Sign in to use this feature.

Years

Between: -

Subjects

remove_circle_outline
remove_circle_outline
remove_circle_outline
remove_circle_outline
remove_circle_outline

Journals

Article Types

Countries / Regions

Search Results (27)

Search Parameters:
Keywords = pyogenic liver abscesses

Order results
Result details
Results per page
Select all
Export citation of selected articles as:
18 pages, 3425 KB  
Article
All About Multiparametric MRI Evaluation in Biliary Tree Complications After Liver Transplant
by Adrian Dumitru Dijmărescu, Cristina Dumitrescu, Cristina Alexandra Nicolae, Robert Mihai Enache and Ioana Gabriela Lupescu
Diagnostics 2026, 16(1), 93; https://doi.org/10.3390/diagnostics16010093 - 27 Dec 2025
Viewed by 294
Abstract
Background/Objectives: To present, discuss, and illustrate the role of multiparametric magnetic resonance imaging (MPMRI) in the evaluation of biliary tree (BT) complications after liver transplantation (LT) as an integrated part into the multidisciplinary team approach for personalized patients’ treatment. Methods: We [...] Read more.
Background/Objectives: To present, discuss, and illustrate the role of multiparametric magnetic resonance imaging (MPMRI) in the evaluation of biliary tree (BT) complications after liver transplantation (LT) as an integrated part into the multidisciplinary team approach for personalized patients’ treatment. Methods: We retrospectively analyzed the MPMRI findings of 317 patients out of 1080 cases with LT, admitted to the Fundeni Clinical Institute from January 2005 to June 2025, who developed biliary complications. Results: Biliary complications after LT evaluated by MPMRI included anastomotic strictures in 235 cases (74%), intra- or extrahepatic bile leaks/biloma in 56 patients (18%), secondary cholangitis due to pyogenic cholangitis in 91 cases (29%), liver abscesses in 23 patients (7%), BT lithiasis in 27 patients (8.5%), disease recurrence in 26 cases (8%), and extrinsic BT compression in 1 case (0.3%). Conclusions: MPMRI plays a crucial role for the evaluation of BT complications, with the protocol being optimized in correlation with the clinical question or suspicion and with the clinical status of the patient. Full article
Show Figures

Figure 1

24 pages, 1487 KB  
Review
Hypervirulent Klebsiella pneumoniae: Insights into Virulence, Antibiotic Resistance, and Fight Strategies Against a Superbug
by Helal F. Hetta, Fawaz E. Alanazi, Mostafa A. Sayed Ali, Ahmed D. Alatawi, Hashim M. Aljohani, Rehab Ahmed, Nuha A. Alansari, Fahad M. Alkhathami, Alaa Albogmi, Bander M. Alharbi, Hanadi S. Alanzi, Amirah B. Alaqyli and Yasmin N. Ramadan
Pharmaceuticals 2025, 18(5), 724; https://doi.org/10.3390/ph18050724 - 15 May 2025
Cited by 13 | Viewed by 10121
Abstract
Community-acquired infections caused by Klebsiella pneumoniae (K. pneumoniae) have become a significant global health concern, particularly with the emergence of hypervirulent strains (hvKP). These strains are associated with severe infections, such as pyogenic liver abscesses, even in otherwise healthy individuals. Initially [...] Read more.
Community-acquired infections caused by Klebsiella pneumoniae (K. pneumoniae) have become a significant global health concern, particularly with the emergence of hypervirulent strains (hvKP). These strains are associated with severe infections, such as pyogenic liver abscesses, even in otherwise healthy individuals. Initially reported in Taiwan in the 1980s, hvKP has now spread worldwide. The pathogenicity of hvKP is attributed to an array of virulence factors that enhance its ability to colonize and evade host immune defenses. Additionally, the convergence of hypervirulence with antibiotic resistance has further complicated treatment strategies. As a member of the ESKAPE group of pathogens, K. pneumoniae exhibits high resistance to multiple antibiotics, posing a challenge for healthcare settings. This review provides a comprehensive overview of hvKP, highlighting its structural and pathogenic differences from classical K. pneumoniae strains, key virulence factors, mechanisms of antibiotic resistance, and the increasing threat of multidrug-resistant hvKP. Lastly, we discuss current treatment guidelines and emerging therapeutic strategies to combat this formidable pathogen. Full article
(This article belongs to the Special Issue Antibiotic Resistance and Misuse)
Show Figures

