Sign in to use this feature.

Years

Between: -

Subjects

remove_circle_outline
remove_circle_outline
remove_circle_outline
remove_circle_outline
remove_circle_outline
remove_circle_outline
remove_circle_outline
remove_circle_outline
remove_circle_outline

Journals

remove_circle_outline
remove_circle_outline
remove_circle_outline
remove_circle_outline
remove_circle_outline
remove_circle_outline
remove_circle_outline
remove_circle_outline

Article Types

Countries / Regions

remove_circle_outline
remove_circle_outline
remove_circle_outline
remove_circle_outline

Search Results (485)

Search Parameters:
Keywords = olive leaf

Order results
Result details
Results per page
Select all
Export citation of selected articles as:
13 pages, 537 KB  
Article
Chemical Profile and Related Antioxidant and Anti-Inflammatory Activities of Leaf Essential Oil from Aspilia rudis Oliv. & Hiern
by Didjour Albert Kambiré, Guy Blanchard Boué, Mathieu Paoli, Ange Bighelli, Jean Brice Boti, Zanahi Félix Tonzibo and Félix Tomi
Plants 2026, 15(6), 865; https://doi.org/10.3390/plants15060865 - 11 Mar 2026
Viewed by 191
Abstract
The present study reports, for the first time, the chemical composition of the leaf essential oil (LEO) from Aspilia rudis as well as its antioxidant and anti-inflammatory activities. Analysis combining GC(RI), GC-MS and 13C-NMR of 36 samples identified 58 compounds representing 96.7–99.3% [...] Read more.
The present study reports, for the first time, the chemical composition of the leaf essential oil (LEO) from Aspilia rudis as well as its antioxidant and anti-inflammatory activities. Analysis combining GC(RI), GC-MS and 13C-NMR of 36 samples identified 58 compounds representing 96.7–99.3% of the whole composition. Statistical analyses revealed chemical variability in three clusters, each composed of samples from the same sampling site. Cluster I is dominated by germacrene D (27.2 ± 2.7%), α-pinene (24.0 ± 2.9%) and (E)-β-caryophyllene (13.1 ± 1.7%), cluster II by α-pinene (38.9 ± 2.4%) and germacrene D (19.1 ± 3.6%), while the prevalent compound of cluster III is α-pinene (51.9 ± 5.3%), followed by β-pinene (11.7 ± 1.7%) and germacrene D (10.7 ± 2.2%). The oil samples S10, S26 and S36 demonstrated antioxidant activity (DPPH: EC50 = 43.8 ± 1.0, 28.5 ± 1.0 and 38.8 ± 1.0 µg/mL, respectively; ABTS: TEAC = 17.16 ± 0.70, 23.35 ± 1.32 and 18.76 ± 0.64 µmol TE/mg EO, respectively) and anti-inflammatory activity through the LOX inhibition assay (IC50 = 34.9 ± 1.0, 32.1 ± 1.0 and 22.2 ± 1.0 µg/mL, respectively). The activities of A. rudis LEO may be related to its main compounds and thymol, all known for their various pharmacological and biological properties, and probably to synergistic effects. Full article
Show Figures

Figure 1

21 pages, 6362 KB  
Article
Efficient Olive Leaf Disease Detection via Hybrid Artificial Rabbit Optimization and Genetic Algorithm-Based Deep Feature Selection
by Cumali Turkmenoglu, Hakan Gunduz and Emrullah Gazioglu
Agriculture 2026, 16(5), 626; https://doi.org/10.3390/agriculture16050626 - 9 Mar 2026
Viewed by 239
Abstract
Artificial intelligence (AI)-supported agricultural disease detection has become increasingly important for addressing global food security challenges. In this study, a hybrid meta-heuristic optimization-based feature selection approach is proposed for the detection of peacock eye disease (Venturia oleaginea) on olive leaves. The [...] Read more.
Artificial intelligence (AI)-supported agricultural disease detection has become increasingly important for addressing global food security challenges. In this study, a hybrid meta-heuristic optimization-based feature selection approach is proposed for the detection of peacock eye disease (Venturia oleaginea) on olive leaves. The proposed method combines Artificial Rabbit Optimization (ARO) and Genetic Algorithm (GA) strategies to balance global exploration and local exploitation during feature selection. Comprehensive experiments conducted on a dataset of 954 olive leaf images demonstrate that the proposed approach achieves an F1-score of 99.7% while reducing the feature dimensionality by 95%, selecting only 100 features from ResNet101. Statistical analysis confirms that the method significantly outperforms standalone GA and ARO approaches (p<0.05, paired t-tests), demonstrating superior long-term convergence behavior and a 47–56% reduction in performance variance across repeated runs. Compared to existing approaches in the literature, the proposed method attains competitive or superior accuracy with substantially fewer features, indicating a marked reduction in computational complexity. These results suggest that the proposed hybrid feature selection framework has strong potential for deployment in resource-constrained agricultural monitoring scenarios, where efficient inference and reduced model complexity are critical. Full article
Show Figures

