Sign in to use this feature.

Years

Between: -

Subjects

remove_circle_outline
remove_circle_outline
remove_circle_outline
remove_circle_outline
remove_circle_outline
remove_circle_outline
remove_circle_outline
remove_circle_outline
remove_circle_outline

Journals

Article Types

Countries / Regions

remove_circle_outline
remove_circle_outline
remove_circle_outline
remove_circle_outline

Search Results (271)

Search Parameters:
Keywords = slaughtering method

Order results
Result details
Results per page
Select all
Export citation of selected articles as:
9 pages, 1597 KB  
Brief Report
Unveiling Intestinal Emphysema in Pigs: Morphological Insights and Pathogenetic Implications
by Alfonso Rosamilia, Simona Baghini, Chiara Guarnieri, Anastasia Romano, Umberto Tosi, Giuseppe Marruchella and Attilio Corradi
Vet. Sci. 2026, 13(1), 101; https://doi.org/10.3390/vetsci13010101 - 20 Jan 2026
Viewed by 131
Abstract
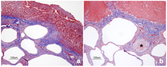
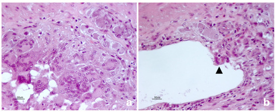
Intestinal emphysema is a rare pathological condition observed in humans and animals, characterized by the presence of multiple gas-filled cysts within the intestinal wall. In pigs, it is occasionally observed at slaughter, without affecting carcass suitability for human consumption or impairing farm profitability. [...] Read more.
Intestinal emphysema is a rare pathological condition observed in humans and animals, characterized by the presence of multiple gas-filled cysts within the intestinal wall. In pigs, it is occasionally observed at slaughter, without affecting carcass suitability for human consumption or impairing farm profitability. Despite investigations, the etiology and pathogenesis of intestinal emphysema remain poorly understood. Therefore, this study aimed to provide further morphological insights into porcine intestinal emphysema through histopathological, histochemical and immunohistochemical methods. A total of ten slaughtered heavy pigs were examined, showing gross lesions consistent with intestinal emphysema. Gaseous cysts were predominantly located in the submucosal and mesenteric layers, at least partially lined by lymphatic endothelial cells. The cysts were separated by fibrous connective septa and were almost invariably associated with granulomas, consisting of epithelioid macrophages and multinucleated giant cells. Overall, the immunohistochemical patterns of porcine intestinal emphysema overlap with those described in humans and support the hypothesis that lesions likely originate within the lymphatic vessels. Full article
(This article belongs to the Section Anatomy, Histology and Pathology)
Show Figures

Figure 1

25 pages, 2104 KB  
Review
Management and Genetic Approaches for Enhancing Meat Quality in Poultry Production Systems: A Comprehensive Review
by Muhammad Naeem, Arjmand Fatima, Rabin Raut, Rishav Kumar, Zahidul Tushar, Farazi Rahman and Dianna Bourassa
Poultry 2026, 5(1), 4; https://doi.org/10.3390/poultry5010004 - 1 Jan 2026
Viewed by 407
Abstract
This review explores strategies to enhance meat quality in poultry, focusing on both management and genetic methods. Poultry meat quality is influenced by many factors, including rearing conditions, nutrition, animal welfare, and post-slaughter processing. Key management factors such as stocking density, ventilation, temperature, [...] Read more.
This review explores strategies to enhance meat quality in poultry, focusing on both management and genetic methods. Poultry meat quality is influenced by many factors, including rearing conditions, nutrition, animal welfare, and post-slaughter processing. Key management factors such as stocking density, ventilation, temperature, and humidity are emphasized for their significant impact on bird welfare and the resulting meat texture, color, and microbial stability. Welfare-enhancing practices like gentle handling, environmental enrichment, and thermal comfort are highlighted for their direct effects on stress levels and meat properties such as water-holding capacity and pH. Innovations in slaughtering and chilling techniques, including electrical and gas stunning and rapid chilling, are shown to preserve meat quality and prevent common defects like pale, soft, and exudative (PSE) or dark, firm, and dry (DFD) meat. The review also underscores the importance of hygiene protocols, hazard analysis and critical control points (HACCP) systems, and traceability technologies to ensure food safety and foster consumer trust. On the genetic front, it discusses conventional selection, marker-assisted selection (MAS), and genomic selection (GS) as tools for breeding birds with better meat quality traits, including tenderness, intramuscular fat, and resistance to conditions like woody breast. Functional genomics and gene editing are identified as the leading edge of future advances. Ultimately, the review advocates for an integrated approach that balances productivity, quality, animal welfare, and sustainability. As consumer expectations increase, the poultry industry must adopt precise, science-based strategies across the entire production process to reliably deliver high-quality meat products. Full article
Show Figures