Graphical abstract

14 pages, 4677 KB  
Article
Combined Prokaryotic Transcriptomics and Proteomics Analysis of Clinical Trueperella pyogenes Isolates with Distinctive Cytotoxicity
by Ning Liu, Qian Li and Qiang Shan
Int. J. Mol. Sci. 2025, 26(4), 1490; https://doi.org/10.3390/ijms26041490 - 11 Feb 2025
Cited by 2 | Viewed by 1252
Abstract
Trueperella pyogenes is a widely distributed opportunistic pathogenic bacterium that can infect livestock, wildlife, community animals, and humans, resulting in suppurative infection of tissue and organ mucosa, including pneumonia, liver abscessation, mastitis, metritis, endocarditis, and osteoarthritis. TP1804 and TP1808 were isolated from the [...] Read more.
Trueperella pyogenes is a widely distributed opportunistic pathogenic bacterium that can infect livestock, wildlife, community animals, and humans, resulting in suppurative infection of tissue and organ mucosa, including pneumonia, liver abscessation, mastitis, metritis, endocarditis, and osteoarthritis. TP1804 and TP1808 were isolated from the uterine lavage fluid of cows with endometritis. This study analyzed the prokaryotic transcriptomics and proteomics of two strains of T. pyogenes with similar growth curves but different cytotoxicity. Studying the metabolic mechanisms of these differentially expressed genes and proteins can greatly promote the discovery of new biomarkers and improve the accuracy of biomarker identification, which is of great value for molecular mechanisms, biomarkers, early diagnosis of diseases, molecular typing, and prognosis. Our results indicate that the control of the virulence by tRNAs to bacteria during ribosome biosynthesis is crucial. Full article
Show Figures

Figure 1

8 pages, 2365 KB  
Case Report
Pathologic Findings of Cranial Abscesses Involving the Pituitary Gland in Free-Ranging White-Tailed Deer (Odocoileus virginianus) in Pennsylvania
by Jack Timmons, Matthew Shaub, Luke Scherer, Ian Gereg, Lauren Maxwell, Lane Potts, Madison Stevens, Madeline Vile, Erica A. Miller and Kevin D. Niedringhaus
Animals 2025, 15(3), 409; https://doi.org/10.3390/ani15030409 - 2 Feb 2025
Cited by 1 | Viewed by 1391
Abstract
Intracranial abscesses are a common cause of morbidity and mortality in neurologic free-ranging white-tailed deer (Odocoileus virginianus). These infections are typically attributed to Trueperella pyogenes and occur most often in adult males with concurrent antler and skull infections. A subset of [...] Read more.
Intracranial abscesses are a common cause of morbidity and mortality in neurologic free-ranging white-tailed deer (Odocoileus virginianus). These infections are typically attributed to Trueperella pyogenes and occur most often in adult males with concurrent antler and skull infections. A subset of intracranial abscesses in white-tailed deer are localized to the pituitary gland, with previously described reports in five white-tailed deer. In this case series, five additional free-ranging white-tailed deer in Pennsylvania were diagnosed with pituitary abscesses at necropsy. Two cases were female deer, and four cases were yearling or juvenile deer. Two cases presented with conjunctivitis and keratitis due to extension of pituitary abscesses into the retrobulbar and peri-orbital spaces. One case had a concurrent liver abscess. This case series demonstrates a unique clinical presentation of keratitis and conjunctivitis and emphasizes the potentially unique pathogenesis for pituitary abscesses compared to other intracranial abscesses described in white-tailed deer. Full article
(This article belongs to the Special Issue Pathology of Wildlife in the Americas)
Show Figures

