Sign in to use this feature.

Years

Between: -

Subjects

remove_circle_outline
remove_circle_outline
remove_circle_outline
remove_circle_outline

Journals

Article Types

Countries / Regions

Search Results (34)

Search Parameters:
Keywords = lymphoid enhancer-binding factor

Order results
Result details
Results per page
Select all
Export citation of selected articles as:
23 pages, 8470 KB  
Article
Cell-Type-Resolved Acetylation Regulator Atlas Defines Immune Endotypes and Druggable Vulnerabilities in Psoriasis
by Mengji Xie, Xiaoxuan Ma, Ying Zhang, Le Kuai, Ying Luo, Jiankun Song, Xiaojie Ding, Yi Ru, Yue Luo, Xiaoya Fei, Seokgteong Hong, Guoshu Deng, Yonghua Su, Ruiping Wang, Bin Li, Yanwei Xiang, Miao Li and Mi Zhou
Biomedicines 2026, 14(4), 804; https://doi.org/10.3390/biomedicines14040804 - 1 Apr 2026
Viewed by 230
Abstract
Background: Psoriasis frequently relapses after treatment withdrawal, consistent with persistent epigenetic programs in lesional immune cells. Lysine acetylation is a reversible regulatory layer linking chromatin accessibility, transcription factor activity, and immune-cell effector programs; yet, its cell-type-resolved landscape and clinical stratification value in psoriasis [...] Read more.
Background: Psoriasis frequently relapses after treatment withdrawal, consistent with persistent epigenetic programs in lesional immune cells. Lysine acetylation is a reversible regulatory layer linking chromatin accessibility, transcription factor activity, and immune-cell effector programs; yet, its cell-type-resolved landscape and clinical stratification value in psoriasis remain incompletely defined. Methods: We integrated four bulk transcriptome cohorts of psoriatic and healthy skin (746 psoriasis, 515 controls) with two public skin scRNA-seq datasets. A diagnostic acetylation-regulator signature was derived from 33 curated acetylation regulators, and acetylation endotypes were defined by unsupervised clustering. The cell-type-specific expression was mapped at the single-cell resolution. Key regulators were validated by quantitative real-time polymerase chain reaction (qRT-PCR) in an imiquimod-induced psoriasis-like mouse model, and further verified in an independent dataset (GSE136757). Motif enrichment and drug–target mining were used to prioritize transcriptional regulators and candidate epigenetic therapeutics. Results: Sixteen acetylation regulators were differentially expressed in bulk skin, with histone deacetylase (HDAC1) showing the strongest upregulation and lysine acetyltransferase (KAT2A) the strongest downregulation. A 13-gene acetylation signature discriminated psoriasis from controls (area under the curve, AUC 0.886) and separated lesional samples into two acetylation endotypes with divergent pathway states (hypoxia–glycolysis versus oxidative-stress-dominated programs). Single-cell mapping demonstrated immune-restricted acetylation modules, including CREB binding protein (CREBBP)-enriched neutrophils, histone deacetylase 1 (HDAC1)-high cluster of differentiation (CD)8+ T cells, and lysine acetyltransferase 6A (KAT6A)/lymphoid enhancer binding factor (LEF1)-enriched CD4+ and regulatory T cell (Treg) subsets, coincident with interleukin (IL)-17-related inflammatory programs. In mice, qRT-PCR confirmed the coordinated dysregulation of hub genes and highlighted Hnf1a and Kat6a as reproducible candidates. External validation using the GSE136757 dataset further supports their robust diagnostic performance. Motif analysis nominated interferon regulatory factor (IRF4), YY transcription factor (YY2), and zinc finger protein (ZNF404) as putative transcriptional mediators downstream of acetylation programs, and drug–target mining prioritized epigenetic compounds with subtype-relevant potential, including histone deacetylase (HDAC) inhibitors (e.g., entinostat) and the p300/CREB binding protein (CBP) inhibitor A485. Conclusions: This integrative atlas links acetylation regulators to specific immune compartments, defines acetylation endotypes associated with distinct inflammatory programs, and provides a rationale for stratified epigenetic target selection in psoriasis. Full article
(This article belongs to the Special Issue Advanced Single-Cell Sequencing in Diseases)
Show Figures