Figure 1

18 pages, 605 KB  
Article
Digestion in and Performance of Intensively Reared Beef Cattle Fed Diets with a Majority of Maize or Barley, Either Ground or Dry-Rolled
by Abdelmuhsen Al Alami, Antonio Gimeno, Sofía Schauf, Carlos Castrillo and Antonio de Vega
Ruminants 2026, 6(1), 1; https://doi.org/10.3390/ruminants6010001 - 22 Dec 2025
Viewed by 317
Abstract
Barley is more extensively and more rapidly fermentable than maize, thus it is supposed to increase digestive disorders in ruminants. However, the effect of cereal type on animal performance and digestion may vary with processing degree. In the present experiment, the effect of [...] Read more.
Barley is more extensively and more rapidly fermentable than maize, thus it is supposed to increase digestive disorders in ruminants. However, the effect of cereal type on animal performance and digestion may vary with processing degree. In the present experiment, the effect of dry-rolling or grinding barley and maize, as the main cereals in a concentrate containing a high proportion of starch with different rates of fermentation, on intensively reared beef cattle performance, diet digestibility, and feed intake amount and pattern, was studied. Thirty-six 3-month-old male calves were allocated to one of four diets consisting of barley straw (BS) and a concentrate with 60% cereals (barley and maize in proportions 75:25 or 25:75) presented dry-rolled or ground through a 3.5 mm sieve. The experimental period was divided into two phases of 10 weeks each: from start to 277 ± 3.6 kg live weight (LW; Growing), and from 289 ± 3.8 kg LW to slaughter (399 ± 4.6 kg; Finishing). For the Growing phase, there were no differences (p > 0.10) between the majority cereal in the concentrates, nor between their processing methods, in the daily intake of concentrate and BS, and in the animals’ final LW. With respect to Finishing, the interaction between cereal type and processing was significant (p < 0.05) for concentrate daily intake. As a result, animals consuming ground barley ate less concentrate than those fed rolled barley, whereas there were no differences between processing methods for animals fed maize-based diets. Animals consuming ground-barley concentrates consumed significantly more straw than those fed on dry-rolled-barley concentrates (p < 0.05 for Growing and p < 0.01 for Finishing) during the first four hours after feeding. No such differences appeared in animals consuming maize-based concentrates. Starch digestibility was higher in animals fed ground cereals vs. dry-rolled cereals during the Growing phase (p = 0.048), whereas NDF digestibility was also higher (p = 0.008) in animals fed ground cereals during the Finishing phase. The faeces from animals fed on rolled-maize concentrates showed a higher concentration of purine bases than the faeces of animals fed on rolled-barley concentrates (p = 0.016), although there were no differences for the ground cereals. Overall, the results reported indicated that replacing maize with barley in diets for feedlot beef cattle did not affect average daily gain, intake of straw or concentrate, or feed conversion ratios (total or considering just the concentrate); hence the inclusion of either cereal in greater proportions should be based on their market price and on the final cost of the compound feed (which may include different ingredients). The processing method of the cereals (grinding or dry-rolling) also had no influence on the above-mentioned variables, so the selection of the method should be based on their relative cost, exclusively in terms of feed efficiency. Full article
Show Figures

