Sign in to use this feature.

Years

Between: -

Subjects

remove_circle_outline
remove_circle_outline
remove_circle_outline
remove_circle_outline
remove_circle_outline
remove_circle_outline

Journals

Article Types

Countries / Regions

Search Results (23)

Search Parameters:
Keywords = overt pain

Order results
Result details
Results per page
Select all
Export citation of selected articles as:
23 pages, 28830 KB  
Article
Micro-Expression-Based Facial Analysis for Automated Pain Recognition in Dairy Cattle: An Early-Stage Evaluation
by Shuqiang Zhang, Kashfia Sailunaz and Suresh Neethirajan
AI 2025, 6(9), 199; https://doi.org/10.3390/ai6090199 - 22 Aug 2025
Viewed by 967
Abstract
Timely, objective pain recognition in dairy cattle is essential for welfare assurance, productivity, and ethical husbandry yet remains elusive because evolutionary pressure renders bovine distress signals brief and inconspicuous. Without verbal self-reporting, cows suppress overt cues, so automated vision is indispensable for on-farm [...] Read more.
Timely, objective pain recognition in dairy cattle is essential for welfare assurance, productivity, and ethical husbandry yet remains elusive because evolutionary pressure renders bovine distress signals brief and inconspicuous. Without verbal self-reporting, cows suppress overt cues, so automated vision is indispensable for on-farm triage. Although earlier systems tracked whole-body posture or static grimace scales, frame-level detection of facial micro-expressions has not been explored fully in livestock. We translate micro-expression analytics from automotive driver monitoring to the barn, linking modern computer vision with veterinary ethology. Our two-stage pipeline first detects faces and 30 landmarks using a custom You Only Look Once (YOLO) version 8-Pose network, achieving a 96.9% mean average precision (mAP) at an Intersection over the Union (IoU) threshold of 0.50 for detection and 83.8% Object Keypoint Similarity (OKS) for keypoint placement. Cropped eye, ear, and muzzle patches are encoded using a pretrained MobileNetV2, generating 3840-dimensional descriptors that capture millisecond muscle twitches. Sequences of five consecutive frames are fed into a 128-unit Long Short-Term Memory (LSTM) classifier that outputs pain probabilities. On a held-out validation set of 1700 frames, the system records 99.65% accuracy and an F1-score of 0.997, with only three false positives and three false negatives. Tested on 14 unseen barn videos, it attains 64.3% clip-level accuracy (i.e., overall accuracy for the whole video clip) and 83% precision for the pain class, using a hybrid aggregation rule that combines a 30% mean probability threshold with micro-burst counting to temper false alarms. As an early exploration from our proof-of-concept study on a subset of our custom dairy farm datasets, these results show that micro-expression mining can deliver scalable, non-invasive pain surveillance across variations in illumination, camera angle, background, and individual morphology. Future work will explore attention-based temporal pooling, curriculum learning for variable window lengths, domain-adaptive fine-tuning, and multimodal fusion with accelerometry on the complete datasets to elevate the performance toward clinical deployment. Full article
Show Figures

Figure 1

16 pages, 5492 KB  
Article
Tityus serrulatus Scorpion Venom-Induced Nociceptive Responses Depend on TRPV1, Immune Cells, and Pro-Inflammatory Cytokines
by Camila R. Ferraz, Marília F. Manchope, Mariana M. Bertozzi, Telma Saraiva-Santos, Ketlem C. Andrade, Anelise Franciosi, Tiago H. Zaninelli, Julia Bagatim-Souza, Sergio M. Borghi, Denise M. Cândido, Thiago M. Cunha, Rubia Casagrande, Fábio H. Kwasniewski and Waldiceu A. Verri
Toxins 2025, 17(7), 332; https://doi.org/10.3390/toxins17070332 - 30 Jun 2025
Viewed by 1232
Abstract
For centuries, researchers have been fascinated by the composition of scorpion venom and its local and systemic effects on humans. During a sting, scorpions inject peptides and proteins that can affect immune cells and neurons. While the immune and nervous systems have been [...] Read more.
For centuries, researchers have been fascinated by the composition of scorpion venom and its local and systemic effects on humans. During a sting, scorpions inject peptides and proteins that can affect immune cells and neurons. While the immune and nervous systems have been studied independently in the context of scorpion stings, here we reveal part of the mechanism by which Tityus serrulatus venom induces hyperalgesia in mice. Through behavioral, immune, imaging assays, and mice genetics, we demonstrate evidence of neuroimmune crosstalk during scorpion stings. Tityus serrulatus venom induced mechanical and thermal hyperalgesia in a dose-dependent manner, as well as overt pain-like behavior. The venom directly activated dorsal root ganglia neurons and increased the recruitment of macrophages and neutrophils, releasing pro-inflammatory cytokines TNF-α and IL-1β. Blocking TRPV1+ neurons, TNF-α, IL-1β, and NFκB reduced the mechanical and thermal hyperalgesia, overt pain-like behavior, and the migration of macrophages and neutrophils induced by Tityus serrulatus venom. Collectively, Tityus serrulatus venom targets primary afferent nociceptive TRPV1+ neurons to induce hyperalgesia through the recruitment of macrophages and neutrophils and the release of pro-inflammatory cytokines. Full article
(This article belongs to the Section Animal Venoms)
Show Figures

