Sign in to use this feature.

Years

Between: -

Subjects

remove_circle_outline
remove_circle_outline
remove_circle_outline
remove_circle_outline
remove_circle_outline
remove_circle_outline
remove_circle_outline
remove_circle_outline
remove_circle_outline

Journals

remove_circle_outline
remove_circle_outline
remove_circle_outline
remove_circle_outline
remove_circle_outline
remove_circle_outline
remove_circle_outline
remove_circle_outline
remove_circle_outline
remove_circle_outline

Article Types

Countries / Regions

remove_circle_outline
remove_circle_outline
remove_circle_outline
remove_circle_outline
remove_circle_outline

Search Results (504)

Search Parameters:
Keywords = motion artifact

Order results
Result details
Results per page
Select all
Export citation of selected articles as:
22 pages, 2326 KB  
Article
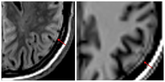
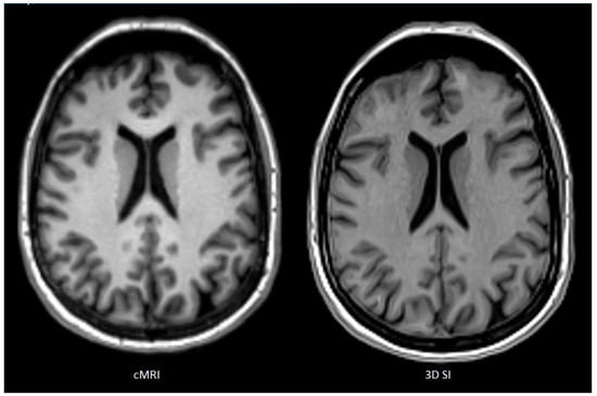
Clinical Image Quality and Reader Variability in 3D Synthetic Brain MRI Compared with Conventional MRI
by Alexander von Hessling, Chloé Sieber, Maria Blatow, Christian Berner, Dirk Lehnick and Frauke Kellner-Weldon
Tomography 2026, 12(2), 13; https://doi.org/10.3390/tomography12020013 (registering DOI) - 23 Jan 2026
Abstract
Background/Objectives: This study evaluated the clinical image quality of three-dimensional synthetic MRI (3D SI) compared with conventional MRI (cMRI), focusing on tissue contrast, anatomical detail, and motion sensitivity. Methods: Patients with nonspecific neurological symptoms were included. Both cMRI and 3D SI [...] Read more.
Background/Objectives: This study evaluated the clinical image quality of three-dimensional synthetic MRI (3D SI) compared with conventional MRI (cMRI), focusing on tissue contrast, anatomical detail, and motion sensitivity. Methods: Patients with nonspecific neurological symptoms were included. Both cMRI and 3D SI were acquired on single-vendor 1.5 T and 3 T scanners with slice thicknesses of 1.0–1.7 mm. Two experienced neuroradiologists and one fellow independently evaluated matched scans using a 0–100 scale. Assessed parameters included signal-to-noise ratio (SNR), gray–white matter contrast, artifacts, motion robustness, and confidence in detecting perivascular spaces, white matter lesions, and subtle pathology. Interrater agreement was measured using Krippendorff’s alpha and ICC2. Multiple linear regression analyzed associations between image quality ratings and imaging method. Results: Images of 31 patients were analyzed. Three-dimensional SI demonstrated sufficient-to-good overall image quality and high robustness to motion. Cortical-surface-to-cerebrospinal-fluid contrast on FLAIR was rated lower for 3D SI than for cMRI. False-positive lesion detection occurred more frequently on 3D SI FLAIR, particularly among experienced readers. cMRI achieved significantly higher T1-weighted SNR than 3D SI (8.76 points, p < 0.001). Experienced readers consistently rated SNR and tissue contrast higher than the fellow. Vascular signal range was broader on 3D SI, reducing sensitivity to vascular abnormalities. Conclusions: Three-dimensional synthetic MRI provides clinically usable image quality and fulfills its primary diagnostic purpose, offering advantages in acquisition efficiency and robustness to motion. Nevertheless, limitations in cortical contrast, vascular signal characterization, and reader-dependent interpretive variability constrain its reliability for subtle or detail-critical findings. Full article
(This article belongs to the Section Neuroimaging)
Show Figures

