Sign in to use this feature.

Years

Between: -

Subjects

remove_circle_outline
remove_circle_outline
remove_circle_outline
remove_circle_outline
remove_circle_outline
remove_circle_outline
remove_circle_outline
remove_circle_outline
remove_circle_outline

Journals

remove_circle_outline
remove_circle_outline
remove_circle_outline
remove_circle_outline
remove_circle_outline
remove_circle_outline
remove_circle_outline
remove_circle_outline
remove_circle_outline
remove_circle_outline
remove_circle_outline

Article Types

Countries / Regions

remove_circle_outline
remove_circle_outline
remove_circle_outline
remove_circle_outline

Search Results (237)

Search Parameters:
Keywords = repurposed medication

Order results
Result details
Results per page
Select all
Export citation of selected articles as:
25 pages, 2170 KB  
Review
New and Investigational Treatment Options for Dermatomycosis in the Era of Antifungal Resistance
by Aditya K. Gupta, Amanda Liddy and Tong Wang
J. Fungi 2026, 12(3), 221; https://doi.org/10.3390/jof12030221 - 19 Mar 2026
Viewed by 132
Abstract
Superficial mycoses (dermatomycoses) are a growing healthcare concern due to antifungal resistance, particularly among aging and immunocompromised populations. Multiple efforts are underway to develop novel antifungals, including discovering new compounds with known or new mechanisms of action, extending indications or repurposing existing medications, [...] Read more.
Superficial mycoses (dermatomycoses) are a growing healthcare concern due to antifungal resistance, particularly among aging and immunocompromised populations. Multiple efforts are underway to develop novel antifungals, including discovering new compounds with known or new mechanisms of action, extending indications or repurposing existing medications, and utilizing vaccination and nanotechnology platforms. Herein, we conducted a scoping review of novel antifungals for the treatment of dermatomycoses. An electronic literature search restricted to the past 10 years was performed in January 2026 using PubMed and Embase (Ovid). Olorofim and ME1111 represent novel drug classes that target intracellular metabolism. New agents belonging to the azole class demonstrate reduced drug–drug interactions (oteseconazole), a broader antifungal spectrum (voriconazole), and reduced pharmacokinetic complexity (fosravuconazole, super-bioavailable itraconazole). Other investigational compounds include allicin, a phytocompound, and miltefosine, a repurposed antileishmanial drug. Based on our current understanding of dermatophyte immunity, antimicrobial peptides and vaccines targeting virulence factors (e.g., subtilisins) represent novel strategies. Nanotechnology platforms also show promise in introducing new antifungal agents (e.g., metal nanoparticles, nitric oxide-releasing nanoparticles), as well as developing topical formulations to enhance the bioavailability and safety profiles of existing antifungals (amphotericin B, ketoconazole, voriconazole). Full article
(This article belongs to the Section Fungal Pathogenesis and Disease Control)
Show Figures

Figure 1

15 pages, 490 KB  
Review
Repurposing Antidiabetic Medications for Parkinson’s Disease: Focus on Biomarker Strategies for Disease Modification
by Narayana K. Yelleswarapu and Christos Sidiropoulos
Int. J. Mol. Sci. 2026, 27(6), 2560; https://doi.org/10.3390/ijms27062560 - 11 Mar 2026
Viewed by 292
Abstract
Parkinson’s disease (PD) is a progressive neurodegenerative disorder. It shares many pathophysiologic similarities with type 2 diabetes mellitus (T2DM). Numerous studies have explored the repurposing of antidiabetic medications for their potential neuroprotective effects in PD. There has not been a consolidated review of [...] Read more.
Parkinson’s disease (PD) is a progressive neurodegenerative disorder. It shares many pathophysiologic similarities with type 2 diabetes mellitus (T2DM). Numerous studies have explored the repurposing of antidiabetic medications for their potential neuroprotective effects in PD. There has not been a consolidated review of the biochemical biomarkers that have been evaluated across antidiabetic medications. This review aims to assess the current landscape of biomarker research in evaluating the efficacy of these antidiabetic agents as disease-modifying therapies in PD. We examine the molecular mechanisms targeted by these drugs, the biomarkers used to assess their effects, and the outcomes of clinical trials. This review hopes to identify gaps in current research and enhance the evaluation of antidiabetic medications in PD. Full article
Show Figures

