Sign in to use this feature.

Years

Between: -

Subjects

remove_circle_outline
remove_circle_outline
remove_circle_outline
remove_circle_outline
remove_circle_outline

Journals

Article Types

Countries / Regions

Search Results (17)

Search Parameters:
Keywords = post-mortem proteolysis

Order results
Result details
Results per page
Select all
Export citation of selected articles as:
16 pages, 2580 KB  
Article
Integrated Quality Assessment and Metabolomic Analysis of Dezhou Donkey Meat During Extended Chilled Storage
by Yanhao Zhao, Muhammad Zahoor Khan, Muhammad Saeed, Yaqian Jin, Lanjie Li, Ruiwen Fan, Cunfang Wang, Xue Chen, Guiqin Liu, Yidan Lu and Guohao Liu
Biology 2026, 15(4), 328; https://doi.org/10.3390/biology15040328 - 13 Feb 2026
Viewed by 392
Abstract
This study aimed to elucidate the dynamic changes in meat quality attributes and metabolomic profiles of Dezhou donkey longissimus lumborum (LL) during extended chilled storage. Donkey longissimus lumborum (LL) muscles (n = 4) were vacuum-packaged 24 h post mortem and stored at [...] Read more.
This study aimed to elucidate the dynamic changes in meat quality attributes and metabolomic profiles of Dezhou donkey longissimus lumborum (LL) during extended chilled storage. Donkey longissimus lumborum (LL) muscles (n = 4) were vacuum-packaged 24 h post mortem and stored at 0–4 °C for 0, 7, 14, or 21 days, followed by a 5-day aerobic display. Meat quality parameters and microstructural characteristics were evaluated, and untargeted metabolomics was performed using liquid chromatography-tandem mass spectrometry (LC-MS/MS). Extended storage significantly improved tenderness (shear force decreased from 76.40 to 27.84 N; p < 0.05), concurrent with progressive muscle fiber degradation. However, color stability deteriorated markedly, with accelerated declines in redness observed beyond 14 days. Metabolomics analysis demonstrated that storage resulted in a substantial accumulation of lysophospholipids, free amino acids, and nucleotide degradation products, indicative of membrane deterioration, proteolysis, and ATP catabolism. Notably, acetyl-L-carnitine, cysteinylglycine (Cys-Gly), and nicotinamide exhibited progressive depletion, correlating with diminished antioxidant capacity and color deterioration. KEGG pathway enrichment revealed significant alterations in glycerophospholipid, amino acid, and glutathione metabolism. This study provides the first comprehensive metabolomic characterization of donkey meat during chilled storage, identifying potential biomarkers for freshness assessment and offering a scientific foundation for developing targeted preservation interventions. Full article
Show Figures

Figure 1

16 pages, 1492 KB  
Article
Seawater Temperature at Harvest Shapes Fillet Proteolytic Activity at Chilled Storage in Three Mediterranean-Farmed Fish
by Rafael Angelakopoulos, Alexia E. Fytsili, Arkadios Dimitroglou, Leonidas Papaharisis and Katerina A. Moutou
Aquac. J. 2026, 6(1), 2; https://doi.org/10.3390/aquacj6010002 - 28 Jan 2026
Viewed by 345
Abstract
Fish is highly prone to spoilage due to a combination of intrinsic biochemical processes and microbial proliferation, which together drive rapid quality deterioration during post-harvest handling and storage. These processes are further accelerated by factors such as elevated temperatures, mechanical damage, and suboptimal [...] Read more.
Fish is highly prone to spoilage due to a combination of intrinsic biochemical processes and microbial proliferation, which together drive rapid quality deterioration during post-harvest handling and storage. These processes are further accelerated by factors such as elevated temperatures, mechanical damage, and suboptimal handling. In Mediterranean aquaculture, ice slurry is the standard harvesting method. This study aimed to characterize the initial post-harvest enzymatic activity of key proteolytic enzymes, calpain, collagenase, cathepsin B (CTSB), and cathepsin L (CTSL), in the white muscle of three commercially important species (Sparus aurata, Dicentrarchus labrax, and Pagrus major) harvested under standard practices across three seawater harvest temperatures (low, medium, and high). Muscle samples were collected over a 13-day chilled storage period post-harvest, and enzymatic activity was assessed using standardized fluorometric assays. Our findings establish the basal post-mortem proteolytic profiles for each species and reveal marked species-specific differences in enzyme activity patterns. Calpain and collagenase exhibited early and parallel activation, while CTSB and CTSL showed a coordinated increase during storage. Harvest temperature emerged as a critical factor, with the highest enzymatic activities consistently observed during the moderate temperature period. These results underscore the importance of species-specific physiology and seasonal conditions in shaping post-harvest filet degradation, offering a basis for refining harvest strategies to enhance quality management in Mediterranean aquaculture. Full article
Show Figures

