Sign in to use this feature.

Years

Between: -

Subjects

remove_circle_outline
remove_circle_outline
remove_circle_outline
remove_circle_outline
remove_circle_outline
remove_circle_outline
remove_circle_outline
remove_circle_outline
remove_circle_outline

Journals

remove_circle_outline
remove_circle_outline
remove_circle_outline
remove_circle_outline
remove_circle_outline
remove_circle_outline
remove_circle_outline
remove_circle_outline
remove_circle_outline
remove_circle_outline
remove_circle_outline

Article Types

Countries / Regions

remove_circle_outline
remove_circle_outline
remove_circle_outline
remove_circle_outline
remove_circle_outline

Search Results (1,970)

Search Parameters:
Keywords = macrophage inflammatory protein-1

Order results
Result details
Results per page
Select all
Export citation of selected articles as:
30 pages, 4170 KB  
Article
EruA, a Regulator of Adherent-Invasive E. coli, Enhances Bacterial Pathogenicity by Promoting Adhesion to Epithelial Cells and Survival Within Macrophages
by Zeyan Xu, Chuyu Qin, Ruohan Zhang, Mengting Wu, Anqi Cui, Wei Chen, Lu Chen, Daqing Gao and Ruihua Shi
Biomolecules 2026, 16(1), 152; https://doi.org/10.3390/biom16010152 - 14 Jan 2026
Viewed by 40
Abstract
Adherent-invasive E. coli (AIEC) is closely related to inflammatory bowel disease (IBD). However, its pathogenic mechanism has not yet been fully elucidated. Using a BLASTP search, we discovered that the amino acid sequence of a putative protein (UFP37798.1) in the AIEC LF82 strain [...] Read more.
Adherent-invasive E. coli (AIEC) is closely related to inflammatory bowel disease (IBD). However, its pathogenic mechanism has not yet been fully elucidated. Using a BLASTP search, we discovered that the amino acid sequence of a putative protein (UFP37798.1) in the AIEC LF82 strain is highly homologous to some regulators in the SlyA family. We named it EruA. We displayed the secondary structures of EruA using bioinformatics, overexpressed the His6-tagged EruA protein using SDS-PAGE, and dissected the genetic organization of the eruA chromosomal region using 5′RACE. We constructed an eruA deletion mutant (ΔeruA) and a complementary strain (CΔeruA) of the LF82 strain. The transcriptomes of wild-type (WT) and ΔeruA bacteria were compared using RNA sequencing and qRT-PCR, thereby identifying 32 differentially expressed genes (DEGs). Based on YASARA software and EMSA analysis, EruA directly binds to the consensus sequences (PfimA and PtnaB) in the promoter region of the fimA and tnaB genes from these DEGs. By using a super-resolution confocal microscope (SCM), counting CFUs of colonies on plates, indole quantification, and crystal violet staining of biofilms adhered to tubes or 96-well plates, we found that EruA activates the fimA to promote bacterial adhesion to intestinal epithelial cells and activates the tnaB to enhance bacterial indole production and biofilm formation. Moreover, EruA helps AIEC resist environmental stress and enhances bacterial survival within macrophages as well as loading in mouse tissues. Notably, EruA promotes AIEC colonization in the colons of mice and exacerbates intestinal inflammation caused by bacterial infection in mice with DSS-induced inflammatory colitis, manifested by weight loss, colon length shortening, and pathological changes in colon tissues. Therefore, EruA plays a key role in the pathogenicity of AIEC. Full article
(This article belongs to the Special Issue Recent Advances in Molecular Genetics of Bacteria)
Show Figures

Figure 1

23 pages, 1377 KB  
Review
Immunomodulatory Effects of Lidocaine: Mechanisms of Actions and Therapeutic Applications
by Jianwei Wu, Quanfu Chen, Zhiling He, Bin Yang, Zhenhua Dai and Feifei Qiu
Pharmaceuticals 2026, 19(1), 134; https://doi.org/10.3390/ph19010134 - 12 Jan 2026
Viewed by 174
Abstract
Lidocaine, an amide-type regional anesthetic, has been an important medication in the field of anesthesia since its clinical approval. Recently, lidocaine has emerged as a powerful immunomodulatory agent beyond its classical anesthetic properties. This review has summarized the recent basic and clinical studies [...] Read more.
Lidocaine, an amide-type regional anesthetic, has been an important medication in the field of anesthesia since its clinical approval. Recently, lidocaine has emerged as a powerful immunomodulatory agent beyond its classical anesthetic properties. This review has summarized the recent basic and clinical studies with sufficient evidence on the multifaceted effects of lidocaine on both innate and adaptive immune cells, including macrophages, neutrophils, eosinophils, basophils, natural killer (NK) cells, mast cells, dendritic cells (DCs), monocytes, and T lymphocytes. We have also detailed how lidocaine affects critical cellular processes, such as cellular polarization, cytokine production, phagocytosis, and apoptosis, through multiple signaling pathways, including NF-κB, TLR4/p38 MAPK, voltage-sensitive sodium channels, HIF1α, TGF-β/Smad3, AMPK-SOCS3, TBK1-IRF7, and G protein-coupled receptors. These immunoregulatory effects of lidocaine are dependent on its concentration, duration of action, and the microenvironment. The immunomodulatory actions of lidocaine may contribute to its potential therapeutic value in various settings of diseases, such as cancer, sepsis, acute lung injury, asthma, organ transplantation, ischemia–reperfusion injury (IRI), and diabetes. We propose that lidocaine can be repurposed as an immunomodulator for treating immune-mediated inflammatory diseases. However, future research should define optimal dosing strategies, validate its mechanisms of action in clinical trials, and explore its novel clinical applications as a complementary immunotherapy. Full article
(This article belongs to the Section Pharmacology)
Show Figures

