Prenatal Diagnosis and Postnatal Outcomes of Fetal ADPKD: A Single-Center Retrospective Cohort Study
Abstract
1. Introduction
2. Materials and Methods
2.1. Study Design and Procedure
2.2. Statistical Analysis
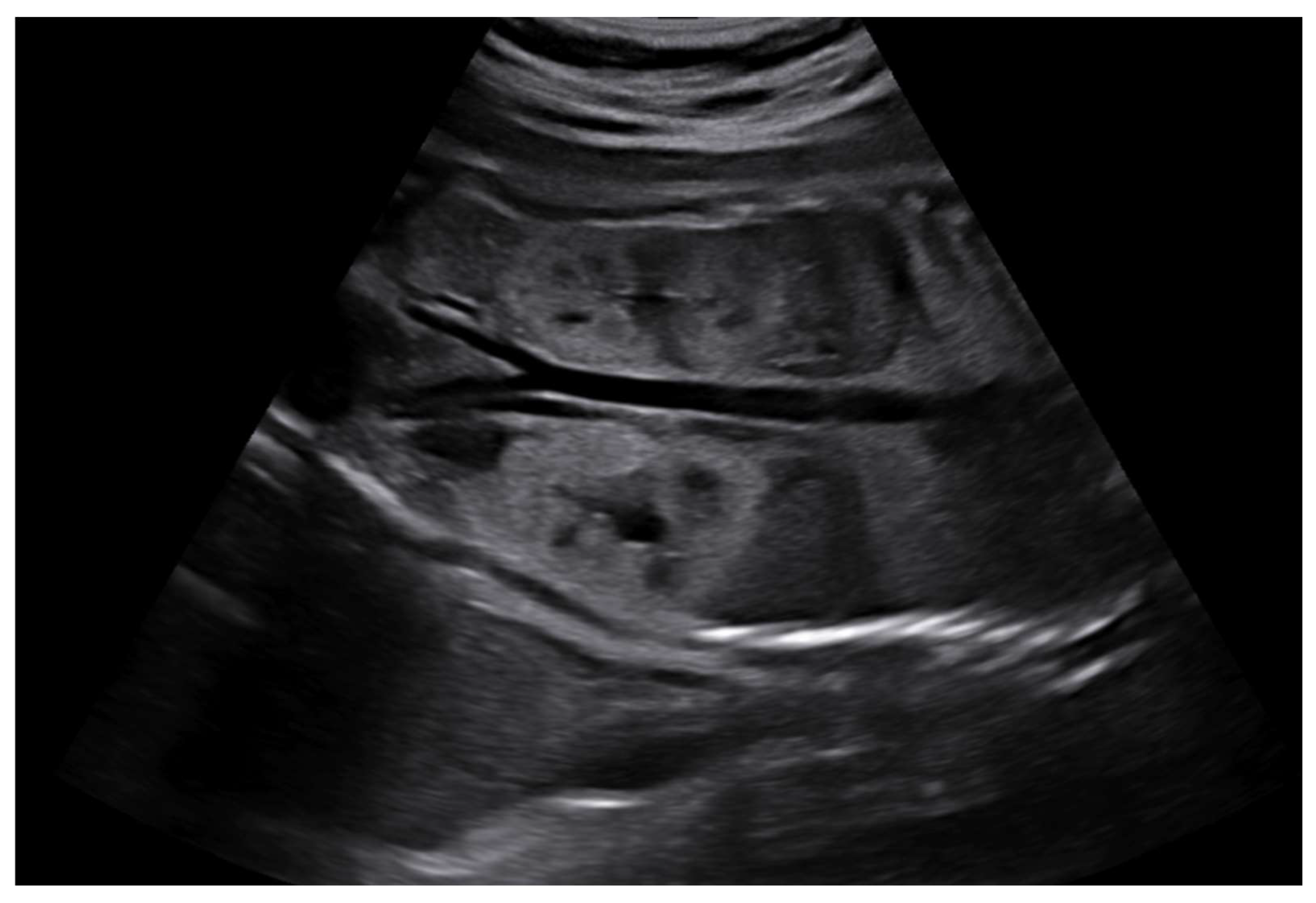
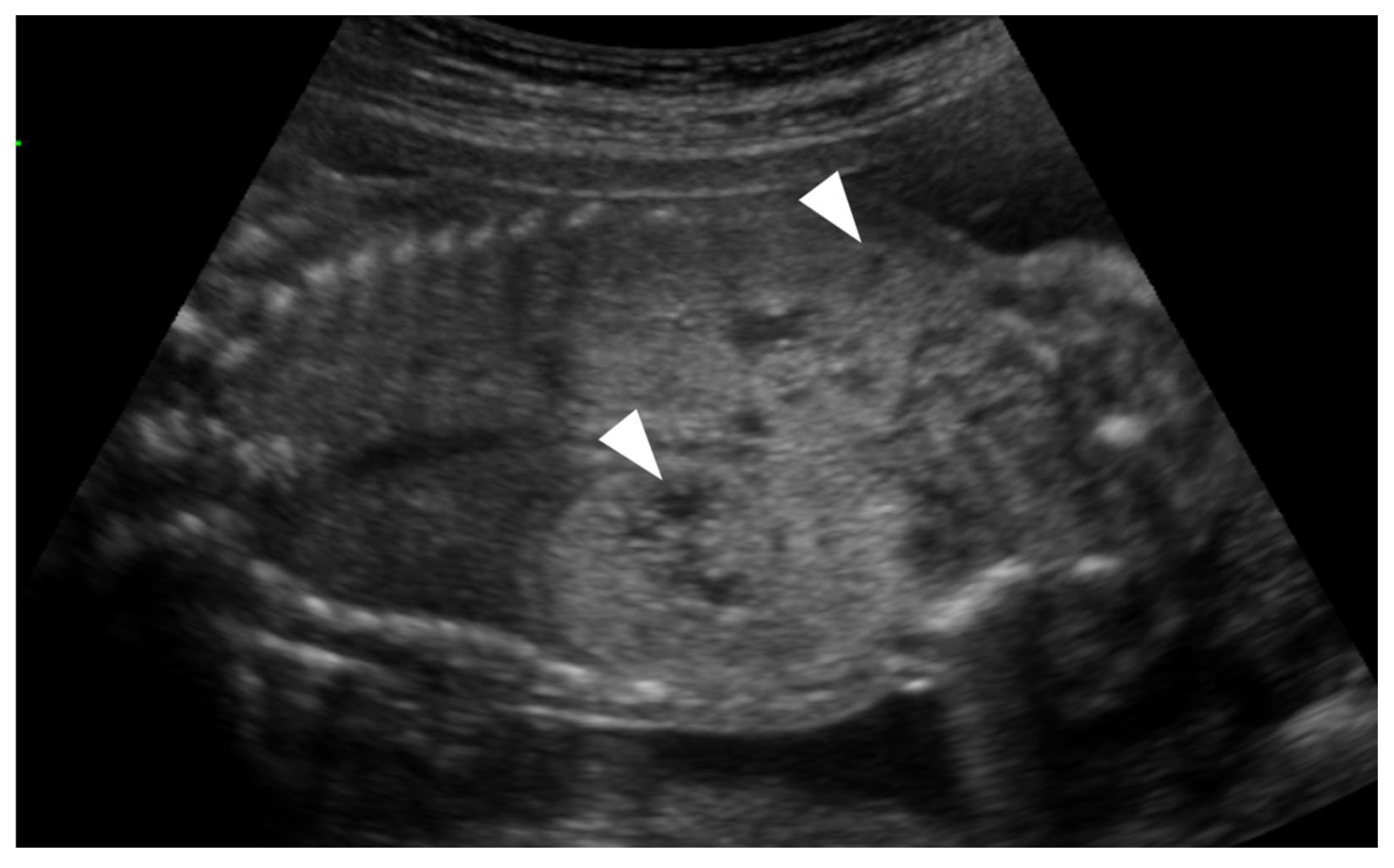
3. Results
4. Discussion
5. Conclusions
Supplementary Materials
Author Contributions
Funding
Institutional Review Board Statement
Informed Consent Statement
Data Availability Statement
Conflicts of Interest
Abbreviations
| ADPKD | Autosomal dominant polycystic kidney disease |
| ARPKD | Autosomal recessive polycystic kidney disease |
| VEO-ADPKD | Very-early onset autosomal dominant polycystic kidney disease |
| CKD | Chronic kidney disease |
| CMD | Corticomedullary differentiation |
| MFM | Maternal-fetal medicine |
| AFI | Amniotic fluid index |
| IUFD | Intrauterine fetal demise |
References
- Irfan, A.; O’Hare, E.; Jelin, E. Fetal interventions for congenital renal anomalies. Transl. Pediatr. 2021, 10, 1506–1517. [Google Scholar] [CrossRef]
- Ebrahimi, N.; Garimella, P.S.; Chebib, F.T.; Sparks, M.A.; Lerma, E.V.; Golsorkhi, M.; Ghozloujeh, Z.G.; Abdipour, A.; Norouzi, S. Mental Health and Autosomal Dominant Polycystic Kidney Disease: A Narrative Review. Kidney360 2024, 5, 1200–1206. [Google Scholar] [CrossRef]
- Grantham, J.J.; Mulamalla, S.; Swenson-Fields, K.I. Why Kidneys Fail in Autosomal Dominant Polycystic Kidney Disease. Nat. Rev. Nephrol. 2011, 7, 556–566. [Google Scholar] [CrossRef]
- Kidney Disease: Improving Global Outcomes (KDIGO) ADPKD Work Group. KDIGO 2025 clinical practice guideline for the evaluation, management, and treatment of autosomal dominant polycystic kidney disease (ADPKD). Kidney Int. 2025, 107, S1–S239. [Google Scholar] [CrossRef] [PubMed]
- Ong, A.C.; Harris, P.C. A polycystin-centric view of cyst formation and disease: The polycystins revisited. Kidney Int. 2015, 88, 699–710. [Google Scholar] [CrossRef] [PubMed]
