Sign in to use this feature.

Years

Between: -

Subjects

remove_circle_outline
remove_circle_outline
remove_circle_outline
remove_circle_outline
remove_circle_outline
remove_circle_outline
remove_circle_outline
remove_circle_outline
remove_circle_outline

Journals

remove_circle_outline
remove_circle_outline
remove_circle_outline
remove_circle_outline
remove_circle_outline
remove_circle_outline
remove_circle_outline
remove_circle_outline
remove_circle_outline
remove_circle_outline
remove_circle_outline
remove_circle_outline
remove_circle_outline
remove_circle_outline

Article Types

Countries / Regions

remove_circle_outline
remove_circle_outline
remove_circle_outline
remove_circle_outline

Search Results (441)

Search Parameters:
Keywords = muscle histopathology

Order results
Result details
Results per page
Select all
Export citation of selected articles as:
13 pages, 3953 KB  
Article
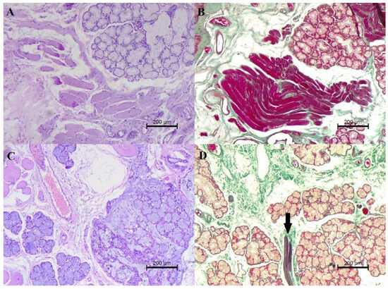
Comprehensive Analysis of the Influence of Soft Palate Inflammation in Brachycephalic Dogs with BOAS III
by Małgorzata Kandefer-Gola, Rafał Ciaputa, Izabela Janus-Ziółkowska, Kacper Żebrowski, Bartłomiej Liszka, Jakub Nicpoń and Stanisław Dzimira
Animals 2026, 16(2), 269; https://doi.org/10.3390/ani16020269 - 15 Jan 2026
Viewed by 75
Abstract
Brachycephalic obstructive airway syndrome is a group of abnormalities that primarily affect the upper respiratory tract, particularly in dogs—especially in English and French bulldogs, pugs, and Boston terriers. The description and the consequences of these anomalies are well known. We performed a detailed [...] Read more.
Brachycephalic obstructive airway syndrome is a group of abnormalities that primarily affect the upper respiratory tract, particularly in dogs—especially in English and French bulldogs, pugs, and Boston terriers. The description and the consequences of these anomalies are well known. We performed a detailed histopathological analysis of soft palate samples taken from brachycephalic dogs with BOAS III. We examined the impact of the severity and composition of inflammatory infiltrates on individual histological structures, such as mucosal membrane, serosal and mucosal glands, and muscles. The study was conducted on 50 samples of soft palate tissue collected from pugs and French bulldogs. The sections were then stained with haematoxylin and eosin (HE) and Masson–Goldner trichrome. In general, both lymphocytic and plasmocytic inflammation were observed. Plasmacytic inflammation was more commonly associated with more advanced changes, including glandular fibrosis, muscle degeneration, and waxy necrosis of the muscles. Therefore, inflammatory infiltration—particularly plasmocytic infiltration—is associated with more severe clinical symptoms and a poorer prognosis in BOAS III dogs. Full article
(This article belongs to the Special Issue A Look Inside the Health and Welfare of Canine and Feline Breeds)
Show Figures

Figure 1

18 pages, 2782 KB  
Article
Can Cigarette Butt-Derived Cellulose Acetate Nanoplastics Induce Toxicity in Allolobophora caliginosa? Immunological, Biochemical, and Histopathological Insights
by Zeinab Bakr, Shimaa Mohamed Said, Naser A. Elshimy, Mohamed Abd El-Aal and Gehad N. Aboulnasr
Microplastics 2026, 5(1), 12; https://doi.org/10.3390/microplastics5010012 - 15 Jan 2026
Viewed by 119
Abstract
Plastic pollution is a major global challenge, especially nanoplastics (NPs) emerging as harmful pollutants due to their small size, reactivity, and persistence in ecosystems. Among them, cigarette butts composed of cellulose acetate (CA) are one of the most widespread and hazardous sources of [...] Read more.
Plastic pollution is a major global challenge, especially nanoplastics (NPs) emerging as harmful pollutants due to their small size, reactivity, and persistence in ecosystems. Among them, cigarette butts composed of cellulose acetate (CA) are one of the most widespread and hazardous sources of terrestrial NPs. In this study, the immunotoxic, biochemical, and histopathological effects of cellulose acetate nanoplastics (CA-NPs) derived from smoked cigarette butts (SCB-NPs), unsmoked cigarette butts (USCB-NPs), and commercial cellulose acetate (CCA-NPs) were evaluated on the earthworm Allolobophora caliginosa. Adult worms were exposed for 30 days to 100 mg/kg CA-NPs in artificial soil under controlled laboratory conditions. Results revealed that SCB-NPs induced the most pronounced alterations, including increased lysozyme and metallothionein levels, reduced phagocytic and peroxidase activities, and depletion of protein and carbohydrate reserves. Histological examination showed vacuoles in epithelial layer vacuolization, space between muscle fiber disruption, and degeneration in gut and body wall, especially under SCB-NP exposure. USCB-NPs and CCA-NPs caused milder but still significant effects. Taken together, these findings highlight that the high toxicity of SCB-NPs is due to the presence of combustion-derived toxicants (nicotine, polycyclic aromatic hydrocarbons, and heavy metals), which exacerbate oxidative stress, immune suppression, and tissue damage in soil invertebrates. This study underscores the ecological risk of cigarette butt-derived NPs and calls for urgent policy measures to mitigate their terrestrial impacts. Full article
Show Figures