Figure 1

15 pages, 941 KB  
Article
A Pathogenic ROCK-Signaling Network Involving a Lysine Deletion in Myh11 Renders Carriers Susceptible to Aortic Dissection
by Hironori Okuhata, Shota Tomida, Tamaki Ishima, Ryozo Nagai and Kenichi Aizawa
Int. J. Mol. Sci. 2026, 27(7), 3195; https://doi.org/10.3390/ijms27073195 - 31 Mar 2026
Viewed by 237
Abstract
Familial thoracic aortic aneurysm and dissection (FTAAD), caused by the pathogenic Myh11 K1256del variant, is characterized by impaired aortic contractility; however, how reduced contractility predisposes the aorta to dissection remains incompletely understood. In this study, we performed a data-driven trans-omic upstream analysis using [...] Read more.
Familial thoracic aortic aneurysm and dissection (FTAAD), caused by the pathogenic Myh11 K1256del variant, is characterized by impaired aortic contractility; however, how reduced contractility predisposes the aorta to dissection remains incompletely understood. In this study, we performed a data-driven trans-omic upstream analysis using Genome Enhancer to identify key regulatory mechanisms in aortas from Myh11 K1256del mice under baseline conditions, without exposure to exogenous pathological stimuli. Transcriptome analysis revealed enrichment of genes related to smooth muscle contraction and regulation of myosin light chain phosphatase activity. Upstream computational analysis of regulatory regions identified nuclear factor of activated T cells 1 and lymphoid enhancer-binding factor 1 as major transcription factors, and further highlighted Rho-associated, coiled-coil-containing protein kinase 1 (ROCK1) as a predicted central regulator of the dysregulated transcriptional network. Druggability analysis suggested ROCK1 and the JunB proto-oncogene AP-1 transcription factor subunit as potential therapeutic targets. Furthermore, it predicted 51 candidate therapeutants, including atorvastatin, GSK-269962A, and atovaquone. These findings indicate that even in the absence of overt pathological stimulation, aortic tissue carrying the Myh11 K1256del variant exhibits a transcriptional program centered on ROCK signaling, which may prime the aorta for maladaptive responses to additional stress and may enhance susceptibility to dissection. This computational analysis requires experimental validation, but may provide a hypothesis-generating framework for development of preventive pharmacological interventions against FTAAD. Full article
(This article belongs to the Special Issue Molecular Metabolism in Human Health and Disease)
Show Figures

Figure 1

14 pages, 1732 KB  
Review
Misleading Lesions in Gynecological Malignancies: A Case Report of Desmoid Tumor During Pregnancy and a Narrative Review of the Literature
by Emma Bonetti Palermo, Federico Ferrari, Cecilia Dell’Avalle, Ilaria Nodari, Emma Paola Ongarini, Iacopo Ghini, Andrea Giannini, Hooman Soleymani majd, Giuseppe Ciravolo and Franco Odicino
J. Clin. Med. 2025, 14(21), 7815; https://doi.org/10.3390/jcm14217815 - 3 Nov 2025
Cited by 1 | Viewed by 1195
Abstract
Background: Desmoid tumors (DTs) are rare, locally aggressive soft-tissue neoplasms that often affect women of reproductive age. Pregnancy and prior abdominal surgery or trauma have been associated with tumor development and growth, while imaging frequently overlaps with abdominal-wall endometriosis. We present the [...] Read more.
Background: Desmoid tumors (DTs) are rare, locally aggressive soft-tissue neoplasms that often affect women of reproductive age. Pregnancy and prior abdominal surgery or trauma have been associated with tumor development and growth, while imaging frequently overlaps with abdominal-wall endometriosis. We present the case of a 39-year-old woman with an abdominal-wall DT and provide a narrative review of the literature focused on pregnancy/postpartum patterns, differential diagnosis, and management. Methods: A narrative review of PubMed/MEDLINE and Web of Science (January 1982–December 2024) was conducted. We included English-language case reports/series, narrative/descriptive reviews, and consensus statements relevant to DTs in pregnancy or reproductive-age women, emphasizing abdominal-wall disease. Results: The patient’s right abdominal-wall mass enlarged during pregnancy and further post-partum imaging repeatedly suggested endometriosis. En bloc resection revealed desmoid-type fibromatosis composed of bland spindle cells in a collagenous stroma, with nuclear β-catenin and lymphoid enhancer–binding factor 1 (LEF1) positivity on immunohistochemistry. Magnetic resonance imaging (MRI) at 12 months showed no recurrence. Across included studies, pregnancy and post-partum enlargement is common, abdominal-wall DTs frequently mimic scar endometriosis, and pre-operative ultrasound has limited specificity. Current practice supports watch-and-wait for stable, asymptomatic lesions and function-preserving surgery for symptomatic progression, while systemic options (anti-estrogens, low-dose chemotherapy, and tyrosine kinase inhibitors) are reserved for progressive or unresectable disease. Recurrence risk relates to age, size, site, and β-catenin status; future pregnancy is not contraindicated. Conclusions: Abdominal-wall DTs, although rare, should be considered in the differential diagnosis of reproductive-age women presenting with abdominal-wall masses, particularly during or after pregnancy. Full article
(This article belongs to the Section Oncology)
Show Figures

