Sign in to use this feature.

Years

Between: -

Subjects

remove_circle_outline
remove_circle_outline
remove_circle_outline
remove_circle_outline
remove_circle_outline
remove_circle_outline
remove_circle_outline
remove_circle_outline
remove_circle_outline

Journals

remove_circle_outline
remove_circle_outline
remove_circle_outline
remove_circle_outline
remove_circle_outline

Article Types

Countries / Regions

remove_circle_outline
remove_circle_outline
remove_circle_outline
remove_circle_outline

Search Results (469)

Search Parameters:
Keywords = rotating instabilities

Order results
Result details
Results per page
Select all
Export citation of selected articles as:
12 pages, 2264 KB  
Case Report
Branch-Critical Clipping of a Ruptured Carotid–Posterior Communicating Aneurysm with Fetal PCA Configuration
by Catalina-Ioana Tataru, Cosmin Pantu, Alexandru Breazu, Felix-Mircea Brehar, Matei Serban, Razvan-Adrian Covache-Busuioc, Corneliu Toader, Octavian Munteanu, Mugurel Petrinel Radoi and Adrian Vasile Dumitru
Diagnostics 2026, 16(2), 307; https://doi.org/10.3390/diagnostics16020307 - 18 Jan 2026
Abstract
Background/Objectives: Aneurysmal subarachnoid hemorrhage (aSAH) involves a sudden onset of a perfusion-pressure injury from the initial insult combined with a secondary injury phase produced by delayed cerebral ischemia, cerebrospinal fluid circulation disturbances, and generalized instability of the patient’s physiological state. The situation may [...] Read more.
Background/Objectives: Aneurysmal subarachnoid hemorrhage (aSAH) involves a sudden onset of a perfusion-pressure injury from the initial insult combined with a secondary injury phase produced by delayed cerebral ischemia, cerebrospinal fluid circulation disturbances, and generalized instability of the patient’s physiological state. The situation may be further complicated when there has been rupture of the aneurysm at the site of the carotid–posterior communicating (PCom) artery junction that occurs in conjunction with a fetal configuration of the posterior cerebral artery (fPCA), thereby making definitive treatment dependent on preserving the critical nature of the branches of the posterior circulation since the aneurysm’s neck plane coincides with the dominant posterior circulation conduit. Case Presentation: A 65-year-old female patient who was obese (Grade III BMI = 42), had chronic bronchial asthma, and arterial hypertension experienced a “thunderclap” type of headache in the right retro-orbital area followed by a syncopal episode and developed acute confusion with agitation. Upon admission to the hospital, her Glasgow Coma Scale (GCS) was 13, her FOUR score was 15, her Montreal Cognitive Assessment (MoCA) score was 12/30, her Hunt–Hess grade was 3, WFNS grade 2, and Fisher grade 4 SAH with intraventricular extension. Digital subtraction angiography (DSA) and three-dimensional rotational angiography revealed a posteriorly directed right carotid communicating aneurysm that had a relatively compact neck (approximately 2.5 mm) and sac size of approximately 7.7 × 6.6 mm, with the fPCA originating at the neck plane. Microsurgical treatment was performed with junction-preserving reconstruction with skull base refinement, temporary occlusion of the internal carotid artery for a few minutes, placement of clips reconstructing the carotid–PCom interface, and micro-Doppler verification of patent vessel. Postoperatively, the blood pressure was kept within the range of 110–130 mmHg with nimodipine and closely monitored. The neurological recovery was sequential (GCS of 15 by POD 2; MoCA of 22 by POD 5). By POD 5 CT scan, the clip remained positioned in a stable fashion without evidence of infarct, hemorrhage, or hydrocephalus; at three months she was neurologically intact (mRS 0; Barthel 100; MoCA 28/30), and CTA confirmed persistent exclusion of the aneurysm and preservation of fPCA flow. Conclusions: In cases where the ruptured aneurysm is located at the carotid communicating junction with the PCom artery in a configuration of the posterior cerebral artery that is described as fetal, clip treatment should be viewed as a form of branch-preserving junction reconstruction of the carotid–PCom junction supported by adherence to controlled postoperative physiology and close ppostoperativesurveillance. Full article
(This article belongs to the Special Issue Advances in Diagnostic Imaging for Cerebrovascular Diseases)
Show Figures