Figure 1

23 pages, 2451 KB  
Article
Phenylephrine per se or Combined with Pregabalin Ameliorates Mononeuropathic Pain in Rats
by Sarah Kadhim Abbood, Nariman Essmat, Imre Boldizsár, Judit Mária Kirchlechner-Farkas, Csenger Kovácsházi, Yashar Chalabiani, Kornél Király, Ildikó Miklya, Zoltán Giricz, Laszlo G. Harsing, E. Sylvester Vizi and Mahmoud Al-Khrasani
Pharmaceutics 2026, 18(3), 334; https://doi.org/10.3390/pharmaceutics18030334 - 8 Mar 2026
Viewed by 286
Abstract
Background/Objectives: Neuropathic pain (NP) affects approximately 6.9–10% of the population and is inadequately managed by the current therapies, as reflected by a high number needed to treat (NNT). These data highlight the socio-economic burden of NP on healthcare. Thus, the repurposing of existing [...] Read more.
Background/Objectives: Neuropathic pain (NP) affects approximately 6.9–10% of the population and is inadequately managed by the current therapies, as reflected by a high number needed to treat (NNT). These data highlight the socio-economic burden of NP on healthcare. Thus, the repurposing of existing medications and new drug combinations to enhance therapeutic efficacy are required. Methods/Results: Here, we show that intrathecal phenylephrine (PE) in a dose of 3, 10, or 30 nmol/rat acutely alleviates tactile allodynia in rats with mononeuropathic pain evoked by partial sciatic nerve ligation. Prazosin and idazoxan, which are considered as selective α1- and α2-adrenoreceptor antagonists, respectively, reversed the antiallodynic effects of PE. In ex vivo experiments, PE induced a significant cytosolic [3H]-noradrenaline release from mouse spinal tissue. In addition, in the mouse vas deferens, PE produced smooth muscle contraction in prazosin and idazoxan sensitive manner. As a novelty, in another set of experiments, oral PE (5 mg/kg) and pregabalin (PGB, 25 mg/kg) combination, but not the individual drug treatments, acutely alleviated allodynia in rats with mononeuropathy. In addition, the antiallodynic action of the combination was further enhanced upon chronic treatment. Under isoflurane anesthesia, this combination was devoid of cardiovascular side effects attributed to systolic and diastolic blood pressure, mean arterial pressure, or heart rate. PGB induced motor dysfunction was not altered upon the combination with PE. Conclusions: These data suggest that PE in combination with PGB shows promise in preclinical settings; however, the necessity for further studies is paramount to detail the pharmacokinetic interactions involved. Full article
(This article belongs to the Special Issue Targeted Therapies and Drug Delivery for Neurodegenerative Diseases)
Show Figures

Graphical abstract

50 pages, 2609 KB  
Article
GARD: Genomic Data-Based Drug Repurposing in Head and Neck Cancer with Large Language Model Validation
by Pradham Tanikella, William Nenad, Christophe Courtine, Yifan Dai, Qingying Deng, Baiming Zou, Nosayaba Osazuwa-Peters, Travis P. Schrank and Di Wu
Cancers 2026, 18(5), 757; https://doi.org/10.3390/cancers18050757 - 26 Feb 2026
Viewed by 491
Abstract
Background/Objectives: Head and neck cancer (HNC) represents the seventh most common cancer diagnosis globally, yet current treatments, including surgery, radiation, and immunotherapy, have shown limited improvement in outcomes. Drug repurposing offers a cost-effective strategy to identify new therapeutic options by leveraging existing medications [...] Read more.
Background/Objectives: Head and neck cancer (HNC) represents the seventh most common cancer diagnosis globally, yet current treatments, including surgery, radiation, and immunotherapy, have shown limited improvement in outcomes. Drug repurposing offers a cost-effective strategy to identify new therapeutic options by leveraging existing medications with known safety profiles. Within this study, we developed the GARD pipeline (Genomic Alteration-based Repurposing for Drugs), designed to uncover repurposing candidates for HNC using genomic and network-based approaches. Methods: GARD integrates multi-omics data from The Cancer Genome Atlas (TCGA), including copy number variation (CNV) and somatic mutations (SOM). The cohort was stratified by human papillomavirus (HPV) status. Risk-associated genes were identified and then expanded via high-confidence protein–protein interaction (PPI) networks. Top candidate genes were filtered through comprehensive analysis of publicly available literature data in PubMed using LLMs to validate the relationship between the identified genes and HNC. The top risk genes and their network-expanded neighbors were mapped against DrugBank, and through statistical significance testing and literature validation, established significant drug–gene associations. Results: Significant genes associated with HNC, inferred by genomics alteration, were identified across HPV-positive and HPV-negative subgroups, such as PIK3CA, SOX2, TP53, EIF4G1, TLR7, CLDN1, PRKCI, and EPHA2. Further expansion through the PPI network identified other targetable genes such as EGFR, ERBB2, and the FGFRs. Literature-based validation efforts ensured confidence in the gene–disease association. Drug–gene mapping revealed candidates spanning those already in clinical trials for HNC (e.g., Afatinib, Cabozantinib, Dasatinib, Brigatinib, Lenvatinib, Capivasertib, and Erdafitinib) and emerging or repurposing candidates (Amuvatinib, XL765 (Voxtalisib), Golotimod, Artenimol, Quercetin, and Acetylsalicylic Acid), offering opportunities for precision repurposing. Conclusions: The GARD pipeline demonstrates a genomics-driven, network-informed framework for systematic drug repurposing in HNC. HPV stratification enhances precision, literature-based validation strengthens confidence, and integrated drug mapping enables refinement of existing therapies and discovery of novel candidates for personalized treatment strategies. Code Availability: The full implementation of the GARD pipeline, including preprocessing scripts, statistical analysis modules, and visualization tools, is publicly available on GitHub. Full article
Show Figures

