Sign in to use this feature.

Years

Between: -

Subjects

remove_circle_outline
remove_circle_outline
remove_circle_outline
remove_circle_outline
remove_circle_outline
remove_circle_outline
remove_circle_outline
remove_circle_outline
remove_circle_outline

Journals

remove_circle_outline
remove_circle_outline
remove_circle_outline
remove_circle_outline
remove_circle_outline
remove_circle_outline
remove_circle_outline
remove_circle_outline
remove_circle_outline
remove_circle_outline
remove_circle_outline
remove_circle_outline
remove_circle_outline
remove_circle_outline
remove_circle_outline
remove_circle_outline
remove_circle_outline

Article Types

Countries / Regions

remove_circle_outline
remove_circle_outline
remove_circle_outline
remove_circle_outline
remove_circle_outline

Search Results (953)

Search Parameters:
Keywords = match-related factor

Order results
Result details
Results per page
Select all
Export citation of selected articles as:
18 pages, 2912 KB  
Article
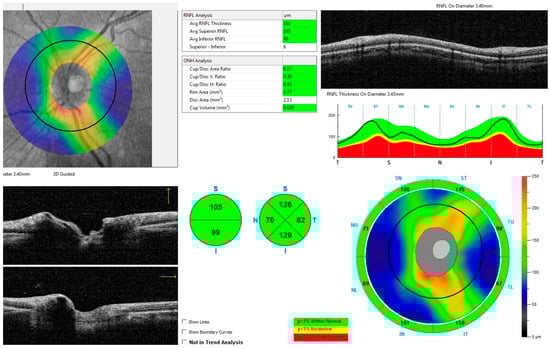
Correlation Between Endocrine and Other Clinical Factors with Peripapillary Retinal Nerve Fiber Layer Thickness After Surgical Treatment of Pediatric Craniopharyngioma
by Agnieszka Bogusz-Wójcik, Klaudia Rakusiewicz-Krasnodębska, Wojciech Hautz, Maciej Jaworski, Paweł Kowalczyk and Elżbieta Moszczyńska
Biomedicines 2026, 14(1), 239; https://doi.org/10.3390/biomedicines14010239 - 21 Jan 2026
Abstract
Background: Visual dysfunction resulting from damage to the optic nerve and retinal neurons represents a significant concern in the postoperative management of childhood-onset craniopharyngioma (CP) survivors. The study aims to evaluate the influence of clinical parameters assessed in patients before and after [...] Read more.
Background: Visual dysfunction resulting from damage to the optic nerve and retinal neurons represents a significant concern in the postoperative management of childhood-onset craniopharyngioma (CP) survivors. The study aims to evaluate the influence of clinical parameters assessed in patients before and after neurosurgery of CP on peripapillary retinal nerve fiber layer (RNFL) thickness results, using optical coherence tomography (OCT) as early markers of compressive neuropathy. Methods: This study retrospectively examined 73 eyes from 38 individuals diagnosed with CP and 64 eyes from 32 healthy controls matched for age and sex. All patients in the study group underwent a complete endocrine examination before and after surgery. Moreover, all participants in both groups underwent a thorough ophthalmological examination and OCT imaging. The average RNFL thickness was analyzed, along with the RNFL in the superior and inferior sectors and in eight peripapillary sectors around the optic nerve. Clinical variables were analyzed to assess how they relate to alterations in RNFL thickness within specific sectors. Results: After surgery, the peripapillary RNFL thickness was much lower in the CP group than in the healthy control group. Preoperative factors significantly affecting RNFL reduction are as follows: age below 5 years at the time of diagnosis, birth in the country, optic disc oedema, delayed puberty, arginine vasopressin deficiency (AVD), growth hormone deficiency (GHD), hyperprolactinemia, and the degree of preoperative hypothalamic involvement. Moreover, syndrome of inappropriate secretion of antidiuretic hormone (SIADH), as well as the end of AVD, memory disorder and hyperfagia after surgery, correlated with damage to RNFL. Conclusions: CP causes significant thinning of the RNFL, which demonstrates the tumor’s impact on the visual pathway. Monitoring optic nerve damage and assessing outcomes after surgery can be performed effectively using OCT. Additionally, the relationship between RNFL thickness in specific areas and clinical indicators can provide vital information for diagnosing and monitoring. This highlights their usefulness in forecasting visual results. As a result, ongoing RNFL assessments should be part of the long-term management of CP patients to improve visual outlook and identify ongoing or remaining damage. Full article
(This article belongs to the Special Issue Pediatric Tumors: Diagnosis, Pathogenesis, Treatment, and Outcome)
Show Figures

