Sign in to use this feature.

Years

Between: -

Subjects

remove_circle_outline
remove_circle_outline
remove_circle_outline
remove_circle_outline
remove_circle_outline
remove_circle_outline
remove_circle_outline
remove_circle_outline
remove_circle_outline

Journals

remove_circle_outline
remove_circle_outline
remove_circle_outline
remove_circle_outline
remove_circle_outline
remove_circle_outline
remove_circle_outline
remove_circle_outline
remove_circle_outline
remove_circle_outline
remove_circle_outline
remove_circle_outline
remove_circle_outline
remove_circle_outline
remove_circle_outline
remove_circle_outline
remove_circle_outline
remove_circle_outline
remove_circle_outline
remove_circle_outline
remove_circle_outline
remove_circle_outline

Article Types

Countries / Regions

remove_circle_outline
remove_circle_outline
remove_circle_outline
remove_circle_outline
remove_circle_outline
remove_circle_outline

Search Results (1,135)

Search Parameters:
Keywords = keratin

Order results
Result details
Results per page
Select all
Export citation of selected articles as:
14 pages, 4828 KB  
Article
Surgical Correction of Keratinized Mucosa Deficiency Around Dental Implants: A Clinical, Histological and Immunohistochemical Study
by Emil K. Khabirov, Gulshat T. Saleeva, Dmitry E. Tsyplakov, Rinat A. Saleev and Laysan R. Shakirova
Dent. J. 2026, 14(5), 256; https://doi.org/10.3390/dj14050256 - 28 Apr 2026
Abstract
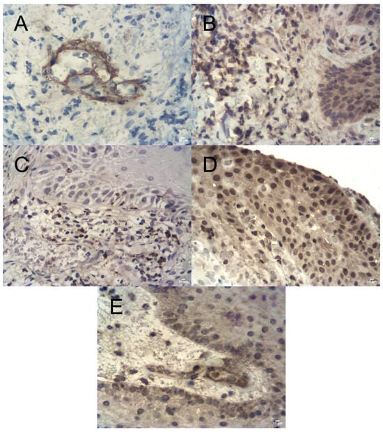
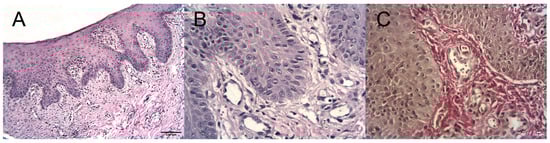
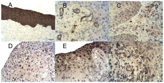
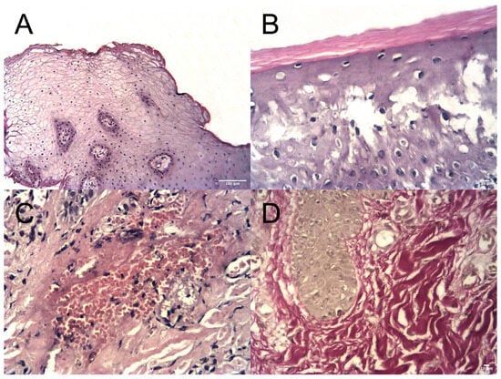
Background/Objectives: Peri-implant inflammatory complications remain a major cause of late implant failure and are closely associated with the condition of peri-implant soft tissues. Insufficient keratinized attached mucosa has been identified as a potential risk factor for peri-implant inflammation; however, morphological and immunohistochemical [...] Read more.
Background/Objectives: Peri-implant inflammatory complications remain a major cause of late implant failure and are closely associated with the condition of peri-implant soft tissues. Insufficient keratinized attached mucosa has been identified as a potential risk factor for peri-implant inflammation; however, morphological and immunohistochemical validation of soft tissue remodeling following corrective interventions remains limited. The aim of this study was to perform a morphological and immunohistochemical evaluation of a reproducible surgical approach for increasing keratinized attached mucosa around dental implants. Methods: A comparative clinical–morphological study included 25 patients undergoing implant-supported prosthetic treatment. Patients were divided into a control group (standard prosthetic protocol without soft tissue augmentation, n = 10) and a study group (soft tissue correction using a previously developed technique, n = 15). Punch biopsies of peri-implant mucosa were obtained at baseline and prior to definitive prosthetic restoration. Histological examination and immunohistochemical analysis were performed using the semi-quantitative Astaldi–Verga method. Expression of inflammatory markers (MPO, CD3, CD20, CD68), vascular marker CD31, and remodeling markers MMP-9 and TIMP-2 was evaluated. Data were analyzed using the Mann–Whitney U test (p < 0.05). Results: The study group demonstrated significantly lower expression of inflammatory markers, including MPO, CD68, CD3, and CD20 (p < 0.001), and reduced MMP-9 expression (p = 0.001) compared with controls. The MMP-9/TIMP-2 balance was more favorable in the study group, suggesting more regulated extracellular matrix remodeling. Histologically, the control group exhibited epithelial disruption and microcirculatory alterations, whereas the study group showed preserved epithelial architecture and reduced inflammatory infiltration. Conclusions: Morphological and immunohistochemical assessment suggests that soft tissue correction of keratinized mucosa deficiency may be associated with more favorable early peri-implant soft tissue characteristics, including reduced inflammatory activity and modulation of matrix remodeling. Immunohistochemical markers such as MMP-9 and TIMP-2 may provide additional insight into early soft tissue integration around dental implants. However, these findings should be interpreted with caution due to the exploratory design and short follow-up period. Full article
(This article belongs to the Special Issue Risk Factors in Implantology)
Show Figures

