Sign in to use this feature.

Years

Between: -

Subjects

remove_circle_outline
remove_circle_outline
remove_circle_outline
remove_circle_outline
remove_circle_outline
remove_circle_outline

Journals

Article Types

Countries / Regions

Search Results (22)

Search Parameters:
Keywords = monoamine deficiency

Order results
Result details
Results per page
Select all
Export citation of selected articles as:
79 pages, 5283 KB  
Review
Monoamine Oxidase Inhibitors in Drug Discovery Against Parkinson’s Disease: An Update
by Luana Vergueiro Ribeiro, Larissa Emika Massuda, Vanessa Silva Gontijo and Claudio Viegas Jr.
Pharmaceuticals 2025, 18(10), 1526; https://doi.org/10.3390/ph18101526 (registering DOI) - 10 Oct 2025
Abstract
Background: Parkinson’s disease (PD) is a progressive neurodegenerative disorder with substantial socioeconomic impact, characterized by the gradual loss of dopaminergic neurons, dopamine deficiency, and pathological processes such as neuroinflammation, oxidative stress, and α-synuclein aggregation. Monoamine oxidases (MAOs) are enzymes responsible for the degradation [...] Read more.
Background: Parkinson’s disease (PD) is a progressive neurodegenerative disorder with substantial socioeconomic impact, characterized by the gradual loss of dopaminergic neurons, dopamine deficiency, and pathological processes such as neuroinflammation, oxidative stress, and α-synuclein aggregation. Monoamine oxidases (MAOs) are enzymes responsible for the degradation of neuroactive amines, including dopamine, a neurotransmitter essential for motor, cognitive, and behavioral functions. Among these, MAO-B plays a central role in dopamine metabolism, producing reactive metabolites and oxidative species that contribute to the oxidative stress associated with PD pathophysiology. In this context, MAO-B inhibition has emerged as a promising therapeutic strategy. However, specific limitations, such as motor complications linked to prolonged levodopa use and the adverse effects of currently available MAO inhibitors, remain significant clinical challenges. Methods: A comprehensive literature search was conducted using PubMed and SciFinder databases. Keywords such as “MAO inhibitors”, “Parkinson’s pathology,” and “Parkinson’s disease” were combined with Boolean operators (AND, OR, NOT). The search covered publications from 2010 to 2025. Results: While previous reviews, particularly those by the groups of Guglielmi and Alborghetti, mainly emphasized the clinical use of MAO-B inhibitors and advances in patents, the present review identified approximately 300 compounds synthesized and evaluated as MAO inhibitors, encompassing diverse chemical classes. Among them, selective MAO-B inhibitors exhibited the greatest pharmacological potential, reinforcing the relevance of this isoform as a strategic target in PD therapy. Conclusion: These findings highlight the advances of Medicinal Chemistry in the development of novel MAO-B inhibitors, both as monotherapies for early-stage PD and as adjuvants to levodopa in advanced disease. Collectively, they emphasize the promise of MAO-B inhibitors as candidates for more effective therapeutic interventions in Parkinson’s disease. Full article
(This article belongs to the Special Issue Potential Pharmacotherapeutic Targets in Neurodegenerative Diseases)
Show Figures

Graphical abstract

20 pages, 5945 KB  
Article
Aging-Associated Amyloid-β Plaques and Neuroinflammation in Bottlenose Dolphins (Tursiops truncatus) and Novel Cognitive Health-Supporting Roles of Pentadecanoic Acid (C15:0)
by Stephanie Venn-Watson and Eric D. Jensen
Int. J. Mol. Sci. 2025, 26(8), 3746; https://doi.org/10.3390/ijms26083746 - 16 Apr 2025
Cited by 1 | Viewed by 6126
Abstract
There is an urgent need to identify interventions that broadly target aging-related cognitive decline and progression to Alzheimer’s disease (AD). Bottlenose dolphins (Tursiops truncatus) have histologic changes similar to AD in humans, and they also develop shared age-associated co-morbidities identified as [...] Read more.
There is an urgent need to identify interventions that broadly target aging-related cognitive decline and progression to Alzheimer’s disease (AD). Bottlenose dolphins (Tursiops truncatus) have histologic changes similar to AD in humans, and they also develop shared age-associated co-morbidities identified as risk factors for AD in humans, including type 2 diabetes, ferroptosis, and iron overload, which can be driven by nutritional C15:0 deficiency. We hypothesized that (1) dolphins would have amyloid beta (Aβ) plaques and neuroinflammation that paralleled that of humans in relation to age-related progression, quantitative concentration, and brain region; and (2) C15:0 would have dose-dependent activities relevant to protecting cognitive health. Quantitative immunohistochemistry staining was used to assess 68 tissues from archived brains of 19 Navy dolphins to evaluate associations among amyloid beta (Aβ) plaques and neuroinflammation by brain region, sex, and age group. Further, dose-dependent C15:0 activities, using a third-party panel intended to screen for potential AD therapeutics, were evaluated. Similar to humans, dolphins had the highest Aβ plaque density variation in the hippocampus (90th percentile of 4.95 plaques/mm2), where plaque density increased with age (p = 0.05). All measured markers of neuroinflammation were detected, including the highest concentrations of activated microglia (CD68+) in the hippocampus (0.46 ± 0.38 cells/mm2). C15:0 was a dose-dependent inhibitor of two targets, fatty acid amide hydrolase (FAAH) (IC50 2.5 µM, 89% maximum inhibition at 50 µM relative to URB597) and monoamine oxidase B (MAO-B) (IC50 19.4 µM, 70% maximum inhibition at 50 µM relative to R(-)-Deprenyl). These activities have demonstrated efficacy against Aβ formation and neuroinflammation, including protection of cognitive function in the hippocampus. These findings suggest that, in addition to protecting against AD co-morbidities, C15:0 may play a distinct role in supporting cognitive health, especially at higher concentrations. Full article
Show Figures

