Sign in to use this feature.

Years

Between: -

Subjects

remove_circle_outline
remove_circle_outline
remove_circle_outline
remove_circle_outline
remove_circle_outline
remove_circle_outline
remove_circle_outline
remove_circle_outline
remove_circle_outline

Journals

remove_circle_outline
remove_circle_outline
remove_circle_outline
remove_circle_outline
remove_circle_outline
remove_circle_outline
remove_circle_outline
remove_circle_outline
remove_circle_outline
remove_circle_outline
remove_circle_outline
remove_circle_outline
remove_circle_outline
remove_circle_outline

Article Types

Countries / Regions

remove_circle_outline
remove_circle_outline
remove_circle_outline

Search Results (342)

Search Parameters:
Keywords = regression discontinuity

Order results
Result details
Results per page
Select all
Export citation of selected articles as:
11 pages, 1157 KB  
Article
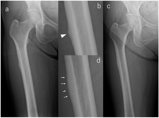
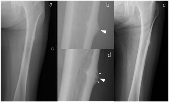
Radiographic Evolution of Contralateral Asymptomatic Incomplete Atypical Femoral Fractures in Autoimmune Disease Patients
by Tomofumi Nishino, Kojiro Hyodo, Yukei Matsumoto, Yohei Yanagisawa, Koshiro Shimasaki, Ryunosuke Watanabe, Tomohiro Yoshizawa and Hajime Mishima
Diagnostics 2026, 16(2), 350; https://doi.org/10.3390/diagnostics16020350 - 21 Jan 2026
Abstract
Background/Objectives: Atypical femoral fracture (AFF) represents a diagnostic and therapeutic challenge, particularly in autoimmune disease patients receiving long-term bisphosphonate (BP) and glucocorticoid (GC) therapy. Although bilateral AFF is common, the radiographic evolution of asymptomatic incomplete lesions identified at the time of a complete [...] Read more.
Background/Objectives: Atypical femoral fracture (AFF) represents a diagnostic and therapeutic challenge, particularly in autoimmune disease patients receiving long-term bisphosphonate (BP) and glucocorticoid (GC) therapy. Although bilateral AFF is common, the radiographic evolution of asymptomatic incomplete lesions identified at the time of a complete fracture remains insufficiently defined. This study aimed to characterize the natural history and imaging biomarkers associated with progression in this biologically homogeneous high-risk population. Methods: Ten female autoimmune disease patients with complete AFF and asymptomatic incomplete contralateral lesions were retrospectively evaluated over a mean 59 months. Serial radiographs were assessed for cortical beaking, periosteal flaring, and transverse radiolucent lines. All patients discontinued BP therapy postoperatively; teriparatide was administered when tolerated. Results: Six lesions regressed, three remained stable, and one progressed—this progressing case being the only limb with a transverse radiolucent line at baseline. No patient developed symptoms or sustained a complete fracture on the contralateral side. Radiographic remodeling occurred independently of symptoms. BP discontinuation and, when tolerated, teriparatide appeared to contribute to lesion stabilization, although statistical significance was not achieved. Conclusions: In autoimmune patients with severe long-term BP and GC exposure, most asymptomatic incomplete AFF identified at the time of contralateral complete fracture remains stable or improves under conservative management. A transverse radiolucent line is the most decisive imaging biomarker predictive of progression and warrants intensified surveillance or consideration of prophylactic fixation. Larger cohorts are needed to refine risk stratification algorithms and optimize diagnostic and management strategies. Full article
Show Figures

Figure 1

18 pages, 1446 KB  
Article
Unveiling the Impact of Mandatory IP Location Disclosure on Social Media Users’ Shared Emotions: A Regression Discontinuity Analysis Based on Weibo Data
by Heng Zhang, Aiping Gao, Zhuyu Chen and Xinyuan Lu
Information 2026, 17(1), 63; https://doi.org/10.3390/info17010063 - 9 Jan 2026
Viewed by 218
Abstract
Social media serves as a vital channel for emotional expression, yet mandatory IP location disclosure raises concerns about how reducing anonymity affects users’ shared emotions, particularly in privacy-sensitive contexts such as mental health discussions. In 2022, all Chinese social media platforms implemented this [...] Read more.
Social media serves as a vital channel for emotional expression, yet mandatory IP location disclosure raises concerns about how reducing anonymity affects users’ shared emotions, particularly in privacy-sensitive contexts such as mental health discussions. In 2022, all Chinese social media platforms implemented this disclosure feature. This study examines the emotional and behavioral consequences of Sina Weibo’s mandatory IP location disclosure policy, which took effect on 28 April 2022. We collected 193,761 Weibo posts published under the topic of depression from 1 March to 30 June 2022, and applied sentiment analysis combined with regression discontinuity in time (RDiT) to estimate causal effects around the policy threshold. Results indicate that the policy significantly intensified negative emotional expression: the estimated discontinuity is −1.3506 (p < 0.01), meaning posts became more negative immediately after implementation. In contrast, the effect on positive sentiment was comparatively weak and mostly statistically insignificant. Behavioral changes were also observed: both average daily posting volume and average text length are declined. These findings demonstrate that mandatory disclosure can suppress self-disclosure and amplify negative emotional tone in privacy-sensitive settings, offering practical guidance for users, platform designers, and policymakers on implementing transparency features responsibly. Full article
(This article belongs to the Special Issue Machine Learning and Data Mining for User Classification, 2nd Edition)
Show Figures