Figure 1

9 pages, 716 KB  
Article
Evaluation of Factors Impacting Shelter Cats’ Personalities
by Mihai Borzan, Christelle Digonnet, Emoke Pall, Anamaria Ioana Paștiu and Alexandra Tabaran
Life 2026, 16(1), 155; https://doi.org/10.3390/life16010155 - 17 Jan 2026
Viewed by 97
Abstract
Behavior-related factors represent a major cause of cat relinquishment to shelters, highlighting the need for reliable tools to support appropriate matching between cats and adopters. The present study applied the ASPCA® Meet Your Match® Feline-ality™ assessment to evaluate personality profiles of [...] Read more.
Behavior-related factors represent a major cause of cat relinquishment to shelters, highlighting the need for reliable tools to support appropriate matching between cats and adopters. The present study applied the ASPCA® Meet Your Match® Feline-ality™ assessment to evaluate personality profiles of shelter cats and to examine factors associated with variation in personality expression across shelters. A total of 113 cats housed in six shelters in the south of France were assessed using a standardized behavioral protocol. Differences between shelters were evaluated using one-way ANOVA for behavioral scale scores, while associations between personality type and shelter affiliation, sex, coat color, and age were analyzed using χ2 tests of independence. Significant differences between shelters were observed for the majority of behavioral assessment items, as well as for composite valiance and independent–gregarious scale scores. Shelter affiliation was significantly associated with the distribution of Feline-ality™ personality types, indicating that personality profiles were not uniformly distributed across shelters. No statistically detectable association was found between personality type and sex. In contrast, significant associations were observed between personality type and both coat color category and age category, suggesting non-random variation in personality distribution across these factors. These findings indicate that shelter-related and individual factors are associated with variation in feline personality expression. While causal relationships cannot be inferred, the results underscore the importance of considering environmental context and population characteristics when interpreting shelter-based behavioral assessments. The Feline-ality™ framework appears to be a useful tool for characterizing personality variation in shelter cats and may support improved adoption matching when applied with appropriate caution. Full article
(This article belongs to the Section Animal Science)
Show Figures

Figure 1

23 pages, 3086 KB  
Article
MARL-Driven Decentralized Crowdsourcing Logistics for Time-Critical Multi-UAV Networks
by Juhyeong Han and Hyunbum Kim
Electronics 2026, 15(2), 331; https://doi.org/10.3390/electronics15020331 - 12 Jan 2026
Viewed by 119
Abstract
Centralized UAV logistics controllers can achieve strong navigation performance in controlled settings, but they do not capture key deployment factors in crowdsourcing-enabled emergency logistics, where heterogeneous UAV owners participate with unreliability and dropout, and incentive expenditure and fairness must be accounted for. This [...] Read more.
Centralized UAV logistics controllers can achieve strong navigation performance in controlled settings, but they do not capture key deployment factors in crowdsourcing-enabled emergency logistics, where heterogeneous UAV owners participate with unreliability and dropout, and incentive expenditure and fairness must be accounted for. This paper presents a decentralized crowdsourcing multi-UAV emergency logistics framework on an edge-orchestrated architecture that (i) performs urgency-aware dispatch under distance/energy/payload constraints, (ii) tracks reliability and participation dynamics under stress (unreliable agents and dropout), and (iii) quantifies incentive feasibility via total payment and payment inequality (Gini). We adopt a hybrid decision design in which PPO/DQN policies provide real-time navigation/control, while GA/ACO act as planning-level route refinement modules (not reinforcement learning) to improve global candidate quality under safety constraints. We evaluate the framework in a controlled grid-world simulator and explicitly report stress-matched re-evaluation results under matched stress settings, where applicable. In the nominal comparison, centralized DQN attains high navigation-centric success (e.g., 0.970 ± 0.095) with short reach steps, but it omits incentives by construction, whereas the proposed crowdsourcing method reports measurable payment and fairness outcomes (e.g., payment and Gini) and remains evaluable under unreliability and dropout sweeps. We further provide a utility decomposition that attributes negative-utility regimes primarily to collision-related costs and secondarily to incentive expenditure, clarifying the operational trade-off between mission value, safety risk, and incentive cost. Overall, the results indicate that navigation-only baselines can appear strong when participation economics are ignored, while a deployable crowdsourcing system must explicitly expose incentive/fairness and robustness characteristics under stress. Full article
(This article belongs to the Special Issue Parallel and Distributed Computing for Emerging Applications)
Show Figures

