Sign in to use this feature.

Years

Between: -

Subjects

remove_circle_outline
remove_circle_outline
remove_circle_outline
remove_circle_outline
remove_circle_outline
remove_circle_outline
remove_circle_outline
remove_circle_outline
remove_circle_outline

Journals

remove_circle_outline
remove_circle_outline
remove_circle_outline
remove_circle_outline
remove_circle_outline
remove_circle_outline
remove_circle_outline
remove_circle_outline
remove_circle_outline
remove_circle_outline
remove_circle_outline
remove_circle_outline
remove_circle_outline
remove_circle_outline
remove_circle_outline
remove_circle_outline
remove_circle_outline
remove_circle_outline
remove_circle_outline

Article Types

Countries / Regions

remove_circle_outline
remove_circle_outline
remove_circle_outline
remove_circle_outline
remove_circle_outline

Search Results (2,252)

Search Parameters:
Keywords = necrosis (C23.550.717)

Order results
Result details
Results per page
Select all
Export citation of selected articles as:
20 pages, 3025 KB  
Article
Lactobacillus helveticus UA881 Improves Body Composition, Lipid Profiles, and Gut Microbiota in Overweight Adults: A Randomized Double-Blind Placebo-Controlled Trial
by Yu-Wei Chang, Yin-Chin Liu, Pin-Chao Huang, Shao-Yu Lee, Meei-Yn Lin and Chin-Lin Hsu
Biomedicines 2026, 14(2), 276; https://doi.org/10.3390/biomedicines14020276 - 26 Jan 2026
Abstract
Background: Overweight and metabolic disorders are strongly associated with gut microbiota dysbiosis. Probiotics represent a safe dietary strategy to improve metabolic health, although strain-specific effects remain unclear. This study evaluated the metabolic and gut microbiota-modulating effects of Lactobacillus helveticus (UA881) in overweight adults. [...] Read more.
Background: Overweight and metabolic disorders are strongly associated with gut microbiota dysbiosis. Probiotics represent a safe dietary strategy to improve metabolic health, although strain-specific effects remain unclear. This study evaluated the metabolic and gut microbiota-modulating effects of Lactobacillus helveticus (UA881) in overweight adults. Methods: In a randomized, double-blind, placebo-controlled trial, 50 overweight adults (Body mass index, BMI 25–27 kg/m2) were assigned to receive UA881 (5 × 109 CFU/day) or placebo for 28 days. Anthropometric parameters, body composition, serum biochemical markers, inflammatory cytokines, fecal short-chain fatty acids (SCFAs), and gut microbiota composition (16S rRNA sequencing) were assessed at baseline and after 28 days. Statistical analyses included paired t-tests and ANCOVA adjusted for baseline values. Results: After 28 days of supplementation, UA881 significantly reduced body weight, BMI, and body fat mass. The primary endpoint, serum triglycerides, was significantly decreased, and the increases in uric acid, total cholesterol, and Low density lipoprotein-cholesterol (LDL-C) observed in the placebo group were attenuated. No significant changes were observed in interleukin-6 (IL-6) or tumor necrosis factor-α (TNF-α) levels. Fecal butanoic acid showed an increasing trend, and gut microbiota alpha diversity was significantly improved. At the genus level, Anaerostipes and Blautia were enriched, while Collinsella was reduced. Conclusions: A 28-day supplementation with L. helveticus UA881 (5 × 109 CFU/day) improved body composition and lipid-related metabolic parameters and favorably modulated gut microbiota composition in overweight adults, supporting its potential as a probiotic candidate for metabolic health. Full article
(This article belongs to the Section Microbiology in Human Health and Disease)
Show Figures

Figure 1

19 pages, 2166 KB  
Article
Efficacy of Multivalent Dengue Vaccine Candidates Predicted In Silico
by Seokhwan Hyeon, Kwangwook Kim, Yoo Jin Na, Mihee Kim, Jaenam Jeong, Byung Chul Kim and Yookyoung Lee
Vaccines 2026, 14(2), 114; https://doi.org/10.3390/vaccines14020114 - 25 Jan 2026
Viewed by 129
Abstract
Background: Dengue virus (DENV) is becoming a global public health problem, but the immunogenicity of DENV structural proteins is not fully understood. Methods: We predicted the epitope-based immunogenicity of DENV proteins from four serotypes in silico and evaluated their efficacy in vitro (T-cell [...] Read more.
Background: Dengue virus (DENV) is becoming a global public health problem, but the immunogenicity of DENV structural proteins is not fully understood. Methods: We predicted the epitope-based immunogenicity of DENV proteins from four serotypes in silico and evaluated their efficacy in vitro (T-cell proliferation assays) and in vivo (ELISpot, qRT-PCR, and plaque reduction neutralization tests using murine splenocytes). We focused on the envelope protein, which contains envelope domain III. Immunogenic B-cell epitopes were predicted using BepiPred-2.0, and regions that induce T cell-mediated immune responses were analyzed using the immune epitope database (IEDB), which validates peptides presented on HLA class I. Results: Nine-amino-acid peptide candidates were selected based on a score of >0.1. The best peptide candidates were tested in T-cell proliferation assays to confirm the in silico data. Subsequently, BALB/c mice were vaccinated with candidate peptides showing immunity in the proliferation assay, and their splenocytes were analyzed. ELISpot and qRT-PCR data showed that some candidate peptides highly regulated cytokines, including interferon-γ, tumor necrosis factor-α, and interleukin-4. Murine sera were collected after peptide boosting 2 weeks apart. Stimulation of cellular immunity was confirmed for some candidates in plaque reduction neutralization tests. Full article
(This article belongs to the Section Vaccine Advancement, Efficacy and Safety)
Show Figures