Figure 1

13 pages, 7859 KB  
Article
Itaconate Promotes Cold Adaptation and Myocardial Protection by Enhancing Brown Adipose Tissue Metabolism
by Zilong Geng, Xing Liu, Xiao Cheng, Shizhan Xu, Jin Zhang, Ao Tan, Shun Song and Shasha Zhang
Metabolites 2026, 16(1), 66; https://doi.org/10.3390/metabo16010066 - 12 Jan 2026
Viewed by 115
Abstract
Background/Objectives: Itaconic acid (ITA) is an immunometabolite with anti-inflammatory and metabolic regulatory functions, but its cellular source and role in brown adipose tissue (BAT) remain unclear. This study aims to reveal the expression patterns of the key ITA synthesis gene Irg1 in BAT [...] Read more.
Background/Objectives: Itaconic acid (ITA) is an immunometabolite with anti-inflammatory and metabolic regulatory functions, but its cellular source and role in brown adipose tissue (BAT) remain unclear. This study aims to reveal the expression patterns of the key ITA synthesis gene Irg1 in BAT at different developmental stages and to investigate the effects of cold exposure and exogenous ITA on BAT metabolic function and cardioprotection. Methods: Single-cell RNA sequencing was used to analyze the gene expression profiles of stromal vascular fraction (SVF) cells in BAT from P7 neonatal and adult mice. Bioinformatic methods were applied to identify cell types expressing Irg1. Cold exposure (4 °C) and exogenous ITA treatment were employed to evaluate BAT morphology, and the ITA content in BAT was detected using gas chromatography–triple quadrupole mass spectrometry, UCP1 protein expression, and body temperature changes. A transverse aortic constriction (TAC) surgery model was established to induce cardiac dysfunction, and BAT excision was performed to explore the BAT-dependent effects of ITA on myocardial hypertrophy, fibrosis, and cardiac function. Results: In P7 neonatal mouse BAT, Irg1 was predominantly expressed in a subset of interferon-responsive activated macrophages (macrophage27), while in adult mice, it was mainly expressed in neutrophils and a functionally similar macrophage subset (macrophage25). Cold exposure significantly suppressed Irg1 expression in neutrophils but did not affect its expression in macrophages, also resulting in a significant decrease in ITA content in BAT. Exogenous ITA significantly enhanced BAT thermogenesis under cold conditions, which manifested as reduced lipid droplets, upregulated UCP1 expression, and increased body temperature. In the TAC model, ITA treatment markedly improved cardiac function, attenuated myocardial hypertrophy and fibrosis, and these protective effects were significantly diminished after BAT excision. Conclusions: ITA promotes cold adaptation and ameliorates cardiac injury by enhancing BAT metabolic function, and its effects depend on the presence of BAT. This study provides new insights for the treatment of metabolic cardiovascular diseases. Full article
Show Figures