Figure 1

26 pages, 1489 KB  
Commentary
No More Evasion: Redefining Conflict Behaviour in Human–Horse Interactions
by Emily O’Connell, Sue Dyson, Andrew McLean and Paul McGreevy
Animals 2025, 15(3), 399; https://doi.org/10.3390/ani15030399 - 31 Jan 2025
Cited by 5 | Viewed by 5814
Abstract
Euphemisms, anthropomorphisms, and equivocation are established characteristics of traditional equestrian language. ‘Evasion’, ‘resistance’, and ‘disobedience’ are common labels assigned to unwelcome equine behaviours, implying that the horse is at fault for not complying with the human’s cues and expectations. These terms appear to [...] Read more.
Euphemisms, anthropomorphisms, and equivocation are established characteristics of traditional equestrian language. ‘Evasion’, ‘resistance’, and ‘disobedience’ are common labels assigned to unwelcome equine behaviours, implying that the horse is at fault for not complying with the human’s cues and expectations. These terms appear to overlook multiple motivations that may directly result in the horse offering unwelcome responses, which may then inadvertently be reinforced. This article revisits some of the anthropocentric inferences in these terms and explores the harmful consequences of such convenient but incorrect labels before proposing a redefinition of ‘conflict behaviour’ in human–horse interactions: Responses reflective of competing motivations for the horse that may exist on a continuum from subtle to overt, with frequencies that range from a singular momentary behavioural response to repetitive displays when motivational conflict is prolonged. Addressing how inadequate terms may mask pain, obscure the horse’s motivation, and deflect human culpability, this commentary highlights the merits of a multidisciplinary approach to terminology across equine research. Acknowledging that variables contributing to behaviour can be biological, environmental and anthropogenic, it emphasises the need for more investigation into the relationships between equicentric motivations reflecting equine telos and problematic horse behaviours. Full article
Show Figures

Figure 1

5 pages, 1525 KB  
Interesting Images
Myeloid Sarcoma of the Colon Initially Presenting as a Paracolic Abscess in a Patient with Relapsed Acute Myeloid Leukemia
by Seo Yeon Youn, Yu Ri Shin and Gyeongsin Park
Diagnostics 2024, 14(11), 1062; https://doi.org/10.3390/diagnostics14111062 - 21 May 2024
Cited by 1 | Viewed by 1568
Abstract
Myeloid sarcoma, a rare extramedullary manifestation of acute myeloid leukemia (AML), can occur in various anatomic sites but seldom involves the gastrointestinal tract. We report the unusual case of a 49-year-old man with a history of AML who initially presented with abdominal pain [...] Read more.
Myeloid sarcoma, a rare extramedullary manifestation of acute myeloid leukemia (AML), can occur in various anatomic sites but seldom involves the gastrointestinal tract. We report the unusual case of a 49-year-old man with a history of AML who initially presented with abdominal pain and imaging findings suggestive of a paracolic abscess. However, the lesion rapidly progressed to a large descending colon mass with peritoneal involvement over five weeks. Surgical resection and histopathological examination confirmed a diagnosis of myeloid sarcoma. This case highlights the potential of myeloid sarcoma to mimic an inflammatory colonic process at initial presentation prior to manifesting as an overt mass lesion. Although exceedingly rare, myeloid sarcoma should be considered in patients with a history of AML presenting with colon lesions, particularly in those with an aggressive clinical course. Early recognition may expedite appropriate treatment and prevent unnecessary procedures. This report also underscores the importance of correlating imaging findings with clinical history and histopathology findings to establish an accurate diagnosis. Full article
Show Figures