Figure 1

23 pages, 4999 KB  
Article
Targeted Inhibition of Colorectal Carcinoma Using a Designed CEA-Binding Protein to Deliver p53 Protein and TCF/LEF Transcription Factor Decoy DNA
by Wen Wang, Xuan Sun and Geng Wu
Int. J. Mol. Sci. 2025, 26(20), 9846; https://doi.org/10.3390/ijms26209846 - 10 Oct 2025
Cited by 1 | Viewed by 1211
Abstract
Colorectal carcinoma (CRC) is characterized by mutations in p53 and the Wnt signaling pathway, and immunotherapy has shown limited efficacy in microsatellite-stable CRC. Here, CEABP1, a binding protein for the CRC biomarker carcinoembryonic antigen (CEA), was designed de novo through the AI-based computational [...] Read more.
Colorectal carcinoma (CRC) is characterized by mutations in p53 and the Wnt signaling pathway, and immunotherapy has shown limited efficacy in microsatellite-stable CRC. Here, CEABP1, a binding protein for the CRC biomarker carcinoembryonic antigen (CEA), was designed de novo through the AI-based computational generation methods RFDiffusion/ProteinMPNN and stringent in silico selection, for targeted delivery of purified p53 protein and transcription factor T-cell factor (TCF)/lymphoid enhancer-binding factor (LEF) transcription factor decoy (TFD) DNA into CRC cells. The cell-penetrating peptide (CPP) p28 was employed to deliver the p28-p53-CEABP1 protein, which significantly enhanced p53’s inhibition of CRC cell proliferation and xenograft tumor growth. Codelivery of the p14ARF protein together with p53 prolonged the effective antitumor duration of p53. In addition, the DNA binding domain of Max was fused with CPP and CEABP1 to deliver TCF/LEF TFD DNA, comprising concatenated consensus binding motifs for TCF/LEF and Max, into CRC cells to inhibit Wnt target gene transcription, leading to marked suppression of CRC cell proliferation and xenograft tumor growth. These findings paved the way for the development of precision anticancer therapeutics using designed binding proteins of tumor biomarkers for targeted delivery of tumor suppressor proteins and TFD DNA. Full article
(This article belongs to the Special Issue Protein–Protein Interactions in Human Cancer)
Show Figures

Graphical abstract

17 pages, 1827 KB  
Review
The Role of Cadherin 17 (CDH17) in Cancer Progression via Wnt/β-Catenin Signalling Pathway: A Systematic Review and Meta-Analysis
by Bipusha Tha Shrestha, Yahui Feng, Aaron Lad, Anthony Bates, Jing Chen, Karen Brown, Feier Zeng and Ning Wang
Int. J. Mol. Sci. 2025, 26(20), 9838; https://doi.org/10.3390/ijms26209838 - 10 Oct 2025
Cited by 2 | Viewed by 4037
Abstract
Cadherin 17 (CDH17) is a cell adhesion glycoprotein essential for epithelial integrity. It is frequently overexpressed in various cancers, where it is associated with aggressive behaviour. While evidence indicates that CDH17 functions as an upstream regulator of Wnt/β-catenin signalling, findings are inconsistent across [...] Read more.
Cadherin 17 (CDH17) is a cell adhesion glycoprotein essential for epithelial integrity. It is frequently overexpressed in various cancers, where it is associated with aggressive behaviour. While evidence indicates that CDH17 functions as an upstream regulator of Wnt/β-catenin signalling, findings are inconsistent across tumour types, limiting the assessment of CDH17 as a biomarker or therapeutic target for Wnt pathway in cancer. In this study, we systematically review and meta-analyse the relationship between CDH17 and Wnt/β-catenin signalling in human cancers and evaluate whether CDH17 modulation affects tumour behaviour through Wnt-related mechanisms. Our search of Medline, Web of Science and Scopus identified five studies examining CDH17 expression in the Wnt/β-catenin pathway in vitro and in vivo. All five studies identified CDH17 as a key driver of canonical Wnt signalling, directly influencing cancer progression in hepatocellular carcinoma (HCC), gastric cancer (GC), and colorectal cancer (CRC). Meta-analysis (MA) showed that CDH17 inhibition consistently reduced Wnt/β-catenin downstream T-cell factor/lymphoid enhancer-binding factor (TCF/LEF) transcriptional activity (MD = −1.32, 95% CI: −1.64 to −0.99, p < 0.00001). Narrative synthesis found that CDH17 suppression decreased total and nuclear β-catenin, phosphorylated glycogen synthase kinase-3 beta (GSK-3β), and cyclin D1 while increasing tumour suppressors, retinoblastoma (Rb) and p53/p21. These changes were associated with reduced proliferation, colony formation, migration, invasion and cell cycle arrest. In vivo, CDH17 suppression resulted in 80–95% tumour growth suppression (Mean Difference (MD) = −96.67, 95% CI: [−144.35, −48.98], p < 0.0001), with immunohistochemistry confirming cytoplasmic β-catenin sequestration and lower cyclin D1 levels. Collectively, these findings show CDH17 as a critical upstream effector sustaining Wnt/β-catenin signalling, cancer progression, tumour proliferation, stem cell properties, and metastasis, and support CDH17 inhibition as a promising therapeutic target across multiple cancer types. Full article
Show Figures