Figure 1

16 pages, 2826 KB  
Article
Integrative Genomic and Metabolomic Analysis Identifies mQTLs Associated with Genetic Selection for Tenderness in Nellore Cattle
by Joao Marcos Bovetto de Campos Valim, Vinicius Laerte Silva Herreira, Ana Laura dos Santos Munhoz Gôngora, Lauro César Ferreira Beltrão, Eduardo Solano Pina dos Santos, Brenda Santos de Oliveira, Guilherme Pugliesi, Miguel Henrique de Almeida Santana, Guilherme Henrique Gebim Polizel, Luiz Alberto Colnago, Fernanda Maria Marins Ocampos, Germán Dário Ramírez-Zamudio, Saulo Luz Silva and Nara Regina Brandão Cônsolo
Metabolites 2025, 15(12), 760; https://doi.org/10.3390/metabo15120760 - 25 Nov 2025
Viewed by 650
Abstract
Background: Beef tenderness is a key quality attribute that significantly influences consumer satisfaction; however, it exhibits considerable variability due to both genetic and environmental factors. While genomic selection based on Expected Progeny Differences (EPDs) has improved the accuracy of predictions, a substantial portion [...] Read more.
Background: Beef tenderness is a key quality attribute that significantly influences consumer satisfaction; however, it exhibits considerable variability due to both genetic and environmental factors. While genomic selection based on Expected Progeny Differences (EPDs) has improved the accuracy of predictions, a substantial portion of tenderness variability remains unexplained. Metabolomics has emerged as a valuable approach to address this gap, as metabolites reflect gene–environment interactions and may serve as biomarkers for complex traits such as meat tenderness. Objectives: This study aimed to integrate genomic and metabolomic data to identify genetic loci associated with serum metabolites in Nellore calves, offspring of sires with contrasting EPDs for meat tenderness. Methods: Ninety-five male calves were evaluated and divided into two groups according to the sires’ genetic merit: FA-T (favorable EPD for tenderness, n = 45) and UN-T (unfavorable EPD for tenderness, n = 46). Blood serum samples were analyzed by 1H NMR spectroscopy to quantify 40 metabolites, and genotyping was performed using a medium-density SNP panel. Metabolite quantitative trait loci (mQTL) were identified using the MatrixEQTL package, and metabolic enrichment analysis was performed in MetaboAnalyst 6.0. Results: In the FA-T group, SNPs were associated with metabolites such as phenylalanine, tyrosine, and succinate, suggesting enhanced oxidative metabolism and preservation of proteolysis. In the UN-T group, associations of pyruvate, creatinine, and glutamine with distinct SNPs indicated greater reliance on anaerobic glycolysis and early ATP consumption, potentially impairing phosphorylation and postmortem proteolytic activity. Conclusions: These findings suggest that genetic selection for tenderness may induce early divergent metabolic profiles, likely leading to persistent differences in postmortem biochemical pathways, with important implications for meat tenderness. Full article
Show Figures