Graphical abstract

13 pages, 727 KB  
Case Report
Does Glucose-6-Phosphate Dehydrogenase Deficiency Correlate with Increased Sensitivity to Cisplatin? A Case Report and a Narrative Literature Review
by Nerina Denaro, Valeria Smiroldo, Claudia Bareggi, Cinzia Solinas, Michele Ghidini, Massimo Castellani, Marco Carlo Merlano, Serafina Martella, Riccardo Giossi, Alessia Casbarra and Ornella Garrone
Int. J. Mol. Sci. 2026, 27(9), 3798; https://doi.org/10.3390/ijms27093798 - 24 Apr 2026
Viewed by 89
Abstract
Glucose-6-phosphate dehydrogenase (G6PD) deficiency impairs NADPH generation through the pentose phosphate pathway, resulting in reduced glutathione regeneration and increased vulnerability to oxidative stress. While its clinical significance is well described in hemolytic disorders, its impact on tumor biology and chemosensitivity remains poorly characterized. [...] Read more.
Glucose-6-phosphate dehydrogenase (G6PD) deficiency impairs NADPH generation through the pentose phosphate pathway, resulting in reduced glutathione regeneration and increased vulnerability to oxidative stress. While its clinical significance is well described in hemolytic disorders, its impact on tumor biology and chemosensitivity remains poorly characterized. Cisplatin, a backbone agent in the management of nasopharyngeal carcinoma (NPC), exerts its cytotoxicity through the formation of DNA adducts and the robust induction of reactive oxygen species (ROS) activity. We report a patient with non-keratinizing NPC and a G6PD variant, a (class III) deficiency, who demonstrated a rapid and pronounced objective response to cisplatin-based induction and concurrent chemoradiotherapy. Unfortunately, the patient also exhibited signs of rapid and persistent hematologic (platelets and white cells) toxicity. Notably, no hemolytic events occurred. A narrative review of the available literature indicates that G6PD-deficient cells exhibit a reduced antioxidant reserve, increased cisplatin-induced DNA damage, and impaired activation of ROS-detoxifying pathways. A few clinical observations similarly report enhanced tumor responsiveness in G6PD-deficient individuals, although the evidence is sparse and heterogeneous. Preclinical data support the notion that diminished NADPH availability amplifies cisplatin-triggered oxidative injury, thereby increasing tumor susceptibility. This case adds to emerging evidence that G6PD deficiency may potentiate cisplatin efficacy in NPC by exploiting intrinsic redox vulnerabilities. While preliminary, these findings suggest the potential utility of metabolic phenotyping in treatment stratification. Prospective studies are needed to define the predictive value, safety, and therapeutic implications of G6PD status in cisplatin-based regimens. Full article
(This article belongs to the Special Issue Squamous Cell Carcinoma: From Molecular Mechanisms to Therapeutics)
5 pages, 6473 KB  
Interesting Images
Multimodal Anterior Segment Imaging of Severe Mixed Exposure-Related Neurotrophic Keratopathy with Marked Corneal Thinning in Lamellar Ichthyosis
by Wojciech Luboń, Małgorzata Luboń and Mariola Dorecka
Diagnostics 2026, 16(8), 1209; https://doi.org/10.3390/diagnostics16081209 - 17 Apr 2026
Viewed by 205
Abstract
Lamellar ichthyosis is a rare congenital disorder of keratinization frequently associated with ocular complications, most commonly cicatricial ectropion and exposure keratopathy. We present a case of severe mixed exposure-related and neurotrophic keratopathy with marked corneal thinning in a 61-year-old man with genetically confirmed [...] Read more.
Lamellar ichthyosis is a rare congenital disorder of keratinization frequently associated with ocular complications, most commonly cicatricial ectropion and exposure keratopathy. We present a case of severe mixed exposure-related and neurotrophic keratopathy with marked corneal thinning in a 61-year-old man with genetically confirmed lamellar ichthyosis. At presentation, the best-corrected visual acuity (BCVA) in the right eye was limited to hand motion (logMAR 2.3). Slit-lamp examination revealed a large central to inferocentral corneal ulcer measuring approximately 3 × 4 mm with severe stromal thinning in the setting of marked lower eyelid ectropion, incomplete eyelid closure, and chronic ocular surface exposure, while anterior segment optical coherence tomography (AS-OCT) demonstrated a minimal corneal thickness of approximately 165 µm. Microbiological swabs obtained from the conjunctival sac were negative, and no purulent discharge, hypopyon, or anterior chamber inflammatory reaction was present, making active infectious keratitis unlikely. Corneal sensitivity measured with Cochet–Bonnet esthesiometry at presentation, centrally and in all four peripheral quadrants of both eyes, was markedly reduced, more severely in the affected right eye, supporting the presence of a severe neurotrophic component contributing to impaired corneal healing. Intensive conservative therapy including preservative-free lubricants, dexpanthenol gel, autologous serum eye drops, topical insulin, prophylactic antibiotics, and systemic doxycycline was initiated. Serial AS-OCT imaging demonstrated progressive structural recovery, with corneal thickness increasing to 438 µm after one month of treatment and complete corneal epithelialization. The BCVA improved to 0.2 Snellen (0.7 logMAR). This case highlights the diagnostic value of multimodal anterior segment imaging in monitoring severe mixed keratopathy with advanced corneal thinning and demonstrates that intensive conservative therapy may stabilize the ocular surface and prevent corneal perforation in patients with lamellar ichthyosis. Full article
Show Figures