Figure 1

40 pages, 8823 KB  
Article
Modeling Methodology of Paper Craft Aerial Acrobatic Robot Using Multibody Dynamics
by Kazunori Shinohara and Kenji Nishibori
Appl. Sci. 2026, 16(2), 921; https://doi.org/10.3390/app16020921 - 16 Jan 2026
Viewed by 54
Abstract
The aerial acrobat robot is a mechanical structure that achieves continuous acrobatic motion without electrical power by utilizing gravitational potential energy.The power of this motion is the rotational motion resulting from the imbalance of moments caused by both the masses, called counterbalance, and [...] Read more.
The aerial acrobat robot is a mechanical structure that achieves continuous acrobatic motion without electrical power by utilizing gravitational potential energy.The power of this motion is the rotational motion resulting from the imbalance of moments caused by both the masses, called counterbalance, and the weight of the robot. Or, it is the rotational motion resulting from the reciprocal energy conversion between the gravitational potential and kinetic energy of these two masses. Using the quasi-static single-link model mechanism, we derived a formula for the power moment that is important in the design of the mechanical structure to produce the aerial acrobat robot’s motion. This structure is mainly made of resin and is approximately 2 m long. Based on this structure, we developed a paper craft aerial acrobat robot compacted to about 0.27 m so that anyone can easily play with it. In the paper craft aerial acrobat robot based on the quasi-static single-link model, instability in the rotational behavior becomes apparent. To enhance the accuracy of the analysis of rotational moments, which are crucial in design, we develop a modeling method for a paper craft aerial acrobat robot using multibody dynamics. Furthermore, the theoretical solution for a simplified model of the paper craft aerial acrobat robot is constructed based on the double pendulum. The dynamic moments obtained by the modeling method of the paper craft aerial acrobat robot is verified by comparing the theoretical solution. Full article
(This article belongs to the Section Robotics and Automation)
Show Figures

Figure 1

38 pages, 456 KB  
Article
BRST Symmetry Violation and Fundamental Limitations of Asymptotic Safety in Quantum Gravity
by Farrukh A. Chishtie
Symmetry 2026, 18(1), 140; https://doi.org/10.3390/sym18010140 - 10 Jan 2026
Viewed by 266
Abstract
The asymptotic safety program assumes that quantum gravity becomes renormalizable through ultraviolet fixed points in metric-based couplings. We demonstrate that this approach encounters fundamental symmetry violations across multiple independent criteria, all traceable to a single fundamental cause: the breakdown of general covariance and [...] Read more.
The asymptotic safety program assumes that quantum gravity becomes renormalizable through ultraviolet fixed points in metric-based couplings. We demonstrate that this approach encounters fundamental symmetry violations across multiple independent criteria, all traceable to a single fundamental cause: the breakdown of general covariance and BRST symmetries above the gravitational cutoff scale. Rigorous canonical quantization proves that general covariance cannot be maintained quantum mechanically in dimensions greater than two, while recent path integral calculations reveal persistent gauge parameter dependence in quantum gravitational corrections, signaling BRST symmetry violation. These dual proofs establish that the metric tensor ceases to exist as a valid quantum degree of freedom above Λgrav1018 GeV, rendering the search for ultraviolet fixed points in metric-based theories problematic from a foundational physical perspective. We provide comprehensive analysis demonstrating that asymptotic safety exhibits persistent gauge parameter dependence where fixed-point properties vary with arbitrary gauge choices, non-convergent truncation schemes extending to the 35th order showing no approach to stable values, experimental tensions with electroweak precision tests by orders of magnitude, matter content requirements incompatible with the Standard Model, absence of concrete graviton predictions due to gauge and truncation dependence, unitarity challenges through ghost instabilities and propagator negativity, and fundamental Wick rotation obstructions preventing reliable connection between Euclidean calculations and physical Lorentzian spacetime. Each limitation independently challenges the program; collectively they establish fundamental incompatibility with quantum consistency requirements. We contrast this with the Unified Standard Model with Emergent Gravity framework, which recognizes general relativity as an effective field theory valid only below the covariance breakdown scale, systematically avoids all asymptotic safety pathologies, yields an emergent spin-2 graviton with transverse-traceless polarization confirmed by LIGO-Virgo observations, and provides definite experimental signatures across multiple domains. The fundamental limitations of asymptotic safety, established through theoretical analysis and experimental tension, demonstrates that consistent quantum gravity requires recognizing spacetime geometry as emergent rather than fundamental. Full article
(This article belongs to the Special Issue Lorentz Invariance Violation and Space–Time Symmetry Breaking)
25 pages, 7470 KB  
Article
Effects of Aperture Ratio and Aspect Ratio on High-Speed Water-Entry Stability of Hollow Projectiles
by Jianqiu Tu, Yu Hou, Haixin Chen, Changjian Zhao, Hairui Zhang and Xiaodong Na
J. Mar. Sci. Eng. 2026, 14(2), 137; https://doi.org/10.3390/jmse14020137 - 8 Jan 2026
Viewed by 140
Abstract
The oblique water-entry stability of hollow projectiles with different aperture ratios (d/D) and aspect ratios (L/D) is investigated numerically in this study. The effects of aperture and aspect ratios on cavity evolution, hydrodynamic forces, and [...] Read more.
The oblique water-entry stability of hollow projectiles with different aperture ratios (d/D) and aspect ratios (L/D) is investigated numerically in this study. The effects of aperture and aspect ratios on cavity evolution, hydrodynamic forces, and projectile motion are disclosed and discussed. When aperture ratios vary from 0.2 to 0.7, a larger aperture ratio results in a longer through-hole jet, earlier cavity closure, and a smaller cavity with less vapor. The best water-entry stability with minimal projectile deflection occurs at d/D = 0.3. For d/D > 0.4, the projectile tends to rotate clockwise and touch the surrounding cavity with a rapid increase in the lift, drag, and moment coefficients, accelerating the velocity decay. When aspect ratios vary from 2 to 7, the transition from stability to instability in the projectile motion is predicted at L/D = 2.75~3. A lower aspect ratio (L/D = 2) promotes stable motion with a steady drag coefficient (Cd ≈ 0.9) and negligible lift and moment. In contrast, the instability occurs at L/D = 3. However, when L/D > 3, the water-entry stability is enhanced with the increasing aspect ratio due to greater projectile mass. The inflection points in the hydrodynamic forces are also delayed and the hollow projectiles penetrate further. Full article
(This article belongs to the Section Ocean Engineering)
Show Figures