Figure 1

19 pages, 764 KB  
Systematic Review
Single Nucleotide Polymorphisms of Leptin and Calpain/Calpastatin in Key Traits of Pork Meat Quality
by Ofelia Limón-Morales, Herlinda Bonilla-Jaime, Marcela Arteaga-Silva, Patricia Roldán-Santiago, Luis Alberto de la Cruz-Cruz, Héctor Orozco-Gregorio, Marco Cerbón and José Luis Cortes-Altamirano
Animals 2025, 15(15), 2270; https://doi.org/10.3390/ani15152270 - 4 Aug 2025
Cited by 1 | Viewed by 1282
Abstract
The increasing demand for food to meet the needs of the planet’s growing population requires, among other factors, greater and improved meat production. Meat quality is determined by key consumer-preferred traits, particularly tenderness, juiciness, and flavor. Recently, interest has grown in analyzing the [...] Read more.
The increasing demand for food to meet the needs of the planet’s growing population requires, among other factors, greater and improved meat production. Meat quality is determined by key consumer-preferred traits, particularly tenderness, juiciness, and flavor. Recently, interest has grown in analyzing the genes associated with these phenotypic characteristics. Single-nucleotide polymorphisms (SNPs) are common genomic variations in cattle and represent the most widely used molecular markers. Research on SNP variation is now a major focus of genomic studies aimed at improving meat quality. Leptin levels reflect the amount of adipose tissue in meat, also known as marbling. Several SNPs in the leptin gene and its receptor have been linked to this meat quality trait. Similarly, SNPs in the calpain/calpastatin system play a significant role in postmortem muscle proteolysis and pork tenderness. This review examines these genetic variants as markers involved in the expression of phenotypic traits in meat products and explores their mechanisms of action. Additionally, it provides insights into the genetic variants associated with production-related characteristics. Full article
(This article belongs to the Special Issue Genetic Improvement in Pigs)
Show Figures

