Chest Pain of Atypical Cause in a Young Man
Abstract
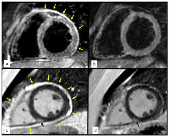
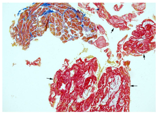
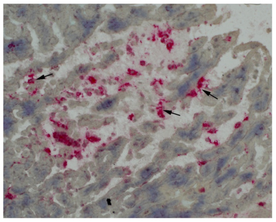
:


Author Contributions
Funding
Institutional Review Board Statement
Informed Consent Statement
Conflicts of Interest
References
- Terrier, B.; Charles, P.; Aumaître, O.; Belot, A.; Bonnotte, B.; Crabol, Y.; Durel, C.; Ebbo, M.; Jourde-Chiche, N.; Lega, J.; et al. ANCA-associated vasculitides: Recommendations of the French Vasculitis Study Group on the use of immunosuppressants and biotherapies for remission induction and maintenance. Presse Med. 2020, 49, 104031. [Google Scholar] [CrossRef] [PubMed]
- Broncano, J.; Vargas, D.; Bhalla, S.; Cummings, K.W.; Raptis, C.A.; Luna, A. CT and MRI imaging of cardiothoracic vasculitis. RadioGraphics 2018, 38, 997–1021. [Google Scholar] [CrossRef] [PubMed]
- Hoffman, G.S.; Kerr, G.S.; Leavitt, R.Y.; Hallahan, C.W.; Lebovics, R.S.; Travis, W.D.; Rottem, M.; Fauci, A.S. Wegener granulomatosis: An analysis of 158 patients. Ann. Intern. Med. 1992, 116, 488–498. [Google Scholar] [CrossRef] [PubMed]
- McGeoch, L.; Carette, S.; Cuthbertson, D.; Hoffman, G.S.; Khalidi, N.; Koening, C.L.; Langford, C.A.; McAlear, C.A.; Moreland, L.; Monach, P.A.; et al. Cardiac involvement in granulomatosis with polyangiitis. J. Rheumatol. 2015, 42, 1209–1212. [Google Scholar] [CrossRef] [PubMed] [Green Version]
- Oliveira, G.H.M.; Seward, J.B.; Tsang, T.S.M.; Specks, U. Echocardiographic findings in patients with Wegener granulomatosis. Mayo Clin. Proc. 2005, 80, 1435–1440. [Google Scholar] [CrossRef] [PubMed]
- Giollo, A.; Dumitru, R.B.; Swoboda, P.P.; Plein, S.; Greenwood, J.P.; Buch, M.H.; Andrews, J. Cardiac magnetic resonance imaging for detection of myocardial involvement in granulomatosis with polyangiitis. Int. J. Cardiovasc. Imaging 2021, 37, 1053–1062. [Google Scholar] [CrossRef] [PubMed]
- Fijolek, J.; Wiatr, E.; Gawryluk, D.; Nowicka, U. The significance of cardiac magnetic resonance imaging in detection and monitoring of the treatment efficacy of heart involvement in eosinophilic granulomatosis with polyangiitis. Sarcoidosis Vasc. Diffus. Lung Dis. 2016, 33, 51–58. [Google Scholar]
- Tymińska, A.; Ozierański, K.; Caforio, A.L.P.; Marcolongo, R.; Marchel, M.; Kapłon-Cieślicka, A.; Baritussio, A.; Filipiak, K.J.; Opolski, G.; Grabowsk, M. Myocarditis and inflammatory cardiomyopathy in 2021: An update. Pol. Arch. Intern. Med. 2021, 131, 594–606. [Google Scholar] [CrossRef] [PubMed]
- Fijołek, J.; Wiatr, E.; Gawryluk, D.; Langfort, R.; Roszkowski-Śliż, K. Difficulties in recognizing granulomatosis with polyangiitis (GPA) in elderly patients undergoing diagnostic thoracotomy twice—A report of two cases. Adv. Respir. Med. 2019, 87, 258–264. [Google Scholar] [CrossRef] [PubMed] [Green Version]