Figure 1

12 pages, 1763 KB  
Article
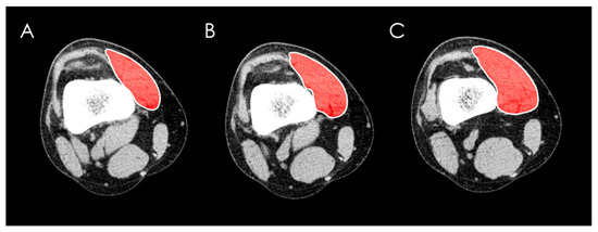
Poor Prognostic Factors in Surgically Treated Habitual Patellar Dislocation in Children and Adolescents
by Alexandru Ulici, Mihai-Codrut Dragomirescu, Sorina-Mariana Mocanu and Alexandru Herdea
Children 2026, 13(1), 68; https://doi.org/10.3390/children13010068 - 31 Dec 2025
Viewed by 184
Abstract
Background/Objectives: Habitual patellar dislocation is a rare but debilitating form of patellofemoral instability in children and adolescents, frequently associated with underlying anatomical abnormalities and ligamentous laxity. Despite multiple surgical techniques, recurrence and suboptimal functional recovery remain concerns. This study aimed to identify the [...] Read more.
Background/Objectives: Habitual patellar dislocation is a rare but debilitating form of patellofemoral instability in children and adolescents, frequently associated with underlying anatomical abnormalities and ligamentous laxity. Despite multiple surgical techniques, recurrence and suboptimal functional recovery remain concerns. This study aimed to identify the demographic, clinical, and imaging factors associated with postoperative recurrence and poorer functional outcomes in pediatric patients surgically treated for habitual patellar dislocation. Methods: A retrospective cohort study was conducted on pediatric patients treated between 2016 and 2024 for habitual patellar dislocation. Inclusion criteria required age ≤ 18 years, a minimum 12-month follow-up, and complete imaging documentation. Clinical evaluation included the Beighton hyperlaxity score, lower-limb alignment, and Lysholm Knee Score. Imaging parameters assessed patellar height (Caton–Deschamps Index), trochlear dysplasia, patellar tilt, patellar subluxation, genu valgum, and tibial tubercle–trochlear groove (TT–TG) distance. Surgical treatment consisted of individualized combinations of soft-tissue realignment, quadriceps lengthening, Roux–Goldthwait procedures, and MPFL reconstruction. Statistical analyses evaluated predictors of recurrence and postoperative Lysholm score. Results: Thirty-four patients (45 knees; mean age 12 years; 73.5% female) were included. Preoperative Lysholm scores improved from a mean of 73 to 94 postoperatively (p < 0.0001). Recurrence occurred in 32.35% of patients and was significantly associated with generalized hyperlaxity (p = 0.0041), trochlear dysplasia (p = 0.045), and lateral patellar subluxation (p = 0.039). Suboptimal postoperative Lysholm scores (<85) were observed in 11.76% of patients, all with recurrence, and were significantly associated with genu valgum (p = 0.0011) and patella alta (p = 0.036). No significant associations were found for rotational deformities or femoral condyle hypoplasia. Conclusions: Habitual patellar dislocation in children is multifactorial, and the likelihood of recurrence increases with cumulative risk factors such as hyperlaxity, trochlear dysplasia, lateral subluxation, patella alta, and genu valgum. Comprehensive preoperative assessment is essential to guide combined, individualized surgical strategies that optimize stability and functional recovery. No single technique is universally curative; rather, tailored multimodal approaches yield the most favorable outcomes. Full article
(This article belongs to the Section Pediatric Orthopedics & Sports Medicine)
Show Figures