Figure 1

10 pages, 4034 KB  
Article
MRI Diffusion Imaging as an Additional Biomarker for Monitoring Chemotherapy Efficacy in Tumors
by Małgorzata Grzywińska, Anna Sobolewska, Małgorzata Krawczyk, Ewa Wierzchosławska and Dominik Świętoń
Medicina 2026, 62(1), 173; https://doi.org/10.3390/medicina62010173 - 15 Jan 2026
Viewed by 85
Abstract
Background and Objectives: Soft tissue sarcomas account for approximately 7% of all malignant tumors in the pediatric population. Diffusion-weighted imaging (DWI) with apparent diffusion coefficient (ADC) measurements may provide early functional biomarkers of treatment response by reflecting changes in tumor cellularity. This [...] Read more.
Background and Objectives: Soft tissue sarcomas account for approximately 7% of all malignant tumors in the pediatric population. Diffusion-weighted imaging (DWI) with apparent diffusion coefficient (ADC) measurements may provide early functional biomarkers of treatment response by reflecting changes in tumor cellularity. This study evaluated whether ADC-derived parameters can serve as quantitative biomarkers of neoadjuvant chemotherapy response in pediatric rhabdomyosarcoma. Materials and Methods: This retrospective single-center study included 14 patients aged ≤18 years with histopathologically confirmed rhabdomyosarcoma who underwent MRI before treatment and after three cycles of chemotherapy. Twenty-five patients were initially identified; eleven were excluded due to imaging artifacts or absence of baseline examination. ADC maps were generated on 1.5T and 3T scanners. Regions of interest were placed over the entire lesion and areas with the lowest ADC signal. Relative ADC (rADC) was calculated by normalizing tumor ADC to adjacent healthy muscle. Paired t-tests were used to compare pre- and post-treatment values. Results: At baseline, 13/14 patients (93%) demonstrated diffusion restriction. Mean ADC increased from 1.11 × 10−3 mm2/s (SD ± 0.48) at baseline to 1.63 × 10−3 mm2/s (SD ± 0.67) after treatment. The paired t-test for rADC yielded t = −3.089 (p = 0.0086, 95% CI: −0.79 to −0.14), indicating a statistically significant change. There was a significant difference between the ADC values of the entire lesion and the areas with the lowest signal in tumors with a heterogenic structure, t = 2.862, p = 0.013. Conclusions: ADC and rADC increased significantly after neoadjuvant chemotherapy in pediatric rhabdomyosarcoma, suggesting potential utility as early functional biomarkers of treatment response. These preliminary findings require validation in larger multicenter prospective studies with correlation to histopathological response and clinical outcomes before clinical implementation. Full article
(This article belongs to the Special Issue Interventional Radiology and Imaging in Cancer Diagnosis)
Show Figures

Figure 1

23 pages, 7165 KB  
Article
The Influence of Acute Cold Stress on Intestinal Health of the Juvenile Chinese Soft-Shelled Turtle (Pelodiscus sinensis)
by Xiaona Ma, Qing Shi, Zhen Dong, Chen Chen, Junxian Zhu, Xiaoli Liu, Xiaoyou Hong, Chengqing Wei, Xinping Zhu, Weijia Song, Wei Li and Liqin Ji
Animals 2026, 16(2), 256; https://doi.org/10.3390/ani16020256 - 14 Jan 2026
Viewed by 145
Abstract
Sharp declines in temperature pose a significant risk for mass mortality events in the Chinese soft-shelled turtle (Pelodiscus sinensis). To assess the effects of acute cold stress on intestinal health, turtles were exposed to temperatures of 28 °C (control), 14 °C, [...] Read more.
Sharp declines in temperature pose a significant risk for mass mortality events in the Chinese soft-shelled turtle (Pelodiscus sinensis). To assess the effects of acute cold stress on intestinal health, turtles were exposed to temperatures of 28 °C (control), 14 °C, and 7 °C for 1, 2, 4, 8, and 16 days. The results showed that acute cold stress at 14 °C and 7 °C induced time-dependent alterations in intestinal morphology and histopathology. The damage was more severe at 7 °C, characterized by inflammatory cell infiltration, lymphoid hyperplasia, and extensive detachment and necrosis across the villi, muscle layer, and submucosa. 16S rDNA sequencing revealed significant shifts in intestinal microbiota composition in the 7 °C group, dominated by Helicobacter and Citrobacter. Transcriptomic analysis identified differentially expressed genes (DEGs) that respond to acute cold stress and are involved in the Toll-like receptor signaling pathway (Tlr2, Tlr4, Tlr5, Tlr7, and Tlr8), the NOD-like receptor signaling pathway (Traf6, Traf2, Casr, Rnasel, Pstpip1, Plcb2, Atg5, and Mfn2), apoptosis (Tuba1c, Ctsz, Ctsb, Kras, Hras, Pik3ca, Bcl2l11, Gadd45a, Pmaip1, Ddit3, and Fos), and the p53 signaling pathway (Serpine1, Sesn2, Ccng2, Igf1, Mdm2, Gadd45a, Pmaip1, and Cdkn1a). Metabolomic profiling highlighted differentially expressed metabolites (DEMs) that cope with acute cold stress, such as organic acids (oxoglutaric acid, L-aspartic acid, fumaric acid, DL-malic acid, and citric acid) and amino acids (including L-lysine, L-homoserine, and allysine). The integrated analysis of DEGs and DEMs underscored three key pathways modulated by acute cold stress: linoleic acid metabolism, neuroactive ligand–receptor interaction, and the FoxO signaling pathway. This study provides a comprehensive evaluation of intestinal health in Chinese soft-shelled turtles under acute cold stress and elucidates the underlying mechanisms. Full article
Show Figures

