error_outline You can access the new MDPI.com website here. Explore and share your feedback with us.
 
 
Sign in to use this feature.

Years

Between: -

Subjects

remove_circle_outline
remove_circle_outline
remove_circle_outline
remove_circle_outline
remove_circle_outline

Journals

Article Types

Countries / Regions

Search Results (65)

Search Parameters:
Keywords = right- and left-sided colorectal cancer

Order results
Result details
Results per page
Select all
Export citation of selected articles as:
24 pages, 3677 KB  
Systematic Review
Risk of Malnutrition in Digestive System Cancers: A Systematic Review and Meta-Analysis
by Bettina Csilla Budai, Petrana Martinekova, Gefu Cai, Dalma Dobszai, Lili Fekete, Hanne Aspelund Normann, Jázmin Németh, Alíz Fazekas, Eszter Ágnes Szalai, Andrea Szentesi, Vasile Liviu Drug, Péter Hegyi and Stefania Bunduc
Cancers 2026, 18(1), 80; https://doi.org/10.3390/cancers18010080 - 26 Dec 2025
Viewed by 287
Abstract
Background/Objectives: Incidence of malnutrition varies greatly among gastrointestinal (GI) cancer patients and has a major impact on prognosis. We performed a meta-analysis to identify risk factors for malnutrition risk, malnutrition diagnosis, and cachexia in patients with GI cancer. Methods: A systematic [...] Read more.
Background/Objectives: Incidence of malnutrition varies greatly among gastrointestinal (GI) cancer patients and has a major impact on prognosis. We performed a meta-analysis to identify risk factors for malnutrition risk, malnutrition diagnosis, and cachexia in patients with GI cancer. Methods: A systematic search was performed on 31 October 2025 on the PubMed (Medline), Embase, and Cochrane Library databases. Eligible studies reported on risk factors for malnutrition risk, malnutrition diagnosis, malnutrition-related complication risk and cachexia in adult patients with GI cancer. Articles on neuroendocrine tumours, primary cancer outside the GI tract, and the paediatric population were excluded. The random-effects model yielded the pooled odds ratios (ORs) and 95% confidence intervals (CIs) for the investigated risk factors. Results: A total of 37,624 records were identified. Data from 262,525 patients from 578 articles were included in the analysis. Older age (≥65) was associated with higher odds for malnutrition risk across all GI cancers. In gastric cancer, males had a lower odds for malnutrition risk (OR 0.84; 95% CI 0.75–0.95); however, the sex difference across other cancer types was heterogeneous, and mostly not significant. Tumour location influenced the odds for malnutrition-related complication risk in pancreatic ductal adenocarcinoma (head vs. body/tail—OR 1.48; 95% CI 0.98–2.23) and colorectal cancer (colon vs. rectal—OR 1.39; 95% CI 1.07–1.81; right-sided vs. left-sided—OR 1.54; 95% CI 1.34–1.77). Increased C-reactive protein alone indicated higher odds for malnutrition risk at baseline. Conclusions: Inflammatory biomarkers and tumour characteristics may indicate malnutrition risk in GI cancer at baseline. There is a great need for standardised and harmonised approaches in nutritional status assessment in GI cancer. Full article
(This article belongs to the Section Cancer Epidemiology and Prevention)
Show Figures

Figure 1

14 pages, 7518 KB  
Article
Cell-in-Cell Structures in Colorectal Cancer: A Proposed Assessment Method and Correlation with Established Poor Prognostic Factors
by Arseniy Potapov, Ruslan Spashchanskii, Aleksey Kazakov, Anastasiya Shepeleva, Uliana Lisitsa, Marina Bugrova and Irina Druzhkova
J. Pers. Med. 2025, 15(12), 591; https://doi.org/10.3390/jpm15120591 - 3 Dec 2025
Viewed by 359
Abstract
Background: Cell-in-cell (CIC) structure is a histological picture of a whole cell inside another cell. Homotypic CIC structures formed by cancer cells are consistently demonstrated to be a factor of poor prognosis and resistance to chemo- and immunotherapy in colorectal cancer (CRC). [...] Read more.
Background: Cell-in-cell (CIC) structure is a histological picture of a whole cell inside another cell. Homotypic CIC structures formed by cancer cells are consistently demonstrated to be a factor of poor prognosis and resistance to chemo- and immunotherapy in colorectal cancer (CRC). However, the absence of a standardized counting method limits the use of this factor in the applied research. Objective: To propose an adapted method for quantifying CIC structures in CRC surgical specimens and to evaluate their correlation with established adverse prognostic factors. Methods: A total of 250 histological slides of surgical specimens from 58 patients with pT1-pT4 colorectal adenocarcinoma were studied. Identification of tumor cells and visualization of CIC structures were performed by immunohistochemistry (CK20). Quantitative assessment was performed on digital scans of H&E stained slides. Quantitative assessment was performed on digital slide scans stained with H&E. CIC structures were counted in 5 fields of view corresponding to a ×40 objective (0.975 mm2). A correlation analysis of CIC structures with CRC poor prognosis factors was performed. Results: Immunohistochemical study (CK20) confirmed the formation and prevalence of homotypic structures (95%) over heterotypic ones (5%) (p < 0.001). This finding informed the evaluation of H&E-stained slides and the formulation of criteria for CIC structure identification. A significant predominance of CIC structures in the invasive front was established compared to the tumor central zone (16.7 ± 5.2 and 1.2 ± 1.3 per 5 fields of view, respectively, p < 0.0001). Correlation analysis revealed weak but statistically significant relationships with the tumor-stromal ratio, the tumor buds number and the density of tumor-infiltrating lymphocytes. No correlations were found with the right- or left-sided location, pTNM, grading, lymphovascular and perineural invasion. Conclusions: The paper presents the adapted CIC structures counting method for surgical specimens of CRC, defines the criteria of the CIC, and demonstrates a higher number of CIC structures in the tumor invasive front. Weak correlations between the CIC structures and established factors of CRC poor prognosis are obtained. Full article
(This article belongs to the Special Issue Advances in Colorectal Cancer: Diagnosis and Personalized Treatment)
Show Figures