Figure 1

15 pages, 4878 KB  
Article
Massive Sequencing of V3-V4 Hypervariable Region in Pyogenic Liver Abscesses Reveals the Presence of Unusual Bacteria Not Detected by Classical Culture Methods
by Verónica Fernández-Sánchez, Estibeyesbo Said Plascencia-Nieto, Mónica Alethia Cureño-Díaz, Emilio Mariano Durán-Manuel, Aida Verónica Rodríguez-Tovar, Claudia Camelia Calzada-Mendoza, Clemente Cruz-Cruz, Miguel Ángel Loyola-Cruz, María Elizbeth Álvarez-Sánchez, Juan Carlos Bravata-Alcántara, Enzo Vásquez-Jiménez, Víctor Hugo Gutiérrez-Muñoz, Dulce Milagros Razo Blanco-Hernández, Liliana Nicolás-Sayago, Araceli Rojas-Bernabé, Omar García-Hernández, Erika Gómez-Zamora, Mireya Ruíz-Valdés, Graciela Castro-Escarpulli and Juan Manuel Bello-López
Microorganisms 2025, 13(1), 131; https://doi.org/10.3390/microorganisms13010131 - 10 Jan 2025
Viewed by 2196
Abstract
Pyogenic liver abscesses (PLAs) are serious infections in which doctors often fail in identifying the causative agent due to microbiological limitations. These limitations in detecting uncommon pathogens complicate the treatment and recovery. Molecular techniques, like massive sequencing, enable the detection of uncommon pathogens [...] Read more.
Pyogenic liver abscesses (PLAs) are serious infections in which doctors often fail in identifying the causative agent due to microbiological limitations. These limitations in detecting uncommon pathogens complicate the treatment and recovery. Molecular techniques, like massive sequencing, enable the detection of uncommon pathogens and highlight the shortcomings of traditional cultures. The aim of this work was to characterise the bacterial composition of PLAs through massive sequencing of the V3-V4 hypervariable region of the 16S rRNA gene in cases where conventional culture methods were negative. Purulent material was collected from three patients with PLAs at Hospital Juárez de México. Classical and molecular microbiological cultures were performed in parallel. Metagenomic DNA was extracted and massively sequenced (16S rRNA gene) using the Illumina MiSeq platform. A bioinformatic analysis was performed to determine the diversity at six different taxa levels and the relative abundances. The culture methods were not sufficient to detect the causative agent of the PLAs. However, the massive sequencing revealed the causative agents of the monomicrobial and polymicrobial infectious foci, with Gardnerella vaginalis, Lactobacillus iners, and Prevotella timonensis as the dominant bacteria. The massive sequencing revealed the presence of unusual pathogens that traditional culture failed to detect. There is an immediate need for molecular or comprehensive microbiological culture techniques to search for unusual bacteria in the diagnosis of PLAs. Full article
(This article belongs to the Special Issue Advances in Medical Microbiology)
Show Figures

Figure 1

17 pages, 9364 KB  
Article
Computed Tomographic Findings in Dogs with Hepatic Bacterial Parenchymal Infection and Abscessation
by Luis Maté de Haro, Andrea Vila, Andrea Di Bella, Claudia Mallol, Carlo Anselmi, Jose-Daniel Barreiro-Vazquez, Danica Pollard, Raquel Salgüero, Ella Fitzgerald and Beatriz Moreno-Aguado
Animals 2024, 14(23), 3399; https://doi.org/10.3390/ani14233399 - 25 Nov 2024
Cited by 1 | Viewed by 3953
Abstract
Bacterial liver parenchymal infections in dogs are rarely documented, and their imaging characteristics are scarce in the veterinary literature, especially in Computed Tomography (CT). This retrospective multicentric study aimed to describe the CT characteristics of parenchymal bacterial liver infection and abscessation in dogs [...] Read more.
Bacterial liver parenchymal infections in dogs are rarely documented, and their imaging characteristics are scarce in the veterinary literature, especially in Computed Tomography (CT). This retrospective multicentric study aimed to describe the CT characteristics of parenchymal bacterial liver infection and abscessation in dogs and compare them with the human literature. Twenty dogs met the inclusion criteria. All dogs, except one, showed discrete hepatic lesions consistent with pyogenic liver abscess (19/20). A single case showed diffuse liver changes, which was diagnosed with granulomatous bacterial hepatitis (1/20). Multifocal lesions were associated with the presence of abdominal pain (p = 0.023). CT characteristics of pyogenic liver abscesses in our study resemble those described in the human literature, with multifocal (14/19) or single (5/19), round or ovoid (19/19), hypoattenuating hepatic lesions, which are better visualised in post-contrast images. Pyogenic liver abscesses can also show features such as the “cluster sign” (8/19), transient arterial segmental enhancement (6/10), rim enhancement (6/19), and intralesional gas (4/19). Additional CT findings, such as local lymphadenomegaly (18/20), peritoneal fat stranding (14/20), and peritoneal fluid (13/20), are also commonly observed. Full article
Show Figures

