Sign in to use this feature.

Years

Between: -

Subjects

remove_circle_outline
remove_circle_outline
remove_circle_outline
remove_circle_outline
remove_circle_outline
remove_circle_outline
remove_circle_outline

Journals

Article Types

Countries / Regions

Search Results (23)

Search Parameters:
Keywords = maxillofacial abnormalities

Order results
Result details
Results per page
Select all
Export citation of selected articles as:
20 pages, 575 KB  
Review
Possible Diagnostic and Therapeutic Applications of Bioprinting for Bone Regeneration in Maxillofacial Surgery
by Lorenzo Marini, Alessandro Tel, Marco Zeppieri, Luca Michelutti, Massimo Robiony, Caterina Gagliano, Fabiana D’Esposito, Matteo Capobianco, Tamara Ius and Marieme Khouyyi
Diagnostics 2025, 15(23), 2978; https://doi.org/10.3390/diagnostics15232978 - 24 Nov 2025
Viewed by 993
Abstract
Background: The integration of 3D bioprinting, biomaterials science, and cellular biology presents a viable strategy for maxillofacial bone regeneration, overcoming the constraints of traditional graft techniques. This review offers a thorough examination of the present condition, obstacles, uses, and future outlook of [...] Read more.
Background: The integration of 3D bioprinting, biomaterials science, and cellular biology presents a viable strategy for maxillofacial bone regeneration, overcoming the constraints of traditional graft techniques. This review offers a thorough examination of the present condition, obstacles, uses, and future outlook of 3D bioprinting technology in maxillofacial bone regeneration. An essential understanding has been attained by analyzing the technological constraints, specifically in vascularization and neuro-integration, and by delineating the vital translational pathway from benchtop models to clinical application. We have examined several bioprinting techniques—namely extrusion, inkjet, and laser-assisted methods—and the requisite bioinks, emphasizing their physicochemical and biological features vital for osteogenesis. Significant clinical applications, including the treatment of trauma-induced abnormalities and the reconstruction of oncology-related resections, have been emphasized. This review highlights the urgent necessity for established regulatory frameworks and refined printing settings to guarantee effective, functional, and durable bone substitutes, providing a distinct pathway for future research and clinical implementation in this specialized surgical domain. Aim: The purpose of this review was to present a general overview of the current clinical and diagnostic applications of bioprinting in bone tissue engineering for the reconstruction of bone defects. Methods: A search of major scientific databases, including PubMed, Science Direct, Embase, and Cochrane, was conducted. Articles published within the last 10 years that analyze the possible applications of bioprinting in bone tissue fabrication were included. Results: Several bioinks, based on hydrogels and stem cells, can enable the fabrication of such tissues using this technology. This review reports on the processes adopted for the bioprinting of bone tissue, the bioinks used, and cell cultivation methods. Conclusions: Bioprinting represents a promising solution for bone regeneration with potential applications that could revolutionize current surgical practices, despite the many challenges that future research will face. Full article
(This article belongs to the Section Clinical Diagnosis and Prognosis)
Show Figures

Figure 1

11 pages, 1842 KB  
Case Report
Extremely Extensive Vascular Malformation Requires Special Preparation for Simple Dental Surgical Procedures—Case Report
by Natalia Muczkowska, Klaudia Masłowska and Agnieszka Adamska
Dent. J. 2025, 13(5), 217; https://doi.org/10.3390/dj13050217 - 19 May 2025
Cited by 2 | Viewed by 1960
Abstract
Background/Objectives: Vascular anomalies represent a complex group of conditions including vascular malformations and haemangiomas. Haemangiomas are benign tumours that have an endothelial origin. In contrast, vascular malformations are characterized by the abnormal dilation of vessels without proliferation. Depending on the extension of the [...] Read more.
Background/Objectives: Vascular anomalies represent a complex group of conditions including vascular malformations and haemangiomas. Haemangiomas are benign tumours that have an endothelial origin. In contrast, vascular malformations are characterized by the abnormal dilation of vessels without proliferation. Depending on the extension of the disease, there is a higher risk of life-threatening haemorrhages that may occur during simple dental procedures. The aim of this case report is to present the interdisciplinary treatment for patients with venous malformation and to discuss the possible dental management of these patients. Methods: A 66-year-old male patient with an extensive venous malformation of the head and neck was referred for a tooth extraction. The venous malformation involved lips, buccal mucosa, tongue, and floor of the oral cavity. Its proximity to the tooth requiring extraction was associated with a high risk of severe bleeding. Results: Prior to the treatment, CBCT and CT scans were performed to confirm the extensions of the lesion and visualise its margins. Considering the possible risks related with venous malformation, the procedure consisted of tooth removal in a hospital setting with control over severe bleeding complications. Conclusions: The presence of an extensive vascular malformation in the head and neck region is burdened with a higher risk of haemorrhages during simple dental procedures. The radiological and clinical planning enables the choice of an accurate treatment strategy to avoid possible difficulties. In cases where such complications cannot be avoided, it is important to perform the treatment in a hospital setting with the cooperation of maxillofacial surgeons. Full article
Show Figures

