Sign in to use this feature.

Years

Between: -

Subjects

remove_circle_outline
remove_circle_outline
remove_circle_outline
remove_circle_outline
remove_circle_outline
remove_circle_outline
remove_circle_outline

Journals

Article Types

Countries / Regions

Search Results (75)

Search Parameters:
Keywords = kidney/ultrasonography

Order results
Result details
Results per page
Select all
Export citation of selected articles as:
24 pages, 10097 KB  
Review
Sonographic Anatomy and Normal Measurements of the Human Kidneys: A Comprehensive Review
by Madhvi Yadav, Saubhagya Srivastava, Manjiri Dighe, Kathleen Möller, Christian Jenssen and Christoph Frank Dietrich
Diagnostics 2025, 15(24), 3208; https://doi.org/10.3390/diagnostics15243208 - 15 Dec 2025
Viewed by 64
Abstract
Ultrasound is the primary, non-invasive imaging modality for evaluating renal anatomy and function in both acute and chronic settings. Familiarity with normal kidney morphology, cortical and parenchymal thickness, echogenicity, and Doppler parameters is essential for differentiating normal findings from early manifestations of disease. [...] Read more.
Ultrasound is the primary, non-invasive imaging modality for evaluating renal anatomy and function in both acute and chronic settings. Familiarity with normal kidney morphology, cortical and parenchymal thickness, echogenicity, and Doppler parameters is essential for differentiating normal findings from early manifestations of disease. This review summarizes established reference ranges and anatomical variants from the 1950s to 2025, highlighting differences related to age, sex, body habitus, and ethnicity. Practical emphasis is placed on the interpretation of renal size, cortical thickness, echogenicity, and resistive indices in clinical scenarios such as chronic kidney disease, renovascular hypertension, acute obstruction, and renal transplantation. By integrating sonographic measurements with clinical and laboratory findings, clinicians can achieve timely diagnosis, monitor disease progression, and guide therapeutic decisions while minimizing the need for invasive or radiation-based imaging. Full article
(This article belongs to the Special Issue Clinical Impacts and Value of Anatomy, 2nd Edition)
Show Figures

Figure 1

18 pages, 1373 KB  
Review
Point-of-Care Ultrasonography in Advanced Nephrology Nursing Practice: Seeing Beyond the Numbers
by Antoni Garcia-Lahosa, Sergio Moreno-Millán, Maria Cruz Sanchez-García, Miguel Sanchez-Cardenas, Christiane Steiss, Wilmer Jim Escobar, Miguel Nuñez-Moral, Jordi Soler-Majoral, Fredzzia Graterol Torres, Jordi Ara, Jordi Bover, J. Emilio Sánchez-Alvarez, Faeq Husain-Syed, Abhilash Koratala, Gregorio Romero-González, Sonia Fernández-Delgado, Nestor Rodríguez-Chitiva and Elisabeth Marcos-Ballesteros
Diagnostics 2025, 15(24), 3196; https://doi.org/10.3390/diagnostics15243196 - 14 Dec 2025
Viewed by 251
Abstract
Chronic kidney disease (CKD) affects nearly 850 million people worldwide, and most patients with kidney failure are treated with kidney replacement therapy. Despite technological progress, venous congestion remains a major determinant of morbidity and mortality, and is often underdetected by conventional tools such [...] Read more.
Chronic kidney disease (CKD) affects nearly 850 million people worldwide, and most patients with kidney failure are treated with kidney replacement therapy. Despite technological progress, venous congestion remains a major determinant of morbidity and mortality, and is often underdetected by conventional tools such as clinical evaluation, weight changes, blood pressure measurement, or bioimpedance. Point-of-care ultrasonography (PoCUS) has transformed this diagnostic landscape by providing real-time, physiology-based insights into both left- and right-sided filling pressures. In dialysis care, multiple or confluent B-lines and subtle pleural irregularities suggest elevated pulmonary capillary wedge pressure, while a dilated inferior vena cava (IVC) with reduced collapsibility and increased portal vein pulsatility indicate elevated right atrial pressures. Integrating these sonographic findings into a multiparametric assessment that also includes clinical assessment, bioimpedance, and biosensor feedback enhances diagnostic sensitivity and refines fluid management. Advanced practice nurses (APNs) trained in PoCUS can perform focused examinations of the lungs, IVC, portal venous system, arteriovenous access, and skeletal muscle, translating ultrasound findings into physiological interpretations that guide individualized ultrafiltration strategies and patient care. Nutritional ultrasound (NUS) further complements congestion assessment by quantifying muscle mass and quality, linking nutritional reserve and functional status with hemodynamic tolerance. The implementation of structured education, competency-based training, and standardized scanning protocols allows nurses to incorporate these techniques safely and reproducibly into daily dialysis workflows. By integrating PoCUS and NUS within interdisciplinary decision-making, nursing practice evolves from procedural to diagnostic, supporting early identification of congestion, protection of vascular access, and detection of malnutrition. This multiparametric, physiology-guided approach exemplifies the concept of precision nursing, where patient evaluation becomes continuous, individualized, and grounded in real-time pathophysiological insight. Full article
Show Figures