Figure 1

34 pages, 7284 KB  
Article
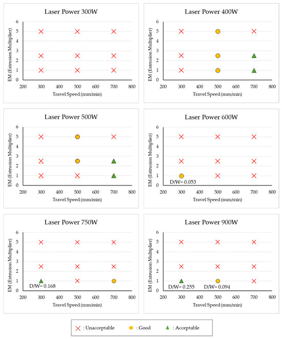
Wire Directed Energy Deposition Additive Manufacturing: Enabling On-Demand Medical Device Injection Mold Repurposing in Pandemic and Healthcare Supply Challenges
by Leonidas Gargalis, Evangelia K. Karaxi and Elias P. Koumoulos
J. Manuf. Mater. Process. 2026, 10(2), 63; https://doi.org/10.3390/jmmp10020063 - 12 Feb 2026
Viewed by 665
Abstract
The COVID-19 pandemic critically emphasized the need for rapid, flexible, and decentralized manufacturing solutions to support the urgent demand for essential medical equipment, such as oximeters. Metal wire directed energy deposition—w-DED, also known as w-LMD (wire laser metal deposition)—combines the benefits of high [...] Read more.
The COVID-19 pandemic critically emphasized the need for rapid, flexible, and decentralized manufacturing solutions to support the urgent demand for essential medical equipment, such as oximeters. Metal wire directed energy deposition—w-DED, also known as w-LMD (wire laser metal deposition)—combines the benefits of high material utilization, increased printing speed, and reduced waste, making it an attractive alternative to traditional powder-based processes, especially under time-sensitive and resource-constrained conditions. This work presents a case study focusing on the design and fabrication of injection molds for oximeter casings using metal-wire-based DED. Martensitic stainless steel AISI-420 wire was employed as feedstock and processed via laser wire additive manufacturing to produce a robust, near-net-shape mold suitable for plastic injection molding. The material was selected due to good corrosion and wear resistance. However, poor ductility and toughness, together with AM-induced anisotropy, were the main challenges to address. Therefore, a multi-step methodology was defined to study the effect of different process parameters, which was validated through printing trials, and the optimum process parameter set was identified. The process enabled the rapid construction of intricate mold geometries, minimizing lead times and allowing for quick design iterations. Microstructural and physical properties such as microhardness of the as-built molds were thoroughly characterized. This case study not only illustrates the technical feasibility of producing functional injection molds via metal w-DED but also outlines its role as a resilient manufacturing pathway, capable of meeting emergent healthcare needs and supporting broader industrial applications in a post-pandemic context. Full article
Show Figures