Figure 1

21 pages, 3643 KB  
Article
The Impact of Exposure to Iodine and Fluorine in Drinking Water on Thyroid Health and Intelligence in School-Age Children: A Cross-Sectional Investigation
by Siyu Liu, Xiaomeng Yu, Zhilei Xing, Peisen Ding, Yushan Cui and Hongliang Liu
Nutrients 2024, 16(17), 2913; https://doi.org/10.3390/nu16172913 - 31 Aug 2024
Cited by 6 | Viewed by 4396
Abstract
Iodine and fluorine, as halogen elements, are often coexisting in water environments, with nearly 200 million people suffering from fluorosis globally, and, in 11 countries and territories, adolescents have iodine intakes higher than that required for the prevention of iodine deficiency disorders. It [...] Read more.
Iodine and fluorine, as halogen elements, are often coexisting in water environments, with nearly 200 million people suffering from fluorosis globally, and, in 11 countries and territories, adolescents have iodine intakes higher than that required for the prevention of iodine deficiency disorders. It has been suggested that excess iodine and/or fluorine can affect thyroid health and intellectual development, especially in children, but their combined effect has been less studied in this population. This study investigated 399 school-age children in Tianjin, China, collected drinking water samples from areas where the school-age children lived, and grouped the respondents according to iodine and fluorine levels. Thyroid health was measured using thyroid hormone levels, thyroid volume, and the presence of thyroid nodules; intelligence quotient (IQ) was assessed using the Raven’s Progressive Matrices (CRT) test; and monoamine neurotransmitter levels were used to explore the potential relationship between thyroid health and intelligence. Multiple linear regression and restricted cubic spline (RCS) analyses showed that iodine and fluorine were positively correlated with thyroid volume and the incidence of thyroid nodules in school-age children, and negatively correlated with IQ; similar results were obtained in the secondary subgroups based on urinary iodine and urinary fluoride levels. Interaction analyses revealed a synergistic effect of iodine and fluorine. A pathway analysis showed that iodine and fluorine were negatively associated with the secretion of free triiodothyronine (FT3) and free tetraiodothyronine (FT4), which in turn were negatively associated with the secretion of thyroid-stimulating hormone (TSH). Iodine and fluorine may affect IQ in school-aged children through the above pathways that affect thyroid hormone secretion; of these, FT3 and TSH were negatively correlated with IQ, whereas FT4 was positively correlated with IQ. The relationship between thyroid hormones and monoamine neurotransmitters may involve the hypothalamic–pituitary–thyroid axis, with FT4 hormone concentrations positively correlating with dopamine (DA), norepinephrine (NE), and 5-hydroxytryptophan (5-HT) concentrations, and FT3 hormone concentrations positively correlating with DA concentrations. Monoamine neurotransmitters may play a mediating role in the effects of iodine and fluoride on intelligence in schoolchildren. However, this study has some limitations, as the data were derived from a cross-sectional study in Tianjin, China, and no attention was paid to the reciprocal effects of iodine and fluorine at different doses on thyroid health and intelligence in schoolchildren in other regions. Full article
(This article belongs to the Section Micronutrients and Human Health)
Show Figures