Figure 1

22 pages, 4772 KB  
Article
Deep Eutectic Solvent Ultrasonic-Assisted Extraction of Polysaccharides from Red Alga Asparagopsis taxiformis: Optimization, Characterization, Mechanism, and Immunological Activity in RAW264.7 Cells
by Kun Yang, Yuxin Wang, Wentao Zou, Qin Liu, Riming Huang, Qianwang Zheng and Saiyi Zhong
Foods 2026, 15(3), 438; https://doi.org/10.3390/foods15030438 - 25 Jan 2026
Viewed by 52
Abstract
Traditional polysaccharide extraction suffers from low efficiency and high energy consumption, while deep eutectic solvents (DESs) are promising sustainable solvents. This study used DES ChCl-LA (1:2) with ultrasonic assistance to extract polysaccharides from red alga A.taxiformis. Optimized via single-factor experiments and [...] Read more.
Traditional polysaccharide extraction suffers from low efficiency and high energy consumption, while deep eutectic solvents (DESs) are promising sustainable solvents. This study used DES ChCl-LA (1:2) with ultrasonic assistance to extract polysaccharides from red alga A.taxiformis. Optimized via single-factor experiments and response surface methodology (350 W, 1:30 g/mL, 75 °C), the yield reached 11.28% ± 0.50% (1.5 times higher than that obtained by water extraction). Structural characterization revealed that the DES extract was an acidic polysaccharide, mainly composed of galactose (89.2%), glucose (4.9%), xylose (4.9%), and glucuronic acid (1.0%), with a weight-average molecular weight of 99.88 kDa. Density functional theory and molecular dynamics simulations showed that ChCl-LA enhanced galactose solubility via stronger hydrogen bonding (−25.33 vs. −5.06 kcal/mol for water). Notably, the immunological activity of the DES-extracted polysaccharide was significantly compromised compared to the water-extracted counterpart (p < 0.05). At a concentration of 0.25 mg/mL, the water-extracted polysaccharide-treated group exhibited a 33.98% higher neutral red phagocytosis rate in macrophages, a nitric oxide (NO) secretion level of 34.14 μmol/L (94.98% higher) compared with the DES-extracted polysaccharide group, as well as significantly higher secretion levels of tumor necrosis factor-α (TNF-α) and interleukin-6 (IL-6). The observed disparity in bioactivity is likely due to the distinct chemical profiles resulting from the two extraction methods, including the significantly reduced molecular weight and potential alterations of sulfation degree, monosaccharide composition, and protein content in the DES-extracted polysaccharide. This mechanistic perspective is supported by the relevant literature on the structure–activity relationships of polysaccharides. This study demonstrates the potential of ChCl-LA and elucidates the complex effects of extraction methods on polysaccharide’s structure and function, thereby informing the high-value utilization of A. taxiformis in functional foods. Full article
(This article belongs to the Section Food Engineering and Technology)
Show Figures