Figure 1

10 pages, 963 KB  
Article
Higher Anti-Drug Antibody Levels to Anti-Tumor Necrosis Factor Therapies Are Associated with Treatment Failure in Patients with Inflammatory Bowel Disease
by Alessandra Saraga, Tina Deyhim, Ajay Gade, Grace Geeganage, Mostafa Soliman, Nathan David Vanshelboym Rothschild, Samantha Zullow, Loren G. Rabinowitz, Laurie B. Grossberg, Adam S. Cheifetz and Konstantinos Papamichael
J. Clin. Med. 2026, 15(2), 547; https://doi.org/10.3390/jcm15020547 - 9 Jan 2026
Viewed by 193
Abstract
Background/Objectives: There is limited data regarding the association of anti-drug antibody (ADA) levels with the efficacy of anti-tumor necrosis factor (anti-TNF) therapy in patients with inflammatory bowel disease (IBD). We aimed to investigate the association between antibody to adalimumab (ATA) and antibody to [...] Read more.
Background/Objectives: There is limited data regarding the association of anti-drug antibody (ADA) levels with the efficacy of anti-tumor necrosis factor (anti-TNF) therapy in patients with inflammatory bowel disease (IBD). We aimed to investigate the association between antibody to adalimumab (ATA) and antibody to infliximab (ATI) levels and treatment failure in IBD. Methods: This single-center, retrospective cohort study included consecutive IBD patients with ADA evaluated with a drug-tolerant assay between September 2012 and February 2023. A time-to-event analysis was performed for treatment failure, defined as the need for drug discontinuation due to primary non-response, loss of response, a serious adverse event, or an IBD-related surgery. Patients were followed from first positive ADA until treatment failure or the end of the follow-up (May 2024). Results: The study population consisted of 134 patients with IBD [n = 58 (43%) on adalimumab; n = 86, (64%) with Crohn’s disease]. Multiple COX regression analysis identified higher ADA levels to be associated with treatment failure (HR: 1.034, 95%CI: 1.024–1.045, p < 0.001). A ROC analysis identified an ATA and ATI level threshold of 5.2 U/mL (AUC: 0.705; 95%CI: 0.569–0.841; p = 0.003; sensitivity: 64%; specificity: 82%) and 8.8 U/mL (AUC: 0.809; 95%CI: 0.713–0.906; p < 0.001; sensitivity: 69%; specificity: 93%), respectively, to distinguish patients with or without treatment failure. Conclusions: In this large retrospective cohort study, higher levels of ADA were associated with treatment failure to anti-TNF therapy in IBD. Moreover, we identified ATA and ATI level thresholds of 5.2 U/mL and 8.8 U/mL, respectively, to be associated with treatment failure. Full article
(This article belongs to the Section Gastroenterology & Hepatopancreatobiliary Medicine)
Show Figures