Figure 1

20 pages, 3528 KB  
Article
Sextuple-Q Spin States in Centrosymmetric Hexagonal Magnets
by Satoru Hayami
Magnetism 2026, 6(1), 4; https://doi.org/10.3390/magnetism6010004 - 29 Dec 2025
Viewed by 214
Abstract
We theoretically investigate multiple-Q instabilities in centrosymmetric hexagonal magnets, formulated as superpositions of independent six ordering wave vectors related by sixfold rotational and mirror symmetries. By employing a spin model that incorporates biquadratic interactions and an external magnetic field, we establish a [...] Read more.
We theoretically investigate multiple-Q instabilities in centrosymmetric hexagonal magnets, formulated as superpositions of independent six ordering wave vectors related by sixfold rotational and mirror symmetries. By employing a spin model that incorporates biquadratic interactions and an external magnetic field, we establish a comprehensive low-temperature phase diagram hosting single-Q, double-Q, triple-Q, and sextuple-Q states, as well as skyrmion crystals with topological charges of one and two. The field evolution of the magnetization, scalar spin chirality, and finite wave-vector magnetic amplitudes reveals a hierarchical buildup of multiple-Q order, accompanied by first-order transitions between topologically distinct and trivial phases. At large biquadratic coupling, all six symmetry-related ordering wave vectors coherently participate, giving rise to two sextuple-Q states under magnetic fields and to another spontaneous sextuple-Q state even at zero field. The latter zero-field sextuple-Q state represents a fully developed sixfold interference pattern stabilized solely by the biquadratic interaction, characterized by alternating skyrmion- and antiskyrmion-like cores with vanishing uniform scalar spin chirality. These findings establish a unified framework for understanding hierarchical multiple-Q ordering and demonstrate that the interplay between bilinear and biquadratic interactions under hexagonal symmetry provides a generic route to complex noncoplanar magnetism in centrosymmetric itinerant systems. Full article
Show Figures

Figure 1

31 pages, 39539 KB  
Article
Thermovibrationally Driven Ring-Shaped Particle Accumulations in Corner-Heated Cavities with the D2h Symmetry
by Balagopal Manayil Santhosh and Marcello Lappa
Micromachines 2026, 17(1), 39; https://doi.org/10.3390/mi17010039 - 29 Dec 2025
Viewed by 208
Abstract
Over the last decade, numerical simulations and experiments have confirmed the existence of a novel class of vibrationally excited solid-particle attractors in cubic cavities containing a fluid in non-isothermal conditions. The diversity of emerging particle structures, in both morphology and multiplicity, depends strongly [...] Read more.
Over the last decade, numerical simulations and experiments have confirmed the existence of a novel class of vibrationally excited solid-particle attractors in cubic cavities containing a fluid in non-isothermal conditions. The diversity of emerging particle structures, in both morphology and multiplicity, depends strongly on the uni- or multi-directional nature of the imposed temperature gradients. The present study seeks to broaden this theoretical framework by further increasing the complexity of the thermal “information” coded along the external boundary of the fluid container. In particular, in place of the thermal inhomogeneities located in the center of otherwise uniformly cooled or heated walls, here, a cubic cavity with temperature boundary conditions satisfying the D2h (in Schoenflies notation) or “mmm” (in Hermann–Mauguin notation) symmetry is considered. This configuration, equivalent to a bipartite vertex coloring of a cube leading to a total of 24 thermally controlled planar surfaces, possesses three mutually perpendicular twofold rotation axes and inversion symmetry through the cube’s center. To reduce the problem complexity by suppressing potential asymmetries due to fluid-dynamic instabilities of inertial nature, the numerical analysis is carried out under the assumption of dilute particle suspension and one-way solid–liquid phase coupling. The results show that a kaleidoscope of new particle structures is enabled, whose main distinguishing mark is the essentially one-dimensional (filamentary) nature. These show up as physically disjoint or intertwined particle circuits in striking contrast to the single-curvature or double-curvature spatially extended accumulation surfaces reported in earlier investigations. Full article
(This article belongs to the Special Issue Microfluidic Systems for Sustainable Energy)
Show Figures