Figure 1

18 pages, 3076 KB  
Article
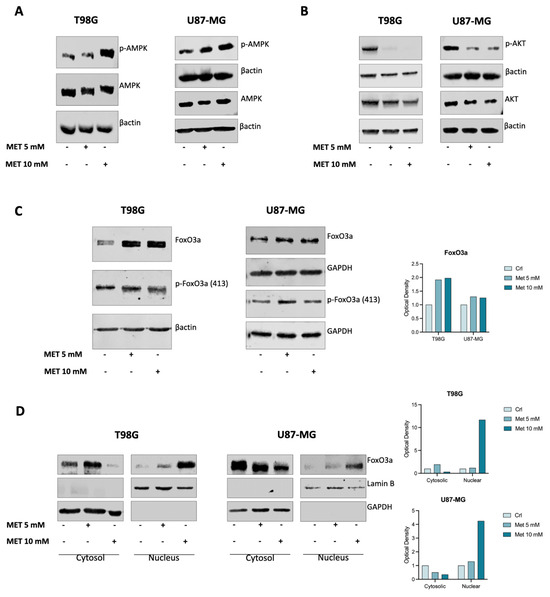
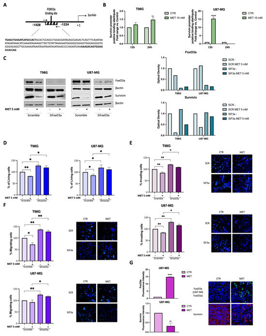
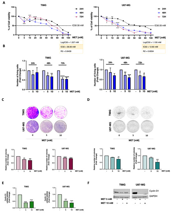
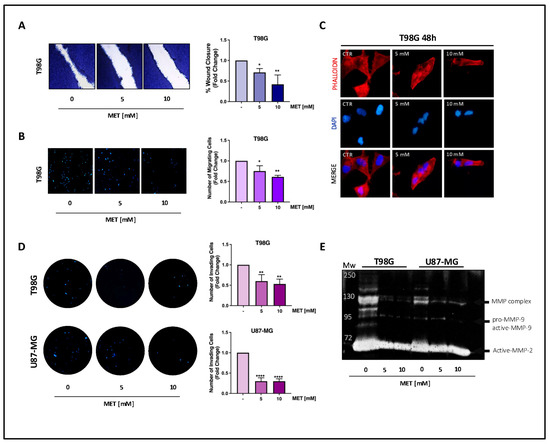
Metformin Suppresses Glioblastoma Tumor Growth and Progression Through the AMPK/FoxO3a/Survivin Axis
by Fabiola Cavaliere, Michele Pellegrino, Alessandro Cormace, Sofia Spadafora, Mariarosa Fava, Seung Ho Yang, Jung Eun Lee, Marta Claudia Nocito, Rosa Sirianni, Ivan Casaburi, Cecilia Garofalo, Diego Sisci, Catia Morelli and Marilena Lanzino
Cells 2026, 15(3), 310; https://doi.org/10.3390/cells15030310 - 6 Feb 2026
Viewed by 646
Abstract
Glioblastoma (GB) is one of the most aggressive malignant brain tumors. Due to the high invasiveness of this cancer, surgical removal is often not possible, and relapses after surgery are very common, making current treatments ineffective. Developing new therapies or treatment combinations remains [...] Read more.
Glioblastoma (GB) is one of the most aggressive malignant brain tumors. Due to the high invasiveness of this cancer, surgical removal is often not possible, and relapses after surgery are very common, making current treatments ineffective. Developing new therapies or treatment combinations remains a major challenge in managing GB. Metformin (MET), an anti-diabetic medication, has recently gained attention for its potential anticancer effects. To better understand how MET inhibits GB growth at the molecular level, we studied its impact on survivin, a member of the inhibitor of apoptosis (IAP) family that is essential for GB cell survival, resistance to radio- and chemotherapy, and tumor recurrence. Using T98G and U87-MG cell lines, we performed cell viability, migration, and invasion assays, along with Western blot analysis, ChIP assays, and gene silencing experiments to examine key signaling pathways. We found that MET effectively inhibits the growth, viability, and invasiveness of GB cell lines through a molecular mechanism involving activation of the AMPK/FoxO3a/survivin pathway. In vivo studies support these findings, showing increased FoxO3a and decreased survivin in brain tissue sections from metformin-treated mice compared with untreated controls. These results suggest new possibilities for repurposing MET as an adjuvant treatment for GB. Full article
(This article belongs to the Topic Advances in Glioblastoma: From Biology to Therapeutics)
Show Figures