Figure 1

21 pages, 2778 KB  
Article
Could Capsule Endoscopy Be Useful in Detection of Suspected Small Bowel Bleeding and IBD-10 Years of Single Center Experience
by Jelena Martinov Nestorov, Aleksandra Sokic-Milutinovic, Aleksandra Pavlovic Markovic and Miodrag Krstic
Diagnostics 2024, 14(9), 862; https://doi.org/10.3390/diagnostics14090862 - 23 Apr 2024
Cited by 1 | Viewed by 2286
Abstract
A retrospective study in patients who underwent video capsule endoscopy (VCE) between 2006 and 2016 was conducted in the Clinic for gastroenterology and Hepatology, University Clinical Center of Serbia. A total of 245 patients underwent VCE. In 198 patients the indication was obscure [...] Read more.
A retrospective study in patients who underwent video capsule endoscopy (VCE) between 2006 and 2016 was conducted in the Clinic for gastroenterology and Hepatology, University Clinical Center of Serbia. A total of 245 patients underwent VCE. In 198 patients the indication was obscure gastrointestinal bleeding (OGIB), with 92 patients having overt and the other 106 occult bleeding. The remaining 47 patients underwent VCE due to suspected small bowel (SB) disease (i.e., Von Hippel–Lindau syndrome, familial adenomatous polyposis, Peutz Jeghers syndrome, Crohn’s disease, prolonged diarrhea, abdominal pain, congenital lymphangiectasia, protein-losing enteropathy, tumors, refractory celiac disease, etc.). VCE identified a source of bleeding in 38.9% of patients (in the obscure overt group in 48.9% of patients, and in the obscure occult group in 30.2% of patients). The most common findings were angiodysplasias, tumors, Meckel’s diverticulum and Crohn’s disease. In the smaller group of patients with an indication other than OGIB, 38.3% of patients had positive VCE findings. The most common indication is OGIB, and the best candidates are patients with overt bleeding; patients with IBD should be evaluated in this setting. Full article
Show Figures

Figure 1

14 pages, 818 KB  
Review
Silent Myocardial Ischemia: From Pathophysiology to Diagnosis and Treatment
by Panagiotis Theofilis, Alexios S. Antonopoulos, Marios Sagris, Aggelos Papanikolaou, Evangelos Oikonomou, Konstantinos Tsioufis and Dimitris Tousoulis
Biomedicines 2024, 12(2), 259; https://doi.org/10.3390/biomedicines12020259 - 23 Jan 2024
Cited by 16 | Viewed by 11819
Abstract
Silent myocardial ischemia (SMI), characterized by a lack of overt symptoms despite an inadequate blood supply to the myocardium, remains a challenging entity in cardiovascular medicine. The pathogenesis involves intricate interactions of vascular, neurohormonal, and metabolic factors, contributing to perfusion deficits without the [...] Read more.
Silent myocardial ischemia (SMI), characterized by a lack of overt symptoms despite an inadequate blood supply to the myocardium, remains a challenging entity in cardiovascular medicine. The pathogenesis involves intricate interactions of vascular, neurohormonal, and metabolic factors, contributing to perfusion deficits without the characteristic chest pain. Understanding these mechanisms is pivotal for recognizing diverse clinical presentations and designing targeted interventions. Diagnostic strategies for SMI have evolved from traditional electrocardiography to advanced imaging modalities, including stress echocardiography, single-photon emission computed tomography (SPECT), positron emission tomography (PET), and cardiac magnetic resonance imaging (MRI). Treating SMI is a matter of ongoing debate, as the available evidence on the role of invasive versus medical management is controversial. This comprehensive review synthesizes current knowledge of silent myocardial ischemia, addressing its pathophysiology, diagnostic modalities, and therapeutic interventions. Full article
(This article belongs to the Special Issue Biomedicines: 10th Anniversary)
Show Figures