Graphical abstract

14 pages, 4318 KB  
Article
Virtual Surgical Planning for Management of Acute Maxillofacial Trauma
by Kyle W. Singerman, Megan V. Morisada, J. David Kriet, John P. Flynn and Clinton D. Humphrey
Craniomaxillofac. Trauma Reconstr. 2025, 18(1), 18; https://doi.org/10.3390/cmtr18010018 - 21 Feb 2025
Cited by 3 | Viewed by 4709
Abstract
Study design: A retrospective case series. Objective: The management of acute complex maxillofacial trauma is challenging. The intricate maxillofacial anatomy coupled with the significant functional and aesthetic repercussions of traumatic facial injuries necessitate meticulous preoperative preparation and operative precision to minimize patient morbidity. [...] Read more.
Study design: A retrospective case series. Objective: The management of acute complex maxillofacial trauma is challenging. The intricate maxillofacial anatomy coupled with the significant functional and aesthetic repercussions of traumatic facial injuries necessitate meticulous preoperative preparation and operative precision to minimize patient morbidity. The severe displacement of bone fragments, abnormal occlusion, comminution, and the involvement of multiple skeletal subsites further complicate the restoration of premorbid function and appearance. While previously recognized as a valuable tool for managing oncologic defects, orthognathic surgery, and for the correction of secondary deformities following maxillofacial trauma, virtual surgical planning (VSP) has now emerged as a viable tool for treating select patients following acute complex maxillofacial trauma. Methods: A retrospective chart review of all the complex facial trauma patients treated using VSP services over a 21-month period. Results: Multiple VSP services were used in the primary repair of complex facial trauma, with occlusal splints, pre-contoured plates, and 3D printed models being utilized most frequently. Conclusions: Our experience with VSP for primary maxillofacial trauma repair has helped us to identify specific indications for the use of VSP in this setting. Full article
Show Figures

Figure 1

9 pages, 2443 KB  
Case Report
A Case of Application of Computer-Aided Design and Manufacturing Technology and Extended Reality Surgical Assistance to Marginal Mandibulectomy
by Takahiro Nakada, Masahide Koyachi, Keisuke Sugahara, Akihiro Nishiyama, Mana Kawakami, Shintaro Nakajima, Kotaro Tachizawa, Kento Odaka, Satoru Matsunaga, Maki Sugimoto and Akira Katakura
J. Clin. Med. 2025, 14(1), 8; https://doi.org/10.3390/jcm14010008 - 24 Dec 2024
Cited by 2 | Viewed by 1423
Abstract
Background/Objectives: Mandibular gingival squamous cell carcinoma (SCC) is the second most common oral cancer after tongue cancer. As these carcinomas often invade the mandible early, accurately defining the resection extent is important. This report highlights the use of preoperative virtual surgery data, computer-aided [...] Read more.
Background/Objectives: Mandibular gingival squamous cell carcinoma (SCC) is the second most common oral cancer after tongue cancer. As these carcinomas often invade the mandible early, accurately defining the resection extent is important. This report highlights the use of preoperative virtual surgery data, computer-aided design and manufacturing (CAD/CAM) technology, surgical guidance, and extended reality (XR) support in achieving highly accurate marginal mandibulectomy without recurrence or metastasis. Methods: CT imaging data obtained a month before surgery were imported into Materialize Mimics and Materialize Magics (Materialize, Leuven, Belgium, Ver22.0) CAD/CAM software and used to design an osteotomy guide. An STL file was generated, and the guide was fabricated using a 3D printer (Objet 260 Connex; Stratasys Ltd., Eden Prairie, MN, USA) prior to the operation. An XR application, installed on a HoloLens (Microsoft, WA, USA) head-mounted display, projected a hologram onto the surgical field. Results: The rapid intraoperative diagnostic tests were negative, and histopathology confirmed SCC without vascular or perineural invasion. No complications, including occlusal or feeding problems and sensory abnormalities, were observed. Postoperative imaging 3 years later showed no recurrence. Conclusions: Combining CAD/CAM and XR techniques for mandibulectomy may improve surgical accuracy and safety in oral and maxillofacial surgeries, whereas in-house 3D printing aids in managing tumor progression. Full article
(This article belongs to the Section Dentistry, Oral Surgery and Oral Medicine)
Show Figures