Figure 1

24 pages, 1612 KB  
Review
Biomarkers in Primary Systemic Vasculitides: Narrative Review
by Mario Sestan, Martina Held and Marija Jelusic
Int. J. Mol. Sci. 2026, 27(2), 730; https://doi.org/10.3390/ijms27020730 - 11 Jan 2026
Viewed by 111
Abstract
Vasculitides are a heterogeneous group of disorders characterized by inflammation of blood vessel walls, leading to tissue ischemia and organ injury. Traditional inflammatory markers such as the erythrocyte sedimentation rate (ESR) and C-reactive protein (CRP) are widely used but lack diagnostic specificity. This [...] Read more.
Vasculitides are a heterogeneous group of disorders characterized by inflammation of blood vessel walls, leading to tissue ischemia and organ injury. Traditional inflammatory markers such as the erythrocyte sedimentation rate (ESR) and C-reactive protein (CRP) are widely used but lack diagnostic specificity. This has driven the search for more informative biomarkers across vasculitis subtypes. This review summarizes current evidence for validated and emerging biomarkers in large-, medium-, small-, and variable-vessel vasculitis, as well as single-organ vasculitis. Key analytes reflect systemic inflammation, such as serum amyloid A (SAA) and interleukin-6 (IL-6), as well as endothelial activation, complement pathways, neutrophil and macrophage activation, and organ-specific damage. Promising candidates include pentraxin-3 (PTX3) and matrix metalloproteinase-9 (MMP-9) in large-vessel vasculitis; N-terminal pro-B-type natriuretic peptide (NT-proBNP) and S100 proteins in Kawasaki disease; galactose-deficient immunoglobulin A1 (Gd-IgA1) and urinary angiotensinogen (AGT) in IgA vasculitis; and tissue inhibitor of metalloproteinases-1 (TIMP-1), S100 proteins, complement C3, and PTX3 in antineutrophil cytoplasmic antibody (ANCA)-associated vasculitis. Although these biomarkers provide mechanistic insight, most lack disease-specificity, external validation, or standardized assays. Future progress will require multicenter studies, harmonized testing, and integrated biomarker panels combined with imaging modalities to improve diagnosis, activity assessment, and monitoring. Full article
Show Figures

Figure 1

22 pages, 5690 KB  
Article
Cancer Immunomodulatory Effect of Bidens pilosa L. in Mice: Suppression of Tumor-Associated Macrophages and Regulatory T Cells
by Meihua Zhu, Jiayan Xiong, Ruyi Zhang, Xingyan Yang, Weiqing Sun, Ziyi Yang, Yuhan Chai, Yang Tao, Yu-Qiang Zhao, Baomin Fan and Guangzhi Zeng
Cells 2026, 15(2), 126; https://doi.org/10.3390/cells15020126 - 10 Jan 2026
Viewed by 163
Abstract
Bidens pilosa L., a traditional Chinese medicinal herb, has been used in clinical practice for the treatment of inflammatory diseases and cancer. BPA, an extract derived from the whole herb of B. pilosa L., has been shown to possess potent immunomodulatory properties [...] Read more.
Bidens pilosa L., a traditional Chinese medicinal herb, has been used in clinical practice for the treatment of inflammatory diseases and cancer. BPA, an extract derived from the whole herb of B. pilosa L., has been shown to possess potent immunomodulatory properties by regulating tumor-associated macrophages (TAMs) and regulatory T cells (Tregs) within the tumor microenvironment (TME) in a mouse syngeneic colorectal cancer (CRC) model. RT-PCR and flow cytometry analyses showed that BPA, together with its flavonoid and polyacetylene constituents, effectively suppressed the differentiation of M2-TAMs and Tregs by downregulating Arg-1 and CD25 expression. They had minimal effects on the expression of markers associated with M1-TAMs and promoted the proliferation of CD4+ T cells that were inhibited by M2-TAMs and Tregs. In mice, BPA markedly inhibited the growth of syngeneic CRC tumors, accompanied by decreased serum levels of the immunosuppressive cytokine IL-10 and reduced expression of the proliferative marker Ki67 in tumor tissues. Moreover, BPA downregulated the mRNA expression of markers associated with M2-TAMs and Tregs, while increasing markers associated with M1-TAMs. Western blot analyses of tumor tissues revealed that BPA reduced the expression of marker proteins associated with M2-TAMs and Tregs, while increasing the expression of the immune-stimulatory markers CD80, GITR and CD4. In addition, combined treatment with BPA and 5-fluorouracil (5-FU), a commonly used chemotherapeutic agent for CRC, notably enhanced the anti-tumor effect in mice. These findings indicate that BPA, an active extract of B. pilosa L., showed antitumor activity in mice by suppressing the differentiation of pro-tumorigenic TAMs and Tregs within the TME. Full article
Show Figures