Figure 1

22 pages, 2271 KB  
Article
Proteome Profiling of Rabies-Infected and Uninfected Dog Brain Tissues, Cerebrospinal Fluids and Serum Samples
by Ukamaka U. Eze, Rethabile Mokoena, Kenneth I. Ogbu, Sinegugu Dubazana, Ernest C. Ngoepe, Mparamoto Munangatire, Romanus C. Ezeokonkwo, Boniface M. Anene, Sindisiwe G. Buthelezi and Claude T. Sabeta
Proteomes 2025, 13(4), 66; https://doi.org/10.3390/proteomes13040066 - 15 Dec 2025
Viewed by 547
Abstract
Background: Rabies is among the oldest known zoonotic viral diseases and is caused by members of the Lyssavirus genus. The prototype species, Lyssavirus rabies, effectively evades the host immune response, allowing the infection to progress unnoticed until the onset of clinical signs. [...] Read more.
Background: Rabies is among the oldest known zoonotic viral diseases and is caused by members of the Lyssavirus genus. The prototype species, Lyssavirus rabies, effectively evades the host immune response, allowing the infection to progress unnoticed until the onset of clinical signs. At this stage, the disease is irreversible and invariably fatal, with definitive diagnosis possible only post-mortem. Given the advances in modern proteomics, this study aimed to identify potential protein biomarkers for antemortem diagnosis of rabies in dogs, which are the principal reservoir hosts of the rabies virus. Methods: Two hundred and thirty-one samples (brain tissues (BT), cerebrospinal fluids (CSF), and serum (SR) samples) were collected from apparently healthy dogs brought for slaughter for human consumption in South-East and North-Central Nigeria. All the BT were subjected to a direct fluorescent antibody test to confirm the presence of lyssavirus antigen, and 8.7% (n = 20) were positive. Protein extraction, quantification, reduction, and alkylation were followed by on-bead (HILIC) cleanup and tryptic digestion. The resulting peptides from each sample were injected into the Evosep One LC system, coupled to the timsTOF HT MS, using the standard dia-PASEF short gradient data acquisition method. Data was processed using SpectronautTM (v19). An unpaired t-test was performed to compare identified protein groups (proteins and their isoforms) between the rabies-infected and uninfected BT, CSF, and SR samples. Results: The study yielded 54 significantly differentially abundant proteins for the BT group, 299 for the CSF group, and 280 for the SR group. Forty-five overlapping differentially abundant proteins were identified between CSF and SR, one between BT and CSF, and two between BT and SR; none were found that overlapped all three groups. Within the BT group, 33 proteins showed increased abundance, while 21 showed decreased abundance in the rabies-positive samples. In the CSF group, 159 proteins had increased abundance and 140 had decreased abundance in the rabies-positive samples. For the SR group, 215 proteins showed increased abundance, and 65 showed decreased abundance in the rabies-positive samples. Functional enrichment analysis revealed that pathways associated with CSF, spinocerebellar ataxia, and neurodegeneration were among the significant findings. Conclusion: This study identified canonical proteins in CSF and SR that serve as candidate biomarkers for rabies infection, offering insights into neuronal dysfunction and potential tools for early diagnosis. Full article
(This article belongs to the Section Animal Proteomics)
Show Figures

Graphical abstract

17 pages, 5945 KB  
Article
Characterization of Mutton Volatile Compounds in Youzhou Dark Goats and Local White Goats Using Flavoromics, Metabolomics, and Transcriptomics
by Jie Li, Shipeng Lv, Cancan Chen, Jing Jiang, Xiaoyan Sun, Gaofu Wang and Hangxing Ren
Foods 2025, 14(23), 4114; https://doi.org/10.3390/foods14234114 - 1 Dec 2025
Viewed by 448
Abstract
Native goat breeds in China are highly valued for their distinctive flavor. This study integrated flavoromics, metabolomics, and transcriptomics to analyze the flavor compounds in the meat of Youzhou Dark (WY) and Local White (BY) goats. Ten 12-month-old castrated male WY and BY [...] Read more.
Native goat breeds in China are highly valued for their distinctive flavor. This study integrated flavoromics, metabolomics, and transcriptomics to analyze the flavor compounds in the meat of Youzhou Dark (WY) and Local White (BY) goats. Ten 12-month-old castrated male WY and BY goats, five each, were selected for slaughter after undergoing the same feeding and management conditions. Longissimus dorsi muscle were collected from each group and subjected to flavoromics, metabolomics, and transcriptomics analyses. Flavoromics identified 228 volatile compounds, of which alcohols, ketones, and esters were the most prominent. Using multivariate statistical analysis and variable importance on projection (VIP) methods, 85 differential flavor compounds between WY and BY goats were identified. The key characteristic compounds, heptanal,1-octen-3-one,2,3-butanedione, 2-methyl-butanal, and 2-pentyl-furan, effectively distinguished between the volatile profiles of the two goat breeds. Untargeted metabolomics identified a total of 47 differential metabolites with significant differences between WY and BY goats. Differences in flavor compounds between the two goat breeds were linked to the expression of genes in metabolic pathways. The genes involved in tyrosine and phenylalanine metabolism were different in the two groups of goat meat. This variation may contribute to the differences in the sensory flavor profiles of WY and BY goats. Overall, these findings provide insight into the molecular mechanisms of flavor formation in native Chinese goats and offer a foundation for improving meat quality. Full article
(This article belongs to the Special Issue Application of Bioinformatics in Food Science)
Show Figures