Figure 1

11 pages, 229 KB  
Article
Effectiveness of Bimekizumab in Multi-Failure Psoriatic Patients: A Retrospective, Real-World Multicenter Study
by Francesca Satolli, Giulia Rech, Silvia Gerosa, Laura Bigi, Andrea Conti, Vito Di Lernia, Claudia Lasagni, Rosita Longo, Michela Tabanelli and Federico Bardazzi
J. Pers. Med. 2026, 16(1), 27; https://doi.org/10.3390/jpm16010027 - 5 Jan 2026
Viewed by 190
Abstract
Background/Objectives: Patients with moderate-to-severe psoriasis who experience inadequate response or loss of efficacy to multiple biologic agents (“multi-failure patients”) represent a particularly challenging subgroup in clinical practice. Evidence regarding the efficacy of bimekizumab in this setting is still limited. This multicentre, real-life study [...] Read more.
Background/Objectives: Patients with moderate-to-severe psoriasis who experience inadequate response or loss of efficacy to multiple biologic agents (“multi-failure patients”) represent a particularly challenging subgroup in clinical practice. Evidence regarding the efficacy of bimekizumab in this setting is still limited. This multicentre, real-life study aimed to evaluate the effectiveness, safety, and treatment persistence of bimekizumab in patients with moderate-to-severe psoriasis who had failed at least two previous biologic therapies. Methods: This multicentre, retrospective, real-life study across Italian referral centers retrospectively collected clinical data from 33 adult patients with plaque psoriasis treated with bimekizumab across Italian referral centers. Efficacy was assessed through changes in Psoriasis Area and Severity Index (PASI) and Dermatology Life Quality Index (DLQI) scores at weeks 4 and 16. Logistic regression was performed to identify predictors of treatment response, and Kaplan–Meier analysis evaluated drug survival up to 12 months. Results: The mean baseline PASI was 14.5 ± 7.1, decreasing to 1.5 ± 4.0 at week 16 (p < 0.001). PASI90 and PASI100 responses were achieved by 57.6% and 42.4% of patients at this timepoint, respectively, while mean DLQI improved by 84.2%. In this small cohort, no significant differences in efficacy were observed according to the number or class of prior biologic failures. Genital psoriasis was associated with a lower likelihood of achieving PASI100. Adverse events were generally mild to moderate in severity and manageable in routine clinical practice. No discontinuations occurred due to lack of efficacy; all withdrawals were related to mild adverse events or personal reasons. Twelve-month drug survival reached 85.4% (95% CI 63.8–100). Conclusions: Bimekizumab demonstrated rapid, marked, and sustained clinical improvements with a favorable safety profile in multi-failure psoriasis patients. These findings support its role as an effective and well-tolerated therapeutic option for individuals with highly refractory disease in real-life practice. Full article
(This article belongs to the Special Issue Personalized Medicine in Dermatology: Current Status and Challenges)
21 pages, 552 KB  
Article
Durvalumab-Based First-Line Chemoimmunotherapy in Advanced Biliary Tract Cancer: Real-World Outcomes and Prognostic Factors—A Turkish Oncology Group Study
by Safa Can Efil, Fatih Kus, Bahadir Koylu, Bekir Mert Durukan, Selami Bayram, Halil Goksel Guzel, Banu Ozturk, Harun Muglu, Ahmet Bilici, Fatih Kose, Ozkan Alan, Eda Karapelit Agitoglu, Gurkan Guner, Ali Ayberk Besen, Kaan Helvaci, Murat Araz, Turgut Kacan, Cagatay Arslan, Ahmet Unal, Emine Bihter Eniseler, Sedat Biter, Ferhat Ekinci, Ferit Aslan, Ilkay Tugba Unek, Semra Tas, Omer Acar, Ozturk Ates, Teoman Sakalar, Sinem Akbas, Hilal Karakas, Muhammed Bulent Akinci, Bulent Yalcin, Suayip Yalcin and Mehmet Ali Nahit Senduradd Show full author list remove Hide full author list
Cancers 2026, 18(1), 101; https://doi.org/10.3390/cancers18010101 - 29 Dec 2025
Viewed by 353
Abstract
Background: Durvalumab combined with gemcitabine–cisplatin (GC) has become the standard first-line treatment for advanced biliary tract cancer (BTC) following the TOPAZ-1 trial. However, real-world effectiveness, safety, and prognostic determinants, particularly in underrepresented populations, remain insufficiently defined. The aim of this study was to [...] Read more.
Background: Durvalumab combined with gemcitabine–cisplatin (GC) has become the standard first-line treatment for advanced biliary tract cancer (BTC) following the TOPAZ-1 trial. However, real-world effectiveness, safety, and prognostic determinants, particularly in underrepresented populations, remain insufficiently defined. The aim of this study was to evaluate the real-world outcomes of first-line durvalumab plus chemotherapy and identify independent prognostic factors in patients with advanced BTC. Methods: This multicenter retrospective cohort study included patients with unresectable or metastatic BTC treated with first-line durvalumab plus chemotherapy across 21 tertiary oncology centers in Türkiye. Clinical characteristics, laboratory parameters, biomarker data, and treatment details were collected. The primary endpoint was overall survival (OS), while secondary endpoints included progression-free survival (PFS), objective response rate (ORR), and safety. Survival outcomes were analyzed using the Kaplan–Meier method and Cox proportional hazards regression models. Results: A total of 78 patients were analyzed; 53.8% were male, and the median age was 62 years. Primary tumor sites were intrahepatic (55.1%), extrahepatic (30.8%), and gallbladder (14.1%). After a median follow-up of 12.58 months, median OS was 11.59 months and median PFS was 6.80 months. The ORR was 50.6%, including complete and partial responses in 2.7% and 47.9% of patients, respectively. Treatment-related adverse events occurred in 97.4% of patients, with grade 3–4 events in 37.2%. Immune-related adverse events were observed in 19.2%, including one case of grade 3 pneumonitis. No patient permanently discontinued durvalumab due to toxicity, and no durvalumab-related mortality occurred. In multivariable analysis, ECOG performance status 2 (HR 3.43; 95% CI 1.33–8.80) and ALBI grade 2–3 (HR 2.54; 95% CI 1.24–5.19) independently predicted worse OS, while ECOG performance status 2 also predicted shorter PFS (HR 5.91; 95% CI 2.30–15.17). Conclusions: In this multicenter real-world Turkish cohort, first-line durvalumab plus chemotherapy showed effectiveness and tolerability comparable to clinical trial data. Baseline ECOG performance status and ALBI grade were independent prognostic factors, supporting their use for risk stratification in advanced biliary tract cancer. Full article
Show Figures