Graphical abstract

29 pages, 1439 KB  
Article
Pathogenicity of Diplodia fraxini and Other Botryosphaeriaceae Identified on Fraxinus excelsior with Dieback Symptoms in Poland
by Piotr Bilański, Bartłomiej Grad and Tadeusz Kowalski
Forests 2026, 17(2), 150; https://doi.org/10.3390/f17020150 - 23 Jan 2026
Viewed by 69
Abstract
In the current work, the analysis covered 70 isolates of fungi belonging to Botryosphaeriaceae obtained in the years 2007–2017 during research on the mycobiota of F. excelsior trees with dieback symptoms in various regions of Poland. Five botryosphaeriaceous species were identified: Diplodia fraxini [...] Read more.
In the current work, the analysis covered 70 isolates of fungi belonging to Botryosphaeriaceae obtained in the years 2007–2017 during research on the mycobiota of F. excelsior trees with dieback symptoms in various regions of Poland. Five botryosphaeriaceous species were identified: Diplodia fraxini, D. seriata, D. sapinea, Dothiorella omnivora, and Do. sarmentorum, supported by morphological characteristics and nucleotide sequence data from three genes. The effect of temperature on the in vitro growth of colonies of five identified botryosphaeriaceous species was assessed. Dothiorella omnivora achieved optimal growth at 19.0 °C, while the other four species have shown optimal growth between 22.8 °C (Do. sarmentorum) and 25.7 °C (D. seriata). The pathogenicity test was performed in field conditions on nine-year-old F. excelsior seedlings. In total, wound inoculation was performed on 176 shoots, using 22 isolates of five identified fungal species. Each isolate was inoculated onto eight F. excelsior shoots. The symptoms on shoots were examined at 12 weeks after the inoculation. Among the tested fungal species, necrotic lesion was caused by D. fraxini, D. seriata, and Do. sarmentorum. The extent of damage they caused showed statistically significant differences. The highest pathogenic properties were demonstrated by D. fraxini, which caused necrotic lesion with a length of 34.25–50.50 mm (mean 40.13 mm) on inoculated trees. D. seriata showed the lowest degree of virulence. Half of its strains caused necrotic lesions, which did not differ significantly from the control. Diplodia sapinea and Do. omnivora did not cause any visible lesions. None of the control shoots developed necrosis. The role of Botryosphaeriaceae species in intensifying disease symptoms in ash trees in the context of Hymenoscyphus fraxineus invasion and climate changes was discussed. Full article
(This article belongs to the Section Forest Health)
14 pages, 5587 KB  
Article
Molecular Basis of Surfactin-Induced Macrophage Modulation and Its Implications in Medication-Related Osteonecrosis of the Jaw Pathogenesis
by Yuki Kodama-Maruyama, Hiroki Tsurushima, Ayaka Koga, Yoshie Nagai-Yoshioka, Ryota Yamasaki, Manabu Habu, Izumi Yoshioka and Wataru Ariyoshi
Int. J. Mol. Sci. 2026, 27(3), 1157; https://doi.org/10.3390/ijms27031157 - 23 Jan 2026
Viewed by 100
Abstract
Medication-related osteonecrosis of the jaw (MRONJ) is a refractory disease for which no established treatment currently exists. Surfactin, a biosurfactant produced by Bacillus subtilis, exhibits antimicrobial activity, anticancer effects, and anti-inflammatory properties, suggesting its potential medical applications. This study aimed to elucidate [...] Read more.
Medication-related osteonecrosis of the jaw (MRONJ) is a refractory disease for which no established treatment currently exists. Surfactin, a biosurfactant produced by Bacillus subtilis, exhibits antimicrobial activity, anticancer effects, and anti-inflammatory properties, suggesting its potential medical applications. This study aimed to elucidate the ability of surfactin to modulate the immune response induced by lipopolysaccharide (LPS) derived from periodontal pathogens (Aggregatibacter actinomycetemcomitans), clarify the underlying molecular mechanisms, and explore its potential utility in the treatment of MRONJ. Reverse transcription quantitative polymerase chain reaction demonstrated that surfactin suppresses LPS-induced interleukin-6 (IL-6) expression and secretion in J774.1 cells in a concentration-dependent manner. Western blot analysis showed that surfactin inhibited activation of the JNK-c-Jun-AP-1 axis and the JAK/STAT signaling pathways in J774.1 cells. The effects of surfactin administration were further evaluated in an in vivo MRONJ model. Co-treatment with surfactin significantly reduced the extent of LPS-induced bone necrosis. Overall, these findings suggest that surfactin suppresses LPS-induced IL-6 expression in macrophages and inhibits osteonecrosis induced by bisphosphonate preparations and LPS through negative regulation of the JNK-c-Jun-AP-1 axis and inhibition of the JAK/STAT pathway. Hence, surfactin may represent a promising candidate for MRONJ management. Full article
(This article belongs to the Section Molecular Biology)
Show Figures

Figure 1

13 pages, 2340 KB  
Article
Microbiome-Derived Indole-3-Lactic Acid Attenuates Cutibacterium Acnes-Induced Inflammation via the Aryl Hydrocarbon Receptor Pathway
by Sang Gyu Lee, Nam Hao Chau, Seoyoon Ham, Yujin Baek, Ngoc Ha Nguyen, Seon Hwa Kim and Young In Lee
Int. J. Mol. Sci. 2026, 27(3), 1131; https://doi.org/10.3390/ijms27031131 - 23 Jan 2026
Viewed by 87
Abstract
Acne vulgaris is a chronic inflammatory dermatosis where conventional therapies often face limitations in efficacy and safety, necessitating the development of microbiome-targeted interventions. This study investigated the immunomodulatory potential of microbiome-derived tryptophan metabolites as a novel therapeutic strategy for Cutibacterium acnes (C. [...] Read more.
Acne vulgaris is a chronic inflammatory dermatosis where conventional therapies often face limitations in efficacy and safety, necessitating the development of microbiome-targeted interventions. This study investigated the immunomodulatory potential of microbiome-derived tryptophan metabolites as a novel therapeutic strategy for Cutibacterium acnes (C. acnes)-induced inflammation, focusing on the aryl hydrocarbon receptor (AHR) pathway. We evaluated indole-3-lactic acid (ILA), indole-3-acrylic acid (IAA), and indole-3-propionic acid (IPA) in comparison to tapinarof, utilizing C. acnes-stimulated human epidermal keratinocytes and a C. acnes-induced acne mouse model. In vitro, ILA and IPA significantly suppressed C. acnes-driven inflammatory mediators, including Tumor Necrosis Factor-alpha (TNF-α), Interleukin (IL)-1β, and Cyclooxygenase-2 (COX2), whereas IAA demonstrated limited efficacy. In vivo, ILA treatment exhibited superior therapeutic activity, markedly reducing inflammatory cell infiltration, epidermal hyperplasia, and IL-1β expression. Transcriptomic analysis confirmed that ILA attenuates inflammatory signaling (e.g., IL-17 and TNF pathways) while upregulating AHR-responsive genes such as Cytochrome (CYP) 1A1 and CYP1B1. Collectively, these findings establish ILA as a potent postbiotic that mitigates cutaneous inflammation through selective activation of the AHR. Future studies should prioritize the clinical translation of ILA-based topical formulations, with rigorous evaluation of their efficacy and safety in well-designed human trials, to support their development as a non-antibiotic therapeutic alternative for acne management. Full article
(This article belongs to the Special Issue 25th Anniversary of IJMS: Updates and Advances in Molecular Biology)
Show Figures