Figure 1

33 pages, 1480 KB  
Article
The Inverted U-Shaped Relationship Between Digital Literacy and Household Carbon Emissions: Empirical Evidence from China’s CFPS Microdata
by Weiping Wu, Liangyu Ye and Shenyuan Zhang
Sustainability 2026, 18(2), 733; https://doi.org/10.3390/su18020733 - 10 Jan 2026
Viewed by 244
Abstract
In the context of China’s dual-carbon agenda and the Digital China initiative, elucidating the role of digital literacy in shaping consumption-based household carbon emissions (HCE) is essential for advancing low-carbon urban living and supporting a broader green transition. Existing research has rarely examined, [...] Read more.
In the context of China’s dual-carbon agenda and the Digital China initiative, elucidating the role of digital literacy in shaping consumption-based household carbon emissions (HCE) is essential for advancing low-carbon urban living and supporting a broader green transition. Existing research has rarely examined, at the individual level, how digital capability shapes household consumption decisions and the structure of carbon emissions. Accordingly, this study draws on matched household-individual microdata from the China Family Panel Studies (CFPS). We employ a two-way fixed effects model, kernel density analysis, and qualitative comparative analysis. We test the nonlinear effect of digital literacy on household consumption-related carbon emissions and examine its heterogeneity. We also examined the mediating role of perceived environmental pressure, social trust and income level. The research results show that: (1) The net impact of digital literacy on carbon emissions related to household consumption shows an inverted U-shaped curve, rising first and then falling. When digital literacy is low, it mainly increases emissions by expanding consumption channels, reducing transaction costs and improving convenience. Once digital literacy exceeds a certain threshold, the mechanism will gradually turn to optimize the consumption structure, so as to support the low-carbon transformation of individuals. (2) The impact of digital literacy on HCE is structurally different in different types of consumption. In terms of transportation and communication expenditure, the emission reduction effect is the most significant, and with the improvement in digital literacy, this effect will become more and more obvious. For housing-related consumption, the turning point appeared the earliest. With the improvement in digital literacy, its effect will enter the emission reduction stage faster. (3) Digital literacy can reduce carbon emissions related to household consumption by enhancing residents’ perception of environmental pressure and strengthening social trust. However, it may also increase emissions by increasing residents’ incomes, because it will expand the scale of consumption, which will lead to an increase in carbon emissions related to household consumption. (4) The heterogeneity analysis shows that as digital literacy improves, carbon emissions increase more strongly among rural residents, people with low human capital, low-income households, and women. However, the turning-point threshold for emission reduction is relatively lower for women and rural residents. (5) Low-carbon transitions in household consumption are shaped by dynamic interactions among multiple factors, and multiple pathways can coexist. Digital literacy can work with environmental responsibility to endogenously promote low-carbon consumption behavior. It can also, under well-developed infrastructure, empower households and amplify the emission-reduction effects of technology. Full article
Show Figures

Figure 1

16 pages, 7510 KB  
Article
Determining the Optimal Heparin Binding Domain Distance in VEGF165 Using Umbrella Sampling Simulations for Optimal Dimeric Aptamer Design
by Jung Seok Lee, Yeon Ju Go and Young Min Rhee
Int. J. Mol. Sci. 2026, 27(2), 712; https://doi.org/10.3390/ijms27020712 - 10 Jan 2026
Viewed by 162
Abstract
Vascular endothelial growth factor 165 (VEGF165) stands out as a pivotal isoform of the VEGF-A protein and is critically involved in various angiogenesis-related diseases. Consequently, it has emerged as a promising target for diagnosing and treating such conditions. Structurally, VEGF165 [...] Read more.
Vascular endothelial growth factor 165 (VEGF165) stands out as a pivotal isoform of the VEGF-A protein and is critically involved in various angiogenesis-related diseases. Consequently, it has emerged as a promising target for diagnosing and treating such conditions. Structurally, VEGF165 forms a homodimer, and each of its constituting monomers comprises a receptor-binding domain (RBD) and a heparin-binding domain (HBD). These two domains are linked by a flexible linker, and thus the overall structure of VEGF165 remains incompletely understood. Aptamers are known as potent drugs that interact with VEGF165, and dimeric aptamers that can simultaneously interact with two distant domains are frequently adopted to improve the potency. However, designing such aptamer dimers faces challenges in regard to determining the appropriate length of the linker connecting the two aptamer fragments. To gain insight into this distance information, we here employ biased molecular dynamics (MD) simulations with the umbrella sampling method, with the distance between the two HBDs serving as a reaction coordinate. Our simulations reveal an overall preference for compact conformations with HBD-HBD distances below 3 nm, with the minimum of the potential of mean force located at 1.1 nm. We find that VEGF165 with the optimal HBD-HBD distance forms hydrogen bonds with its receptor VEGFR-2 that well match experimentally known key hydrogen bonds. We then try to computationally design aptamer homodimers consisting of two del5-1 aptamers connected by various linker lengths to target VEGF165. Collectively, our findings may provide quantitative guidelines for rationally designing high-affinity aptamers for targeting VEGF165. Full article
(This article belongs to the Special Issue Nucleic Acid Aptamers in Molecular Medicine)
Show Figures