Figure 1

25 pages, 725 KB  
Systematic Review
Evaluating Surgical Approaches for Hemimandibular Hyperplasia Associated with Osteochondroma: A Systematic Literature Review
by Luis Eduardo Almeida, Samuel Zammuto and Diego Fernando Lopez
J. Clin. Med. 2024, 13(22), 6988; https://doi.org/10.3390/jcm13226988 - 20 Nov 2024
Cited by 3 | Viewed by 2075
Abstract
Background/Objectives: Hemimandibular hyperplasia (HH) associated with osteochondroma presents complex challenges in maxillofacial surgery, including facial asymmetry, occlusal instability, and temporomandibular joint (TMJ) dysfunction. Surgical interventions vary widely in approach and outcomes, underscoring the need for a systematic evaluation of effectiveness. This systematic [...] Read more.
Background/Objectives: Hemimandibular hyperplasia (HH) associated with osteochondroma presents complex challenges in maxillofacial surgery, including facial asymmetry, occlusal instability, and temporomandibular joint (TMJ) dysfunction. Surgical interventions vary widely in approach and outcomes, underscoring the need for a systematic evaluation of effectiveness. This systematic review assesses the effectiveness of surgical approaches for managing HH associated with osteochondroma, focusing on techniques including condylectomy, orthognathic surgery, distraction osteogenesis, total joint replacement (TJR), and genioplasty. Methods: Following PRISMA 2020 guidelines, a comprehensive search was conducted in PubMed, Scopus, and Web of Science for studies published from 2000 to 2023. Eligibility criteria were based on the PICO framework, with primary outcomes evaluated for facial symmetry, occlusal correction, mandibular function, and recurrence rates. The Cochrane Risk of Bias Tool assessed study quality, while the GRADE framework evaluated the certainty of evidence. This review was not registered due to exclusion criteria for certain dental topics in PROSPERO. Results: Of 145 studies identified, 18 met inclusion criteria, totaling 214 patients. High and low condylectomy both effectively corrected asymmetry, with high condylectomy reducing recurrence risk but often requiring reconstruction. Orthognathic surgery, combined with condylectomy, significantly enhanced facial symmetry and occlusal function. Distraction osteogenesis proved valuable for mandibular lengthening in cases of severe deformities, while TJR offered definitive solutions for extensive joint involvement. Genioplasty corrected chin asymmetry, contributing to improved facial balance. Limitations included small sample sizes and variable follow-up durations. Conclusions: Surgical approaches tailored to individual patient needs show effectiveness in treating HH associated with osteochondroma, achieving functional and esthetic outcomes. Future studies should prioritize larger cohorts and standardized follow-up protocols to better assess long-term efficacy. Advances in 3D surgical planning and individualized treatment strategies show promise for optimized patient-specific care. Full article
Show Figures