- Florian, A.; Slavich, M.; Blockmans, D.; Dymarkowski, S.; Bogaert, J. Cardiac involvement in granulomatosis with polyangiitis (Wegener Granulomatosis). Circulation 2011, 124, e342–e344. [Google Scholar] [CrossRef] [PubMed] [Green Version]
- Miloslavsky, E.; Unizony, S. The heart in vasculitis. Rheum. Dis. Clin. N. Am. 2014, 40, 11–26. [Google Scholar] [CrossRef] [PubMed]
- Czaplińska, M.; Dorniak, K.; Lizakowski, S.; Grzybowski, A.; Król, E.; Dębska-Ślizień, A. Cardiac involvement as a fatal complication of granulomatosis with polyangiitis. Pol. Arch. Intern. Med. 2021, 131, 73–74. [Google Scholar] [CrossRef] [PubMed]
- Hazebroek, M.R.; Kemna, M.J.; Schalla, S.; Wijk, S.S.; Gerretsen, S.C.; Dennert, R.; Merken, J.; Kuznetsova, T.; Staessen, J.A.; Brunner-La Rocca, H.P.; et al. Prevalence and prognostic relevance of cardiac involvement in ANCA-associated vasculitis: Eosinophilic granulomatosis with polyangiitis and granulomatosis with polyangiitis. Int. J. Cardiol. 2015, 199, 170–179. [Google Scholar] [CrossRef] [PubMed]
- Walsh, M.; Flossmann, O.; Berden, A.; Westman, K.; Höglund, P.; Stegeman, C.; Jayne, D. European Vasculitis Study Group Risk factor for relapse of antineutrophil cytoplasmic antibody-associated vasculitis. Arthritis Rheum 2012, 64, 542–548. [Google Scholar] [CrossRef] [PubMed]
- Pugnet, G.; Gouya, H.; Puéchal, X.; Terrier, B.; Kahan, A.; Legmann, P.; Guillevin, L.; Vignaux, O.; On behalf of the French Vasculitis Study Group. Cardiac involvement in granulomatosis with polyangiitis: A magnetic resonance imaging study of 31 consecutive patients. Rheumatology 2017, 56, 947–965. [Google Scholar] [CrossRef] [PubMed] [Green Version]
Publisher’s Note: MDPI stays neutral with regard to jurisdictional claims in published maps and institutional affiliations. |
© 2022 by the authors. Licensee MDPI, Basel, Switzerland. This article is an open access article distributed under the terms and conditions of the Creative Commons Attribution (CC BY) license (https://creativecommons.org/licenses/by/4.0/).
Share and Cite
Fijolek, J.; Gawryluk, D.; Piotrowska-Kownacka, D.; Ozieranski, K.; Wojnicz, R.; Wiatr, E. Chest Pain of Atypical Cause in a Young Man. Diagnostics 2022, 12, 1881. https://doi.org/10.3390/diagnostics12081881
Fijolek J, Gawryluk D, Piotrowska-Kownacka D, Ozieranski K, Wojnicz R, Wiatr E. Chest Pain of Atypical Cause in a Young Man. Diagnostics. 2022; 12(8):1881. https://doi.org/10.3390/diagnostics12081881
Chicago/Turabian StyleFijolek, Justyna, Dariusz Gawryluk, Dorota Piotrowska-Kownacka, Krzysztof Ozieranski, Romuald Wojnicz, and Elzbieta Wiatr. 2022. "Chest Pain of Atypical Cause in a Young Man" Diagnostics 12, no. 8: 1881. https://doi.org/10.3390/diagnostics12081881
APA StyleFijolek, J., Gawryluk, D., Piotrowska-Kownacka, D., Ozieranski, K., Wojnicz, R., & Wiatr, E. (2022). Chest Pain of Atypical Cause in a Young Man. Diagnostics, 12(8), 1881. https://doi.org/10.3390/diagnostics12081881

