Five-Year Follow-Up of a Child with Non-Syndromic Oligodontia from before the Primary Dentition Stage: A Case Report
Abstract
1. Introduction
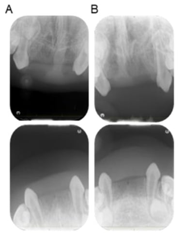
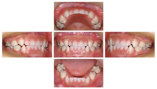
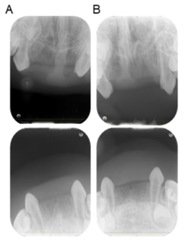
2. Case Presentation
3. Discussion
4. Conclusions
Author Contributions
Funding
Institutional Review Board Statement
Informed Consent Statement
Data Availability Statement
Conflicts of Interest
References
- Tangade, S.P.; Ravishankar, T.L.; Batra, M.; Shah, A.F. Familial Hypodontia: A Case Series. Kathmandu Univ. Med. J. 2015, 13, 167–169. [Google Scholar] [CrossRef]
- Palikaraki, G.; Vardas, E.; Mitsea, A. Two rare cases of non-syndromic paramolars with family occurrence and a review of literature. Dent. J. 2019, 7, 38. [Google Scholar] [CrossRef]
- Akitomo, T.; Asao, Y.; Iwamoto, Y.; Kusaka, S.; Usuda, M.; Kametani, M.; Ando, T.; Sakamoto, S.; Mitsuhata, C.; Kajiya, M.; et al. A third supernumerary tooth occurring in the same region: A case report. Dent. J. 2023, 11, 49. [Google Scholar] [CrossRef]
- Shum, M.; Mahoney, E.; Naysmith, K.; Macfarlane, S.; Corbett, R.; Narsinh, M.; Natarajan, A.; Ramadas, Y.; Hitchings, E.; Anderson, H. Associations between childhood cancer treatment and tooth agenesis. N. Z. Med. J. 2020, 133, 41–54. [Google Scholar] [PubMed]
- Al-Ani, A.H.; Antoun, J.S.; Thomson, W.M.; Merriman, T.R.; Farella, M. Maternal Smoking during Pregnancy Is Associated with Offspring Hypodontia. J. Dent. Res. 2017, 96, 1014–1019. [Google Scholar] [CrossRef] [PubMed]
- Küchler, E.C.; Risso, P.A.; Costa Mde, C.; Modesto, A.; Vieira, A.R. Studies of dental anomalies in a large group of school children. Arch. Oral Biol. 2008, 53, 941–946. [Google Scholar] [CrossRef] [PubMed]
- Yassin, S.M. Prevalence and distribution of selected dental anomalies among saudi children in Abha, Saudi Arabia. Clin. Exp. Dent. 2016, 8, e485–e490. [Google Scholar] [CrossRef]
- Daou, M.H.; Bteiche, P.H.; Fakhouri, J.; Osta, N.E. Prevalence of hypodontia and supernumerary teeth in patients attending private pediatric dental clinic in Lebanon. J. Clin. Pediatr. Dent. 2019, 43, 345–349. [Google Scholar] [CrossRef]
- Grahnen, H.J.; Granath, L.E. Numerical variations in primary dentition and their correlation with the permanent dentition. Odont Revy 1961, 12, 348–357. [Google Scholar]
- Ravn, J.J. Aplasia, supernumerary teeth and fused teeth in the primary dentition. An epidemiologic study. Scand. J. Dent. Res. 1971, 79, 1–6. [Google Scholar] [CrossRef] [PubMed]
- Järvinen, S.; Lehtinen, L. Supernumerary and congenitally missing primary teeth in Finnish children. An epidemiologic study. Acta Odontol. Scand. 1981, 39, 83–86. [Google Scholar] [CrossRef] [PubMed]
- Andersson, K.; Malmgren, B.; Åström, E.; Nordgren, A.; Taylan, F.; Dahllöf, G. Mutations in COL1A1/A2 and CREB3L1 are associated with oligodontia in osteogenesis imperfecta. Orphanet J. Rare Dis. 2020, 15, 80. [Google Scholar] [CrossRef]
- Bartzela, T.N.; Carels, C.E.; Bronkhorst, E.M.; Kuijpers-Jagtman, A.M. Tooth agenesis patterns in unilateral cleft lip and palate in humans. Arch. Oral. Biol. 2013, 58, 596–602. [Google Scholar] [CrossRef] [PubMed]
- Heuberer, S.; Ulm, C.; Zechner, W.; Laky, B.; Watzak, G. Patterns of congenitally missing teeth of non-syndromic and syndromic patients treated at a single-center over the past thirty years. Arch. Oral. Biol. 2019, 98, 140–147. [Google Scholar] [CrossRef] [PubMed]