Figure 1

17 pages, 557 KB  
Article
In-Vitro Antimicrobial Activities of Grape Seed, Green Tea, and Rosemary Phenolic Extracts Against Liver Abscess Causing Bacterial Pathogens in Cattle
by Harith M. Salih, Raghavendra G. Amachawadi, Qing Kang, Yonghui Li and Tiruvoor G. Nagaraja
Microorganisms 2024, 12(11), 2291; https://doi.org/10.3390/microorganisms12112291 - 11 Nov 2024
Cited by 3 | Viewed by 2744
Abstract
Liver abscesses, which occur in finishing cattle, are of significant economic concern to the feedlot industry. The causative agents include both Fusobacterium necrophorum subspecies (F. necrophorum and F. funduliforme), Trueperella pyogenes (T. pyogenes), and Salmonella enterica serotype Lubbock (S. [...] Read more.
Liver abscesses, which occur in finishing cattle, are of significant economic concern to the feedlot industry. The causative agents include both Fusobacterium necrophorum subspecies (F. necrophorum and F. funduliforme), Trueperella pyogenes (T. pyogenes), and Salmonella enterica serotype Lubbock (S. Lubbock). Tylosin, a macrolide antibiotic, is supplemented in the feed to reduce liver abscesses. However, due to the concern with emergence of antimicrobial resistance, the antimicrobial activities of the plant-based phenolic compounds could be an antibiotic alternative to control liver abscesses. We investigated the inhibitory activities of phenolic compounds extracted from grape seed, green tea, and rosemary on liver-abscess-causing bacterial pathogens. Total phenolic content was determined spectrophotometrically. Anaerobic Brain–Heart Infusion broth (for Fusobacterium) and Muller–Hinton broth (for S. enterica and T. pyogenes) with phenolic extracts at 0, 0.1, 1, and 2 mg/mL were prepared. Growth was measured at 0, 12, 24 and 48 h by determining bacterial concentrations. A micro-broth dilution method was used to quantify the inhibition. Grape seed and green tea phenolics inhibited growth of both Fusobacterium subspecies, T. pyogenes and S. enterica. Green tea at 1 mg/mL concentration was more effective in inhibiting the growth of Fusobacterium when compared to grape seed and rosemary. Green tea at 2 mg/mL was more effective than at 1 mg/mL against Salmonella. The inhibitory effect was dose-dependent, which was consistent across all strains within the same bacterial species. The phenolic extracts were inhibitory against T. pyogenes with minimum inhibitory concentration ranging from 6.25 to 12.5 µg/mL. Among the phenolic extracts tested, green tea showed the most potent activity, suggesting its strong potential as a natural alternative to conventional antibiotics. Plant-based phenolic compounds supplemented in the feed may have the potential to control liver abscesses. Full article
(This article belongs to the Special Issue Bacterial Antibiotic Resistance, Second Edition)
Show Figures

Figure 1

20 pages, 2431 KB  
Article
Hypervirulent Capsular Serotypes K1 and K2 Klebsiella pneumoniae Strains Demonstrate Resistance to Serum Bactericidal Activity and Galleria mellonella Lethality
by Basaier AL-Busaidi, Muna AL-Muzahmi, Zahra AL-Shabibi, Meher Rizvi, Azza AL-Rashdi, Amina AL-Jardani, Robeena Farzand and Zaaima AL-Jabri
Int. J. Mol. Sci. 2024, 25(3), 1944; https://doi.org/10.3390/ijms25031944 - 5 Feb 2024
Cited by 14 | Viewed by 4581
Abstract
Hypervirulent Klebsiella pneumoniae (hvKp) is a variant that has been increasingly linked to severe, life-threatening infections including pyogenic liver abscess and bloodstream infections. HvKps belonging to the capsular serotypes K1 and K2 have been reported worldwide, however, very scarce studies are available on [...] Read more.
Hypervirulent Klebsiella pneumoniae (hvKp) is a variant that has been increasingly linked to severe, life-threatening infections including pyogenic liver abscess and bloodstream infections. HvKps belonging to the capsular serotypes K1 and K2 have been reported worldwide, however, very scarce studies are available on their genomics and virulence. In the current study, we report four hypermucoviscous extended-spectrum β-lactamase-producing hvKp clinical strains of capsular serotype K1 and K2 isolated from pus and urine of critically ill patients in tertiary care hospitals in Oman. These strains belong to diverse sequence types (STs), namely ST-23(K1), ST-231(K2), ST-881(K2), and ST-14(K2). To study their virulence, a Galleria mellonella model and resistance to human serum killing were used. The G. mellonella model revealed that the K1/ST-23 isolate was the most virulent, as 50% of the larvae died in the first day, followed by isolate K2/ST-231 and K2/ST-14, for which 75% and 50% of the larvae died in the second day, respectively. Resistance to human serum killing showed there was complete inhibition of bacterial growth of all four isolates by the end of the first hour and up to the third hour. Whole genome sequencing (WGS) revealed that hvKp strains display a unique genetic arrangement of k-loci. Whole-genome single-nucleotide polymorphism-based phylogenetic analysis revealed that these hvKp isolates were phylogenetically distinct, belonging to diverse clades, and belonged to different STs in comparison to global isolates. For ST-23(K1), ST-231(K2), ST-881(K2), and ST-14(K2), there was a gradual decrease in the number of colonies up to the second to third hour, which indicates neutralization of bacterial cells by the serum components. However, this was followed by a sudden increase of bacterial growth, indicating possible resistance of bacteria against human serum bactericidal activity. This is the first report from Oman detailing the WGS of hvKp clinical isolates and assessing their resistance and virulence genomics, which reinforce our understanding of their epidemiology and dissemination in clinical settings. Full article
(This article belongs to the Special Issue Diverse Responses of Immune Cells to Bacterial Infections)
Show Figures