Figure 1

14 pages, 3523 KB  
Article
Accuracy of Mandibular Foramen Localization Using Digital Orthopantomogram (OPG) in Middle Eastern Population
by Yasser S. Alali, Wajdi A. Mohammed (Bin), Sami M. Alotaibi, Sami Alshehri and Muath Alshayban
Diagnostics 2024, 14(19), 2173; https://doi.org/10.3390/diagnostics14192173 - 29 Sep 2024
Cited by 2 | Viewed by 2900
Abstract
Background/Objectives: Locating the mandibular foramen (MF) through imaging is clinically important for inferior alveolar nerve (IAN) anesthesia and mandibular ramus osteotomies. Although cone-beam computed tomography (CBCT) is superior in imaging the mandible, an orthopantomogram (OPG) is preferred for its ease of use and [...] Read more.
Background/Objectives: Locating the mandibular foramen (MF) through imaging is clinically important for inferior alveolar nerve (IAN) anesthesia and mandibular ramus osteotomies. Although cone-beam computed tomography (CBCT) is superior in imaging the mandible, an orthopantomogram (OPG) is preferred for its ease of use and availability. Therefore, the present study aimed to evaluate the accuracy of digital OPG in localizing the MF, in a subset of the Middle Eastern population. Methods: Radiographic images (OPG and CBCT) of selected patients (adults, dentulous and no mandibular abnormalities) were used to locate the MF through digital measurements (mm) of the anteroposterior distance from the anterior border of the ramus (MF-AP) and the superoinferior position from the mandibular occlusal plane (MF-SI). Measurements were statistically compared between OPG and CBCT for accuracy. Differences in measurements between OPG and CBCT were compared against the anatomic location (right/left), age and biological sex, assuming a p-value < 0.05 as significant. Results: A total of 204 radiographic records (males: 100/females: 104/mean age: 34.65 ± 11.55 years) were evaluated. The measurements for the MF were MF-AP-OPG (right: 13.53 ± 2.44/left: 13.19 ± 2.25), MF-AP-CBCT (right: 13.61 ± 2.39/left: 13.36 ± 2.19), MF-SI-OPG (right: 5.25 ± 1.71/left: 5.41 ± 1.65) and MF-SI-CBCT (right: 5.59 ± 1.66/left: 5.52 ± 1.61). Measurements between OPG and CBCT were not significantly different, except for MF-SI (right) (p = 0.042). While the overall difference between OPG and CBCT (MF-AP/MF-SI) measurements showed a significant association (p < 0.01) with the anatomic location (right/left), a significant association (p < 0.05) with biological sex was observed only for MF-AP. Conclusions: Based on this study’s outcomes, digital OPG is an accurate modality to locate the MF based on anteroposterior (MF-AP) and superoinferior (MF-SI) measurements. This would be clinically beneficial for dental and oral surgeons to achieve the optimum IAN block anesthesia based on preoperative panoramic radiographs. Similarly, it would assist maxillofacial surgeons in planning mandibular orthognathic surgeries and ramus osteotomies without complications. Full article
(This article belongs to the Special Issue Advances in Oral and Maxillofacial Radiology)
Show Figures