Figure 1

13 pages, 1360 KB  
Article
Prenatal Diagnosis and Postnatal Outcomes of Fetal ADPKD: A Single-Center Retrospective Cohort Study
by Suhra Kim, Ju-hee Yoon, Yun Ji Jung, Hayan Kwon, JoonHo Lee, Ja-Young Kwon and Young-Han Kim
Medicina 2025, 61(12), 2145; https://doi.org/10.3390/medicina61122145 - 30 Nov 2025
Viewed by 222
Abstract
Background/Objectives: Autosomal dominant polycystic kidney disease (ADPKD) is the most common hereditary renal disorder; it is typically diagnosed in adulthood, but occasionally presents antenatally as very-early onset ADPKD. Despite advances in prenatal ultrasonography, knowledge regarding the postnatal course of fetal ADPKD remains limited, [...] Read more.
Background/Objectives: Autosomal dominant polycystic kidney disease (ADPKD) is the most common hereditary renal disorder; it is typically diagnosed in adulthood, but occasionally presents antenatally as very-early onset ADPKD. Despite advances in prenatal ultrasonography, knowledge regarding the postnatal course of fetal ADPKD remains limited, restricting reliable prognostic assessment and prenatal counselling. This study aimed to evaluate the prenatal sonographic features of fetal ADPKD and their correlation with postnatal outcomes. Materials and Methods: We retrospectively reviewed 20 cases of prenatally suspected ADPKD diagnosed at a single tertiary referral center between 2006 and 2024. Prenatal ultrasonographic findings including renal size, cortical echogenicity, corticomedullary differentiation (CMD), and cortical cysts were analyzed and correlated with postnatal clinical and genetic outcomes. Postnatal follow-up data, including renal function and progression to chronic kidney disease (CKD), were collected with a median follow-up of 93.6 months. Results: The most consistent prenatal ultrasonographic findings were increased cortical echogenicity (85%), increased CMD (75%), and renal enlargement (35%), with cortical cysts detected in 45% of cases. Amniotic fluid volume was preserved in most cases (80%). Postnatally, most infants maintained normal or near-normal renal function, although two progressed to CKD. Both CKD cases demonstrated absent CMD on prenatal imaging. Sonographic features resembling autosomal recessive polycystic kidney disease (ARPKD) were associated with adverse outcomes. Although CMD severity showed no correlation with short-term neonatal outcomes, loss of CMD may still serve as a potential early indicator of long-term renal dysfunction. Conclusions: Fetal ADPKD was associated with heterogeneous postnatal outcomes. Loss of CMD and ARPKD-like sonographic appearances may be associated with adverse prognosis, whereas most infants maintained preserved renal function. Early recognition of ADPKD is crucial for accurate counselling, appropriate perinatal management, and long-term surveillance. Full article
Show Figures

Figure 1

17 pages, 906 KB  
Review
Inguinal Herniation of the Transplanted Ureter: A Systematic Review
by Pajtim Emini, Riccardo Scarponi, Salvatore Spiezia, Pasquale Avella, Luigi Ricciardelli, Germano Guerra, Graziano Ceccarelli and Michele De Rosa
Surgeries 2025, 6(4), 97; https://doi.org/10.3390/surgeries6040097 - 10 Nov 2025
Viewed by 463
Abstract
Herniation of the transplanted ureter into the inguinal canal is an exceptionally rare complication following renal transplantation. Most cases present as delayed-onset obstructions, typically occurring more than one year post-transplant and often involving the ipsilateral inguinal canal. We presented the case of a [...] Read more.
Herniation of the transplanted ureter into the inguinal canal is an exceptionally rare complication following renal transplantation. Most cases present as delayed-onset obstructions, typically occurring more than one year post-transplant and often involving the ipsilateral inguinal canal. We presented the case of a 49-year-old male kidney transplant recipient who developed obstructive uropathy due to herniation of the graft ureter into the ipsilateral inguinal canal. Diagnosis was confirmed by computed tomography (CT), which proved superior to ultrasonography in delineating the ureteral course. A JJ ureteral stent was successfully placed, followed by inguinal hernia repair using the Lichtenstein technique. The postoperative course was uneventful, with complete resolution of symptoms and preservation of graft function. Transplanted ureteral herniation is a rare but important cause of late post-transplant obstruction. Cross-sectional imaging, particularly CT, offers greater diagnostic accuracy than ultrasound alone in identifying ureteral displacement. When feasible, primary ureteral stenting may obviate the need for nephrostomy, thereby reducing patient morbidity. Full article
Show Figures