Figure 1

25 pages, 1564 KB  
Review
Seric Molecular Markers Correlated with Stroke Rehabilitation Outcomes: A Narrative Review
by Bianca-Gabriela Ene, Brindusa Ilinca Mitoiu, Mariana Catalina Ciornei, Madalina Coman-Stanemir, Angelo Voicu, Floris Petru Iliuta and Ioana Raluca Papacocea
Life 2026, 16(1), 183; https://doi.org/10.3390/life16010183 - 22 Jan 2026
Viewed by 69
Abstract
An increasing number of stroke survivors are burdened by persistent disabilities, requiring long-term rehabilitation. However, the extent of functional gain is highly variable, severely impairing patients’ quality of life. This variability highlights a critical gap in current prognostic tools, which rely primarily on [...] Read more.
An increasing number of stroke survivors are burdened by persistent disabilities, requiring long-term rehabilitation. However, the extent of functional gain is highly variable, severely impairing patients’ quality of life. This variability highlights a critical gap in current prognostic tools, which rely primarily on clinical and neuroimaging data. The aim of this review is to synthesize the current literature on serum biomarkers in stroke survivors and to evaluate their prognostic value for rehabilitation outcomes. Our synthesis indicates that biomarkers reflecting distinct pathophysiological processes are emerging as key prognostic indicators. Markers of inflammation such as Tumor Necrosis Factor-alpha (TNF-α), Interleukin-6 (IL-6), and Interleukin-1 beta (IL-1β), and neuro-glial injury, including S100 Calcium-Binding Protein B (S100B), Neuron-Specific Enolase (NSE), Glial Fibrillary Acidic Protein (GFAP), and Neurofilament Light Chain (NfL), are consistently associated with poorer functional outcomes. Conversely, markers of neuroplasticity, such as Brain-Derived Neurotrophic Factor (BDNF) and Insulin-like Growth Factor-1 (IGF-1), serve as potential indicators of recovery potential, although their predictive accuracy remains inconsistent across studies. Furthermore, emerging biomarkers of synaptic activity, such as Syntaxin-1a (STX1A) and Synaptosomal-Associated Protein, 25kDa (SNAP-25), and neuromuscular junction integrity, such as C-terminal Agrin Fragment (CAF), offer novel insights into brain–periphery communication, though their clinical utility is still under investigation. While promising, the translation of these biomarkers into clinical practice is hindered by methodological limitations, including assay heterogeneity and lack of large-scale validation. Future standardization of these molecular signatures is a critical step toward implementing precision medicine in stroke rehabilitation. Full article
(This article belongs to the Section Medical Research)
Show Figures

Figure 1

15 pages, 2857 KB  
Article
Transcriptome Analysis and Hub Gene Identification in the Brain Cell Lines of the Spotted Knifejaw (Oplegnathus punctatus) After Poly (I:C) Stimulation
by Ruiqi Guo, Kaimin Li, Jinfeng Liu, Songlin Chen and Lei Wang
Int. J. Mol. Sci. 2026, 27(2), 1101; https://doi.org/10.3390/ijms27021101 - 22 Jan 2026
Viewed by 33
Abstract
The spotted knifejaw (Oplegnathus punctatus) has emerged as a species with substantial potential for aquaculture development in China. However, its industrial cultivation is severely constrained by viral diseases. Among these, viral nervous necrosis (VNN), caused by nervous necrosis virus (NNV), represents [...] Read more.
The spotted knifejaw (Oplegnathus punctatus) has emerged as a species with substantial potential for aquaculture development in China. However, its industrial cultivation is severely constrained by viral diseases. Among these, viral nervous necrosis (VNN), caused by nervous necrosis virus (NNV), represents a critical bottleneck to the sustainable development of this industry. In order to elucidate the immune response mechanisms of the brain cells of spotted knifejaw, this study established a poly (I:C) stimulation model in vitro and performed transcriptomic sequencing to analyze the differentially expressed genes (DEGs) after stimulation. There were 3169, 3228, and 3262 DEGs at 3 h, 6 h, and 12 h compared to 0 h (control), respectively. Co-expression time clustering of DEGs identified two gene clusters (cluster 6 and cluster 10), which included several immune-related genes. GO and KEGG enrichment analyses indicated that DEGs among the four time points were significantly enriched in immune signaling pathways, including the NOD-like receptor, RIG-I-like receptor, C-type lectin receptor, and Toll-like receptor pathways, as well as disease-response pathways. In total, 1398 common DEGs were identified among three comparative groups, which delineated six interaction clusters and 30 hub genes in protein–protein interaction (PPI) network analysis. By integrating a cellular model with transcriptomics, this study provides preliminary insights into the molecular immune mechanisms underlying the response of brain cells to poly (I:C) stimulation, offering important theoretical support for future research on disease-resistant breeding and disease control strategies in spotted knifejaw. Full article
(This article belongs to the Special Issue Genomic, Transcriptomic, and Epigenetic Approaches in Fish Research)
Show Figures