Graphical abstract

21 pages, 4097 KB  
Article
Acetylcholinesterase Inhibition Reverses Age-Related Pulmonary Decline and Increases Bronchus-Associated Lymphoid Tissue Formation in Aged Mice
by Kyle Kenny, Ingrid R. Niesman, Kee S. Moon, Mark Sussman, Morgan K. Wright, Dylan Dawood and Joy A. Phillips
Biology 2026, 15(3), 270; https://doi.org/10.3390/biology15030270 - 3 Feb 2026
Viewed by 584
Abstract
Age-related chronic, low-grade inflammation, known as inflammaging, contributes to tissue damage and disease. In the lungs, inflammaging leads to abnormal tissue remodeling, reduced function, and decreased immunity. A key factor in inflammaging is declining acetylcholine signaling, which normally suppresses inflammation and promotes tissue [...] Read more.
Age-related chronic, low-grade inflammation, known as inflammaging, contributes to tissue damage and disease. In the lungs, inflammaging leads to abnormal tissue remodeling, reduced function, and decreased immunity. A key factor in inflammaging is declining acetylcholine signaling, which normally suppresses inflammation and promotes tissue repair. We tested whether increasing acetylcholine responsiveness could reverse age-related lung damage. Aged mice were treated with donepezil to increase acetylcholine availability. After six months, blood oxygen saturation and voluntary activity were significantly improved. Histologically, treated mice showed a reversal of alveolar enlargement (a hallmark of emphysema) and complete restoration of elastic fibers. Donepezil treatment also dramatically increased bronchus-associated lymphoid tissue (iBALT) formation. iBALT is the repository of tissue-resident memory lymphocytes, including memory cholinergic lymphocytes that produce acetylcholine to suppress inflammation during secondary infections. The age-related loss of iBALT contributes to the increased risks associated with respiratory infection in the elderly. This indicates that age-related lung function and respiratory immune deficits can be modulated by improving acetylcholine signaling. Repurposing an approved medication provides a direct pathway to clinical application for improving respiratory health and infection resistance during aging. Full article
(This article belongs to the Section Medical Biology)
Show Figures

Figure 1

16 pages, 3918 KB  
Article
Rethinking Manuscript Reuse: Sino-Khotanese Scrolls from Dunhuang
by Imre Galambos
Religions 2026, 17(2), 179; https://doi.org/10.3390/rel17020179 - 2 Feb 2026
Viewed by 339
Abstract
Several dozen Chinese scrolls from Dunhuang contain Khotanese writings on the verso. The contents of the Khotanese side are relatively diverse, including drafts letters and reports addressed to the Khotanese court, accounts and contracts, writing exercises, narrative works such as the Rāmāyaṇa and [...] Read more.
Several dozen Chinese scrolls from Dunhuang contain Khotanese writings on the verso. The contents of the Khotanese side are relatively diverse, including drafts letters and reports addressed to the Khotanese court, accounts and contracts, writing exercises, narrative works such as the Rāmāyaṇa and Sudhanāvadāna, lyrical poetry, medical treatises and Buddhist texts. By contrast, the Chinese side is significantly more uniform in content and appearance, comprising popular Mahāyāna scriptures copied in an even script, adhering to a regular layout. Although the Chinese sūtras were for the most part copied during the Sui-Tang era or the subsequent period of Tibetan rule over Dunhuang, the Khotanese writings seem to have been added significantly later, during the long tenth century. The reuse of Chinese Buddhist scrolls to write unrelated content—in Chinese and other languages—has typically been explained as the practice of recycling discarded manuscripts. Such explanations essentially see the Chinese sūtras on the recto as waste that was no longer wanted. This paper argues that the repurposing of Chinese scrolls could not have been exclusively motivated by paper shortage and the desire to cut costs. The paper situates this phenomenon within a broader range of reuse practices attested in Buddhist communities across Asia. The central argument advanced here is that reuse often involved a deliberate engagement with earlier textual layers, which retained aspects of their meaning even as new texts were added to the manuscript. Full article
Show Figures