Figure 1

16 pages, 1557 KB  
Article
Kinematic Assessment of the Physician’s Body Position and Musculoskeletal Loads During Breast and Abdominal Ultrasound Examinations
by Mateusz Winder, Maria Hankus, Marcin Ciekalski, Izabela Rosół, Anna Miller-Banaś, Agata Guzik-Kopyto, Katarzyna Steinhof-Radwańska and Robert Michnik
J. Clin. Med. 2025, 14(20), 7417; https://doi.org/10.3390/jcm14207417 - 20 Oct 2025
Viewed by 631
Abstract
Background: Ultrasound is a non-invasive imaging technique that provides real-time evaluation of anatomical structures. While versatile in examining various organs, it can be physically demanding for physicians due to the need for challenging positions, causing musculoskeletal pain and potentially work-related diseases over [...] Read more.
Background: Ultrasound is a non-invasive imaging technique that provides real-time evaluation of anatomical structures. While versatile in examining various organs, it can be physically demanding for physicians due to the need for challenging positions, causing musculoskeletal pain and potentially work-related diseases over time. The study aimed to assess the ergonomics of abdominal and breast ultrasound, identify the most challenging anatomical area, determine which part of the examination causes the greatest strain, and evaluate the overall ergonomic impact of the entire procedure. Methods: This single-center study involved 4 radiologists and focused on breast and abdominal ultrasonography. Kinematic data were recorded using the Noraxon Ultium Motion inertial system to track body movements during the ultrasound procedures. Five critical segments were identified while examining the liver, right kidney, left kidney, right breast, and left breast. Ergonomic assessment was performed using the Rapid Upper Limb Assessment (RULA) and Rapid Entire Body Assessment (REBA) methods, evaluating postural risks and physical strain during each segment and the whole procedure. Results: Both RULA and REBA assessments yielded median total scores of 6.0–7.0 and 6.0–7.5, respectively, reflecting consistently medium to high musculoskeletal loading. Examinations of the left breast and left kidney were associated with the most demanding postures. These elevated scores demonstrate that abdominal and breast ultrasonography imposes substantial ergonomic strain, potentially increasing the risk of work-related musculoskeletal disorders. Conclusions: The high ergonomic risk scores indicate an urgent need to modify scanning techniques and workstation design to reduce musculoskeletal strain in sonographers. Implementing ergonomic improvements is essential to prevent occupational injuries and promote long-term health. Full article
(This article belongs to the Section Nuclear Medicine & Radiology)
Show Figures

Figure 1

9 pages, 851 KB  
Article
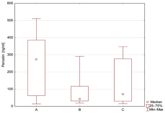
Diagnostic Value of Serum Periostin for Cyst Involution in Children with Multicystic Dysplastic Kidney
by Agnieszka Szmigielska, Iwona Kotuła, Urszula Demkow, Maria A. Szmigielska and Agnieszka Tutka
J. Clin. Med. 2025, 14(20), 7264; https://doi.org/10.3390/jcm14207264 - 15 Oct 2025
Viewed by 431
Abstract
Background: In polycystic kidney diseases, increased periostin levels and disease progression are observed. Multicystic dysplastic kidney (MCDK) is characterized by kidney atrophy. The aim of the study is to assess serum periostin activity in children with MCDK and in patients with MCDK and [...] Read more.
Background: In polycystic kidney diseases, increased periostin levels and disease progression are observed. Multicystic dysplastic kidney (MCDK) is characterized by kidney atrophy. The aim of the study is to assess serum periostin activity in children with MCDK and in patients with MCDK and involution of cysts. Methods: We enrolled in the study 64 children aged 1–5 years (mean age 25 +/− 9 months). Serum periostin (sPOSTN) levels were measured using enzyme-linked immunosorbent assay. We divided children into three groups: group A—patients with MCDK and cysts (n = 34); group B—patients with involution of cysts or after nephrectomy (n = 10), and group C—healthy children (n = 20). Results: Blood samples were obtained from 64 children, including 44 children with MCDK (26 boys, 18 girls). sPOSTN levels were significantly higher in group A, 239.1 ± 168.1 [IQR: 62.4, 385.7] ng/mL, compared to group B, 77.7 ± 82.8 [IQR: 31.7, 117.0] ng/mL (p < 0.05). The median level of periostin in patients with MCDK (groups A and B) was 204.4 ± 168.2 [IQR: 34.9, 363.4] ng/mL and 141.1 ± 129.0 [IQR: 30.3, 276.9] ng/mL in group C, respectively. In patients with the renal cysts, the cut-off value of periostin was 133.57 ng/mL. The lowest level of periostin was observed in patients in group B. There were no significant differences in periostin level between groups B and C. Conclusions: The study shows that a high level of sPOSTN was identified in patients with MCDK and cyst presentation in abdominal ultrasonography. The level of sPOSTN could be a promising blood marker of the cyst’s formation in cystic kidney diseases. However, this study remains preliminary; further studies are needed to confirm our findings. Full article
(This article belongs to the Section Nephrology & Urology)
Show Figures