Figure 1

9 pages, 214 KB  
Article
Demographic and Radiographic Characteristics Associated with the Occurrence of Impacted Third Molars in Indonesian Patients: A Retrospective Study
by Indra Hadikrishna, Melita Sylvyana, Madhuri Pattamatta, Folli Mulyawati and Tantry Maulina
Dent. J. 2024, 12(7), 210; https://doi.org/10.3390/dj12070210 - 9 Jul 2024
Cited by 2 | Viewed by 2168
Abstract
An impacted third molar is one of the most common abnormalities of the tooth position, impacting patients and their quality of life. Based on the impact and the invasive removal procedure, this study aimed to evaluate the characteristics of impacted third molars based [...] Read more.
An impacted third molar is one of the most common abnormalities of the tooth position, impacting patients and their quality of life. Based on the impact and the invasive removal procedure, this study aimed to evaluate the characteristics of impacted third molars based on their radiographic features as well as their association with demographic characteristics. Outpatient dental records of the oral and maxillofacial surgery department of Hasan Sadikin Hospital, Bandung, Indonesia, from 1 January 2018 to 31 December 2019, were sorted, and relevant clinical and demographic data and panoramic radiographic examination results were extracted from these records. All data were then tabulated and analyzed by using SPSS version 29. As many as 3019 impacted third molars were identified. Our findings suggested the association between age to the occurrence of impacted third molars where patients aged between 17 and 29 years old showed high occurrences of impacted third molars. Male patients with impacted third molars are more likely to have multiple impacted third molars, while this risk decreases in females. Radiographic examination showed that the mesioangular position is the most common position for mandibular third molars. The variation in high occurrences of the impacted third molar is associated with several demographic factors. Full article
18 pages, 1246 KB  
Review
Cone-Beam Computed Tomography (CBCT)-Based Diagnosis of Dental Bone Defects
by Faisal Alshomrani
Diagnostics 2024, 14(13), 1404; https://doi.org/10.3390/diagnostics14131404 - 1 Jul 2024
Cited by 30 | Viewed by 13921
Abstract
Cone Beam Computed Tomography (CBCT) has completely changed the way that bone disorders are diagnosed and treated, especially in the dental and maxillofacial domains. This article examines the diverse applications of computed tomography (CBCT) in the diagnosis and treatment of facial trauma, including [...] Read more.
Cone Beam Computed Tomography (CBCT) has completely changed the way that bone disorders are diagnosed and treated, especially in the dental and maxillofacial domains. This article examines the diverse applications of computed tomography (CBCT) in the diagnosis and treatment of facial trauma, including mandibular, dentoalveolar, and other facial fractures, as well as bone abnormalities like dislocations and fractures. CBCT is useful for a wide range of dental conditions and greatly improves diagnostic accuracy in periodontics, orthodontics, endodontics, and dental implantology. Additionally, a comparison between CBCT and conventional imaging methods was conducted, emphasizing the latter’s inferior 3D imaging capabilities, allowing for more precise treatment planning and better patient outcomes with CBCT. Although CBCT has many benefits, it also has some drawbacks, such as requiring specific training for accurate interpretation, cost considerations, and a higher radiation exposure than with traditional dental X-rays. In order to optimize benefits and reduce risks, the conclusion highlights CBCT’s revolutionary influence on clinical practice while arguing for its prudent and responsible application. Full article
(This article belongs to the Section Medical Imaging and Theranostics)
Show Figures

Figure 1

17 pages, 2460 KB  
Review
Metabolic Bone Diseases Affecting Tooth Eruption: A Narrative Review
by Christianna Iris Papadopoulou, Iosif Sifakakis and Symeon Tournis
Children 2024, 11(6), 748; https://doi.org/10.3390/children11060748 - 20 Jun 2024
Cited by 6 | Viewed by 8658
Abstract
Tooth eruption is an essential process for the development of the oral and maxillofacial system. Several inherited and acquired diseases might affect this tightly regulated process, resulting in premature, delayed, or even failed tooth eruption. The purpose of this article is to review [...] Read more.
Tooth eruption is an essential process for the development of the oral and maxillofacial system. Several inherited and acquired diseases might affect this tightly regulated process, resulting in premature, delayed, or even failed tooth eruption. The purpose of this article is to review the literature and the clinical parameters of metabolic bone diseases that affect tooth eruption. It examines the physiological aspects of tooth eruption and the pathophysiological changes induced by metabolic bone diseases, including changes in bone metabolism, density, and structure. The search strategy for this review included an electronic search in PubMed, Google Scholar, Medline, Scopus, and the Cochrane Library using the following keywords: “metabolic bone diseases”, “tooth eruption”, “delayed tooth eruption”, and each reported disease in combination with “tooth eruption disorders”, covering publications up to March 2024 and limited to English-language sources. Understanding the influence of metabolic bone diseases on tooth eruption is crucial for managing both dental and skeletal manifestations associated with these disorders. This review suggests that a multidisciplinary approach to treatment may significantly improve oral outcomes for patients suffering from such conditions. Clinicians should be aware of the specific dental abnormalities that may arise and consider comprehensive evaluations and individualized treatment plans. These findings underscore the need for further research into targeted therapies that address these abnormalities. Full article
Show Figures