Figure 1

12 pages, 1222 KB  
Article
Impact of Deep-Learning-Based Respiratory Motion Correction on [18F] FDG PET/CT Test–Retest Reliability and Consistency of Tumor Quantification in Patients with Lung Cancer
by Shijia Weng, Limei Jiang, Runze Wu, Yuanyan Cao, Yuan Li and Qian Wang
Biomedicines 2026, 14(1), 245; https://doi.org/10.3390/biomedicines14010245 - 21 Jan 2026
Abstract
Objectives: Respiratory motion degrades the quantitative accuracy and test–retest (TRT) reliability of fluorine-18 fluorodeoxyglucose ([18F] FDG) positron emission tomography (PET)/computed tomography (CT) in lung cancer. This study investigated whether a deep-learning-based respiratory motion correction (RMC) method improves the TRT reliability and [...] Read more.
Objectives: Respiratory motion degrades the quantitative accuracy and test–retest (TRT) reliability of fluorine-18 fluorodeoxyglucose ([18F] FDG) positron emission tomography (PET)/computed tomography (CT) in lung cancer. This study investigated whether a deep-learning-based respiratory motion correction (RMC) method improves the TRT reliability and image quality of [18F] FDG PET tumor quantification compared with non-motion-corrected (NMC) reconstructions. Methods: Thirty-one patients with primary lung cancer underwent three PET acquisitions: whole body free breathing (Scan1), thoracic free breathing (Scan2), and thoracic controlled breathing (ScanCB). Each dataset was reconstructed with and without RMC. Visual assessments of liver motion artifacts, lesion clarity, and PET-CT co-registration were scored. Lung tumors were segmented to derive standardized uptake value max (SUVmax), SUVmean, metabolic tumor volume (MTV), PET-derived lesion length (PLL), and total lesion glycolysis (TLG). Visual image scores and TRT reliability of tumor quantification were compared using Kruskal–Wallis one-way analysis of variance and intraclass correlation coefficients (ICCs). Results: RMC reconstructions achieved higher visual scores of lesion clarity and PET-CT co-registration across all lung lobes and significantly reduced liver motion artifacts compared with NMC reconstructions. Differences in SUVmax, SUVmean, PLL, MTV, and TLG between Scan2 and ScanCB were significantly smaller with RMC than with NMC. ICCs for SUVmax, SUVmean, MTV, and TLG were higher between scans with RMC than NMC reconstructions, indicating improved TRT reliability. Conclusions: The deep-learning-based RMC method improved the image quality and TRT reproducibility of [18F] FDG PET/CT quantification in lung cancer, supporting its potential for routine adoption in therapy-response assessments. Full article
(This article belongs to the Section Molecular and Translational Medicine)
Show Figures

Figure 1

33 pages, 1245 KB  
Article
Domain-Adaptive MRI Learning Model for Precision Diagnosis of CNS Tumors
by Wiem Abdelbaki, Hend Alshaya, Inzamam Mashood Nasir, Sara Tehsin, Salwa Said and Wided Bouchelligua
Biomedicines 2026, 14(1), 235; https://doi.org/10.3390/biomedicines14010235 - 21 Jan 2026
Abstract
Background: Diagnosing CNS tumors through MRI is limited by significant variability in scanner hardware, acquisition protocols, and intensity characteristics at clinical centers, resulting in substantial domain shifts that lead to diminished reliability for automated models. Methods: We present a Domain-Adaptive MRI Learning Model [...] Read more.
Background: Diagnosing CNS tumors through MRI is limited by significant variability in scanner hardware, acquisition protocols, and intensity characteristics at clinical centers, resulting in substantial domain shifts that lead to diminished reliability for automated models. Methods: We present a Domain-Adaptive MRI Learning Model (DA-MLM) consisting of an adversarially aligned hybrid 3D CNN–transformer encoder with contrastive regularization and covariance-based feature harmonization. Varying sequence MRI inputs (T1, T1ce, T2, and FLAIR) were inputted to multi-scale convolutional layers followed by global self-attention to effectively capture localized tumor structure and long-range spatial context, with domain adaptation that harmonizes feature distribution across datasets. Results: On the BraTS 2020 dataset, we found DA-MLM achieved 94.8% accuracy, 93.6% macro-F1, and 96.2% AUC, improving upon previously established benchmarks by 2–4%. DA-MLM also attained Dice score segmentation of 93.1% (WT), 91.4% (TC), and 89.5% (ET), improving upon 2–3.5% for CNN and transformer methods. On the REMBRANDT dataset, DA-MLM achieved 92.3% accuracy with segmentation improvements of 3–7% over existing U-Net and expert annotations. Robustness testing indicated 40–60% less degradation under noise, contrast shift, and motion artifacts, and synthetic shifts in scanner location showed negligible performance impairment (<0.06). Cross-domain evaluation also demonstrated 5–11% less degradation than existing methods. Conclusions: In summary, DA-MLM demonstrates improved accuracy, segmentation fidelity, and robustness to perturbations, as well as strong cross-domain generalization indicating the suitability for deployment in multicenter MRI applications where variation in imaging performance is unavoidable. Full article
(This article belongs to the Special Issue Diagnosis, Pathogenesis and Treatment of CNS Tumors (2nd Edition))
Show Figures