Figure 1

18 pages, 1890 KB  
Systematic Review
The Effects of High-Intensity Interval Training on Inflammatory Cytokines in Children and Adolescents with Obesity: A Systematic Review and Meta-Analysis
by Meng Cao, Pei Sun, Xiaodong Wang and Mengxian Zhao
Metabolites 2026, 16(1), 88; https://doi.org/10.3390/metabo16010088 - 21 Jan 2026
Viewed by 61
Abstract
Background: High-intensity interval training (HIT) is a time-efficient strategy to improve metabolic health in children, but its impact on inflammatory markers is still unclear. Therefore, we conducted a meta-analysis to examine the role of HIT on pro-inflammatory cytokines including C-reactive protein (CRP), [...] Read more.
Background: High-intensity interval training (HIT) is a time-efficient strategy to improve metabolic health in children, but its impact on inflammatory markers is still unclear. Therefore, we conducted a meta-analysis to examine the role of HIT on pro-inflammatory cytokines including C-reactive protein (CRP), interleukin 6 (IL-6), and tumor necrosis factor-alpha (TNF-α) in children with overweight/obesity. Methods: A meta-analysis was conducted following PRISMA guidelines. PubMed, Web of Science, Scopus, and Embase were searched up to 31 July 2025, for studies involving children with overweight/obesity aged 6 to 18 years. Randomized controlled trials and non-randomized controlled trials with outcome measurements that included CRP, IL-6, and TNF-α were included. Random-effects models were used to aggregate a mean effect size (ES) with 95% confidence intervals (CI), and potential moderators were explored. Results: In total, 768 participants from 15 studies were included. HIT significantly improved CRP (574 participants, 13 studies, SMD = −0.63, 95% CI: −1.02 to −0.24, p < 0.01) when compared to control group/pre-intervention. There were no significant effects on IL-6 and TNF-α, and no differences when compared to moderate-intensity training. Subgroup analyses indicated greater effectiveness in intervention duration, work-and-rest ratio, and work time were the significant moderators (p < 0.05). Conclusions: High-intensity interval training is effective for reducing CRP levels in children with obesity. Intervention duration, work-and-rest ratio, and work time can affect the intervention effects of HIT. Full article
Show Figures

Figure 1

15 pages, 1916 KB  
Article
Automated Lymph Node Localization and Segmentation in Patients with Head and Neck Cancer: Opportunities and Limitations of Using a Generic AI Model
by Miriam Rinneburger, Heike Carolus, Andra-Iza Iuga, Mathilda Weisthoff, Simon Lennartz, Nils Große Hokamp, Liliana Lourenco Caldeira, Astha Jaiswal, David Maintz, Fabian Christopher Laqua, Bettina Baeßler, Tobias Klinder and Thorsten Persigehl
Diagnostics 2026, 16(2), 355; https://doi.org/10.3390/diagnostics16020355 - 21 Jan 2026
Viewed by 108
Abstract
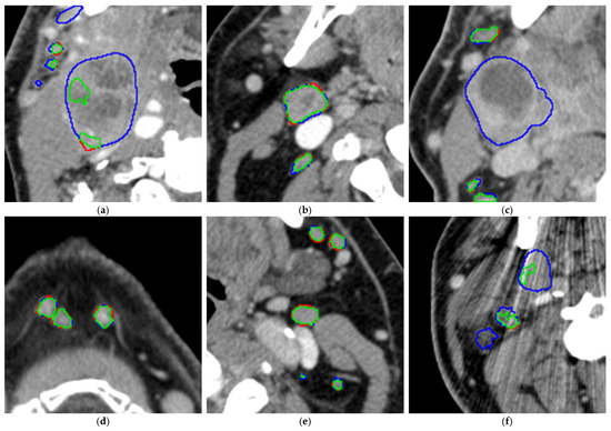
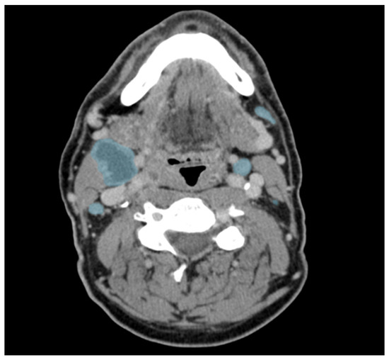
Background/Objectives: Accurate assessment of lymph nodes is of paramount importance for correct cN staging in head and neck cancer; however, it is very time-consuming for radiologists, and lymph node metastases of head and neck cancers may show distinct characteristics, such as central necrosis [...] Read more.
Background/Objectives: Accurate assessment of lymph nodes is of paramount importance for correct cN staging in head and neck cancer; however, it is very time-consuming for radiologists, and lymph node metastases of head and neck cancers may show distinct characteristics, such as central necrosis or very large size. Here, we evaluate the performance of a previously developed generic cervical lymph node segmentation model in a cohort of patients with head and neck cancer. Methods: In our retrospective single-center, multi-vendor study, we included 125 patients with head and neck cancer with at least one untreated lymph node metastasis. On the respective cervical CT scan, an experienced radiologist segmented lymph nodes semi-automatically. All 3D segmentations were confirmed by a second reader. These manual segmentations were compared to segmentations generated by an AI model previously trained on a different dataset of varying cancers. Results: In cervical CT scans from 125 patients (61.9 years ± 10.6, 100 men), 3656 lymph nodes were segmented as ground-truth, including 544 clinical metastases. The AI achieved an average recall of 0.70 with 6.5 false positives per CT scan. The average global Dice accounts for 0.73 per scan, with an average Hausdorff distance of 0.88 mm. When analyzing the individual nodes, segmentation accuracy was similar for non-metastatic and metastatic lymph nodes, with a sensitivity of 0.89 and 0.85. Localization performance was lower for metastatic than for non-metastatic lymph nodes, with a recall of 0.65 and 0.74, respectively. Model performance was worse for enlarged nodes (short-axis diameter ≥ 15 mm), with a recall of 0.36 and a sensitivity of 0.67. Conclusions: The AI model for generic cervical lymph node segmentation shows good performance for smaller nodes (SAD ≤ 15 mm) with respect to localization and segmentation accuracy. However, for clearly enlarged and necrotic nodes, a retraining of the generic AI algorithm seems to be required for accurate cN staging. Full article
(This article belongs to the Special Issue Advances in Head and Neck and Oral Maxillofacial Radiology)
Show Figures