Figure 1

14 pages, 2396 KB  
Article
Alginate–Chitosan Nanoparticles Improve the Stability and Biocompatibility of Olive Leaf Polyphenols
by Salam M. Habib, Rawabi Alqadi, Sarah Jaradat, Hakem Al-Soufi, Maria Gazouli and Imad Hamadneh
Polysaccharides 2026, 7(1), 29; https://doi.org/10.3390/polysaccharides7010029 - 6 Mar 2026
Viewed by 253
Abstract
Polysaccharide-based nanocarriers offer a novel delivery system for improving the stability, controlled release, and biological functionality of plant-derived bioactive materials. Olive leaf extract (OLE), rich in polyphenolic compounds with antioxidant and other bioactive properties, is limited by low stability and bioavailability. In this [...] Read more.
Polysaccharide-based nanocarriers offer a novel delivery system for improving the stability, controlled release, and biological functionality of plant-derived bioactive materials. Olive leaf extract (OLE), rich in polyphenolic compounds with antioxidant and other bioactive properties, is limited by low stability and bioavailability. In this study, OLE-loaded alginate–chitosan nanoparticles were prepared using ionotropic gelation–polyelectrolyte complexation (IG-PEC) method, and their physicochemical properties, cytotoxic behavior, and potential prebiotic effects were evaluated. The resulting nanoparticles (232–237 nm) exhibited uniform spherical morphology, negative zeta potentials, and improved colloidal stability. Free OLE demonstrated concentration-dependent and selective cytotoxicity toward A549 and MCF-7 cancer cells, while exhibiting lower toxicity toward normal fibroblasts. In contrast, unloaded and OLE-loaded nanoparticles (1X, 2X) showed low cytotoxicity, suggesting superior biocompatibility of the polysaccharide nanocarrier. Notably, cultures supplemented with OLE-loaded nanoparticles showed a trend toward higher probiotic growth compared to free OLE, indicating a potential prebiotic effect and improved microbial tolerance to polyphenols during extended exposure. These findings highlight the advantages of polysaccharide-based nanoencapsulation for both stabilizing bioactive materials and supporting favorable microbial responses. The developed OLE nanocarriers may serve as a promising platform for nutraceutical, biomedical, and functional food applications. Full article
Show Figures

Figure 1

15 pages, 3803 KB  
Article
Differential Impact of Olive Leaf Extract and Its Secoiridoid Components, Oleuropein Aglycone and Oleacin, on Adipogenic Differentiation and Proliferation of Bone Marrow Mesenchymal Stem Cells
by Chiara Giordani, Angelica Giuliani, Silvia Di Valerio, Tatiana Spadoni, Laura Graciotti, Sonia Bonacci, Antonio Domenico Procopio, Antonio Procopio and Maria Rita Rippo
Pharmaceuticals 2026, 19(3), 353; https://doi.org/10.3390/ph19030353 - 25 Feb 2026
Viewed by 282
Abstract
Background/Objectives: Bone marrow adipose tissue (BMAT) serves multiple physiological roles but accumulates with age, compromising skeletal health. This expansion is largely driven by an adipogenic drift of bone marrow mesenchymal stromal cells (BMSCs), shifting attention toward stromal cell fate regulation as a [...] Read more.
Background/Objectives: Bone marrow adipose tissue (BMAT) serves multiple physiological roles but accumulates with age, compromising skeletal health. This expansion is largely driven by an adipogenic drift of bone marrow mesenchymal stromal cells (BMSCs), shifting attention toward stromal cell fate regulation as a target to preserve bone marrow homeostasis. Preventing adipogenic commitment may be as relevant as directly inducing osteogenesis for maintaining a bone-permissive marrow microenvironment. Here, we investigated whether olive leaf extract (OLE) and its purified secoiridoid components, oleacin (OC) and oleuropein aglycone (OA), modulate the adipogenic differentiation and proliferative capacity of human BMSCs. Methods: Human BMSCs were induced to undergo adipogenic differentiation and treated with OLE, OC, or OA. Intracellular lipid accumulation and the expression of key adipogenic regulators were assessed. Proliferative capacity was evaluated under both maintenance and adipogenic conditions. Results: Under adipogenic conditions, OLE markedly reduced intracellular lipid accumulation and induced a coordinated downregulation of PPARγ, PLIN1, FABP4, ADIPOQ, LEP and the adipogenesis-associated miR-422a. In contrast, OC and OA exerted more selective and specific effects on biomarkers, indicating the partial and complementary modulation of adipogenic programs. Notably, OLE also increased BMSC proliferation under both maintenance and adipogenic conditions, suggesting the preservation of a less committed stromal cell pool. Although the relative contribution of enhanced proliferation versus the direct inhibition of adipogenic pathways cannot be fully disentangled, the combined molecular and functional data support a dual action of OLE on stromal cell fate. Conclusions: OLE limits adipogenic commitment while maintaining stromal cell proliferative competence, processes that are critically involved in BMAT expansion and bone marrow dysfunction. OC and OA contribute to OLE bioactivity deserving further investigation, particularly in combination, as potential modulators of BMAT expansion. Full article
Show Figures