Figure 1

24 pages, 3255 KB  
Review
Molecular Mechanisms Underlying Atherosclerosis and Current Advances in Targeted Therapeutics
by Bo Zhu
Int. J. Mol. Sci. 2026, 27(2), 634; https://doi.org/10.3390/ijms27020634 - 8 Jan 2026
Viewed by 273
Abstract
Atherosclerosis is a chronic, multifactorial vascular disease and the leading global cause of cardiovascular morbidity. Its development reflects interconnected disturbances in lipid metabolism, endothelial function, inflammation, smooth muscle cell (SMC) phenotypic switching, and extracellular matrix remodeling. Genetic predisposition, including monogenic disorders such as [...] Read more.
Atherosclerosis is a chronic, multifactorial vascular disease and the leading global cause of cardiovascular morbidity. Its development reflects interconnected disturbances in lipid metabolism, endothelial function, inflammation, smooth muscle cell (SMC) phenotypic switching, and extracellular matrix remodeling. Genetic predisposition, including monogenic disorders such as familial hypercholesterolemia and polygenic risk variants, modulates disease susceptibility by altering lipid homeostasis as well as inflammatory and thrombotic pathways. Epigenetic regulators and noncoding RNAs, such as histone modifications, microRNAs, and long noncoding RNAs, further shape gene expression and link environmental cues to vascular pathology. Endothelial injury promotes lipoprotein retention and oxidation, triggering monocyte recruitment and macrophage-driven foam cell formation, cytokine secretion, and necrotic core development. Persistent inflammation, macrophage heterogeneity, and SMC plasticity collectively drive plaque growth and destabilization. Emerging insights into immune cell metabolism, intracellular signaling networks, and novel regulatory RNAs are expanding therapeutic possibilities beyond lipid-lowering. Current and evolving treatments include statins, proprotein convertase subtilisin/kexin type 9 (PCSK9) inhibitors, anti-inflammatory agents targeting interleukin-1 beta (IL-1β) or NOD-, LRR-, and pyrin domain-containing protein 3 (NLRP3), and advanced approaches such as gene editing, siRNA, and nanoparticle-based delivery. Integrating multi-omics, biomarker-guided therapy, and precision medicine promises improved risk stratification and next-generation targeted interventions. This review summarizes recent molecular advances and highlights translational opportunities for enhancing atherosclerosis prevention and treatment. Full article
(This article belongs to the Special Issue Molecular Insights and Therapeutic Advances in Atherosclerosis)
Show Figures

Figure 1

11 pages, 1088 KB  
Communication
2-Bromo-5-Hydroxy-4-Methoxybenzaldehyde Exhibits Anti-Inflammatory Effects Through the Inactivation of ERK, JNK, and NF-kB Pathways in RAW 264.7 Cells
by Junseong Kim, Seong-Yeong Heo, Eun-A Kim, Nalae Kang and Soo-Jin Heo
Phycology 2026, 6(1), 10; https://doi.org/10.3390/phycology6010010 - 7 Jan 2026
Viewed by 131
Abstract
Inflammation plays a central role in the pathogenesis of numerous diseases through the excessive production of nitric oxide (NO), prostaglandins, and pro-inflammatory cytokines. Although bromophenols from marine algae and various phenolic compounds exhibit strong anti-inflammatory activity, the biological properties of brominated vanillin derivatives [...] Read more.
Inflammation plays a central role in the pathogenesis of numerous diseases through the excessive production of nitric oxide (NO), prostaglandins, and pro-inflammatory cytokines. Although bromophenols from marine algae and various phenolic compounds exhibit strong anti-inflammatory activity, the biological properties of brominated vanillin derivatives remain largely unexplored. This study aimed to investigate the anti-inflammatory effects of 2-bromo-5-hydroxy-4-methoxybenzaldehyde (2B5H4M), a brominated vanillin derivative structurally similar to marine bromophenols, in lipopolysaccharide (LPS)-stimulated RAW 264.7 macrophages. 2B5H4M significantly reduced LPS-induced NO and PGE2 production by suppressing the protein and mRNA expression of inducible nitric oxide synthase (iNOS) and cyclooxygenase-2 (COX-2). It also downregulated the expression of pro-inflammatory cytokines, including TNF-α, IL-1β, and IL-6. Mechanistically, 2B5H4M inhibited the phosphorylation and degradation of IκB-α, thereby preventing NF-κB nuclear translocation, and reduced the phosphorylation of ERK and JNK. These findings demonstrate that 2B5H4M exerts potent anti-inflammatory effects by simultaneously blocking NF-κB and MAPK signaling pathways. Although not algae-derived, the structural resemblance of 2B5H4M to marine bromophenols highlights its potential as a marine-inspired reference compound. This work suggests that 2B5H4M may serve as a promising lead scaffold for developing new phenolic anti-inflammatory agents and provides a foundation for future mechanistic and in vivo studies. Full article
(This article belongs to the Special Issue Seaweed Metabolites)
Show Figures