Figure 1

20 pages, 7102 KB  
Article
Controlled-Release Hydrogel Microspheres to Deliver Multipotent Stem Cells for Treatment of Knee Osteoarthritis
by Megan Hamilton, Jinxi Wang, Prajnaparamita Dhar and Lisa Stehno-Bittel
Bioengineering 2023, 10(11), 1315; https://doi.org/10.3390/bioengineering10111315 - 15 Nov 2023
Cited by 15 | Viewed by 4010
Abstract
Osteoarthritis (OA) is the most common form of joint disease affecting articular cartilage and peri-articular tissues. Traditional treatments are insufficient, as they are aimed at mitigating symptoms. Multipotent Stromal Cell (MSC) therapy has been proposed as a treatment capable of both preventing cartilage [...] Read more.
Osteoarthritis (OA) is the most common form of joint disease affecting articular cartilage and peri-articular tissues. Traditional treatments are insufficient, as they are aimed at mitigating symptoms. Multipotent Stromal Cell (MSC) therapy has been proposed as a treatment capable of both preventing cartilage destruction and treating symptoms. While many studies have investigated MSCs for treating OA, therapeutic success is often inconsistent due to low MSC viability and retention in the joint. To address this, biomaterial-assisted delivery is of interest, particularly hydrogel microspheres, which can be easily injected into the joint. Microspheres composed of hyaluronic acid (HA) were created as MSC delivery vehicles. Microrheology measurements indicated that the microspheres had structural integrity alongside sufficient permeability. Additionally, encapsulated MSC viability was found to be above 70% over one week in culture. Gene expression analysis of MSC-identifying markers showed no change in CD29 levels, increased expression of CD44, and decreased expression of CD90 after one week of encapsulation. Analysis of chondrogenic markers showed increased expressions of aggrecan (ACAN) and SRY-box transcription factor 9 (SOX9), and decreased expression of osteogenic markers, runt-related transcription factor 2 (RUNX2), and alkaline phosphatase (ALPL). In vivo analysis revealed that HA microspheres remained in the joint for up to 6 weeks. Rats that had undergone destabilization of the medial meniscus and had overt OA were treated with empty HA microspheres, MSC-laden microspheres, MSCs alone, or a control vehicle. Pain measurements taken before and after the treatment illustrated temporarily decreased pain in groups treated with encapsulated cells. Finally, the histopathological scoring of each group illustrated significantly less OA damage in those treated with encapsulated cells compared to controls. Overall, these studies demonstrate the potential of using HA-based hydrogel microspheres to enhance the therapeutic efficacy of MSCs in treating OA. Full article
(This article belongs to the Section Nanobiotechnology and Biofabrication)
Show Figures

Figure 1

19 pages, 4636 KB  
Article
Endocannabinoid System Receptors at the Hip and Stifle Joints of Middle-Aged Dogs: A Novel Target for the Therapeutic Use of Cannabis sativa Extract in Canine Arthropathies
by Rodrigo Zamith Cunha, Giulia Salamanca, Fanny Mille, Cecilia Delprete, Cecilia Franciosi, Giuliano Piva, Alessandro Gramenzi and Roberto Chiocchetti
Animals 2023, 13(18), 2833; https://doi.org/10.3390/ani13182833 - 6 Sep 2023
Cited by 5 | Viewed by 4155
Abstract
The endocannabinoid system (ECS) has emerged as a potential therapeutic target in veterinary medicine due to its involvement in a wide range of physiological processes including pain, inflammation, immune function, and neurological function. Modulation of the ECS receptors has been shown to have [...] Read more.
The endocannabinoid system (ECS) has emerged as a potential therapeutic target in veterinary medicine due to its involvement in a wide range of physiological processes including pain, inflammation, immune function, and neurological function. Modulation of the ECS receptors has been shown to have anti-inflammatory, analgesic, and immunomodulatory effects in various animal models of disease, including dogs with osteoarthritis. The goal of this study was to identify and compare the cellular expression and distribution of cannabinoid receptor type 1 (CB1R) and type 2 (CB2R) and the cannabinoid-related G protein-coupled receptor 55 (GPR55) on the synovial cells of hip and stifle joints of seven dogs of different breeds without overt signs of osteoarthritis (OA). The synovial membranes of seven hips and seven stifle joints were harvested post mortem. The expression of the CB1R, CB2R, and GPR55 present in the synovial tissues was investigated using qualitative and quantitative immunofluorescence and Western blot (Wb) analysis. Synoviocytes of the stifle and hip joints expressed CB1R, CB2R, and GPR55 immunoreactivity (IR); no significant differences were observed for each different joint. Cannabinoid receptor 2- and GPR55-IR were also expressed by macrophages, neutrophils, and vascular cells. The ECS receptors were widely expressed by the synovial elements of dogs without overt signs of OA. It suggests that the ECS could be a target for the therapeutic use of Cannabis sativa extract in canine arthropathies. Full article
(This article belongs to the Section Companion Animals)
Show Figures