Figure 1

19 pages, 6061 KB  
Article
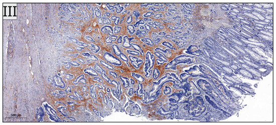
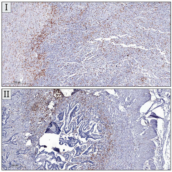
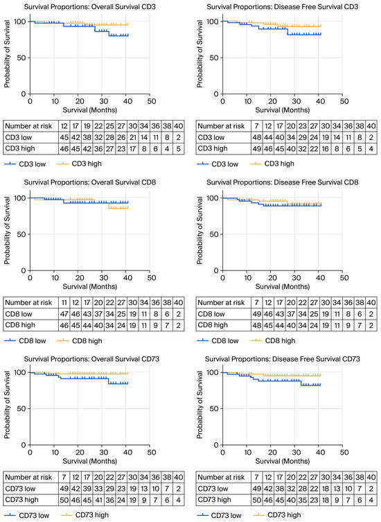
B and T Tumor-Infiltrating Lymphocyte Subtypes According to Subsite: A Colon Cancer Immunophenotyping Map
by Giorgiana Fagarasan, Bogdan Alexandru Gheban, Vlad Fagarasan, Doinita Crisan, Teodora Telecan, Vasile Virgil Bintintan, Radu Ioan Seicean, Alexandra Caziuc and George Calin Dindelegan
Biomedicines 2025, 13(12), 2856; https://doi.org/10.3390/biomedicines13122856 - 23 Nov 2025
Viewed by 464
Abstract
Background: Accumulating evidence regarding the association between tumor-infiltrating lymphocyte (TIL) subtypes and prognosis in colorectal cancer has emerged recently in the literature. Whether the prognostic impact of TIL subsets is different according to tumor location remains unknown, despite genetic, epigenetic and molecular differences [...] Read more.
Background: Accumulating evidence regarding the association between tumor-infiltrating lymphocyte (TIL) subtypes and prognosis in colorectal cancer has emerged recently in the literature. Whether the prognostic impact of TIL subsets is different according to tumor location remains unknown, despite genetic, epigenetic and molecular differences between the proximal and distal colon. Our study aimed to investigate the value of CD3+ lymphocytes, reflecting overall T-cell infiltration, CD8+ cells identifying cytotoxic effector T-cells and CD73+ cells acting as a modulator of immunosuppression, stratified by primary tumor location. Methods: The density of CD73+, CD3+ and CD8+ tumor-infiltrating B- and T-cells was determined in colon cancer patients using whole-section tissue sampling, heat-induced epitope retrieval, primary antibodies and DAB visualization. QuPath Cell counter function quantified nucleated cells and immune-positive percentages; ImageJ assessed staining intensity via color deconvolution and optical density. An Immunoreactive Score combined intensity and positivity for immune profiling. The Receiver Operating Characteristic (ROC) curve analysis was used to determine the optimal cut-off values for CD3+, CD8+ and CD73+ lymphocytes. Statistical analysis was performed in order to identify potential associations between TILs expression and pathological characteristics, according to the location of the primary tumor. Survival analysis was carried out using the Kaplan–Meier method. Results: A total of 100 patients were included in the study. CD3+ T-cells were the most abundantly expressed and were more predominantly encountered in the right colon. Total CD3+ numbers were correlated with T stage and the presence of perineural invasion in left-sided tumors, as well as with tumor grading in the right colon. Correlation analysis based on CD3+ threshold values according to tumor location demonstrated a statistically significant association between a higher N stage and low CD3+ cell values (p value = 0.0306), and higher perineural invasion and low CD3+ TILs values in the left colon (p value = 0.0123). In addition, low CD8+ values were associated with a higher T stage in the left colon (p value = 0.0382). Survival analysis did not demonstrate statistically significant differences between the investigated groups. Conclusions: TIL subtypes in colon cancer patients demonstrate significant variability according to the location of the primary tumor and are associated with different clinical and pathological characteristics. This exploratory study requires larger validation before TIL densities can guide therapy. Full article
(This article belongs to the Section Cancer Biology and Oncology)
Show Figures