Figure 1

20 pages, 3284 KB  
Article
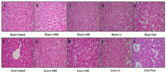
Formulation and Characterization of an Oleuropein-Enriched Oral Spray Gel: Microbiological Performance and In Ovo Histopathological Safety
by Levent Alparslan, Samet Özdemir, Burak Karacan, Ömer Faruk Tutar, Tunay Doğan, Remzi Okan Akar, Elifnur Gizem Yıldırım and Nusret Erdoğan
Pharmaceutics 2026, 18(2), 200; https://doi.org/10.3390/pharmaceutics18020200 - 3 Feb 2026
Viewed by 557
Abstract
Background/Objectives: Oleuropein is a bioactive phenolic compound from olive leaves with antimicrobial and antioxidant activity. This study aimed to develop a sprayable oral gel containing an oleuropein-rich aqueous extract and to evaluate its pharmaceutical performance antimicrobial efficacy and in ovo biological response. [...] Read more.
Background/Objectives: Oleuropein is a bioactive phenolic compound from olive leaves with antimicrobial and antioxidant activity. This study aimed to develop a sprayable oral gel containing an oleuropein-rich aqueous extract and to evaluate its pharmaceutical performance antimicrobial efficacy and in ovo biological response. Methods: Oleuropein content was quantified using a validated chromatographic method. Polymeric systems were screened to select an optimized sprayable formulation. Physicochemical stability, dose uniformity, and antimicrobial activity against major cariogenic bacteria were evaluated. In ovo biological evaluation was conducted using the chick chorioallantoic membrane angiogenesis model together with histopathological examination of embryonic heart and liver tissues. Results: Oleuropein content was determined as 288.6 µg/mL in the olive leaf extract and 255.1 µg/mL in the final formulation. The optimized oral spray showed stable physicochemical properties, with pH maintained at 6.90 ± 0.02 and no relevant changes in viscosity during storage. The mean delivered dose per actuation was 0.128 ± 0.015 g, corresponding to 32.6 µg oleuropein per spray. The formulation exhibited inhibitory activity against all tested cariogenic microorganisms, with MIC values ranging from 13.3 to 170.7 µg/mL and MBC values generally two-fold higher. In the CAM assay, significant concentration- and time-dependent antiangiogenic effects were observed after 24–48 h at moderate and higher concentrations. Histopathological evaluation revealed dose-dependent acute degenerative and congestive changes in heart and liver tissues without evidence of fibrosis or steatosis. Conclusions: The oleuropein-based sprayable oral gel is a promising localized delivery system with adequate stability dose uniformity and antimicrobial efficacy. In ovo findings provide a conservative assessment of systemic exposure and support further development for oral biofilm and caries-related applications. Full article
Show Figures