Figure 1

20 pages, 9487 KB  
Review
Hydatid Disease: A Radiological Pictorial Review of a Great Neoplasms Mimicker
by Sultan Abdulwadoud Alshoabi, Abdulaziz H. Alkalady, Khaled M. Almas, Abdullatif O. Magram, Ali K. Algaberi, Amal A. Alareqi, Abdullgabbar M. Hamid, Fahad H. Alhazmi, Abdulaziz A. Qurashi, Osamah M. Abdulaal, Khalid M. Aloufi, Walaa M. Alsharif, Kamal D. Alsultan, Awatif M. Omer and Awadia Gareeballah
Diagnostics 2023, 13(6), 1127; https://doi.org/10.3390/diagnostics13061127 - 16 Mar 2023
Cited by 49 | Viewed by 44332
Abstract
Hydatid cyst is a common name for the larval stage of a tapeworm species of Echinococcus granulosus, which is transmitted from animals to humans via the fecal–oral route. Hydatid cysts predominantly affect the liver (75%), followed by the lung (15%), and they [...] Read more.
Hydatid cyst is a common name for the larval stage of a tapeworm species of Echinococcus granulosus, which is transmitted from animals to humans via the fecal–oral route. Hydatid cysts predominantly affect the liver (75%), followed by the lung (15%), and they can affect many organs in the human body. Medical imaging modalities are the keystone for the diagnosis of hydatid cysts with high sensitivity and specificity. Ultrasound imaging with high resolution is the first choice for diagnosis, differential diagnosis, staging, establishing a role in interventional management, and follow-up, and it can differentiate Type I hydatid cysts from simple liver cysts. Unenhanced computed tomography (CT) is indicated where or when an ultrasound is unsatisfactory, such as with chest or brain hydatid cysts, when detecting calcification, and in obese patients. Magnetic resonance imaging (MRI) is superior for demonstrating cyst wall defects, biliary communication, neural involvement, and differentiating hydatid cysts from simple cysts using diffusion-weighted imaging (DWI) sequences. According to the phase of growth, hydatid cysts occur in different sizes and shapes, which may mimic benign or malignant neoplasms and may create diagnostic challenges in some cases. Hydatid cysts can mimic simple cysts, choledochal cysts, Caroli’s disease, or mesenchymal hamartomas of the liver. They can mimic lung cystic lesions, mycetoma, blood clots, Rasmussen aneurysms, and even lung carcinomas. Differential diagnosis can be difficult for arachnoid cysts, porencephalic cysts, pyogenic abscesses, and even cystic tumors of the brain, and can create diagnostic dilemmas in the musculoskeletal system. Full article
(This article belongs to the Section Medical Imaging and Theranostics)
Show Figures