Figure 1

17 pages, 1423 KB  
Article
Residual Motion Correction in Low-Dose Myocardial CT Perfusion Using CNN-Based Deformable Registration
by Mahmud Hasan, Aaron So and Mahmoud R. El-Sakka
Electronics 2026, 15(2), 450; https://doi.org/10.3390/electronics15020450 - 20 Jan 2026
Abstract
Dynamic myocardial CT perfusion imaging enables functional assessment of coronary artery stenosis and myocardial microvascular disease. However, it is susceptible to residual motion artifacts arising from cardiac and respiratory activity. These artifacts introduce temporal misalignments, distorting Time-Enhancement Curves (TECs) and leading to inaccurate [...] Read more.
Dynamic myocardial CT perfusion imaging enables functional assessment of coronary artery stenosis and myocardial microvascular disease. However, it is susceptible to residual motion artifacts arising from cardiac and respiratory activity. These artifacts introduce temporal misalignments, distorting Time-Enhancement Curves (TECs) and leading to inaccurate myocardial perfusion measurements. Traditional nonrigid registration methods can address such motion but are often computationally expensive and less effective when applied to low-dose images, which are prone to increased noise and structural degradation. In this work, we present a CNN-based motion-correction framework specifically trained for low-dose cardiac CT perfusion imaging. The model leverages spatiotemporal patterns to estimate and correct residual motion between time frames, aligning anatomical structures while preserving dynamic contrast behaviour. Unlike conventional methods, our approach avoids iterative optimization and manually defined similarity metrics, enabling faster, more robust corrections. Quantitative evaluation demonstrates significant improvements in temporal alignment, with reduced Target Registration Error (TRE) and increased correlation between voxel-wise TECs and reference curves. These enhancements enable more accurate myocardial perfusion measurements. Noise from low-dose scans affects registration performance, but this remains an open challenge. This work emphasizes the potential of learning-based methods to perform effective residual motion correction under challenging acquisition conditions, thereby improving the reliability of myocardial perfusion assessment. Full article
Show Figures

Figure 1

42 pages, 7497 KB  
Article
Vertically Constrained LiDAR-Inertial SLAM in Dynamic Environments
by Shuangfeng Wei, Junfeng Qiu, Anpeng Shen, Keming Qu and Tong Yang
Appl. Sci. 2026, 16(2), 1046; https://doi.org/10.3390/app16021046 - 20 Jan 2026
Abstract
With the advancement of Light Detection and Ranging (LiDAR) technology and computer science, LiDAR–Inertial Simultaneous Localization and Mapping (SLAM) has become essential in autonomous driving, robotic navigation, and 3D reconstruction. However, dynamic objects such as pedestrians and vehicles, with complex terrain conditions, pose [...] Read more.
With the advancement of Light Detection and Ranging (LiDAR) technology and computer science, LiDAR–Inertial Simultaneous Localization and Mapping (SLAM) has become essential in autonomous driving, robotic navigation, and 3D reconstruction. However, dynamic objects such as pedestrians and vehicles, with complex terrain conditions, pose serious challenges to existing SLAM systems. These factors introduce artifacts into the acquired point clouds and result in significant vertical drift in SLAM trajectories. To address these challenges, this study focuses on controlling vertical drift errors in LiDAR–Inertial SLAM systems operating in dynamic environments. The research focuses on three key aspects: ground point segmentation, dynamic artifact removal, and vertical drift optimization. In order to improve the robustness of ground point segmentation operations, this study proposes a method based on a concentric sector model. This method divides point clouds into concentric regions and fits flat surfaces within each region to accurately extract ground points. To mitigate the impact of dynamic objects on map quality, this study proposes a removal algorithm that combines multi-frame residual analysis with curvature-based filtering. Specifically, the algorithm tracks residual changes in non-ground points across consecutive frames to detect inconsistencies caused by motion, while curvature features are used to further distinguish moving objects from static structures. This combined approach enables effective identification and removal of dynamic artifacts, resulting in a reduction in vertical drift. Full article
Show Figures