Figure 1

14 pages, 2821 KB  
Article
Effects of Bradykinin B2 Receptor Ablation from Tyrosine Hydroxylase Cells on Behavioral and Motor Aspects in Male and Female Mice
by Thaina Maquedo Franco, Mariana R. Tavares, Leonardo S. Novaes, Carolina D. Munhoz, Jose Eduardo Peixoto-Santos, Ronaldo C. Araujo, Jose Donato, Michael Bader and Frederick Wasinski
Int. J. Mol. Sci. 2024, 25(3), 1490; https://doi.org/10.3390/ijms25031490 - 25 Jan 2024
Viewed by 2061
Abstract
The kallikrein–kinin system is a versatile regulatory network implicated in various biological processes encompassing inflammation, nociception, blood pressure control, and central nervous system functions. Its physiological impact is mediated through G-protein-coupled transmembrane receptors, specifically the B1 and B2 receptors. Dopamine, a key catecholamine [...] Read more.
The kallikrein–kinin system is a versatile regulatory network implicated in various biological processes encompassing inflammation, nociception, blood pressure control, and central nervous system functions. Its physiological impact is mediated through G-protein-coupled transmembrane receptors, specifically the B1 and B2 receptors. Dopamine, a key catecholamine neurotransmitter widely distributed in the CNS, plays a crucial role in diverse physiological functions including motricity, reward, anxiety, fear, feeding, sleep, and arousal. Notably, the potential physical interaction between bradykinin and dopaminergic receptors has been previously documented. In this study, we aimed to explore whether B2R modulation in catecholaminergic neurons influences the dopaminergic pathway, impacting behavioral, metabolic, and motor aspects in both male and female mice. B2R ablation in tyrosine hydroxylase cells reduced the body weight and lean mass without affecting body adiposity, substrate oxidation, locomotor activity, glucose tolerance, or insulin sensitivity in mice. Moreover, a B2R deficiency in TH cells did not alter anxiety levels, exercise performance, or motor coordination in female and male mice. The concentrations of monoamines and their metabolites in the substantia nigra and cortex region were not affected in knockout mice. In essence, B2R deletion in TH cells selectively influenced the body weight and composition, leaving the behavioral and motor aspects largely unaffected. Full article
Show Figures

Figure 1

14 pages, 3716 KB  
Article
Obesity Impairs Cognitive Function with No Effects on Anxiety-like Behaviour in Zebrafish
by Alejandra Godino-Gimeno, Per-Ove Thörnqvist, Mauro Chivite, Jesús M. Míguez, Svante Winberg and José Miguel Cerdá-Reverter
Int. J. Mol. Sci. 2023, 24(15), 12316; https://doi.org/10.3390/ijms241512316 - 1 Aug 2023
Cited by 7 | Viewed by 3686
Abstract
Over the last decade, the zebrafish has emerged as an important model organism for behavioural studies and neurological disorders, as well as for the study of metabolic diseases. This makes zebrafish an alternative model for studying the effects of energy disruption and nutritional [...] Read more.
Over the last decade, the zebrafish has emerged as an important model organism for behavioural studies and neurological disorders, as well as for the study of metabolic diseases. This makes zebrafish an alternative model for studying the effects of energy disruption and nutritional quality on a wide range of behavioural aspects. Here, we used the zebrafish model to study how obesity induced by overfeeding regulates emotional and cognitive processes. Two groups of fish (n = 24 per group) were fed at 2% (CTRL) and 8% (overfeeding-induced obesity, OIO) for 8 weeks and tested for anxiety-like behaviour using the novel tank diving test (NTDT). Fish were first tested using a short-term memory test (STM) and then trained for four days for a long-term memory test (LTM). At the end of the experiment, fish were euthanised for biometric sampling, total lipid content, and triglyceride analysis. In addition, brains (eight per treatment) were dissected for HPLC determination of monoamines. Overfeeding induced faster growth and obesity, as indicated by increased total lipid content. OIO had no effect on anxiety-like behaviour. Animals were then tested for cognitive function (learning and memory) using the aversive learning test in Zantiks AD units. Results show that both OIO and CTRL animals were able to associate the aversive stimulus with the conditioned stimulus (conditioned learning), but OIO impaired STM regardless of fish sex, revealing the effects of obesity on cognitive processes in zebrafish. Obese fish did not show a deficiency in monoaminergic transmission, as revealed by quantification of total brain levels of dopamine and serotonin and their metabolites. This provides a reliable protocol for assessing the effect of metabolic disease on cognitive and behavioural function, supporting zebrafish as a model for behavioural and cognitive neuroscience. Full article
(This article belongs to the Special Issue Zebrafish as a Model for Biomedical Studies)
Show Figures