Figure 1

23 pages, 994 KB  
Article
Will IP Location Openness Affect Posts?—An Empirical Examination from Sina Weibo
by Zhong Wang, Weili Huang, Xinxian Pan and Weihong Xie
Information 2025, 16(12), 1107; https://doi.org/10.3390/info16121107 - 15 Dec 2025
Viewed by 504
Abstract
A few countries have requested open IP locations of posters in order to combat rumors and strengthen management. Such policies intensify information surveillance of users, which may in turn influence their online behavior. In the context of multiple governments considering the implementation of [...] Read more.
A few countries have requested open IP locations of posters in order to combat rumors and strengthen management. Such policies intensify information surveillance of users, which may in turn influence their online behavior. In the context of multiple governments considering the implementation of this policy, it is essential to assess its impact. We examine the impact of IP location openness on posters’ behavior and patterns based on the empirical data of Sina Weibo, and analyze the heterogeneous impact on users of different genders. Regression discontinuity and short-run panel data regression results show that IP location openness reduces the frequency of users’ social media participation behavior; specifically, the frequency of reposting microblogs and posting geo-tagged microblogs is remarkably diminished, while the frequency of posting photos is not discernibly changed. Long-run panel data regression results indicate that the overall inhibitory effect on the frequency of social media participation behavior disappears, and it only has a negative effect on posting geo-tagged microblogs. The results of heterogeneity analysis suggest that the short-run negative impact of IP location openness on female users’ social media participation behavior is more remarkable than that of male users. Full article
(This article belongs to the Special Issue Digital Technology and Cyber Security)
Show Figures

Graphical abstract

11 pages, 768 KB  
Article
Safety and Effectiveness of Multi-Switch Between Adalimumab Originator and Biosimilars: A Multicenter (SUSTAIN) Study
by Mohammad Shehab, Anwar Almajdi, Israa Abdullah and Fatema Alrashed
J. Clin. Med. 2025, 14(24), 8819; https://doi.org/10.3390/jcm14248819 - 12 Dec 2025
Viewed by 459
Abstract
Background/Objectives: Biologic therapies have transformed the management of inflammatory bowel disease (IBD), but their high cost has prompted the introduction of biosimilars. Although switching from biologic originators to biosimilars is increasingly common, real-world evidence remains limited. We aimed to explore the safety [...] Read more.
Background/Objectives: Biologic therapies have transformed the management of inflammatory bowel disease (IBD), but their high cost has prompted the introduction of biosimilars. Although switching from biologic originators to biosimilars is increasingly common, real-world evidence remains limited. We aimed to explore the safety and efficacy of switching between biologic originators and biosimilars. Methods: We conducted a retrospective chart review of patients with IBD between 2015 and 2025. Adult patients receiving adalimumab-adaz or adalimumab-atto were included. Patients who were non-medically switched once from adalimumab originator (Humira®) to any biosimilar were classified as group A. Patients who also switched back to originator (multiple switches) were classified as group B. The outcomes of the study were safety and efficacy of the biosimilars. Logistic regression identified switching predictors. Results: A total of 237 patients were included in the study. The number of patients in group A and group B was 208 and 58 patients, respectively. Sustained clinical remission was achieved in 198 (95.4%) of group A and 54 (93.6%) of group B participants. Sustained normalization of inflammatory markers was also comparable, occurring in 190 (91.5%) of group A and 54 (92.3%) of group B participants. No treatment-emergent AEs, infections, or treatment discontinuations were reported in either group (0%). Regression analysis identified older age and prior immunomodulator use as significant predictors of switching. Conclusions: Multiple switches of adalimumab biosimilars can be safely undertaken without increasing the risk of adverse reactions or treatment failure. This study provides meaningful evidence to guide policy and physician confidence in biosimilar interchangeability as a sustainable IBD therapeutic strategy. Full article
(This article belongs to the Special Issue Current Progress in Inflammatory Bowel Disease (IBD))
Show Figures