- Al-Orjani, Q.; Alshriem, L.A.; Gallagher, G.; Buqaileh, R.; Azizi, N.; AbouAlaiwi, W. Mechanistic insights into the pathogenesis of polycystic kidney disease. Cells 2025, 14, 1203. [Google Scholar] [CrossRef]
- Reeders, S.T.; Breuning, M.H.; Davies, K.E.; Nicholls, R.D.; Jarman, A.P.; Higgs, D.R.; Pearson, P.L.; Weatherall, D.J. A highly polymorphic DNA marker linked to adult polycystic kidney disease on chromosome 16. Nature 1985, 317, 542–544. [Google Scholar] [CrossRef]
- Nowak, M.; Huras, H.; Wiecheć, M.; Jach, R.; Radoń-Pokracka, M.; Górecka, J. Autosomal Dominant Polycystic Kidney Disease Diagnosed In Utero: A Review. Ginekol. Pol. 2016, 87, 605–608. [Google Scholar] [CrossRef]
- Shamshirsaz, A.A.; Reza Bekheirnia, M.; Kamgar, M.; Johnson, A.M.; McFann, K.; Cadnapaphornchai, M.; Haghighi, N.N.; Schrier, R.W. Autosomal-dominant polycystic kidney disease in infancy and childhood: Progression and outcome. Kidney Int. 2005, 68, 2218–2224. [Google Scholar] [CrossRef]
- Nowak, K.L.; Cadnapaphornchai, M.A.; Chonchol, M.B.; Schrier, R.W.; Gitomer, B. Long-term outcomes in patients with very-early onset autosomal dominant polycystic kidney disease. Am. J. Nephrol. 2016, 44, 171–178. [Google Scholar] [CrossRef] [PubMed]
- Fick, G.M.; Johnson, A.M.; Strain, J.D.; Kimberling, W.J.; Kumar, S.; Manco-Johnson, M.L.; Duley, I.T.; Gabow, P.A. Characteristics of very early onset autosomal dominant polycystic kidney disease. J. Am. Soc. Nephrol. 1993, 3, 1863–1870. [Google Scholar] [CrossRef]
- Sedman, A.; Bell, P.; Manco-Johnson, M.; Schrier, R.; Warady, B.A.; Heard, E.O.; Butler-Simon, N.; Gabow, P. Autosomal dominant polycystic kidney disease in childhood: A longitudinal study. Kidney Int. 1987, 31, 1000–1005. [Google Scholar] [CrossRef] [PubMed]
- Boyer, O.; Gagnadoux, M.F.; Guest, G.; Biebuyck, N.; Charbit, M.; Salomon, R.; Niaudet, P. Prognosis of autosomal dominant polycystic kidney disease diagnosed in utero or at birth. Pediatr. Nephrol. 2007, 22, 380–388. [Google Scholar] [CrossRef] [PubMed]