Graphical abstract

16 pages, 2144 KB  
Article
Intraspecific Variability in Leaf Functional Traits Reveals Divergent Resource-Use Strategies and Geographic Adaptation in Mediterranean Olive Cultivars from Worldwide Olive Germplasm Bank of Marrakech
by Jalal Kassout, Houda Souali, Asma Zahiri, Omar Abou-Saaid, Ater Mohammed and Sara Oulbi
Plants 2026, 15(3), 471; https://doi.org/10.3390/plants15030471 - 3 Feb 2026
Viewed by 464
Abstract
Understanding intraspecific functional trait variability (ITV) is crucial for elucidating plant functional strategies under environmental change. This study investigates the functional responses of 129 Mediterranean olive (Olea europaea L.) cultivars conserved in the Worldwide Olive Germplasm Bank of Marrakech (WOGBM), focusing on [...] Read more.
Understanding intraspecific functional trait variability (ITV) is crucial for elucidating plant functional strategies under environmental change. This study investigates the functional responses of 129 Mediterranean olive (Olea europaea L.) cultivars conserved in the Worldwide Olive Germplasm Bank of Marrakech (WOGBM), focusing on three key leaf traits: specific leaf area (SLA), specific leaf water content (SLWC), and leaf area (LA). Substantial ITV was observed, with variability predominantly driven by cultivar differences and geographic origin. LA accounted for the highest within-cultivar variability (43.60%), followed by SLWC (31.67%) and SLA (17.92%). Geographic origin significantly influenced trait expression, with eastern Mediterranean cultivars exhibiting conservative resource-use strategies (high SLWC, low SLA, and LA), while western cultivars displayed acquisitive strategies (high SLA and LA, low SLWC). Principal component analysis further differentiated eastern and western cultivars, reflecting biogeographical and evolutionary influences. The relationship between LA and climatic variables suggests climate-driven selection, where cultivars from wetter regions develop larger leaves to optimize light capture and carbon assimilation, whereas those from drier environments exhibit smaller leaves to reduce water loss. These findings highlight a trade-off between resource acquisition and conservation, supporting the leaf economic spectrum at the intraspecific level. This study underscores the importance of ITV in olive diversification and adaptation, providing insights for breeding, conservation, and climate resilience. A trait-based approach proves valuable for exploring domestication processes and plant responses to environmental gradients. Full article
Show Figures

Figure 1

14 pages, 1203 KB  
Article
Influence of Drying Methods on Volatile Aroma Compounds and Sensory Properties of Olive Leaf Herbal Tea
by Gianluca Tripodi, Marco Torre, Antonella Verzera and Fabrizio Cincotta
Foods 2026, 15(3), 496; https://doi.org/10.3390/foods15030496 - 1 Feb 2026
Viewed by 299
Abstract
Olive leaves, a by-product of the olive oil industry, represent an interesting underutilized raw material for the preparation of herbal teas. However, processing conditions, particularly drying methods, may strongly influence their chemical and sensory quality. This study aimed to evaluate the effect of [...] Read more.
Olive leaves, a by-product of the olive oil industry, represent an interesting underutilized raw material for the preparation of herbal teas. However, processing conditions, particularly drying methods, may strongly influence their chemical and sensory quality. This study aimed to evaluate the effect of air drying (AD) and microwave drying (MWD) on the phenolic content, antioxidant capacity, volatile aroma compounds, sensory profile, and consumers’ acceptability of olive leaf herbal teas. Olive leaves were subjected to AD (50 °C, 3 h) and MWD (400 W, 4 min), and infusions were prepared. Total phenolic content (TPC) and antioxidant capacity (AC) were evaluated spectrophotometrically, volatile compounds were analyzed by HS-SPME-GC-MS, and sensory characteristics were assessed through descriptive sensory analysis and consumers’ acceptability test. MWD significantly increased TPC compared to AD; however, this increase was not proportionally reflected in AC. The drying methods influenced the volatile profile of herbal teas, with AD showing a higher amount of alcohols, esters, and terpenes associated with green and floral notes, whereas MWD showed a major content of aldehydes and ketones linked to fruity notes. Sensory analysis confirmed these differences; moreover, MWD herbal teas were more bitter and astringent, and consumer tests showed a clear preference for herbal teas produced from AD leaves. Overall, the results highlight the key role of drying methods in shaping the chemical and sensory attributes of olive leaf herbal tea, suggesting air drying to be the most suitable process for producing a sensorially acceptable product. Full article
(This article belongs to the Section Food Engineering and Technology)
Show Figures