Figure 1

15 pages, 1077 KB  
Article
Clinicopathologic Determinants of Lymph Node Count and Prognostic Significance of Metastatic Lymph Node Ratio in Colorectal Cancer
by Fatma Yildirim, Murat Sezak, Osman Bozbiyik, Pinar Gursoy and Basak Doganavsargil
Diagnostics 2025, 15(23), 2962; https://doi.org/10.3390/diagnostics15232962 - 22 Nov 2025
Viewed by 560
Abstract
Background/Objectives: Accurate lymph node (LN) evaluation is crucial to predicting outcomes in colorectal cancer (CRC). Higher lymph node counts (LNCs) improve prognosis, whereas increased metastatic involvement worsens survival. This study aimed to identify factors associated with higher LNCs and evaluate the prognostic [...] Read more.
Background/Objectives: Accurate lymph node (LN) evaluation is crucial to predicting outcomes in colorectal cancer (CRC). Higher lymph node counts (LNCs) improve prognosis, whereas increased metastatic involvement worsens survival. This study aimed to identify factors associated with higher LNCs and evaluate the prognostic value of the metastatic lymph node ratio (MLNR). Methods: A retrospective analysis was performed on 989 CRC resections. Patients were stratified into four MLNR categories—MLNR0 (no metastasis), MLNR1 (<0.20), MLNR2 (0.20–0.50), and MLNR3 (>0.50)—and into two LNC groups—lower LNC (<12) and higher LNC (≥12). Results: The median LN count was 14 (range: 5–198). Lower LNCs occurred in 346 cases (35.0%), predominantly in the left colon. Higher LNCs were significantly associated with younger age (p < 0.001), larger tumor size (p < 0.001), higher pN stage (p < 0.001), right-sided location (p = 0.003), Crohn’s-like lymphocytic response (p = 0.006), and the absence of satellite nodules (p = 0.016). There were 86 pT4 and 178 pN2 tumors. Overall survival was 50.6%, with the 1-, 3-, and 5-year rates being 0.891, 0.721, and 0.612, respectively. Survival was higher in patients with higher LNCs (53.5% vs. 45.1%, p < 0.001). Survival rates by MLNR were 61.2% (MLNR0), 47.7% (MLNR1), 34.0% (MLNR2), and 26.4% (MLNR3). Mortality strongly correlated with MLNR (p < 0.001), and life expectancy decreased as MLNR increased (p < 0.01). Conclusions: MLNR provides superior prognostic information compared to pN status, even in patients with suboptimal lymph node retrieval (LNC < 12). As an independent survival predictor, MLNR may be integrated into staging systems and guide therapeutic strategies, highlighting its clinical utility in both standard and “gray zone” CRC cases. Full article
(This article belongs to the Special Issue Hot Topics in Modern and Personalized Pathology)
Show Figures

Figure 1

35 pages, 4283 KB  
Article
Confounder-Adjusted Differentiation of Colorectal Cancer via Dynamic Propagation of Pathway Influence
by Larissa Margareta Batrancea, Ömer Akgüller, Mehmet Ali Balcı, Gizem Çalıbaşı Koçal and Lucian Gaban
Int. J. Mol. Sci. 2025, 26(20), 10023; https://doi.org/10.3390/ijms262010023 - 15 Oct 2025
Viewed by 542
Abstract
Colorectal cancer (CRC) exhibits profound molecular heterogeneity between left-sided and right-sided tumors with distinct therapeutic responses that current static genomic analyses incompletely explain. We developed Dynamic Functional Influence Computation (DynaFIC), a computational framework modeling time-resolved signal propagation through biological networks to quantify functional [...] Read more.
Colorectal cancer (CRC) exhibits profound molecular heterogeneity between left-sided and right-sided tumors with distinct therapeutic responses that current static genomic analyses incompletely explain. We developed Dynamic Functional Influence Computation (DynaFIC), a computational framework modeling time-resolved signal propagation through biological networks to quantify functional influence beyond static expression levels. Using the GSE39582 dataset comprising 583 primary CRC samples, we performed confounder-adjusted differential expression analysis controlling for microsatellite instability status, BRAF mutations, Tumor Node Metastasis (TNM) stage, age, and sex, identifying 105 laterality-associated genes that underwent DynaFIC temporal network analysis. Right-sided tumors exhibited dramatically higher network connectivity density despite fewer nodes, creating distributed vulnerability patterns with HOXC6 as the dominant regulator, achieving 200-fold influence through network amplification. Left-sided tumors showed compartmentalized, hierarchical organization with PRAC1 as the primary regulator and predictable expression-influence scaling. Temporal clustering revealed distinct propagation kinetics: right-sided tumors demonstrated rapid signal saturation requiring early intervention, while left-sided tumors exhibited sustained propagation permitting sequential approaches. Stability Volatility Index analysis showed right-sided tumors maintain significantly higher systemic vulnerability. These findings establish anatomical location as a fundamental network organizational principle, suggesting that incorporating temporal dynamics into cancer analysis reveals therapeutically relevant differences for precision medicine applications in colorectal cancer. Full article
Show Figures