Figure 1

11 pages, 253 KB  
Article
Effects of Zilpaterol Hydrochloride Supplementation on Growth Performance, Carcass Characteristics and Meat Quality for Steers Differing in Breed Type
by Jesse O. Fulton, Janna J. Block, Keith R. Underwood, Stacy M. S. Zuelly, Kenneth C. Olson and Amanda D. Blair
Animals 2024, 14(4), 607; https://doi.org/10.3390/ani14040607 - 13 Feb 2024
Viewed by 2483
Abstract
To determine the effects of zilpaterol hydrochloride (ZH) on growth performance, carcass characteristics and meat quality for steers differing in breed type, steers with British (B; n = 76) or British × Continental (BC; n = 57) backgrounds were allocated to a randomized [...] Read more.
To determine the effects of zilpaterol hydrochloride (ZH) on growth performance, carcass characteristics and meat quality for steers differing in breed type, steers with British (B; n = 76) or British × Continental (BC; n = 57) backgrounds were allocated to a randomized incomplete block design with a 2 × 2 treatment structure. Pens within each block × breed type were randomly assigned to either ZH (8.3 mg/kg of DM; fed for 20 d before slaughter, followed by a 3-day withdrawal) or control (CON; 0 mg/kg ZH). Steers were subjected to ultrasound immediately before ZH inclusion and following withdrawal to determine the influence of ZH on changes in longissimus muscle area (LMA), fat thickness and percent intramuscular fat (IMF). Carcass data were collected, and the longissimus lumborum was collected for analysis of tenderness, moisture percentage, crude fat content, collagen content, postmortem proteolysis and sensory attributes. The ZH × breed type interaction did not influence (p > 0.05) the feedlot performance, carcass or meat quality attribute traits evaluated, with the exception of moisture percentage. Responses among breed types were as expected for B vs. BC cattle types. Supplementation with ZH improved (p < 0.05) LMA and yield grade but increased Warner–Bratzler shear force. Full article
(This article belongs to the Special Issue Carcass Traits and Meat Quality in Cattle)
12 pages, 1481 KB  
Article
Muscle Hypertrophy Is Linked to Changes in the Oxidative and Proteolytic Systems during Early Tenderization of the Spanish Breed “Asturiana de los Valles”
by Marina García-Macia, Verónica Sierra, Adrián Santos-Ledo, Beatriz de Luxán-Delgado, Yaiza Potes-Ochoa, Susana Rodríguez-González, Mamen Oliván and Ana Coto-Montes
Foods 2024, 13(3), 443; https://doi.org/10.3390/foods13030443 - 30 Jan 2024
Viewed by 2318
Abstract
For fresh meat consumers, eating satisfaction is of utmost importance and tenderness is one of the most important characteristics in this regard. Our study examined beef of different animal biotypes of the autochthonous breed “Asturiana de los Valles” (AV) to determine if early [...] Read more.
For fresh meat consumers, eating satisfaction is of utmost importance and tenderness is one of the most important characteristics in this regard. Our study examined beef of different animal biotypes of the autochthonous breed “Asturiana de los Valles” (AV) to determine if early postmortem oxidative and proteolytic processes may influence the final tenderness of the product. This meat-specialized breed shows different biotypes depending on the frequency of a myostatin mutation “mh” that induces double-muscling or muscular hypertrophy (mh/mh, mh/+, +/+). Samples from the longissimus dorsi muscles of yearling bulls were analyzed during the first 24 h postmortem. Changes in the redox balance of muscle cells were significant in the first hours after slaughter; total antioxidant activity was higher in the mh/mh biotype and it followed the shortening of the sarcomeres, a key parameter in understanding meat tenderness. The two proteolytic systems studied (proteasome and lysosome) followed distinct patterns. Proteasome activity was higher in the (mh/+) biotype, which correlated with higher protein damage. Lysosome proteolysis was increased in the more tender biotypes (mh genotypes). Autophagic activation showed significant differences between the biotypes, with (mh/mh) showing more intense basal autophagy at the beginning of the postmortem period that decreased gradually (p < 0.001), while in the normal biotype (+/+), it was slightly delayed and then increased progressively (p < 0.001). These results suggest that this type of catalytic process and antioxidant activity could contribute to the earlier disintegration of the myofibers, particularly in the mh/mh biotypes, and influence the conversion of muscle into meat. Full article
(This article belongs to the Special Issue Lipid and Protein Oxidation in Meat: Quality, Safety and Human Health)
Show Figures

Figure 1

16 pages, 4660 KB  
Article
The Effects of Postmortem Time on Muscle Trout Biochemical Composition and Structure
by Arno Germond, Annie Vénien, Christine Ravel, Brayan Castulovich, Jacques Rouel, Morgane Hutin, Sara Mezelli, Sandy Lefin, Pierre-Sylvain Mirade and Thierry Astruc
Foods 2023, 12(10), 1957; https://doi.org/10.3390/foods12101957 - 11 May 2023
Cited by 7 | Viewed by 4337
Abstract
Fish industry operators have to process fish that arrive at various postmortem times. Postmortem time constrains processing and impacts product quality, safety, and economic value. The objective identification of biomarkers is desirable to predict the postmortem day of aging and this requires a [...] Read more.
Fish industry operators have to process fish that arrive at various postmortem times. Postmortem time constrains processing and impacts product quality, safety, and economic value. The objective identification of biomarkers is desirable to predict the postmortem day of aging and this requires a comprehensive longitudinal characterisation of postmortem aging. We analysed the postmortem aging process in trout over a 15-day window. Quantitative physicochemical measurements (pH, colour, texture, aw, proteolysis, and myofibrillar protein solubility) performed on the same fish over time revealed the levels of protein denaturation, solubility, and pH, among other parameters, change very little when assessed by conventional chemical methods. Histological analyses were performed on thin sections and revealed fibre ruptures after 7 days of storage on ice. Ultrastructures were observed by transmission electronic microscopy (TEM) and revealed that sarcomere disorganisation occurred more often after 7 days of storage. Label-free FTIR micro-spectroscopy combined with a SVM model accurately predicted the postmortem time. Spectra-based PC-DA models also enable the identification of biomarkers corresponding to Day 7 and Day 15 postmortem. This study provides insights on postmortem aging and raises prospects for the rapid assessment of trout’s freshness status from label-free imaging. Full article
(This article belongs to the Section Foods of Marine Origin)
Show Figures

