Influence of Proteolysis on the Binding Capacity of Flavor Compounds to Myofibrillar Proteins
Abstract
:1. Introduction
2. Materials and Methods
2.1. Materials
2.2. Extraction of (MP) and Enzymatic Treatment
2.3. Degree of Hydrolysis (DH)
2.4. Analysis of Sodium Dodecyl Sulfate-Polyacrylamide Gel Electrophoresis (SDS-PAGE)
2.5. Surface Hydrophobicity
2.6. Circular Dichroism Spectroscopy
2.7. Salt Solubility, Turbidity and Particle Size
2.8. Fluorescence Spectra to Detect the Interaction between MP and Flavor Compounds
2.9. Adsorption Assay Evaluated by Headspace Gas Chromatography–Ion Mobility Spectrometry
2.10. Statistical Analysis
3. Results and Discussion
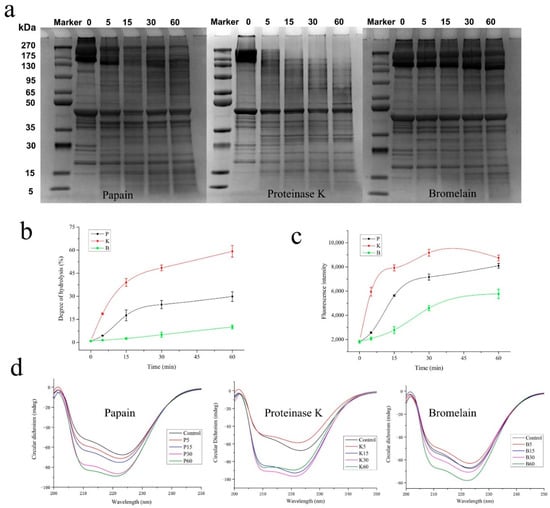
3.1. Proteolysis of MP by Commercial Proteases
3.2. Changes in Structures and Physicochemical Properties of MP Induced by Proteolysis
3.3. Effect of Protease Treatments on the Quenching Ability of Flavor Compounds with MP
3.4. Adsorption Ability of MP to Volatile Compounds Affected by Proteolysis and Correlation Analysis
4. Conclusions
Supplementary Materials
Author Contributions
Funding
Institutional Review Board Statement
Informed Consent Statement
Data Availability Statement
Conflicts of Interest
References
- Khan, M.I.; Jo, C.; Tariq, M.R. Meat flavor precursors and factors influencing flavor precursors—A systematic review. Meat Sci. 2015, 110, 278–284. [Google Scholar] [CrossRef] [PubMed]
- Gerber, N.; Scheeder, M.R.L.; Wenk, C. The influence of cooking and fat trimming on the actual nutrient intake from meat. Meat Sci. 2009, 81, 148–154. [Google Scholar] [CrossRef] [PubMed]
- Mottram, D.S. Flavor formation in meat and meat a review. Food Chem. 1998, 62, 415–424. [Google Scholar] [CrossRef]
- Zhou, C.Y.; Wang, C.; Tang, C.B.; Dai, C.; Bai, Y.; Yu, X.B.; Li, C.; Xu, X.L.; Zhou, G.H.; Cao, J.X. Label-free proteomics reveals the mechanism of bitterness and adhesiveness in Jinhua ham. Food Chem. 2019, 297, 125012. [Google Scholar] [CrossRef] [PubMed]
- Zhao, D.; Li, H.; Huang, M.X.; Wang, T.L.; Hu, Y.; Wang, L.P.; Xu, D.N.; Mao, S.Y.; Li, C.B.; Zhou, G.H. Influence of proteolytic enzyme treatment on the changes in volatile compounds and odors of beef longissimus dorsi. Food Chem. 2020, 333, 120549. [Google Scholar] [CrossRef] [PubMed]
- Pérez-Santaescolástica, C.; Carballo, J.; Fulladosa, E.; Garcia-Perez, J.V.; Benedito, J.; Lorenzo, J.M. Effect of proteolysis index level on instrumental adhesiveness, free amino acids content and volatile compounds profile of dry-cured ham. Food Res. Int. 2018, 107, 559–566. [Google Scholar] [CrossRef]
- Pérez-Santaescolástica, C.; Carballo, J.; Fulladosa, E.; José, V.G.P.; Benedito, J.; Lorenzo, J.M. Application of temperature and ultrasound as corrective measures to decrease the adhesiveness in dry-cured ham. Influence on free amino acid and volatile compound profile. Food Res. Int. 2018, 114, 140–150. [Google Scholar] [CrossRef]