Figure 1

33 pages, 3230 KB  
Article
E-Waste Quantification and Machine Learning Forecasting in a Data-Scarce Context
by Abubakarr Sidique Mansaray, Alfred S. Bockarie, Mariatu Barrie-Sam, Mohamed A. Kamara, Monya Konneh, Billoh Gassama, Morrison M. Saidu, Musa Kabba, Alhaji Alhassan Sheriff, Juliet S. Norman, Foday Bainda and Joe M. Beah
Sustainability 2026, 18(3), 1287; https://doi.org/10.3390/su18031287 - 27 Jan 2026
Viewed by 725
Abstract
Quantifying e-waste in Sub-Saharan Africa remains constrained by scarce data, weak institutional reporting, and the dominance of informal sector activity. We present the first nationwide assessment of e-waste generation and Random Forest-based national forecasting in Sierra Leone. A mixed-methods survey administered 6000 questionnaires [...] Read more.
Quantifying e-waste in Sub-Saharan Africa remains constrained by scarce data, weak institutional reporting, and the dominance of informal sector activity. We present the first nationwide assessment of e-waste generation and Random Forest-based national forecasting in Sierra Leone. A mixed-methods survey administered 6000 questionnaires across all 16 districts, targeting households, institutions, enterprises, and informal actors. The study documented devices in use, storage, and disposal across the following six categories: ICT, appliances, lighting, batteries, medical, and other electronics. Population growth and device adoption simulations were combined with lifespan distributions and a Random Forest model trained on survey and simulated historical data to construct e-waste flows and forecast quantities through to 2050, including disposal fate probabilities for repurposing versus discarding. The results showed sharp spatial disparities, with Western Urban (Freetown) averaging about 10 kg per capita compared to 1.8 kg per capita in rural areas. Long-term district patterns were highly concentrated: 50-year annual averages indicated that Western Area Urban contributes 15.3% of national totals, followed by Bo (12.7%) and Western Area Rural (12.1%), with the top five districts contributing 59.1%. By 2050, total national e-waste entering reuse and disposal pathways was projected to reach 23.4 kilo tons per year (kt yr−1) with a 95% uncertainty interval (UI) of 11–42 kt yr−1 (and a 99% interval extending to 50 kt yr−1), corresponding to 0.9–3.4 kg/capita/year. Household appliances dominated total mass, ICT devices exhibited high reuse rates, and batteries showed minimal reuse despite high hazard potential. These findings provide critical evidence for e-waste policy, regulation, and infrastructure planning in data-scarce regions. Full article
Show Figures

Figure 1

23 pages, 800 KB  
Review
Repurposing Renin–Angiotensin System Drugs for the Treatment of Audiovestibular Disorders
by Grant Podhajsky, Kiran S. Marla, Alec P. Marticoff, Kenny Nguyen, Tanner Kempton, Sepehr Salehpour, Caden Duffy and Douglas M. Bennion
J. Clin. Med. 2026, 15(2), 743; https://doi.org/10.3390/jcm15020743 - 16 Jan 2026
Viewed by 860
Abstract
Audiovestibular disorders arising from the inner ear (e.g., hearing loss, tinnitus, vertigo) are widely prevalent in the United States. Yet, medical treatments targeting the underlying pathology of these disorders remain scarce. The practice of repurposing FDA-approved drugs for new therapeutic indications has become [...] Read more.
Audiovestibular disorders arising from the inner ear (e.g., hearing loss, tinnitus, vertigo) are widely prevalent in the United States. Yet, medical treatments targeting the underlying pathology of these disorders remain scarce. The practice of repurposing FDA-approved drugs for new therapeutic indications has become increasingly common, offering a lower risk route to treatment development with fewer barriers to implementation, as safety profiles are already established. The renin–angiotensin system (RAS) is well known for its role in blood pressure and fluid balance, and its overactivation induces acute and chronic inflammation and oxidative stress. This review discusses existing evidence and proposed otoprotective mechanisms of RAS inhibition, specifically using angiotensin II type 1 receptor blockers (ARBs), which support the repurposing of these medications as novel treatments to affect the inner ear pathologies that underlay hearing loss, tinnitus, and vertigo. Full article
(This article belongs to the Special Issue Diagnosis and Treatment for Hearing Loss: Expert Views)
Show Figures

Figure 1

23 pages, 1376 KB  
Review
Immunomodulatory Effects of Lidocaine: Mechanisms of Actions and Therapeutic Applications
by Jianwei Wu, Quanfu Chen, Zhiling He, Bin Yang, Zhenhua Dai and Feifei Qiu
Pharmaceuticals 2026, 19(1), 134; https://doi.org/10.3390/ph19010134 - 12 Jan 2026
Viewed by 1307
Abstract
Lidocaine, an amide-type regional anesthetic, has been an important medication in the field of anesthesia since its clinical approval. Recently, lidocaine has emerged as a powerful immunomodulatory agent beyond its classical anesthetic properties. This review has summarized the recent basic and clinical studies [...] Read more.
Lidocaine, an amide-type regional anesthetic, has been an important medication in the field of anesthesia since its clinical approval. Recently, lidocaine has emerged as a powerful immunomodulatory agent beyond its classical anesthetic properties. This review has summarized the recent basic and clinical studies with sufficient evidence on the multifaceted effects of lidocaine on both innate and adaptive immune cells, including macrophages, neutrophils, eosinophils, basophils, natural killer (NK) cells, mast cells, dendritic cells (DCs), monocytes, and T lymphocytes. We have also detailed how lidocaine affects critical cellular processes, such as cellular polarization, cytokine production, phagocytosis, and apoptosis, through multiple signaling pathways, including NF-κB, TLR4/p38 MAPK, voltage-sensitive sodium channels, HIF1α, TGF-β/Smad3, AMPK-SOCS3, TBK1-IRF7, and G protein-coupled receptors. These immunoregulatory effects of lidocaine are dependent on its concentration, duration of action, and the microenvironment. The immunomodulatory actions of lidocaine may contribute to its potential therapeutic value in various settings of diseases, such as cancer, sepsis, acute lung injury, asthma, organ transplantation, ischemia–reperfusion injury (IRI), and diabetes. We propose that lidocaine can be repurposed as an immunomodulator for treating immune-mediated inflammatory diseases. However, future research should define optimal dosing strategies, validate its mechanisms of action in clinical trials, and explore its novel clinical applications as a complementary immunotherapy. Full article
(This article belongs to the Section Pharmacology)
Show Figures