Figure 1

10 pages, 305 KB  
Article
Does Social Media Affect a Patient’s Decision to Undergo Orthognathic Surgery?
by Omar Alsuhaym, Ibrahim Aldawas, Fahad Maki, Mohammed Alamro, Khaled Alshehri and Yazeed Alharthi
Int. J. Environ. Res. Public Health 2023, 20(12), 6103; https://doi.org/10.3390/ijerph20126103 - 12 Jun 2023
Cited by 8 | Viewed by 3220
Abstract
Orthognathic surgery, also known as corrective jaw surgery, is a procedure that corrects abnormalities of the jaw and face. It is used to treat malocclusions, where the teeth and jaws are misaligned. This surgery can improve the function and appearance of the jaw [...] Read more.
Orthognathic surgery, also known as corrective jaw surgery, is a procedure that corrects abnormalities of the jaw and face. It is used to treat malocclusions, where the teeth and jaws are misaligned. This surgery can improve the function and appearance of the jaw and face, leading to improved mastication, speech, and quality of life for the patients. To assess if social media had any effect on the patients’ decision to undergo orthognathic surgery, a self-administered online questionnaire was distributed to patients who had undergone orthognathic surgery at the Oral and Maxillofacial department through the health information system (BESTCare, 2.0A) to participate in the study. In total, 111 responses were recorded from the patients, with 107 agreeing to answer the questionnaire and 4 refusing to answer. Twitter was a source of information about orthognathic surgery for 61 patients (57%). When using a social media platform, 3 patients (2.8%) were influenced by an advertisement or an educational post on social media that presented the surgical correction of the jaws, while 15 (14%) believed that they had been somewhat influenced, and 25 (23.4%) picked their surgeon through social media. Fifty-six patients (52.3%) took the neutral position regarding whether information on social media had answered their questions and concerns regarding the surgical procedure. Social media did not influence patients’ decision to undergo the procedure. Surgeons and specialists must utilize their platforms to answer any concerns or questions from any patient undergoing or having undergone this corrective jaw surgery. Full article
(This article belongs to the Special Issue Oral Health-Related Quality of Life in Children and Adolescents)
11 pages, 3011 KB  
Article
Design and Implement Strategy of Wireless Bite Force Device
by Jinxia Gao, Zhiwen Su and Longjun Liu
Bioengineering 2023, 10(5), 507; https://doi.org/10.3390/bioengineering10050507 - 23 Apr 2023
Cited by 5 | Viewed by 2888
Abstract
Abnormal bite force is an important risk factor for oral and maxillofacial disorders, which is a critical dilemma that dentists face every day without effective solutions. Therefore, it is of great clinical significance to develop a wireless bite force measurement device and explore [...] Read more.
Abnormal bite force is an important risk factor for oral and maxillofacial disorders, which is a critical dilemma that dentists face every day without effective solutions. Therefore, it is of great clinical significance to develop a wireless bite force measurement device and explore quantitative measurement methods to help find effective strategies for improving occlusal diseases. This study designed the open window carrier of a bite force detection device through 3D printing technology, and then the stress sensors were integrated and embedded into a hollow structure. The sensor system mainly consisted of a pressure signal acquisition module, a main control module, and a server terminal. A machine learning algorithm will be leveraged for bite force data processing and parameter configuration in the future. This study implemented a sensor prototype system from scratch to fully evaluate each component of the intelligent device. The experimental results showed reasonable parameter metrics for the device carrier and demonstrated the feasibility of the proposed scheme for bite force measurement. An intelligent and wireless bite force device with a stress sensor system is a promising approach to occlusal disease diagnosis and treatment. Full article
Show Figures