Figure 1

14 pages, 5733 KB  
Article
Immunohistochemical Pattern of CD34 Distribution in Different Types of Basal Cell Carcinoma and in Peritumoral Skin
by Vladimir Petrovic, Aleksandar Petrovic, Ivan R. Nikolic, Nataša Vidovic, Tijana Dencic, Ilija Golubovic, Miroslav Milic and Aleksandra Antovic
Medicina 2026, 62(1), 158; https://doi.org/10.3390/medicina62010158 - 13 Jan 2026
Viewed by 165
Abstract
Background and Objectives: Basal cell carcinoma (BCC) is the most common skin carcinoma, mainly occurring in older individuals. The aim of this study was to document the immunohistochemical distribution of CD34 in different histopathological types of BCC, as well as in the [...] Read more.
Background and Objectives: Basal cell carcinoma (BCC) is the most common skin carcinoma, mainly occurring in older individuals. The aim of this study was to document the immunohistochemical distribution of CD34 in different histopathological types of BCC, as well as in the peritumoral and uninvolved skin of biopsy samples. Materials and Methods: Excisional biopsies of skin BCCs were routinely processed into paraffin blocks, and microtome sections were stained immunohistochemically for CD34. Results: A consistent finding in skin samples containing BCC was the absence of CD34 in the following extravascular structures: neoplastic cells, epidermis and its derivatives (except for the cells of the isthmic part of the outer hair follicle sheath), fibroblast-like cells of BCC tumor stroma, as well as in the papillary dermis in the tumor region. Fibroblast-like cells of the tumor stroma were variably CD34 immunopositive only in the nodular type of BCC. In all examined biopsies, part of the dermis adjacent to the BCC tumor mass (juxtatumoral zone) was characterized by pronounced CD34 immunopositivity. In the transitional zone of peritumoral skin and in marginal skin, CD34-positive connective tissue cells were observed in the periadnexal dermis around: sebaceous gland lobules, the secretory coils of eccrine sweat glands, the pilosebaceous canal, as well as in the perimysium of the arrector pili muscle. Fibrocytes of fibrous sheaths encasing the isthmic part of hair follicles were CD34 negative, interposed between highly positive epithelial cells of the outer hair follicle sheath and the fibroblasts of the local reticular dermis. The transitional zone and uninvolved skin contained CD34-positive fibroblast-like cells situated between secondary bundles of reticular dermis, as well as CD34-positive cell processes within these bundles. Conclusions: The observed pattern of CD34 positivity within the examined regions shows a specific distribution, providing insight into the adaptive responses of the skin to the tumoral process. Full article
(This article belongs to the Section Oncology)
Show Figures

Figure 1

12 pages, 2270 KB  
Article
Assessment of Various Tissues in Broilers Reared Under Different Lighting Programs with Respect to Rearing Disorders
by Umut Can Gündoğar, Ozan Ahlat and Esin Ebru Onbaşılar
Vet. Sci. 2026, 13(1), 75; https://doi.org/10.3390/vetsci13010075 - 12 Jan 2026
Viewed by 155
Abstract
This study aimed to assess the impact of gradual versus abrupt light–dark transitions on the pectoral muscle, heart, tibia, and eye tissues of broilers, focusing on rearing disorders. A total of 270 male broiler chicks (ROSS-308) were divided into three groups according to [...] Read more.
This study aimed to assess the impact of gradual versus abrupt light–dark transitions on the pectoral muscle, heart, tibia, and eye tissues of broilers, focusing on rearing disorders. A total of 270 male broiler chicks (ROSS-308) were divided into three groups according to the type of light transition: abrupt, 30-min gradual, and 1-h gradual changes in light intensity. The broilers were reared for six weeks, after which samples were collected for gross examination, morphometric and histomorphometric measurements, and histopathological analysis of the pectoral muscle, heart, tibia, and eye. White striping incidence in the pectoral muscle was not significantly affected by light–dark transition type. Results indicated that broilers in the 30-min gradual transition group had a higher relative heart weight than those in the abrupt-transition group (p < 0.05), although the RV/TV ratio did not differ. Tibial measurements, including weight, length, and cortical index, showed no differences across groups. Broilers exposed to a 1-h gradual transition between light and dark periods showed significantly greater eye weights compared to both the birds in the abrupt transition group and the birds in the 30-min transition group (p < 0.01). Overall, gradual light transitions did not substantially affect pectoral muscle or bone health but had minor effects on heart and eye weights in broilers reared under intensive production systems. Full article
Show Figures