Figure 1

26 pages, 2210 KB  
Review
Management of Rheumatoid Arthritis: Possibilities and Challenges of Mesenchymal Stromal/Stem Cell-Based Therapies
by Yusuke Shimizu, Edward Hosea Ntege, Chinatsu Azuma, Fuminari Uehara, Takashi Toma, Kotaro Higa, Hiroki Yabiku, Naoki Matsuura, Yoshikazu Inoue and Hiroshi Sunami
Cells 2023, 12(14), 1905; https://doi.org/10.3390/cells12141905 - 21 Jul 2023
Cited by 13 | Viewed by 4895
Abstract
Rheumatoid arthritis (RA) is a highly prevalent, chronic, and progressive autoimmune disorder primarily affecting joints and muscles. The associated inflammation, pain, and motor restriction negatively impact patient quality of life (QOL) and can even contribute to premature mortality. Further, conventional treatments such as [...] Read more.
Rheumatoid arthritis (RA) is a highly prevalent, chronic, and progressive autoimmune disorder primarily affecting joints and muscles. The associated inflammation, pain, and motor restriction negatively impact patient quality of life (QOL) and can even contribute to premature mortality. Further, conventional treatments such as antiinflammatory drugs are only symptomatic. Substantial progress has been made on elucidating the etiopathology of overt RA, in particular the contributions of innate and adaptive immune system dysfunction to chronic inflammation. Although the precise mechanisms underlying onset and progression remain elusive, the discovery of new drug targets, early diagnosis, and new targeted treatments have greatly improved the prognosis and QOL of patients with RA. However, a sizable proportion of patients develop severe adverse effects, exhibit poor responses, or cannot tolerate long-term use of these drugs, necessitating more effective and safer therapeutic alternatives. Mounting preclinical and clinical evidence suggests that the transplantation of multipotent adult stem cells such as mesenchymal stromal/stem cells is a safe and effective treatment strategy for controlling chronic inflammation and promoting tissue regeneration in patients with intractable diseases, including RA. This review describes the current status of MSC-based therapies for RA as well as the opportunities and challenges to broader clinical application. Full article
Show Figures

Figure 1

18 pages, 895 KB  
Article
Application of the Ridden Horse Pain Ethogram to 150 Horses with Musculoskeletal Pain before and after Diagnostic Anaesthesia
by Sue Dyson and Danica Pollard
Animals 2023, 13(12), 1940; https://doi.org/10.3390/ani13121940 - 9 Jun 2023
Cited by 7 | Viewed by 4049
Abstract
The Ridden Horse Pain Ethogram (RHpE) was developed to facilitate the recognition of musculoskeletal pain. The aim of this study was to document changes in RHpE scores before and after diagnostic anaesthesia was performed to alleviate pain ± when the saddle was changed. [...] Read more.
The Ridden Horse Pain Ethogram (RHpE) was developed to facilitate the recognition of musculoskeletal pain. The aim of this study was to document changes in RHpE scores before and after diagnostic anaesthesia was performed to alleviate pain ± when the saddle was changed. One hundred and fifty horses underwent ridden exercise as part of an investigation of poor performance. The RHpE was applied before and after the interventions. Fifty-two (34.7%) horses exhibited a bilaterally symmetrical short step length and/or restricted hindlimb impulsion and engagement. Fifty-three (35.3%) horses had episodic lameness; only forty-five (30.0%) horses were continuously lame. The median maximum lameness grade when ridden was 2/8 (interquartile range [IQR]: 0–3; range: 0–4). Fifty-six (37.3%) horses had an ill-fitting saddle, which was considered likely to influence performance. The median RHpE scores after the interventions (2/24 [IQR: 1–3, range: 0–12]) were significantly lower than before the interventions (9/24 [IQR: 8–11, range: 2–15]) (Wilcoxon signed-rank z = 10.6, p < 0.001). There was no correlation between the RHpE score and maximum lameness grade before diagnostic anaesthesia (Spearman’s rho = 0.09, p = 0.262). It was concluded that the absence of overt lameness does not preclude primary musculoskeletal pain. Gait quality and performance can be improved by diagnostic anaesthesia, with substantial reductions in RHpE scores. Full article
(This article belongs to the Section Equids)
Show Figures