Figure 1

15 pages, 1856 KB  
Article
EMG-Based Muscle Synergy Analysis: Leg Dominance Effects During One-Leg Stance on Stable and Unstable Surfaces
by Arunee Promsri
Signals 2026, 7(1), 5; https://doi.org/10.3390/signals7010005 - 9 Jan 2026
Viewed by 146
Abstract
Leg dominance has been linked to an increased risk of lower-limb injuries in sports. This study examined bilateral asymmetry in muscle synergy patterns during one-leg stance on stable and multiaxial unstable surfaces. Twenty-five active young adults (25.6 ± 3.9 years) performed unipedal stance [...] Read more.
Leg dominance has been linked to an increased risk of lower-limb injuries in sports. This study examined bilateral asymmetry in muscle synergy patterns during one-leg stance on stable and multiaxial unstable surfaces. Twenty-five active young adults (25.6 ± 3.9 years) performed unipedal stance tasks on their dominant and non-dominant legs while surface electromyography (EMG) was recorded from seven lower-limb muscles per leg. Muscle synergies were extracted using non-negative matrix factorization (NMF), and structural similarity was assessed via cosine similarity with the Hungarian matching algorithm. Four consistent synergies were identified under both surface conditions, accounting for 88% of the total variance. On the stable surface, significant asymmetry in muscle weightings was observed in the rectus femoris (p = 0.030) for Synergy 1 and in the rectus femoris (p = 0.042), tibialis anterior (p = 0.024), peroneus longus (p = 0.023), and soleus (p = 0.006) for Synergy 2. On the unstable surface, asymmetry was evident in the biceps femoris (p = 0.048) for Synergy 2 and the rectus femoris (p = 0.045) for Synergy 3. Overall, dominance-related asymmetry was more pronounced under stable conditions and became more subtle as postural demand increased, revealing bilateral asymmetry in neuromuscular coordination during unipedal stance. Full article
Show Figures

Figure 1

12 pages, 634 KB  
Article
The Impact of ABO Blood Type on Hemoglobin Decline After Total Hip Arthroplasty
by Toshiyuki Kawai, Yaichiro Okuzu, Koji Goto, Yutaka Kuroda, Yugo Morita and Shuichi Matsuda
J. Clin. Med. 2026, 15(2), 515; https://doi.org/10.3390/jcm15020515 - 8 Jan 2026
Viewed by 231
Abstract
Background: ABO blood type was reported to have a profound influence on hemostasis. This study aimed to determine the association between ABO blood type and the hemoglobin drop after total hip arthroplasty (THA). Methods: We retrospectively reviewed the changes in hemoglobin [...] Read more.
Background: ABO blood type was reported to have a profound influence on hemostasis. This study aimed to determine the association between ABO blood type and the hemoglobin drop after total hip arthroplasty (THA). Methods: We retrospectively reviewed the changes in hemoglobin after elective primary THA. Demographic characteristics were analyzed for 794 eligible THAs. Changes in hemoglobin at postoperative days 1, 7, and 14 relative to the preoperative level were analyzed for 777 THAs that did not require allogenic blood transfusion (ABT). The effects of blood type were examined using a multivariate regression model and a propensity score matching model. Results: The hemoglobin drop was largest at 7 days, and the values differed significantly between type O cases and non-type O cases (2.68 ± 1.08 g/dL vs. 2.41 ± 1.02 g/dL; p = 0.0013). In the multivariate model, blood type O was identified as an independent factor for larger hemoglobin drop at 7 days (p = 0.015). Lower body mass index, non-hybrid THA, higher preoperative hemoglobin level, direct lateral approach, and prophylactic use of factor Xa inhibitor were also identified as independent risk factors for larger hemoglobin drop. After successful matching of 232 THAs in type O patients with 232 THAs in non-type O patients, hemoglobin drop at 7 days was significantly larger in type O patients (−2.44 ± 1.05 g/dL vs. −2.70 ± 1.05 g/dL, p = 0.0092). Conclusions: Blood type O was independently associated with a slightly greater postoperative hemoglobin decline after primary THA; however, the absolute between-group difference was small and was not accompanied by a higher allogenic transfusion rate. Therefore, ABO blood type may represent a minor risk marker and should be interpreted in the context of clinically more relevant bleeding- and hemodilution-related factors (e.g., perioperative anticoagulant/antiplatelet therapy and underlying coagulopathies). Full article
(This article belongs to the Special Issue Advanced Approaches in Hip and Knee Arthroplasty)
Show Figures