- Nirmala, S.; Gokhale, N.; Sivakumar, N.; Quadar, M.A. Agenesis of multiple primary teeth and its rehabilitation: A case report. Int. J. Clin. Pediatr. Dent. 2013, 6, 55–57. [Google Scholar]
- Colombari, G.C.; Mariusso, M.R.; Ercolin, L.T.; Mazzoleni, S.; Stellini, E.; Ludovichetti, F.S. Relationship between breastfeeding difficulties, ankyloglossia, and frenotomy: A literature review. J. Contemp. Dent. Pract. 2021, 22, 452–461. [Google Scholar] [CrossRef] [PubMed]
- He, X.; Shu, W.; Kang, Y.; Li, Z.; Zhang, J.; Kari, K.; Meurman, J.H. Esthetic and functional rehabilitation of a patient with nonsyndromic oligodontia: A case report from China. J. Esthet. Restor. Dent. 2007, 19, 137–142. [Google Scholar] [CrossRef] [PubMed]
- Japanese Society of Pediatric Dentistry. Research concerning the sizes of primary tooth crown, primary dental arch and the condition of primary occlusions of the Japanese. Jpn. J. Ped. Dent. 1993, 31, 375–388. (In Japanese) [Google Scholar]
- Rølling, S.; Poulsen, S. Oligodontia in Danish schoolchildren. Acta Odontol. Scand. 2001, 59, 111–112. [Google Scholar] [CrossRef]
- Ruf, S.; Klimas, D.; Hönemann, M.; Jabir, S. Genetic background of nonsyndromic oligodontia: A systematic review and meta-analysis. J. Orofac. Orthop. 2013, 74, 295–308. [Google Scholar] [CrossRef] [PubMed]
- De Santis, D.; Pancera, P.; Sinigaglia, S.; Faccioni, P.; Bertossi, D.; Luciano, U.; Zotti, F.; Kumar, N.; Donadello, D.; Manuelli, M.; et al. Tooth agenesis: Part 2. Orthodontic treatment and prosthetic possibilities. J. Biol. Regul. Homeost. Agents. 2019, 33 (Suppl. S1), 23–28. [Google Scholar]
- Kalia, G.; Tandon, S.; Bhupali, N.R.; Rathore, A.; Mathur, R.; Rathore, K. Speech evaluation in children with missing anterior teeth and after prosthetic rehabilitation with fixed functional space maintainer. J. Indian Soc. Pedod. Prev. Dent. 2018, 36, 391–395. [Google Scholar] [CrossRef]
- Gonçalves, T.M.; Gonçalves, L.M.; Sabino-Bezerra, J.R.; Santos-Silva, A.R.; da Silva, W.J.; Garcia, R.C. Multidisciplinary therapy of extensive oligodontia: A case report. Braz. Dent. J. 2013, 24, 174–178. [Google Scholar] [CrossRef] [PubMed]
- Mohammad, Z.; Bagalkotkar, A.; Mishra, A.; Veerala, G. Customized hybrid bluegrass appliance: An innovative technique. Int. J. Clin. Pediatr. Dent. 2018, 11, 141–145. [Google Scholar] [CrossRef]
- Leite-Cavalcanti, A.; de Alencar, C.R.; Bezerra, P.K.; Granville-Garcia, A.F. Prevalence of early loss of primary molars in school children in Campina Grande, Brazil. Pak. Oral Dent. J. 2008, 28, 113–116. [Google Scholar]
- Hsu, B.S. The nature of arch width difference and palatal depth of the anterior open bite. Am. J. Orthod. Dentofac. Orthop. 1998, 113, 344–350. [Google Scholar] [CrossRef]
- Mochizuki, K. Longitudinal study concerning growth changes of dentition. J. Stomatol. Soc. Jpn. 1965, 32, 357–367. (In Japanese) [Google Scholar] [CrossRef]
- Tageldin, M.A.; Yacout, Y.M.; Marzouk, E.S. Skeletal and dentoalveolar characteristics of maxillary lateral incisor agenesis patients: A comparative cross-sectional study. BMC Oral Health 2022, 22, 608. [Google Scholar] [CrossRef] [PubMed]





| Maxilla | ||
| Tooth | Present case (mm) | Mean ± 1 SD [18] (mm) |
| C | 6.78 | 6.67 ± 0.43 |
| D | 7.38 | 7.36 ± 0.41 |
| E | 8.58 * | 9.30 ± 0.41 |
| Mandible | ||
| Tooth | Present case (mm) | Mean ± 1 SD [18] (mm) |
| C | 5.85 | 5.82 ± 0.34 |
| D | 8.08 | 8.23 ± 0.48 |
| E | 10.03 | 10.34 ± 0.51 |
| Maxilla | |
| Item | Distance |
| CC–CC | Distance between cusps of maxillary bilateral primary canines |