Figure 1

22 pages, 6101 KB  
Article
Kinin B2 and B1 Receptors Activation Sensitize the TRPA1 Channel Contributing to Anastrozole-Induced Pain Symptoms
by Maria Fernanda Pessano Fialho, Evelyne Silva Brum, Gabriela Becker, Indiara Brusco and Sara Marchesan Oliveira
Pharmaceutics 2023, 15(4), 1136; https://doi.org/10.3390/pharmaceutics15041136 - 3 Apr 2023
Cited by 7 | Viewed by 2554
Abstract
Aromatase inhibitors (AIs) cause symptoms of musculoskeletal pain, and some mechanisms have been proposed to explain them. However, signaling pathways downstream from kinin B2 (B2R) and B1 (B1R) receptor activation and their possible sensitizing of the Transient [...] Read more.
Aromatase inhibitors (AIs) cause symptoms of musculoskeletal pain, and some mechanisms have been proposed to explain them. However, signaling pathways downstream from kinin B2 (B2R) and B1 (B1R) receptor activation and their possible sensitizing of the Transient Receptor Potential Ankyrin 1 (TRPA1) remain unknown. The interaction between the kinin receptor and the TRPA1 channel in male C57BL/6 mice treated with anastrozole (an AI) was evaluated. PLC/PKC and PKA inhibitors were used to evaluate the signaling pathways downstream from B2R and B1R activation and their effect on TRPA1 sensitization. Anastrozole caused mechanical allodynia and muscle strength loss in mice. B2R (Bradykinin), B1R (DABk), or TRPA1 (AITC) agonists induced overt nociceptive behavior and enhanced and prolonged the painful parameters in anastrozole-treated mice. All painful symptoms were reduced by B2R (Icatibant), B1R (DALBk), or TRPA1 (A967079) antagonists. We observed the interaction between B2R, B1R, and the TRPA1 channel in anastrozole-induced musculoskeletal pain, which was dependent on the activation of the PLC/PKC and PKA signaling pathways. TRPA1 seems to be sensitized by mechanisms dependent on the activation of PLC/PKC, and PKA due to kinin receptors stimulation in anastrozole-treated animals. Thus, regulating this signaling pathway could contribute to alleviating AIs-related pain symptoms, patients’ adherence to therapy, and disease control. Full article
Show Figures