Graphical abstract

18 pages, 1265 KB  
Article
Genomic Variants, Transcriptomic Profile, Ultrasonographic Findings, and Antioxidant and Immunological Biomarkers Linked to Pregnancy Toxemia Susceptibility in Goats
by Ahmed El-Sayed, Mohamed Marzok, Huda A. Alqahtani, Amin Tahoun, Adel I. Almubarak, Rasha Yassin Elkhidr, Zakriya Al Mohamed, Elshymaa A. Abdelnaby, Hussein Babiker, Hanan M. Alharbi, Khairiah M. Alwutayd and Ahmed Ateya
Vet. Sci. 2025, 12(9), 891; https://doi.org/10.3390/vetsci12090891 - 15 Sep 2025
Viewed by 1013
Abstract
Pregnancy toxemia (PT) represents a significant metabolic disorder affecting small ruminants that causes substantial economic losses due to reduced productivity, reproductive failure, and high mortality. This study investigated the clinical, ultrasonographic, hematobiochemical, oxidative stress, and immunological profiles, as well as the gene expression [...] Read more.
Pregnancy toxemia (PT) represents a significant metabolic disorder affecting small ruminants that causes substantial economic losses due to reduced productivity, reproductive failure, and high mortality. This study investigated the clinical, ultrasonographic, hematobiochemical, oxidative stress, and immunological profiles, as well as the gene expression and nucleotide sequence variations, associated with PT susceptibility in Shami goats. Fifty late-pregnant does (33 healthy and 17 PT-affected) were examined. Clinical evaluation, complete blood count, biochemical analysis, cytokine profiling, antioxidant assays, hepatic ultrasonography, quantitative real-time PCR of immune (IL6, IL8), antioxidant (SOD3, HMOX1), and lipogenic (ACACA, FASN) genes, and PCR-DNA sequencing were performed. PT does exhibit significant hypoglycemia, hyperketonemia, elevated liver and kidney function biomarkers, dyslipidemia, oxidative stress (↑ MDA, ↓ GSH, GPx, SOD, CAT), increased pro-inflammatory cytokines (IL1α, IL1β, IL6, TNFα), and reduced IL10. Gene expression analysis revealed upregulation of IL6 and IL8 and downregulation of SOD3, HMOX1, ACACA, and FASN in PT does. Sequencing identified multiple synonymous and non-synonymous SNPs significantly associated with PT. Ultrasonography indicated hepatic fatty infiltration. Discriminant analysis using SNPs achieved 100% classification accuracy between healthy and PT does. These findings suggested that combined clinical, biochemical, oxidative, immunological, and genetic markers could enhance early PT diagnosis and may provide a basis for future studies aimed at selective breeding for improved resistance. Full article
(This article belongs to the Special Issue Molecular Markers in Ruminant Reproduction)
Show Figures

Figure 1

13 pages, 526 KB  
Review
MODY5 and 17q12 Microdeletion Syndrome: Phenotype Variability, Prenatal and Postnatal Counseling
by Paolo Fontana, Claudia Costabile, Mariateresa Falco, Maria Rosaria Barillari and Fortunato Lonardo
Genes 2025, 16(9), 1002; https://doi.org/10.3390/genes16091002 - 25 Aug 2025
Viewed by 1495
Abstract
Maturity-Onset Diabetes of the Young Type 5 (MODY5) is caused by heterozygous pathogenic variants in the HNF1B gene, encoding the transcription factor hepatocyte nuclear factor-1β. HNF1B haploinsufficiency typically leads to young-onset non-immune diabetes and highly variable renal involvement, whose more frequent features are [...] Read more.
Maturity-Onset Diabetes of the Young Type 5 (MODY5) is caused by heterozygous pathogenic variants in the HNF1B gene, encoding the transcription factor hepatocyte nuclear factor-1β. HNF1B haploinsufficiency typically leads to young-onset non-immune diabetes and highly variable renal involvement, whose more frequent features are bilateral kidney cysts and renal hypodysplasia. Kidney cysts or echogenic kidneys can be identified by ultrasonography in the prenatal period, but the renal involvement can also start in childhood or later. Notably, a recurrent microdeletion syndrome at 17q12 (deleting HNF1B plus ~15 neighboring genes) accounts for ~40–50% of cases. The 17q12 deletion is a contiguous gene syndrome and affected individuals present with a complex phenotype, including neurodevelopmental disorders, liver and pancreas abnormalities, and other congenital defects. When counseling the patient and the parents, the clinician must consider multiple factors, including the molecular defect and the age of onset of the symptoms, with particular attention to prenatal diagnosis. A multidisciplinary approach and an early diagnosis are essential for the management of these conditions. Full article
(This article belongs to the Section Genetic Diagnosis)
Show Figures