Figure 1

16 pages, 1205 KB  
Review
Selenoprotein N and SEPN1-Related Myopathies: Mechanisms, Models, and Therapeutic Perspectives
by Martina Lanza, Ester Zito, Giorgia Dinoi, Antonio Vittorio Buono, Annamaria De Luca, Paola Imbrici, Antonella Liantonio and Elena Conte
Biomolecules 2026, 16(1), 125; https://doi.org/10.3390/biom16010125 - 12 Jan 2026
Viewed by 160
Abstract
Selenoprotein N (SelN or SELENON) is a selenium-containing protein of the endoplasmic/sarcoplasmic reticulum (ER/SR), encoded by the SEPN1 gene. In skeletal muscle, SelN is particularly important for regulating SR calcium homeostasis. It acts as a calcium sensor, modulating the activity of the sarcoplasmic [...] Read more.
Selenoprotein N (SelN or SELENON) is a selenium-containing protein of the endoplasmic/sarcoplasmic reticulum (ER/SR), encoded by the SEPN1 gene. In skeletal muscle, SelN is particularly important for regulating SR calcium homeostasis. It acts as a calcium sensor, modulating the activity of the sarcoplasmic reticulum calcium pump (SERCA) through a redox-dependent mechanism. Loss-of-function mutations in the SEPN1 gene give rise to a spectrum of skeletal muscle disorders collectively referred to as SEPN1-related myopathies (SEPN1-RM). Histopathologically, SEPN1-RM is characterized by the presence of minicores, which are localized regions within muscle fibers exhibiting mitochondrial depletion (i.e., cores) and sarcomeric disarray. As no effective therapy is currently available for SEPN1-RM, understanding SelN biology through loss-of-function models remains essential for elucidating disease mechanisms and identifying potential therapeutic targets. This review examines the current knowledge on SelN function and the pathological mechanisms underlying SEPN1 loss-of-function, with a particular focus on the connection between calcium handling, oxidative/ER stress, and muscle dysfunction. It also highlights emerging strategies aimed at restoring SelN activity or mitigating downstream defects, outlining potential therapeutic avenues for SEPN1-RM. Full article
(This article belongs to the Section Molecular Medicine)
Show Figures

Figure 1

19 pages, 3670 KB  
Article
Early Clinical Approach Prevents Severe Neurotoxicity Following Cobra Envenoming: An Integrated Experimental and Multi-Center Clinical Study in Thailand
by Sethapong Lertsakulbunlue, Musleeha Chesor, Panuwat Promsorn, Wanida Chuaikhongthong, Wipapan Khimmaktong, Wittawat Chantkran and Janeyuth Chaisakul
Biomedicines 2026, 14(1), 144; https://doi.org/10.3390/biomedicines14010144 - 10 Jan 2026
Viewed by 401
Abstract
Background: Cobras (Naja sp.) are medically important snakes in Thailand. Envenoming by the monocled cobra (N. kaouthia) often causes neurotoxicity, most notably ptosis, ophthalmoplegia, local tissue necrosis and progressive paralysis leading to respiratory failure. Early antivenom administration and respiratory support [...] Read more.
Background: Cobras (Naja sp.) are medically important snakes in Thailand. Envenoming by the monocled cobra (N. kaouthia) often causes neurotoxicity, most notably ptosis, ophthalmoplegia, local tissue necrosis and progressive paralysis leading to respiratory failure. Early antivenom administration and respiratory support are medically significant for effective treatment. Methods: In this study, we determined the association between the time course of cobra envenoming and related neurotoxic outcomes using the clinical profiles of cobra envenomed patients. We also demonstrated histopathological changes in the neuromuscular junction of the diaphragm in experimentally envenomed rats. Results: A retrospective study of 69 cases of cobra envenoming in Central and Southern Thailand shows that delayed arrival beyond one hour at hospital was common among younger adults (47.0% aged 10–29) and associated with more severe neurotoxicity, including higher rates of ptosis (41.2%, p = 0.032) and referrals (41.2% vs. 15.4%, p = 0.040). Antivenoms (22 Monovalent and 1 Polyvalent) were administered to 23 (33.3%) envenomed victims and caused adverse reactions in 9 cases (39.1%). Neurotoxicity following cobra envenoming in the clinical section correlated with histopathological examination of envenomed rat diaphragms. Transmission electron microscopy (TEM) revealed degeneration of the neuromuscular junction and diaphragm within 1 h following experimental cobra envenomation, which worsened by 4 h. Intravenous administration of antivenom at recommended doses reduced diaphragmatic damage but failed to prevent presynaptic degeneration after 90 min of envenoming. Conclusions: Clinically, extraocular muscle paralysis was the earliest manifestation. Early monitoring and prompt administration of antivenom are essential to reduce neurotoxicity and relevant complications. Full article
Show Figures

