Paratubal Leiomyoma Mimicking Ovarian Malignancy: A Case Report and Literature Review
Abstract
1. Introduction
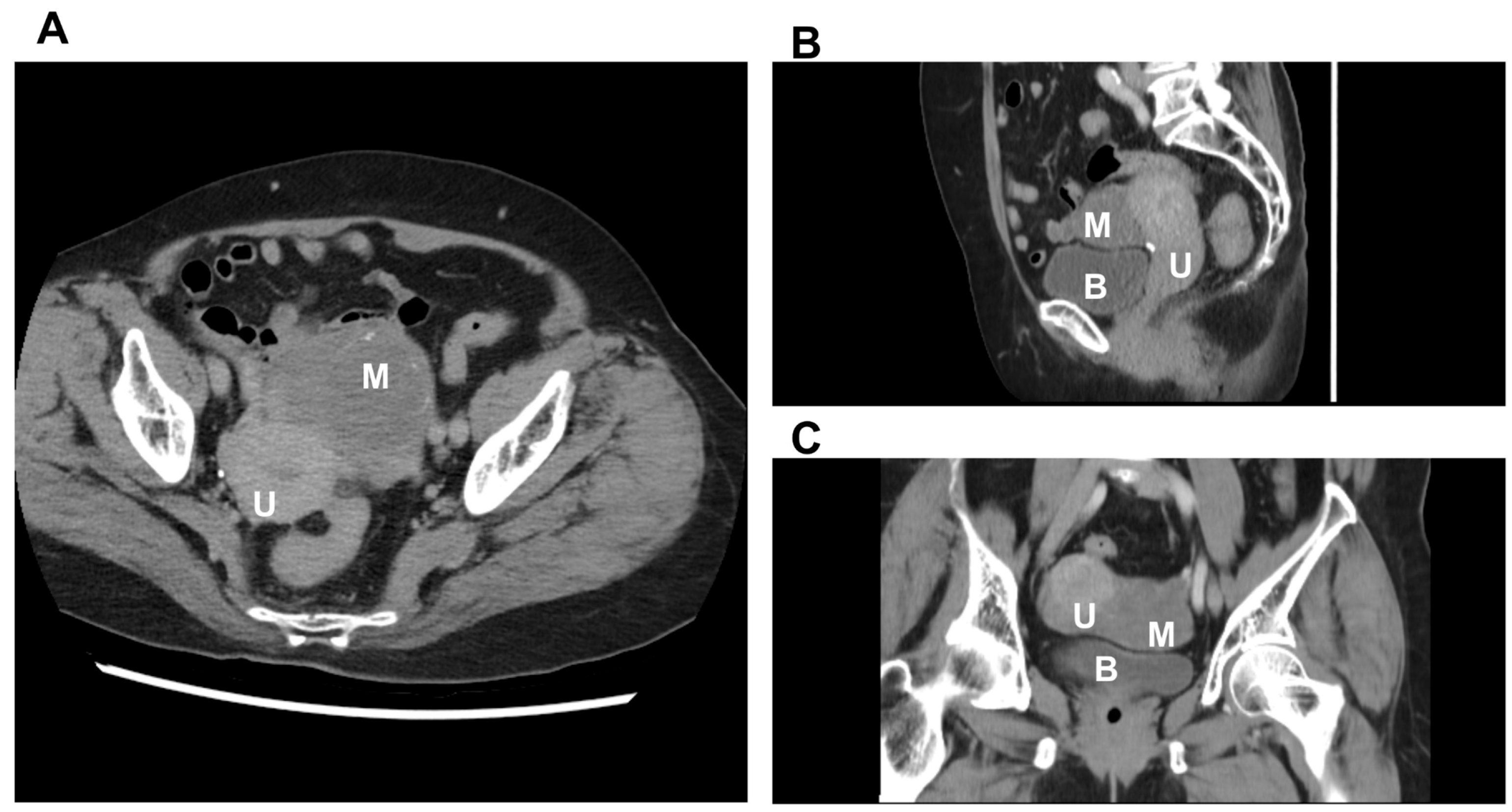
2. Case
3. Discussion
3.1. Previous Case Report
3.2. Differential Diagnosis of Fallopian Pathology
3.2.1. Benign Tumors of the Fallopian Tube
3.2.2. Primary Malignant Tumors of the Fallopian Tube
3.2.3. Secondary (Metastatic) Tumors to the Fallopian Tube
3.2.4. Role of Tumor Markers in Diagnoses and Evaluation
3.3. Image Diagnosis
3.3.1. Ultrasound
3.3.2. CT Scan
3.3.3. MRI
3.3.4. Positron Emission Tomography–Computed Tomography (PET-CT)
4. Conclusions
Author Contributions
Funding
Institutional Review Board Statement
Informed Consent Statement
Data Availability Statement
Conflicts of Interest
Abbreviations
| BSO | Bilateral salpingo-oophorectomy |
| CA-125 | Cancer antigen 125 |
| CEA | Carcinoembryonic antigen |
| CT | Computed tomography |
| HGSC | High-grade serous carcinoma |
| HPV | Human papillomavirus |
| IHC | Immunohistochemistry |
| IOTA | International Ovarian Tumor Analysis |
| IUD | Intrauterine device |
| LTH | Laparoscopic total hysterectomy |
| MRI | Magnetic resonance imaging |
| O-RADS | Ovarian-Adnexal Reporting and Data System |
| PET-CT | Positron emission tomography–computed tomography |
| SCC antigen | Squamous cell carcinoma antigen |
| SMA | Smooth muscle actin |
References
- Nezhat, C.; Kho, K. Iatrogenic Myomas: New Class of Myomas? J. Minim. Invasive Gynecol. 2010, 17, 544–550. [Google Scholar] [CrossRef]
- Kho, K.A.; Nezhat, C. Parasitic Myomas. Obstet. Gynecol. 2009, 114, 611–615. [Google Scholar] [CrossRef] [PubMed]
- Kiseli, M.; Caglar, G.S.; Cengiz, S.D.; Karadag, D.; Yılmaz, M.B. Clinical Diagnosis and Complications of Paratubal Cysts: Review of the Literature and Report of Uncommon Presentations. Arch. Gynecol. Obstet. 2012, 285, 1563–1569. [Google Scholar] [CrossRef] [PubMed]
- Muolokwu, E.; Sanchez, J.; Bercaw, J.L.; Sangi-Haghpeykar, H.; Banszek, T.; Brandt, M.L.; Dietrich, J.E. The Incidence and Surgical Management of Paratubal Cysts in a Pediatric and Adolescent Population. J. Pediatr. Surg. 2011, 46, 2161–2163. [Google Scholar] [CrossRef] [PubMed]
- Sisodia, R.C.; Del Carmen, M.G. Lesions of the Ovary and Fallopian Tube. N. Engl. J. Med. 2022, 387, 727–736. [Google Scholar] [CrossRef]
- Friedrich, L.; Meyer, R.; Levin, G. Management of Adnexal Mass: A Comparison of Five National Guidelines. Eur. J. Obstet. Gynecol. Reprod. Biol. 2021, 265, 80–89. [Google Scholar] [CrossRef]
- Levin, G.; Herzberg, S.; Dior, U.P.; Shushan, A.; Gilad, R.; Benshushan, A.; Rottenstreich, A. The Predictive Role of CA-125 in the Management of Tubo-Ovarian Abscess. A Retrospective Study. Eur. J. Obstet. Gynecol. Reprod. Biol. 2019, 238, 20–24. [Google Scholar] [CrossRef]
- Wu, J.; Wang, X.; Ye, N.; Yan, X.; Zeng, X.; Nie, F. Fallopian Tube Leiomyoma Presenting as a Huge Abdominopelvic Cystic Mass: A Case Report and Literature Review. Curr. Med. Imaging Rev. 2024, 20, e15734056286949. [Google Scholar] [CrossRef]
- Yang, C.-C.; Wen, K.-C.; Chen, P.; Wang, P.-H. Primary Leiomyoma of the Fallopian Tube: Preoperative Ultrasound Findings. J. Chin. Med. Assoc. 2007, 70, 80–83. [Google Scholar] [CrossRef]
- Li, Z.; Maeda, D.; Kudo-Asabe, Y.; Tamura, D.; Nanjo, H.; Hayashi, A.; Ikemura, M.; Fukayama, M.; Goto, A. MED12 Is Frequently Mutated in Ovarian and Other Adnexal Leiomyomas. Hum. Pathol. 2018, 81, 89–95. [Google Scholar] [CrossRef]