Figure 1

48 pages, 1103 KB  
Review
Inflammatory Mechanisms in Acute Coronary Syndromes: From Pathophysiology to Therapeutic Targets
by Daniel Miron Brie, Cristian Mornoș, Ovidiu Adam, Alexandru Tîrziu, Roxana Popescu and Alina Diduța Brie
Cells 2026, 15(1), 72; https://doi.org/10.3390/cells15010072 - 31 Dec 2025
Viewed by 400
Abstract
Inflammation plays a pivotal role in the pathogenesis of acute coronary syndromes (ACS), contributing to plaque instability, thrombosis, and myocardial injury. This review aims to comprehensively examine the inflammatory mechanisms underlying ACS and evaluate current and emerging anti-inflammatory therapeutic strategies. We conducted a [...] Read more.
Inflammation plays a pivotal role in the pathogenesis of acute coronary syndromes (ACS), contributing to plaque instability, thrombosis, and myocardial injury. This review aims to comprehensively examine the inflammatory mechanisms underlying ACS and evaluate current and emerging anti-inflammatory therapeutic strategies. We conducted a comprehensive literature review examining the role of inflammatory pathways in ACS pathophysiology, including innate and adaptive immune responses, key inflammatory mediators, and cellular mechanisms. We analyzed current evidence for anti-inflammatory therapies and their clinical outcomes in ACS management. Inflammatory processes in ACS involve complex interactions between innate immune cells (neutrophils, macrophages, monocytes) and adaptive immune cells (T lymphocytes, B cells). Key mechanisms include neutrophil extracellular trap (NET) formation, macrophage polarization, T cell subset imbalances (Th1/Th17 predominance with regulatory T cell dysfunction), and complement activation. Inflammatory biomarkers such as C-reactive protein, interleukin-6, and NET-specific markers demonstrate prognostic value. Anti-inflammatory therapies including colchicine, canakinumab (IL-1β inhibition), and methotrexate have shown cardiovascular benefits in clinical trials. Emerging targets include NET inhibition, T cell modulation, and precision inflammatory profiling approaches. Inflammation represents a critical therapeutic target in ACS beyond traditional risk factor modification. While colchicine and IL-1β inhibition have demonstrated clinical efficacy, future strategies should focus on precision medicine approaches targeting specific inflammatory pathways based on individual patient profiles. Integration of anti-inflammatory therapy with lipid management and antithrombotic strategies offers promise for improving ACS outcomes through comprehensive targeting of the multifactorial pathophysiology underlying coronary artery disease. Full article
Show Figures

Figure 1

22 pages, 11090 KB  
Article
Subcellular Localization Dictates Therapeutic Function: Spatially Targeted Delivery of Amuc_1100 by Engineered Lacticaseibacillus paracasei L9 Enhances Intestinal Barrier in Colitis
by Xinrui Dong, Li Lin, Weina Miao, Zhengyuan Zhai, Yanling Hao, Ming Zhang, Ran Wang, Shaoyang Ge, Hao Zhang, Lianzhong Ai and Liang Zhao
Nutrients 2026, 18(1), 123; https://doi.org/10.3390/nu18010123 - 30 Dec 2025
Viewed by 231
Abstract
Background/Objectives: Impaired intestinal barrier function is a hallmark of inflammatory bowel disease (IBD). Akkermansia muciniphila and its outer membrane protein Amuc_1100 can enhance this barrier, but the clinical application of Amuc_1100 is limited by the fastidious growth of its native host. This [...] Read more.
Background/Objectives: Impaired intestinal barrier function is a hallmark of inflammatory bowel disease (IBD). Akkermansia muciniphila and its outer membrane protein Amuc_1100 can enhance this barrier, but the clinical application of Amuc_1100 is limited by the fastidious growth of its native host. This study aimed to overcome this by utilizing the robust probiotic Lacticaseibacillus paracasei L9 for targeted Amuc_1100 delivery. Methods: We engineered Lc. paracasei L9 to express Amuc_1100 via intracellular (pA-L9), secretory (pUA-L9), and surface-display (pUPA-L9) strategies. Their efficacy was assessed in Lipopolysaccharide (LPS)-induced macrophages and a dextran sulfate sodium (DSS)-induced colitis mouse model, evaluating inflammation, barrier integrity, and mucosal repair. Results: The secretory (pUA-L9) and surface-display (pUPA-L9) strains most effectively suppressed pro-inflammatory cytokines (IL-6, IL-1β, and TNF-α) in macrophages. In mice, both strains alleviated colitis and outperformed native A. muciniphila in improving disease activity. Crucially, they exhibited distinct, specialized functions: pUA-L9 acted as a systemic immunomodulator, reducing pro-inflammatory cytokines (IL-6, IL-1β, and TNF-α), elevating anti-inflammatory mediators (IL-4 and IL-10), and promoting goblet cell differentiation; notably, the inhibitory effect of pUA-L9 on IL-6 expression was approximately 2-fold greater than that of pUPA-L9. In contrast, pUPA-L9 excelled in local barrier repair, uniquely restoring mucus layer integrity (Muc1, Muc2, and Tff3) and reinforcing tight junctions (ZO-1, Occludin, Claudin1, Claudin3, and Claudin4). In particular, pUPA-L9 increased Muc2 expression by approximately 3.6-fold compared with pUA-L9. Conclusions: We demonstrate that the subcellular localization of Amuc_1100 within an engineered probiotic dictates its therapeutic mode of action. The complementary effects of secretory and surface-displayed Amuc_1100 offer a novel, spatially targeted strategy for precision microbiome therapy in IBD. Full article
(This article belongs to the Section Prebiotics, Probiotics and Postbiotics)
Show Figures