Figure 1

11 pages, 592 KB  
Article
Early Graft Loss in Solitary Pancreas Transplant Recipients Within Eurotransplant Region
by Jacobus W. Mensink, Jacob K. de Bakker, Marko J. K. Mallat, Milou van Bruchem, Danny van der Helm, Marieke van Meel, Aiko P. J. de Vries, Robert A. Pol, Christian Margreiter and Volkert A. L. Huurman
Transplantology 2026, 7(1), 3; https://doi.org/10.3390/transplantology7010003 - 8 Jan 2026
Viewed by 187
Abstract
Introduction: While extensive research has been conducted on specific factors affecting transplant outcomes in simultaneous pancreas-kidney recipients, less is known about outcomes following single pancreas transplantation (PTx). This study focuses on identifying factors related to early graft loss after PTx. Patients and Methods: [...] Read more.
Introduction: While extensive research has been conducted on specific factors affecting transplant outcomes in simultaneous pancreas-kidney recipients, less is known about outcomes following single pancreas transplantation (PTx). This study focuses on identifying factors related to early graft loss after PTx. Patients and Methods: A retrospective analysis was performed on a Eurotransplant (ET) registry database encompassing all consecutive solitary pancreas transplantations from 2000 to 2018. To address any missing values, multiple imputation techniques were employed. Uni and multivariable statistical analyses were performed. Results: The primary causes of early graft loss (<90 days) were thrombosis, bleeding, rejection, and infection. Using multivariable analysis, donor male gender (Hazard Ratio (HR) 0.62) was significantly associated with early graft survival. Of all recipient variables, recipient age (HR 0.96) and recipient cardiovascular history (HR 2.10) were associated with graft loss. A subgroup analysis PTx of female donors into female recipients showed an increased risk for early graft loss compared to male-to-male transplants (HR 2.14). The graft survival rates were 62.9% and 79.0%, respectively (p = 0.017). Discussion: This Eurotransplant registry analysis identifies various donor- and recipient-related risk factors after PTx, partly mirroring the SPK population but also identifying new factors. These findings identify PTx patients as a separate entity in pancreas transplantation and emphasize the need for tailor-made matching of donors and recipients. Full article
(This article belongs to the Section Solid Organ Transplantation)
Show Figures

Figure 1

28 pages, 572 KB  
Article
Direct Transformation of Laplace Equation’s Solution from Spherical to Cartesian Representation
by Gibárt Gilányi
Mathematics 2026, 14(2), 226; https://doi.org/10.3390/math14020226 - 7 Jan 2026
Viewed by 133
Abstract
The description of the Earth’s gravitational field, governed by the fundamental potential equation (the Laplace equation), is conventionally expressed using spherical harmonics, yet the Cartesian formulation, using a Taylor series representation, offers significant algebraic advantages. This paper proposes a novel Direct Cartesian Method [...] Read more.
The description of the Earth’s gravitational field, governed by the fundamental potential equation (the Laplace equation), is conventionally expressed using spherical harmonics, yet the Cartesian formulation, using a Taylor series representation, offers significant algebraic advantages. This paper proposes a novel Direct Cartesian Method for generating spherical basis functions and coefficients directly within the Cartesian coordinate system, utilising the partial derivatives of the inverse distance (1/R) function. The present study investigates the structural correspondence between the Cartesian form of spherical basis functions and the high-order partial derivatives of 1/R. The study reveals that spherical basis functions can be categorised into four distinct groups based on the parity of the degree n and order m. It is demonstrated that each spherical basis function is equivalent to a weighted summation of the partial derivatives of the inverse distance (1/R) with respect to Cartesian coordinates. Specifically, the basis functions are combined with those derivatives that share the same order of Z-differentiation and possess matching parities in their orders of differentiation with respect to X and Y. In order to facilitate the practical calculation of these high-degree derivatives, a recursive numerical algorithm has been developed. The method generates the polynomial coefficients for the numerator of the 1/R derivatives. A pivotal innovation is the implementation of a step-wise normalization scheme within the recursive relations. The integration of the recursive ratios of global normalization factors (including full Schmidt normalization) into each step of the algorithm effectively neutralises factorial growth, rendering the process immune to numerical overflow. The validity and numerical stability of the proposed method are demonstrated through a detailed step-by-step derivation of a sectorial basis function (n=8,m=2). Full article
Show Figures