- Misao, R.; Niwa, K.; Iwagaki, S.; Shimokawa, K.; Tamaya, T. Leiomyoma of the Fallopian Tube. Gynecol. Obstet. Invest. 2000, 49, 279–280. [Google Scholar] [CrossRef] [PubMed]
- Joshi, U.; Kiwalkar, S.; Joshi, R. Coexistence of a Tubal Ectopic Pregnancy and Tubal Leiomyoma. J. Minim. Invasive Gynecol. 2019, 26, 350–351. [Google Scholar] [CrossRef]
- Sharma, P.; Zaheer, S.; Yadav, A.K.; Mandal, A.K. Massive Broad Ligament Cellular Leiomyoma with Cystic Change: A Diagnostic Dilemma. J. Clin. Diagn. Res. 2016, 10, ED01–ED02. [Google Scholar] [CrossRef]
- Sun, D.; Yang, P.; Liu, Y.; Yu, G. Fallopian Tube Lipoleiomyoma with Degeneration: A Case Report and Literature Review. Int. J. Clin. Exp. Pathol. 2020, 13, 2163–2168. [Google Scholar]
- Smorgick, N.; Herman, A.; Schneider, D.; Halperin, R.; Pansky, M. Paraovarian Cysts of Neoplastic Origin Are Underreported. JSLS 2009, 13, 22–26. [Google Scholar]
- Butureanu, T.A.; Apetrei, A.-M.; Pavaleanu, I.; Haliciu, A.-M.; Socolov, R.; Balan, R. Extremely Rare Case of a Giant Paratubal Cyst, Coexisting with a Mucinous Cystadenoma, Surgically Treated through Laparoscopy-A Case Report and Review of the Literature. Reports 2025, 8, 106. [Google Scholar] [CrossRef]
- Pham, T.; Peterson, J.M.; Hasan, H.; Gomez, M. Uterine Angioleiomyoma: Clinical and Histopathologic Differentiation of an Underrecognized Mimicker of Uterine Leiomyoma. Int. J. Surg. Pathol. 2025, 33, 430–435. [Google Scholar] [CrossRef]
- Allo, G. Mesenchymal Tumors, Pathology of the Ovary. In Encyclopedia of Pathology; Springer International Publishing: Cham, Switzerland, 2023; pp. 222–230. ISBN 9783030973773. [Google Scholar]
- Rai, B.; Swathi, B. Laparoscopic Management of Rare Benign Serous-Cystadenofibroma of Fallopian Tube—A Case Report and Short Review of Literature. EC Gynecol. 2021, 10, 28–35. [Google Scholar]
- Jo, U.; Sung, C.O.; Kim, K.-R. Walthard Cell Nests/transitional Cell Metaplasia in Distal Fallopian Tubes and Pelvic Peritoneum Derived from Reserve Cells. Int. J. Gynecol. Pathol. 2025, 44, 430–435. [Google Scholar] [CrossRef] [PubMed]
- Burla, L.; Kalaitzopoulos, D.R.; Mrozek, A.; Eberhard, M.; Samartzis, N. Intraoperative Appearance of Endosalpingiosis: A Single-Center Experience of Laparoscopic Findings and Systematic Review of Literature. J. Clin. Med. 2022, 11, 7006. [Google Scholar] [CrossRef] [PubMed]
- Ermler, M.; Ward, K.R.; Tominna, M.A.; Brahmamdam, P. Multiple Bilateral Paratubal Cysts and Recurrent Bilateral Fallopian Tube Torsion in a Premenarchal Female: A Case Report. J. Pediatr. Surg. Case Rep. 2024, 109, 102865. [Google Scholar] [CrossRef]
- Abd-el-Maeboud, K.H. Hydatid Cyst of Morgagni: Any Impact on Fertility? J. Obstet. Gynaecol. Res. 1997, 23, 427–431. [Google Scholar] [CrossRef]
- Rexhepi, M.; Trajkovska, E.; Ismaili, H.; Besimi, F.; Rufati, N. Primary Fallopian Tube Carcinoma: A Case Report and Literature Review. Open Access Maced. J. Med. Sci. 2017, 5, 344–348. [Google Scholar] [CrossRef]
- Rani, E.; Kaur, M. Rare and Incidental Lesions of Fallopian Tube—A Case Series Constituting 5 Cases. Eur. J. Cardiovasc. Med. 2025, 15, 74–78. [Google Scholar]
- Miettinen, M. Smooth Muscle Tumors of Soft Tissue and Non-Uterine Viscera: Biology and Prognosis. Mod. Pathol. 2014, 27, S17–S29. [Google Scholar] [CrossRef]