Figure 1

13 pages, 5802 KB  
Article
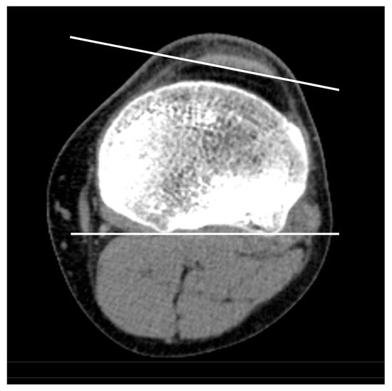
Tendon Yaw (TY) Angle: Direct Measurement of the Quadriceps Vector Resolves the Rotational Enigma of Recurrent Patellar Instability
by Dinko Nizić, Marko Šimunović, Mario Josipović, Josip Vlaić, Ivan Levaj, Jure Serdar, Irijana Rajković, Josip Ćurić, Zoran Sulje and Mislav Jelić
Medicina 2026, 62(1), 49; https://doi.org/10.3390/medicina62010049 - 26 Dec 2025
Viewed by 243
Abstract
Background and Objectives: To validate a computed tomography (CT) measure of tendon yaw (TY) and determine its diagnostic specificity, precision, and clinical relevance in recurrent patellar instability (RPI) in comparison with standard imaging tests (SIT1, SIT2), femoral trochlear dysplasia (FTD), and vastus [...] Read more.
Background and Objectives: To validate a computed tomography (CT) measure of tendon yaw (TY) and determine its diagnostic specificity, precision, and clinical relevance in recurrent patellar instability (RPI) in comparison with standard imaging tests (SIT1, SIT2), femoral trochlear dysplasia (FTD), and vastus medialis obliquus (VMO) morphology. Materials and Methods: This retrospective cross-sectional study included 113 subjects (187 knees) examined using a standardized CT protocol for RPI following strict exclusion criteria. TY, SIT1, and SIT2 were measured using predefined axial landmarks. VMO cross-sectional area was assessed at three standardized levels. Diagnostic performance, measurement precision, and interrater agreement were evaluated. Results: TY significantly distinguished recurrent dislocators from nondislocators (p = 0.003) and was independent of age, sex, laterality, and femoral, tibial, or knee rotation (p ≥ 0.42). A threshold of ≥22° demonstrated high diagnostic specificity (92%; 95% CI, 85–97%), with a normal cutoff defined as ≤12°. Measurement precision was approximately 90%. SIT1 and SIT2 were influenced by femoral and knee rotation but not tibial rotation. All imaging tests were associated with FTD (p < 0.0001). No significant correlation was found between any imaging test and VMO area, although VMO was reduced in recurrent dislocators and in women. Conclusions: TY is a direct and highly specific CT measure of extensor mechanism yaw (z-axis rotation) that avoids indirect osseous and soft-tissue surrogates, supporting confirmatory diagnostic assessment and preoperative planning in RPI. Full article
(This article belongs to the Special Issue AI in Imaging—New Perspectives, 2nd Edition)
Show Figures

Figure 1

14 pages, 5702 KB  
Article
Hot Deformation Behavior and Microstructure Evolution of a Fe-Ni-Cr Based Superalloy
by Yan Wang, Tianyi Wang, Guohua Xu, Shengkai Gong, Ning Liu, Shusuo Li, Qiuyu Wang, Wenqi Guo and Biao Zhang
Materials 2026, 19(1), 58; https://doi.org/10.3390/ma19010058 - 23 Dec 2025
Viewed by 347
Abstract
The present study systematically investigated the hot deformation behavior of GH2787 superalloy within the temperature range of 1060–1120 °C and strain rates of 0.1–10 s−1. An Arrhenius-type constitutive equation was developed that accurately predicts the flow behavior, and the calculated thermal [...] Read more.
The present study systematically investigated the hot deformation behavior of GH2787 superalloy within the temperature range of 1060–1120 °C and strain rates of 0.1–10 s−1. An Arrhenius-type constitutive equation was developed that accurately predicts the flow behavior, and the calculated thermal deformation activation energy Q is 364,401.19 J/mol. The hot working map was constructed based on the dynamic material model, which identified two preferred processing regions with power dissipation efficiency exceeding 0.3, and no flow instability was observed across the entire parameter range. Microstructural analysis reveals that the extent of dynamic recrystallization significantly increases with rising temperature and strain rate. Discontinuous dynamic recrystallization (via grain boundary bulging nucleation) serves as the dominant recrystallization mechanism in GH2787 superalloy during hot deformation, while continuous dynamic recrystallization (via subgrain rotation and coalescence) acts as a synergistic auxiliary mechanism, jointly driving microstructural evolution. This study provides important theoretical foundations for optimizing the hot working processes of GH2787 superalloy. Full article
(This article belongs to the Section Metals and Alloys)
Show Figures