Figure 1

19 pages, 3914 KB  
Article
Pulmonary Suffusion Refinements for Primary and Secondary Malignancies: Preliminary Analyses of Phase I Safety and Drug Delivery Data
by Todd Demmy, Samah Abdelhady, Garin Tomaszewski, Michael Petroziello, Omar Hasan, Mark Hennon, Elisabeth Dexter, Deepak Vadehra, Ajay Gupta, Anne Grand‘Maison, Grace Dy and Sai Yendamuri
Cancers 2025, 17(17), 2880; https://doi.org/10.3390/cancers17172880 - 2 Sep 2025
Viewed by 1112
Abstract
Objectives: We sought to document interim methodologic improvements and preliminary results for pulmonary suffusion. Methods: A Phase I/II trial of thoracoscopic lung suffusion for resectable sarcoma and colorectal carcinoma metastases followed a pilot study on oligometastatic lung malignancy at a comprehensive [...] Read more.
Objectives: We sought to document interim methodologic improvements and preliminary results for pulmonary suffusion. Methods: A Phase I/II trial of thoracoscopic lung suffusion for resectable sarcoma and colorectal carcinoma metastases followed a pilot study on oligometastatic lung malignancy at a comprehensive cancer center. Primary-specific chemotherapy doses (cisplatin, oxaliplatin, doxorubicin, or gemcitabine) suffused unilaterally for 30 min were escalated to amplify regional deliveries three-fold. Drug delivery was measured with tissue, blood samples, and 99Tc; pulmonary function tests and clinical adverse events (AEs) assessed safety and tolerance. Results: From 2008–2025, 31 ECOG 0–2 patients (10 male) aged 33–75 years had unilateral lung suffusion (16 right, 14 left, 1 aborted, and 8 sides selected randomly). Vascular occlusion intolerance was immediate or delayed (25 min) in two cases. Two catheter-positioning grade 3 AEs occurred: hypotension with troponin leak (1) and atrial fibrillation (1). Patients averaged 1.3 ± 1.2 metastasectomies (17 sub-lobar, 8 lobar resections, and 2 intentional open cytoreductive metastasectomies). Hospitalizations were brief (1–4 days) except for 6–7 day stays in the only two open cases and one doxorubicin (grade 4 hypoxic respiratory failure) case. Ninety-day survival was 100%, and the Phase I delivery goal of 12.75 mg/m2 65 (15% systemic) was achieved for oxaliplatin. Lung function was preserved according to 99Tc differentials within 6.1 ± 7.1% of the predicted reductions at 30 days. Sampling delays, tracer discordances, and atypical pharmacokinetics reduced tissue drug detections. Recent pulmonary artery snaring cases (two) demonstrated in-flow control more stable than that of balloon occlusions. Conclusions: Suffusion for metastatic malignancies appears safe and warrants further investigation. Full article
(This article belongs to the Section Cancer Therapy)
Show Figures

Graphical abstract

18 pages, 1528 KB  
Review
Sex Differences in Colorectal Cancer: Epidemiology, Risk Factors, and Clinical Outcomes
by Sophia Tsokkou, Ioannis Konstantinidis, Menelaos Papakonstantinou, Paraskevi Chatzikomnitsa, Eftychia Liampou, Evdokia Toutziari, Dimitrios Giakoustidis, Petros Bangeas, Vasileios Papadopoulos and Alexandros Giakoustidis
J. Clin. Med. 2025, 14(15), 5539; https://doi.org/10.3390/jcm14155539 - 6 Aug 2025
Cited by 6 | Viewed by 3682
Abstract
Colorectal cancer (CRC) constitutes a major global health concern, ranking as the third most common cancer and the second leading cause of cancer-related mortality. The current review explores sex-based differences in CRC epidemiology, risk factors, tumor biology, and clinical outcomes. Males exhibit a [...] Read more.
Colorectal cancer (CRC) constitutes a major global health concern, ranking as the third most common cancer and the second leading cause of cancer-related mortality. The current review explores sex-based differences in CRC epidemiology, risk factors, tumor biology, and clinical outcomes. Males exhibit a higher incidence and mortality rate, with left-sided (distal) CRC predominating, while females are more frequently diagnosed with right-sided (proximal) tumors, which tend to be more aggressive and less responsive to conventional chemotherapy. Genetic disparities, including microsatellite instability and X-chromosome tumor suppressor genes, contribute to sex-specific differences in tumor progression and treatment response. Immune variations also influence disease outcomes, with females exhibiting stronger immune surveillance but higher exhaustion markers. Lifestyle factors such as body mass index (BMI), smoking, and hormonal influences further modulate CRC risk. While males are more vulnerable to obesity-related CRC, central obesity (waist-to-hip ratio) emerges as a stronger predictor in females. Additionally, smoking increases CRC risk differentially by tumor location. These findings underscore the importance of sex-specific approaches in CRC prevention, screening, and treatment, advocating for personalized medicine strategies tailored to gender-based biological and clinical distinctions. Full article
(This article belongs to the Special Issue Gastrointestinal Cancer: Outcomes and Therapeutic Management)
Show Figures