Figure 1

14 pages, 1771 KB  
Communication
Tryptophan Hydroxylase-2-Mediated Serotonin Biosynthesis Suppresses Cell Reprogramming into Pluripotent State
by Sergey A. Sinenko, Andrey A. Kuzmin, Elena V. Skvortsova, Sergey V. Ponomartsev, Evgeniya V. Efimova, Michael Bader, Natalia Alenina and Alexey N. Tomilin
Int. J. Mol. Sci. 2023, 24(5), 4862; https://doi.org/10.3390/ijms24054862 - 2 Mar 2023
Cited by 9 | Viewed by 5245
Abstract
The monoamine neurotransmitter serotonin (5-hydroxytryptamine, 5-HT) has important functions both in the neural system and during embryonic development in mammals. In this study, we set out to investigate whether and how endogenous serotonin affects reprogramming to pluripotency. As serotonin is synthesized from tryptophan [...] Read more.
The monoamine neurotransmitter serotonin (5-hydroxytryptamine, 5-HT) has important functions both in the neural system and during embryonic development in mammals. In this study, we set out to investigate whether and how endogenous serotonin affects reprogramming to pluripotency. As serotonin is synthesized from tryptophan by the rate limiting enzymes tryptophan hydroxylase-1 and -2 (TPH1 and TPH2), we have assessed the reprogramming of TPH1- and/or TPH2-deficient mouse embryonic fibroblasts (MEFs) to induced pluripotent stem cells (iPSCs). The reprogramming of the double mutant MEFs showed a dramatic increase in the efficiency of iPSC generation. In contrast, ectopic expression of TPH2 alone or in conjunction with TPH1 reverted the rate of reprogramming of the double mutant MEFs to the wild-type level and besides, TPH2 overexpression significantly suppressed reprogramming of wild-type MEFs. Our data thus suggest a negative role of serotonin biosynthesis in the reprogramming of somatic cells to a pluripotent state. Full article
(This article belongs to the Special Issue Tryptophan in Nutrition and Health 2.0)
Show Figures

Figure 1

22 pages, 3923 KB  
Article
LUHMES Cells: Phenotype Refinement and Development of an MPP+-Based Test System for Screening Antiparkinsonian Drugs
by Sergei V. Beliakov, Victor Blokhin, Sergey A. Surkov and Michael V. Ugrumov
Int. J. Mol. Sci. 2023, 24(1), 733; https://doi.org/10.3390/ijms24010733 - 1 Jan 2023
Cited by 1 | Viewed by 4484
Abstract
The low effectiveness of symptomatic pharmacotherapy for Parkinson’s disease (PD), which compensates for dopamine (DA) deficiency under degeneration of nigrostriatal dopaminergic (DAergic) neurons, could apparently be improved with neuroprotective therapy, which slows down neurodegeneration and PD progression. For this, it is necessary to [...] Read more.
The low effectiveness of symptomatic pharmacotherapy for Parkinson’s disease (PD), which compensates for dopamine (DA) deficiency under degeneration of nigrostriatal dopaminergic (DAergic) neurons, could apparently be improved with neuroprotective therapy, which slows down neurodegeneration and PD progression. For this, it is necessary to have a DAergic cell line for the development of a PD model to screen neuroprotectors. We used immortalized human embryonic mesencephalon LUHMES cells (LCs) differentiated into DAergic neurons. The aim of this study was to characterize the phenotype of differentiated LCs and develop an 1-methyl-4-phenylpyridinium iodide (MPP+)-based test system for screening neuroprotectors. Using polymerase chain reaction (PCR) and immunocytochemistry, it has been shown that all differentiated LCs express genes and synthesize proteins characteristic of all neurons (microtubule-associated protein 2, bIII-tubulin, synaptotagmin 1) and specifically of DAergic neurons (tyrosine hydroxylase, aromatic L-amino acid decarboxylase, DA transporter, vesicular monoamine transporter 2). Furthermore, LCs are able to produce a small amount of DA, but under special conditions. To assess the mechanisms of neurodegeneration and neuroplasticity under the influence of toxins and antiparkinsonian drugs, including neuroprotectors, we have developed an LCs-based MPP+ PD model and proposed an original panel of markers for testing functional and structural cell disorders. Full article
(This article belongs to the Special Issue Role of Bioactives in Neurodegenerative Diseases)
Show Figures