Figure 1

11 pages, 3629 KB  
Article
Variability of Renal Ultrasound Measurements: How Physician Experience and Patient Position Affect Measurement Accuracy?
by Dominik Świętoń, Gabriela Hryniewicz, Małgorzata Grzywińska, Mariusz Kaszubowski, Wojciech Kosiak, Piotr Czarniak, Joanna Świętoń, Hanna Storoniak and Maciej Piskunowicz
J. Clin. Med. 2025, 14(16), 5840; https://doi.org/10.3390/jcm14165840 - 18 Aug 2025
Viewed by 1146
Abstract
This study was designed to investigate the variability of renal ultrasound measurements, focusing on the impact of physician experience and patient position. Background: Since decreased kidney length is considered an indicator for chronic renal disease, understanding measurement repeatability and reproducibility is crucial [...] Read more.
This study was designed to investigate the variability of renal ultrasound measurements, focusing on the impact of physician experience and patient position. Background: Since decreased kidney length is considered an indicator for chronic renal disease, understanding measurement repeatability and reproducibility is crucial for establishing effective diagnostic guidelines. Methods: Fifty healthy young adults underwent renal ultrasound scans performed by three examiners with varying levels of experience (12 years, 5 years, and 4 weeks). Renal length was measured at the level of the hilum in three patient positions: supine, lateral decubitus, and prone, using a 2–6 MHz convex probe (GE Logiq S8). Results: This study found that examiner experience significantly affected the results of sonographic measurements. However, the Interclass Correlation Coefficient analysis for all examiners demonstrated good reliability in most positions, with the highest values observed for the prone position. Measurements in the lateral decubitus position showed highest values, especially for the most experience examiner. The less experienced sonographers produced more variable results. Conclusions: Standardized patient positioning improves the accuracy and reproducibility of renal ultrasound measurements. The prone position offers a balance of reliability and practicality, especially for less experienced operators. Full article
(This article belongs to the Section Nuclear Medicine & Radiology)
Show Figures

Figure 1

15 pages, 504 KB  
Article
Long-Term Impact of Neonatal Acute Kidney Injury on Renal Function in Children Born Preterm: A Follow-Up Study
by Tuğba Barsan Kaya, Özge Aydemir, Ozge Surmeli Onay, Evin Kocaturk, Çiğdem Öztunalı, Aslı Kavaz Tufan, Nuran Cetin, Özkan Alataş and Ayşe Neslihan Tekin
Children 2025, 12(8), 1018; https://doi.org/10.3390/children12081018 - 1 Aug 2025
Viewed by 1070
Abstract
Background and Objectives: The long-term renal and cardiovascular effects of neonatal acute kidney injury (AKI) in preterm infants remain unclear. This study investigated whether neonatal AKI leads to persistent subclinical kidney injury and blood pressure changes in school-aged children born preterm. Methods: In [...] Read more.
Background and Objectives: The long-term renal and cardiovascular effects of neonatal acute kidney injury (AKI) in preterm infants remain unclear. This study investigated whether neonatal AKI leads to persistent subclinical kidney injury and blood pressure changes in school-aged children born preterm. Methods: In this prospective cohort, preterm-born children (≤35 weeks’ gestation) with (n = 19) and without (n = 38) neonatal AKI were evaluated at 7–12 years. A term-born control group (n = 44) was included for biomarker comparison. Assessments included perinatal data, anthropometry, office and ambulatory blood pressure monitoring (ABPM), and renal ultrasonography. Kidney function was evaluated using serum creatinine (sCr), cystatin C, and estimated glomerular filtration rate (eGFR). Tubular injury was assessed using urinary kidney injury molecule-1/Cr (KIM-1/Cr), neutrophil gelatinase-associated lipocalin/Cr (NGAL/Cr), and trefoil factor 3/Cr (TFF3/Cr) ratios, as well as serum TFF3. Results: Conventional kidney function markers were similar among groups. However, the AKI group had higher serum cystatin C, lower cystatin C–based eGFR, and elevated urinary KIM-1/Cr and NGAL/Cr compared to no-AKI and term controls. Serum TFF3 was also higher in the AKI group. ABPM revealed higher nocturnal systolic blood pressure and blood pressure load in the AKI group. Kidney size did not differ between preterm subgroups. Conclusions: Neonatal AKI in preterm infants is associated with subtle alterations and potential renal stress or injury at school age, detectable only with sensitive biomarkers and ABPM. Further prospective studies are needed to validate these biomarkers and determine their role in predicting long-term outcomes in preterm infants with neonatal AKI. Full article
(This article belongs to the Section Pediatric Nephrology & Urology)
Show Figures