Figure 1

18 pages, 5271 KB  
Article
Immunohistochemical Investigation into Protein Expression Patterns of FOXO4, IRF8 and LEF1 in Canine Osteosarcoma
by Simone de Brot, Jack Cobb, Aziza A. Alibhai, Jorja Jackson-Oxley, Maria Haque, Rodhan Patke, Anna E. Harris, Corinne L. Woodcock, Jennifer Lothion-Roy, Dhruvika Varun, Rachel Thompson, Claudia Gomes, Valentina Kubale, Mark D. Dunning, Jennie N. Jeyapalan, Nigel P. Mongan and Catrin S. Rutland
Cancers 2024, 16(10), 1945; https://doi.org/10.3390/cancers16101945 - 20 May 2024
Cited by 3 | Viewed by 3467
Abstract
Osteosarcoma (OSA) is the most common type of primary bone malignancy in people and dogs. Our previous molecular comparisons of canine OSA against healthy bone resulted in the identification of differentially expressed protein-expressing genes (forkhead box protein O4 (FOXO4), interferon regulatory [...] Read more.
Osteosarcoma (OSA) is the most common type of primary bone malignancy in people and dogs. Our previous molecular comparisons of canine OSA against healthy bone resulted in the identification of differentially expressed protein-expressing genes (forkhead box protein O4 (FOXO4), interferon regulatory factor 8 (IRF8), and lymphoid enhancer binding factor 1 (LEF1)). Immunohistochemistry (IHC) and H-scoring provided semi-quantitative assessment of nuclear and cytoplasmic staining alongside qualitative data to contextualise staining (n = 26 patients). FOXO4 was expressed predominantly in the cytoplasm with significantly lower nuclear H-scores. IRF8 H-scores ranged from 0 to 3 throughout the cohort in the nucleus and cytoplasm. LEF1 was expressed in all patients with significantly lower cytoplasmic staining compared to nuclear. No sex or anatomical location differences were observed. While reduced levels of FOXO4 might indicate malignancy, the weak or absent protein expression limits its primary use as diagnostic tumour marker. IRF8 and LEF1 have more potential for prognostic and diagnostic uses and facilitate further understanding of their roles within their respective molecular pathways, including Wnt/beta-catenin/LEF1 signalling and differential regulation of tumour suppressor genes. Deeper understanding of the mechanisms involved in OSA are essential contributions towards the development of novel diagnostic, prognostic, and treatment options in human and veterinary medicine contexts. Full article
(This article belongs to the Special Issue Advances in Soft Tissue and Bone Sarcoma)
Show Figures

Figure 1

22 pages, 7577 KB  
Article
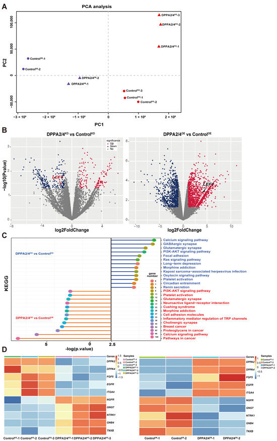
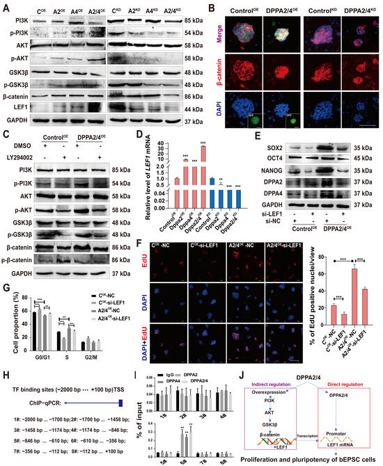
DPPA2/4 Promote the Pluripotency and Proliferation of Bovine Extended Pluripotent Stem Cells by Upregulating the PI3K/AKT/GSK3β/β-Catenin Signaling Pathway
by Shu Fang, Jing Wang, Guangbo Liu, Burong Qu, Jian Chunyu, Wenqiang Xu, Jinzhu Xiang and Xueling Li
Cells 2024, 13(5), 382; https://doi.org/10.3390/cells13050382 - 23 Feb 2024
Cited by 6 | Viewed by 2421
Abstract
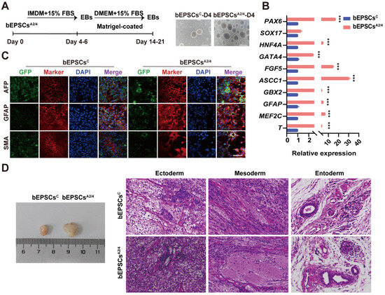
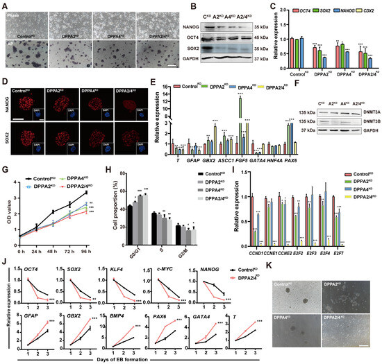
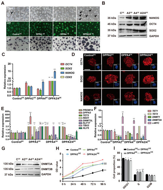
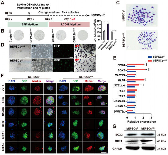
Developmental pluripotency-associated 2 (DPPA2) and DPPA4 are crucial transcription factors involved in maintaining pluripotency in humans and mice. However, the role of DPPA2/4 in bovine extended pluripotent stem cells (bEPSCs) has not been investigated. In this study, a subset of bEPSC-related differentially expressed [...] Read more.
Developmental pluripotency-associated 2 (DPPA2) and DPPA4 are crucial transcription factors involved in maintaining pluripotency in humans and mice. However, the role of DPPA2/4 in bovine extended pluripotent stem cells (bEPSCs) has not been investigated. In this study, a subset of bEPSC-related differentially expressed genes (DEGs), including DPPA2 and DPPA4, was identified based on multiomics data (ATAC-seq and RNA-seq). Subsequent investigations revealed that double overexpression of DPPA2/4 facilitates the reprogramming of bovine fetal fibroblasts (BFFs) into bEPSCs, whereas knockout of DPPA2/4 in BFFs leads to inefficient reprogramming. DPPA2/4 overexpression and knockdown experiments revealed that the pluripotency and proliferation capability of bEPSCs were maintained by promoting the transition from the G1 phase to the S phase of the cell cycle. By activating the PI3K/AKT/GSK3β/β-catenin pathway in bEPSCs, DPPA2/4 can increase the nuclear accumulation of β-catenin, which further upregulates lymphoid enhancer binding factor 1 (LEF1) transcription factor activity. Moreover, DPPA2/4 can also regulate the expression of LEF1 by directly binding to its promoter region. Overall, our results demonstrate that DPPA2/4 promote the reprogramming of BFFs into bEPSCs while also maintaining the pluripotency and proliferation capability of bEPSCs by regulating the PI3K/AKT/GSK3β/β-catenin pathway and subsequently activating LEF1. These findings expand our understanding of the gene regulatory network involved in bEPSC pluripotency. Full article
(This article belongs to the Section Stem Cells)
Show Figures