Figure 1

25 pages, 1727 KB  
Review
Macrophage Plasticity and Regulatory Networks During the Transition from Inflammation to Fibrosis in the Kidney
by Yehun Moon, Jintaek Hong, Jinwoo Chung and Jea-Hyun Baek
Life 2026, 16(1), 52; https://doi.org/10.3390/life16010052 - 29 Dec 2025
Viewed by 436
Abstract
Kidney fibrosis represents the final common pathway of nearly all progressive renal diseases, linking acute kidney injury (AKI) and chronic kidney disease (CKD) through a maladaptive repair process. Regardless of etiology, persistent inflammation and excessive extracellular matrix (ECM) deposition drive irreversible structural distortion [...] Read more.
Kidney fibrosis represents the final common pathway of nearly all progressive renal diseases, linking acute kidney injury (AKI) and chronic kidney disease (CKD) through a maladaptive repair process. Regardless of etiology, persistent inflammation and excessive extracellular matrix (ECM) deposition drive irreversible structural distortion and functional decline in the kidney. Among cellular mediators, macrophages occupy a central role across the continuum from acute injury to fibrosis, orchestrating both tissue injury and repair through dynamic transitions between pro-inflammatory (M1) and pro-fibrotic (M2) states in response to local cues. Here, we synthesize macrophage-driven mechanisms of renal fibrosis, emphasizing recruitment, infiltration, and local proliferation mediated by chemokine–receptor networks and mechanosensitive ion channels. In addition, in this review paper, we provide an overview on the dual roles of macrophages in acute inflammation and chronic remodeling through key cytokine signaling pathways (TLR4/NF-κB, IL-4/STAT6, TGF-β/Smad, IL-10/STAT3), highlighting how metabolic reprogramming, mechanochemical feedback via Yes-associated protein (YAP)/transcriptional coactivator with PDZ-binding motif (TAZ) signaling, and epigenetic modulators collectively stabilize the fibrotic macrophage phenotype. Also, emerging insights into mitochondrial dysfunction, succinate–succinate receptor 1 (SUCNR1) signaling, and autophagy dysregulation reveal the metabolic basis of macrophage persistence in fibrotic kidneys. Understanding these multilayered regulatory circuits offers a framework for therapeutic strategies that selectively target macrophage-dependent fibrogenesis to halt the transition from acute injury to chronic renal failure. Full article
(This article belongs to the Special Issue New Insights into Cellular Inflammation and Regeneration)
Show Figures

Figure 1

18 pages, 570 KB  
Review
The Central Role of Macrophages in Long COVID Pathophysiology
by Philip Mcmillan, Anthony J. Turner and Bruce D. Uhal
Int. J. Mol. Sci. 2026, 27(1), 313; https://doi.org/10.3390/ijms27010313 - 27 Dec 2025
Viewed by 1508
Abstract
This review article attempts to provide a unifying hypothesis to explain the myriad of symptoms and predispositions underlying the development of PASC (Postacute Sequelae of COVID), often referred to as Long COVID. The hypothesis described here proposes that Long COVID is best understood [...] Read more.
This review article attempts to provide a unifying hypothesis to explain the myriad of symptoms and predispositions underlying the development of PASC (Postacute Sequelae of COVID), often referred to as Long COVID. The hypothesis described here proposes that Long COVID is best understood as a disorder of persistent immune dysregulation, with chronic macrophage activation representing the fundamental underlying pathophysiology. Unlike transient post-viral syndromes, Long COVID involves a sustained innate immune response, particularly within monocyte-derived macrophages, driven by persistent spike protein (peripherally in MAIT cells and centrally in Microglial cells), epigenetic imprinting, and gut-related viral reservoirs. These macrophages are not merely activated temporarily but also become epigenetically “trained” into a prolonged inflammatory state, as demonstrated by enduring histone acetylation markers such as H3K27acDNA Reprogramming. It is proposed that recognizing macrophage activation as the central axis of Long COVID pathology offers a framework for personalized risk assessment, targeted intervention, and therapeutic recalibration. Full article
(This article belongs to the Special Issue Host Responses to Virus Infection)
Show Figures