Graphical abstract

16 pages, 1815 KB  
Case Report
Paratubal Leiomyoma Mimicking Ovarian Malignancy: A Case Report and Literature Review
by Wen-Lin Hsieh and Dah-Ching Ding
Diagnostics 2026, 16(2), 218; https://doi.org/10.3390/diagnostics16020218 - 9 Jan 2026
Viewed by 226
Abstract
Background and Clinical Significance: A paratubal leiomyoma is an exceptionally rare benign smooth muscle tumor arising from paratubal tissue, with only sporadic cases reported in the literature. Case Presentation: We present the case of a 72-year-old postmenopausal woman with intermittent spotting [...] Read more.
Background and Clinical Significance: A paratubal leiomyoma is an exceptionally rare benign smooth muscle tumor arising from paratubal tissue, with only sporadic cases reported in the literature. Case Presentation: We present the case of a 72-year-old postmenopausal woman with intermittent spotting for three months. A pelvic examination revealed a retained intrauterine device, which was removed along with an old sanguineous discharge. A transvaginal ultrasound demonstrated a complex left adnexal mass with calcifications, and computed tomography (CT) confirmed a 7.8 × 5.5 × 4.7 cm lesion suggestive of an ovarian malignancy. Tumor markers showed mildly elevated CA-125 and carcinoembryonic antigen (CEA) levels. Endometrial sampling using a hysteroscopy and curettage revealed hyperplasia without atypia. The patient underwent a total laparoscopic hysterectomy with a bilateral salpingo-oophorectomy. A diagnostic laparoscopy revealed a well-circumscribed solid mass arising from the mesosalpinx, separate from the ovary and fallopian tube and consistent with a paratubal mass, which was successfully excised laparoscopically. Frozen sections suggested a fibroma, and the final pathology confirmed a paratubal leiomyoma with hyalinization, accompanied by adenomyosis and simple endometrial hyperplasia. The patient recovered uneventfully, and the 6-month follow-up showed no recurrence. This case highlights the diagnostic challenge of differentiating paratubal leiomyomas from ovarian tumors based on imaging alone. Histopathological examination is essential for confirmation. Conclusions: Awareness of paratubal leiomyomas as a differential diagnosis may prevent overtreatment and guide the appropriate surgical management of postmenopausal women presenting with adnexal masses. Full article
(This article belongs to the Special Issue Precision Diagnostics in Gynecologic Health and Disease)
Show Figures

Figure 1

13 pages, 2195 KB  
Case Report
First Whole-Genome Sequencing Analysis of Tracheobronchopathia Osteochondroplastica with Critical Vocal Cord Involvement: Proposing a Novel Pathophysiological Model
by Yeonhee Park, Joo-Eun Lee, Mi Jung Lim, Hyeong Seok Kang and Chaeuk Chung
Diagnostics 2026, 16(2), 210; https://doi.org/10.3390/diagnostics16020210 - 9 Jan 2026
Viewed by 169
Abstract
Background: Tracheobronchopathia osteochondroplastica (TO) is a rare benign disorder characterized by submucosal cartilaginous and osseous nodules of the tracheobronchial tree, typically sparing the posterior membranous wall. Involvement of the vocal cords is exceedingly rare and may result in critical airway obstruction. The [...] Read more.
Background: Tracheobronchopathia osteochondroplastica (TO) is a rare benign disorder characterized by submucosal cartilaginous and osseous nodules of the tracheobronchial tree, typically sparing the posterior membranous wall. Involvement of the vocal cords is exceedingly rare and may result in critical airway obstruction. The underlying genetic and molecular mechanisms of TO remain largely unexplored. Case presentation: We report a rare case of TO extending from the vocal cords to the bronchi in a 76-year-old man who initially presented with pneumonia and later developed acute respiratory failure due to severe airway narrowing, necessitating emergency tracheostomy. Bronchoscopy and computed tomography revealed diffuse calcified nodules involving the anterior and lateral airway walls, including the subglottic region. Histopathology demonstrated chronic inflammatory cell infiltration with squamous metaplasia. To explore the molecular basis of this condition, whole-genome sequencing (WGS) was performed using peripheral blood samples—the first such application in TO. WGS identified 766 germline mutations (including 27 high-impact variants) and 66 structural variations. Candidate genes were implicated in coagulation and inflammation (KNG1), arachidonic acid metabolism and extracellular matrix remodeling (PLA2G4D), ciliary dysfunction and mineralization (TMEM67), vascular calcification (CDKN2B-AS1), smooth muscle function (MYLK4), abnormal calcification (TRPV2, SPRY2, BAZ1B), fibrotic signaling (AHNAK2), and mucosal barrier integrity (MUC12/MUC19). Notably, despite systemic germline mutations, calcification was restricted to the airway. Conclusions: This case highlights that TO with vocal cord involvement can progress beyond a benign course to cause life-threatening airway obstruction. Integrating clinical, histological, and genomic findings, we propose a novel pathophysiological model in which systemic genetic susceptibility interacts with local immune cell infiltration and fibroblast-driven extracellular matrix remodeling, resulting in airway-restricted dystrophic calcification. This first genomic characterization of TO provides new insights into its pathogenesis and suggests that multi-omics approaches may enable future precision medicine strategies for this rare airway disease. Full article
(This article belongs to the Special Issue Respiratory Diseases: Diagnosis and Management)
Show Figures