Figure 1

27 pages, 663 KB  
Review
Centrally Acting Skeletal Muscle Relaxants Sharing Molecular Targets with Drugs for Neuropathic Pain Management
by Judit Mária Kirchlechner-Farkas, David Arpad Karadi, Imre Boldizsár, Nariman Essmat, Anna Rita Galambos, Zoltán Patrik Lincmajer, Sarah Kadhim Abbood, Kornél Király, Éva Szökő, Tamás Tábi and Mahmoud Al-Khrasani
Brain Sci. 2026, 16(1), 67; https://doi.org/10.3390/brainsci16010067 - 31 Dec 2025
Viewed by 1128
Abstract
Treatment of neuropathic pain (NP) remains a challenge in clinical practice because the current treatment approaches produce satisfactory pain alleviation in only 30% of patients. This necessitates developing novel drugs or repurposing existing medications intended to manage other diseases. When the repurposing intendance [...] Read more.
Treatment of neuropathic pain (NP) remains a challenge in clinical practice because the current treatment approaches produce satisfactory pain alleviation in only 30% of patients. This necessitates developing novel drugs or repurposing existing medications intended to manage other diseases. When the repurposing intendance is chosen, similarity in the pharmacological properties should be hosted by the candidate drugs. Herein, this review sheds light on the mechanisms of certain centrally acting skeletal muscle relaxants (CMRs), specifically tolperisone. So far, data indicate that tolperisone displays voltage-gated sodium channel (VGSC) blocking properties with modulatory effect on voltage-gated calcium channels (VGCCs). These properties have led to recent preclinical research initiatives testing tolperisone in NP, resulting in positive outcomes. Furthermore, the review highlights the currently available VGSC blockers and proposes a strategy based on combining them with VGCC blockers that have been proven for the treatment of NP. This proposal is supported by the fact that tolperisone, in combination with pregabalin, has recently been shown to acutely halt NP. Full article
(This article belongs to the Special Issue Cellular and Molecular Mechanisms of Neuropathic Pain)
Show Figures

Figure 1

26 pages, 2475 KB  
Review
Current Advances in Developing New Antimicrobial Agents Against Non-Tuberculous Mycobacterium
by Jane Cross, Nupur Gargate and Khondaker Miraz Rahman
Antibiotics 2025, 14(12), 1189; https://doi.org/10.3390/antibiotics14121189 - 21 Nov 2025
Cited by 1 | Viewed by 2064
Abstract
Non-tuberculous mycobacteria (NTM) comprise more than 190 species capable of causing severe pulmonary, lymphatic, cutaneous, and disseminated infections, particularly in immunocompromised populations. Over the past two decades, the global incidence of NTM infections has risen steadily, underscoring an urgent unmet medical need. Treatment [...] Read more.
Non-tuberculous mycobacteria (NTM) comprise more than 190 species capable of causing severe pulmonary, lymphatic, cutaneous, and disseminated infections, particularly in immunocompromised populations. Over the past two decades, the global incidence of NTM infections has risen steadily, underscoring an urgent unmet medical need. Treatment remains highly challenging due to intrinsic antimicrobial resistance and the requirement for prolonged multidrug regimens that are often poorly tolerated and associated with unsatisfactory outcomes. At the same time, the development of novel therapies has lagged behind other disease areas, hindered by the high costs of antimicrobial drug discovery and the relatively low commercial return compared with treatments for chronic conditions. Over the past decade, discovery and development have diversified across novel small molecules, next-generation analogues of existing classes, and adjunctive or host-directed strategies. While most candidates remain preclinical, several agents have advanced clinically in other infections, including gepotidacin (topoisomerase inhibitor; FDA-approved 2025 for urinary tract infection (UTI)), sulbactam–durlobactam (DBO β-lactamase inhibitor; FDA-approved 2023 for Acinetobacter baumannii complex), and contezolid, supporting repurposing opportunities for NTM. Conversely, SPR720 (gyrase B prodrug) was suspended after not meeting its Phase 2 endpoint in 2024, underscoring translational risk. Overall, the NTM pipeline is expanding, with near-term progress most likely from repurposed agents and optimised combinations, alongside earlier-stage candidates that target biofilms or resistance mechanisms. This review aims to provide a critical and up-to-date overview of emerging antimicrobial strategies against NTM, highlighting recent advances, translational challenges, and opportunities to accelerate the development of effective therapeutics. Full article
Show Figures