Graphical abstract

13 pages, 479 KB  
Article
Comparison of Azathioprine-Induced Pancreatitis and Gastrointestinal Intolerance in IBD: Role of Demographics, Clinical Variables, and HLA DQA1/DRB1 Alleles
by Tugce Eskazan, Oguz Kagan Bakkaloglu, Murat Toruner, Haluk Tarik Kani, Bilger Cavus, Volkan Yilmaz, Nalan Gulsen Unal, Ozlen Atug, Burhan Cagcag, Mehtap Dogruel, Erkan Yilmaz, Filiz Akyuz, Yusuf Ziya Erzin, Ali Ibrahim Hatemi and Aykut Ferhat Celik
J. Clin. Med. 2025, 14(23), 8539; https://doi.org/10.3390/jcm14238539 - 2 Dec 2025
Viewed by 501
Abstract
Background: Azathioprine (AZA)-associated acute pancreatitis (AP) and gastrointestinal intolerance (GI-INT) are major causes of drug discontinuation in inflammatory bowel disease (IBD). This study compared HLA alleles, demographics, and clinical variables between AZA-AP and AZA-GI-INT. Methods: Data from five IBD centers included control ( [...] Read more.
Background: Azathioprine (AZA)-associated acute pancreatitis (AP) and gastrointestinal intolerance (GI-INT) are major causes of drug discontinuation in inflammatory bowel disease (IBD). This study compared HLA alleles, demographics, and clinical variables between AZA-AP and AZA-GI-INT. Methods: Data from five IBD centers included control (n = 88), AZA-AP (n = 44), and GI-INT (n = 44) groups. AP was defined by the Atlanta criteria, and GI-INT as acute dyspeptic symptoms related to AZA that resolved after withdrawal. Demographics, disease features, and HLA-DQA1/DRB1 alleles were assessed for associations. Results: Among 176 patients, female sex was more frequent in AZA-AP and GI-INT than controls (p = 0.018, p < 0.001). AZA-AP patients were older at diagnosis vs. controls (p = 0.016) but not vs. GI-INT (p = 0.15). Smoking and alcohol were more common in AZA-AP. The median onset of AP was four weeks, with 91% occurring within three months. GI-INT occurred rapidly, with a median of one day and a maximum of three days after the first dose. HLA-DQA1/DRB1 positivity was comparable in GI-INT and controls (9.2% vs. 14.8%, p = 0.42) but higher in AZA-AP (27.3% vs. 14.8%, p = 0.08). Regression identified female sex, smoking, alcohol, budesonide, and HLA-DQA1/DRB1 positivity (OR 3.01, 95% CI 1.004–9.058; p = 0.049) as independent risk factors for AZA-AP. Conclusions: AZA-AP, but not GI-INT, appears genetically influenced, with HLA-DQA1/DRB1 association extending across populations. In IBD, AZA-AP usually emerges within three months and is linked to female sex, smoking, alcohol, and budesonide. GI-INT typically develops within hours to three days of initiation. These findings support AZA-AP and GI-INT as distinct idiosyncratic entities shaped by genetic, metabolic, and sensitivity factors. Full article
Show Figures

Graphical abstract

15 pages, 2423 KB  
Article
Personalized Circulating Tumor DNA Assay to Assess Long-Term Clinical Benefit in Patients with Advanced Melanoma
by Clara Martínez-Vila, Cristina Teixido, Roberto Martín, Francisco Aya, Sumedha Sudhaman, Griffin L. Budde, Europa Azucena González-Navarro, Llucia Alos, Natalia Castrejon, J. Bryce Ortiz, Michael Krainock, Minetta C. Liu and Ana Arance
Cancers 2025, 17(23), 3804; https://doi.org/10.3390/cancers17233804 - 27 Nov 2025
Viewed by 810
Abstract
Background: Immune checkpoint inhibitors (ICIs) targeting PD-1 have significantly improved outcomes in patients with advanced melanoma. However, the optimal treatment duration remains undefined. Circulating tumor DNA (ctDNA) has emerged as a promising biomarker for treatment response monitoring and surveillance and can predict [...] Read more.
Background: Immune checkpoint inhibitors (ICIs) targeting PD-1 have significantly improved outcomes in patients with advanced melanoma. However, the optimal treatment duration remains undefined. Circulating tumor DNA (ctDNA) has emerged as a promising biomarker for treatment response monitoring and surveillance and can predict long-term clinical outcomes. Methods: Clinical and ctDNA data from prospectively enrolled patients with stage IV melanoma treated with anti–PD-1-based therapy at a single academic center were retrospectively analyzed. Of the 56 patients eligible, 28 underwent serial ctDNA testing during ICI treatment and follow-up (median 31 months) using a personalized, tumor-informed assay. Landmark analysis at 6 and 9 months was performed to assess progression-free survival (PFS) based on ctDNA status. Multivariable Cox regression was used to identify independent predictors of long-term outcomes. Results: Pre-ICI treatment, 91.7% (11/12) of evaluable patients were ctDNA-positive. At 6 months, ctDNA negativity or clearance was observed in 47.4% (9/19), and was strongly associated with improved PFS in the landmark analysis (HR: 10.0, p = 0.03; 2-year PFS: 89% in ctDNA-negative versus 30% in ctDNA-positive groups). At 9 months, persistent ctDNA positivity trended toward worse PFS. Multivariate analysis confirmed ctDNA status at the 6-month landmark timepoint to be an independent predictor of long-term benefit. Conclusions: Tumor-informed ctDNA testing is a robust, non-invasive tool to predict long-term benefit from anti–PD-1-based therapy in advanced melanoma. ctDNA clearance or sustained negativity at 6 months may serve as a surrogate for durable response and could inform individualized treatment discontinuation strategies, and minimize toxicity and cost while maintaining efficacy. These findings, derived from a limited single-center cohort, warrant further exploration and validation in larger studies. Full article
(This article belongs to the Section Cancer Biomarkers)
Show Figures