- Tee, J.B.; Acott, P.D.; McLellan, D.H.; Crocker, J.F. Phenotypic heterogeneity in pediatric autosomal dominant polycystic kidney disease at first presentation: A single-center, 20-year review. Am. J. Kidney Dis. 2004, 43, 296–303. [Google Scholar] [CrossRef] [PubMed]
- Brun, M.; Maugey-Laulom, B.; Eurin, D.; Didier, F.; Avni, E.F. Prenatal sonographic patterns in autosomal dominant polycystic kidney disease: A multicenter study. Ultrasound Obstet. Gynecol. 2004, 24, 55–61. [Google Scholar] [CrossRef]
- Chitty, L.S.; Altman, D.G. Charts of fetal size: Kidney and renal pelvis measurements. Prenat. Diagn. 2003, 23, 891–897. [Google Scholar] [CrossRef]
- Gyokova, E.; Hristova-Atanasova, E.; Odumosu, E.; Andreeva, A. Prenatal diagnosis of autosomal dominant polycystic kidney disease: Case report. Reports 2025, 8, 56. [Google Scholar] [CrossRef]
- Garel, J.; Lefebvre, M.; Cassart, M.; Della Valle, V.; Guilbaud, L.; Jouannic, J.M.; Ducou le Pointe, H.; Blondiaux, E.; Garel, C. Prenatal ultrasonography of autosomal dominant polycystic kidney disease mimicking recessive type: Case series. Pediatr. Radiol. 2019, 49, 906–912. [Google Scholar] [CrossRef]
- Gupta, A.; Aneja, A.; Bahl, N.; Arora, R.; Nadir, L.; Saini, P. Corticomedullary differentiation in fetal kidneys: A necessary evil? J. Fetal Med. 2024, 11, 139–144. [Google Scholar] [CrossRef]
- Duel, B.P.; Mogbo, K.; Barthold, J.S.; Gonzalez, R. Prognostic value of initial renal ultrasound in patients with posterior urethral valves. J. Urol. 1998, 160, 1198–1200, discussion 1216. [Google Scholar] [CrossRef]
- Buffin-Meyer, B.; Klein, J.; Aziza, J.; Fernandez, M.; Feuillet, G.; Seye, M.; Buléon, M.; Fédou, C.; Camus, M.; Burlet-Schiltz, O.; et al. Improved prenatal assessment of kidney disease using multiple ultrasound features. Nephrol. Dial. Transplant. 2025, 40, 341–351. [Google Scholar] [CrossRef]
- Dienye, B.E.; Ugboma, E.W.; Emem-Chioma, P. Ultrasound correlation of renal indices with creatinine levels in chronic kidney disease in a tertiary hospital, South Nigeria: A pilot study. J. Biomed. Adv. Clin. Res. 2025, 3, 1–7. [Google Scholar]