Figure 1

11 pages, 2166 KB  
Case Report
Case Report: Atypical Nodular Dermatofibrosis and Renal Cysts in a Bichon Frise with a BRCA2 Mutation and No FLCN Mutation
by Kwangsup Lee, Chansik Nam, Taejung Dan, Kijong Lee and Heemyung Park
Animals 2025, 15(14), 2070; https://doi.org/10.3390/ani15142070 - 14 Jul 2025
Viewed by 1021
Abstract
A 10-year-old intact female Bichon Frise presented with multiple firm skin nodules on all four limbs. The nodules progressively increased in number and size over seven months. Diagnostic tests included cytology of fine-needle aspirates, histopathology of skin biopsies, radiography, and abdominal ultrasonography. Cytology [...] Read more.
A 10-year-old intact female Bichon Frise presented with multiple firm skin nodules on all four limbs. The nodules progressively increased in number and size over seven months. Diagnostic tests included cytology of fine-needle aspirates, histopathology of skin biopsies, radiography, and abdominal ultrasonography. Cytology revealed spindle-shaped mesenchymal cells and extracellular matrix components, and histopathology confirmed ND characterized by mature collagen deposition without evidence of malignancy. Ultrasonography detected multiple kidney cysts bilaterally, although their exact nature (benign or malignant) could not be confirmed histologically. Genetic analysis was performed, revealing no mutation in the traditionally implicated FLCN gene but multiple nonsynonymous mutations in the BRCA2 gene. This case suggests a potential association between BRCA2 gene mutations and the development of ND with renal cystic lesions, broadening the known genetic causes beyond the commonly reported FLCN mutation. Regular genetic screening and close monitoring of dermatological and renal conditions in atypical breeds are recommended. To the best of current knowledge, this is the first case report demonstrating ND and renal cysts associated with BRCA2 mutations in a Bichon Frise. Full article
(This article belongs to the Section Veterinary Clinical Studies)
Show Figures

Figure 1

16 pages, 1037 KB  
Review
Renal Resistive Index from Renal Hemodynamics to Cardiovascular Risk: Diagnostic, Prognostic, and Therapeutic Implications
by Giulio Geraci, Pietro Ferrara, Luigi La Via, Alessandra Sorce, Vincenzo Calabrese, Giuseppe Cuttone, Valentina Paternò, Francesco Pallotti, Gianluca Sambataro, Luca Zanoli, Jacob George, Riccardo Polosa, Giuseppe Mulè and Caterina Carollo
Diseases 2025, 13(6), 178; https://doi.org/10.3390/diseases13060178 - 9 Jun 2025
Viewed by 1867
Abstract
Duplex-Doppler ultrasonography has become an essential tool in the diagnosis and management of kidney diseases, allowing clinicians to assess renal hemodynamics, detect vascular abnormalities, and monitor disease progression. Among the various Doppler-derived parameters, the renal resistive index (RRI) has gained particular attention both [...] Read more.
Duplex-Doppler ultrasonography has become an essential tool in the diagnosis and management of kidney diseases, allowing clinicians to assess renal hemodynamics, detect vascular abnormalities, and monitor disease progression. Among the various Doppler-derived parameters, the renal resistive index (RRI) has gained particular attention both as a diagnostic tool and a prognostic marker in nephrology. Traditionally considered an indicator of parenchymal perfusion, recent evidence highlights its strong association with systemic hemodynamic factors, particularly arterial stiffness, positioning RRI as a valuable tool for evaluating patients with systemic vascular impairment, such as hypertension, diabetes mellitus, and atherosclerosis. RRI has been strongly linked to vascular damage, which in turn is influenced by inflammation and endothelial dysfunction, making it a reliable marker of cardiovascular damage and a potential predictor of cardiovascular risk. Furthermore, emerging studies suggest that RRI could serve as a dynamic parameter to monitor vascular changes induced by therapeutic interventions. This narrative review summarizes the classic and evolving applications of RRI, from its origin as a renal hemodynamic marker to its emerging role as a systemic vascular biomarker with diagnostic and prognostic significance in cardiovascular and metabolic diseases. Full article
(This article belongs to the Section Cardiology)
Show Figures