Figure 1

16 pages, 1635 KB  
Article
Growing Top-Down or Bottom-Up Vortices: Effect of Thermal Gradients
by María Cruz Navarro, Damián Castaño and Henar Herrero
Modelling 2025, 6(4), 166; https://doi.org/10.3390/modelling6040166 - 16 Dec 2025
Viewed by 273
Abstract
In this study, we numerically investigate the influence of thermal gradients on the growth and intensification of vortices formed within a rotating cylinder subjected to inhomogeneous cooling at the top or inhomogeneous heating at the bottom. The presence of horizontal thermal inhomogeneities at [...] Read more.
In this study, we numerically investigate the influence of thermal gradients on the growth and intensification of vortices formed within a rotating cylinder subjected to inhomogeneous cooling at the top or inhomogeneous heating at the bottom. The presence of horizontal thermal inhomogeneities at the upper and lower boundaries determines whether the vortex originates near the top or the bottom of the domain. Moreover, the magnitude of both horizontal and vertical thermal gradients plays a critical role in the vortex’s intensification, vertical stretching, and overall development. The observed phenomena are interpreted through a force balance analysis. Increasing the ambient rotation rate leads to the emergence of periodic structures, such as tilted or double vortices, which also undergo intensification and stretching as thermal gradients increase. These findings highlight the importance of thermal boundary conditions in shaping vortical structures and may contribute to a deeper understanding of the genesis, morphology, and intensification mechanisms of thermoconvective vortices. Full article
(This article belongs to the Special Issue Recent Advances in Computational Fluid Mechanics)
Show Figures

Figure 1

24 pages, 2569 KB  
Article
Symmetry Breaking Mechanisms and Pressure Pulsation Characteristics in a Large-Scale Francis Turbine Under Variable Head Operation
by Hong Hua, Zhizhong Zhang, Xiaobing Liu and Haiku Zhang
Symmetry 2025, 17(12), 2151; https://doi.org/10.3390/sym17122151 - 14 Dec 2025
Viewed by 273
Abstract
Flexible grid regulation necessitates Francis turbines to operate at heads of 120–180 m (compared to the rated head of 154.6 m), breaking the designed rotational symmetry and inducing hydraulic instabilities that threaten structural integrity and operational reliability. This study presents extensive field measurements [...] Read more.
Flexible grid regulation necessitates Francis turbines to operate at heads of 120–180 m (compared to the rated head of 154.6 m), breaking the designed rotational symmetry and inducing hydraulic instabilities that threaten structural integrity and operational reliability. This study presents extensive field measurements of pressure pulsations in a 600 MW prototype Francis turbine operating at heads of 120–180 m and loads of 20–600 MW across 77 operating conditions (7 head levels × 11 load points). We strategically positioned high-precision piezoelectric pressure sensors at three critical locations—volute inlet, vaneless space, and draft tube cone—to capture the amplitude and frequency characteristics of symmetry-breaking phenomena. Advanced signal processing revealed three distinct mechanisms with characteristic pressure pulsation signatures: (1) Draft tube rotating vortex rope (RVR) represents spontaneous breaking of axial symmetry, exhibiting helical precession at 0.38 Hz (approximately 0.18 fn, where fn = 2.08 Hz) with maximum peak-to-peak amplitudes of 108 kPa (87% of the rated pressure prated = 124 kPa) at H = 180 m and P = 300 MW, demonstrating approximately 70% amplitude reduction potential through load-based operational strategies. (2) Vaneless space rotor-stator interaction (RSI) reflects periodic disruption of the combined C24 × C13 symmetry at the blade-passing frequency of 27.1 Hz (Nr × fn = 13 × 2.08 Hz), reaching peak amplitudes of 164 kPa (132% prated) at H = 180 m and P = 150 MW, representing the most severe symmetry-breaking phenomenon. (3) Volute multi-point excitation exhibits broadband spectral characteristics (4–10 Hz) with peak amplitudes of 146 kPa (118% prated) under small guide vane openings. The spatial amplitude hierarchy—vaneless space (164 kPa) > volute (146 kPa) > draft tube (108 kPa)—directly correlates with the local symmetry-breaking intensity, providing quantitative evidence for the relationship between geometric symmetry disruption and hydraulic excitation magnitude. Systematic head-dependent amplitude increases of 22–43% across all monitoring locations are attributed to effects related to Euler head scaling and Reynolds number variation, with the vaneless space demonstrating the highest sensitivity (0.83 kPa/m, equivalent to 0.67% prated/m). The study establishes data-driven operational guidelines identifying forbidden operating regions (H = 160–180 m, P = 20–150 MW for vaneless space; H = 160–180 m, P = 250–350 MW for draft tube) and critical monitoring frequencies (0.38 Hz for RVR, 27.1 Hz for RSI), providing essential reference data for condition monitoring systems and operational optimization of large Francis turbines functioning as flexible grid-regulating units in renewable energy integration scenarios. Full article
(This article belongs to the Section Engineering and Materials)
Show Figures