Figure 1

11 pages, 275 KB  
Article
Antimicrobial Resistance Pattern, Pathogenicity and Molecular Properties of Hypervirulent Klebsiella pneumonia (hvKp) among Hospital-Acquired Infections in the Intensive Care Unit (ICU)
by Mohanned Talal Alharbi, Mohammed S. Almuhayawi, Mohammed K. Nagshabandi, Muyassar K. Tarabulsi, Mohammed H. Alruhaili, Hattan S. Gattan, Soad K. Al Jaouni, Samy Selim, Awadh Alanazi, Yasir Alruwaili, Shaimaa Mohamed Zaied and Osama Ahmed Faried
Microorganisms 2023, 11(3), 661; https://doi.org/10.3390/microorganisms11030661 - 6 Mar 2023
Cited by 27 | Viewed by 4672
Abstract
Hypervirulent Klebsiella pneumoniae (hvKp) is a new emerging variant of K. pneumoniae that is increasingly reported worldwide. The variant hvKp is known to cause severe invasive community-acquired infections such as metastatic meningitis, pyogenic liver abscesses (PLA) and endophthalmitis, but its role in hospital-acquired [...] Read more.
Hypervirulent Klebsiella pneumoniae (hvKp) is a new emerging variant of K. pneumoniae that is increasingly reported worldwide. The variant hvKp is known to cause severe invasive community-acquired infections such as metastatic meningitis, pyogenic liver abscesses (PLA) and endophthalmitis, but its role in hospital-acquired infections (HAIs) is little known. The aim of this study was to evaluate the prevalence of hvKp among hospital-acquired (HA) K. pneumoniae infections in the intensive care unit (ICU) and to compare between hvKp and classical K. pneumoniae (cKP) regarding antimicrobial resistance pattern, virulence and molecular characteristics. The study was cross-sectional and included 120 ICU patients suffering from HA K. pneumoniae infections between January and September 2022. K. pneumoniae isolates were subjected to antimicrobial susceptibility testing and detection of extended-spectrum-β-lactamase (ESBL) production by the Phoenix 100 automated microbiology system, string test, biofilm formation, serum resistance assay, and detection of virulence-associated genes (rmpA, rmpA2, magA, iucA) and capsular serotype-specific genes (K1, K2, K5, K20, K57) by polymerase chain reaction (PCR). Of 120 K. pneumoniae isolates, 19 (15.8%) were hvKp. The hypermucoviscous phenotype was more significantly detected in the hvKp group than in the cKP group (100% vs. 7.9%, p ≤ 0.001). The rate of resistance to different antimicrobial agents was significantly higher in the cKP group than that in the hvKp group. Fifty-three strains were identified as ESBL-producing strains, which was more frequent in the cKP group than in the hvKp group (48/101 [47.5%] vs. 5/19 [26.3%], respectively, p ≤ 0.001). The hvKP isolates were highly associated with moderate and strong biofilm formation than cKP isolates (p = 0.018 and p = 0.043 respectively). Moreover, the hvKP isolates were highly associated with intermediate sensitivity and re sistance to serum in the serum resistance assay (p = 0.043 and p = 0.016 respectively). K1, K2, rmpA, rmpA2, magA and iucA genes were significantly associated with hvKp (p ≤ 0.001, 0.004, <0.001, <0.001, 0.037 and <0.001, respectively). However, K5, K20 and K57 were not associated with hvKp. The hvKp strains have emerged as a new threat to ICU patients because of their ability to cause more severe and life-threatening infections than cKP. The string test alone as a laboratory test for screening of hvKp has become insufficient. Recently, hvKp was defined as hypermucoviscous- and aerobactin-positive. It is important to improve the awareness towards the diagnosis and management of hvKp infections. Full article
22 pages, 8585 KB  
Article
Presence of Polyketide Synthase (PKS) Gene and Counterpart Virulence Determinants in Klebsiella pneumoniae Strains Enhances Colorectal Cancer Progression In-Vitro
by Christina Parvinder Kaur, Thevambiga Iyadorai, Cynthia Sears, April Camilla Roslani, Jamuna Vadivelu and Chandramathi Samudi
Microorganisms 2023, 11(2), 443; https://doi.org/10.3390/microorganisms11020443 - 9 Feb 2023
Cited by 6 | Viewed by 4097
Abstract
Klebsiella pneumoniae (K. pneumoniae) colonizes the human gut and is a causative factor of pyogenic liver abscess (PLA). Retrospective studies conducted on K. pneumoniae PLA patients revealed subsequent CRC development in later years of their life with increasing prevalence of these [...] Read more.
Klebsiella pneumoniae (K. pneumoniae) colonizes the human gut and is a causative factor of pyogenic liver abscess (PLA). Retrospective studies conducted on K. pneumoniae PLA patients revealed subsequent CRC development in later years of their life with increasing prevalence of these strains harbouring polyketide synthase (PKS) genes. To our knowledge there are no known studies directly implicating K. pneumoniae with CRC to date. Our aims are to characterize K. pneumoniae isolates from CRC patients and investigate its effects on cell proliferation in vitro. K. pneumoniae isolates were characterized by screening virulence genes including polyketide synthase (PKS), biofilm assay, antibiotic susceptibility, and string test to determine hypervirulent (hvKp) strains. Solubilised antigens of selected K. pneumoniae isolates were co-cultured with primary colon cell lines and CRC cell lines (Stage I-IV) for 48 h. The enhancement of proliferation was measured through MTT and ECIS assay. Twenty-five percent of K. pneumoniae isolates were PKS-positive out of which 50% were hvKp strains. The majority of the isolates were from the more virulent serotype of K1 (30%) and K2 (50%). PKS-positive K. pneumoniae isolates did not possess genes to confer carbapenem resistance but instead were more highly associated with siderophore genes (aerobactin, enterobactin, and yersiniabactin) and allantoin metabolism genes (allS, allS2). Cell proliferation in primary colon, SW1116 (Stage I), and SW480 (Stage II) CRC cell lines were enhanced when co-cultured with PKS-positive K. pneumoniae antigens. ECIS revealed enhanced cell proliferation upon recurrent antigen exposure. This demonstrates the possible role that PKS-positive K. pneumoniae has in exacerbating CRC progression. Full article
(This article belongs to the Special Issue Gut Microbiome and Disorders of the Gastrointestinal Tract)
Show Figures