Figure 1

19 pages, 16710 KB  
Article
Chondroitin Sulfate Proteoglycan 4 Provides New Treatment Approach to Preventing Peritoneal Dissemination in Ovarian Cancer
by Kaname Uno, Yoshihiro Koya, Masato Yoshihara, Shohei Iyoshi, Kazuhisa Kitami, Mai Sugiyama, Emiri Miyamoto, Kazumasa Mogi, Hiroki Fujimoto, Yoshihiko Yamakita, Xinhui Wang, Akihiro Nawa and Hiroaki Kajiyama
Int. J. Mol. Sci. 2024, 25(3), 1626; https://doi.org/10.3390/ijms25031626 - 28 Jan 2024
Cited by 6 | Viewed by 3325
Abstract
Most epithelial ovarian cancer (EOC) patients are diagnosed with peritoneal dissemination. Cellular interactions are an important aspect of EOC cells when they detach from the primary site of the ovary. However, the mechanism remains underexplored. Our study aimed to reveal the role of [...] Read more.
Most epithelial ovarian cancer (EOC) patients are diagnosed with peritoneal dissemination. Cellular interactions are an important aspect of EOC cells when they detach from the primary site of the ovary. However, the mechanism remains underexplored. Our study aimed to reveal the role of chondroitin sulfate proteoglycan 4 (CSPG4) in EOC with a major focus on cell–cell interactions. We examined the expression of CSPG4 in clinical samples and cell lines of EOC. The proliferation, migration, and invasion abilities of the CSPG4 knockdown cells were assessed. We also assessed the role of CSPG4 in spheroid formation and peritoneal metastasis in an in vivo model using sh-CSPG4 EOC cell lines. Of the clinical samples, 23 (44.2%) samples expressed CSPG4. CSPG4 was associated with a worse prognosis in patients with advanced EOC. Among the EOC cell lines, aggressive cell lines, including ES2, expressed CSPG4. When CSPG4 was knocked down using siRNA or shRNA, the cell proliferation, migration, and invasion abilities were significantly decreased compared to the control cells. Proteomic analyses showed changes in the expression of proteins related to the cell movement pathways. Spheroid formation was significantly inhibited when CSPG4 was inhibited. The number of nodules and the tumor burden of the omentum were significantly decreased in the sh-CSPG4 mouse models. In the peritoneal wash fluid from mice injected with sh-CSPG4 EOC cells, significantly fewer spheroids were present. Reduced CSPG4 expression was observed in lymphoid enhancer-binding factor 1-inhibited cells. CSPG4 is associated with aggressive features of EOC and poor prognosis. CSPG4 could be a new treatment target for blocking peritoneal metastasis by inhibiting spheroid formation. Full article
(This article belongs to the Special Issue Molecular Advances in Ovarian Cancer)
Show Figures

Figure 1

30 pages, 7308 KB  
Article
Effects of S-Adenosylhomocysteine Hydrolase Downregulation on Wnt Signaling Pathway in SW480 Cells
by Ivana Pavičić, Filip Rokić and Oliver Vugrek
Int. J. Mol. Sci. 2023, 24(22), 16102; https://doi.org/10.3390/ijms242216102 - 8 Nov 2023
Cited by 3 | Viewed by 3990
Abstract
S-adenosylhomocysteine hydrolase (AHCY) deficiency results mainly in hypermethioninemia, developmental delay, and is potentially fatal. In order to shed new light on molecular aspects of AHCY deficiency, in particular any changes at transcriptome level, we enabled knockdown of AHCY expression in the colon cancer [...] Read more.
S-adenosylhomocysteine hydrolase (AHCY) deficiency results mainly in hypermethioninemia, developmental delay, and is potentially fatal. In order to shed new light on molecular aspects of AHCY deficiency, in particular any changes at transcriptome level, we enabled knockdown of AHCY expression in the colon cancer cell line SW480 to simulate the environment occurring in AHCY deficient individuals. The SW480 cell line is well known for elevated AHCY expression, and thereby represents a suitable model system, in particular as AHCY expression is regulated by MYC, which, on the other hand, is involved in Wnt signaling and the regulation of Wnt-related genes, such as the β-catenin co-transcription factor LEF1 (lymphoid enhancer-binding factor 1). We selected LEF1 as a potential target to investigate its association with S-adenosylhomocysteine hydrolase deficiency. This decision was prompted by our analysis of RNA-Seq data, which revealed significant changes in the expression of genes related to the Wnt signaling pathway and genes involved in processes responsible for epithelial-mesenchymal transition (EMT) and cell proliferation. Notably, LEF1 emerged as a common factor in these processes, showing increased expression both on mRNA and protein levels. Additionally, we show alterations in interconnected signaling pathways linked to LEF1, causing gene expression changes with broad effects on cell cycle regulation, tumor microenvironment, and implications to cell invasion and metastasis. In summary, we provide a new link between AHCY deficiency and LEF1 serving as a mediator of changes to the Wnt signaling pathway, thereby indicating potential connections of AHCY expression and cancer cell phenotype, as Wnt signaling is frequently associated with cancer development, including colorectal cancer (CRC). Full article
(This article belongs to the Special Issue Recent Research on Cell and Molecular Biology)
Show Figures