Figure 1

22 pages, 5891 KB  
Article
Two-Stage Microwave Hyperthermia Using Magnetic Nanoparticles for Optimal Chemotherapy Activation in Liver Cancer: Concept and Preliminary Tests on Wistar Rat Model
by Oliver Daniel Schreiner, Thomas Gabriel Schreiner, Lucian Miron and Romeo Cristian Ciobanu
Cancers 2026, 18(2), 330; https://doi.org/10.3390/cancers18020330 - 21 Jan 2026
Viewed by 211
Abstract
Background/Objectives: Liver cancer is among the most frequent poor-prognosis malignancies worldwide, with currently insufficient effective treatment. The two-stage microwave hyperthermia using magnetic nanoparticles is a modern technique designed to specifically target tumor tissues and facilitate chemotherapy activation, with promising results from fundamental [...] Read more.
Background/Objectives: Liver cancer is among the most frequent poor-prognosis malignancies worldwide, with currently insufficient effective treatment. The two-stage microwave hyperthermia using magnetic nanoparticles is a modern technique designed to specifically target tumor tissues and facilitate chemotherapy activation, with promising results from fundamental studies across various tumor types. The method consists of a first irradiation, performed before nano-assemblies administration. This is intended to sensitize the tumor by inducing a hyperthermic effect, leading to increasing blood supply, enhancing endothelial damage/permeation and inflammatory activation, with the final goal of improving the diffusion/retention of nano-assemblies in the tumor. Subsequently, the second microwave irradiation follows the injection in the hepatic artery and diffusion in the tumor of the activated nano-assemblies, to further determine a strong, but localized and focalized hyperthermic action. Nano-magnetic assemblies for hyperthermia accomplish the proposed chemo-thermal delivery, i.e., act per se on the tumor and also destabilize co-administered assemblies of nanoparticles loaded with chemotherapeutics, which would be consequently released locally in the most efficient way. This article aims to demonstrate the efficacy of this therapeutic approach in a rat liver model and its potential applicability in patients with liver tumors. Methods: Adult male Wistar rats were used to obtain liver samples, which were divided into three groups, each receiving a different hyperthermia protocol in terms of temperature (41–45 °C), duration, and co-administration of nanoparticles. Results: The most suitable exposure temperature for rat liver appears to be 42 °C, resulting in vacuolar degeneration lesions at the focal level. The effects of thermal conditioning do not appear to be homogeneous in the tested liver, and the controlling environment and methodology should be improved in the near future. The level of hepatic inflammation, as indicated by elevated interleukin 6 (IL-6) and tumor necrosis factor alpha (TNF-α) levels, appears negligible under the current hyperthermia protocol. Conclusions: Two-stage microwave hyperthermia using magnetic nanoparticles is a promising therapeutic modality for liver cancer, with promising results from animal studies opening the way for further research in humans. Full article
(This article belongs to the Section Methods and Technologies Development)
Show Figures