Figure 1

23 pages, 1769 KB  
Review
Purse Seine Capture of Small Pelagic Species: A Critical Review of Welfare Hazards and Mitigation Strategies Through the fair-fish Database
by Caroline Marques Maia, Vighnesh Samel and Jenny Volstorf
Fishes 2025, 10(12), 614; https://doi.org/10.3390/fishes10120614 - 29 Nov 2025
Viewed by 770
Abstract
This review examines the animal welfare implications associated with the purse seine fishing method as applied to the following small pelagic species: Atlantic herring (Clupea harengus), Peruvian anchoveta (Engraulis ringens), Atlantic chub mackerel (Scomber colias), and Atlantic [...] Read more.
This review examines the animal welfare implications associated with the purse seine fishing method as applied to the following small pelagic species: Atlantic herring (Clupea harengus), Peruvian anchoveta (Engraulis ringens), Atlantic chub mackerel (Scomber colias), and Atlantic mackerel (Scomber scombrus). The analysis is based on synthesized data from the purse seine Method Profile, recently introduced in the catch branch of the fair-fish database—an open-access platform dedicated to compiling, evaluating, and systematically categorizing technical and/or scientific literature on aquatic animal behaviour and welfare. The Method Profile is a novel tool that outlines the commercial relevance of the respective fishing method, its target species, and general operational setup. It provides a structured overview of welfare hazards encountered across the main phases of the fishing process, including prospection, setting, capture, hauling, emersion, gear release, sorting, storage, and stunning and slaughter. In addition, this profile also addresses bycatch and discarding issues as well as environmental hazards associated with the fishing method. Identified welfare concerns in purse seining for the four small pelagic species include high stress levels resulting from intense crowding—primarily leading to hypoxia, mechanical injuries, and mortality—as well as issues related to scooping or pumping fish on board, (live) storage, and the lack of effective stunning and slaughter protocols. Furthermore, the bycatch rate of (undersized) target and diverse non-target species, as well as ghost fishing from abandoned, lost, or discarded gear, pose significant risks requiring effective mitigation. In this review, we critically evaluate factors influencing the welfare outcomes of the four pelagic species caught by purse seine and discuss potential mitigation strategies, such as operational improvements, gear modifications, and management measures. Full article
(This article belongs to the Special Issue Fisheries Monitoring and Management)
Show Figures

Figure 1

17 pages, 922 KB  
Article
Efficacy and Safety Evaluation of a Ready-to-Use Bivalent Porcine Circovirus Type 2 and Mycoplasma hyopneumoniae Vaccine in China
by Huimeng Yan, Yupeng Mo, Wanfa Luo, Xiong Xie, Zeyu Li, Shuming Tang, Xiaoxin Liu, Qi Cao, Hongyao Lin, Di Gao, Ruben Del Pozo Sacristan and Xiaoye Wang
Vaccines 2025, 13(12), 1203; https://doi.org/10.3390/vaccines13121203 - 28 Nov 2025
Cited by 1 | Viewed by 734
Abstract
Background/Objectives: Porcine Circovirus Type 2 (PCV2) and Mycoplasma hyopneumoniae are primary pathogens causing respiratory disease in pigs. Recently, a Ready-to-Use bivalent PCV2 and M. hyopneumoniae vaccine has been registered in China. The aim of this randomized, side-by-side trial was to evaluate the efficacy [...] Read more.
Background/Objectives: Porcine Circovirus Type 2 (PCV2) and Mycoplasma hyopneumoniae are primary pathogens causing respiratory disease in pigs. Recently, a Ready-to-Use bivalent PCV2 and M. hyopneumoniae vaccine has been registered in China. The aim of this randomized, side-by-side trial was to evaluate the efficacy and safety of this vaccine under field conditions in a Chinese commercial pig farm. Methods: In total, 938 piglets were allocated to three groups—A (tested vaccine), B, C—and vaccinated according to different schemes. Efficacy was assessed by Average Daily Gain (ADG), pneumonia lesions at slaughter and PCV2 viremia. Systemic reactions were recorded after vaccination to evaluate safety. Results: ADG was higher in group A compared with other vaccination schemes. The prevalence of pneumonia lesions was significantly lower in group A. PCV2 viremia was overall low in all groups, with no reported differences. No severe or moderate systemic reactions were observed after vaccination. Only four pigs showed mild reactions (A: 2/320, B: 2/309; C: 0/309). Conclusions: Under these conditions, the tested vaccine was proved to be efficacious in increasing ADG and reducing pneumonia at slaughter by protecting against both PCV2 and M. hyopneumoniae field infections. It can also be concluded that the Ready-To-Use bivalent vaccine was safe. Full article
Show Figures