Figure 1

22 pages, 5812 KB  
Article
Acute CO2 Toxicity and the Effects of Seawater Acidification on Health Status, Histopathology, Immunity and Disease Resistance in Asian Seabass (Lates calcarifer)
by Phattarapan Mongconpattarasuk, Thanasin Sumngern, Phutana Kongwatananonda, Anurak Uchuwittayakul, Chalermchai Ruangchainikom and Prapansak Srisapoome
Environments 2026, 13(1), 16; https://doi.org/10.3390/environments13010016 - 29 Dec 2025
Viewed by 266
Abstract
Carbon dioxide capture and storage (CCS) is a technology that can be used to reduce carbon dioxide (CO2) emissions generated by both natural and anthropogenic industrial processes, particularly petroleum production. To mimic and investigate the effects of CO2 leakage that [...] Read more.
Carbon dioxide capture and storage (CCS) is a technology that can be used to reduce carbon dioxide (CO2) emissions generated by both natural and anthropogenic industrial processes, particularly petroleum production. To mimic and investigate the effects of CO2 leakage that may result from CCS, the acute toxicity of seawater acidification induced by continuous CO2 injection was studied in Asian seabass (Lates calcarifer) fry under static bioassay conditions. Fry (0.828 ± 0.22 g) were exposed to seawater with different pH levels (5.5, 6.0, 6.5, 7.5, and 8.3). Rapid and 100% mortality within 15 min was observed in the pH 5.5 exposure group, while mortality rates ranging from 10.00–41.67% were recorded at 6–96 h in the pH 6.0 exposure group; no mortality was noted in the other pH exposure groups. According to these mortality data, the median lethal concentration at 96 h (96 h LC50) was determined to be a pH of 5.884. Interestingly, after exposure to seawater with pH levels of 5.5 and 6.0, histopathological alterations in the skin, gills, trunk kidney and liver were evident. Additionally, some water quality parameters, especially dissolved oxygen (DO) levels, alkalinity, ammonia levels, and nitrite levels, vary depending on the pH. To further investigate the effects of seawater with pH levels of 8.3 and 5.884 (96 h LC50) and 6.5 (10% safety level) on health status, immune responses and disease susceptibility, fingerling fish (21.25 ± 3.89 g) were studied. Unexpectedly, fish exposed to seawater with a pH of 5.884 rapidly lost muscle control and gradually died, reaching 100% mortality within 24 h, and all response analyses were aborted. Interestingly, with the exception of hematocrit and some immune parameters, various serum innate immune indices, blood biochemistry parameters and immune-related gene expression patterns were similar in fish exposed to seawater with pH levels of 8.3 and 6.5. Additionally, fish were challenged with 0 (control), 1 × 107 and 1 × 109 CFU/mL Vibrio vulnificus, and fish in seawater with a pH level of 6.5 showed a higher sensitivity to 1 × 109 CFU/mL Vibrio vulnificus than fish in seawater with a pH level of 8.3, with mortality rates of 71.24% and 25.44%, respectively (p < 0.05). These findings enhance the understanding of the toxicity effects of seawater acidification caused by CO2, which will be useful for further assessing the site-specific effects of CCS projects. Full article
Show Figures