- Semelka, R.C.; Corrigan, K.; Ascher, S.M.; Brown, J.J.; Colindres, R.E. Renal corticomedullary differentiation: Observation in patients with differing serum creatinine levels. Radiology 1994, 190, 149–152. [Google Scholar] [CrossRef]
- Lee, V.S.; Kaur, M.; Bokacheva, L.; Chen, Q.; Rusinek, H.; Thakur, R.; Moses, D.; Nazzaro, C.; Kramer, E.L. What causes diminished corticomedullary differentiation in renal insufficiency? J. Magn. Reson. Imaging 2007, 25, 790–795. [Google Scholar] [CrossRef]
- Kettritz, U.; Semelka, R.C.; Brown, E.D.; Sharp, T.J.; Lawing, W.L.; Colindres, R.E. MR findings in diffuse renal parenchymal disease. J. Magn. Reson. Imaging 1996, 6, 136–144. [Google Scholar] [CrossRef] [PubMed]
- Chung, J.J.; Semelka, R.C.; Martin, D.R. Acute renal failure: Common occurrence of preservation of corticomedullary differentiation on MR images. Magn. Reson. Imaging 2001, 19, 789–793. [Google Scholar] [CrossRef] [PubMed]
- Xu, J.; Chen, D.P.; Mao, Z.G.; Huang, H.F.; Xu, C.M.; Wang, C.R.; Jia, W.P.; Mei, C.L. Autosomal dominant polycystic kidney disease with ectopic unilateral multicystic dysplastic kidney. BMC Nephrol. 2013, 14, 38. [Google Scholar] [CrossRef] [PubMed]
- Amoah, Y.; Kyei, M.Y.; Mensah, J.E.; Palm, B.; Adrah, H.K.; Asiedu, I. Autosomal dominant polycystic kidney disease with ectopic unilateral multicystic kidney: A case report. J. Med. Case Rep. 2024, 18, 10. [Google Scholar] [CrossRef]




| Case No. | GA at Dx (wks) | GA at Del (wks) | FHx | BW (kg) | Prenatal Renal Ultrasound | AF | Assoc. Anomalies | PN FU (mo) | PN Cyst | Postnatal Genetic Results | Postnatal Outcome | ||||
|---|---|---|---|---|---|---|---|---|---|---|---|---|---|---|---|
| Echogenicity | |||||||||||||||
| Size | Cort. | Med. | CMD | Cyst | |||||||||||
| 1 | 22 + 3 | 37 + 2 | 0 | 2.56 | - | + | + | Abst | + | - | - | 129 | + | Pathogenic, Chromosome 17q12 deletion PKD1, c.6868G > T, p.Asp2290Tyr | CKD 4 (3 mo PN), Allograft, UTI, HD, PD, CRBSI, peritonitis |