- Molly, K.; Demeyer, D.; Johansson, G.; Raemaekers, M.; Geenen, I. The importance of meat enzymes in ripening and flavour generation in dry fermented sausages. first results of a European project. Food Chem. 1997, 59, 539–545. [Google Scholar] [CrossRef]
- Gianelli, M.P.; Flores, M.; Toldrá, F. Interactions of soluble peptides and proteins from skeletal muscle on the release of volatile compounds. J. Agric. Food Chem. 2003, 51, 6828–6834. [Google Scholar] [CrossRef]
- Leipert, D.; Rathgeb, F.; Herold, M.; Mack, J.; Gauglitz, G.; Jung, G. Interaction between volatile organic compounds and cyclopeptides detected with reflectometric interference spectroscopy. Anal. Chim. Acta 1997, 392, 213–221. [Google Scholar] [CrossRef]
- Martínez-Arellano, I.; Flores, M.; Toldrá, F. The ability of peptide extracts obtained at different dry cured ham ripening stages to bind aroma compounds. Food Chem. 2016, 196, 9–16. [Google Scholar] [CrossRef] [PubMed]
- Han, M.Y.; Wang, P.; Xu, X.X.; Zhou, G.H. Low-field NMR study of heat-induced gelation of pork myofibrillar proteins and its relationship with microstructural characteristics. Food Res. Int. 2014, 62, 1175–1182. [Google Scholar] [CrossRef]
- Karlsson, B.; Alling, C. A comparative study of three approaches to the routine quantitative determination of spinal fluid total proteins. Clin. Chim. Acta 1980, 105, 65–73. [Google Scholar] [CrossRef]
- Zhao, D.; Le, T.T.; Larsen, L.B.; Nian, Y.; Wang, C.; Li, C.; Zhou, G.H. Interplay between residual protease activity in commercial lactases and the subsequent digestibility of β-casein in a model system. Molecules 2019, 24, 2876. [Google Scholar] [CrossRef] [PubMed] [Green Version]
- Chen, X.; Xu, X.L.; Han, M.Y.; Zhou, G.H.; Chen, C.G.; Li, P.J. Conformational changes induced by high-pressure homogenization inhibit myosin filament formation in low ionic strength solutions. Food Res. Int. 2016, 85, 1–9. [Google Scholar] [CrossRef] [PubMed]
- Li, L.Y.; Zhao, X.; Xu, X.L. Trace the difference driven by unfolding-refolding pathway of myofibrillar protein: Emphasizing the changes on structural and emulsion properties. Food Chem. 2022, 367, 130688. [Google Scholar] [CrossRef]
- Shen, H.; Zhao, M.M.; Sun, W.Z. Effect of pH on the interaction of porcine myofibrillar proteins with pyrazine compounds. Food Chem. 2019, 287, 93–99. [Google Scholar] [CrossRef]
- Feng, X.C.; Li, C.Y.; Ullah, N.; Hackman, R.M.; Chen, L.; Zhou, G.H. Potential biomarker of myofibrillar protein oxidation in raw and cooked ham: 3-Nitrotyrosine formed by Nitrosation. J. Agric. Food Chem. 2015, 63, 10957–10964. [Google Scholar] [CrossRef]