Figure 1

9 pages, 2037 KB  
Case Report
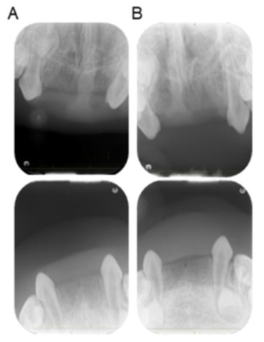
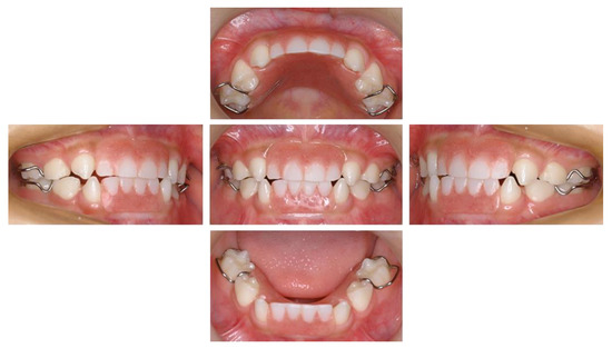
Five-Year Follow-Up of a Child with Non-Syndromic Oligodontia from before the Primary Dentition Stage: A Case Report
by Tatsuya Akitomo, Satoru Kusaka, Yuko Iwamoto, Momoko Usuda, Mariko Kametani, Yuria Asao, Masashi Nakano, Meiko Tachikake, Chieko Mitsuhata and Ryota Nomura
Children 2023, 10(4), 717; https://doi.org/10.3390/children10040717 - 12 Apr 2023
Cited by 17 | Viewed by 3909
Abstract
Background: Congenital absence of teeth is a major dental abnormality in pediatric dentistry and the absence of six or more teeth is defined as oligodontia. Few reports of patients with non-syndromic oligodontia without systemic disease have continued dental follow-up from an early age. [...] Read more.
Background: Congenital absence of teeth is a major dental abnormality in pediatric dentistry and the absence of six or more teeth is defined as oligodontia. Few reports of patients with non-syndromic oligodontia without systemic disease have continued dental follow-up from an early age. Methods: We performed the five-year follow-up from before the eruption of the primary dentition of a Japanese child with non-syndromic oligodontia and analyzed changes in dental arch growth. Results: At the oral examination at the age of 1 year and 2 months, eight primary incisors were congenitally absent. Therefore, we made dentures for the patient at the age of 3 years and 4 months. From the age of 5 years and 1 month, the child received articulation training for dysarthria from a speech therapist to improve the function and appearance of the oral cavity. Measurement of the patient’s dental models revealed a particularly narrow dental arch, especially between the primary canines. Conclusions: Our findings highlight the importance of treatment for patients with non-syndromic oligodontia from an early age by multiple medical professionals, recognizing that the missing teeth affect the growth of the maxillofacial region. Full article
(This article belongs to the Section Pediatric Dentistry & Oral Medicine)
Show Figures

Figure 1

17 pages, 1824 KB  
Review
Roles of LonP1 in Oral-Maxillofacial Developmental Defects and Tumors: A Novel Insight
by Haozhen Ma, Wanting Chen, Wenguo Fan, Hongwen He and Fang Huang
Int. J. Mol. Sci. 2022, 23(21), 13370; https://doi.org/10.3390/ijms232113370 - 2 Nov 2022
Cited by 5 | Viewed by 4377
Abstract
Recent studies have indicated a central role for LonP1 in mitochondrial function. Its physiological functions include proteolysis, acting as a molecular chaperone, binding mitochondrial DNA, and being involved in cellular respiration, cellular metabolism, and oxidative stress. Given its vital role in energy metabolism, [...] Read more.
Recent studies have indicated a central role for LonP1 in mitochondrial function. Its physiological functions include proteolysis, acting as a molecular chaperone, binding mitochondrial DNA, and being involved in cellular respiration, cellular metabolism, and oxidative stress. Given its vital role in energy metabolism, LonP1 has been suggested to be associated with multi-system neoplasms and developmental disorders. In this study, we investigated the roles, possible mechanisms of action, and therapeutic roles of LonP1 in oral and maxillofacial tumor development. LonP1 was highly expressed in oral-maxillofacial cancers and regulated their development through a sig-naling network. LonP1 may therefore be a promising anticancer therapy target. Mutations in LONP1 have been found to be involved in the etiology of cerebral, ocular, dental, auricular, and skeletal syndrome (CODAS). Only patients carrying specific LONP1 mutations have certain dental abnormalities (delayed eruption and abnormal morphology). LonP1 is therefore a novel factor in the development of oral and maxillofacial tumors. Greater research should therefore be conducted on the diagnosis and therapy of LonP1-related diseases to further define LonP1-associated oral phenotypes and their underlying molecular mechanisms. Full article
(This article belongs to the Special Issue Mitochondria in Human Health and Disease)
Show Figures