Figure 1

21 pages, 1959 KB  
Article
Targeting Adipocyte Enhancer-Binding Protein 1 to Induce Microglial Phenotype Shift for Immunotherapy in Alzheimer’s Disease
by Eun-Ji Kim, Byeong-Hyeon Kim, Ye-Bin Mun, Minho Moon and Pyung-Hwan Kim
Int. J. Mol. Sci. 2026, 27(1), 296; https://doi.org/10.3390/ijms27010296 - 27 Dec 2025
Viewed by 307
Abstract
Neuroinflammation, a key contributor to neurodegenerative diseases, results from excessive microglial activation. Microglia that respond to pathogenic molecules switch to the M1 type and secrete various immune cytokines, which can cause neuronal damage. Therefore, our study focused on molecules that can enhance the [...] Read more.
Neuroinflammation, a key contributor to neurodegenerative diseases, results from excessive microglial activation. Microglia that respond to pathogenic molecules switch to the M1 type and secrete various immune cytokines, which can cause neuronal damage. Therefore, our study focused on molecules that can enhance the neuroprotective role of microglia and reduce neuronal damage. The adipocyte enhancer-binding protein 1 (AEBP1) gene is known for its role in regulating immune responses in macrophages. However, its role in neuroinflammation has not been fully explored. Therefore, we investigated the role of AEBP1 in microglial cells activated by lipopolysaccharide (LPS). First, we confirmed that AEBP1 is expressed in LPS-activated microglia and demonstrated that downregulation of AEBP1 using shRNA in activated microglia reduced the immune response via the nuclear factor-kappa-B (NFκB) pathway. These results promote a shift toward neuroprotective M2 microglia, thereby reducing neuronal damage. Next, we confirmed that the expression of AEBP1 was elevated in the brains of Alzheimer’s disease (AD) mice. Additionally, animal experiments to assess the therapeutic effects of AEBP1 showed that microglia gathered around amyloid beta (Aβ) and reduced its size. Taken together, our results provide the first evidence that AEBP1 can reduce inflammatory activity in microglia, suggesting its potential as a target molecule for immunotherapy. Full article
(This article belongs to the Special Issue Molecular Insights into Microglia in Neurological Diseases)
Show Figures

Figure 1

17 pages, 3575 KB  
Article
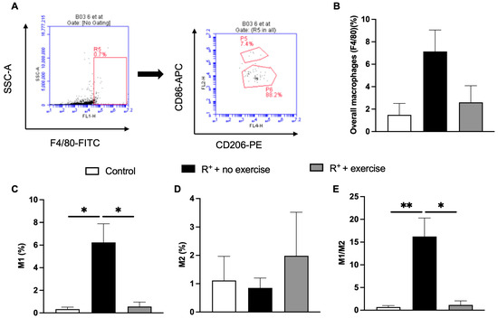
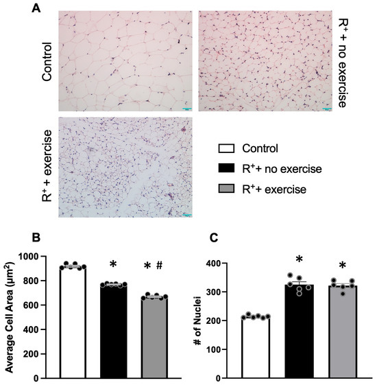
Role of Exercise in Visceral Adipose Tissue Inflammation and Macrophage Polarization in Hypertensive Mice
by Venkata Polaki, Harshal Sawant, Brody Pinson, Cindy Zhu, Shuzhen Chen and Ji Chen Bihl
Int. J. Mol. Sci. 2026, 27(1), 251; https://doi.org/10.3390/ijms27010251 - 25 Dec 2025
Viewed by 247
Abstract
Macrophages accumulate in visceral adipose tissue (VAT) during hypertension and may contribute to hypertension-associated inflammation. Exercise has shown beneficial effects on hypertension; however, the exact mechanisms by which the activated immune cells lead to the protective effects remain unclear. Our study aimed to [...] Read more.
Macrophages accumulate in visceral adipose tissue (VAT) during hypertension and may contribute to hypertension-associated inflammation. Exercise has shown beneficial effects on hypertension; however, the exact mechanisms by which the activated immune cells lead to the protective effects remain unclear. Our study aimed to determine how exercise influences VAT inflammation by modulating the macrophage polarization in hypertensive mice. Renin transgenic (R+) mice were used as a hypertensive mouse model and subjected to exercise (8 weeks). The body weight and blood pressure were monitored, VAT morphology was assessed by H&E and Masson Trichrome staining, macrophage polarization was determined by immunostaining and flow cytometry, and macrophage phenotype-related proteins were analyzed within the VAT via Western Blots. Results showed that exercise reduced the adipocyte size and collagen content of VAT and increased cell infiltration in R+ mice. Immunostaining and flow cytometry data showed that the ratio of pro-inflammatory macrophages (M1) to anti-inflammatory macrophages (M2) was increased in the VAT of R+ mice, while exercise corrected the macrophage polarization, which was consistent with protein level changes in VAT. Together, our data suggest that exercise improves vascular remodeling and VAT function (reduced adipocyte size, loss of collagen) by modulating VAT inflammation (polarization of macrophages) in hypertensive mice. Full article
Show Figures