Figure 1

11 pages, 383 KB  
Article
Mandatory Biological/Targeted Synthetic Disease-Modifying Antirheumatic Drugs Dose Reduction on Risk of Serious Infections in Patients with Rheumatoid Arthritis: A Nationwide Nested Case–Control Study
by Der-Yuan Chen, Ching-Heng Lin, Hsin-Hua Chen, Yi-Ming Chen and Kuo-Tung Tang
Biomedicines 2025, 13(12), 2891; https://doi.org/10.3390/biomedicines13122891 - 26 Nov 2025
Viewed by 630
Abstract
Background: We aimed to investigate the risk for a serious infection in rheumatoid arthritis (RA) patients after tapering the dose of biological/targeted synthetic disease-modifying antirheumatic drugs (b/tsDMARDs). Methods: This nested case–control study investigated the risk for a serious infection in RA [...] Read more.
Background: We aimed to investigate the risk for a serious infection in rheumatoid arthritis (RA) patients after tapering the dose of biological/targeted synthetic disease-modifying antirheumatic drugs (b/tsDMARDs). Methods: This nested case–control study investigated the risk for a serious infection in RA patients who underwent mandatory b/tsDMARDs dose reduction 2.5 years after starting therapy with a single b/tsDMARD in the National Health Insurance Research Database (NHIRD). Cases were those patients who developed a serious infection afterwards. Matched controls were selected from those patients who did not develop a serious infection. We used unconditional logistic regression to analyze the odds ratios (ORs) of b/tsDMARDs dose reduction and discontinuation between cases and controls. Results: RA patients underwent an average dose reduction of 60%. Among a total of 268 cases and 1072 controls, we did not observe a lower risk for a serious infection in those patients who tapered or discontinued b/tsDMARDs. However, those patients who had discontinued b/tsDMARDs had a higher risk for a serious infection when compared with those who had not and had reduced their b/stDMARDs dose reduction below the average (i.e., ≤60%), with an adjusted OR of 1.48 (95%CI: 1.05, 2.09). Conclusions: Dose reduction in b/tsDMARDs in RA patients might not be associated with a lower risk for serious infection. Discontinuation of b/tsDMARDs, however, was likely associated with a higher risk for serious infection. Full article
(This article belongs to the Special Issue Diagnosis, Management and Treatment of Rheumatoid Arthritis)
Show Figures

Figure 1

14 pages, 1220 KB  
Article
Retrospective Analysis of HPV Vaccination Attitudes and Uptake Among Medical Students: Implications for Preventive Healthcare
by Sylwia Kałucka, Janusz Śmigielski, Agnieszka Głowacka, Paulina Oczoś and Izabela Grzegorczyk-Karolak
Vaccines 2025, 13(12), 1188; https://doi.org/10.3390/vaccines13121188 - 24 Nov 2025
Viewed by 1009
Abstract
Background: Human papillomavirus (HPV) vaccination remains a critical preventive strategy against HPV-related cancers, yet uptake among young adults in Poland remains suboptimal. Objectives: This study aimed to assess HPV vaccination status, determinants, and perceived barriers to vaccination among healthcare students. Methods: This retrospective [...] Read more.
Background: Human papillomavirus (HPV) vaccination remains a critical preventive strategy against HPV-related cancers, yet uptake among young adults in Poland remains suboptimal. Objectives: This study aimed to assess HPV vaccination status, determinants, and perceived barriers to vaccination among healthcare students. Methods: This retrospective survey was conducted among 1062 students of the Medical University of Lodz, including those studying Medicine, Nursing, Midwifery, and Public Health. Results: Overall, 20% of respondents reported HPV vaccination, with the highest coverage among midwifery students (26.8%) and the lowest among medical students (16.8%). The major barriers to vaccination were found to be cost and misconceptions regarding vaccination age limits. As most respondents were above 14 years old when receiving the first dose, they were not eligible for the national free vaccination program. The significant motivators were parental influence and guidance from the medical university; however, recommendations for vaccination were infrequent. Multivariable logistic regression analysis found marital status (p = 0.029), paternal medical education (p = 0.003), and prior sexual experience (p = 0.037) to be significantly associated with vaccination status. Adverse events were reported by 45% of vaccinated respondents, most commonly reactions at the injection site. Nursing and midwifery students more often perceived adverse events as moderate or severe, but none discontinued vaccination. Conclusions: These findings underscore the need for financial support mechanisms and targeted educational interventions to enhance HPV vaccine uptake among future healthcare professionals in Poland. Full article
(This article belongs to the Special Issue Prevention of Human Papillomavirus (HPV) and Vaccination)
Show Figures