- Cathro, H.P.; Stoler, M.H. The Utility of Calretinin, Inhibin, and WT1 Immunohistochemical Staining in the Differential Diagnosis of Ovarian Tumors. Hum. Pathol. 2005, 36, 195–201. [Google Scholar] [CrossRef]
- Kim, J.; Park, E.Y.; Kim, O.; Schilder, J.M.; Coffey, D.M.; Cho, C.-H.; Bast, R.C., Jr. Cell Origins of High-Grade Serous Ovarian Cancer. Cancers 2018, 10, 433. [Google Scholar] [CrossRef] [PubMed]
- Imachi, M.; Tsukamoto, N.; Shigematsu, T.; Watanabe, T.; Uehira, K.; Amada, S.; Umezu, T.; Nakano, H. Malignant Mixed Müllerian Tumor of the Fallopian Tube: Report of Two Cases and Review of Literature. Gynecol. Oncol. 1992, 47, 114–124. [Google Scholar] [CrossRef] [PubMed]
- Eken, M.; Temizkan, O.; Kaygusuz, E.I.; Herkiloğlu, D.; Çöğendez, E.; Karateke, A. Primary Carcinoma of the Fallopian Tubes: Analysis of Sixteen Patients. J. Turk. Soc. Obstet. Gynecol. 2015, 12, 83–88. [Google Scholar] [CrossRef]
- Vyas, M.N.; Rai, S.; Manjeera, L.; Shetty, D. Bilateral Primary Fallopian Tube Carcinoma with the Classical Clinical Features: A Case Report. J. Clin. Diagn. Res. 2013, 7, 726–728. [Google Scholar] [CrossRef]
- Iacobellis, G.; Leggio, A.; Salzillo, C.; Imparato, A.; Marzullo, A. The Imaging of Primary Fallopian Tube Carcinoma: A Literature Review. Cancers 2025, 17, 2985. [Google Scholar] [CrossRef]
- Hong, M.-K.; Ding, D.-C. Early Diagnosis of Ovarian Cancer: A Comprehensive Review of the Advances, Challenges, and Future Directions. Diagnostics 2025, 15, 406. [Google Scholar] [CrossRef]
- Charkhchi, P.; Cybulski, C.; Gronwald, J.; Wong, F.O.; Narod, S.A.; Akbari, M.R. CA125 and Ovarian Cancer: A Comprehensive Review. Cancers 2020, 12, 3730. [Google Scholar] [CrossRef] [PubMed]
- Visvanathan, K.; Vang, R.; Shaw, P.; Gross, A.; Soslow, R.; Parkash, V.; Shih, I.-M.; Kurman, R.J. Diagnosis of Serous Tubal Intraepithelial Carcinoma Based on Morphologic and Immunohistochemical Features: A Reproducibility Study. Am. J. Surg. Pathol. 2011, 35, 1766–1775. [Google Scholar] [CrossRef] [PubMed]
- Koc, N.; Ayas, S.; Arinkan, S.A. Comparison of the Classical Method and SEE-FIM Protocol in Detecting Microscopic Lesions in Fallopian Tubes with Gynecological Lesions. J. Pathol. Transl. Med. 2018, 52, 21–27. [Google Scholar] [CrossRef]
- Karpathiou, G.; Chauleur, C.; Hathroubi, S.; Peoc’h, M. Secondary Tumors of the Gynecologic Tract: A Clinicopathologic Analysis. Int. J. Gynecol. Pathol. 2019, 38, 363–370. [Google Scholar] [CrossRef]
- Stewart, C.J.R.; Doherty, D.A.; Havlat, M.; Koay, M.H.E.; Leung, Y.C.; Naran, A.; O’Brien, D.; Ruba, S.; Salfinger, S.; Tan, J. Transtubal Spread of Endometrial Carcinoma: Correlation of Intra-Luminal Tumour Cells with Tumour Grade, Peritoneal Fluid Cytology, and Extra-Uterine Metastasis. Pathology 2013, 45, 382–387. [Google Scholar] [CrossRef]
- Labidi-Galy, S.I.; Papp, E.; Hallberg, D.; Niknafs, N.; Adleff, V.; Noe, M.; Bhattacharya, R.; Novak, M.; Jones, S.; Phallen, J.; et al. High Grade Serous Ovarian Carcinomas Originate in the Fallopian Tube. Nat. Commun. 2017, 8, 1093. [Google Scholar] [CrossRef]
- Aljhdali, H.; Balega, J.; Williams, A.; Ganesan, R. Isolated Tubal Metastasis from an Incidental HPV-Associated Endocervical Adenocarcinoma Presented as an Adnexal Mass: A Case Report. Case Rep. Womens Health 2023, 39, e00532. [Google Scholar] [CrossRef] [PubMed]