Figure 1

15 pages, 700 KB  
Review
Osteoarthritis as an Umbrella Term for Different Subsets of Humans Undergoing Joint Degeneration: The Need to Address the Differences to Develop Effective Conservative Treatments and Prevention Strategies
by David A. Hart
Int. J. Mol. Sci. 2022, 23(23), 15365; https://doi.org/10.3390/ijms232315365 - 6 Dec 2022
Cited by 27 | Viewed by 4110
Abstract
Osteoarthritis (OA) of joints such as the knee and hip are very prevalent, and the number of individuals affected is expected to continue to rise. Currently, conservative treatments after OA diagnosis consist of a series of increasingly invasive interventions as the degeneration and [...] Read more.
Osteoarthritis (OA) of joints such as the knee and hip are very prevalent, and the number of individuals affected is expected to continue to rise. Currently, conservative treatments after OA diagnosis consist of a series of increasingly invasive interventions as the degeneration and pain increase, leading very often to joint replacement surgery. Most interventions are focused on alleviating pain, and there are no interventions currently available that stop and reverse OA-associated joint damage. For many decades OA was considered a disease of cartilage, but it is now considered a disease of the whole multi-tissue joint. As pain is the usual presenting symptom, for most patients, it is not known when the disease process was initiated and what the basis was for the initiation. The exception is post-traumatic OA which results from an overt injury to the joint that elevates the risk for OA development. This scenario leads to very long wait lists for joint replacement surgery in many jurisdictions. One aspect of why progress has been so slow in addressing the needs of patients is that OA has been used as an umbrella term that does not recognize that joint degeneration may arise from a variety of mechanistic causes that likely need separate analysis to identify interventions unique to each subtype (post-traumatic, metabolic, post-menopausal, growth and maturation associated). A second aspect of the slow pace of progress is that the bulk of research in the area is focused on post-traumatic OA (PTOA) in preclinical models that likely are not clearly relevant to human OA. That is, only ~12% of human OA is due to PTOA, but the bulk of studies investigate PTOA in rodents. Thus, much of the research community is failing the patient population affected by OA. A third aspect is that conservative treatment platforms are not specific to each OA subset, nor are they integrated into a coherent fashion for most patients. This review will discuss the literature relevant to the issues mentioned above and propose some of the directions that will be required going forward to enhance the impact of the research enterprise to affect patient outcomes. Full article
(This article belongs to the Special Issue New Advances in Osteoarthritis 2.0)
Show Figures

Figure 1

12 pages, 2218 KB  
Article
Sustained Effects of CGRP Blockade on Cortical Spreading Depolarization-Induced Alterations in Facial Heat Pain Threshold, Light Aversiveness, and Locomotive Activity in the Light Environment
by Satoshi Kitagawa, Chunhua Tang, Miyuki Unekawa, Yohei Kayama, Jin Nakahara and Mamoru Shibata
Int. J. Mol. Sci. 2022, 23(22), 13807; https://doi.org/10.3390/ijms232213807 - 9 Nov 2022
Cited by 4 | Viewed by 2997
Abstract
A migraine is clinically characterized by repeated headache attacks that entail considerable disability. Many patients with migraines experience postdrome, the symptoms of which include tiredness and photophobia. Calcitonin gene-related peptide (GGRP) is critically implicated in migraine pathogenesis. Cortical spreading depolarization (CSD), the biological [...] Read more.
A migraine is clinically characterized by repeated headache attacks that entail considerable disability. Many patients with migraines experience postdrome, the symptoms of which include tiredness and photophobia. Calcitonin gene-related peptide (GGRP) is critically implicated in migraine pathogenesis. Cortical spreading depolarization (CSD), the biological correlate of migraine aura, sensitizes the trigeminovascular system. In our previous study, CSD caused hypomotility in the light zone and tendency for photophobia at 72 h, at which time trigeminal sensitization had disappeared. We proposed that this CSD-induced disease state would be useful for exploring therapeutic strategies for migraine postdrome. In the present study, we observed that the CGRP receptor antagonist, olcegepant, prevented the hypomotility in the light zone and ameliorated light tolerability at 72 h after CSD induction. Moreover, olcegepant treatment significantly elevated the threshold for facial heat pain at 72 h after CSD. Our results raise the possibility that CGRP blockade may be efficacious in improving hypoactivity in the light environment by enhancing light tolerability during migraine postdrome. Moreover, our data suggest that the CGRP pathway may lower the facial heat pain threshold even in the absence of overt trigeminal sensitization, which provides an important clue to the potential mechanism whereby CGRP blockade confers migraine prophylaxis. Full article
(This article belongs to the Special Issue Molecular and Cellular Neurobiology of Migraine)
Show Figures