Figure 1

18 pages, 10969 KB  
Article
Simulation Data-Based Dual Domain Network (Sim-DDNet) for Motion Artifact Reduction in MR Images
by Seong-Hyeon Kang, Jun-Young Chung, Youngjin Lee and for The Alzheimer’s Disease Neuroimaging Initiative
Magnetochemistry 2026, 12(1), 14; https://doi.org/10.3390/magnetochemistry12010014 (registering DOI) - 20 Jan 2026
Abstract
Brain magnetic resonance imaging (MRI) is highly susceptible to motion artifacts that degrade fine structural details and undermine quantitative analysis. Conventional U-Net-based deep learning approaches for motion artifact reduction typically operate only in the image domain and are often trained on data with [...] Read more.
Brain magnetic resonance imaging (MRI) is highly susceptible to motion artifacts that degrade fine structural details and undermine quantitative analysis. Conventional U-Net-based deep learning approaches for motion artifact reduction typically operate only in the image domain and are often trained on data with simplified motion patterns, thereby limiting physical plausibility and generalization. We propose Sim-DDNet, a simulation-data-based dual-domain network that combines k-space-based motion simulation with a joint image-k-space reconstruction architecture. Motion-corrupted data were generated from T2-weighted Alzheimer’s Disease Neuroimaging Initiative brain MR scans using a k-space replacement scheme with three to five random rotational and translational events per volume, yielding 69,283 paired samples (49,852/6969/12,462 for training/validation/testing). Sim-DDNet integrates a real-valued U-Net-like image branch and a complex-valued k-space branch using cross attention, FiLM-based feature modulation, soft data consistency, and composite loss comprising L1, structural similarity index measure (SSIM), perceptual, and k-space-weighted terms. On the independent test set, Sim-DDNet achieved a peak signal-to-noise ratio of 31.05 dB, SSIM of 0.85, and gradient magnitude similarity deviation of 0.077, consistently outperforming U-Net and U-Net++ across all three metrics while producing less blurring, fewer residual ghost/streak artifacts, and reduced hallucination of non-existent structures. These results indicate that dual-domain, data-consistency-aware learning, which explicitly exploits k-space information, is a promising approach for physically plausible motion artifact correction in brain MRI. Full article
(This article belongs to the Special Issue Magnetic Resonances: Current Applications and Future Perspectives)
Show Figures

Figure 1

12 pages, 601 KB  
Article
Association Between Rehabilitation Frequency and Functional Outcomes After Burn Injury: A Single-Center Retrospective Analysis of Confounding by Indication
by Yazeed Temraz, Theeb Al Salem, Shaimaa Khan, Raghad Alshehri, Lina Alosaimi, Mariam Hantoul, Rahaf Alrajhi, Rayya Alabdali, Amal Bahumayim, Ibtihal Al Jafin, Fai Al Qazlan and Abdulmajeed Al Ehaideb
Eur. Burn J. 2026, 7(1), 6; https://doi.org/10.3390/ebj7010006 - 19 Jan 2026
Viewed by 57
Abstract
Objective: To identify key predictors of clinical outcomes in burn survivors and clarify the role of mixed-depth burns and confounding by indication in observational rehabilitation research. Design: Retrospective cohort study using data from a burn rehabilitation registry (January 2024 to July 2025). Setting: [...] Read more.
Objective: To identify key predictors of clinical outcomes in burn survivors and clarify the role of mixed-depth burns and confounding by indication in observational rehabilitation research. Design: Retrospective cohort study using data from a burn rehabilitation registry (January 2024 to July 2025). Setting: Burn rehabilitation center. Participants: 120 adult patients (age ≥ 18 years) with burns affecting ≥1% total body surface area (TBSA) and complete baseline data. Interventions: Not applicable. Main Outcome Measures: Primary outcome was functional improvement (ΔFIM). Secondary outcomes included pain reduction (ΔPain), scar severity (Vancouver Scar Scale; VSS), Activities of Daily Living (ADL) improvement, and Range of Motion (ROM) recovery. Multivariable linear and logistic regression models were used to identify predictors. Results: Patients achieved significant improvements in function (mean ΔFIM = 11.3 ± 8.9 points) and pain (mean ΔPain = 1.28 ± 0.81). Having a mixed-depth burn was the strongest predictor of worse scar outcomes (β = 2.52, 95% CI: 0.93 to 4.12, p = 0.002) and failure to achieve full ROM (OR = 0.089, 95% CI: 0.008 to 0.930, p = 0.043). An apparent association between inpatient ward care and better scar outcomes (β = −1.30, p = 0.020) was determined to be an artifact of confounding by indication, as the outpatient group had a higher proportion of high-risk mixed-depth burns (6.2% vs. 3.5%). Longer therapy duration was the only significant predictor of achieving ADL goals (OR = 1.014, 95% CI: 1.002 to 1.026, p = 0.025). Conclusions: Injury characteristics, particularly the presence of a mixed-depth burn, emerged as the dominant predictors of long-term scar and functional outcomes. This study identifies mixed-depth burns as a potentially high-risk clinical phenotype requiring targeted therapeutic strategies and demonstrates the critical importance of accounting for confounding by indication when evaluating rehabilitation outcomes in observational burn research. Full article
Show Figures