Figure 1

17 pages, 5352 KB  
Article
Characterization of Enterococcus faecium Based on Multi-Omics Approaches: Genomic, Transcriptomic, and Phenotypic Analyses
by Jiayan Huang, Haoyu Fan, Yurui Wang, Xiao Yue, Zixuan Li, Zhanchun Bai, Da Qiong, Zhuoma Gesang and Sizhu Suolang
Vet. Sci. 2026, 13(1), 103; https://doi.org/10.3390/vetsci13010103 - 21 Jan 2026
Viewed by 56
Abstract
Animal-derived E. faecium poses a public health risk due to its capacity to acquire antimicrobial resistance (AMR) and virulence genes. However, the pathogenicity and cross-host transmission potential of strains originating from unique environments, such as the Qinghai–Tibet Plateau, remain poorly understood. In this [...] Read more.
Animal-derived E. faecium poses a public health risk due to its capacity to acquire antimicrobial resistance (AMR) and virulence genes. However, the pathogenicity and cross-host transmission potential of strains originating from unique environments, such as the Qinghai–Tibet Plateau, remain poorly understood. In this study, a strain of E. faecium was isolated from yak feces. We constructed a phylogenetic tree and identified AMR and virulence genes via whole-genome sequencing. Antimicrobial susceptibility testing was performed to determine its resistance phenotype. An in vivo mouse infection model was established to assess pathogenicity, and transcriptomic analysis was utilized to investigate the host’s molecular response mechanisms in infected intestinal tissue. The results indicated that this yak-derived strain is closely related to human clinical isolates, suggesting a risk of cross-host transmission. The strain harbored the AMR genes AAC(6′)-Ii, msrC, and eatAv and exhibited resistance to penicillin, kanamycin, erythromycin, and clindamycin. The strain harbored key virulence genes, such as bopD, Acm, and ClpP. Infection with this strain caused characteristic inflammatory damage in mouse intestinal tissue, as revealed by histopathological examination, including epithelial necrosis, vascular congestion, and inflammatory cell infiltration. Transcriptomics further delineated a complete “Recognition–Response–Damage” signaling axis: pathogen recognition through Toll-like receptors and NOD-like receptors activates the NF-κB and MAPK signaling pathways. This activation is accompanied by significant upregulation of various inflammatory factors and recruits immune cells via chemokine signaling, ultimately leading to tissue damage. Our findings provide insights into the pathogenic pathway of this strain from genetic determinants to phenotypic manifestations, providing a theoretical foundation for assessing the public health risk posed by animal-derived E. faecium and for developing targeted intervention strategies. Full article
(This article belongs to the Section Veterinary Food Safety and Zoonosis)
Show Figures

Figure 1

12 pages, 2766 KB  
Case Report
Eravacycline as Salvage Therapy for Severe Intra-Abdominal Infections Caused by Multidrug-Resistant Acinetobacter baumannii: A Case Series
by Marcello Trizzino, Giulio D’Agati, Luca Pipitò, Claudia Conti, Rossella Petrantoni, Raffaella Rubino, Antonio Anastasia, Sofia Urso, Irene Ganci, Maria Cappello and Antonio Cascio
Antibiotics 2026, 15(1), 93; https://doi.org/10.3390/antibiotics15010093 - 16 Jan 2026
Viewed by 363
Abstract
Background/Objectives: Infections due to multidrug-resistant (MDR) Acinetobacter baumannii represent a critical challenge in modern healthcare, with limited therapeutic options. Eravacycline, a novel fluorocycline antibiotic, demonstrates promising in vitro activity, but real-world clinical data for complex intra-abdominal infections (IAIs) are scarce. We present [...] Read more.
Background/Objectives: Infections due to multidrug-resistant (MDR) Acinetobacter baumannii represent a critical challenge in modern healthcare, with limited therapeutic options. Eravacycline, a novel fluorocycline antibiotic, demonstrates promising in vitro activity, but real-world clinical data for complex intra-abdominal infections (IAIs) are scarce. We present two cases of severe IAI caused by carbapenem-resistant A. baumannii (CRAB) successfully treated with eravacycline. Methods: We describe the clinical course, microbiological findings, and outcomes of two critically ill patients. Case 1 was a 75-year-old male with biliary peritonitis following an endoscopic procedure. Case 2 was a 64-year-old male with infected pancreatic walled-off necrosis. Both patients had cultures positive for CRAB and failed multiple prior antibiotic regimens. Results: In both cases, the initiation of intravenous eravacycline led to significant clinical improvement, including resolution of septic shock and defervescence. A marked reduction in inflammatory markers (C-reactive protein and procalcitonin) was observed, alongside microbiological clearance of CRAB. Eravacycline was well tolerated, with no significant adverse events. Conclusions: These case reports suggest that eravacycline can be an effective and safe salvage therapy for complex IAIs caused by CRAB, even in scenarios of partial source control. It represents a valuable addition to the antimicrobial armamentarium for managing infections caused by these extensively drug-resistant organisms. Full article
Show Figures