- Chuang, A.-Y.; Watkins, J.C.; Young, R.H.; Lerwill, M.F. Lobular Carcinoma of the Breast Metastatic to the Ovary: A Clinicopathologic Study of 38 Cases. Am. J. Surg. Pathol. 2022, 46, 179–189. [Google Scholar] [CrossRef]
- Efetov, S.K.; Cao, Y.; Zou, J.; Dorogov, A.Y.; Paramonova, N.B.; Tsoy, L.V.; Droshneva, I.V.; Fatyanova, A.S. Metastasis of Colorectal Cancer to the Uterine Body and Fallopian Tube: Case Report and Literature Review. J. Surg. Case Rep. 2024, 2024, rjae400. [Google Scholar] [CrossRef]
- Cortés-Guiral, D.; Hübner, M.; Alyami, M.; Bhatt, A.; Ceelen, W.; Glehen, O.; Lordick, F.; Ramsay, R.; Sgarbura, O.; Van Der Speeten, K.; et al. Primary and Metastatic Peritoneal Surface Malignancies. Nat. Rev. Dis. Primers 2021, 7, 91. [Google Scholar] [CrossRef]
- Katcher, A.H.; Greenman, M.P.; Roychoudhury, S.; Goldberg, G.L. Utilization of Immunohistochemistry in Gynecologic Tumors: An Expert Review. Gynecol. Oncol. Rep. 2024, 56, 101550. [Google Scholar] [CrossRef]
- Hsieh, W.-L.; Ding, D.-C. Management of Retroperitoneal High-Grade Serous Carcinoma of Unknown Origin: A Case Report. World J. Clin. Cases 2024, 12, 1190–1195. [Google Scholar] [CrossRef]
- Werling, R.W.; Yaziji, H.; Bacchi, C.E.; Gown, A.M. CDX2, a Highly Sensitive and Specific Marker of Adenocarcinomas of Intestinal Origin: An Immunohistochemical Survey of 476 Primary and Metastatic Carcinomas. Am. J. Surg. Pathol. 2003, 27, 303–310. [Google Scholar] [CrossRef]
- Rakhshanı, N.; Daryakar, A. Are Mammaglobin and GCDFP-15 Sensitive Markers for Diagnosis of Metastatic Basal-like Triple Negative Breast Carcinomas? Turk Patoloji Derg. 2014, 30, 18–22. [Google Scholar] [CrossRef] [PubMed]
- Sagi-Dain, L.; Lavie, O.; Auslander, R.; Sagi, S. CA 19-9 in Evaluation of Adnexal Mass: Retrospective Cohort Analysis and Review of the Literature. Int. J. Biol. Markers 2015, 30, e333–e340. [Google Scholar] [CrossRef]
- Smith, A.J.B.; Gleason, E.; Kadiyala, S.; Wang, X.; Howell, E.A.; McCarthy, A.M. Cancer Antigen 125 Levels at Time of Ovarian Cancer Diagnosis by Race and Ethnicity. JAMA Netw. Open 2025, 8, e251292. [Google Scholar] [CrossRef]
- Rao, S.; Kapurubandara, S.; Anpalagan, A. Elevated CA 125 in a CASE of Leaking Endometrioma. Case Rep. Obstet. Gynecol. 2018, 2018, 2385048. [Google Scholar] [CrossRef] [PubMed]
- Lertkhachonsuk, A.-A.; Buranawongtrakoon, S.; Lekskul, N.; Rermluk, N.; Wee-Stekly, W.-W.; Charakorn, C. Serum CA19-9, CA-125 and CEA as Tumor Markers for Mucinous Ovarian Tumors. J. Obstet. Gynaecol. Res. 2020, 46, 2287–2291. [Google Scholar] [CrossRef] [PubMed]
- Lin, W.; Cao, D.; Shen, K. Prognostic Significance of Preoperative Serum CEA in Primary Mucinous Ovarian Carcinoma: A Retrospective Cohort Study. Cancer Manag. Res. 2018, 10, 6913–6920. [Google Scholar] [CrossRef] [PubMed]
- Zhu, H. Squamous Cell Carcinoma Antigen: Clinical Application and Research Status. Diagnostics 2022, 12, 1065. [Google Scholar] [CrossRef] [PubMed]
- Patel-Lippmann, K.K.; Wasnik, A.P.; Akin, E.A.; Andreotti, R.F.; Ascher, S.M.; Brook, O.R.; Eskander, R.N.; Feldman, M.K.; Jones, L.P.; Martino, M.A.; et al. ACR Appropriateness Criteria® Clinically Suspected Adnexal Mass, No Acute Symptoms: 2023 Update. J. Am. Coll. Radiol. 2024, 21, S79–S99. [Google Scholar] [CrossRef]
- Khouri, O.R.; Monteagudo, A.; Timor-Tritsch, I.E. Tubal Disease and Impersonators/masqueraders. Clin. Obstet. Gynecol. 2017, 60, 46–57. [Google Scholar] [CrossRef]