Figure 1

15 pages, 2352 KB  
Article
Oxidative Stress Contributes to Cytoskeletal Protein Degradation of Esox lucius through Activation of Mitochondrial Apoptosis during Postmortem Storage
by Xue Li, Pingping Liu, Yunfeng Zhao, Lianfu Zhang and Jian Zhang
Foods 2022, 11(9), 1308; https://doi.org/10.3390/foods11091308 - 29 Apr 2022
Cited by 16 | Viewed by 3235
Abstract
This study investigated the role of oxidative stress in the mitochondrial apoptotic pathways and structural protein degradation of fish during postmortem storage by measuring oxidative stress levels, mitochondrial antioxidant enzyme activity, mitochondrial dysfunction, apoptotic factors, and structural protein degradation (n = 3). [...] Read more.
This study investigated the role of oxidative stress in the mitochondrial apoptotic pathways and structural protein degradation of fish during postmortem storage by measuring oxidative stress levels, mitochondrial antioxidant enzyme activity, mitochondrial dysfunction, apoptotic factors, and structural protein degradation (n = 3). The results revealed that reactive oxygen species (ROS) increased gradually within the first 12 h and then decreased (p < 0.05) in mitochondria. Lipid peroxidation was increased, and superoxide dismutase, catalase, and glutathione peroxidase activities were decreased in mitochondria (p < 0.05). Furthermore, oxidative stress induced mitochondrial membrane opening, mitochondrial swelling, as well as the depolarization of mitochondrial potential. This led to an increase in the release of cytochrome c from mitochondria and caspase-3 activation. Ultimately, oxidative stress promoted small protein degradation (troponin-T and desmin) and induced myofibril susceptibility to proteolysis. These observations confirmed that oxidative stress mediated the activation of mitochondrial apoptotic factors-promoted protein degradation, initiating the deterioration of fish muscle through the mitochondrial apoptotic pathway. Full article
(This article belongs to the Topic Food Processing and Preservation)
Show Figures

Figure 1

14 pages, 2701 KB  
Article
Influence of Proteolysis on the Binding Capacity of Flavor Compounds to Myofibrillar Proteins
by Hao Li, Rui Zheng, Fangfang Zuo, Chengyu Qian, Zhengan Yao, Ruipeng Dong, Di Zhao and Chunbao Li
Foods 2022, 11(6), 891; https://doi.org/10.3390/foods11060891 - 21 Mar 2022
Cited by 30 | Viewed by 4607
Abstract
Proteolysis occurs extensively during postmortem aging, enzymatic tenderization and fermentation of meat products, whereas less is understood regarding how proteolysis affects meat flavor. Myofibrillar proteins (MP) were extracted from beef longissimus dorsi muscle and subsequently treated with three commercial proteases. The effect of [...] Read more.
Proteolysis occurs extensively during postmortem aging, enzymatic tenderization and fermentation of meat products, whereas less is understood regarding how proteolysis affects meat flavor. Myofibrillar proteins (MP) were extracted from beef longissimus dorsi muscle and subsequently treated with three commercial proteases. The effect of proteolysis on the interactions between the treated MP and butyraldehyde, 2-pentanone, octanal and 2-octanone was investigated. The progress of proteolysis increased the degree of hydrolysis (DH) and the surface hydrophobicity but decreased the turbidity and particle size. Fluorescence-quenching analysis results indicated that the enzymatic treatment generally increased the quenching constant (Ksv) between the treated MP and ketones but decreased the Ksv between the treated MP and aldehydes, and the papain treatment changed the Ksv value to a larger degree than treatment with proteinase K and bromelain. The adsorption assay showed that the proteinase K treatment largely increased the adsorption capacity of the MP to octanal (by 15.8–19.3%), whereas the bromelain treatment significantly reduced the adsorption capacity of the treated MP to butyraldehyde (by 6.0–7.9%) and 2-pentanone (by 9.7–11.9%). A correlation analysis demonstrated a strong positive correlation (0.859, p < 0.05) between the DH of the MP and the adsorption ability of the treated MP to octanal. This study highlighted the significant but complex influence of proteolysis on MP binding capacity to flavor compounds. Full article
Show Figures