Figure 1

25 pages, 346 KB  
Article
Diagnostic and Surgical Challenges in Parathyroid Neoplasia: An Extensive Analysis of a Single Endocrine Surgery Center Cohort of Patients
by Razvan Simescu, Andra Piciu, Valentin Muntean, Alexandru Mester, Daniel Corneliu Leucuta and Doina Piciu
Cancers 2025, 17(11), 1783; https://doi.org/10.3390/cancers17111783 - 26 May 2025
Cited by 2 | Viewed by 1020
Abstract
Background: Parathyroid neoplasia is a heterogeneous group of tumors, including parathyroid adenoma (PA), atypical parathyroid tumors (aPTs), and parathyroid carcinoma (PC). Differential diagnosis, especially preoperatively, between parathyroid carcinoma and the other two entities is challenging. The purposes of this study were to highlight [...] Read more.
Background: Parathyroid neoplasia is a heterogeneous group of tumors, including parathyroid adenoma (PA), atypical parathyroid tumors (aPTs), and parathyroid carcinoma (PC). Differential diagnosis, especially preoperatively, between parathyroid carcinoma and the other two entities is challenging. The purposes of this study were to highlight the main differences between different parathyroid tumors and to evaluate how combined PC suspicion and intraoperative adjuncts can influence surgical decision-making and outcome-related issues. Methods: We performed a retrospective study of a database of patients diagnosed with parathyroid tumors who underwent surgical treatment at our endocrine surgery referral center between June 2019 and July 2024. Demographic, clinical, biochemical, imaging, intraoperative, immunohistochemical, and follow-up data were analyzed. Results: A total of 83 cases were included in our study, divided for analysis into PA (n = 67), aPT (n = 9) and PC (n = 7) subgroups. The clinical profile of the cohort showed a significant difference (p < 0.05) between the PA, aPT, and PC subgroups regarding the presence of palpable tumors (0% vs. 11.11% vs. 14.29%), both bone and kidney involvement (14.93% vs. 44.44% vs. 85.71%), and extensive disease beyond bone and kidney involvement (4.48% vs. 44.44% vs. 71.43%). PTH levels over five times the normal value were present at significantly different rates (p < 0.001), with higher rates in the aPT and PC subgroups (55.56% and 85.71%, respectively) compared with the PA subgroup (7.46%). Also, a significant difference (p < 0.001) was observed when analyzing extreme albumin-corrected serum calcium elevations over 14 mg/dL, with much higher rates in the PC subgroup (71.43%) compared to PA (1.49%) and aPT (33.33%). On preoperative ultrasonography, a significantly higher number of PCs presented diameters ≥ 3 cm (p < 0.001), depth-to-width ratios (D/W) ≥ 1 (p = 0.003), suspicious delineation (p < 0.001), and suspicious echotexture features (p < 0.001), compared to PAs. On preoperative US performed by the surgeon, suspicious features for thyroid cancer were identified in five more patients compared to the four identified by the initial US evaluation, and all (10.84% of all patients) were confirmed on final histopathology as papillary thyroid cancers. Intraoperatively, a significant difference (p < 0.001) regarding parathyroid macroscopic suspicious features, including adhesions to the thyroid gland, was seen between subgroups. When analyzing only cases with en bloc resection, we found that, in all PC cases, a combined preoperative suspicion was present, and in five cases an intraoperative suspicion was raised. Immunohistochemical data showed significantly different median Ki-67 indices between subgroups (1, 2, and 5; p = 0.008) and a different parafibromin staining profile between PC and aPT. Regarding intraoperative neuromonitoring use, a significantly lower incidence of voice changes related to the external branch of the superior laryngeal nerve was observed in the monitoring vs. non-monitoring group (57.14% vs. 12.5%, p = 0.019). Conclusions: Our findings confirm that, in a multimodal and combined diagnostic approach, early pre- and intraoperative PC suspicion can be raised in order to optimize surgical treatment and, thus, favorably influence the outcome. Utilizing all resources available, including intraoperative parathormone determination, laryngeal nerve neuromonitoring, and immunohistochemistry staining, can bring extra benefit to the management of these challenging cases. Full article
20 pages, 1713 KB  
Article
Stromal Cell-Derived Factor-1, P-Selectin, and Advanced Oxidation Protein Products with Mitochondrial Dysfunction Concurrently Impact Cerebral Vessels in Patients with Normoalbuminuric Diabetic Kidney Disease and Type 2 Diabetes Mellitus
by Ligia Petrica, Florica Gadalean, Adrian Vlad, Danina Mirela Muntean, Daliborca Vlad, Victor Dumitrascu, Flaviu Bob, Oana Milas, Anca Suteanu-Simulescu, Mihaela Glavan, Sorin Ursoniu, Lavinia Balint-Marcu, Maria Mogos-Stefan, Silvia Ienciu, Octavian Marius Cretu, Roxana Popescu, Cristina Gluhovschi, Lavinia Iancu and Dragos Catalin Jianu
Int. J. Mol. Sci. 2025, 26(10), 4481; https://doi.org/10.3390/ijms26104481 - 8 May 2025
Cited by 1 | Viewed by 1324
Abstract
Diabetic kidney disease (DKD) displays a high prevalence of cardiovascular and cerebrovascular disease. Both the kidney and the brain share common pathogenic mechanisms, such as inflammation, endothelial dysfunction, oxidative stress, and mitochondrial dysfunction. The aim of this study was to establish a potential [...] Read more.
Diabetic kidney disease (DKD) displays a high prevalence of cardiovascular and cerebrovascular disease. Both the kidney and the brain share common pathogenic mechanisms, such as inflammation, endothelial dysfunction, oxidative stress, and mitochondrial dysfunction. The aim of this study was to establish a potential association of cerebral vessel remodeling and its related functional impairment with biomarkers of inflammation, oxidative stress, and mitochondrial dysfunction in the early stages of DKD in type 2 diabetes mellitus (DM) patients. A cohort of 184 patients and 39 healthy controls was assessed concerning serum and urinary stromal cell-derived factor-1 (SDF-1), P-selectin, advanced oxidation protein products (AOPPs), urinary synaptopodin, podocalyxin, kidney injury molecule-1 (KIM-1), and N-acetyl-β-(D)-glucosaminidase (NAG). The quantification of the mitochondrial DNA copy number (mtDNA-CN) and nuclear DNA (nDNA) in urine and peripheral blood was conducted using quantitative reverse transcription polymerase chain reaction (qRT-PCR). Using TaqMan tests, the beta-2 microglobulin nuclear gene (B2M) and the cytochrome b (CYTB) gene, which encodes subunit 2 of NADH dehydrogenase (ND2), were evaluated. The MtDNA-CN is the ratio of mitochondrial DNA to nuclear DNA copies, ascertained through the examination of the CYTB/B2M and ND2/B2M ratios. The intima-media thickness (IMT) measurements of the common carotid arteries (CCAs), along with the pulsatility index (PI) and resistivity index (RI) of the internal carotid arteries (ICAs) and middle cerebral arteries (MCAs), were obtained through cerebral Doppler ultrasonography (US). Additionally, the breath-holding index (BHI) was also measured by cerebral Doppler US. PI-ICAs, PI-MCAs, CCAs-IMT, RI-MCAs, and RI-ICAs demonstrated direct relationships with SDF-1, P-selectin, AOPPs, urine mtDNA, podocalyxin, synaptopodin, NAG, and KIM-1 while showing indirect correlations with serum mtDNA and the eGFR. In contrast, the BHI had negative correlations with SDF-1, P-selectin, AOPPs, urine mtDNA, synaptopodin, podocalyxin, KIM-1, and NAG while showing direct associations with serum mtDNA and the eGFR. In conclusion, a causative association exists among SDF-1, P-selectin, and AOPPs, as well as mitochondrial dysfunction, in early diabetic kidney disease (DKD) and significant cerebrovascular alterations in patients with type 2 diabetes mellitus and normoalbuminuric DKD, with no neurological symptoms. Full article
(This article belongs to the Special Issue Cell Biology in Diabetes and Diabetic Complications)
Show Figures