Figure 1

14 pages, 252 KB  
Article
Evaluation of Key Risk Factors Associated with Postoperative Complications in Colorectal Cancer Surgery
by Silviu Stefan Marginean, Mihai Zurzu, Dragos Garofil, Anca Tigora, Vlad Paic, Mircea Bratucu, Florian Popa, Valeriu Surlin, Dan Cartu, Victor Strambu and Petru Adrian Radu
J. Mind Med. Sci. 2025, 12(1), 22; https://doi.org/10.3390/jmms12010022 - 17 Apr 2025
Cited by 1 | Viewed by 2829
Abstract
Background: Colorectal surgery remains a cornerstone in the management of colorectal cancer, yet postoperative complications continue to impact surgical outcomes. This study investigates key risk factors influencing morbidity, focusing on patient comorbidities, tumor characteristics, surgical techniques, and anastomotic methods. Methods: A retrospective analysis [...] Read more.
Background: Colorectal surgery remains a cornerstone in the management of colorectal cancer, yet postoperative complications continue to impact surgical outcomes. This study investigates key risk factors influencing morbidity, focusing on patient comorbidities, tumor characteristics, surgical techniques, and anastomotic methods. Methods: A retrospective analysis was conducted on 195 patients who underwent colorectal cancer surgery between January 2021 and December 2024 at the Clinical Hospital of Nephrology “Carol Davila”. Variables analyzed included patient demographics, comorbidities, tumor staging, surgical approach, and postoperative complications. Statistical methods included chi-square tests and multivariate logistic regression (significance threshold: p < 0.05). Results: The overall complication rate was 21%, with anastomotic leakage observed in 8.2% of cases. Significant risk factors for morbidity included cardiovascular disease (p = 0.001), chronic respiratory failure (p = 0.003), and chronic renal failure (p = 0.002). Laparoscopic surgery had a lower complication rate (7.1%) than open surgery (28%) (p = 0.003). Mechanical anastomosis showed lower complication rates than manual suturing (p = 0.009). Left-sided resections were associated with higher morbidity than right-sided procedures (p = 0.013). Conclusions: Optimizing colorectal surgery outcomes requires personalized perioperative strategies. Laparoscopic approaches and mechanical anastomosis significantly reduce complications. Further multicenter studies are needed to confirm these findings and enhance surgical guidelines. Full article
10 pages, 227 KB  
Article
Right-Sided Dysplasia in Inflammatory Bowel Disease Is Not Associated with Conventional Risk Factors for Neoplasia
by Sumona Bhattacharya, William Beaty, Adam S. Faye and Jordan E. Axelrad
Gastroenterol. Insights 2025, 16(2), 14; https://doi.org/10.3390/gastroent16020014 - 7 Apr 2025
Viewed by 1943
Abstract
Introduction: In the general population, right I-sided dysplasia presents a higher risk for colorectal cancer (CRC) and metachronous dysplasia compared to left (L)-sided dysplasia. Given that patients with inflammatory bowel disease (IBD) are at higher risk for dysplasia than the general population, we [...] Read more.
Introduction: In the general population, right I-sided dysplasia presents a higher risk for colorectal cancer (CRC) and metachronous dysplasia compared to left (L)-sided dysplasia. Given that patients with inflammatory bowel disease (IBD) are at higher risk for dysplasia than the general population, we sought to assess the risk factors as well as the differences in outcomes between patients with R-sided, L-sided, and both R- and L-sided dysplasia. Methods: A retrospective chart review was performed on patients at NYU Langone Health who had evidence of dysplasia on a colonoscopy between 2011 and 2021. Demographics and pertinent medical history were compiled. Cohorts were based on the dysplasia location (R-sided, L-sided, or R- and L-sided) and the IBD-related outcomes were analyzed. Results: A total of 71 patients had colonic dysplasia. The mean age was 54 years old (SD ± 17). The majority were male (72%), white (69%), and non-Hispanic (94%). A total of 76% had ulcerative colitis (UC) and 24% had Crohn’s disease (CD). Of all dysplastic lesions, 57 (80%) patients had unifocal disease and the remainder had multifocal disease. A total of 39 (55%) patients had R-sided dysplasia, 24 (34%) had L-sided dysplasia, and 8 (11%) had both R- and L-sided dysplasia. Patients with UC were more likely to have L-sided dysplasia (92% vs. 8% in CD; p = 0.04). Pseudopolyps were more likely associated with R- and L-sided dysplasia (38% in R- and L-sided dysplasia, 10% in R-sided dysplasia, and 4% in L-sided dysplasia; p = 0.03). Conclusions: Patients with UC had a higher risk for L-sided colonic dysplasia compared to patients with CD; however, there were no differences in the progression of dysplasia between those who had R-sided and those who had L-sided dysplasia. Larger studies are needed to assess the risk factors and outcomes related to the laterality of dysplasia and further validate these findings among patients with IBD. Full article
(This article belongs to the Section Gastrointestinal Disease)
12 pages, 759 KB  
Article
Relationship of Tumor Localization and Lipid Parameters with Survival in Patients with Colorectal Cancer
by Özlem Nuray Sever, Tuğba Başoğlu and Sedat Yıldırım
J. Clin. Med. 2025, 14(4), 1302; https://doi.org/10.3390/jcm14041302 - 15 Feb 2025
Cited by 2 | Viewed by 1397
Abstract
Background: Colorectal cancer (CRC) remains a global health challenge. Metabolic disorders, including dyslipidemia, have been linked to CRC progression, yet the relationship between lipid profiles, tumor location, and survival outcomes remains controversial. This study investigates the association between blood lipid parameters, tumor [...] Read more.
Background: Colorectal cancer (CRC) remains a global health challenge. Metabolic disorders, including dyslipidemia, have been linked to CRC progression, yet the relationship between lipid profiles, tumor location, and survival outcomes remains controversial. This study investigates the association between blood lipid parameters, tumor localization, and survival in CRC patients. Methods: A retrospective analysis was conducted on 126 CRC patients diagnosed between 2017 and 2024 at Kartal Dr. Lütfi Kırdar City Hospital. Patients with comorbidities affecting lipid metabolism or who were on lipid-lowering drugs were excluded. Clinical, pathological, and lipid data, including total cholesterol (TC), triglycerides (TGs), low-density lipoprotein cholesterol (LDL-C), high-density lipoprotein cholesterol (HDL-C), and carcinoembryonic antigen (CEA), were analyzed. Tumor location was categorized as right-sided or left-sided. Overall survival (OS) was evaluated with a statistical analysis using Kaplan–Meier and Cox regression models. Results: Higher HDL-C levels and a lower TC/HDL-C ratio were significantly associated with improved OS (p: 0.004 and p: 0.016, respectively). This relationship remained significant in early- and advanced-stage disease (p: 0.04 for HDL-C and p: 0.03 for TC/HDL-C). In patients with tumors located in the right colon, LDL-C levels of 150 mg/dL and below were found to be statistically positively correlated with overall survival, while in patients with tumors located in the left colon, HDL-C levels of 45 mg/dL and above and TC/HDL-C levels of 4.16 and above were found to be statistically positively correlated with overall survival. A multivariate analysis confirmed that age, stage, HDL-C, and TC/HDL-C were independent predictors of OS. Conclusions: Our study highlights the potential role of lipid profiles, particularly HDL-C and the TC/HDL-C ratio, as prognostic factors in CRC. Further research, including molecular and genetic analyses, is needed to better understand the mechanisms underlying the relationship between lipid metabolism and CRC progression. Full article
(This article belongs to the Section Oncology)
Show Figures