Figure 1

16 pages, 1016 KB  
Article
Impact of a History of COVID-19 Infection on Postoperative Complications in Spinal Surgery: A Nationwide Cohort Study
by Namhoo Kim, Joonoh Seo, Minae Park, Yoonjong Bae, Min Ho Lee, Byung Ho Lee, Si-Young Park, Kyung-Soo Suk, Seong-Hwan Moon, Hak-Sun Kim and Ji-Won Kwon
J. Clin. Med. 2026, 15(2), 420; https://doi.org/10.3390/jcm15020420 - 6 Jan 2026
Viewed by 242
Abstract
Background/Objectives: The postoperative implications of a history of coronavirus disease 2019 (COVID-19) in patients undergoing spinal surgery remain inadequately defined. This study investigated whether a history of COVID-19 is associated with increased postoperative complication risk and assessed how surgical timing after infection [...] Read more.
Background/Objectives: The postoperative implications of a history of coronavirus disease 2019 (COVID-19) in patients undergoing spinal surgery remain inadequately defined. This study investigated whether a history of COVID-19 is associated with increased postoperative complication risk and assessed how surgical timing after infection influences outcomes. Methods: Patients who underwent spinal surgery in 2020 were identified. Individuals with a confirmed history of COVID-19 were matched 1:3 by age and sex to uninfected controls. Patients were categorized by the interval between COVID-19 diagnosis and the index surgical date (≤1 month, >1–≤3 months, or >3–≤6 months). Postoperative pulmonary, cardiovascular, thromboembolic, infectious, and mortality outcomes were evaluated. Cumulative risks were estimated using Kaplan–Meier analysis, and adjusted hazard ratios (HRs) were determined using multivariable Cox proportional hazards models controlling for demographic and clinical factors. Results: Surgery performed ≤1 month after COVID-19 diagnosis was associated with significantly higher risks of pneumonia within 3 months (HR 3.91; p = 0.031) and 6 months postoperatively (HR 3.12; p = 0.049). Patients undergoing surgery >1–≤3 months after COVID-19 demonstrated increased risk of spinal and implant-related infections within 3 months (HR 2.12; p = 0.040), and this elevated risk persisted when surgery occurred >3–≤6 months after infection (HR 2.00; p = 0.022). No significant differences were observed in cardiovascular, thromboembolic, or mortality outcomes. Conclusions: A history of COVID-19 infection was associated with postoperative pneumonia and spinal and implant-related infections following spinal surgery. These findings suggest that prior COVID-19 infection may be a relevant consideration in perioperative risk assessment and surgical planning. Full article
(This article belongs to the Section Orthopedics)
Show Figures

Figure 1

15 pages, 1058 KB  
Systematic Review
Unresolved Controversies: The Effect of Benzodiazepines on Cognition and Alzheimer’s Disease
by Aidan R. Butler, Namhee Kim and Holly C. Hunsberger
J. Dement. Alzheimer's Dis. 2026, 3(1), 2; https://doi.org/10.3390/jdad3010002 - 4 Jan 2026
Viewed by 395
Abstract
Background: Benzodiazepines (BZDs) are commonly prescribed for anxiety, insomnia, and muscle relaxation, but concerns remain regarding their potential long-term cognitive effects. Prior reviews have reported inconsistent associations between BZD use and cognitive risk, often limited by methodological heterogeneity and unresolved biases. Objective: This [...] Read more.
Background: Benzodiazepines (BZDs) are commonly prescribed for anxiety, insomnia, and muscle relaxation, but concerns remain regarding their potential long-term cognitive effects. Prior reviews have reported inconsistent associations between BZD use and cognitive risk, often limited by methodological heterogeneity and unresolved biases. Objective: This systematic review critically evaluates the evidence on BZD exposure and cognitive outcomes, with a specific focus on study design, potential biases, and other factors of methodological heterogeneity. Methods: Following PRISMA 2020 guidelines, we searched PubMed and Google Scholar for studies published between 2010 and 2025. The final search was conducted on 1 July 2025. Eligible studies assessed cognitive performance or incident dementia in community-dwelling adults with regard to BZD use. One reviewer independently screened titles, abstracts, and full texts to determine the eligibility of each study. The other two reviewers participated in the inclusion and exclusion decisions. Any disagreements were resolved by consensus among all three reviewers to minimize bias. No statistical data handling, data conversions, or missing imputation was conducted, as this review did not include quantitative synthesis or meta-analysis. Results: Of 79 references screened by titles, abstracts, and full texts, seventeen articles met the inclusion criteria for this review. Participants in the cohort studies were mostly older adults and cognitively healthy at baseline, while those from case–control studies were dementia patients and their matched controls. Overall, findings remain inconsistent, with five studies reporting an association between BZD use and cognition in the entire cohort, six reporting effects only in specific contexts or subgroups, and six finding no evidence at all. Potential contributing factors to this variability include protopathic bias, operational definitions of BZD exposure, and whether analyses were stratified by factors such as sex, drug half-life, or dose. Conclusions: Due to inconsistencies among findings and limitations in study design rigor, the current review cannot determine whether BZDs independently raise cognitive risk. Future research should adopt more rigorous study designs, with particular attention to addressing protopathic bias, and clarify limitations related to the operational definition of BZD. In addition, our findings support the need for further investigation of BZD association with vulnerable populations, including those with sex-specific susceptibility, low socioeconomic status, and exposure to high-risk prescribing practices. Full article
Show Figures