Figure 1

43 pages, 6486 KB  
Review
Instrumentation Strategies for Monitoring Flow in Centrifugal Compressor Diffusers: Techniques and Case Studies
by Emilia-Georgiana Prisăcariu and Oana Dumitrescu
Sensors 2025, 25(24), 7526; https://doi.org/10.3390/s25247526 - 11 Dec 2025
Viewed by 561
Abstract
Monitoring the complex, three-dimensional flow within centrifugal compressor diffusers remains a major challenge due to geometric confinement, high rotational speeds, and strong unsteadiness near surge and stall. This review provides a comprehensive assessment of contemporary instrumentation strategies for diffuser flow characterization, spanning pressure, [...] Read more.
Monitoring the complex, three-dimensional flow within centrifugal compressor diffusers remains a major challenge due to geometric confinement, high rotational speeds, and strong unsteadiness near surge and stall. This review provides a comprehensive assessment of contemporary instrumentation strategies for diffuser flow characterization, spanning pressure, temperature, velocity, vibration, and acoustic measurements. The article outlines the standards governing compressor instrumentation, compares conventional probes with emerging high-resolution and high-bandwidth sensor technologies, and evaluates the effectiveness of pressure- and temperature-based diagnostics, optical methods, and advanced dynamic sensing in capturing diffuser behavior. Case studies from industrial compressors, research rigs, and high-speed experimental facilities illustrate how sensor layout, bandwidth, and synchronization influence the interpretation of flow stability, performance degradation, and surge onset. Collectively, these examples demonstrate that high-frequency pressure and temperature probes remain indispensable for instability detection, while optical techniques such as PIV, LDV, and PSP/TSP offer unprecedented spatial resolution for understanding flow structures. The findings highlight the growing integration of hybrid sensing architectures, digital acquisition systems, and data-driven analysis in diffuser research. Overall, the review identifies current limitations in measurement fidelity and accessibility while outlining promising paths toward more robust, real-time monitoring solutions for reliable centrifugal compressor operation. Full article
(This article belongs to the Section Physical Sensors)
Show Figures

Figure 1

34 pages, 4772 KB  
Article
Rain- and Seismic-Triggered Mass Movements in Coastal Ecuador—A Case Study of the “El Florón” Landslide in Portoviejo
by Melany Melgar, Nayeska Ramírez-Cevallos, Kervin Chunga and Theofilos Toulkeridis
Earth 2025, 6(4), 156; https://doi.org/10.3390/earth6040156 - 11 Dec 2025
Viewed by 1596
Abstract
On 23 April 2023, a rotational landslide occurred at El Florón III (Portoviejo, Ecuador), triggered by intense rainfall that increased saturation and water pressure in the pores of the colluvial materials. Therefore, the current research predominantly aimed to (i) characterize the geological, geophysical, [...] Read more.
On 23 April 2023, a rotational landslide occurred at El Florón III (Portoviejo, Ecuador), triggered by intense rainfall that increased saturation and water pressure in the pores of the colluvial materials. Therefore, the current research predominantly aimed to (i) characterize the geological, geophysical, and geotechnical conditions that controlled the instability, (ii) identify and validate the fault surface, and (iii) evaluate a stabilization alternative in accordance with the Ecuadorian Construction Standard (NEC-15). Additionally, a probabilistic analysis was conducted based on the post-landslide geotechnical characteristics of the material, obtained from direct shear tests, which served as the basis for the back-analysis that determined the parameters governing the soil’s behavior during the event. Based on the parameters obtained for the landslide analysis and the determination of safety factors in accordance with the guidelines of the Ecuadorian Construction Standard, a ground reinforcement configuration was proposed through the implementation of micropiles combined with terracing. This approach allowed for establishing a methodology applicable to landslide scenarios in equivalent environments, considering the specific geotechnical and climatic conditions of the area. Full article
Show Figures