Graphical abstract

11 pages, 235 KB  
Article
Clinical Trial: Effects of Autologous Dendritic Cell Administration on Renal Hemodynamics and Inflammatory Biomarkers in Diabetic Kidney Disease
by Endang Drajat, Aziza Ghanie Icksan, Jonny Jonny, Aditya Pratama Lokeswara, Bhimo Aji Hernowo, Elvita Rahmi Daulay and Terawan Agus Putranto
Diseases 2025, 13(4), 122; https://doi.org/10.3390/diseases13040122 - 21 Apr 2025
Viewed by 975
Abstract
Background: Diabetic kidney disease (DKD) is a significant risk factor for End-Stage Renal Disease, with a high global incidence and mortality rate. Hyperglycemia in DKD induces inflammation, contributing to glomerular hyperfiltration, fibrosis, and impaired renal function. Current therapies, including SGLT2 inhibitors, ACE inhibitors, [...] Read more.
Background: Diabetic kidney disease (DKD) is a significant risk factor for End-Stage Renal Disease, with a high global incidence and mortality rate. Hyperglycemia in DKD induces inflammation, contributing to glomerular hyperfiltration, fibrosis, and impaired renal function. Current therapies, including SGLT2 inhibitors, ACE inhibitors, and ARBs, show limited efficacy. Autologous dendritic cells (DCs) offer potential anti-inflammatory effects by reducing cytokine activity and fibrosis biomarkers. Methods: A quasi-experimental pretest–post-test design was conducted involving 29 DKD patients. Baseline blood and urine samples were collected for MMP-9, TGF-β, and Doppler ultrasound (PSV, EDV) measurements. The subjects received subcutaneous injections of autologous DCs, and follow-up measurements were conducted four weeks after treatment. The statistical analyses included paired t-tests, Wilcoxon signed-rank tests, and linear regression. Results: After treatment, there were a significant decrease in PSV (from 47.1 ± 23.87 cm/s to 27.85 ± 20.53 cm/s, p = 0.044) and a significant increase in EDV (from 13 ± 5.32 cm/s to 15.7 ± 12.55 cm/s, p = 0.039). A strong correlation was observed between the TGF-β and MMP-9 levels (p = 0.001). Linear regression analysis showed reduced MMP-9 influence on the TGF-β after treatment, suggesting potential fibrosis reduction. Gender and UACR subgroup analyses revealed significant PSV and EDV improvements in females and the microalbuminuria group. Conclusion: Autologous dendritic cell therapy significantly improved renal hemodynamics and showed potential to reduce fibrosis by modulating TGF-β and MMP-9 levels in DKD patients, warranting further investigation. Full article
Back to TopTop