- Revzin, M.V.; Moshiri, M.; Katz, D.S.; Pellerito, J.S.; Mankowski Gettle, L.; Menias, C.O. Imaging Evaluation of Fallopian Tubes and Related Disease: A Primer for Radiologists. Radiographics 2020, 40, 1473–1501. [Google Scholar] [CrossRef]
- Solanki, V.; Singh, P.; Sharma, C.; Ghuman, N.; Sureka, B.; Shekhar, S.; Gothwal, M.; Yadav, G. Predicting Malignancy in Adnexal Masses by the International Ovarian Tumor Analysis-Simple Rules. J. Midlife. Health 2020, 11, 217–223. [Google Scholar] [CrossRef]
- Timmerman, D.; Ameye, L.; Fischerova, D.; Epstein, E.; Melis, G.B.; Guerriero, S.; Van Holsbeke, C.; Savelli, L.; Fruscio, R.; Lissoni, A.A.; et al. Simple Ultrasound Rules to Distinguish between Benign and Malignant Adnexal Masses before Surgery: Prospective Validation by IOTA Group. BMJ 2010, 341, c6839. [Google Scholar] [CrossRef]
- Vara, J.; Manzour, N.; Chacón, E.; López-Picazo, A.; Linares, M.; Pascual, M.Á.; Guerriero, S.; Alcázar, J.L. Ovarian Adnexal Reporting Data System (O-RADS) for Classifying Adnexal Masses: A Systematic Review and Meta-Analysis. Cancers 2022, 14, 3151. [Google Scholar] [CrossRef]
- Andreotti, R.F.; Timmerman, D.; Strachowski, L.M.; Froyman, W.; Benacerraf, B.R.; Bennett, G.L.; Bourne, T.; Brown, D.L.; Coleman, B.G.; Frates, M.C.; et al. O-RADS US Risk Stratification and Management System: A Consensus Guideline from the ACR Ovarian-Adnexal Reporting and Data System Committee. Radiology 2020, 294, 168–185. [Google Scholar] [CrossRef]
- Tantipalakorn, C.; Khunamornpong, S.; Sirilert, S.; Tongsong, T. Popcorn Appearance of Severely Calcified Uterine Leiomyoma: Image-Pathological Correlation. Diagnostics 2023, 13, 154. [Google Scholar] [CrossRef] [PubMed]
- 62; Sokalska, A.; Timmerman, D.; Testa, A.C.; Van Holsbeke, C.; Lissoni, A.A.; Leone, F.P.G.; Jurkovic, D.; Valentin, L. Diagnostic Accuracy of Transvaginal Ultrasound Examination for Assigning a Specific Diagnosis to Adnexal Masses. Ultrasound Obstet. Gynecol. 2009, 34, 462–470. [Google Scholar] [CrossRef]
- An, Y.; Wei, P.; Liu, L.; Yimier, R.; Peng, X.; Liu, D.; Yu, D. Intratumoral Calcification on CT Assists in Distinguishing Benign and Malignant Upper Abdomen Neoplasm. Postgrad. Med. J. 2025, 101, 189–195. [Google Scholar] [CrossRef]
- Rezvani, M.; Shaaban, A.M. Fallopian Tube Disease in the Nonpregnant Patient. Radiographics 2011, 31, 527–548. [Google Scholar] [CrossRef]
- Coutureau, J.; Mandoul, C.; Curros-Doyon, F.; Millet, I.; Taourel, P. Recognizing the Features of Isolated Fallopian Tube Torsion on CT and MRI and Interobserver Agreement: A Cross-Sectional Study. Eur. J. Radiol. 2022, 157, 110607. [Google Scholar] [CrossRef] [PubMed]
- Sadowski, E.A.; Stein, E.B.; Thomassin-Naggara, I.; Rockall, A.; Nougaret, S.; Reinhold, C.; Maturen, K.E. O-RADS MRI after Initial Ultrasound for Adnexal Lesions: AJR Expert Panel Narrative Review. AJR Am. J. Roentgenol. 2023, 220, 6–15. [Google Scholar] [CrossRef] [PubMed]
- Ghattamaneni, S.; Bhuskute, N.M.; Weston, M.J.; Spencer, J.A. Discriminative MRI Features of Fallopian Tube Masses. Clin. Radiol. 2009, 64, 815–831. [Google Scholar] [CrossRef]
- Sadowski, E.A.; Maturen, K.E.; Rockall, A.; Reinhold, C.; Addley, H.; Jha, P.; Bharwani, N.; Thomassin-Naggara, I. Ovary: MRI Characterisation and O-RADS MRI. Br. J. Radiol. 2021, 94, 20210157. [Google Scholar] [CrossRef]