Figure 1

17 pages, 7554 KB  
Article
The Impact of Biomass Treatment and Plasticizers on the Properties of Chicken Feather-Based Biodegradable Films
by Sarah Montes, Emmi Nuutinen, Julen Vadillo, Alaitz Rekondo, Hans-Jürgen Grande and Jonna Almqvist
Polymers 2026, 18(8), 969; https://doi.org/10.3390/polym18080969 - 16 Apr 2026
Viewed by 212
Abstract
The poultry sector generates large amounts of feather waste every year, providing an abundant keratin-rich residue that is difficult to valorise due to its crosslinked and highly compacted crystalline structure. In the present work, with the aim of promoting its use in biodegradable [...] Read more.
The poultry sector generates large amounts of feather waste every year, providing an abundant keratin-rich residue that is difficult to valorise due to its crosslinked and highly compacted crystalline structure. In the present work, with the aim of promoting its use in biodegradable plastic films, environmentally friendly processes, such as mechanical grinding (compactor grinder, CG), deep eutectic solvents (DES), and steam explosion process (SE) are being explored as alternatives to conventional chemical processes. Thus, biodegradable feather-based films were produced by compounding treated feathers in a torque rheometer at 40 wt.% with glycerol, ethylene glycol, and 1,2-propanediol (propylene glycol), followed by hot pressing. All formulations produced homogeneous and translucent films, which were characterized in terms of colorimetric properties and thermal and mechanical behaviour, as well as their degradation in soil conditions, revealing pronounced differences in properties as a function of the specific combination of feather treatment and plasticizer employed. Interestingly, soil disintegration tests revealed the fastest degradation of films of DES-treated feathers plasticized with glycerol. Overall, controlling feather treatment and plasticizer type enables tuning of mechanical performance and biodegradation, supporting keratin-based films as a viable route for feather waste valorisation. Full article
(This article belongs to the Special Issue Advanced Polymeric Films for Functional Applications)
Show Figures