Figure 1

14 pages, 2559 KB  
Article
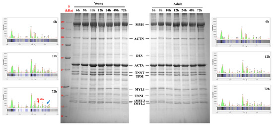
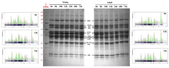
Postmortem Muscle Protein Changes as a Tool for Monitoring Sahraoui Dromedary Meat Quality Characteristics
by Hanane Smili, Samira Becila, Antonella della Malva, Ayad Redjeb, Marzia Albenzio, Agostino Sevi, Antonella Santillo, Baaissa Babelhadj, Abdelkader Adamou, Abdelghani Boudjellal and Rosaria Marino
Foods 2022, 11(5), 732; https://doi.org/10.3390/foods11050732 - 2 Mar 2022
Cited by 7 | Viewed by 3212
Abstract
The effects of slaughter age (2 vs. 9 years) and postmortem time (6, 8, 10, 12, 24, 48 and 72 h) on the meat quality and protein changes of the longissimus lumborum muscles of the Algerian Sahraoui dromedary were investigated. Muscles of young [...] Read more.
The effects of slaughter age (2 vs. 9 years) and postmortem time (6, 8, 10, 12, 24, 48 and 72 h) on the meat quality and protein changes of the longissimus lumborum muscles of the Algerian Sahraoui dromedary were investigated. Muscles of young dromedaries evidenced a slower acidification process and a significantly higher myofibrillar fragmentation index throughout the postmortem time. The SDS-PAGE of sarcoplasmic and myofibrillar proteins revealed that meat from young dromedaries was characterized by the lowest percentage of myoglobin (p < 0.001) and the highest percentage of desmin (p < 0.01). During postmortem time, a decrease was found for phosphoglucomutase (p < 0.01), α-actinin (p < 0.05) and desmin (p < 0.01) in meat from young dromedaries. Western blot revealed an intense degradation of troponin T in younger dromedaries, with an earlier appearance of the 28 kDa polypeptide highlighting differences in the proteolytic potential between dromedaries of different ages. Principal component analysis showed that meat from young dromedaries, starting from 24 h postmortem, was located in a zone of the plot characterized by higher levels of the myofibrillar fragmentation index, 30 kDa polypeptide and enolase, overall confirming greater proteolysis in younger animals. Data suggest that the investigation of the muscle proteome is necessary to set targeted interventions to improve the aging process of dromedary meat cuts. Full article
(This article belongs to the Section Meat)
Show Figures

Graphical abstract

11 pages, 1019 KB  
Article
Effect of Lysosomal Cathepsin L on Proteolysis of Beef Myofibrillar Proteins In Vivo and In Vitro
by Baowei Cui, Xiuyun Guo, Yawei Zhang and Xiangren Meng
Foods 2022, 11(4), 613; https://doi.org/10.3390/foods11040613 - 21 Feb 2022
Cited by 5 | Viewed by 3242
Abstract
This study investigated the effects of cathepsin L on proteolysis of beef myofibrillar proteins in vivo and in vitro. Results indicated that cathepsin L affected the degradation of desmin and troponin-T during postmortem aging, and the extent of degradation increased from 1 d [...] Read more.
This study investigated the effects of cathepsin L on proteolysis of beef myofibrillar proteins in vivo and in vitro. Results indicated that cathepsin L affected the degradation of desmin and troponin-T during postmortem aging, and the extent of degradation increased from 1 d to 14 d postmortem. No detectable degradation of titin, nebulin, and α-actinin in the presence of cathepsin L inhibitor was observed during postmortem aging. In vitro, cathepsin L affected the degradation of titin, nebulin, and troponin-T, and the extent of degradation increased with increasing incubation time. Nevertheless, cathepsin L did not cause the degradation of α-actinin and desmin, regardless of incubation temperature. The different results between in vitro and in vivo experiments might mainly depend on different treatment temperatures. Overall, these results indicated that cathepsin L participated in the degradation of myofibrillar proteins and meat tenderization. Full article
(This article belongs to the Special Issue Recent Advances in Meat Processing Technology)
Show Figures