Figure 1

18 pages, 3293 KB  
Review
Relationship Between Animal Welfare Metrics, Production, Slaughter, and Economic Gain in Poultry Farming
by Deivid Kelly Barbosa, Vivian A. R. C. Heiss, Maria F. C. Burbarelli, Leonardo O. Seno, Rodrigo G. Garcia, Rita T. R. Pietramale and Fabiana R. Caldara
Poultry 2025, 4(4), 48; https://doi.org/10.3390/poultry4040048 - 2 Oct 2025
Viewed by 1085
Abstract
Animal welfare (AW) is increasingly being discussed and mandated in chicken production, both by current Brazilian legislation and by importing markets. Industries continually seek greater financial returns, and within this context, it has been observed that the proper implementation of animal welfare principles [...] Read more.
Animal welfare (AW) is increasingly being discussed and mandated in chicken production, both by current Brazilian legislation and by importing markets. Industries continually seek greater financial returns, and within this context, it has been observed that the proper implementation of animal welfare principles effectively reduces losses by minimizing carcass condemnations due to injuries, thereby significantly contributing to in-creased profitability. The economic impact of non-compliance with these welfare standards in broiler production is well documented in the scientific literature. However, the same level of concern is not observed regarding the financial impact on integrated producers, who supply the raw materials. The present study aims to systematically map, contextualize, quantify, and qualitatively analyze articles evaluating the implementation of animal welfare in industrial broiler production and its impact on the financial returns of producers and integrated companies. The primary descriptor used was “animal welfare.” To quantify the relevant articles, the Proknow-C method was applied, followed by a similarity analysis using VoSViewer® software version 1.6.19 for systematic content evaluation. Descriptor combinations were led by animal welfare, followed by broiler pro-duction, poultry production, slaughter, economy, and rural producers. Although a significant number of articles address AW, those focused exclusively on chicken production are far fewer, declining even more when carcass condemnations are considered. Only six studies included the descriptor “economic,” and just three included “producer.” The con-tent of these nine studies was systematically reviewed, with two excluded and seven selected for discussion. Among the seven analyzed studies, none specifically examined the economic impact of AW implementation for the producer, clearly highlighting a significant research gap. Full article
Show Figures

Figure 1

18 pages, 522 KB  
Article
Carcass Traits and Meat Quality of Surgically Castrated and Immunocastrated Pigs at Two Slaughter Weights
by Dmytro V. Zhdanov, Oleksandr H. Mykhalko, Mykola H. Povod and Galia Zamaratskaia
Animals 2025, 15(19), 2846; https://doi.org/10.3390/ani15192846 - 29 Sep 2025
Cited by 1 | Viewed by 1623
Abstract
Surgical castration of male piglets is a common practice to prevent boar taint and reduce aggressive behaviour. However, it raises welfare concerns and alters carcass fat deposition. Immunocastration, a vaccine-based alternative targeting gonadotropin-releasing hormone (GnRH), mitigates these welfare issues. This study evaluated carcass [...] Read more.
Surgical castration of male piglets is a common practice to prevent boar taint and reduce aggressive behaviour. However, it raises welfare concerns and alters carcass fat deposition. Immunocastration, a vaccine-based alternative targeting gonadotropin-releasing hormone (GnRH), mitigates these welfare issues. This study evaluated carcass traits and meat quality in surgically and immunocastrated pigs slaughtered at two weight classes (approximately 116 kg and 136 kg). We compared growth performance, carcass composition, fat quality, and key meat quality indicators among surgically castrated males, immunocastrated males, and immunocastrated females. Inclusion of uncastrated and immunocastrated females provides novel comparative data for mixed-sex production systems, where such information is scarce. This broader evaluation helps fill current gaps in knowledge about immunocastration effects in female pigs. Surgically castrated males showed higher backfat thickness and fat content, particularly at the heavier weight, while immunocastrated pigs exhibited intermediate traits. Ultimate pH, colour, marbling, water-holding capacity, and moisture loss varied with castration method, sex, and slaughter weight, though many differences were subtle. The findings confirm that immunocastration offers a favourable balance between animal welfare and production traits, producing pork quality comparable to surgical castration. These results provide valuable insights for optimizing pork production systems, balancing welfare, efficiency, and meat quality. Full article
(This article belongs to the Special Issue Pig Castration: Strategies, Animal Welfare and Pork Quality)
Show Figures