Figure 1

20 pages, 2769 KB  
Article
Foliar Application of Protein Hydrolysates Promotes Growth and Affects Leaf Ionome in Olive
by Igor Pasković, Maša Andlovic, Helena Plešnik, Primož Vavpetič, Paula Žurga, Ljiljana Popović, Martin Šala, Mario Franić, Ivan Dlačić, Smiljana Goreta Ban, Marija Polić Pasković, Tina Kosjek and Paula Pongrac
Horticulturae 2026, 12(2), 151; https://doi.org/10.3390/horticulturae12020151 - 29 Jan 2026
Cited by 1 | Viewed by 443
Abstract
The foliar application of various biostimulants, such as protein hydrolysates (PHs), has been associated with improved nutrient uptake efficiency and stress tolerance in perennial crops, like olive (Olea europaea L.). In this study, PHs obtained by enzymatic hydrolysis by Alcalase Pure (referred [...] Read more.
The foliar application of various biostimulants, such as protein hydrolysates (PHs), has been associated with improved nutrient uptake efficiency and stress tolerance in perennial crops, like olive (Olea europaea L.). In this study, PHs obtained by enzymatic hydrolysis by Alcalase Pure (referred to as treatment H1), Alcalase Pure and Flavourzyme (referred to as treatment H2), or Alcalase Pure and Protana™ Prime (referred to as treatment H3) with proteins from pumpkin seed cake were tested for their potential beneficial growth, performance, and nutrition effects in one-year-old olive seedlings grown under controlled conditions. Amino acid and element compositions were evaluated in the PHs, which were used for foliar application six times at eight-day intervals. Control (C) plants were treated the same way, but without PHs. Shoot and root growth, leaf reflectance indices, and the composition of micro and macronutrients in different organs and leaf tissues were determined. Plants in the H2 treatment grew significantly better than C plants. They had the highest Photochemical Reflectance Index and a Chlorophyll-Normalized Difference Vegetation Index similar to that of C plants, indicating an optimal growth/photosynthesis balance. A decrease in the concentration of several mineral elements in the lower epidermis in H2- and H3-treated plants compared to C and H1-treated plants was accompanied by their increase in the spongy mesophyll, indicating their redistribution to support increased metabolism, resulting in increased shoot growth in these two treatments. Arguably, these observed effects could be attributed to the amino acid profile of the H2 mixture, which had the highest concentration of L-proline, L-arginine, and L-lysine among the three PH mixtures, and a higher L-asparagine concentration than the H1 mixture. Overall, the results highlight the applicative potential of tailored PH formulations for the optimization of growth, mineral element composition, and physiological performance in olive cultivation. Full article
(This article belongs to the Special Issue Driving Sustainable Agriculture Through Scientific Innovation)
Show Figures

Figure 1

12 pages, 1032 KB  
Article
Water Kefir and Olive Leaf Polyphenols Attenuate Body Weight Gain and Excessive Adiposity in Diet-Induced Obese Rats
by Miguel Lopez-Yoldi, Amaia Huguet-Casquero, Paula Aranaz, José Ignacio Riezu-Boj, Marian Fernández-Fernández, Gorka Alkorta-Aranburu, Dante Fratebianchi, Eusebio Gainza and Fermin I. Milagro
Nutraceuticals 2026, 6(1), 7; https://doi.org/10.3390/nutraceuticals6010007 - 26 Jan 2026
Viewed by 412
Abstract
Fermented foods and prebiotics are increasingly studied for their potential therapeutic roles in metabolic disorders. In this study, 52 male Wistar rats maintained on a high-fat, high-sucrose (HFS) diet were supplemented for 8 weeks with either water kefir (providing approximately 105 CFU [...] Read more.
Fermented foods and prebiotics are increasingly studied for their potential therapeutic roles in metabolic disorders. In this study, 52 male Wistar rats maintained on a high-fat, high-sucrose (HFS) diet were supplemented for 8 weeks with either water kefir (providing approximately 105 CFU per rat per day), olive leaf polyphenols (equivalent to 1.6 mg oleuropein daily), or a combination of both. Both interventions ameliorated HFS-diet induced weight gain, accompanied by reductions in subcutaneous and mesenteric fat, without additive effects when combined. Moreover, olive polyphenols decreased liver weight, suggesting a potential protective effect against hepatic steatosis through Fasn modulation. These metabolic improvements were accompanied by enhanced gut microbiota diversity. Together, these findings highlight water kefir and olive leaf polyphenols as potential dietary strategies for the management of obesity, hepatic steatosis, and dyslipidemia. Full article
(This article belongs to the Topic Functional Foods and Nutraceuticals in Health and Disease)
Show Figures