Figure 1

13 pages, 1031 KB  
Article
Association Between SGLT2 Inhibitor Use and Reduced Risk of Liver-Related Events, Including Hepatocellular Carcinoma, in Diabetic Patients with Viral Hepatitis: A Nationwide Cohort Study
by Seong Hee Kang, Jimi Choi, Hyung Joon Yim, Young Kul Jung, Sun Young Yim, Young-Sun Lee, Yeon Seok Seo, Ji Hoon Kim, Jong Eun Yeon and Kwan Soo Byun
Cancers 2026, 18(1), 120; https://doi.org/10.3390/cancers18010120 - 30 Dec 2025
Viewed by 315
Abstract
Background and Aims: Diabetes mellitus and chronic hepatitis B/C infection are risk factors for liver cirrhosis and hepatocellular carcinoma (HCC). This study aimed to evaluate whether sodium-glucose cotransporter-2 inhibitors (SGLT2i) improved liver-related outcomes in patients with chronic viral hepatitis and co-existing diabetes. [...] Read more.
Background and Aims: Diabetes mellitus and chronic hepatitis B/C infection are risk factors for liver cirrhosis and hepatocellular carcinoma (HCC). This study aimed to evaluate whether sodium-glucose cotransporter-2 inhibitors (SGLT2i) improved liver-related outcomes in patients with chronic viral hepatitis and co-existing diabetes. Methods: Using data from the Korean nationwide cohort, this study included 37,629 patients with concurrent diabetes and chronic hepatitis B/C infection, without prior HCC, who were treated with oral hypoglycemic agents. Patients who were treated with SGLT2is for over 90 days were allocated to the SGLT2i group, whereas those who never received SGLT2is comprised the non-SGLT2i group. The primary outcome was the occurrence of liver-related events, including HCC. Results: After 1:2 propensity score matching, the SGLT2i group comprised 12,543 patients (chronic hepatitis B, CHB: n = 9392; chronic hepatitis C, CHC: n = 4300, CHB & CHC: n = 1149), while the non-SGLT2i group included 25,086 patients (CHB: n = 18,806; CHC: n = 8553, CHB & CHC: 2273). The incidence rate of composite liver-related complications was lower in the SGLT2i group than that in the non-SGLT2i group (6.67 per 1000 vs. 8.99 per 1000). Moreover, SGLT2i therapy was associated with a reduced risk of HCC development (subdistribution hazard ratio [sHR] = 0.77, 95% confidence interval [CI] = 0.66–0.91; p = 0.002) and developing cirrhosis (sHR = 0.67, 95% CI = 0.54–0.83; p < 0.001). Conclusions: SGLT2is should be considered a therapeutic option for controlling diabetes, reducing the metabolic burden, and improving liver outcomes in patients with concurrent diabetes and chronic viral hepatitis. Full article
Show Figures

Figure 1

18 pages, 662 KB  
Article
The Association of Outpatient Cost-Sharing Policy with Health and Economic Outcomes for Rural Children in China: A Cross-Sectional Study
by Chen Wu and Lixiong Yang
Healthcare 2026, 14(1), 63; https://doi.org/10.3390/healthcare14010063 - 26 Dec 2025
Viewed by 609
Abstract
Background/Objectives: Under the urban–rural dual structure, rural children’s health security faces multiple challenges. These stem from geographical disadvantages, inadequate resources, and systemic flaws in medical insurance design. The outpatient cost-sharing policy is a key design to address these issues. Methods: Using [...] Read more.
Background/Objectives: Under the urban–rural dual structure, rural children’s health security faces multiple challenges. These stem from geographical disadvantages, inadequate resources, and systemic flaws in medical insurance design. The outpatient cost-sharing policy is a key design to address these issues. Methods: Using data from the 2018 China Household Income Project (CHIP), this study employs Propensity Score Matching, Ordered Probit, Logit, and a Two-Part Model to examine the association between the policy and the health and economic outcomes of rural children. Conclusions: The results show that the policy is significantly associated with better child health scores and a higher probability of reimbursement. These positive associations appear to be connected to three potential factors: higher use of outpatient services, better mother’s health, and greater school-related food and accommodation expenses. In contrast to adult populations, no significant substitution between outpatient and inpatient services was observed for children, suggesting the non-discretionary and rigid nature of pediatric hospitalization decisions. This research provides robust empirical evidence for the policy’s potential benefits, offering important implications for optimizing the child medical security system. Full article
Show Figures