Figure 1

14 pages, 577 KB  
Article
Platelet-to-White Blood Cell Ratio: A Feasible Biomarker for Pyogenic Liver Abscess
by Dong-Gyun Ko, Ji-Won Park, Jung-Hee Kim, Jang-Han Jung, Hyoung-Su Kim, Ki-Tae Suk, Myoung-Kuk Jang, Sang-Hoon Park, Myung-Seok Lee, Dong-Joon Kim and Sung-Eun Kim
Diagnostics 2022, 12(10), 2556; https://doi.org/10.3390/diagnostics12102556 - 21 Oct 2022
Cited by 12 | Viewed by 3126
Abstract
The platelet-to-white blood cell ratio (PWR) has been reported to predict the severity of patients with various diseases. However, no previous studies have assessed the use of the PWR as a prognostic marker for pyogenic liver abscesses (PLA). This observational retrospective study was [...] Read more.
The platelet-to-white blood cell ratio (PWR) has been reported to predict the severity of patients with various diseases. However, no previous studies have assessed the use of the PWR as a prognostic marker for pyogenic liver abscesses (PLA). This observational retrospective study was performed between January 2008 and December 2017, including 833 patients with PLA from multiple centers. The enrolled patients, on average, had a PWR of 17.05, and 416 patients had a PWR lower than 17.05. A total of 260 patients (31.2%) with PLA showed complications of metastatic infection, pleural effusion and abscess rupture. A low PWR level was identified as a strong risk factor for metastatic infection and pleural effusion. The low PWR group also had a longer hospital stay. In the multivariate analysis, old age, anemia, albumin and CRP levels and unidentified pathogens were significant factors for low PWR levels. A low PWR, old age, male sex, abscess size, albumin, ALP and unidentified causative pathogens showed significant associations with a hospital stay longer than 28 days. As a result, PLA patients presenting with a low PWR were shown to have more complications and a poor prognosis. Considering its cost-effectiveness, PWR could be a novel biomarker used to predict a prognosis of PLA. Full article
(This article belongs to the Section Pathology and Molecular Diagnostics)
Show Figures

Figure 1

6 pages, 4150 KB  
Case Report
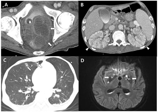
Invasive Hypervirulent Klebsiella pneumoniae Syndrome Originating from an Anorectal Abscess as Opposed to a Pyogenic Liver Abscess
by Kum Ju Chae, Jaehyeon Lee, Joo-Hee Hwang and Jeong-Hwan Hwang
Medicina 2022, 58(10), 1450; https://doi.org/10.3390/medicina58101450 - 14 Oct 2022
Cited by 4 | Viewed by 2880
Abstract
An immunocompetent 49-year-old man presented with swelling and pain in the lower region of his left leg that had lasted for 4 weeks. The diagnosis was severe pyomyositis and osteomyelitis in the lower left leg caused by hypervirulent Klebsiella pneumoniae (hvKP) along with [...] Read more.
An immunocompetent 49-year-old man presented with swelling and pain in the lower region of his left leg that had lasted for 4 weeks. The diagnosis was severe pyomyositis and osteomyelitis in the lower left leg caused by hypervirulent Klebsiella pneumoniae (hvKP) along with multiple metastatic infections in the kidneys, lungs, and brain originating from an anorectal abscess. A virulence-gene analysis revealed that the isolated K. pneumoniae harbored rmpA, entB, ybtS, kfu, iutA, mrkD, and allS-virulence genes and belonged to the K1 capsular serotype. After repeated abscess drainage procedures, intravenous ceftriaxone was administered for more than 10 weeks, and the patient’s infection was controlled. We focused on the clinical features of hvKP originating from an anorectal abscess without a pyogenic liver abscess. We suggest that hvKP be considered a causative pathogen of pyomyositis and osteomyelitis resulting in multiple metastatic infections in an immunocompetent patient, and more information on the unexpected multiple metastatic infections should be obtained from a virulence analysis of K. pneumoniae. Full article
(This article belongs to the Section Infectious Disease)
Show Figures