Graphical abstract

31 pages, 1106 KB  
Review
AΙ-Driven Drug Repurposing: Applications and Challenges
by Paraskevi Keramida, Nikolaos K. Syrigos, Marousa Kouvela, Garyfallia Poulakou, Andriani Charpidou and Oraianthi Fiste
Medicines 2025, 12(4), 28; https://doi.org/10.3390/medicines12040028 - 13 Nov 2025
Cited by 1 | Viewed by 3993
Abstract
Drug repurposing is the process of discovering new therapeutic indications for already existing drugs. By using already approved molecules with known safety profiles, this approach reduces the time, costs, and failure rates associated with traditional drug development, accelerating the availability of new treatments [...] Read more.
Drug repurposing is the process of discovering new therapeutic indications for already existing drugs. By using already approved molecules with known safety profiles, this approach reduces the time, costs, and failure rates associated with traditional drug development, accelerating the availability of new treatments to patients. Artificial Intelligence (AI) plays a crucial role in drug repurposing by exploiting various computational techniques to analyze and process big datasets of biological and medical information, predict similarities between biomolecules, and identify disease mechanisms. The purpose of this review is to explore the role of AI tools in drug repurposing and underline their applications across various medical domains, mainly in oncology, neurodegenerative disorders, and rare diseases. However, several challenges remain to be addressed. These include the need for a deeper understanding of molecular mechanisms, ethical concerns, regulatory requirements, and issues related to data quality and interpretability. Overall, AI-driven drug repurposing is an innovative and promising field that can transform medical research and drug development, covering unmet medical needs efficiently and cost-effectively. Full article
Show Figures

Figure 1

18 pages, 324 KB  
Review
Drug Repurposing in Veterinary Oncology: Myth or Reality?
by Stefano Ciccarelli, Chiara Perrone, Maria Alfonsa Cavalera and Antonio Giuliano
Vet. Sci. 2025, 12(11), 1067; https://doi.org/10.3390/vetsci12111067 - 6 Nov 2025
Cited by 1 | Viewed by 2719
Abstract
Drug repurposing, that is, the identification of new therapeutic indications for existing medications, has been shown to be a cost-effective and time-efficient alternative to de novo drug development. This review provides a comprehensive overview of repurposed drugs in veterinary oncology, describing their mechanisms [...] Read more.
Drug repurposing, that is, the identification of new therapeutic indications for existing medications, has been shown to be a cost-effective and time-efficient alternative to de novo drug development. This review provides a comprehensive overview of repurposed drugs in veterinary oncology, describing their mechanisms of action, current evidence of clinical benefit, and translational relevance. The therapeutic agents discussed include non-steroidal anti-inflammatory drugs (e.g., piroxicam), metabolic modulators (e.g., metformin), anti-parasitic drugs (e.g., fenbendazole), immunomodulators (e.g., thalidomide, oclacitinib), cardiovascular agents (e.g., propranolol, statins, losartan), and other compounds such as auranofin and disulfiram. A critical evaluation of the extant evidence-based data from preclinical research, naturally occurring tumor models, and clinical studies is provided, with particular emphasis on both the therapeutic potential and the current limitations. The present review also focused on combination strategies and multimodal protocols, where repurposed drugs may enhance the efficacy of chemotherapy, targeted therapies, or immunotherapy. Challenges to clinical implementation, including limited funding, regulatory and ethical considerations, and the need for well-designed, multi-institutional clinical trials, are discussed. Ultimately, drug repurposing represents a practical and translationally valuable approach to broaden therapeutic options, improve quality of life in companion animals, and advance comparative oncology by promoting progress that benefits both veterinary and human patients. Full article
(This article belongs to the Special Issue Focus on Tumours in Pet Animals: 2nd Edition)
Back to TopTop