Figure 1

20 pages, 248 KB  
Article
Knowledge Gaps and Systemic Challenges in Antidepressant Prescribing: Insights from Jordanian Psychiatry Practice
by Bayan Abdulhaq, Walid Sarhan, Mohammed Saadeh, Seif Alkayid, Dana Tahseen Libzo, Mohammad Sadaqa and Latefa Ali Dardas
Healthcare 2025, 13(22), 2954; https://doi.org/10.3390/healthcare13222954 - 18 Nov 2025
Viewed by 773
Abstract
Background: Antidepressant medications are the cornerstone of depression treatment worldwide, playing a central role in reducing the burden of depressive disorders. Their appropriate use is particularly important in low- and middle-income countries (LMICs), where the prevalence of mental health conditions is high [...] Read more.
Background: Antidepressant medications are the cornerstone of depression treatment worldwide, playing a central role in reducing the burden of depressive disorders. Their appropriate use is particularly important in low- and middle-income countries (LMICs), where the prevalence of mental health conditions is high and health systems face increasing demand. Despite the clinical importance of antidepressants, limited evidence exists on how psychiatrists in LMICs prescribe these medications. Jordan, a middle-income country with a growing mental health burden, provides a valuable case study for understanding prescribing patterns and identifying areas for improvement. Objectives: This study examined (1) the knowledge, attitudes, and prescribing practices of Jordanian psychiatrists regarding antidepressant medications, and (2) the perceived challenges hindering optimal prescribing. Methods: A mixed-methods design was employed. Quantitatively, a cross-sectional survey was administered to licensed psychiatrists in Jordan (n = 108; response rate 79.4%). The instrument was adapted from previously published tools on psychotropic prescribing practices and refined using international guidelines and recent reviews on antidepressant use. Qualitatively, semi-structured interviews were conducted with a purposive sample of four psychiatrists to explore systemic, clinical, and contextual barriers to antidepressant prescribing. Survey data were analyzed using descriptive statistics and regression analyses, while interview transcripts were subjected to thematic analysis. Results: Although psychiatrists demonstrated a reasonable understanding of antidepressant pharmacology, important gaps were evident. Only one-third (34.3%) recognized Ministry of Health (MOH) guidelines, while nearly four in ten (37.4%) felt international guidelines did not fully apply to Jordan’s population. Laboratory monitoring for metabolic side effects was inconsistently applied, with just 17.6% always requesting such tests and 11.1% never doing so. Consultation with internal medicine for patients on multiple medications was not routine, reported as “sometimes” by 69.4% of psychiatrists. Attitudes toward prescribing reflected caution, particularly in managing pregnant or lactating women, where only half (51.0%) supported discontinuation and three-quarters (75.9%) preferred dose or drug adjustment. Early-career psychiatrists showed lower engagement, as knowledge and attitude scores were significantly higher among those with 11–20 years of experience compared to those with ≤10 years (p < 0.001). Overall, the findings highlight uneven application of evidence-based practices, reliance on personal clinical judgment, and limited engagement with national standards. Conclusions: Although safety and patient outcomes are valued, systemic, clinician, and patient-related barriers constrain optimal practice. Strengthening national guideline dissemination, ensuring medication access, and supporting continuing professional development could improve prescribing practices in Jordan and similar LMIC contexts. Full article
(This article belongs to the Special Issue Medication Therapy Management in Healthcare)
27 pages, 3681 KB  
Article
A Real-Time Gas Sensor Network with Adaptive Feedback Control for Automated Composting Management
by Abdulqader Ghaleb Naser, Nazmi Mat Nawi, Mohd Rafein Zakaria, Muhamad Saufi Mohd Kassim, Azimov Abdugani Mutalovich and Kamil Kayode Katibi
Sustainability 2025, 17(22), 10152; https://doi.org/10.3390/su172210152 - 13 Nov 2025
Cited by 1 | Viewed by 694
Abstract
This study addressed the persistent limitation of discontinuous and labor-intensive compost monitoring procedures by developing and field-validating a low-cost sensor system for monitoring oxygen (O2), carbon dioxide (CO2), and methane (CH4) under tropical windrow conditions. In contrast [...] Read more.
This study addressed the persistent limitation of discontinuous and labor-intensive compost monitoring procedures by developing and field-validating a low-cost sensor system for monitoring oxygen (O2), carbon dioxide (CO2), and methane (CH4) under tropical windrow conditions. In contrast to laboratory-restricted studies, this framework integrated rigorous calibration, multi-layer statistical validation, and process optimization into a unified, real-time adaptive design. Experimental validation was performed across three independent composting replicates to ensure reproducibility and account for environmental variability. Calibration using ISO-traceable gas standards generated linear correction models, confirming sensor accuracy within ±1.5% for O2, ±304 ppm for CO2, and ±1.3 ppm for CH4. Expanded uncertainties (U95) remained within acceptable limits for composting applications, reinforcing the precision and reproducibility of the calibration framework. Sensor reliability and agreement with reference instruments were statistically validated using analysis of variance (ANOVA), intraclass correlation coefficient (ICC), and Bland–Altman analysis. Validation against a reference multi-gas analyzer demonstrated laboratory-grade accuracy, with ICC values exceeding 0.97, ANOVA showing no significant phase-wise differences (p > 0.95), and Bland–Altman plots confirming near-zero bias and narrow agreement limits. Ecological interdependencies were also captured, with O2 strongly anticorrelated to CO2 (r = −0.967) and CH4 moderately correlated with pH (r = 0.756), consistent with microbial respiration and methanogenic activities. Nutrient analyses indicated compost maturity, marked by increases in nitrogen (+31.7%), phosphorus (+87.7%), and potassium (+92.3%). Regression analysis revealed that ambient temperature explained 25.8% of CO2 variability (slope = 520 ppm °C−1, p = 0.021), whereas O2 and CH4 remained unaffected. Overall, these findings validate the developed sensors as accurate and resilient tools, enabling real-time adaptive intervention, advancing sustainable waste valorization, and aligning with the United Nations Sustainable Development Goals (SDGs) 12 and 13. Full article
Show Figures