Graphical abstract

13 pages, 3151 KB  
Article
Rescue of Misfolded Organic Cation Transporter 3 Variants
by Thomas J. F. Angenoorth, Julian Maier, Stevan Stankovic, Shreyas Bhat, Sonja Sucic, Michael Freissmuth, Harald H. Sitte and Jae-Won Yang
Cells 2023, 12(1), 39; https://doi.org/10.3390/cells12010039 - 22 Dec 2022
Cited by 4 | Viewed by 2585
Abstract
Organic cation transporters (OCTs) are membrane proteins that take up monoamines, cationic drugs and xenobiotics. We previously reported novel missense mutations of organic cation transporter 3 (OCT3, SLC22A3), some with drastically impacted transport capabilities compared to wildtype. For some variants, this was due [...] Read more.
Organic cation transporters (OCTs) are membrane proteins that take up monoamines, cationic drugs and xenobiotics. We previously reported novel missense mutations of organic cation transporter 3 (OCT3, SLC22A3), some with drastically impacted transport capabilities compared to wildtype. For some variants, this was due to ER retention and subsequent degradation of the misfolded transporter. For other transporter families, it was previously shown that treatment of misfolded variants with pharmacological and chemical chaperones could restore transport function to a certain degree. To investigate two potentially ER-bound, misfolded variants (D340G and R348W), we employed confocal and biochemical analyses. In addition, radiotracer uptake assays were conducted to assess whether pre-treatment with chaperones could restore transporter function. We show that pre-treatment of cells with the chemical chaperone 4-PBA (4-phenyl butyric acid) leads to increased membrane expression of misfolded variants and is associated with increased transport capacity of D340G (8-fold) and R348W (1.5 times) compared to untreated variants. We herein present proof of principle that folding-deficient SLC22 transporter variants, in particular those of OCT3, are amenable to rescue by chaperones. These findings need to be extended to other SLC22 members with corroborated disease associations. Full article
(This article belongs to the Special Issue Neurotransmitter Transporters in Health and Disease)
Show Figures

Figure 1

25 pages, 6778 KB  
Article
Depression-Associated Negr1 Gene-Deficiency Induces Alterations in the Monoaminergic Neurotransmission Enhancing Time-Dependent Sensitization to Amphetamine in Male Mice
by Maria Kaare, Mohan Jayaram, Toomas Jagomäe, Katyayani Singh, Kalle Kilk, Kaie Mikheim, Marko Leevik, Este Leidmaa, Jane Varul, Helis Nõmm, Kristi Rähn, Tanel Visnapuu, Mario Plaas, Kersti Lilleväli, Michael K. E. Schäfer, Mari-Anne Philips and Eero Vasar
Brain Sci. 2022, 12(12), 1696; https://doi.org/10.3390/brainsci12121696 - 10 Dec 2022
Cited by 8 | Viewed by 4025
Abstract
In GWAS studies, the neural adhesion molecule encoding the neuronal growth regulator 1 (NEGR1) gene has been consistently linked with both depression and obesity. Although the linkage between NEGR1 and depression is the strongest, evidence also suggests the involvement of NEGR1 [...] Read more.
In GWAS studies, the neural adhesion molecule encoding the neuronal growth regulator 1 (NEGR1) gene has been consistently linked with both depression and obesity. Although the linkage between NEGR1 and depression is the strongest, evidence also suggests the involvement of NEGR1 in a wide spectrum of psychiatric conditions. Here we show the expression of NEGR1 both in tyrosine- and tryptophan hydroxylase-positive cells. Negr1−/− mice show a time-dependent increase in behavioral sensitization to amphetamine associated with increased dopamine release in both the dorsal and ventral striatum. Upregulation of transcripts encoding dopamine and serotonin transporters and higher levels of several monoamines and their metabolites was evident in distinct brain areas of Negr1−/− mice. Chronic (23 days) escitalopram-induced reduction of serotonin and dopamine turnover is enhanced in Negr1−/− mice, and escitalopram rescued reduced weight of hippocampi in Negr1−/− mice. The current study is the first to show alterations in the brain monoaminergic systems in Negr1-deficient mice, suggesting that monoaminergic neural circuits contribute to both depressive and obesity-related phenotypes linked to the human NEGR1 gene. Full article
(This article belongs to the Special Issue New Insight into Cellular and Molecular Bases of Brain Disorders)
Show Figures

Figure 1

18 pages, 950 KB  
Review
Effect of a Vegan Diet on Alzheimer’s Disease
by Alzbeta Katonova, Katerina Sheardova, Jana Amlerova, Francesco Angelucci and Jakub Hort
Int. J. Mol. Sci. 2022, 23(23), 14924; https://doi.org/10.3390/ijms232314924 - 29 Nov 2022
Cited by 22 | Viewed by 15445
Abstract
There is evidence indicating that a vegan diet could be beneficial in the prevention of neurodegenerative disorders, including Alzheimer’s disease (AD). The purpose of this review is to summarize the current knowledge on the positive and negative aspects of a vegan diet regarding [...] Read more.
There is evidence indicating that a vegan diet could be beneficial in the prevention of neurodegenerative disorders, including Alzheimer’s disease (AD). The purpose of this review is to summarize the current knowledge on the positive and negative aspects of a vegan diet regarding the risk of AD. Regarding AD prevention, a vegan diet includes low levels of saturated fats and cholesterol, contributing to a healthy blood lipid profile. Furthermore, it is rich in phytonutrients, such as vitamins, antioxidants, and dietary fiber, that may help prevent cognitive decline. Moreover, a vegan diet contributes to the assumption of quercetin, a natural inhibitor of monoamine oxidase (MAO), which can contribute to maintaining mental health and reducing AD risk. Nonetheless, the data available do not allow an assessment of whether strict veganism is beneficial for AD prevention compared with vegetarianism or other diets. A vegan diet lacks specific vitamins and micronutrients and may result in nutritional deficiencies. Vegans not supplementing micronutrients are more prone to vitamin B12, vitamin D, and DHA deficiencies, which have been linked to AD. Thus, an evaluation of the net effect of a vegan diet on AD prevention and/or progression should be ascertained by taking into account all the positive and negative effects described here. Full article
(This article belongs to the Special Issue Nutrients and Neurodegenerative Diseases)
Show Figures