Figure 1

11 pages, 1871 KB  
Article
Relationship of Desmoplastic Reaction and Tumour Budding in Primary and Lung Metastatic Lesions of Colorectal Cancer and Their Prognostic Significance
by Toshinori Kobayashi, Mitsuaki Ishida, Hiroshi Matsui, Hiroki Uehara, Shoichiro I, Norikazu Yamada, Yuto Igarashi, Chie Hagiwara, Yoshihiro Mori, Yohei Taniguchi, Tomohito Saito, Haruaki Hino, Yoshinobu Hirose, Tomohiro Murakawa and Jun Watanabe
Cancers 2025, 17(4), 583; https://doi.org/10.3390/cancers17040583 - 8 Feb 2025
Viewed by 2101
Abstract
Background/Objectives: Histopathological indicators, including desmoplastic reaction (DR) and tumour budding (TB), are significant prognostic indicators for metastatic liver lesions in patients with colorectal cancer (CRC). However, the relationship of DR and TB in primary CRC and metastatic lung lesions and their prognostic significance [...] Read more.
Background/Objectives: Histopathological indicators, including desmoplastic reaction (DR) and tumour budding (TB), are significant prognostic indicators for metastatic liver lesions in patients with colorectal cancer (CRC). However, the relationship of DR and TB in primary CRC and metastatic lung lesions and their prognostic significance has not yet been examined. This study aimed to elucidate the association of DR and TB in primary CRC and metastatic lung lesions. Methods: Patients with pT3 or pT4 CRC with lung metastasis who underwent surgical resection of the primary CRC and synchronous or metachronous metastatic lung lesions were enrolled. DR was classified into immature (IM) and non-IM types, and TB was classified into TB1 (<4 buds), TB2 (5–9 buds) and TB3 (≥10 buds) in both the primary CRC and metastatic lung lesions. Results: Overall, 40 patients with CRC (males, 21; females, 19; median age, 70 years; right-side colon, 6; left-side colon, 9; rectum, 25; pT3, 31; pT4, 9) were evaluated. Six and thirty-four patients were classified as having IM and non-IM DR in the metastatic lung lesions, respectively. Thirty-one, seven, and two patients were classified as having TB1, TB2, and TB3, respectively. There was no significant correlation between primary and lung metastatic lesions for DR (κ = 0.08, p = 0.086), whereas TB demonstrated a moderate correlation (κ = 0.47, p = 0.015). The presence of IM DR and TB2/3 in metastatic lung lesions significantly correlated with poor overall survival (p = 0.0020 and 0.044, respectively). Conclusions: histological indicators of metastatic lung lesions in CRC may provide important prognostic information for better patient care. Full article
(This article belongs to the Special Issue Colorectal Cancer Metastasis (Volume II))
Show Figures