Figure 1

10 pages, 1442 KB  
Article
Nasolabial Appearance in 5-Year-Old Patients with Repaired Complete Unilateral Cleft Lip and Palate: A Comparison of Two Different Techniques of Lip Repair
by Sonja Lux, Matthias Mayr, Michael Schwaiger, Sarah-Jayne Edmondson, Christoph Steiner, Peter Schachner and Alexander Gaggl
J. Clin. Med. 2022, 11(10), 2943; https://doi.org/10.3390/jcm11102943 - 23 May 2022
Cited by 4 | Viewed by 3065
Abstract
Different surgical techniques are available to adequately correct the primary cleft lip deformity; however, when compared, none of these techniques have proven superior with regard to achieving optimal aesthetic results. Thus, the aim of this retrospective study was to assess the nasolabial appearance [...] Read more.
Different surgical techniques are available to adequately correct the primary cleft lip deformity; however, when compared, none of these techniques have proven superior with regard to achieving optimal aesthetic results. Thus, the aim of this retrospective study was to assess the nasolabial appearance in patients with unilateral cleft lip and palate (UCLP) at age five with reference to two techniques for primary cleft lip repair used in our service: Pfeifer’s wave-line procedure and Randall’s technique. A modified Asher–McDade Aesthetic Index was applied to appraise the nasolabial area by means of 2D photographs of non-syndromic five-year-old patients with a UCLP. In this context, three parameters were assessed: 1. nasal frontal view; 2. shape of the vermilion border and philtrum length; and 3. the nasolabial profile. Five professionals experienced in cleft care were asked to rate the photographs on two occasions. Overall, 53 patients were included in the final analysis, 28 of whom underwent lip repair according to Pfeifer; 25 were treated employing Randall’s technique. Statistically significant differences between the two techniques regarding philtrum length and vermilion border were found (p = 0.046). With reference to the other parameters assessed, no significant differences were determined. The results suggest that Randall’s cleft lip repair may allow for more accurate alignment of the vermilion border and more adequate correction of the cleft lip length discrepancy in comparison to Pfeifer’s wave-line technique. Full article
(This article belongs to the Section Dentistry, Oral Surgery and Oral Medicine)
Show Figures

Figure 1

11 pages, 5161 KB  
Article
Dental MRI of Oral Soft-Tissue Tumors—Optimized Use of Black Bone MRI Sequences and a 15-Channel Mandibular Coil
by Adib Al-Haj Husain, Esra Sekerci, Daphne Schönegg, Fabienne A. Bosshard, Bernd Stadlinger, Sebastian Winklhofer, Marco Piccirelli and Silvio Valdec
J. Imaging 2022, 8(5), 146; https://doi.org/10.3390/jimaging8050146 - 22 May 2022
Cited by 14 | Viewed by 5778
Abstract
Soft-tissue lesions in the oral cavity, one of the most common sites for tumors and tumor-like lesions, can be challenging to diagnose and treat due to the wide spectrum from benign indolent to invasive malignant lesions. We report an abnormally large, rapidly growing [...] Read more.
Soft-tissue lesions in the oral cavity, one of the most common sites for tumors and tumor-like lesions, can be challenging to diagnose and treat due to the wide spectrum from benign indolent to invasive malignant lesions. We report an abnormally large, rapidly growing hyperplastic lesion originating from the buccal mucosa in a 28-year-old male patient. Clinical examination revealed a well-circumscribed, smooth-surfaced, pinkish nodular lesion measuring 2.3 × 2 cm, which suggested the differential diagnosis of irritation fibroma, pyogenic granuloma, oral lipoma, and other benign or malignant neoplasms such as hemangioma, non-Hodgkin’s lymphoma, or metastases to the oral cavity. Dental MRI using a 15-channel mandibular coil was performed to improve perioperative radiological and surgical management, avoiding adverse intraoperative events and misdiagnosis of vascular malformations, especially hemangiomas. Black bone MRI protocols such as STIR (short-tau inversion recovery) and DESS (double-echo steady-state) were used for high-resolution radiation-free imaging. Radiologic findings supported the suspected diagnosis of an irritation fibroma and ruled out any further head and neck lesions, therefore complete surgical resection was performed. Histology confirmed the tentative diagnosis. This article evaluates the use of this novel technique for MR diagnosis in the perioperative management of soft-tissue tumors in oral and maxillofacial surgery. Full article
(This article belongs to the Special Issue New Frontiers of Advanced Imaging in Dentistry)
Show Figures

Figure 1

Back to TopTop