| 2 | 22 + 0 | 39 + 1 | M | 2.62 | + | + | + | Abst | + | N | - | 190 | - | PKD1, c.12010C > T, p.Gln4004Ter | CKD 3 (9 yr PN), UTI, Deflux inj. for VUR, Blt UCN, CBD dilat., Rt orchiopexy + hernioplasty |
| 3 | 36 + 0 | 38 + 3 | M | 4.28 | + | + | - | + | Abst | N | - | 216 | + | N/A | |
| 4 * | 23 + 3 | 40 + 4 | 0 | 2.83 | N | + | - | + | + | N | - | 180 | + | N/A | |
| 5 | 19 + 2 | 38 + 0 | P | 3.05 | + | N | N | N | + | N | Lt duplic. | 85 | - | PKD1 (c.11498G > C, p.Arg3833Pro, possibly damaging) Pathogenic PKHD1 (c.2507T > C, p.Val836Ala, probably damaging) | Right nephrectomy, APN, VUR (Blt G5), Cut. vesicostomy + revision, Nephrocalc., Met. acidosis, Hypona |
| 6 * | 32 + 0 | 34 + 0 | 0 | 2.16 | N | + | - | + | Abst | N | - | 147 | + | N/A | |
| 7 * | 31 + 0 | 38 + 4 | 0 | 3.08 | N | + | - | + | Abst | N | - | 152 | + | PKD1 not detected | Rt orchiopexy + hernioplasty |
| 8 * | 30 + 6 | 37 + 4 | 0 | 2.83 | N | + | - | + | Abst | N | - | 15 | + | N/A | |
| 9 | 29 + 6 | 39 + 3 | 0 | 3.21 | + | N | N | N | + | - | - | 126 | + | PKD1, c.10678G > A, p.Gly3560Arg | |
| 10 | 28 + 1 | 37 + 3 | 0 | 2.82 | N | + | - | + | Abst | Abst | - | 24 | + | PKD1, c.7223G > A, p.Arg2408His PKD2, c.1354A > G, p.Ile452Val PKD2, c.1546G > T, p.Val516Leu | |
| 11 * | 21 + 3 | 37 + 3 | 0 | 2.98 | N | + | - | + | + | N | - | 55 | + | PKD1 not detected PRKCSH detected | APN |
| 12 | 23 + 5 | 37 + 4 | M | 2.96 | N | + | - | + | Abst | N | - | 55 | + | PKD1, c.4955T > A, p.Leu1652Gln | |
| 13 * | 24 + 6 | 36 + 6 | 0 | 2.97 | + | + | - | + | + | N | Lt. MCDK | 55 | + | NGS & trio test: no associated variant was detected | VACTERL assoc. (subglottic stenosis, imperf. anus, blt SVC) |
| 14 | 20 + 0 | 36 + 0 | P | 2.50 | + | + | - | + | Abst | N | - | 42 | + | PKD1, frameshift variant, pathogenic, paternal (NM_001009944.3(PKD1):c.2040dup (p.Ala681CysfsTer33) | Twin (MCDA)–first-born baby |