Figure 1

21 pages, 660 KB  
Article
Heterogeneous Effects of Income on Physical and Mental Health of the Elderly: A Regression Discontinuity Design Based on China’s New Rural Pension Scheme
by Tao Ju and Mengmeng Pan
Int. J. Environ. Res. Public Health 2025, 22(11), 1709; https://doi.org/10.3390/ijerph22111709 - 13 Nov 2025
Viewed by 860
Abstract
Aging has been a social phenomenon unprecedented in history, which poses greater challenges on ensuring the health of the growing old population. We aim to estimate the effects of pension income on the physical and mental health of the elderly and further explore [...] Read more.
Aging has been a social phenomenon unprecedented in history, which poses greater challenges on ensuring the health of the growing old population. We aim to estimate the effects of pension income on the physical and mental health of the elderly and further explore the complementary effects of external community medical environments with external pension income. We develop a Regression Discontinuity Design using an exogenous shock to the income—China’s New Rural Pension Scheme (NRPS), the world’s largest existing pension scheme. We find that public pension policy provides financial support to the elderly but also increases the loss of their perceived controllability. Specifically, empirical results indicate that pension income plays a positive effect on physical health and a negative effect on mental health. The positive effect only exists when communities have better medical environments, while the negative relationship is not affected by the external medical environment. Our findings reveal that internal pension income and external medical environment are therefore complementary factors to achieve better physical health of the elderly, while passive dependence on pension income may reduce mental health by heightening older people’s negative perceptions of losing controllability of their lives. Money is not omnipotent in both the physical and mental health of the elderly. Full article
Show Figures

Figure 1

13 pages, 1348 KB  
Systematic Review
Prevalence and Risk Factors Associated with the Recurrence of Infantile Hemangiomas After Discontinuation of Propranolol: A Systematic Review and Meta-Analysis
by Chenchen Gong, Xiaojie Yue, Lulu Zhang, Xiong Zhao and Qiang Shu
J. Clin. Med. 2025, 14(21), 7846; https://doi.org/10.3390/jcm14217846 - 5 Nov 2025
Viewed by 874
Abstract
Purpose: The recurrence rate and related risk factors of infantile hemangiomas after treatment discontinuation remain concerns. We aim to evaluate the risk of recurrence after termination of oral propranolol for IHs and its associated risk factors. Methods: The Embase, PubMed, Web of Science, [...] Read more.
Purpose: The recurrence rate and related risk factors of infantile hemangiomas after treatment discontinuation remain concerns. We aim to evaluate the risk of recurrence after termination of oral propranolol for IHs and its associated risk factors. Methods: The Embase, PubMed, Web of Science, and Cochrane Central databases and clinicaltrials.gov were searched comprehensively for relevant studies from the inception of this study to November, 2024. Two independent reviewers conducted the data extraction and quality assessment. This review protocol was registered in the PROSPERO database (CRD42024589110). Results: A total of 1662 patients in 10 studies met the eligibility criteria, which was predominantly retrospective in design. All participants were infants diagnosed with infantile hemangiomas who received oral propranolol therapy; the majority of patients received propranolol treatment for at least six months. The results revealed that the pooled recurrence rate was 20% (95% CI: 15–24%), and 11% of patients required retreatment with propranolol (95% CI: 9–14%). Female sex (OR = 1.76, 95% CI: 1.20–2.59) and IHs located on the head and neck (OR = 2.40, 95% CI 1.59–3.63) increased the risk of recurrence. In contrast, IH type, lesion distribution, duration of therapy, and treatment initiation age showed no significant associations. Additionally, one trial included in this review reported that continued medication for one month after the lesion reaches its maximum degree of regression might increase the risk of recurrence as compared to three months of maintenance (OR = 1.86, 95% CI 0.98–3.5); however, the evidence is limited and preliminary. Conclusions: Female sex and IHs located on the neck or head contribute to the recurrence of IHs after termination of treatment. In addition, the type of IH and withdrawal criteria may influence recurrence risk, although evidence remains limited. Thus, optimizing treatment protocols, including individualized therapy duration and discontinuation strategies, may help reduce recurrence rates. Full article
(This article belongs to the Section Dermatology)
Show Figures

Figure 1

Back to TopTop