Figure 1

11 pages, 1457 KB  
Communication
rs71327024 Associated with COVID-19 Hospitalization Reduces CXCR6 Promoter Activity in Human CD4+ T Cells via Disruption of c-Myb Binding
by Aksinya N. Uvarova, Ekaterina M. Stasevich, Alina S. Ustiugova, Nikita A. Mitkin, Elina A. Zheremyan, Savely A. Sheetikov, Ksenia V. Zornikova, Apollinariya V. Bogolyubova, Mikhail A. Rubtsov, Ivan V. Kulakovskiy, Dmitry V. Kuprash, Kirill V. Korneev and Anton M. Schwartz
Int. J. Mol. Sci. 2023, 24(18), 13790; https://doi.org/10.3390/ijms241813790 - 7 Sep 2023
Cited by 11 | Viewed by 3117
Abstract
Single-nucleotide polymorphism rs71327024 located in the human 3p21.31 locus has been associated with an elevated risk of hospitalization upon SARS-CoV-2 infection. The 3p21.31 locus contains several genes encoding chemokine receptors potentially relevant to severe COVID-19. In particular, CXCR6, which is prominently expressed in [...] Read more.
Single-nucleotide polymorphism rs71327024 located in the human 3p21.31 locus has been associated with an elevated risk of hospitalization upon SARS-CoV-2 infection. The 3p21.31 locus contains several genes encoding chemokine receptors potentially relevant to severe COVID-19. In particular, CXCR6, which is prominently expressed in T lymphocytes, NK, and NKT cells, has been shown to be involved in the recruitment of immune cells to non-lymphoid organs in chronic inflammatory and respiratory diseases. In COVID-19, CXCR6 expression is reduced in lung resident memory T cells from patients with severe disease as compared to the control cohort with moderate symptoms. We demonstrate here that rs71327024 is located within an active enhancer that augments the activity of the CXCR6 promoter in human CD4+ T lymphocytes. The common rs71327024(G) variant makes a functional binding site for the c-Myb transcription factor, while the risk rs71327024(T) variant disrupts c-Myb binding and reduces the enhancer activity. Concordantly, c-Myb knockdown in PMA-treated Jurkat cells negates rs71327024’s allele-specific effect on CXCR6 promoter activity. We conclude that a disrupted c-Myb binding site may decrease CXCR6 expression in T helper cells of individuals carrying the minor rs71327024(T) allele and thus may promote the progression of severe COVID-19 and other inflammatory pathologies. Full article
(This article belongs to the Special Issue COVID-19 and Future Pathogens)
Show Figures

Figure 1

12 pages, 2932 KB  
Communication
Escin Activates Canonical Wnt/β-Catenin Signaling Pathway by Facilitating the Proteasomal Degradation of Glycogen Synthase Kinase-3β in Cultured Human Dermal Papilla Cells
by Jae Young Shin, Jaeyoon Kim, Yun-Ho Choi, Sanghwa Lee and Nae-Gyu Kang
Curr. Issues Mol. Biol. 2023, 45(7), 5902-5913; https://doi.org/10.3390/cimb45070373 - 14 Jul 2023
Cited by 2 | Viewed by 2720
Abstract
Abnormal inactivation of the Wnt/β-catenin signaling pathway is involved in skin diseases like androgenetic alopecia, vitiligo and canities, but small-molecule activators are rarely described. In this study, we investigated the stimulatory effects of escin on the canonical Wnt/β-catenin signaling pathway in cultured human [...] Read more.
Abnormal inactivation of the Wnt/β-catenin signaling pathway is involved in skin diseases like androgenetic alopecia, vitiligo and canities, but small-molecule activators are rarely described. In this study, we investigated the stimulatory effects of escin on the canonical Wnt/β-catenin signaling pathway in cultured human dermal papilla cells (hDPCs). Escin stimulated Wnt/β-catenin signaling, resulting in increased β-catenin and lymphoid enhancer-binding factor 1 (LEF1), the accumulation of nuclear β-catenin and the enhanced expression of Wnt target genes in cultured hDPCs. Escin drastically reduced the protein level of glycogen synthase kinase (GSK)-3β, a key regulator of the Wnt/β-catenin signaling pathway, while the presence of the proteasome inhibitor MG-132 fully restored the GSK-3β protein level. The treatment of secreted frizzled-related proteins (sFRPs) 1 and 2 attenuated the activity of escin in Wnt reporter assays. Our data demonstrate that escin is a natural agonist of the canonical Wnt/β-catenin signaling pathway and downregulates GSK-3β protein expression by facilitating the proteasomal degradation of GSK-3β in cultured hDPCs. Our data suggest that escin likely stimulates Wnt signaling through direct interactions with frizzled receptors. This study underscores the therapeutic potential of escin for Wnt-related diseases such as androgenetic alopecia, vitiligo and canities. Full article
(This article belongs to the Special Issue Natural Products in Biomedicine and Pharmacotherapy)
Show Figures