Graphical abstract

10 pages, 833 KB  
Article
Real-World Integration of an Automated Tool for Intracranial Hemorrhage Detection in an Unselected Cohort of Emergency Department Patients—An External Validation Study
by Ronald Antulov, Martin Weber Kusk, Gustav Højrup Knudsen, Sune Eisner Lynggaard, Simon Lysdahlgaard and Vladimir Antonov
Diagnostics 2026, 16(2), 282; https://doi.org/10.3390/diagnostics16020282 - 16 Jan 2026
Viewed by 117
Abstract
Background/Objectives: Intracranial hemorrhage (ICH) is a life-threatening condition that can be rapidly detected by non-contrast head computed tomography (NCCT). RAPID ICH is a deep learning (DL) tool for automatic ICH identification using NCCT. Our aim was to assess the real-world performance of [...] Read more.
Background/Objectives: Intracranial hemorrhage (ICH) is a life-threatening condition that can be rapidly detected by non-contrast head computed tomography (NCCT). RAPID ICH is a deep learning (DL) tool for automatic ICH identification using NCCT. Our aim was to assess the real-world performance of RAPID ICH compared to that of a first-year radiology resident on consecutively acquired NCCTs from patients referred from the Emergency Department. Methods: This single-center retrospective cohort study included NCCTs acquired on the same CT scanner over three months. Exclusion criteria were motion or metallic artifacts that substantially degraded the NCCT quality and incomplete NCCTs. Two senior neuroradiologists conducted ground-truth labeling of the NCCTs regarding ICH presence in a binary manner. The first-year radiology resident assessed NCCTs for ICH presence and was blinded to the ground-truth labeling. Sensitivity, specificity, positive predictive value (PPV), and negative predictive value (NPV) were computed for the RAPID ICH identifications and for the first-year radiology resident’s ICH identifications. Results: After applying exclusion criteria, 844 NCCTs remained. Ground-truth labeling found ICH in 63 NCCTs. RAPID ICH showed 87.3% sensitivity, 74% specificity, 21.3% PPV, and 98.6% NPV, while the first-year radiology resident achieved 95.2% sensitivity, 90.8% specificity, 45.5% PPV, and 99.6% NPV. There were 8 false-negative and 203 false-positive RAPID ICH identifications. Conclusions: RAPID ICH’s sensitivity and specificity were lower than in prior studies performed using RAPID ICH, and there was a high number of false-positive RAPID ICH identifications, limiting the generalizability of the assessed version of this DL tool. Testing DL tools by comparing them with radiologists of varying experience can provide valuable insights into their performance. Full article
(This article belongs to the Section Medical Imaging and Theranostics)
Show Figures

Figure 1

28 pages, 4481 KB  
Article
Smart Steering Wheel Prototype for In-Vehicle Vital Sign Monitoring
by Branko Babusiak, Maros Smondrk, Lubomir Trpis, Tomas Gajdosik, Rudolf Madaj and Igor Gajdac
Sensors 2026, 26(2), 477; https://doi.org/10.3390/s26020477 - 11 Jan 2026
Viewed by 347
Abstract
Drowsy driving and sudden medical emergencies are major contributors to traffic accidents, necessitating continuous, non-intrusive driver monitoring. Since current technologies often struggle to balance accuracy with practicality, this study presents the design, fabrication, and validation of a smart steering wheel prototype. The device [...] Read more.
Drowsy driving and sudden medical emergencies are major contributors to traffic accidents, necessitating continuous, non-intrusive driver monitoring. Since current technologies often struggle to balance accuracy with practicality, this study presents the design, fabrication, and validation of a smart steering wheel prototype. The device integrates dry-contact electrocardiogram (ECG), photoplethysmography (PPG), and inertial sensors to facilitate multimodal physiological monitoring. The system underwent a two-stage evaluation involving a single participant: laboratory validation benchmarking acquired signals against medical-grade equipment, followed by real-world testing in a custom electric research vehicle to assess performance under dynamic conditions. Laboratory results demonstrated that the prototype captured high-quality signals suitable for reliable heart rate variability analysis. Furthermore, on-road evaluation confirmed the system’s operational functionality; despite increased noise from motion artifacts, the ECG signal remained sufficiently robust for continuous R-peak detection. These findings confirm that the multimodal smart steering wheel is a feasible solution for unobtrusive driver monitoring. This integrated platform provides a solid foundation for developing sophisticated machine-learning algorithms to enhance road safety by predicting fatigue and detecting adverse health events. Full article
(This article belongs to the Section Electronic Sensors)
Show Figures