Figure 1

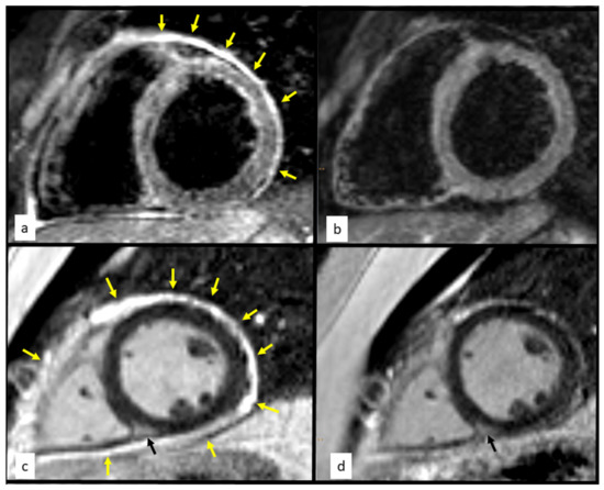
4 pages, 6226 KB  
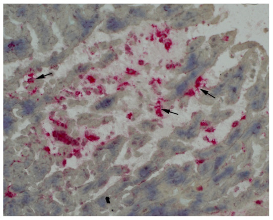
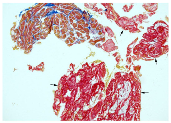
Interesting Images
Chest Pain of Atypical Cause in a Young Man
by Justyna Fijolek, Dariusz Gawryluk, Dorota Piotrowska-Kownacka, Krzysztof Ozieranski, Romuald Wojnicz and Elzbieta Wiatr
Diagnostics 2022, 12(8), 1881; https://doi.org/10.3390/diagnostics12081881 - 3 Aug 2022
Cited by 2 | Viewed by 1967
Abstract
Granulomatosis with polyangiitis (GPA) is a rare systemic vasculitis that classically affects the upper respiratory tract, lungs, and kidneys. The involvement of other organs occurs but is less frequent. Clinically overt cardiac involvement is rare. We present a rare case of thoracic pain [...] Read more.
Granulomatosis with polyangiitis (GPA) is a rare systemic vasculitis that classically affects the upper respiratory tract, lungs, and kidneys. The involvement of other organs occurs but is less frequent. Clinically overt cardiac involvement is rare. We present a rare case of thoracic pain caused by cardiac involvement in GPA, without any other symptoms. The diagnosis was made using an integral approach, with several complementary imaging modalities, including cardiac histology. Full article
(This article belongs to the Section Pathology and Molecular Diagnostics)
Show Figures

Figure 1

8 pages, 899 KB  
Article
Subacute Thyroiditis—Still a Diagnostic Challenge: Data from an Observational Study
by Taiba Zornitzki, Sorcha Mildiner, Tal Schiller, Alena Kirzhner, Viviana Ostrovsky and Hilla Knobler
Int. J. Environ. Res. Public Health 2022, 19(15), 9388; https://doi.org/10.3390/ijerph19159388 - 31 Jul 2022
Cited by 11 | Viewed by 2975
Abstract
Background: Subacute thyroiditis (SAT) is a relatively common cause of thyroid disease. However, only a few studies evaluating SAT have been published in recent years with varying diagnostic criteria. We evaluate the clinical presentation and long-term outcome of isotope scan-confirmed SAT. Methods: A [...] Read more.
Background: Subacute thyroiditis (SAT) is a relatively common cause of thyroid disease. However, only a few studies evaluating SAT have been published in recent years with varying diagnostic criteria. We evaluate the clinical presentation and long-term outcome of isotope scan-confirmed SAT. Methods: A retrospective study of 38 patients with isotope scan-confirmed SAT was performed at a single isotope department. All patients were contacted for long-term follow-up. Results: The female/male ratio was 1.4:1, and mean age was 47 ± 14 years and 62 ± 12 years in women and men, respectively (p = 0.002). Almost half of the cases (42%) occurred during the summer. The most common symptoms were neck pain (74%) and weakness (61%). Palpitations, weight loss, heat intolerance, and sweating appeared in 50%, 42%, 21%, and 21%, respectively. Only half of the patients reported fever. TSH level was low in all patients, and mean FT4 and FT3 level were about twice the upper limit of normal range. Elevated CRP and ESR occurred in the majority (88%) of patients. The mean time period between the first clinic visit and performing thyroid function tests was 8 ± 7 days. One-third of the patients initially received a diagnosis of upper respiratory tract infection (URI). NSAIDs and steroids were prescribed to 47% and 8% of patients, respectively. Long-term follow-up of 33.5 months (range 9–52) revealed that 25% remained with subclinical or overt hypothyroidism. Conclusions: These data demonstrate that although SAT is a common entity, there is still a significant delay in diagnosis, and in a third of our patients, the initial diagnosis was URI, with 25% developing long-term hypothyroidism. Full article
Show Figures

Figure 1

Back to TopTop