- Nunes Pereira, P.; Françoise Derchain, S.; Yoshida, A.; Hoelz de Oliveira Barros, R.; Menezes Jales, R.; Sarian, L.O. Diffusion-Weighted Magnetic Resonance Sequence and CA125/CEA Ratio Can Be Used as Add-on Tools to Ultrasound for the Differentiation of Ovarian from Non-Ovarian Pelvic Masses. PLoS ONE 2023, 18, e0283212. [Google Scholar] [CrossRef]
- Outwater, E.K.; Siegelman, E.S.; Chiowanich, P.; Kilger, A.M.; Dunton, C.J.; Talerman, A. Dilated Fallopian Tubes: MR Imaging Characteristics. Radiology 1998, 208, 463–469. [Google Scholar] [CrossRef]
- Wall, D.J.; Reinhold, C.; Akin, E.A.; Ascher, S.M.; Brook, O.R.; Dassel, M.; Henrichsen, T.L.; Learman, L.A.; Maturen, K.E.; Patlas, M.N.; et al. ACR Appropriateness Criteria® Female Infertility. J. Am. Coll. Radiol. 2020, 17, S113–S124. [Google Scholar] [CrossRef] [PubMed]
- Dirrichs, T.; Bauerschlag, D.; Maass, N.; Kuhl, C.K.; Schrading, S. Impact of Multiparametric MRI (mMRI) on the Therapeutic Management of Adnexal Masses Detected with Transvaginal Ultrasound (TVUS): An Interdisciplinary Management Approach. Acad. Radiol. 2022, 29, 183–197. [Google Scholar] [CrossRef]
- Mohaghegh, P.; Rockall, A.G. Imaging Strategy for Early Ovarian Cancer: Characterization of Adnexal Masses with Conventional and Advanced Imaging Techniques. Radiographics 2012, 32, 1751–1773. [Google Scholar] [CrossRef] [PubMed]
- Dai, N.; Deng, S.; Yang, Y.; Sang, S. 18-F Fluorodeoxyglucose Positron Emission Tomography/computed Tomography Findings of Bilateral Primary Fallopian Tube Carcinoma and Metastasis to the Uterus: A Case Report and Literature Review. J. Int. Med. Res. 2022, 50, 3000605221118678. [Google Scholar] [CrossRef] [PubMed]
- Makhija, S.; Howden, N.; Edwards, R.; Kelley, J.; Townsend, D.W.; Meltzer, C.C. Positron Emission Tomography/computed Tomography Imaging for the Detection of Recurrent Ovarian and Fallopian Tube Carcinoma: A Retrospective Review. Gynecol. Oncol. 2002, 85, 53–58. [Google Scholar] [CrossRef] [PubMed]
- Sharma, J.B.; Karmakar, D.; Kumar, R.; Shamim, S.A.; Kumar, S.; Singh, N.; Roy, K.K.; Reddy, R.M. Comparison of PET/CT with Other Imaging Modalities in Women with Genital Tuberculosis. Int. J. Gynaecol. Obstet. 2012, 118, 123–128. [Google Scholar] [CrossRef]



| Author/Year | Patient Age | Presentation | Tumor Location/Size | Imaging Features | Treatment | Pathology/Notes |
|---|---|---|---|---|---|---|
| Yang et al., 2007 [9] | Not specified | Pelvic mass | Fallopian tube; size not stated | Ultrasound showed a solid adnexal mass suggestive of a leiomyoma | Surgical excision | Primary tubal leiomyoma confirmed |
| Li et al., 2018 [10] | Multiple cases | Varied | Adnexal leiomyomas | Molecular study of MED12 mutation | Surgical specimens reviewed | MED12 mutation is frequently detected in ovarian/adnexal leiomyomas |
| Misao et al., 2000 [11] | Not specified | Not specified | Fallopian tube leiomyoma | Not reported | Surgical removal | Rare tubal leiomyoma reported |
| Joshi et al., 2019 [12] | Reproductive age | Ectopic pregnancy with a tubal mass | Fallopian tubal leiomyoma associated with ectopic pregnancy | Not specified | Salpingectomy with pregnancy removal | Coexistence of ectopic gestation and leiomyoma |