Figure 1

26 pages, 3995 KB  
Article
Neural Vessel Segmentation and Gaussian Splatting for 3D Reconstruction of Cerebral Angiography
by Oleh Kryvoshei, Patrik Kamencay and Ladislav Polak
AI 2026, 7(1), 22; https://doi.org/10.3390/ai7010022 - 10 Jan 2026
Viewed by 242
Abstract
Cerebrovascular diseases are a leading cause of global mortality, underscoring the need for objective and quantitative 3D visualization of cerebral vasculature from dynamic imaging modalities. Conventional analysis is often labor-intensive, subjective, and prone to errors due to image noise and subtraction artifacts. This [...] Read more.
Cerebrovascular diseases are a leading cause of global mortality, underscoring the need for objective and quantitative 3D visualization of cerebral vasculature from dynamic imaging modalities. Conventional analysis is often labor-intensive, subjective, and prone to errors due to image noise and subtraction artifacts. This study tackles the challenge of achieving fast and accurate volumetric reconstruction from angiography sequences. We propose a multi-stage pipeline that begins with image restoration to enhance input quality, followed by neural segmentation to extract vascular structures. Camera poses and sparse geometry are estimated through Structure-from-Motion, and these reconstructions are refined by leveraging the segmentation maps to isolate vessel-specific features. The resulting data are then used to initialize and optimize a 3D Gaussian Splatting model, enabling anatomically precise representation of cerebral vasculature. The integration of deep neural segmentation priors with explicit geometric initialization yields highly detailed 3D reconstructions of cerebral angiography. The resulting models leverage the computational efficiency of 3D Gaussian Splatting, achieving near-real-time rendering performance competitive with state-of-the-art reconstruction methods. The segmentation of brain vessels using nnU-Net and our trained model achieved an accuracy of 84.21%, highlighting the improvement in the performance of the proposed approach. Overall, our pipeline significantly improves both the efficiency and accuracy of volumetric cerebral vasculature reconstruction, providing a robust foundation for quantitative clinical analysis and enhanced guidance during endovascular procedures. Full article
Show Figures

Figure 1

26 pages, 7144 KB  
Article
Atrial Fibrillation Detection from At-Rest PPG Signals Using an SDOF-TF Method
by Mamun Hasan and Zhili Hao
Sensors 2026, 26(2), 416; https://doi.org/10.3390/s26020416 - 8 Jan 2026
Viewed by 188
Abstract
At-rest PPG signals have been explored for detecting atrial fibrillation (AF), yet current signal-processing techniques do not achieve perfect accuracy even under low-motion artifact (MA) conditions. This study evaluates the effectiveness of a single-degree-of-freedom time–frequency (SDOF-TF) method in analyzing at-rest PPG signals for [...] Read more.
At-rest PPG signals have been explored for detecting atrial fibrillation (AF), yet current signal-processing techniques do not achieve perfect accuracy even under low-motion artifact (MA) conditions. This study evaluates the effectiveness of a single-degree-of-freedom time–frequency (SDOF-TF) method in analyzing at-rest PPG signals for AF detection. The method leverages the influence of MA on the instant parameters of each harmonic, which is identified using an SDOF model in which the tissue–contact–sensor (TCS) stack is treated as an SDOF system. In this model, MA induces baseline drift and time-varying system parameters. The SDOF-TF method enables the quantification and removal of MA and noise, allowing for the accurate extraction of the arterial pulse waveform, heart rate (HR), heart rate variability (HRV), respiration rate (RR), and respiration modulation (RM). Using data from the MIMIC PERform AF dataset, the method achieved 100% accuracy in distinguishing AF from non-AF cases based on three features: (1) RM, (2) HRV derived from instant frequency and instant initial phase, and (3) standard deviation of HR across harmonics. Compared with non-AF, the RM for each harmonic was increased by AF. RM exhibited an increasing trend with harmonic order in non-AF subjects, whereas this trend was diminished in AF subjects. Full article
Show Figures