Figure 1

23 pages, 303 KB  
Article
Beyond Dairy: Consumer Perceptions and Beliefs About Dairy Alternatives—Insights from a Segmentation Study
by Sylwia Żakowska-Biemans
Foods 2026, 15(1), 77; https://doi.org/10.3390/foods15010077 - 26 Dec 2025
Viewed by 364
Abstract
Increasing consumption of plant-based alternatives is promoted to reduce the environmental impact of food systems, yet adoption remains limited. The aim of this study was to identify distinct consumer segments and examine differences in their perceptions, consumption habits, and trial intentions concerning plant-based [...] Read more.
Increasing consumption of plant-based alternatives is promoted to reduce the environmental impact of food systems, yet adoption remains limited. The aim of this study was to identify distinct consumer segments and examine differences in their perceptions, consumption habits, and trial intentions concerning plant-based dairy alternatives (PBDAs). Conceptually, it advances PBDAs segmentation by jointly incorporating pro-dairy justifications, avoidance of animal-origin considerations, and self-reported PBDAs familiarity, capturing psychological defence mechanisms alongside knowledge-related influences on adoption. Data were collected in a nationwide cross-sectional CAWI survey of 1220 Polish adults responsible for household food purchasing, stratified and quota-matched by gender, age, region, and settlement size. Factor analysis of the segmenting variables was conducted using principal component analysis with varimax rotation, followed by two-step cluster analysis. Alternative cluster solutions were compared using the Bayesian Information Criterion based on the log-likelihood (BIC-LL). The selected five-cluster solution showed acceptable to good clustering quality, as indicated by silhouette-based measures of cohesion and separation. Given the cross-sectional CAWI design and reliance on self-reported measures, the findings do not allow causal inference and should be interpreted as context-specific to the Polish, dairy-centric food culture. Cluster analysis identified five segments that differed in PBDA-related beliefs, product image evaluations, consumption patterns, and trial intentions. PBDA-oriented segments, comprising a dairy-critical segment and a dual-consumption segment, exhibited higher perceived familiarity and stronger ethical and environmental concerns and showed greater PBDA use and willingness to try new products. The dual-consumption segment reported the highest use and trial readiness. In contrast, resistant segments showed stronger dairy attachment, lower perceived familiarity, and more sceptical evaluations of PBDAs’ healthfulness, naturalness, and sensory appeal, and rarely consumed plant-based alternatives. The findings highlight substantial heterogeneity in how Polish dairy consumers perceive PBDAs, emphasising the importance of segment-specific approaches for communication and product development. Tailored strategies can help address the diverse motivations and barriers of consumers, supporting a dietary shift toward more plant-based options. Full article
(This article belongs to the Special Issue Consumer Behavior and Food Choice—4th Edition)
18 pages, 983 KB  
Article
Structural Damage, Visual Field Loss, and Quality of Life in Optic Disc Drusen: A Case–Control Study with Integrated Data-Driven Phenotypes
by Alina Dumitriu, Bogdan Dumitriu, Luana Maria Gosman and Mihnea Munteanu
J. Clin. Med. 2026, 15(1), 61; https://doi.org/10.3390/jcm15010061 - 22 Dec 2025
Viewed by 302
Abstract
Background/Objectives: Optic disc drusen (ODD) are an under-recognized cause of optic neuropathy, and the impact of structure–function damage on quality of life (QoL) is poorly defined. We compared systemic risk factors, ocular structure–function, and QoL in adults with ODD versus matched controls and [...] Read more.
Background/Objectives: Optic disc drusen (ODD) are an under-recognized cause of optic neuropathy, and the impact of structure–function damage on quality of life (QoL) is poorly defined. We compared systemic risk factors, ocular structure–function, and QoL in adults with ODD versus matched controls and identified determinants of impaired vision-related QoL. Methods: In a tertiary clinic, 60 adults with ultrasonography- or OCT-confirmed ODD were age- and sex-matched 1:1 to 60 controls without ODD. Retrospective clinical and imaging data (BCVA, RNFL thickness, standard automated perimetry) were combined with cross-sectional NEI VFQ-25 and EQ-5D-5L scores. Results: ODD patients more often had hypertension (51.7% vs. 31.7%, p = 0.026) and migraine (38.3% vs. 21.7%, p = 0.046). They showed worse BCVA (0.2 vs. 0.1 logMAR, p < 0.001), thinner RNFL (95.3 vs. 103.8 µm, p < 0.001), more depressed mean deviation (−4.7 vs. −1.3 dB, p < 0.001), and more frequent reproducible visual field defects (68.3% vs. 11.7%, p < 0.001). Vision-specific QoL was reduced (VFQ-25 composite 77.3 ± 11.4 vs. 89.7 ± 8.6, p < 0.001) and generic health status lower (EQ-5D utility 0.8 ± 0.1 vs. 0.9 ± 0.1, p < 0.001). In ODD, worse BCVA, more negative mean deviation and lower EQ-5D were independently associated with poorer VFQ-25 (model R2 = 0.57), while older age, thinner RNFL and migraine predicted visual field defects. Conclusions: ODD are associated with substantial visual field loss and clinically meaningful decrements in vision-related and generic QoL. Full article
(This article belongs to the Section Ophthalmology)
Show Figures

Figure 1

Back to TopTop