Figure 1

18 pages, 1296 KB  
Article
Preclinical Study on Sabin Strain-Based DTaP-sIPV/Hib Pentavalent Vaccine: Evaluation of Repeated-Dose Toxicity and Immunogenicity
by Ting Zhao, Han Chu, Yan Ma, Qin Gu, Na Gao, Jingyan Li, Qiuyan Ji, Jiana Wen, Xiaoyu Wang, Guoyang Liao, Shengjie Ouyang, Wenzhu Hu, Hongwei Liao, Guang Ji, Hongbo Chen, Lujie Yang, Mingqing Wang, Ling Ping, Yuting Fu, Yixian Fu, Wenlu Kong, Huimei Zheng, Xinhua Qin, Lukui Cai, Jiangli Liang and Jingsi Yangadd Show full author list remove Hide full author list
Vaccines 2026, 14(1), 29; https://doi.org/10.3390/vaccines14010029 - 25 Dec 2025
Viewed by 318
Abstract
Background: Pertussis, diphtheria, tetanus, poliomyelitis, and Haemophilus influenzae type b (Hib) infections pose severe threats to children’s health globally. This study evaluated the safety and immunogenicity of a novel Sabin strain-based adsorbed pentavalent vaccine (DTacP-sIPV/Hib), which offers potential advantages in biosafety and cost-effectiveness [...] Read more.
Background: Pertussis, diphtheria, tetanus, poliomyelitis, and Haemophilus influenzae type b (Hib) infections pose severe threats to children’s health globally. This study evaluated the safety and immunogenicity of a novel Sabin strain-based adsorbed pentavalent vaccine (DTacP-sIPV/Hib), which offers potential advantages in biosafety and cost-effectiveness compared to wild-type poliovirus-based vaccines. Methods: A repeated-dose toxicity study was conducted in 190 Sprague-Dawley rats, randomly divided into negative control, adjuvant control, low-dose, and high-dose groups. Animals received five intramuscular injections at 21-day intervals, followed by a 56-day recovery period. Parameters assessed included local reactions, body temperature, hematology, serum biochemistry, coagulation, histopathology, T-cell subsets, cytokine levels, and antigen-specific immunogenicity. Results: The primary adverse reaction was dose-dependent local muscle swelling, which was fully reversible within 3–21 days. Only transient body temperature fluctuations and adjuvant-related hematological/biochemical abnormalities were observed, all resolving after the recovery period. No vaccine-related damage occurred in hepatic/renal function or immune organs. Immunogenicity data showed 100% seroconversion for all bacterial components 21 days after the first dose. The high-dose group achieved 100% seropositivity for all poliovirus serotypes after the second dose, while the low-dose group reached the same after the third dose, with no significant difference in antibody levels between dose groups. Conclusions: The DTacP-sIPV/Hib vaccine exhibits a favorable safety profile and robust immunogenicity in rats, supporting its further clinical development. The use of Sabin strains reduces biosafety risks and manufacturing costs, making this vaccine a promising candidate for immunization programs, especially in resource-limited regions. Full article
(This article belongs to the Section Vaccines, Clinical Advancement, and Associated Immunology)
Show Figures

Figure 1

13 pages, 5293 KB  
Article
Histopathological and Molecular Characterization of Amlodipine-Induced Gingival Enlargement: Insights into Fibrotic Mechanisms
by Jana Mojsilović, Marina Kostić, Sanja Vujović Ristić, Momir Stevanović, Milovan Stević, Sanja Knežević and Nemanja Jovičić
Pharmaceuticals 2026, 19(1), 45; https://doi.org/10.3390/ph19010045 - 24 Dec 2025
Viewed by 267
Abstract
Background/Objectives: Amlodipine, a widely prescribed calcium channel blocker, has been associated with gingival enlargement, yet the mechanisms underlying this adverse effect remain unclear. The present study aimed to explore molecular and histopathological factors potentially contributing to gingival changes in patients receiving amlodipine [...] Read more.
Background/Objectives: Amlodipine, a widely prescribed calcium channel blocker, has been associated with gingival enlargement, yet the mechanisms underlying this adverse effect remain unclear. The present study aimed to explore molecular and histopathological factors potentially contributing to gingival changes in patients receiving amlodipine therapy, with a particular focus on molecules implicated in extracellular matrix turnover and tissue remodeling. Methods: The study included three groups of participants: patients with amlodipine-induced gingival enlargement, patients with gingival enlargement of inflammatory origin, and amlodipine-treated patients without gingival overgrowth. Gingival tissue samples were analyzed using hematoxylin-eosin staining to assess inflammatory changes and general tissue architecture, and Picrosirius Red staining to visualize collagen fibers. Relative gene expression of alpha-smooth muscle actin (α-SMA), IL-13, MMP-1, and procollagen was determined by real-time PCR, while collagen content was quantified using ImageJ software. Results: Histopathological evaluation revealed a less pronounced inflammatory response in amlodipine-related gingival enlargement compared to those who did not use amlodipine. The highest expression of α-SMA was detected in patients who did not receive amlodipine, whereas IL-13 and procollagen expression were markedly elevated in the amlodipine-induced group compared to others. MMP-1 expression was significantly lower in amlodipine-treated patients relative to those who did not use amlodipine, suggesting impaired collagen degradation. These findings, together with our previous results indicating enhanced expression of profibrotic mediators, suggest that altered extracellular matrix metabolism is potentially dominant in this condition. Conclusions: Amlodipine-induced gingival enlargement appears to involve a multifactorial process characterized by a prominent fibrotic component, reduced matrix degradation, and secondary inflammation. Full article
(This article belongs to the Section Medicinal Chemistry)
Show Figures