Figure 1

25 pages, 4369 KB  
Article
WNT3a Signaling Inhibits Aromatase Expression in Breast Adipose Fibroblasts—A Possible Mechanism Supporting the Loss of Estrogen Responsiveness of Triple-Negative Breast Cancers
by Alexander Kaiser, Gabriele Eiselt, Joachim Bechler, Otmar Huber and Martin Schmidt
Int. J. Mol. Sci. 2023, 24(5), 4654; https://doi.org/10.3390/ijms24054654 - 28 Feb 2023
Cited by 5 | Viewed by 2899
Abstract
Estrogen-dependent breast cancers rely on a constant supply of estrogens and expression of estrogen receptors. Local biosynthesis, by aromatase in breast adipose fibroblasts (BAFs), is their most important source for estrogens. Triple-negative breast cancers (TNBC) rely on other growth-promoting signals, including those from [...] Read more.
Estrogen-dependent breast cancers rely on a constant supply of estrogens and expression of estrogen receptors. Local biosynthesis, by aromatase in breast adipose fibroblasts (BAFs), is their most important source for estrogens. Triple-negative breast cancers (TNBC) rely on other growth-promoting signals, including those from the Wnt pathway. In this study, we explored the hypothesis that Wnt signaling alters the proliferation of BAFs, and is involved in regulation of aromatase expression in BAFs. Conditioned medium (CM) from TNBC cells and WNT3a consistently increased BAF growth, and reduced aromatase activity up to 90%, by suppression of the aromatase promoter I.3/II region. Database searches identified three putative Wnt-responsive elements (WREs) in the aromatase promoter I.3/II. In luciferase reporter gene assays, promoter I.3/II activity was inhibited by overexpression of full-length T-cell factor (TCF)-4 in 3T3-L1 preadipocytes, which served as a model for BAFs. Full-length lymphoid enhancer-binding factor (LEF)-1 increased the transcriptional activity. However, TCF-4 binding to WRE1 in the aromatase promoter, was lost after WNT3a stimulation in immunoprecipitation-based in vitro DNA-binding assays, and in chromatin immunoprecipitation (ChIP). In vitro DNA-binding assays, ChIP, and Western blotting revealed a WNT3a-dependent switch of nuclear LEF-1 isoforms towards a truncated variant, whereas β-catenin levels remained unchanged. This LEF-1 variant revealed dominant negative properties, and most likely recruited enzymes involved in heterochromatin formation. In addition, WNT3a induced the replacement of TCF-4 by the truncated LEF-1 variant, on WRE1 of the aromatase promoter I.3/II. The mechanism described here may be responsible for the loss of aromatase expression predominantly associated with TNBC. Tumors with (strong) expression of Wnt ligands actively suppress aromatase expression in BAFs. Consequently a reduced estrogen supply could favor the growth of estrogen-independent tumor cells, which consequently would make estrogen receptors dispensable. In summary, canonical Wnt signaling within (cancerous) breast tissue may be a major factor controlling local estrogen synthesis and action. Full article
(This article belongs to the Special Issue Prevention and Drug Treatment of Breast Cancer)
Show Figures

Figure 1

13 pages, 1818 KB  
Article
Tectoridin Stimulates the Activity of Human Dermal Papilla Cells and Promotes Hair Shaft Elongation in Mouse Vibrissae Hair Follicle Culture
by Gary Ka-Wing Yuen, Bryan Siu-Yin Ho, Lish Sheng-Ying Lin, Tina Ting-Xia Dong and Karl Wah-Keung Tsim
Molecules 2022, 27(2), 400; https://doi.org/10.3390/molecules27020400 - 8 Jan 2022
Cited by 14 | Viewed by 5444
Abstract
To search hair growth-promoting herbal extract, a screening platform of having HEK293T fibroblast being transfected with pTOPFLASH DNA construct was developed over a thousand of herbal extracts and phytochemicals were screened. One of the hits was ethanolic extract of Rhizoma Belamcandae, the rhizome [...] Read more.
To search hair growth-promoting herbal extract, a screening platform of having HEK293T fibroblast being transfected with pTOPFLASH DNA construct was developed over a thousand of herbal extracts and phytochemicals were screened. One of the hits was ethanolic extract of Rhizoma Belamcandae, the rhizome of Belamcanda chinensis (L.) DC. Tectoridin, an isoflavone from Rhizoma Belamcandae, was shown to be responsible for this activation of promoter construct, inducing the transcription of pTOPFLASH in the transfected fibroblasts in a dose-dependent manner. The blockage by DKK-1 suggested the action of tectoridin could be mediated by the Wnt receptor. The hair growth-promoting effects of tectoridin were illustrated in human follicular dermal papilla cells and mouse vibrissae organ cultures. In tectoridin-treated dermal papilla cultures, an activation of Wnt signaling was demonstrated by various indicative markers, including TCF/LEF1 transcriptional activity, nuclear translocation of β-catenin, expressions level of mRNAs encoding axin-related protein, (AXIN2), β-catenin, lymphoid enhancer-binding factor-1 (LEF-1), insulin-like growth factor 1 (IGF-1) and alkaline phosphatase (ALP). In addition, an increase of hair shaft elongation was observed in cultured mouse vibrissae upon the treatment of tectoridin. Tectoridin, as well as the herbal extract of Rhizoma Belamcandae, possesses hair promoting activity, which deserves further development. Full article
Show Figures