Graphical abstract

17 pages, 2215 KB  
Article
Uncovering Functional Contributions of PMAT (Slc29a4) to Monoamine Clearance Using Pharmacobehavioral Tools
by Jasmin N. Beaver, Brady L. Weber, Matthew T. Ford, Anna E. Anello, Sarah K. Kassis and T. Lee Gilman
Cells 2022, 11(12), 1874; https://doi.org/10.3390/cells11121874 - 9 Jun 2022
Cited by 5 | Viewed by 3342
Abstract
Plasma membrane monoamine transporter (PMAT, Slc29a4) transports monoamine neurotransmitters, including dopamine and serotonin, faster than more studied monoamine transporters, e.g., dopamine transporter (DAT), or serotonin transporter (SERT), but with ~400–600-fold less affinity. A considerable challenge in understanding PMAT’s monoamine clearance contributions is that [...] Read more.
Plasma membrane monoamine transporter (PMAT, Slc29a4) transports monoamine neurotransmitters, including dopamine and serotonin, faster than more studied monoamine transporters, e.g., dopamine transporter (DAT), or serotonin transporter (SERT), but with ~400–600-fold less affinity. A considerable challenge in understanding PMAT’s monoamine clearance contributions is that no current drugs selectively inhibit PMAT. To advance knowledge about PMAT’s monoamine uptake role, and to circumvent this present challenge, we investigated how drugs that selectively block DAT/SERT influence behavioral readouts in PMAT wildtype, heterozygote, and knockout mice of both sexes. Drugs typically used as antidepressants (escitalopram, bupropion) were administered acutely for readouts in tail suspension and locomotor tests. Drugs with psychostimulant properties (cocaine, D-amphetamine) were administered repeatedly to assess initial locomotor responses plus psychostimulant-induced locomotor sensitization. Though we hypothesized that PMAT-deficient mice would exhibit augmented responses to antidepressant and psychostimulant drugs due to constitutively attenuated monoamine uptake, we instead observed sex-selective responses to antidepressant drugs in opposing directions, and subtle sex-specific reductions in psychostimulant-induced locomotor sensitization. These results suggest that PMAT functions differently across sexes, and support hypotheses that PMAT’s monoamine clearance contribution emerges when frontline transporters (e.g., DAT, SERT) are absent, saturated, and/or blocked. Thus, known human polymorphisms that reduce PMAT function could be worth investigating as contributors to varied antidepressant and psychostimulant responses. Full article
(This article belongs to the Special Issue Neurotransmitter Transporters in Health and Disease)
Show Figures

