDa)/squid gelatin hydrolysates (SGH) were prepared by incorporating SGHs (10%, 20%, and 40%) into chitosan films. SGH were obtained from squid skin gelatin by hydrolysis with Alcalase. The effects of adding SGH on the physical, chemical structure, mechanical, degradability, antioxidant, and antifungal properties of the chitosan films were evaluated. Films containing SGH were opaquer and more colored than the reference. Scanning electron microscope imaging showed that the surface sections of the CH/SGH films were smooth and homogeneous, though a small amount of insoluble microparticles was observed. Atomic force microscopy indicated that the surface roughness of the chitosan films increased with the addition of SGH. Fourier-transform infrared spectroscopy and nuclear magnetic resonance spectroscopy suggested an excellent compatibility of the components due to hydrogen bonding. The flexibility and in vitro degradability of the films increased as the SGH content increased. The 2,2′-azino-bis(3-ethylbenzothiazoline-6-sulfonate acid and 1,1-diphenyl-2-picrylhydrazyl scavenging rate of films increased with the addition of SGH. Moreover, films containing 20% SGH improved the fungistatic activity against Aspergillus parasiticus of chitosan films. The chitosan/SGH composite films have the potential for use in food packaging. Full article
(This article belongs to the Section Bioactive Coatings and Biointerfaces)
Show Figures

Figure 1

22 pages, 793 KB  
Review
Bioactive Compounds of Nutraceutical Value from Fishery and Aquaculture Discards
by Mirko Mutalipassi, Roberta Esposito, Nadia Ruocco, Thomas Viel, Maria Costantini and Valerio Zupo
Foods 2021, 10(7), 1495; https://doi.org/10.3390/foods10071495 - 28 Jun 2021
Cited by 65 | Viewed by 8786
Abstract
Seafood by-products, produced by a range of different organisms, such as fishes, shellfishes, squids, and bivalves, are usually discarded as wastes, despite their possible use for innovative formulations of functional foods. Considering that “wastes” of industrial processing represent up to 75% of the [...] Read more.
Seafood by-products, produced by a range of different organisms, such as fishes, shellfishes, squids, and bivalves, are usually discarded as wastes, despite their possible use for innovative formulations of functional foods. Considering that “wastes” of industrial processing represent up to 75% of the whole organisms, the loss of profit may be coupled with the loss of ecological sustainability, due to the scarce recycling of natural resources. Fish head, viscera, skin, bones, scales, as well as exoskeletons, pens, ink, and clam shells can be considered as useful wastes, in various weight percentages, according to the considered species and taxa. Besides several protein sources, still underexploited, the most interesting applications of fisheries and aquaculture by-products are foreseen in the biotechnological field. In fact, by-products obtained from marine sources may supply bioactive molecules, such as collagen, peptides, polyunsaturated fatty acids, antioxidant compounds, and chitin, as well as catalysts in biodiesel synthesis. In addition, those sources can be processed via chemical procedures, enzymatic and fermentation technologies, and chemical modifications, to obtain compounds with antioxidant, anti-microbial, anti-cancer, anti-hypertensive, anti-diabetic, and anti-coagulant effects. Here, we review the main discards from fishery and aquaculture practices and analyse several bioactive compounds isolated from seafood by-products. In particular, we focus on the possible valorisation of seafood and their by-products, which represent a source of biomolecules, useful for the sustainable production of high-value nutraceutical compounds in our circular economy era. Full article
Show Figures

Figure 1

27 pages, 1911 KB  
Article
Characterization of the Jumbo Squid (Dosidicus gigas) Skin By-Product by Shotgun Proteomics and Protein-Based Bioinformatics
by Mónica Carrera, Josafat Marina Ezquerra-Brauer and Santiago P. Aubourg
Mar. Drugs 2020, 18(1), 31; https://doi.org/10.3390/md18010031 - 29 Dec 2019
Cited by 27 | Viewed by 5642
Abstract
Jumbo squid (Dosidicus gigas) is one of the largest cephalopods, and represents an important economic fishery in several regions of the Pacific Ocean, from southern California in the United States to southern Chile. Large and considerable discards of this species, such [...] Read more.
Jumbo squid (Dosidicus gigas) is one of the largest cephalopods, and represents an important economic fishery in several regions of the Pacific Ocean, from southern California in the United States to southern Chile. Large and considerable discards of this species, such as skin, have been reported to constitute an important source of potential by-products. In this paper, a shotgun proteomics approach was applied for the first time to the characterization of the jumbo squid (Dosidicus gigas) skin proteome. A total of 1004 different peptides belonging to 219 different proteins were identified. The final proteome compilation was investigated by integrated in-silico studies, including gene ontology (GO) term enrichment, pathways, and networks studies. Potential new valuable bioactive peptides such as antimicrobial, bioactive collagen peptides, antihypertensive and antitumoral peptides were predicted to be present in the jumbo squid skin proteome. The integration of the global proteomics results and the bioinformatics analysis of the jumbo squid skin proteome show a comprehensive knowledge of this fishery discard and provide potential bioactive peptides of this marine by-product. Full article
Show Figures

Graphical abstract

14 pages, 1083 KB  
Article
Evaluation of Dosidicus gigas Skin Extract as An Antioxidant and Preservative in Tuna Pâté
by Jesús Enrique Chan-Higuera, Josafat Marina Ezquerra-Brauer, Leontina Lipan, Marina Cano-Lamadrid, Roberta Rizzitano and Angel Antonio Carbonell-Barrachina
Foods 2019, 8(12), 693; https://doi.org/10.3390/foods8120693 - 17 Dec 2019
Cited by 7 | Viewed by 4393
Abstract
A strategy for food preservation, based on a methanol–HCl squid skin extract (Dosidicus gigas) (JSSE), was evaluated at two concentrations in yellowfin tuna fish pâtés, which were stored at 4 and 8 °C for 20 day. The JSSE was characterized by [...] Read more.
A strategy for food preservation, based on a methanol–HCl squid skin extract (Dosidicus gigas) (JSSE), was evaluated at two concentrations in yellowfin tuna fish pâtés, which were stored at 4 and 8 °C for 20 day. The JSSE was characterized by determining its antioxidant and mutagenic activities. A yellowfin tuna pâté was elaborated, with and without the addition of the JSSE. An affective sensory analysis was performed to establish consumers’ preferences. During a 20-day storage period, the water activity (aw), pH, color difference (ΔE*ab), microbiological analysis, lipid oxidation and sensory quality attributes were evaluated, and the results were compared with the results of the butylated hydroxyanisole (BHA) and control treatments. The JSSE showed antioxidant activity against the 2,2-diphenyl-1-picrylhydrazyl (DPPH●+) and 2,2′-azino-bis (3-ethylbenzothiazoline-6-sulphonic acid) (ABTS) radicals and did not induce mutation, according to the Ames’ Salmonella test, nor chromosomal abnormalities, according to the onion root-tip cell assay. The consumer analysis demonstrated a higher preference for the pâté with the added JSSE in seven out of the eight evaluated attributes. During storage, the JSSE neither had an impact on aw nor pH, maintained lower ΔE*ab values, inhibited the microbial activity and lipid oxidation (unlike the control pâté), and preserved the sensory quality attributes, unlike the BHA and control treatments. This study showed that the JSSE has biologically active pigments that can act as antioxidants and antimicrobials in yellowfin tuna fish pâtés. Full article
(This article belongs to the Section Food Quality and Safety)
Show Figures

Figure 1

Back to TopTop