Figure 1

13 pages, 9114 KB  
Article
The Influence of the Type of Dry-Cured Italian PDO Ham on Cathepsin B Activity Trend during Processing
by Edi Piasentier, Nicoletta Pizzutti and Giovanna Lippe
Foods 2021, 10(12), 3123; https://doi.org/10.3390/foods10123123 - 16 Dec 2021
Cited by 8 | Viewed by 2966
Abstract
Cathepsin B activity was measured during processing in hams originating from the main Italian prosciutto PDOs: Parma, San Daniele and Toscano. Sixty-five heavy pig thighs, from sixty-five Italian large white x Italian Landrace pigs bred and slaughtered in the same conditions were considered. [...] Read more.
Cathepsin B activity was measured during processing in hams originating from the main Italian prosciutto PDOs: Parma, San Daniele and Toscano. Sixty-five heavy pig thighs, from sixty-five Italian large white x Italian Landrace pigs bred and slaughtered in the same conditions were considered. Five thighs represented the post-mortem control time. The other 60 were distributed one plant per PDO, following a balanced plan. The thighs were sampled at the biceps femoris in groups of four per plant in the following ripening phases: salting, resting, drying, greasing, end of curing. The activity of the Cathepsin B (U/g protein) was determined by means of fluorescence measurements. The Cathepsin B ripening trend of the various PDOs was significantly different, particularly during the initial and mid-curing stage. This activity correlates with the proteolysis index through a PDO dependent pattern, indicating that different processing conditions can influence the quality of prosciutto, since they determine its biochemical development. Full article
Show Figures

Figure 1

13 pages, 2314 KB  
Article
Utilizing Pork Exudate Metabolomics to Reveal the Impact of Aging on Meat Quality
by Qianqian Yu, Bruce Cooper, Tiago Sobreira and Yuan H. Brad Kim
Foods 2021, 10(3), 668; https://doi.org/10.3390/foods10030668 - 20 Mar 2021
Cited by 45 | Viewed by 5806
Abstract
This study was performed to assess the changes in meat quality and metabolome profiles of meat exudate during postmortem aging. At 24 h postmortem, longissimus lumborum muscles were collected from 10 pork carcasses, cut into three sections, and randomly assigned to three aging [...] Read more.
This study was performed to assess the changes in meat quality and metabolome profiles of meat exudate during postmortem aging. At 24 h postmortem, longissimus lumborum muscles were collected from 10 pork carcasses, cut into three sections, and randomly assigned to three aging period groups (2, 9, and 16 d). Meat quality and chemical analyses, along with the metabolomics of meat exudates using ultra-high-performance liquid chromatography coupled with a quadrupole time-of-flight mass spectrometer (UHPLC-QTOF-MS) platform, were conducted. Results indicated a declined (p < 0.05) display color stability, and increased (p < 0.05) purge loss, meat tenderness, and lipid oxidation as aging extended. The principal component analysis and hierarchical clustering analysis exhibited distinct clusters of the exudate metabolome of each aging treatment. A total of 39 significantly changed features were tentatively identified via matching them to METLIN database according to their MS/MS information. Some of those features are associated with adenosine triphosphate metabolism (creatine and hypoxanthine), antioxidation (oxidized glutathione and carnosine), and proteolysis (dipeptides and tripeptides). The findings provide valuable information that reflects the meat quality’s attributes and could be used as a source of potential biomarkers for predicting aging times and meat quality changes. Full article
(This article belongs to the Special Issue Omics Technologies in Food Science)
Show Figures