Figure 1

16 pages, 3708 KB  
Article
Effects of Nano-Silver Exposure on Oxidative Stress, Transcriptome, and Intestinal Microbiota of Procambarus clarkii
by Jian Li, Bin Qiu, Yitian Chen, Yanping Cai, Huiling Zhang, Xingfei Huang, Yude Wang and Shaojun Liu
Biology 2026, 15(1), 6; https://doi.org/10.3390/biology15010006 - 19 Dec 2025
Viewed by 346
Abstract
There is limited understanding regarding the potential toxicity of nano-silver to crayfish. This study aims to evaluate the histopathological changes, oxidative stress, transcriptomics, and intestinal microbiota changes in different tissues of crayfish after exposure to nano-silver. The results showed that exposure to nano-silver [...] Read more.
There is limited understanding regarding the potential toxicity of nano-silver to crayfish. This study aims to evaluate the histopathological changes, oxidative stress, transcriptomics, and intestinal microbiota changes in different tissues of crayfish after exposure to nano-silver. The results showed that exposure to nano-silver caused pathological changes in the muscles, hepatopancreas, and gills of crayfish. Damage to muscular tissue progressively worsened with increasing concentrations of nano-silver, leading to a gradual widening of the gaps between muscle fibers. Nano-silver enlarged hepatopancreatic lumen and epithelial vacuolation, while the structure of the gills became disorganized, with severe damage to the gill membranes. The activities of peroxidase (CAT), superoxide dismutase (SOD), and glutathione reductase (GSH), as well as the content of malondialdehyde (MDA) in the muscles, hepatopancreas, and gills, were altered due to nano-silver exposure. Furthermore, along with the alteration of intestinal flora, there were alterations in the diversity of intestinal microbiota, an increase in the abundance of Bacteroides and Ca_Bacilloplasma, and a decrease in the abundance of Citrobacter. The abundance of harmful bacteria increased, causing intestinal inflammatory damage. Totals of 1549 and 1305 differently expressed genes (DEG) were found in the muscles and hepatopancreas, according to transcriptome analysis. Significantly affected pathways included the PPAR signaling pathway. These findings provide valuable insights into the use of nano-silver in the aquaculture of crayfish. Full article
(This article belongs to the Special Issue Exposure to Heavy Metals: Advances in Cytotoxicity and Genotoxicity)
Show Figures

Figure 1

23 pages, 17593 KB  
Article
Synergistic Effect of Liraglutide and Strength–Endurance Exercise Training on Hepatic Oxidative Stress and Lipid Metabolism in Middle-Aged Male Rats
by Dragana Vlahović, Svetlana Trifunović, Slavica Borković-Mitić, Slađan Pavlović, Ivona Gizdović, Dieter Lütjohann, Branko Filipović, Ljiljana Marina and Branka Šošić-Jurjević
Antioxidants 2025, 14(12), 1492; https://doi.org/10.3390/antiox14121492 - 12 Dec 2025
Viewed by 782
Abstract
Glucagon-like peptide-1 receptor agonists and lifestyle interventions effectively treat overt obesity, but the benefits/risks of their combined early intervention during middle age remain unclear. This study investigated whether submaximal-dose liraglutide combined with strength–endurance training improves metabolic and liver health, focusing on hepatic oxidative [...] Read more.
Glucagon-like peptide-1 receptor agonists and lifestyle interventions effectively treat overt obesity, but the benefits/risks of their combined early intervention during middle age remain unclear. This study investigated whether submaximal-dose liraglutide combined with strength–endurance training improves metabolic and liver health, focusing on hepatic oxidative stress and lipid metabolism. Male Wistar rats (16 months old) received liraglutide (L; 0.186 mg/kg/day, s.c.), training (ladder climbing with weights, 3 times/week), both (L+E) or saline for control middle-aged (C) and young adults (CY; 3–4 months old) for 7 weeks (n = 8/group). Middle-aged rats exhibited age-related changes including higher body and visceral fat, increased hepatic and serum cholesterol, hepatic ALT and glutathione imbalance, and decreased soleus muscle (p < 0.05, vs. CY). Exercise increased hepatic glycogen and oxidative stress markers and downregulated lipogenic genes, consistent with liver adaptation to training. L+E synergistically reduced body and visceral fat, hepatic and serum triglycerides, and the triglyceride–glucose index, while reducing oxidative stress (p < 0.05 vs. E, C) and lipogenic gene expression (p < 0.05 vs. C), without affecting pancreas histopathology and function parameters, muscle mass or exercise load volume. In conclusion, submaximal liraglutide safely synergized with training to enhance metabolic health, improve hepatic redox balance and triglyceride metabolism in middle-aged rats, without mitigating cholesterol rise. Full article
(This article belongs to the Special Issue Antioxidant Therapy for Obesity-Related Diseases)
Show Figures

Graphical abstract

Back to TopTop