Graphical abstract

22 pages, 3984 KB  
Article
Olive Leaf Extract Added to Losartan Treatment Improved Klotho/Wnt/β-Catenin Signaling in Hypertensive Rats with Focal Segmental Glomerulosclerosis
by Danijela Karanović, Nevena Mihailović-Stanojević, Milan Ivanov, Una-Jovana Vujačić, Jelica Grujić-Milanović, Maja Životić, Dragana Dekanski, Djurdjica Jovović and Zoran Miloradović
Antioxidants 2026, 15(1), 146; https://doi.org/10.3390/antiox15010146 - 22 Jan 2026
Viewed by 383
Abstract
The downregulation of Klotho in renal injury predicts the progression of chronic kidney disease (CKD). Klotho acts as an antagonist of the Wnt/β-catenin pathway, which is involved in the pathogenesis of proteinuria, glomerulosclerosis and tubulointerstitial fibrosis. We investigated whether losartan (L, angiotensin II [...] Read more.
The downregulation of Klotho in renal injury predicts the progression of chronic kidney disease (CKD). Klotho acts as an antagonist of the Wnt/β-catenin pathway, which is involved in the pathogenesis of proteinuria, glomerulosclerosis and tubulointerstitial fibrosis. We investigated whether losartan (L, angiotensin II type-1 receptor blocker) alone or combined with synthetic (tempol, T) or natural antioxidants (olive leaf extract, O) could alter Klotho/Wnt4/β-catenin signaling, thus reducing fibrosis and slowing the progression of focal segmental glomerulosclerosis (FSGS) in spontaneously hypertensive rats (SHR). The rats were divided into five groups. The control rats received a vehicle. The other groups received adriamycin (2 mg/kg, i.v., twice in a 3-week interval) for FSGS induction. Treatments with L, L+T and L+O (10, 10 + 100 and 10 + 80 mg/kg/day, respectively) were administered by gavage during six weeks. In the kidneys of model rats, Klotho and Wnt4 were downregulated, whereas β-catenin and fibronectin levels were increased compared with the control group. L+T did not alter Klotho, Wnt4 or fibronectin levels, while it further increased β-catenin. In contrast, L+O improved Klotho, and reduced β-catenin and fibronectin levels, although it increased PAI-1. The L+O combination reduced proteinuria more efficiently than L and decreased renal injury close to control levels. Although these findings indicate that combined treatment of losartan and olive leaf extract is promising in slowing the progression of the experimental FSGS, further clinical studies are needed to confirm its favorable outcomes and safety in CKD patients. Full article
(This article belongs to the Section Natural and Synthetic Antioxidants)
Show Figures

Figure 1

26 pages, 49451 KB  
Article
Protective Effects of Olea europaea L. Leaves and Equisetum arvense L. Extracts Against Testicular Toxicity Induced by Metronidazole Through Reducing Oxidative Stress and Regulating NBN, INSL-3, STAR, HSD-3β, and CYP11A1 Signaling Pathways
by Asmaa A. Azouz, Alaa M. Ali, Mohamed Shaalan, Maha M. Rashad, Manal R. Bakeer, Marwa Y. Issa, Sultan F. Kadasah, Abdulmajeed Fahad Alrefaei and Rehab A. Azouz
Toxics 2026, 14(1), 42; https://doi.org/10.3390/toxics14010042 - 30 Dec 2025
Cited by 1 | Viewed by 1334
Abstract
Metronidazole (MTZ), a widely used antiamoebic and antibacterial drug, has been linked to male reproductive damage. The aim of this study was to investigate Olea europaea L. and Equisetum arvense L. ethanol extracts for the protection against testicular toxicity and male infertility caused [...] Read more.
Metronidazole (MTZ), a widely used antiamoebic and antibacterial drug, has been linked to male reproductive damage. The aim of this study was to investigate Olea europaea L. and Equisetum arvense L. ethanol extracts for the protection against testicular toxicity and male infertility caused by MTZ, and to characterize the underlying mechanisms. Forty-two male rats were divided into six groups. The animals in group 1 served as the controls and received a daily oral dose (1 mL) of the vehicle. The animals in group 2 received metronidazole at doses of 400 mg/kg. Group 3 was treated with E. arvense extract at doses of 100 mg/kg. Group 4 was treated with O. europaea leaf extract at doses of 400 mg/kg. Group 5 was treated with metronidazole and E. arvense extract at doses of 400 and 100 mg/kg, respectively. Group 6 was treated with metronidazole with O. europaea leaf extract at doses of 400 and 400 mg/kg, respectively. The rats were given a daily oral dose of different treatments for 60 days, after which the animals were euthanized to study the histopathological and molecular changes in the testis and the sperm count in the epididymis. The testosterone levels, MDA levels, and GSH contents were also assessed in the rats in all groups. The findings revealed that the MTZ treatment caused a substantial increase in MDA levels and upregulated the NBN gene expression relative to the control. Moreover, the MTZ treatment produced significant reductions in the sperm count and viability, testosterone levels, and GSH content, and downregulated the INSL-3, STAR, HSD-3β, and CYP11A1 gene expression compared to the control. The adverse effects in testicular tissue were significantly reduced in rats given the O. europaea leaves and E. arvense treatment. The findings may show that MTZ can enhance testicular toxicity and infertility, but both plant extracts can prevent these harmful consequences. Full article
Show Figures