Figure 1

15 pages, 1034 KB  
Systematic Review
Demographics, Radiological Findings, and Clinical Outcomes of Klebsiella pneumonia vs. Non-Klebsiella pneumoniae Pyogenic Liver Abscess: A Systematic Review and Meta-Analysis with Trial Sequential Analysis
by Kai Siang Chan, Christopher Tze Wei Chia and Vishal G. Shelat
Pathogens 2022, 11(9), 976; https://doi.org/10.3390/pathogens11090976 - 26 Aug 2022
Cited by 32 | Viewed by 3866
Abstract
Pyogenic liver abscess (PLA) is a common cause of hepatobiliary sepsis. Klebsiella pneumoniae (KP) is the most common organism causing PLA. Evidence is scarce on the demographics, radiological findings, and outcomes of KPPLA versus non-KPPLA (N-KPPLA). PubMed, Embase, The Cochrane Library, and Scopus [...] Read more.
Pyogenic liver abscess (PLA) is a common cause of hepatobiliary sepsis. Klebsiella pneumoniae (KP) is the most common organism causing PLA. Evidence is scarce on the demographics, radiological findings, and outcomes of KPPLA versus non-KPPLA (N-KPPLA). PubMed, Embase, The Cochrane Library, and Scopus were systematically searched until 14 May 2022 for studies comparing KPPLA and N-KPPLA. Exclusion criteria were single-arm studies. Primary outcomes were mortality (30-day/in-hospital) and metastatic complications. There were 16 studies, including 5127 patients (KPPLA n = 3305, N-KPPLA n = 1822). Patients with KPPLA were younger (mean difference: −2.04 years, p = 0.02). History of hepatobiliary disease (Odds ratio (OR) 0.30, 95% CI: 0.20, 0.46) and malignancy (OR 0.26, 95% CI: 0.16, 0.42) were less common in KPPLA. KPPLA was associated with lower incidence of multiple abscesses (OR 0.52, 95% CI: 0.35, 0.76, p < 0.001) and bilobar abscesses (OR 0.60, 95% CI: 0.49, 0.74, p < 0.001). KPPLA has higher overall metastatic complications (KPPLA 9.7% vs. N-KPPLA 4.8%, OR 3.16, 95% CI: 2.00, 4.99, p < 0.001), but lower mortality (KPPLA 3.9% vs. N-KPPLA 7.6%, OR 0.51, 95% CI: 0.34, 0.78, p < 0.001). Trial sequential analysis showed conclusive evidence that KPPLA has lower mortality than N-KPPLA. In conclusion, KPPLA has lower mortality than N-KPPLA. Full article
(This article belongs to the Special Issue Hepatobiliary and Pancreatic Infections)
Show Figures

Figure 1

8 pages, 1195 KB  
Article
Characteristics of Computed Tomography for Identifying Patients at High Risk of Endogenous Endophthalmitis Due to Klebsiella pneumoniae-Related Pyogenic Liver Abscess
by Jae Jung Lee, Seung Baek Hong, Nam Kyung Lee, Young Joo Park, So Hee Kim, Sung Who Park, Iksoo Byon and Suk Kim
J. Clin. Med. 2022, 11(15), 4376; https://doi.org/10.3390/jcm11154376 - 28 Jul 2022
Cited by 5 | Viewed by 2444
Abstract
Endogenous endophthalmitis (EE) associated with Klebsiella pneumoniae (K. pneumoniae)-related pyogenic liver abscess (PLA) is one of the fatal complications of PLA and leads to loss of vision. Early diagnosis and treatment are important to save the patient’s vision. We investigated the [...] Read more.
Endogenous endophthalmitis (EE) associated with Klebsiella pneumoniae (K. pneumoniae)-related pyogenic liver abscess (PLA) is one of the fatal complications of PLA and leads to loss of vision. Early diagnosis and treatment are important to save the patient’s vision. We investigated the characteristics of computed tomography (CT) in EE associated with K. pneumoniae-related PLA for the identification of the predictors of EE, in order to facilitate early diagnosis. A total of 274 patients diagnosed with K. pneumoniae-related PLA, including 15 patients with EE, were identified between January 2005 and December 2019. The clinical (age, gender, and underlying disease) and radiologic (the location, size, and number of abscesses) features were reviewed. In addition, the involvement of the adjacent vessels, such as the hepatic vein and portal vein, was carefully reviewed. A comparative analysis was performed between the EE and non-EE groups. Uni- and multivariate logistic regression analyses were used to identify the predictors of EE. Diabetes mellitus (DM), the involvement of the left or both hepatic lobes, and the adjacent vessels on the CT were significantly more frequent than those in the non-EE group (p < 0.05 in all), and they were the significant predictors of EE in the logistic regression analyses. In patients with K. pneumoniae-related PLA, the CT findings, such as the locations of the abscess (i.e., left or both lobes) and the involvement of the adjacent vessels, should be considered in addition to the ocular symptoms for an early diagnosis of EE. Full article
(This article belongs to the Topic Infectious Diseases)
Show Figures

Figure 1

Back to TopTop