Figure 1

29 pages, 1865 KB  
Article
Economic Feasibility of Implementing Stunning for Farmed Fish in the EU: A Multi-Species Assessment
by Griffin Carpenter, Myriam Vanderzwalmen and Helen Lambert
Animals 2025, 15(19), 2812; https://doi.org/10.3390/ani15192812 - 26 Sep 2025
Viewed by 1247
Abstract
Stunning of farmed fish prior to slaughter is increasingly recognized as a key animal welfare priority, yet uptake remains limited in the EU aquaculture sector. While the effects of different stunning methods on fish welfare are the subject of significant recent research, the [...] Read more.
Stunning of farmed fish prior to slaughter is increasingly recognized as a key animal welfare priority, yet uptake remains limited in the EU aquaculture sector. While the effects of different stunning methods on fish welfare are the subject of significant recent research, the effect on aquaculture businesses remains unclear. Therefore, this study assesses the economic feasibility of implementing electrical stunning for four species where it is not currently routine: carp, trout, seabass, and seabream. Using a granular cost model across 17 country–species–system combinations, and cost data from 2018 to 2020, the impact of introducing in-water and dry electrical stunning systems under various cost pass-through and sensitivity scenarios is evaluated. Results show that while stunning increases the production costs, under realistic assumptions, 16 out of 17 segments remain profitable, with the one unprofitable segment already being unprofitable under business-as-usual conditions. Three trout systems even experience cost savings due to reduced labor requirements. Sensitivity analyses confirm the robustness of these findings across plausible increases in operating costs and financing assumptions. Even under a 0% cost pass-through, 16 segments still remain profitable. These results provide timely, policy-relevant evidence to support species-specific welfare legislation, while identifying segments that may require targeted support for compliance. Full article
(This article belongs to the Section Animal Welfare)
Show Figures

Figure 1

11 pages, 4183 KB  
Proceeding Paper
Design and Analysis of Cattle Slaughtering Aid Frame with Three Load Variations Using Finite Element Method (FEA)
by Asep Kurniawan, Dikha Resnandan Ruslan, Renaldi Kusnadi and Dani Mardiyana
Eng. Proc. 2025, 107(1), 107; https://doi.org/10.3390/engproc2025107107 - 25 Sep 2025
Viewed by 450
Abstract
The design and structural analysis of a cattle slaughtering frame is essential to ensure the safety, efficiency, and durability of the facility. This research was conducted in farms and slaughterhouses to analyze the performance of cattle slaughtering frames under three load variations using [...] Read more.
The design and structural analysis of a cattle slaughtering frame is essential to ensure the safety, efficiency, and durability of the facility. This research was conducted in farms and slaughterhouses to analyze the performance of cattle slaughtering frames under three load variations using the finite element method (FEA). The frame model was created using Autodesk Inventor and simulated in Ansys, considering material properties, dimensions, and frame configuration. The simulated loads represented cow weights ranging from 500 kg/4905 N to 1500 kg/14,715 N. The analysis results showed the distribution of stress and deformation across the frame structure. The highest stress occurred under the 1500 kg/14,715 N load but remained within safe limits. The frame, designed using 1040 carbon steel, demonstrated the ability to withstand a maximum load of 1500 kg/14,715 N with an acceptable safety factor. Although stress and deflection increased with higher loads, the structure stayed within allowable tolerances. These findings confirm that FEA is an effective tool for optimizing structural performance before fabrication. The study provides recommendations for safer and more efficient designs, particularly in selecting materials and reinforcing critical areas. This research is expected to serve as a reference for improving the quality of cattle slaughtering facilities in farms and abattoirs. Full article
Show Figures