Figure 1

14 pages, 6779 KB  
Article
LEF1 Enhances the Progression of Colonic Adenocarcinoma via Remodeling the Cell Motility Associated Structures
by Li Xiao, Caixia Zhang, Xinyao Li, Chenshuang Jia, Lirong Chen, Yue Yuan, Qian Gao, Zheng Lu, Yang Feng, Ruixia Zhao, Xuewei Zhao, Sinan Cheng, Zhan Shu, Jie Xu, Wei Duan, Guochao Nie and Yingchun Hou
Int. J. Mol. Sci. 2021, 22(19), 10870; https://doi.org/10.3390/ijms221910870 - 8 Oct 2021
Cited by 25 | Viewed by 3311
Abstract
Lymphoid enhancer-binding factor 1 (LEF1) is a key transcription factor mediating the Wnt signaling pathway. LEF1 is a regulator that is closely associated with tumor malignancy and is usually upregulated in cancers, including colonic adenocarcinoma. The underlying molecular mechanisms of LEF1 regulation for [...] Read more.
Lymphoid enhancer-binding factor 1 (LEF1) is a key transcription factor mediating the Wnt signaling pathway. LEF1 is a regulator that is closely associated with tumor malignancy and is usually upregulated in cancers, including colonic adenocarcinoma. The underlying molecular mechanisms of LEF1 regulation for colonic adenocarcinoma progression remain unknown. To explore it, the LEF1 expression in caco2 cells was inhibited using an shRNA approach. The results showed that downregulation of LEF1 inhibited the malignancy and motility associated microstructures, such as polymerization of F-actin, β-tubulin, and Lamin B1 in caco2 cells. LEF1 inhibition suppressed the expression of epithelial/endothelial-mesenchymal transition (EMT) relevant genes. Overall, the current results demonstrated that LEF1 plays a pivotal role in maintaining the malignancy of colonic adenocarcinoma by remodeling motility correlated microstructures and suppressing the expression of EMT-relevant genes. Our study provided evidence of the roles LEF1 played in colonic adenocarcinoma progression, and suggest LEF1 as a potential target for colonic adenocarcinoma therapy. Full article
(This article belongs to the Section Molecular Pathology, Diagnostics, and Therapeutics)
Show Figures

Figure 1

18 pages, 2469 KB  
Review
Thymus Gland: A Double Edge Sword for Coronaviruses
by Ebtesam A. Al-Suhaimi, Meneerah A. Aljafary, Fadwa M. Alkhulaifi, Hanan A. Aldossary, Thamer Alshammari, Ayman AL-Qaaneh, Razan Aldahhan, Zahra Alkhalifah, Zagit Z. Gaymalov, Adeeb Shehzad and Abdelgadir M. Homeida
Vaccines 2021, 9(10), 1119; https://doi.org/10.3390/vaccines9101119 - 2 Oct 2021
Cited by 15 | Viewed by 15254
Abstract
The thymus is the main lymphoid organ that regulates the immune and endocrine systems by controlling thymic cell proliferation and differentiation. The gland is a primary lymphoid organ responsible for generating mature T cells into CD4+ or CD8+ single-positive (SP) T cells, contributing [...] Read more.
The thymus is the main lymphoid organ that regulates the immune and endocrine systems by controlling thymic cell proliferation and differentiation. The gland is a primary lymphoid organ responsible for generating mature T cells into CD4+ or CD8+ single-positive (SP) T cells, contributing to cellular immunity. Regarding humoral immunity, the thymic plasma cells almost exclusively secrete IgG1 and IgG3, the two main complement-fixing effector IgG subclasses. Deformity in the thymus can lead to inflammatory diseases. Hassall’s corpuscles’ epithelial lining produces thymic stromal lymphopoietin, which induces differentiation of CDs thymocytes into regulatory T cells within the thymus medulla. Thymic B lymphocytes produce immunoglobulins and immunoregulating hormones, including thymosin. Modulation in T cell and naive T cells decrement due to thymus deformity induce alteration in the secretion of various inflammatory factors, resulting in multiple diseases. Influenza virus activates thymic CD4+ CD8+ thymocytes and a large amount of IFNγ. IFNs limit virus spread, enhance macrophages’ phagocytosis, and promote the natural killer cell restriction activity against infected cells. Th2 lymphocytes-produced cytokine IL-4 can bind to antiviral INFγ, decreasing the cell susceptibility and downregulating viral receptors. COVID-19 epitopes (S, M, and N proteins) with ≥90% identity to the SARS-CoV sequence have been predicted. These epitopes trigger immunity for antibodies production. Boosting the immune system by improving thymus function can be a therapeutic strategy for preventing virus-related diseases. This review aims to summarize the endocrine-immunoregulatory functions of the thymus and the underlying mechanisms in the prevention of COVID-19. Full article
Show Figures

Figure 1

Back to TopTop