| CL–CL | Distance between lowest point of palatal cervical area of maxillary bilateral primary canines |
| D–D | Distance between buccal cusps of maxillary bilateral first primary molars |
| E–E | Distance between buccal terminal sulci of maxillary bilateral second primary molars |
| Mandible | |
| Item | Distance |
| CC–CC | Distance between cusps of mandibular bilateral primary canines |
| CL–CL | Distance between lowest point of lingual cervical area of mandibular bilateral primary canines |
| D–D | Distance between buccal terminal sulci of mandibular bilateral first primary molars |
| E–E | Distance between mesial buccal sulci of mandibular bilateral second primary molars |
| Maxilla | |||
| Item | 3y4m (mm) | 4y7m (mm) | Average of 3–4 years old [18] (Mean ± 1 SD, mm) |
| CC–CC | 23.4 *** | 24.9 *** | 30.4 ± 1.5 |
| CL–CL | 19.2 *** | 20.6 *** | 24.8 ± 1.3 |
| D–D | 36.1 * | 36.9 * | 39.5 ± 2.0 |
| E–E | 44.1 * | 45.0 | 46.6 ± 2.0 |
| Mandible | |||
| Item | 3y4m (mm) | 4y7m (mm) | Average of 3–4 years old [18] (Mean ± 1 SD, mm) |
| CC –CC | 19.0 *** | 20.8 * | 23.4 ± 1.3 |
| CL–CL | 14.7 *** | 16.0 ** | 19.1 ± 1.2 |
| D–D | 32.4 | 32.8 | 33.4 ± 1.5 |
| E–E | 37.7 | 38.6 | 39.0 ± 1.8 |
| Maxilla | ||
| Item | 5y9m (mm) | Average of 5 years old [18] (Mean ± 1 SD, mm) |
| CC–CC | 25.6 ** | 31.2 ± 1.9 |
| CL–CL | 21.2 ** | 25.5 ± 1.8 |
| D–D | 37.2 * | 40.3 ± 2.7 |
| E–E | 45.1 | 47.6 ± 2.8 |
| Mandible | ||
| Item | 5y9m (mm) | Average of 5 years old [18] (Mean ± 1 SD, mm) |
| CC–CC | 21.6 * | 23.9 ± 1.7 |
| CL–CL | 16.7 ** | 19.8 ± 1.3 |
| D–D | 33.4 | 34.3 ± 2.2 |
| E–E | 39.4 | 39.6 ± 2.4 |
Disclaimer/Publisher’s Note: The statements, opinions and data contained in all publications are solely those of the individual author(s) and contributor(s) and not of MDPI and/or the editor(s). MDPI and/or the editor(s) disclaim responsibility for any injury to people or property resulting from any ideas, methods, instructions or products referred to in the content. |
© 2023 by the authors. Licensee MDPI, Basel, Switzerland. This article is an open access article distributed under the terms and conditions of the Creative Commons Attribution (CC BY) license (https://creativecommons.org/licenses/by/4.0/).
Share and Cite
Akitomo, T.; Kusaka, S.; Iwamoto, Y.; Usuda, M.; Kametani, M.; Asao, Y.; Nakano, M.; Tachikake, M.; Mitsuhata, C.; Nomura, R. Five-Year Follow-Up of a Child with Non-Syndromic Oligodontia from before the Primary Dentition Stage: A Case Report. Children 2023, 10, 717. https://doi.org/10.3390/children10040717
Akitomo T, Kusaka S, Iwamoto Y, Usuda M, Kametani M, Asao Y, Nakano M, Tachikake M, Mitsuhata C, Nomura R. Five-Year Follow-Up of a Child with Non-Syndromic Oligodontia from before the Primary Dentition Stage: A Case Report. Children. 2023; 10(4):717. https://doi.org/10.3390/children10040717
Chicago/Turabian StyleAkitomo, Tatsuya, Satoru Kusaka, Yuko Iwamoto, Momoko Usuda, Mariko Kametani, Yuria Asao, Masashi Nakano, Meiko Tachikake, Chieko Mitsuhata, and Ryota Nomura. 2023. "Five-Year Follow-Up of a Child with Non-Syndromic Oligodontia from before the Primary Dentition Stage: A Case Report" Children 10, no. 4: 717. https://doi.org/10.3390/children10040717
APA StyleAkitomo, T., Kusaka, S., Iwamoto, Y., Usuda, M., Kametani, M., Asao, Y., Nakano, M., Tachikake, M., Mitsuhata, C., & Nomura, R. (2023). Five-Year Follow-Up of a Child with Non-Syndromic Oligodontia from before the Primary Dentition Stage: A Case Report. Children, 10(4), 717. https://doi.org/10.3390/children10040717