Figure 1

17 pages, 560 KB  
Article
Genotypic and Phenotypic Characterization of Antimicrobial Resistance and Virulence in Campylobacter spp. Isolated from Turkeys: Uncovering a Neglected Reservoir in the One Health Context
by Sebastian Alexandru Popa, Viorel Herman, Khalid Ibrahim Sallam, Emil Tîrziu, Claudiu Andor, Adriana Morar, Mirela Imre, Alexandra Ban-Cucerzan, Răzvan-Tudor Pătrînjan, Alexandra Pocinoc and Kálmán Imre
Antibiotics 2025, 14(9), 935; https://doi.org/10.3390/antibiotics14090935 - 16 Sep 2025
Viewed by 869
Abstract
Background: Campylobacter spp. are leading foodborne pathogens, with increasing antimicrobial resistance (AMR) posing a critical public health threat. While broiler chickens have been widely studied, turkeys represent an underexplored reservoir. The present study investigates Campylobacter spp. in turkeys, focusing on isolation frequency, [...] Read more.
Background: Campylobacter spp. are leading foodborne pathogens, with increasing antimicrobial resistance (AMR) posing a critical public health threat. While broiler chickens have been widely studied, turkeys represent an underexplored reservoir. The present study investigates Campylobacter spp. in turkeys, focusing on isolation frequency, resistance, and virulence within the context of One Health. Methods: A total of 182 cecal samples were collected from slaughtered turkeys in Romania. Isolation and identification of Campylobacter jejuni and C. coli followed ISO 10272-1:2017 guidelines. Antimicrobial susceptibility testing was conducted via broth microdilution, and molecular analyses using PCR targeted species identification, resistance determinants, and virulence-associated genes. Results: Campylobacter spp. were detected in 75.8% of samples, with C. jejuni and C. coli accounting for 54.3% and 45.7%, respectively. High resistance rates were observed to ciprofloxacin (89.9%) and tetracycline (85.5%), with moderate resistance to erythromycin and ertapenem. No resistance was found to gentamicin or chloramphenicol. Genotypic analyses confirmed the presence of resistance genes (e.g., tetO, gyrA—Thr-86-Ile mutation, ermB, cmeB) and widespread virulence genes (flaA, cadF, cdtAB, ciaB), supporting phenotypic results. Conclusions: The survey highlights turkeys as a significant but neglected source of resistant and virulent Campylobacter spp., with implications for food safety and public health. The convergence of AMR and virulence aspects calls for integrated surveillance and control strategies across veterinary and human health sectors, supporting the One Health strategy. Full article
Show Figures

Figure 1

22 pages, 780 KB  
Systematic Review
Non-Invasive Human-Free Diagnosis Methods for Assessing Pig Welfare at Abattoirs: A Systematic Review
by Maria Francisca Ferreira, Márcia Nunes and Madalena Vieira-Pinto
Animals 2025, 15(17), 2500; https://doi.org/10.3390/ani15172500 - 25 Aug 2025
Viewed by 1580
Abstract
The assessment of pig welfare and health at abattoirs is crucial for ensuring both animal well-being and food safety. Traditional assessment methods often rely on human observation, which is time-consuming, subjective, and difficult to scale in high-throughput facilities. This systematic review addresses a [...] Read more.
The assessment of pig welfare and health at abattoirs is crucial for ensuring both animal well-being and food safety. Traditional assessment methods often rely on human observation, which is time-consuming, subjective, and difficult to scale in high-throughput facilities. This systematic review addresses a crucial gap by identifying and evaluating non-invasive human-free diagnostic methods applicable in commercial settings. Following PRISMA guidelines, a total of 102 articles met the inclusion criteria. Thirteen distinct methods were identified and classified into three categories: biological sample analysis (5 methods; n = 80 articles), imaging and computer vision systems (4 methods; n = 19), and physiological and other sensors (4 methods; n = 24). Some articles assessed more than one method and are therefore counted in multiple categories. While no method achieved both high implementation and practicality, blood analysis for glucose and lactate, convolutional neural networks for lesion detection, and automated camera-based systems emerged as the most promising for practical integration into the slaughter flowline. Most techniques still face challenges related to automation, operator independence, and standardisation. Overall, this review highlights the growing potential of non-invasive methods in pig welfare evaluation and underscores the need for continued development and validation to facilitate their adoption into routine abattoir practices. Full article
Show Figures