| 15 | 20 + 0 | 36 + 0 | P | 2.78 | N | + | - | + | Abst | N | - | 42 | + | PKD1, frameshift variant, pathogenic, paternal (NM_001009944.3(PKD1):c.2040dup (p.Ala681CysfsTer33) | Twin (MCDA)-second-born baby |
| 16 | 24 + 0 | 39 + 5 | M | 3.12 | N | + | - | + | Abst | N | - | 26 | + | N/A | Nephrocalc. |
| 17 * | 30 + 1 | 36 + 5 | 0 | 2.53 | N | + | - | + | + | N | Cardiomeg. | 23 | + | N/A | Sensorineural hearing loss |
| 18 * | 24 + 0 | 41 + 1 | 0 | 3.72 | N | - | + | Rev | Abst | N | Blt polydact. | 56 | + | N/A | Nephrocalc., blt polydact. (hands/feet), optic atrophy |
| 19 * | 26 + 5 | 39 + 1 | 0 | 3.17 | N | + | - | + | Abst | N | - | 127 | + | N/A | |
| 20 * | 17 + 4 | 38 + 4 | 0 | 3.07 | + | + | - | + | + | + | - | 127 | + | N/A | APN |
| Sum. | 24 + 0 | 38 + 0 | 7/20 (35%) | 2.96 | 7/20 (35%) | 17/20 (85%) | 3/20 (15%) | 15/20 (75%) | 9/20 (45%) | 16/20 (80%) | 4/20 (20%) | 93.6 | 18/20(90%) | 8/20 (40%) | CKD, 2/20 (10%); dialysis, 1/20 (5%); nephrectomy, 1/20 (5%); Allograft, 1/20 (5%); VUR, 2/20 (10%); UTI or APN, 5/20 (25%); nephrocalc., 3/20 (15%); orchiopexy/hernioplasty, 2/20 (10%) |
| Variables | n = 20 |
|---|---|
| Maternal age (years) | 32.9 (26–44) |
| GA at prenatal diagnosis (weeks) | 24 + 0 (17 + 4–36 + 0) |
| Ultrasonography findings | |
| Laterality | |
| Both | 16 (80.0%) |
| AFI | |
| Oligohydramnios | 2 (10.0%) |
| Anhydramnios | 1 (5.0%) |
| Hydramnios | 1 (5.0%) |
| Increased renal size (>97 percentile) | 7 (35.0%) |
| Increased cortical echogenicity | 17 (85.0%) |
| CMD | |
| Increased CMD | 15 (75.0%) |
| Reverse CMD | 1 (5.0%) |
| Loss of CMD | 2 (10.0%) |
| Presence of cortical cysts | 9 (45.0%) |
| Variables | n = 20 |
|---|---|
| Gestational age at delivery (weeks) | 38 + 0 (34 + 0–41 + 1) |
| Preterm delivery (<37 weeks) | 5 (25.0%) |
| Birth weight (kg) | 2.96 (2.16–4.28) |
| Birth weight < 2500 g | 1 (5.0%) |
| 1-min AS < 7 | 11 (55.0%) |
| 5-min AS < 7 | 2 (10.0%) |
| NICU admission | 17 (85.0%) |
| NICU length of stay (days) | 17.7 (3–211) |
| Ventilatory support (intubation) | 3 (15.0%) |
| Renal cysts | 18 (90.0%) |