| Sharma et al., 2016 [13] | Not specified | Broad ligament mass | Large cellular leiomyoma with cystic change | Mimicked an ovarian tumor radiologically | Surgical resection | Diagnostic challenge due to cystic degeneration |
| Sun et al., 2020 [14] | 45 years | Abdominal discomfort | Fallopian tube lipoleiomyoma with degeneration | Mass with fatty components | Mass excision | Lipoleiomyoma confirmed histologically |
| Wu et al., 2024 [8] | 49 years | Huge abdominopelvic cystic mass | Fallopian tube origin; very large | Cystic appearance mimicked an ovarian tumor | Surgery performed | Large leiomyoma confirmed |
| Present case | 72 years | Postmenopausal spotting, incidental IUD finding | Left paratubal region; 9.0 × 4.54 × 6.37 cm | Solid mass with calcification on US/CT, mimicking an ovarian malignancy | LTH + BSO; uneventful recovery | Leiomyoma with hyalinization, SMA (+), calretinin (−), inhibin (−) |
| Category | Key Examples | Typical Characteristics | Diagnostic Consideration |
|---|---|---|---|
| Benign tumors | Paratubal/tubal leiomyoma, fibroma, serous/mucinous cystadenoma, papilloma | Usually well-circumscribed solid or cystic mass, often incidental | Often mimics ovarian mass; diagnosis confirmed postoperatively |
| Primary malignant tumors | HGSC, LGSC, endometrioid, clear cell, mucinous carcinoma, leiomyosarcoma, MMMT | Imaging similar to ovarian cancer; CA-125 may be elevated | Requires histological proof of tubal origin; SEE-FIM recommended |
| Secondary (metastatic) tumors | From the ovary, endometrium, breast, colorectal/appendix | More common than primary; often bilateral or associated with peritoneal disease | IHC critical to identify primary site; alters management strategy |
| Category | Feature Type | Ultrasound Criteria |
|---|---|---|
| B-features (benign indicators) | B1 | Unilocular cyst |
| B2 | Presence of solid components of <7 mm | |
| B3 | Presence of acoustic shadows | |
| B4 | Smooth multilocular tumor <100 mm in largest diameter | |
| B5 | No detectable blood flow on color Doppler (color score of 1) | |
| M-features (malignant indicators) | M1 | Irregular solid tumor |
| M2 | Presence of ascites | |
| M3 | ≥4 papillary projections | |
| M4 | Irregular multilocular solid tumor of ≥100 mm | |
| M5 | Very strong blood flow on Doppler (color score of 4) |
| O-RADS | Features | Risk |
|---|---|---|
| 1 | Follicles <3 cm, corpus luteum (thickened wall <3 cm) | Normal ovary (0% likelihood of malignancy) |
| 2 | Simple cyst (>3–<10 cm in premenopausal women, <10 cm in postmenopausal women); not simple, unilocular cyst with smooth inner margin <10 cm; classic benign lesions (hemorrhagic cyst, dermoid cyst, endometrioma, paraovarian cyst, peritoneal inclusion cyst, hydrosalpinx) | Almost certainly benign (<1% likelihood of malignancy) |
| 3 | Unilocular cyst ≥10 cm; typical benign cyst ≥10 cm; unilocular cyst with irregular inner wall (<3 mm); multilocular cyst with smooth inner wall (<10 cm) and low color flow; solid with smooth contour, of any size and with no flow | Low risk (1–<10% likelihood of malignancy) |
| 4 | Multilocular cyst with smooth inner wall, ≥10 cm, no-to-moderate flow; multilocular cyst with smooth inner wall of any size and a very strong flow; multilocular cyst with irregular inner wall or septation of any size and any flow; unilocular cyst with 1–3 papillary projections of any size and any flow; multilocular cyst with solid component of any size and no to mild flow; solid (≥80%) with smooth contour of any size and mild-to-moderate flow | Intermediate risk (10–<50% likelihood of malignancy) |