Figure 1

18 pages, 7305 KB  
Article
SERail-SLAM: Semantic-Enhanced Railway LiDAR SLAM
by Weiwei Song, Shiqi Zheng, Xinye Dai, Xiao Wang, Yusheng Wang, Zihao Wang, Shujie Zhou, Wenlei Liu and Yidong Lou
Machines 2026, 14(1), 72; https://doi.org/10.3390/machines14010072 - 7 Jan 2026
Viewed by 277
Abstract
Reliable state estimation in railway environments presents significant challenges due to geometric degeneracy resulting from repetitive structural layouts and point cloud sparsity caused by high-speed motion. Conventional LiDAR-based SLAM systems frequently suffer from longitudinal drift and mapping artifacts when operating in such feature-scarce [...] Read more.
Reliable state estimation in railway environments presents significant challenges due to geometric degeneracy resulting from repetitive structural layouts and point cloud sparsity caused by high-speed motion. Conventional LiDAR-based SLAM systems frequently suffer from longitudinal drift and mapping artifacts when operating in such feature-scarce and dynamically complex scenarios. To address these limitations, this paper proposes SERail-SLAM, a robust semantic-enhanced multi-sensor fusion framework that tightly couples LiDAR odometry, inertial pre-integration, and GNSS constraints. Unlike traditional approaches that rely on rigid voxel grids or binary semantic masking, we introduce a Semantic-Enhanced Adaptive Voxel Map. By leveraging eigen-decomposition of local point distributions, this mapping strategy dynamically preserves fine-grained stable structures while compressing redundant planar surfaces, thereby enhancing spatial descriptiveness. Furthermore, to mitigate the impact of environmental noise and segmentation uncertainty, a confidence-aware filtering mechanism is developed. This method utilizes raw segmentation probabilities to adaptively weight input measurements, effectively distinguishing reliable landmarks from clutter. Finally, a category-weighted joint optimization scheme is implemented, where feature associations are constrained by semantic stability priors, ensuring globally consistent localization. Extensive experiments in real-world railway datasets demonstrate that the proposed system achieves superior accuracy and robustness compared to state-of-the-art geometric and semantic SLAM methods. Full article
(This article belongs to the Special Issue Dynamic Analysis and Condition Monitoring of High-Speed Trains)
Show Figures

Figure 1

20 pages, 397 KB  
Review
Non-Contact Measurement of Human Vital Signs in Dynamic Conditions Using Microwave Techniques: A Review
by Marek Ostrysz, Zenon Szczepaniak and Tadeusz Sondej
Sensors 2026, 26(2), 359; https://doi.org/10.3390/s26020359 - 6 Jan 2026
Viewed by 303
Abstract
This article reviews recent advances in microwave and radar techniques for non-contact measurement of human vital signs in dynamic conditions. The focus is on solutions that work when the subject is moving or performing everyday activities, rather than lying motionless in clinical settings. [...] Read more.
This article reviews recent advances in microwave and radar techniques for non-contact measurement of human vital signs in dynamic conditions. The focus is on solutions that work when the subject is moving or performing everyday activities, rather than lying motionless in clinical settings. This review covers innovative biodegradable and flexible antenna designs for wearable devices operating in multiple frequency bands and supporting efficient 5G/IoT connectivity. Particular attention is paid to ultra-wideband (UWB) radar, Doppler sensors, and microwave reflectometry combined with advanced signal-processing and deep learning algorithms for robust estimation of respiration, heart rate, and other cardiopulmonary parameters in the presence of body motion. Applications in telemedicine, home monitoring, sports, and search and rescue are discussed, including localization of people trapped under rubble by detecting their vital sign signatures at a distance. This paper also highlights key challenges such as inter-subject anatomical variability, motion artifacts, hardware miniaturization, and energy efficiency, which still limit widespread deployment. Finally, related developments in microwave imaging and early detection of pathological tissue changes are briefly outlined, highlighting the shared components and processing methods. In general, microwave techniques show strong potential for unobtrusive, continuous, and environmentally sustainable monitoring of human physiological activity, supporting future healthcare and safety systems. Full article
(This article belongs to the Special Issue Feature Review Papers in Intelligent Sensors)
Show Figures