Figure 1

17 pages, 11246 KB  
Article
Characterisation of the ARF Gene Family in Salicaceae and Functional Analysis of PeARF18 in Heteromorphic Leaf Development of Populus euphratica
by Tongrui Song, Hongyan Jin, Jing Li, Qi Ning, Donghui Miao, Yidan Yang, Zhibin Cui, Zhijun Li, Zhihua Wu and Peipei Jiao
Int. J. Mol. Sci. 2026, 27(1), 335; https://doi.org/10.3390/ijms27010335 - 28 Dec 2025
Viewed by 473
Abstract
Auxin plays a crucial role in plant growth and development via concentration gradient regulation, with auxin response factors (ARFs) as key transcription factors in its signalling pathway. However, comprehensive identification and characterisation of ARF genes in Salicaceae remain limited. This study performed a [...] Read more.
Auxin plays a crucial role in plant growth and development via concentration gradient regulation, with auxin response factors (ARFs) as key transcription factors in its signalling pathway. However, comprehensive identification and characterisation of ARF genes in Salicaceae remain limited. This study performed a genome-wide analysis of ARF genes in three Salicaceae species (Populus euphratica Oliv., Populus pruinosa, and Salix sinopurpurea), aiming to clarify their physicochemical properties, evolutionary relationships, and functional relevance. A total of 34 ARF genes were identified in each species, all being nucleus-localised hydrophilic unstable proteins clustered into six phylogenetic subgroups. Their promoters contain numerous cis-acting elements responsive to light, phytohormones, and stresses. Transcriptome and qRT-PCR data showed significant up-regulation of PeARF18 in ovate/broad-ovate leaves of P. euphratica compared to linear/lanceolate leaves. This study provides preliminary insights into the characterisation and potential role of the Salicaceae ARF gene family, laying a foundation for further functional exploration of PeARF18 in P. euphratica leaf shape development. Full article
(This article belongs to the Special Issue Plant Breeding and Genetics: New Findings and Perspectives)
Show Figures

Figure 1

18 pages, 1824 KB  
Article
Chemical Characterization of Phenol-Rich Olive Leaf Extract (Olea europaea L. cv. Ogliarola) and Its Neuro-Protective Effects on SH-SY5Y Cells from Oxidative Stress, Lipid Peroxidation, and Glycation
by Maria Giovanna Rizzo, Benedetta Pizziconi, Kristian Riolo, Giovanna Cafeo, Alessia Giannetto, Marina Russo, Caterina Faggio and Laura Dugo
Foods 2026, 15(1), 43; https://doi.org/10.3390/foods15010043 - 23 Dec 2025
Viewed by 661
Abstract
Olive leaf phenols are recognized for their antioxidant and anti-inflammatory properties. A hydroalcoholic extract of Olea europaea L. cv. Ogliarola leaves was recovered with an ultrasound-assisted extraction using green solvents. Phenol content was investigated by means of liquid chromatography coupled with photodiode array [...] Read more.
Olive leaf phenols are recognized for their antioxidant and anti-inflammatory properties. A hydroalcoholic extract of Olea europaea L. cv. Ogliarola leaves was recovered with an ultrasound-assisted extraction using green solvents. Phenol content was investigated by means of liquid chromatography coupled with photodiode array and mass spectrometer detectors. Extract cytotoxicity was determined in SH-SY5Y neuroblastoma cells by the MTT assay to establish non-cytotoxic concentrations. The effects of the extract under lipopolysaccharide-induced conditions were investigated by assessing oxidative stress and lipid peroxidation through malondialdehyde quantification using the thiobarbituric acid assay. Antiglycation capacity was examined with a BSA methylglyoxal model. In parallel, quantitative real-time PCR was employed to assess the modulation of inflammation- and oxidative stress-related genes (TLR4, NF-κB, IL-6, IL-8, Nrf2, and HO-1), providing molecular insights into the extract’s bioactivity. The extract did not exert cytotoxic effects at the selected concentrations and with modulated oxidative stress, lipid peroxidation, protein glycation, and gene expression profiles associated with inflammatory and redox pathways in neuronal cells. These data demonstrated that olive leaf extract, rich in phenols, influenced multiple biochemical and molecular endpoints relevant to neuronal physiology, supporting its potential application as a nutraceutical ingredient for the modulation of oxidative and glycation-related processes. Full article
(This article belongs to the Section Nutraceuticals, Functional Foods, and Novel Foods)
Show Figures