Figure 1

17 pages, 1519 KB  
Article
BRAF V600E and Non-V600E Mutations in RAS Wild-Type Metastatic Colorectal Cancer: Prognostic and Therapeutic Insights from a Nationwide, Multicenter, Observational Study (J-BROS)
by Hiroya Taniguchi, Kay Uehara, Toshiaki Ishikawa, Osamu Okochi, Naoya Akazawa, Hiroyuki Okuda, Hiroko Hasegawa, Manabu Shiozawa, Masato Kataoka, Hironaga Satake, Takaya Shimura, Chihiro Kondoh, Hidekazu Kuramochi, Toshihiko Matsumoto, Naoki Takegawa, Toshifumi Yamaguchi, Michitaka Nagase, Masato Nakamura, Nao Takano, Hideto Fujita, Takanori Watanabe, Tomohiro Nishina, Yasuhiro Sakamoto, Toshikazu Moriwaki, Hisatsugu Ohori, Masayoshi Nakanishi, Yosuke Kito, Setsuo Utsunomiya, Takeshi Ishikawa, Dai Manaka, Hiroshi Matsuoka, Takeshi Suto, Toshiyuki Arai, Shinichiro Shinzaki, Tohru Funakoshi, Goro Nakayama, Yuji Negoro, Yasushi Tsuji, Akitaka Makiyama, Kunio Takuma, Atsuki Arimoto, Katsunori Shinozaki, Ayako Mishima and Toshiki Masuishiadd Show full author list remove Hide full author list
Cancers 2025, 17(3), 399; https://doi.org/10.3390/cancers17030399 - 25 Jan 2025
Cited by 2 | Viewed by 3735
Abstract
Background/Objectives: BRAF mutations occur in 5–10% of metastatic colorectal cancer (mCRC) cases, but their implications for prognosis and optimal treatment remain unclear. Methods: This multicenter, prospective observational study analyzed 377 RAS wild-type cases from 511 patients across 32 centers, using PCR-based methods. Results: [...] Read more.
Background/Objectives: BRAF mutations occur in 5–10% of metastatic colorectal cancer (mCRC) cases, but their implications for prognosis and optimal treatment remain unclear. Methods: This multicenter, prospective observational study analyzed 377 RAS wild-type cases from 511 patients across 32 centers, using PCR-based methods. Results: BRAF mutations were identified in 21% (79/377) of cases, predominantly V600E (89.9%) with a minority of non-V600E (10.1%). Microsatellite instability (MSI) testing revealed MSI-high in 11.3%, exclusively among V600E cases. V600E mutations were linked to right-sided tumors, poor differentiation, and elevated CA19-9 levels. Median survival was significantly lower in V600E cases compared to BRAF wild-type (12.4 vs. 37.5 months, HR 3.25, p < 0.001) and marginally lower non-V600E cases (12.4 vs. 34.7 months, HR 0.61, p = 0.057). Chemotherapy regimens (doublet vs. triplet) and targeted treatments (bevacizumab vs. anti-EGFR) showed no significant survival differences in V600E patients. Similarly, RAS/BRAF wild-type patients had comparable survival with bevacizumab versus anti-EGFR, even for left-sided tumors. Conclusions: These findings highlight distinct clinical and prognostic profiles for BRAF V600E and non-V600E mutations, while treatment choice appears to have limited impact on survival in these subgroups or RAS/BRAF wild-type cases. Full article
(This article belongs to the Special Issue Oncology: State-of-the-Art Research and Initiatives in Japan)
Show Figures

Figure 1

18 pages, 1434 KB  
Article
Robotic-Assisted Colon Cancer Surgery: Faster Recovery and Less Pain Compared to Laparoscopy in a Retrospective Propensity-Matched Study
by Chun-Yu Lin, Yi-Chun Liu, Chou-Chen Chen, Ming-Cheng Chen, Teng-Yi Chiu, Yi-Lin Huang, Shih-Wei Chiang, Chang-Lin Lin, Ying-Jing Chen, Chen-Yan Lin and Feng-Fan Chiang
Cancers 2025, 17(2), 243; https://doi.org/10.3390/cancers17020243 - 13 Jan 2025
Cited by 10 | Viewed by 5199
Abstract
Background and Objective: Colorectal cancer (CRC) is the third most common cancer worldwide, with colon cancer accounting for approximately 60% of all CRC cases. Surgery remains the primary and most effective treatment. Robotic-assisted surgery (RAS) has emerged as a promising approach for [...] Read more.
Background and Objective: Colorectal cancer (CRC) is the third most common cancer worldwide, with colon cancer accounting for approximately 60% of all CRC cases. Surgery remains the primary and most effective treatment. Robotic-assisted surgery (RAS) has emerged as a promising approach for colon cancer resection. This retrospective study compares RAS and laparoscopic-assisted surgery (LSS) for stage I–III colon cancer resections at a single medical center in East Asia. Methods: Between 1 January 2018, and 29 February 2024, patients undergoing colectomy were classified into right-side and left-side colectomies. Propensity score matching was conducted based on age group, gender, ASA score, and BMI to ensure comparability between groups. After matching, there were 50 RAS and 200 LSS cases for right colectomy (RC), and 129 RAS and 258 LSS cases for left colectomy (LC). Perioperative outcomes were compared between the two surgical approaches. The primary outcomes were recovery milestones, while secondary outcomes included complications and postoperative pain scores. Results: RAS demonstrated faster recovery milestones compared to LSS (hospital stay: 6.5 vs. 10.2 days, p = 0.005 for RC; 5.5 vs. 8.2 days, p < 0.001 for LC). RAS also resulted in lower rates of ileus (14% vs. 26%, p = 0.064 for RC; 6.2% vs. 15.9%, p = 0.007 for LC) and higher lymph node yields (31.4 vs. 26.8, p = 0.028 for RC; 25.8 vs. 23.9, p = 0.066 for LC). Major complication rates showed no significant difference between RAS and LSS (4.0% vs. 7.0%, p = 0.746 for RC; 4.7% vs. 3.1%, p = 0.563 for LC). Patients in the RAS group experienced earlier diuretic phases and reported significantly lower postoperative pain scores (3.0 vs. 4.1, p = 0.011 for RC; 2.9 vs. 4.1, p < 0.001 for LC). Conclusions: Robotic-assisted surgery is associated with faster recovery, lower rates of ileus (LC), higher lymph node yield (RC) and reduced postoperative pain compared to laparoscopic-assisted surgery for colon cancer resection. Full article
(This article belongs to the Special Issue Robotic Surgery in Colorectal Cancer)
Show Figures