Figure 1

17 pages, 3137 KB  
Article
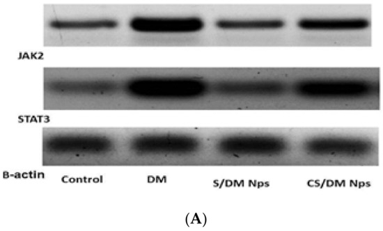
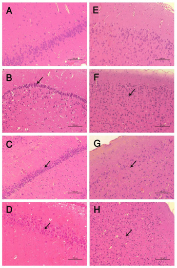
Deltamethrin and Its Nanoformulations Induce Behavioral Alteration and Toxicity in Rat Brain through Oxidative Stress and JAK2/STAT3 Signaling Pathway
by Ahlam G. Khalifa, Walaa A. Moselhy, Hanaa M. Mohammed, Fatma Khalil, Mohamed Shaban, El-Shaymaa El-Nahass, Hessah Mohammed Al-Muzafar, Kamal Adel Amin and Khaled A. Abdou
Toxics 2022, 10(6), 303; https://doi.org/10.3390/toxics10060303 - 2 Jun 2022
Cited by 9 | Viewed by 4317
Abstract
Deltamethrin (DM) is the most powerful synthetic pyrethroid that has toxicity to the central nervous system and results in behavioral changes in both animals and humans. This effect is mediated by inducing alterations in the action of neurotransmitters and brain pathological changes. Nanocarrier [...] Read more.
Deltamethrin (DM) is the most powerful synthetic pyrethroid that has toxicity to the central nervous system and results in behavioral changes in both animals and humans. This effect is mediated by inducing alterations in the action of neurotransmitters and brain pathological changes. Nanocarrier encapsulated pesticides may decrease the toxicity of pesticides. Thus, this study aimed to determine the effect of an inorganic metal carrier (silica Nps) and polymeric capsule (chitosan Nps) of deltamethrin nano-formulations on antioxidant levels and oxidative stress in the brain and on behavior of the male albino rat. Sixty male albino rats were equally divided into four groups. Group I: control group; group II given DM liquefied in corn oil at 3.855 mg/kg BW; group III receiving silica-loaded deltamethrin (S/DM Nps) at 8.795 mg/kg BW; and group IV: given chitosan encapsulated deltamethrin (CS/DM Nps) at 30.44 mg/kg BW. All treatments were given orally for four weeks. Following this, behavioral tests were conducted to record locomotor activity, anxiety like behaviors, exploration, and the short memory of rats. In addition, brain antioxidant/oxidant, serum neurotransmitters such as acetylcholine esterase (AchE) and monoamine oxidase (MAO), JAK2 and STAT3 gene and proteins expression were measured. The DM group showed a highly significant elevation in malondialdehyde content, MAO, AchE, vascular endothelial growth factor (VEGF) levels, and the expression level of neurogenic genes, JAK2 and STAT3, in comparison with the control group. Both S/DM Nps and CS/DM Nps significantly decreased MAO, AchE, and VEGF compared with the DM group. Moreover, both S/DM Nps and CS/DM Nps significantly decreased the gene and proteins expression of JAK2 and STAT3 compared with the DM group. These alterations were evidenced by the deficiency in memory and learning behaviors that were accompanied by histopathological findings of the hippocampus and the cortex. It was concluded that the nano formulations containing DM induced less neurobehavioral toxicity than free DM. Additionally, the use of nanocarriers reduced the damage to health and the environment. Full article
(This article belongs to the Section Toxicology)
Show Figures

Figure 1

39 pages, 2179 KB  
Review
The Problem of Malnutrition Associated with Major Depressive Disorder from a Sex-Gender Perspective
by Cielo García-Montero, Miguel A. Ortega, Miguel Angel Alvarez-Mon, Oscar Fraile-Martinez, Adoración Romero-Bazán, Guillermo Lahera, José Manuel Montes-Rodríguez, Rosa M. Molina-Ruiz, Fernando Mora, Roberto Rodriguez-Jimenez, Javier Quintero and Melchor Álvarez-Mon
Nutrients 2022, 14(5), 1107; https://doi.org/10.3390/nu14051107 - 6 Mar 2022
Cited by 28 | Viewed by 12887
Abstract
Major depressive disorder (MDD) is an incapacitating condition characterized by loss of interest, anhedonia and low mood, which affects almost 4% of people worldwide. With rising prevalence, it is considered a public health issue that affects economic productivity and heavily increases health costs [...] Read more.
Major depressive disorder (MDD) is an incapacitating condition characterized by loss of interest, anhedonia and low mood, which affects almost 4% of people worldwide. With rising prevalence, it is considered a public health issue that affects economic productivity and heavily increases health costs alone or as a comorbidity for other pandemic non-communicable diseases (such as obesity, cardiovascular disease, diabetes, inflammatory bowel diseases, etc.). What is even more noteworthy is the double number of women suffering from MDD compared to men. In fact, this sex-related ratio has been contemplated since men and women have different sexual hormone oscillations, where women meet significant changes depending on the age range and moment of life (menstruation, premenstruation, pregnancy, postpartum, menopause…), which seem to be associated with susceptibility to depressive symptoms. For instance, a decreased estrogen level promotes decreased activation of serotonin transporters. Nevertheless, sexual hormones are not the only triggers that alter neurotransmission of monoamines and other neuropeptides. Actually, different dietary habits and/or nutritional requirements for specific moments of life severely affect MDD pathophysiology in women. In this context, the present review aims to descriptively collect information regarding the role of malnutrition in MDD onset and course, focusing on female patient and especially macro- and micronutrient deficiencies (amino acids, ω3 polyunsaturated fatty acids (ω3 PUFAs), folate, vitamin B12, vitamin D, minerals…), besides providing evidence for future nutritional intervention programs with a sex-gender perspective that hopefully improves mental health and quality of life in women. Full article
Show Figures