Figure 1

14 pages, 2619 KB  
Article
A Stable Tetraphenylethylene-Based Charge-Assisted Hydrogen-Bonded Organic Framework for Turn-On Fluorescence Sensing of Al3+ Ions
by Yingjia Deng, Yijin Wang, Xiangyu Gao, Yunke Jin, Jiabao Liu, Guanglai Mo, Yixuan Guo, Lanlu Lu and Peng Li
Molecules 2025, 30(24), 4725; https://doi.org/10.3390/molecules30244725 - 10 Dec 2025
Viewed by 514
Abstract
The development of stable and sensitive fluorescent sensors for metal ion detection remains a challenge in materials chemistry. Although hydrogen-bonded organic frameworks (HOFs) have shown great potential in luminescent applications, their practical use is often limited by structural instability. In this work, we [...] Read more.
The development of stable and sensitive fluorescent sensors for metal ion detection remains a challenge in materials chemistry. Although hydrogen-bonded organic frameworks (HOFs) have shown great potential in luminescent applications, their practical use is often limited by structural instability. In this work, we present a novel charge-assisted HOF, termed FDU-HOF-21 ([H(NH2Bpy)]2(TPE)), constructed from a tetraphenylethylene (TPE)-based carboxylic acid ligand (H4TCPE) and 2,2′-bipyridine-5,5′-diamine (NH2Bpy). Single-crystal X-ray diffraction (SCXRD) reveals a stable three-dimensional framework stabilized by an extensive hydrogen-bonding network and reinforced by charge-assisted hydrogen bonds (CAHBs), and it exhibits exceptional stability across various solvents and pH conditions. Moreover, FDU-HOF-21 serves as a highly sensitive and selective fluorescent turn-on sensor for Al3+ ions, with a lowest limit of detection (LOD) of 1.7 × 10−6 M. Characterization and time-dependent density functional theory (TDDFT) calculations reveal that the fluorescence enhancement originates from the suppression of non-radiative decay likely due to the reduction in intermolecular charge transfer (Inter-CT) during the emission process, coupled with the restricted intramolecular rotation upon Al3+ chelation. Full article
(This article belongs to the Special Issue Design and Application of Hydrogen-Bonded Organic Frameworks (HOFs))
Show Figures

Graphical abstract

26 pages, 102536 KB  
Article
SPOD-YOLO: A Modular Approach for Small and Oriented Aircraft Detection in Satellite Remote Sensing Imagery
by Jiajian Chen, Pengyu Guo, Yong Liu, Lu Cao, Dechao Ran, Kai Wang, Wei Hu and Liyang Wan
Remote Sens. 2025, 17(24), 3963; https://doi.org/10.3390/rs17243963 - 8 Dec 2025
Viewed by 467
Abstract
The accurate detection of small, densely packed and arbitrarily oriented aircraft in high-resolution remote sensing imagery remains highly challenging due to significant variations in object scale, orientation and background complexity. Existing detection frameworks often struggle with insufficient representation of small objects, instability of [...] Read more.
The accurate detection of small, densely packed and arbitrarily oriented aircraft in high-resolution remote sensing imagery remains highly challenging due to significant variations in object scale, orientation and background complexity. Existing detection frameworks often struggle with insufficient representation of small objects, instability of rotated bounding box regression and inability to adapt to complex background. To address these limitations, we propose SPOD-YOLO, a novel detection framework specifically designed for small aircraft in remote sensing images. This method is based on YOLOv11, combined with the feature attention mechanism of swintransformer, through targeted improvements on cross-scale feature modelling, dynamic convolutional adaptation, and rotational geometry optimization to achieve effective detection. Additionally, we have constructed a new dataset based on satellite remote sensing images, which has high density of small aircraft with rotated bounding box annotations to provide more realistic and challenging evaluation settings. Extensive experiments on MAR20, UCAS-AOD and the constructed dataset demonstrate that our method achieves consistent performance gains over state-of-the-art approaches. SPOD-YOLO achieves an 4.54% increase in mAP50 and a 11.78% gain in mAP50:95 with only 3.77 million parameters on the constructed dataset. These results validate the effectiveness and robustness of our approach in complex remote sensing scenarios, offering a practical advancement for the detection of small objects in aerospace imagery. Full article
Show Figures

Figure 1

Back to TopTop