- Gao, T.X.; Zhao, X.; Li, R.; Anthony, B.; Bai, Y.; Ye, K.P.; Deng, S.L.; Zhou, G.H. Synergistic effects of polysaccharide addition-ultrasound treatment on the emulsified properties of low-salt myofibrillar protein. Food Hydrocoll. 2022, 123, 107143. [Google Scholar] [CrossRef]
- Shen, H.; Huang, M.Q.; Zhao, M.M.; Sun, W.Z. Interactions of selected ketone flavours with porcine myofibrillar proteins: The role of molecular structure of flavour compounds. Food Chem. 2019, 298, 125060. [Google Scholar] [CrossRef]
- Wu, C.L.; Dong, H.L.; Wang, P.; Xu, X.L.; Zhang, Y.; Li, Y. Insight into the effect of charge regulation on the binding mechanism of curcumin to myofibrillar protein. Food Chem. 2021, 352, 129395. [Google Scholar] [CrossRef] [PubMed]
- Hou, H.; Liu, C.; Lu, X.S.; Fang, D.L.; Hu, Q.H.; Zhang, Y.Y.; Zhao, L.Y. Characterization of flavor frame in shiitake mushrooms (Lentinula edodes) detected by HS-GC-IMS coupled with electronic tongue and sensory analysis: Influence of drying techniques. LWT-Food Sci. Technol. 2021, 146, 111402. [Google Scholar] [CrossRef]
- Morzel, M.; Gatellier, P.; Sayd, T.; Renerre, M.; Laville, E. Chemical oxidation decreases proteolytic susceptibility of skeletal muscle myofibrillar proteins. Meat Sci. 2006, 73, 536–543. [Google Scholar] [CrossRef] [PubMed]
- Ha, M.; Bekhit, A.E.D.A.; Carne, A.; Hopkins, D.L. Characterisation of commercial papain, bromelain, actinidin and zingibain protease preparations and their activities toward meat proteins. Food Chem. 2012, 134, 95–105. [Google Scholar] [CrossRef]
- Kimmel, J.R.; Smith, E.L. Crystalline papain. I. preparation, specificity, and activation. J. Biol. Chem. 1954, 207, 515. [Google Scholar] [CrossRef]
- Alaa, A.B.; David, L.H.; Geert, G.; Adnan, A.B.; Philip, F. Exogenous proteases for meat tenderization. Crit. Rev. Food Sci. Nutr. 2014, 54, 1012–1031. [Google Scholar]
- Lv, T.; Wang, Y.; Pan, D.D.; Cao, J.X.; Zhang, X.; Sun, Y.Y.; Chen, Y.J.; Liu, Y. Effect of Trypsin Treatments on the Structure and Binding Capacity of Volatile Compounds of Myosin. Food Chem. 2017, 214, 710–716. [Google Scholar] [CrossRef]
- Kelly, S.M.; Jess, T.J.; Price, N.C. How to study proteins by circular dichroism. Biochim. Biophys. Acta 2005, 1751, 119–139. [Google Scholar] [CrossRef]
- Adams, R.L.; Mottram, D.S.; Parker, J.K.; Brown, H.M. Flavor-protein binding: Disulfide interchange reactions between ovalbumin and volatile disulfides. J. Agric. Food Chem. 2001, 49, 4333–4336. [Google Scholar] [CrossRef]
- Ghassem, M.; Fern, S.S.; Said, M.; Ali, Z.M.; Ibrahim, S.; Babji, A.S. Kinetic Characterization of Channa Striatus Muscle Sarcoplasmic and Myofibrillar Protein Hydrolysates. J. Food Sci. Technol. 2014, 51, 467–475. [Google Scholar] [CrossRef] [Green Version]