Figure 1

32 pages, 510 KB  
Review
Perioperative Blood Biomarkers of Infectious and Non-Infectious Postoperative Pulmonary Complications: A Narrative Review
by Simona Gigliotti, Giuseppe Guerriero, Giuseppe Mazza, Eugenio Garofalo, Grazia Pavia, Angela Amaddeo, Antonia Rizzuto, Nadia Marascio, Angela Quirino, Federico Longhini and Giovanni Matera
J. Clin. Med. 2026, 15(2), 699; https://doi.org/10.3390/jcm15020699 - 15 Jan 2026
Viewed by 187
Abstract
Background/Objectives: Postoperative pulmonary complications (PPCs) remain frequent and increase morbidity, mortality, and resource use. Preoperative risk scores (ARISCAT, NSQIP-derived calculators) use mostly static variables and may miss the dynamic perioperative host response preceding respiratory deterioration or infection. We address the gap in clinically [...] Read more.
Background/Objectives: Postoperative pulmonary complications (PPCs) remain frequent and increase morbidity, mortality, and resource use. Preoperative risk scores (ARISCAT, NSQIP-derived calculators) use mostly static variables and may miss the dynamic perioperative host response preceding respiratory deterioration or infection. We address the gap in clinically interpretable syntheses of perioperative blood biomarker trajectories that distinguish infectious from non-infectious PPCs and clarify bedside-ready versus exploratory markers. Methods: We conducted a narrative review with a structured Medline search (inception to 1 November 2025) plus reference screening. We included English-language adult surgical studies (observational or interventional) evaluating perioperative blood biomarkers in relation to PPCs or postoperative pulmonary infection; case reports, editorials, and reviews were excluded. No formal risk-of-bias assessment or quantitative meta-analysis was performed. Results: Across 298 cited publications, serial patterns of routinely available biomarkers (C-reactive protein, procalcitonin, lactate, albumin, and leukocyte-derived indices) were most consistently associated with PPC risk and helped separate expected postoperative inflammation from evolving infection when interpreted longitudinally rather than as single values. Mechanistic biomarkers (cytokines/immune-function assays, endothelial injury and coagulation/fibrinolysis markers, oxidative stress indicators) add biological insight but are limited by assay availability, heterogeneous sampling windows, and absent standardized cut-offs. Omics signatures and machine learning models combining biomarker kinetics with clinical variables are promising but require prospective, transportable validation. Conclusions: Key barriers to implementation include biological variability, non-specificity across postoperative syndromes, heterogeneous sampling windows, and lack of standardized cut-offs. Integrating multimarker panels into validated, dynamic predictive frameworks represents a promising direction for perioperative precision medicine. Full article
(This article belongs to the Section Anesthesiology)
23 pages, 7165 KB  
Article
The Influence of Acute Cold Stress on Intestinal Health of the Juvenile Chinese Soft-Shelled Turtle (Pelodiscus sinensis)
by Xiaona Ma, Qing Shi, Zhen Dong, Chen Chen, Junxian Zhu, Xiaoli Liu, Xiaoyou Hong, Chengqing Wei, Xinping Zhu, Weijia Song, Wei Li and Liqin Ji
Animals 2026, 16(2), 256; https://doi.org/10.3390/ani16020256 - 14 Jan 2026
Viewed by 182
Abstract
Sharp declines in temperature pose a significant risk for mass mortality events in the Chinese soft-shelled turtle (Pelodiscus sinensis). To assess the effects of acute cold stress on intestinal health, turtles were exposed to temperatures of 28 °C (control), 14 °C, [...] Read more.
Sharp declines in temperature pose a significant risk for mass mortality events in the Chinese soft-shelled turtle (Pelodiscus sinensis). To assess the effects of acute cold stress on intestinal health, turtles were exposed to temperatures of 28 °C (control), 14 °C, and 7 °C for 1, 2, 4, 8, and 16 days. The results showed that acute cold stress at 14 °C and 7 °C induced time-dependent alterations in intestinal morphology and histopathology. The damage was more severe at 7 °C, characterized by inflammatory cell infiltration, lymphoid hyperplasia, and extensive detachment and necrosis across the villi, muscle layer, and submucosa. 16S rDNA sequencing revealed significant shifts in intestinal microbiota composition in the 7 °C group, dominated by Helicobacter and Citrobacter. Transcriptomic analysis identified differentially expressed genes (DEGs) that respond to acute cold stress and are involved in the Toll-like receptor signaling pathway (Tlr2, Tlr4, Tlr5, Tlr7, and Tlr8), the NOD-like receptor signaling pathway (Traf6, Traf2, Casr, Rnasel, Pstpip1, Plcb2, Atg5, and Mfn2), apoptosis (Tuba1c, Ctsz, Ctsb, Kras, Hras, Pik3ca, Bcl2l11, Gadd45a, Pmaip1, Ddit3, and Fos), and the p53 signaling pathway (Serpine1, Sesn2, Ccng2, Igf1, Mdm2, Gadd45a, Pmaip1, and Cdkn1a). Metabolomic profiling highlighted differentially expressed metabolites (DEMs) that cope with acute cold stress, such as organic acids (oxoglutaric acid, L-aspartic acid, fumaric acid, DL-malic acid, and citric acid) and amino acids (including L-lysine, L-homoserine, and allysine). The integrated analysis of DEGs and DEMs underscored three key pathways modulated by acute cold stress: linoleic acid metabolism, neuroactive ligand–receptor interaction, and the FoxO signaling pathway. This study provides a comprehensive evaluation of intestinal health in Chinese soft-shelled turtles under acute cold stress and elucidates the underlying mechanisms. Full article
Show Figures

Figure 1

Back to TopTop