Figure 1

16 pages, 1159 KB  
Review
Molecular Imaging Advances in Endometriosis: The Promise of Radiopharmaceuticals
by Rebecca Napolitano, Giorgia Speltri, Petra Martini, Francesca Porto, Lorenza Marvelli, Alessandro Niorettini, Licia Uccelli, Luca Urso, Luca Filippi, Hatice Uslu, Burak Canitez, Hamza Alperen Kösem and Alessandra Boschi
Molecules 2026, 31(1), 93; https://doi.org/10.3390/molecules31010093 - 25 Dec 2025
Viewed by 420
Abstract
Endometriosis is a highly prevalent, chronic gynecological disorder characterized by the ectopic presence of endometrial-like tissue, driving significant morbidity and chronic pelvic pain. Pathologically, it is increasingly recognized as a fibro-inflammatory condition involving extensive tissue remodeling and fibrosis. Current conventional imaging modalities, including [...] Read more.
Endometriosis is a highly prevalent, chronic gynecological disorder characterized by the ectopic presence of endometrial-like tissue, driving significant morbidity and chronic pelvic pain. Pathologically, it is increasingly recognized as a fibro-inflammatory condition involving extensive tissue remodeling and fibrosis. Current conventional imaging modalities, including ultrasound and MRI, are primarily morphological, while standard molecular imaging using Positron Emission Tomography (PET) tracers has shown limited diagnostic utility. [18F]Fluorodeoxyglucose (FDG) suffers from high physiological uptake in pelvic organs and inconsistent detection of lesions. Receptor-based tracers like [68Ga]Ga-DOTATATE have demonstrated uncertain efficacy. In contrast, radiopharmaceuticals targeting the Fibroblast Activation Protein (FAP) offer a promising molecular approach. FAP is specifically overexpressed by activated fibroblasts present in the stroma of endometriotic lesions, correlating significantly with tissue fibrosis (collagen content) and local immune infiltration (e.g., CD68 macrophages). This comprehensive review analyzes the landscape of radiopharmaceuticals for endometriosis imaging, contrasting the specific limitations of traditional metabolic and receptor agents with the molecular rationale and emerging evidence supporting the use of FAP Inhibitors (FAPI), positioning them as crucial, non-invasive tools for the future diagnosis and management of this challenging disease. Full article
Show Figures

Graphical abstract

19 pages, 3250 KB  
Article
Integrative Multi-Omics and Machine Learning Reveal Shared Biomarkers in Type 2 Diabetes and Atherosclerosis
by Qingjie Wu, Zhaochu Wang, Mengzhen Fan, Linglun Hao, Jicheng Chen, Changwen Wu and Bizhen Gao
Int. J. Mol. Sci. 2026, 27(1), 136; https://doi.org/10.3390/ijms27010136 - 22 Dec 2025
Viewed by 424
Abstract
Atherosclerosis (AS) is a leading cause of death and disability in type 2 diabetes mellitus (T2DM). However, the shared molecular mechanisms linking T2DM and atherosclerosis have not been fully elucidated. We analyzed AS- and T2DM-related gene expression profiles from the Gene Expression Omnibus [...] Read more.
Atherosclerosis (AS) is a leading cause of death and disability in type 2 diabetes mellitus (T2DM). However, the shared molecular mechanisms linking T2DM and atherosclerosis have not been fully elucidated. We analyzed AS- and T2DM-related gene expression profiles from the Gene Expression Omnibus (GEO) database to identify overlapping differentially expressed genes and co-expression signatures. Functional enrichment (Gene Ontology (GO)/Kyoto Encyclopedia of Genes and Genomes (KEGG)) and protein–protein interaction (PPI) network analyses were then used to describe the pathways and interaction modules associated with these shared signatures, We next applied the cytoHubba algorithm together with several machine learning methods to prioritize hub genes and evaluate their diagnostic potential and combined CIBERSORT-based immune cell infiltration analysis with single-cell RNA sequencing data to examine cell types and the expression patterns of the shared genes in specific cell populations. We identified 72 shared feature genes. Functional enrichment analysis of these genes revealed significant enrichment of inflammatory- and metabolism-related pathways. Three genes—IL1B, MMP9, and P2RY13—emerged as shared hub genes and yielded robust ANN-based predictive performance across datasets. Immune deconvolution and single-cell analyses consistently indicated inflammatory amplification and an imbalance of macrophage polarization in both conditions. Biology mapped to the hubs suggests IL1B drives inflammatory signaling, MMP9 reflects extracellular-matrix remodeling, and P2RY13 implicates cholesterol transport. Collectively, these findings indicate that T2DM and AS converge on immune and inflammatory processes with macrophage dysregulation as a central axis; IL1B, MMP9, and P2RY13 represent potential biomarkers and therapeutic targets and may influence disease progression by regulating macrophage states, supporting translational application to diagnosis and treatment of T2DM-related atherosclerosis. These findings are preliminary. Further experimental and clinical studies are needed to confirm their validity, given the limitations of the present study. Full article
(This article belongs to the Section Molecular Informatics)
Show Figures

Figure 1

Back to TopTop