Figure 1

20 pages, 3137 KB  
Article
Development and Implementation of an IoT-Enabled Smart Poultry Slaughtering System Using Dynamic Object Tracking and Recognition
by Hao-Ting Lin and Suhendra
Sensors 2025, 25(16), 5028; https://doi.org/10.3390/s25165028 - 13 Aug 2025
Cited by 1 | Viewed by 2324
Abstract
With growing global attention on animal welfare and food safety, humane and efficient slaughtering methods in the poultry industry are in increasing demand. Traditional manual inspection methods for stunning broilers need significant expertise. Additionally, most studies on electrical stunning focus on white broilers, [...] Read more.
With growing global attention on animal welfare and food safety, humane and efficient slaughtering methods in the poultry industry are in increasing demand. Traditional manual inspection methods for stunning broilers need significant expertise. Additionally, most studies on electrical stunning focus on white broilers, whose optimal stunning conditions are not suitable for red-feathered Taiwan chickens. This study aimed to implement a smart, safe, and humane slaughtering system designed to enhance animal welfare and integrate an IoT-enabled vision system into slaughter operations for red-feathered Taiwan chickens. The system enables real-time monitoring and smart management of the poultry stunning process using image technologies for dynamic object tracking recognition. Focusing on red-feathered Taiwan chickens, the system applies dynamic tracking objects with chicken morphology feature extraction based on the YOLO-v4 model to accurately identify stunned and unstunned chickens, ensuring compliance with animal welfare principles and improving the overall efficiency and hygiene of poultry processing. In this study, the dynamic tracking object recognition system comprises object morphology feature detection and motion prediction for red-feathered Taiwan chickens during the slaughtering process. Images are firsthand data from the slaughterhouse. To enhance model performance, image amplification techniques are integrated into the model training process. In parallel, the system architecture integrates IoT-enabled modules to support real-time monitoring, sensor-based classification, and cloud-compatible decisions based on collections of visual data. Prior to image amplification, the YOLO-v4 model achieved an average precision (AP) of 83% for identifying unstunned chickens and 96% for identifying stunned chickens. After image amplification, AP improved significantly to 89% and 99%, respectively. The model achieved and deployed a mean average precision (mAP) of 94% at an IoU threshold of 0.75 and processed images at 39 frames per second, demonstrating its suitability for IoT-enabled real-time dynamic tracking object recognition in a real slaughterhouse environment. Furthermore, the YOLO-v4 model for poultry slaughtering recognition in transient stability, as measured by training loss and validation loss, outperforms the YOLO-X model in this study. Overall, this smart slaughtering system represents a practical and scalable application of AI in the poultry industry. Full article
Show Figures

Figure 1

19 pages, 3707 KB  
Article
The Effect of a Polypeptide Based Vaccine on Fish Welfare and Infestation of Salmon Lice, Lepeophtheirus salmonis, in Sea Cages with Atlantic Salmon (Salmo salar L.)
by Ragnar Nortvedt, Erik Dahl-Paulsen, Laura Patricia Apablaza Bizama, Amritha Johny and Erik Slinde
Fishes 2025, 10(8), 405; https://doi.org/10.3390/fishes10080405 - 13 Aug 2025
Viewed by 1023
Abstract
A new polypeptide vaccine towards salmon lice (Lepeophtheirus salmonis) was given to experimental groups of 2 × 8000 Atlantic salmon parr (Salmo salar L.), following the vaccination of a total of 4 × 8000 parr with a common set of [...] Read more.
A new polypeptide vaccine towards salmon lice (Lepeophtheirus salmonis) was given to experimental groups of 2 × 8000 Atlantic salmon parr (Salmo salar L.), following the vaccination of a total of 4 × 8000 parr with a common set of vaccines used in Norwegian aquaculture to prevent infestation in salmon growing at sea. The remaining 2 × 8000 salmon served as control. The trial was conducted at a sea farm research facility at Knappen-Solheim in Masfjorden, Norway. Natural infestation with sea lice were staged and counted once a week from January–December 2023. The infestation was never above two mature female lice per salmon, the maximum limit set specifically for the present trial by the Norwegian Food Safety Authorities, thus delousing with chemicals or other methods was avoided. Mortality, growth, feed consumption, sexual maturation, slaughter quality, and welfare quality parameters were not significantly different between vaccinated and control salmon. The effect size showed a moderate positive difference of 0.07 mature female salmon lice per salmon in favor of the vaccinated groups from a fish size above 600 g in May until November. All fish were slaughtered and marketed at a size of 5.8 kg (>83% superior quality). Full article
(This article belongs to the Special Issue Healthy Aquaculture and Disease Control)
Show Figures

Figure 1

Back to TopTop