Figure 1

14 pages, 2415 KB  
Article
Improved Quantification of ICG Perfusion Through Motion Compensation in Fluorescence-Guided Surgery
by Sermed Ellebæk Nicolae, Thomas Baastrup Piper, Nikolaj Albeck Nerup, Michael Patrick Achiam and Morten Bo Søndergaard Svendsen
Diagnostics 2026, 16(2), 176; https://doi.org/10.3390/diagnostics16020176 - 6 Jan 2026
Viewed by 203
Abstract
Background/Objectives: Motion artifacts significantly distort fluorescence measurements during surgical perfusion assessment, potentially leading to incorrect clinical decisions. This study evaluates the efficacy of automated motion compensation (MC) in quantitative indocyanine green (q-ICG) imaging to improve the accuracy of perfusion assessment. Methods: [...] Read more.
Background/Objectives: Motion artifacts significantly distort fluorescence measurements during surgical perfusion assessment, potentially leading to incorrect clinical decisions. This study evaluates the efficacy of automated motion compensation (MC) in quantitative indocyanine green (q-ICG) imaging to improve the accuracy of perfusion assessment. Methods: Frames from ICG perfusion assessment during 17 pancreaticoduodenectomies were analyzed. Regions of interest (ROIs) were systematically placed on each frame series, and automated MC was applied to track tissue movement. Performance was evaluated by comparing MC with surgeon-adjusted placement using multiple image quality metrics and analyzing perfusion metrics on time–intensity curves. Principal Component Analysis (PCA) was applied to explore whether image patterns could distinguish between successful and unsuccessful motion compensation. Results: Automated motion compensation successfully corrected motion artifacts in 67.5% of frame sequences, achieving comparable performance to surgeon-guided adjustments. PCA demonstrated clear separation between sufficient and insufficient corrections (AUC = 0.80). At the population level, MC did not significantly change perfusion slope (t(59) = 1.60, p = 0.11) or time-to-peak (Tmax; t(58) = 0.81, p = 0.42). Bland–Altman analysis showed a mean bias of −0.54 (SD = 3.32) for slope and 24.95 (SD = 238.40) for Tmax. At the individual level, 86.7% of slope and 79.7% of Tmax values differed by ≥10% after MC, with mean absolute percentage changes of 108.5% (median 37.8%) and 431.5% (median 65.9%), respectively. Conclusions: MC effectively reduces motion artifacts in fluorescence-guided perfusion assessment. By improving the precision of ICG-derived parameters, this technology enhances measurement reliability and represents an enabler for accurate intraoperative perfusion quantification. Full article
(This article belongs to the Section Medical Imaging and Theranostics)
Show Figures

Figure 1

21 pages, 2865 KB  
Article
Multimodal Clustering and Spatiotemporal Analysis of Wearable Sensor Data for Occupational Health Risk Monitoring
by Yangsheng Wang, Shukun Lai, Honglin Mu, Shenyang Xu, Rong Hu and Chih-Yu Hsu
Technologies 2026, 14(1), 38; https://doi.org/10.3390/technologies14010038 - 5 Jan 2026
Viewed by 277
Abstract
Accurate interpretation of multimodal wearable data remains challenging in occupational environments due to heterogeneous sensing modalities, motion artifacts, and dynamic work conditions. This study proposes and validates an adaptive multimodal clustering framework for occupational health monitoring. The framework jointly models physiological, activity, and [...] Read more.
Accurate interpretation of multimodal wearable data remains challenging in occupational environments due to heterogeneous sensing modalities, motion artifacts, and dynamic work conditions. This study proposes and validates an adaptive multimodal clustering framework for occupational health monitoring. The framework jointly models physiological, activity, and location data from 24 highway-maintenance workers, incorporating a silhouette-guided feature-weighting mechanism, multi-scale temporal change-point detection, and KDE-based spatial analysis. Specifically, the analysis identified three distinct and interpretable behavioral–physiological states that exhibit significant physiological differences (p < 0.001). Notably, it reveals a predominant yet heterogeneous baseline state alongside acute high-intensity and episodic surge states, offering a nuanced view of occupational risk beyond single-modality thresholds. The integrated framework provides a principled analytical workflow for spatiotemporal health risk assessment in field settings, particularly for vibration-intensive work scenarios, while highlighting the complementary role of physiological indicators in low- or static-motion tasks. This framework is particularly effective for vibration-intensive tasks involving powered tools. However, to mitigate potential biases in detecting static heavy-load activities with limited wrist motion (e.g., lifting or carrying), future extensions should incorporate complementary weighting of physiological indicators such as heart rate variability. Full article
Show Figures

Graphical abstract

Back to TopTop