- Mokni Ghribi, A.; Maklouf Gafsi, I.; Sila, A.; Blecker, C.; Danthine, S.; Attia, H.; Bougatef, A.; Besbes, S. Effects of Enzymatic Hydrolysis on Conformational and Functional Properties of Chickpea Protein Isolate. Food Chem. 2015, 187, 322–330. [Google Scholar] [CrossRef]
- Tavano, O.L. Protein hydrolysis using proteases: An important tool for food biotechnology. J. Mol. Catal. B Enzym. 2013, 90, 1–11. [Google Scholar] [CrossRef]
- Ju, Z.Y.; Kilara, A. Gelation of pH-aggregated whey protein isolate solution induced by heat, protease, calcium salt, and acidulant. J. Agric. Food Chem. 1998, 46, 1830–1835. [Google Scholar] [CrossRef]
- Zhou, F.B.; Zhao, M.M.; Su, G.W.; Sun, W.Z. Binding of aroma compounds with myofibrillar proteins modified by a hydroxyl-radical-induced oxidative system. J. Agric. Food Chem. 2014, 62, 9544–9552. [Google Scholar] [CrossRef] [PubMed]
- Pourhossein, A.; Rafizadeh, M.; Chen, P. Size-controlled fabrication of egg-like protein nanoparticles: Thermodynamic characterization of the interaction between zein nanoparticles and serum albumin. Mater. Res. Express 2019, 6, 115001. [Google Scholar] [CrossRef]
- Xu, Y.; Zhao, J.; Wang, R.; Li, X.; Mi, H.; Li, J. Effect of Heat Treatment on the Binding of Selected Flavor Compounds to Myofibrillar Proteins. J. Sci. Food Agric. 2019, 99, 5028–5034. [Google Scholar] [CrossRef]
- Wang, H.T.; Guan, H.N.; Zhang, H.W.; Liu, H.T.; Chen, Q.; Kong, B.H. Elucidation of Interaction Mechanisms Between Myofibrillar Proteins and Ethyl Octanoate by SPME-GC-MS, Molecular Docking and Dynamics Simulation. LWT-Food Sci. Technol. 2021, 154, 112787. [Google Scholar] [CrossRef]
- Cao, J.X.; Zhou, C.Y.; Wang, Y.; Sun, Y.Y.; Pan, D.D. The effect of oxidation on the structure of G-actin and its binding ability with aroma compounds in carp grass skeletal muscle. Food Chem. 2018, 240, 346–353. [Google Scholar] [CrossRef]
- Wang, K.; Arntfield, S.D. Binding of selected volatile flavour mixture to salt-extracted canola and pea proteins and effect of heat treatment on flavour binding. Food Hydrocoll. 2015, 43, 410–417. [Google Scholar] [CrossRef]
- Zhang, Y.Z.; Zhou, B.; Zhang, X.P.; Huang, P.; Li, C.H.; Liu, Y. Interaction of malachite green with bovine serum albumin: Determination of the binding mechanism and binding site by spectroscopic methods. J. Hazard. Mater. 2009, 163, 1345–1352. [Google Scholar] [CrossRef]
- Lou, X.W.; Yang, Q.L.; Sun, Y.Y.; Pan, D.D.; Cao, J.X. The effect of microwave on the interaction of flavour compounds with G-actin from grass carp (Catenopharyngodon idella). J. Sci. Food Agric. 2017, 97, 3917–3922. [Google Scholar] [CrossRef] [PubMed]
- Fu, X.C.; Ke, F.; Zhan, S.Y. Prediction of plasma protein binding of cephalosporins from polar molecular surface areas. J. Zhejiang Univ. 2007, 36, 386–390. [Google Scholar]