Figure 1

11 pages, 1291 KB  
Article
KRAS, NRAS, and BRAF Hot-Spot Mutations in Relation to Sidedness of Primary Colorectal Cancer: A Retrospective Cohort Study
by Omer Abdelgadir, Yong-Fang Kuo, Anthony O. Okorodudu, M. Firoze Khan, Yu-Wei Cheng and Jianli Dong
Diagnostics 2025, 15(2), 142; https://doi.org/10.3390/diagnostics15020142 - 9 Jan 2025
Cited by 3 | Viewed by 3333
Abstract
Background/Objective: Studies have shown an association between colorectal cancer (CRC) sidedness and gene mutations that may affect CRC clinical behavior. This study examined the association between specific KRAS, NRAS, and BRAF hot-spot mutations and primary CRC sidedness. Methods: We performed a [...] Read more.
Background/Objective: Studies have shown an association between colorectal cancer (CRC) sidedness and gene mutations that may affect CRC clinical behavior. This study examined the association between specific KRAS, NRAS, and BRAF hot-spot mutations and primary CRC sidedness. Methods: We performed a retrospective cohort analysis of 722 patients diagnosed with primary CRC and tested for KRAS, NRAS, and BRAF hot-spot mutations at the University of Texas Medical Branch (UTMB) from January 2016 through July 2023. Multivariable logistic regressions analyses were conducted. Results:KRAS, NRAS, and BRAF hot-spot mutations rates were 37.8%, 4.6%, and 6.1%, respectively. Right-sided primary CRC had the highest prevalence of mutated tumors (64%). KRAS and BRAF hot-spot mutations were significantly different according to tumor sidedness. KRAS p.Gly12Asp, p.Gly12Val, and p.Gly13Asp showed a significantly increased likelihood of right-sided primary CRC compared to KRAS wildtype, 128%, 134%, and 221% higher, respectively. Conversely, KRAS p.Gly12Val and p.Gly13Asp mutations were associated with decreased likelihood of rectal cancer (53% lower) and left-sided tumors (56% lower), respectively. BRAF p.Val600Glu mutation, as opposed to BRAF wildtype, was associated with a 278% higher likelihood of right-sided CRC. No significant associations were observed between NRAS mutations and primary CRC sidedness. Conclusions: In primary CRC, specific mutations in KRAS (p.Gly12Asp, p.Gly12Val, and p.Gly13Asp) and BRAF p.Val600Glu were associated with increased likelihood of right-sided tumors. KRAS p.Gly12Val and p.Gly13Asp mutations were associated with decreased likelihood of rectal cancer and left-sided tumors, respectively. These findings suggest that tumorigenesis and mutational processes differ based on tumor sidedness. Further studies are needed to substantiate these findings. Full article
(This article belongs to the Section Pathology and Molecular Diagnostics)
Show Figures

Figure 1

22 pages, 1187 KB  
Article
Colorectal Cancer: A Brief and Simplified Analysis of a Complex Disease
by Krasimir Petrov, Ivan Ivanov, Savelina Popovska, Tatyana Betova and Zornitsa Kamburova
Medicina 2024, 60(12), 2034; https://doi.org/10.3390/medicina60122034 - 10 Dec 2024
Viewed by 1998
Abstract
Background and Objectives: This study examined factors influencing the onset and progression of colorectal tumors, including patients’ epidemiological data, tumor location (right-sided, left-sided, and rectal), histomorphology, perineural or intraneural invasion, lymph node status, immune reactions, mismatch repair (MMR) status, and commonly observed mutations. [...] Read more.
Background and Objectives: This study examined factors influencing the onset and progression of colorectal tumors, including patients’ epidemiological data, tumor location (right-sided, left-sided, and rectal), histomorphology, perineural or intraneural invasion, lymph node status, immune reactions, mismatch repair (MMR) status, and commonly observed mutations. Our primary goal was to evaluate their predictive and prognostic value and interactions. Materials and Methods: We analyzed a retrospective cohort of 100 patients with colorectal adenocarcinoma diagnosed between 2020 and 2023, using formalin-fixed paraffin-embedded (FFPE) tumor blocks. The methods included routine H&E microscopy, immunohistochemistry, Next-Generation Sequencing (NGS), and subsequent statistical analysis. Results: The findings showed a median diagnosis age of 70 years, with no gender-specific tumor localization. Right-sided tumors were prevalent, especially among patients with a defective MMR (dMMR), which represented 89% of dMMR cases. MMR status significantly correlated with tumor localization. We observed significant relationships between tumor grade, lymphovascular invasion, and overall tumor stage. Higher tumor grades and stages correlated with increased lymphovascular invasion and lymph node involvement. Interestingly, tumor budding did not correlate with lymph node metastasis but was significantly associated with higher tumor grades. Most BRAF mutations were found in right-sided tumors, indicating a significant correlation with this localization. Conclusions: This study focuses on the diversity of colorectal cancer (CRC) by examining how genetic and histological characteristics vary based on tumor location or other tumor variables. Full article
(This article belongs to the Section Gastroenterology & Hepatology)
Show Figures

Figure 1

Back to TopTop