Figure 1

21 pages, 2255 KB  
Article
Olive Leaf Extract (OLE) Anti-Tumor Activities Against Hematologic Tumors: Potential Therapeutic Implications for Pediatric Patients with B-Acute Lymphoblastic Leukemia
by Irma Airoldi, Lucrezia Canè, Chiara Brignole, Eleonora Ciampi, Daniela Montagna and Fabio Morandi
Nutrients 2026, 18(1), 15; https://doi.org/10.3390/nu18010015 - 19 Dec 2025
Viewed by 1059
Abstract
Background/Objectives: Several studies reported that olive leaf extract (OLE) may exert potent anti-cancer activities against human solid and hematological tumors. Such effects are mostly related to the polyphenol oleuropein and its derivatives, which are highly concentrated in OLE. Here, we investigated the anti-tumor [...] Read more.
Background/Objectives: Several studies reported that olive leaf extract (OLE) may exert potent anti-cancer activities against human solid and hematological tumors. Such effects are mostly related to the polyphenol oleuropein and its derivatives, which are highly concentrated in OLE. Here, we investigated the anti-tumor effects of OLE in vitro against human acute leukemia and lymphoma cells. Methods: Cell proliferation and apoptosis have been evaluated by flow cytometry (using CFSE and Annexin-V/7AAD, respectively) in the presence or absence of OLE at different concentrations and in combination with or without chemotherapeutic drugs. Cellular pathways have been analyzed using antibody arrays. Results: OLE inhibited cell proliferation and induced apoptosis in B-acute lymphoblastic leukemia (B-ALL) and, to a lesser extent, in lymphomas and acute myeloid leukemia (AML) cell lines. Notably, OLE-induced apoptosis also occurs in primary leukemic blasts from B-ALL patients, both at diagnosis and at relapse, but only marginally in primary AML blasts. The expression and phosphorylation of proteins involved in the induction of apoptosis were modulated by OLE in B-ALL, whereas modest effects were observed in AML. Interestingly, some proteins were modulated in opposite ways in B-ALL and AML, potentially explaining their different responses to OLE. Finally, a synergistic and additive effect was observed for OLE in combination with cytarabine, but not with cyclophosphamide. Conclusions: We may envisage that OLE may be used as a food supplement in B-ALL patients treated with cytarabine, taking advantage of the potentiated effect of chemotherapy, without additional side effects. Full article
(This article belongs to the Special Issue Anticancer Activities of Dietary Phytochemicals: 2nd Edition)
Show Figures

Figure 1

23 pages, 1643 KB  
Article
Modulating Secondary Metabolite Content in Olive Leaves Through Foliar Application of Biochar and Olive Leaf-Based Phenolic Extracts
by Mario Franić, Igor Palčić, Šime Marcelić, Nikola Major, Dean Ban, Tvrtko Karlo Kovačević, Dominik Anđelini, Melissa Prelac, Danko Cvitan, Smiljana Goreta Ban, Zoran Užila, Marija Polić Pasković and Igor Pasković
Sustainability 2025, 17(24), 11290; https://doi.org/10.3390/su172411290 - 16 Dec 2025
Viewed by 686
Abstract
This research focuses on the additional valorization of olive leaves, a by-product of regular olive pruning, by increasing their secondary metabolite content through the combined application of biochar and a phenolic extract from olive leaves. A suspension of biochar, obtained by the pyrolysis [...] Read more.
This research focuses on the additional valorization of olive leaves, a by-product of regular olive pruning, by increasing their secondary metabolite content through the combined application of biochar and a phenolic extract from olive leaves. A suspension of biochar, obtained by the pyrolysis of grapevine pruning residues, was prepared by mixing it in demineralized water (1.5 g; 5 L; 24 h). The phenolic extract was obtained by extracting lyophilized and ground olive leaves in demineralized water (50 g; 5 L; 24 h), while the combined preparation was obtained in an analogous manner (1.5 g biochar; 50 g olive leaf powder; 5 L water; 24 h). Treatments were applied at the beginning of July, 50 days after anthesis (May 16th) and included the following: (i) control treatment (demineralized water), (ii) biochar solution, (iii) phenolic extract solution, and (iv) a combined aqueous preparation of biochar and phenolic extract, all with the addition of a wetting agent. Trees of the olive cultivars Leccino and Istarska bjelica were sprayed with the corresponding preparation until runoff. Olive leaves were sampled three weeks after treatment (July 26th) and, after washing and drying, and were prepared for LC-MSMS analysis. Both biochar-based treatments induced the most potent effects, although responses differed between cultivars. In particular, apigenin derivatives, hydroxytyrosol, luteolin-7-rutinoside, and the secoiridoid oleacein showed apparent differences between biochar treatments and the control. Overall, higher concentrations of the sum of detected secoiridoids were observed in the leaf samples of ‘Istarska bjelica’ under BCH and BCH+PH treatments, whereas no such differences were found for ‘Leccino’ cultivar. Further research is needed to clarify the cultivar-dependent response of secondary metabolism in these olive cultivars and the mechanisms by which biochar foliar application modulates metabolite profiles. Full article
(This article belongs to the Section Sustainable Agriculture)
Show Figures

Figure 1

Back to TopTop