| Renal enlargement | 7 (35.0%) |
| Postnatal follow-up period (months) | 93.6 (15–216) |
| CKD | 2 |
| Dialysis | 1 |
| Nephrectomy | 1 |
| Kidney transplantation | 1 |
| Vesicourethral reflux | 2 |
| Urinary tract infection or Acute pyelonephritis | 5 |
| Nephrocalcinosis | 3 |
Disclaimer/Publisher’s Note: The statements, opinions and data contained in all publications are solely those of the individual author(s) and contributor(s) and not of MDPI and/or the editor(s). MDPI and/or the editor(s) disclaim responsibility for any injury to people or property resulting from any ideas, methods, instructions or products referred to in the content. |
© 2025 by the authors. Published by MDPI on behalf of the Lithuanian University of Health Sciences. Licensee MDPI, Basel, Switzerland. This article is an open access article distributed under the terms and conditions of the Creative Commons Attribution (CC BY) license (https://creativecommons.org/licenses/by/4.0/).
Share and Cite
Kim, S.; Yoon, J.-h.; Jung, Y.J.; Kwon, H.; Lee, J.; Kwon, J.-Y.; Kim, Y.-H. Prenatal Diagnosis and Postnatal Outcomes of Fetal ADPKD: A Single-Center Retrospective Cohort Study. Medicina 2025, 61, 2145. https://doi.org/10.3390/medicina61122145
Kim S, Yoon J-h, Jung YJ, Kwon H, Lee J, Kwon J-Y, Kim Y-H. Prenatal Diagnosis and Postnatal Outcomes of Fetal ADPKD: A Single-Center Retrospective Cohort Study. Medicina. 2025; 61(12):2145. https://doi.org/10.3390/medicina61122145
Chicago/Turabian StyleKim, Suhra, Ju-hee Yoon, Yun Ji Jung, Hayan Kwon, JoonHo Lee, Ja-Young Kwon, and Young-Han Kim. 2025. "Prenatal Diagnosis and Postnatal Outcomes of Fetal ADPKD: A Single-Center Retrospective Cohort Study" Medicina 61, no. 12: 2145. https://doi.org/10.3390/medicina61122145
APA StyleKim, S., Yoon, J.-h., Jung, Y. J., Kwon, H., Lee, J., Kwon, J.-Y., & Kim, Y.-H. (2025). Prenatal Diagnosis and Postnatal Outcomes of Fetal ADPKD: A Single-Center Retrospective Cohort Study. Medicina, 61(12), 2145. https://doi.org/10.3390/medicina61122145