| 5 | Unilocular cyst with ≥4 papillary projections of any size and any flow; multilocular cyst with solid component of any size and moderate-to-strong flow; solid (≥80%) with smooth contour of any size and a very strong flow; solid (≥80%) with irregular contour of any size and any flow; ascites and peritoneal nodules | High risk (≥50% likelihood of malignancy) |
| Imaging Modality | Advantages/Role | Key Diagnostic Features | Limitations/Notes |
|---|---|---|---|
| Ultrasound (TVS/TAS) | First-line for adnexal evaluation; recommended by ACR; cost-effective and widely available | Assesses mass size, morphology, and vascularity (Doppler); IOTA rules/O-RADS applicable. Paratubal leiomyoma appears as a solid, well-circumscribed, hypoechoic mass separate from the ovary/uterus | Difficult to distinguish between ovarian fibromas and paraovarian cysts; operator-dependent; definitive diagnosis requires pathology |
| CT scan | Useful for acute settings, complication evaluations, and malignancy staging | Detects adnexal masses, hydrosalpinges, pyosalpinges, TOAs, and torsion indicators (U-/C-shaped tube) | Poor discrimination between tubal vs. ovarian tumors; nonspecific for benign vs. malignant; not preferred for initial diagnosis |
| MRI | Best for characterization of indeterminate masses after US; high specificity for malignancy | Differentiates solid vs. cystic components; identifies hemorrhage/fat; clarifies origin (tubal vs. ovarian) | More expensive and less accessible; reserved for uncertain cases; not first-line, despite superior characterization |
| PET-CT | Highly sensitive for metabolically active malignancy, metastasis, and recurrence evaluations | Detects sites missed by CT/MRI; useful for oncologic staging | Not suitable for initial diagnosis of benign lesions; limited ability to differentiate benign from malignant adnexal masses |
Disclaimer/Publisher’s Note: The statements, opinions and data contained in all publications are solely those of the individual author(s) and contributor(s) and not of MDPI and/or the editor(s). MDPI and/or the editor(s) disclaim responsibility for any injury to people or property resulting from any ideas, methods, instructions or products referred to in the content. |
© 2026 by the authors. Licensee MDPI, Basel, Switzerland. This article is an open access article distributed under the terms and conditions of the Creative Commons Attribution (CC BY) license.
Share and Cite
Hsieh, W.-L.; Ding, D.-C. Paratubal Leiomyoma Mimicking Ovarian Malignancy: A Case Report and Literature Review. Diagnostics 2026, 16, 218. https://doi.org/10.3390/diagnostics16020218
Hsieh W-L, Ding D-C. Paratubal Leiomyoma Mimicking Ovarian Malignancy: A Case Report and Literature Review. Diagnostics. 2026; 16(2):218. https://doi.org/10.3390/diagnostics16020218
Chicago/Turabian StyleHsieh, Wen-Lin, and Dah-Ching Ding. 2026. "Paratubal Leiomyoma Mimicking Ovarian Malignancy: A Case Report and Literature Review" Diagnostics 16, no. 2: 218. https://doi.org/10.3390/diagnostics16020218
APA StyleHsieh, W.-L., & Ding, D.-C. (2026). Paratubal Leiomyoma Mimicking Ovarian Malignancy: A Case Report and Literature Review. Diagnostics, 16(2), 218. https://doi.org/10.3390/diagnostics16020218