- Pérez-Juan, M.; Flores, M.; Toldra, F. Binding of aroma compounds by isolated myofibrillar proteins: Effect of protein concentration and conformation. Food Chem. 2007, 105, 932–939. [Google Scholar] [CrossRef]
- Han, Z.; Cai, M.J.; Cheng, J.H.; Sun, D.W. Effects of constant power microwave on the adsorption behaviour of myofibril protein to aldehyde flavour compounds. Food Chem. 2021, 336, 127728. [Google Scholar] [CrossRef] [PubMed]
- Guichard, E. Interactions between flavor compounds and food ingredients and their influence on flavor perception. Food. Rev. Int. 2002, 18, 49–70. [Google Scholar] [CrossRef]






| Sample | Time (min) | Salt Solubility (%) | Turbidity (FTU) | Particle Size (103 nm) |
|---|---|---|---|---|
| Control | - | 61.13 ± 0.37 h | 80.80 ± 1.96 a | 15.43 ± 0.41 a |
| Papain | 5 | 77.84 ± 1.78 de | 57.79 ± 1.54 d | 14.28 ± 0.43 b |
| 15 | 79.99 ± 2.73 bcd | 40.53 ± 3.37 f | 12.21 ± 0.51 cd | |
| 30 | 75.70 ± 1.95 ef | 36.25 ± 1.59 gh | 10.39 ± 0.55 e | |
| 60 | 74.14 ± 1.14 f | 32.65 ± 1.67 hi | 7.11 ± 0.48 g | |
| Proteinase K | 5 | 77.46 ± 1.79 def | 39.81 ± 0.85 fg | 9.26 ± 0.55 f |
| 15 | 76.88 ± 2.95 def | 33.31 ± 1.08 hi | 4.99 ± 0.44 h | |
| 30 | 79.46 ± 1.54 cd | 33.27 ± 1.52 hi | 2.11 ± 0.09 i | |
| 60 | 76.87 ± 1.88 def | 31.39 ± 0.94 i | 1.38 ± 0.04 i | |
| Bromelain | 5 | 65.73 ± 1.84 g | 76.08 ± 3.50 b | 14.98 ± 0.14 ab |
| 15 | 81.86 ± 2.60 bc | 70.55 ± 4.03 c | 12.78 ± 0.56 c | |
| 30 | 82.88 ± 1.04 b | 59.67 ± 0.74 d | 11.63 ± 0.31 d | |
| 60 | 89.12 ± 0.56 a | 45.64 ± 2.32 e | 9.58 ± 0.73 f |
Publisher’s Note: MDPI stays neutral with regard to jurisdictional claims in published maps and institutional affiliations. |
© 2022 by the authors. Licensee MDPI, Basel, Switzerland. This article is an open access article distributed under the terms and conditions of the Creative Commons Attribution (CC BY) license (https://creativecommons.org/licenses/by/4.0/).
Share and Cite
Li, H.; Zheng, R.; Zuo, F.; Qian, C.; Yao, Z.; Dong, R.; Zhao, D.; Li, C. Influence of Proteolysis on the Binding Capacity of Flavor Compounds to Myofibrillar Proteins. Foods 2022, 11, 891. https://doi.org/10.3390/foods11060891
Li H, Zheng R, Zuo F, Qian C, Yao Z, Dong R, Zhao D, Li C. Influence of Proteolysis on the Binding Capacity of Flavor Compounds to Myofibrillar Proteins. Foods. 2022; 11(6):891. https://doi.org/10.3390/foods11060891
Chicago/Turabian StyleLi, Hao, Rui Zheng, Fangfang Zuo, Chengyu Qian, Zhengan Yao, Ruipeng Dong, Di Zhao, and Chunbao Li. 2022. "Influence of Proteolysis on the Binding Capacity of Flavor Compounds to Myofibrillar Proteins" Foods 11, no. 6: 891. https://doi.org/10.3390/foods11060891
APA StyleLi, H., Zheng, R., Zuo, F., Qian, C., Yao, Z., Dong, R., Zhao, D., & Li, C. (2022). Influence of Proteolysis on the Binding Capacity of Flavor Compounds to Myofibrillar Proteins. Foods, 11(6), 891. https://doi.org/10.3390/foods11060891