Figure 1

15 pages, 873 KB  
Article
Impacts of in Utero Heat Stress on Carcass and Meat Quality Traits of Market Weight Gilts
by Jacob R. Tuell, Mariah J. Nondorf, Jacob M. Maskal, Jay S. Johnson and Yuan H. Brad Kim
Animals 2021, 11(3), 717; https://doi.org/10.3390/ani11030717 - 6 Mar 2021
Cited by 9 | Viewed by 3145
Abstract
This study evaluated the impacts of in utero heat stress (IUHS) on the carcass and meat quality traits of offspring when market weight was reached. Twenty-four F1 Landrace × Large White gilts were blocked by body weight and allocated among thermoneutral (IUTN) or [...] Read more.
This study evaluated the impacts of in utero heat stress (IUHS) on the carcass and meat quality traits of offspring when market weight was reached. Twenty-four F1 Landrace × Large White gilts were blocked by body weight and allocated among thermoneutral (IUTN) or IUHS treatments from d 6 to d 59 of gestation. The offspring were raised under identical thermoneutral conditions, and gilts (n = 10/treatment) at market weight (117.3 ± 1.7 kg) were harvested. At 24 h postmortem, the loins (M. longissimus lumborum) were obtained, and sections were allocated among 1 d and 7 d aging treatments at 2 °C. Carcasses from IUHS pigs had lower head and heart weights (p < 0.05), as well as decreased loin muscle area (p < 0.05) compared to IUTN pigs. Loins from the IUHS group had a higher shear force value than the IUTN group (p < 0.05). Treatments had no other impacts on carcass and meat quality traits (p > 0.05), and Western blots suggested increased toughness of IUHS loins would not be attributed to proteolysis. These results suggest minimizing IUHS during the first half of gestation may be beneficial in improving pork yield and quality, though in general the effects of IUHS would be minimal. Full article
(This article belongs to the Special Issue Novel Research Discoveries in Fresh Meats)
Show Figures

Figure 1

21 pages, 706 KB  
Review
Application of Proteomic Technologies to Assess the Quality of Raw Pork and Pork Products: An Overview from Farm-To-Fork
by María López-Pedrouso, José M. Lorenzo, Mohammed Gagaoua and Daniel Franco
Biology 2020, 9(11), 393; https://doi.org/10.3390/biology9110393 - 11 Nov 2020
Cited by 35 | Viewed by 6186
Abstract
The quality assurance of pork meat and products includes the study of factors prior to slaughter such as handling practices, diet and castration, and others during the post-mortem period such as aging, storage, and cooking. The development over the last two decades of [...] Read more.
The quality assurance of pork meat and products includes the study of factors prior to slaughter such as handling practices, diet and castration, and others during the post-mortem period such as aging, storage, and cooking. The development over the last two decades of high-throughput techniques such as proteomics offer great opportunities to examine the molecular mechanisms and study a priori the proteins in the living pigs and main post-mortem changes and post-translational modifications during the conversion of the muscle into the meat. When the most traditional crossbreeding and rearing strategies to improve pork quality were assessed, the main findings indicate that metabolic pathways early post-mortem were affected. Among the factors, it is well documented that pre-slaughter stress provokes substantial changes in the pork proteome that led to defective meat, and consequently, novel protein biomarkers should be identified and validated. Additionally, modifications in pork proteins had a strong effect on the sensory attributes due to the impact of processing, either physical or chemical. Maillard compounds and protein oxidation should be monitored in order to control proteolysis and volatile compounds. Beyond this, the search of bioactive peptides is becoming a paramount goal of the food and nutraceutical industry. In this regard, peptidomics is a major tool to identify and quantify these peptides with beneficial effects for human health. Full article
Show Figures

Figure 1

Back to TopTop