Figure 1

14 pages, 3026 KB  
Article
Combined Antagonism of 5-HT2 and NMDA Receptors Reduces the Aggression of Monoamine Oxidase a Knockout Mice
by Roberto Frau, Alessandra Pardu, Sean Godar, Valentina Bini and Marco Bortolato
Pharmaceuticals 2022, 15(2), 213; https://doi.org/10.3390/ph15020213 - 10 Feb 2022
Cited by 9 | Viewed by 3172
Abstract
The enzyme monoamine oxidase A (MAOA) catalyzes the degradation of several neurotransmitters, including serotonin. A large body of evidence has shown that genetic MAOA deficiency predisposes humans and mice to aggression and antisocial behavior. We previously documented that the aggression of male MAOA-deficient [...] Read more.
The enzyme monoamine oxidase A (MAOA) catalyzes the degradation of several neurotransmitters, including serotonin. A large body of evidence has shown that genetic MAOA deficiency predisposes humans and mice to aggression and antisocial behavior. We previously documented that the aggression of male MAOA-deficient mice is contributed by serotonin 5-HT2 and glutamate N-methyl-D-aspartate (NMDA) receptors in the prefrontal cortex (PFC). Indeed, blocking either receptor reduces the aggression of MAOA knockout (KO) mice; however, 5-HT2 receptor antagonists, such as ketanserin (KET), reduce locomotor activity, while NMDA receptor blockers are typically associated with psychotomimetic properties. To verify whether NMDA receptor blockers induce psychotomimetic effects in MAOA KO mice, here we tested the effects of these compounds on prepulse inhibition (PPI) of the acoustic startle reflex. We found that male MAOA KO mice are hypersensitive to the PPI-disrupting properties of NMDA receptor antagonists, including the non-competitive antagonist dizocilpine (DIZ; 0.1, 0.3 mg/kg, IP) and the NR2B subunit-specific blocker Ro-256981 (5, 10 mg/kg, IP). Since KET has been previously shown to counter the PPI deficits caused by NMDA receptor antagonists, we tested the behavioral effects of the combination of KET (2 mg/kg, IP) and these drugs. Our results show that the combination of KET and DIZ potently reduces aggression in MAOA KO mice without any PPI deficits and sedative effects. While the PPI-ameliorative properties of KET were also observed after infusion in the medial PFC (0.05 μg/side), KET did not counter the PPI-disruptive effects of Ro-256981 in MAOA KO mice. Taken together, these results point to the combination of non-subunit-selective NMDA and 5-HT2 receptor antagonists as a potential therapeutic approach for aggression and antisocial behavior with a better safety and tolerability profile than each monotherapy. Full article
(This article belongs to the Special Issue Repurposing Drug Strategies for CNS Disorders)
Show Figures

Figure 1

31 pages, 554 KB  
Review
Novel Pharmacological Approaches to the Treatment of Depression
by Elias Elias, Ariel Y. Zhang and Melissa T. Manners
Life 2022, 12(2), 196; https://doi.org/10.3390/life12020196 - 28 Jan 2022
Cited by 38 | Viewed by 12161
Abstract
Major depressive disorder is one of the most prevalent mental health disorders. Monoamine-based antidepressants were the first drugs developed to treat major depressive disorder. More recently, ketamine and other analogues were introduced as fast-acting antidepressants. Unfortunately, currently available therapeutics are inadequate; lack of [...] Read more.
Major depressive disorder is one of the most prevalent mental health disorders. Monoamine-based antidepressants were the first drugs developed to treat major depressive disorder. More recently, ketamine and other analogues were introduced as fast-acting antidepressants. Unfortunately, currently available therapeutics are inadequate; lack of efficacy, adverse effects, and risks leave patients with limited treatment options. Efforts are now focused on understanding the etiology of depression and identifying novel targets for pharmacological treatment. In this review, we discuss promising novel pharmacological targets for the treatment of major depressive disorder. Targeting receptors including N-methyl-D-aspartate receptors, peroxisome proliferator-activated receptors, G-protein-coupled receptor 39, metabotropic glutamate receptors, galanin and opioid receptors has potential antidepressant effects. Compounds targeting biological processes: inflammation, the hypothalamic-pituitary-adrenal axis, the cholesterol biosynthesis pathway, and gut microbiota have also shown therapeutic potential. Additionally, natural products including plants, herbs, and fatty acids improved depressive symptoms and behaviors. In this review, a brief history of clinically available antidepressants will be provided, with a primary focus on novel pharmaceutical approaches with promising antidepressant effects in preclinical and clinical studies. Full article
(This article belongs to the Special Issue Novel Pharmacological Approaches to the Treatment of Depression)
Back to TopTop