Graphical abstract

17 pages, 650 KB  
Review
Topical Retinoids in Acne Vulgaris and Acne Scars—From Monotherapy to Combining Regimens
by Aleksandra Tobiasz, Alina Jankowska-Konsur and Danuta Nowicka
Pharmaceuticals 2026, 19(4), 620; https://doi.org/10.3390/ph19040620 - 15 Apr 2026
Viewed by 620
Abstract
Topical retinoids are the cornerstone of the treatment of multiple dermatological conditions. Long established in acne therapy, they exert effects on keratinization, inflammation, fibroblast activity, and collagen remodeling, suggesting a potential role in both the prevention and treatment of acne scars. This narrative [...] Read more.
Topical retinoids are the cornerstone of the treatment of multiple dermatological conditions. Long established in acne therapy, they exert effects on keratinization, inflammation, fibroblast activity, and collagen remodeling, suggesting a potential role in both the prevention and treatment of acne scars. This narrative review summarizes current evidence on the use of topical retinoids in acne vulgaris and acne scarring, focusing on different retinoid molecules, formulation technologies, and combination strategies. A review of published clinical and experimental studies evaluating tretinoin, adapalene, tazarotene, and trifarotene was performed, including their use as monotherapy and in combination with other topical agents or procedural interventions. The available data indicate that topical retinoids have a well-established position in acne treatment, can improve the appearance of atrophic acne scars, reduce the progression of scarring, and support skin remodeling. Advances in formulation technologies have improved tolerability, while combination approaches with agents such as benzoyl peroxide, antibiotics or procedural techniques have shown additive or synergistic effects, particularly in more severe cases. Nevertheless, much of the evidence regarding novel formulations is derived from small or heterogeneous study populations. In conclusion, topical retinoids represent a relevant therapeutic option in acne vulgaris and acne scarring, from monotherapy in mild cases to components of multimodal treatment protocols in more severe disease. Further large-scale, comparative studies are needed to better define the optimal clinical use of advanced drug delivery systems for topical retinoids. Full article
24 pages, 38539 KB  
Article
The Development of Squid Ink Melanin Nanoparticles as a Multifunctional Colorant Anchored on Hair Fibers: Preparation, Physicochemical Characterization and Dyeing Performance
by Ao Cai, Hetong Lin, Yushuang Li, Dan Li, Kaikai Bai and Junde Chen
Biomolecules 2026, 16(4), 573; https://doi.org/10.3390/biom16040573 - 13 Apr 2026
Viewed by 434
Abstract
Traditional chemical hair dyes are associated with potential health risks, while botanical alternatives are often hampered by poor stability and limited color longevity. In this study, discarded squid ink was used to prepare bionic hair colorants of high performance. By synergizing ultrasound disruption [...] Read more.
Traditional chemical hair dyes are associated with potential health risks, while botanical alternatives are often hampered by poor stability and limited color longevity. In this study, discarded squid ink was used to prepare bionic hair colorants of high performance. By synergizing ultrasound disruption with enzymatic hydrolysis, the crude ink aggregates were transformed into highly uniform squid ink melanin nanoparticles (SIMNPs) with size and zeta potential of ~174 nm and −37.5 mV, respectively. This effectively improved the solubility but reduced the steric limitation of natural melanin. To overcome the weak affinity between melanin and human hair, a biomimetic interface where Fe(III) ions act as supramolecular bridges was further engineered to stably bind the SIMNPs to hair keratin. Under optimized conditions (pH 8.0, 45 °C, and 80 min), the dyed hair achieved a natural deep black with a total color difference (ΔE*) of 68.79 ± 0.29, which was maintained at 63.19 ± 0.27 even after 13 consecutive water washing cycles. Unlike destructive oxidative dyes, this SIMNP dyeing system assisted by coordination-driven assembly preserved the native α-helical architecture and disulfide bond networks of hair keratin. Furthermore, the deposited SIMNP layer effectively protected hair fibers from ultraviolet (UV) damage due to its powerful UV-shielding capacity. Crucially, in vitro and in vivo evaluations confirmed the exceptional biosafety of this formulation, demonstrating robust cellular tolerance and absence of murine skin irritation. The work demonstrates a green, low-damage paradigm for the development of bio-based hair colorants of high performance and presents a promising pathway for the high-value utilization of marine by-products. Full article
Show Figures

Graphical abstract

18 pages, 2929 KB  
Article
In Vitro Analysis of Gene and Protein Expression in Primary Limbal Epithelial Cells Exposed to Differentiation-Inducing Medium
by Shweta Suiwal, Virendra Kumar, Tanja Stachon, Priya Katiyar, Fabian N. Fries, Berthold Seitz, Shuailin Li, Shao-Lun Hsu, Shanhe Liu, Swarnali Kundu, Maryam Amini, Sabrina Häcker and Nóra Szentmáry
Biology 2026, 15(8), 610; https://doi.org/10.3390/biology15080610 - 12 Apr 2026
Viewed by 464
Abstract
Purpose: To study the time course of the differentiation process and its regulatory networks in primary limbal epithelial cells (pLECs) using serum-free, low calcium Keratocyte growth medium 3 (KGM3) and CnT-2D differentiation medium. Methods: pLECs were isolated from corneoscleral rims from healthy [...] Read more.
Purpose: To study the time course of the differentiation process and its regulatory networks in primary limbal epithelial cells (pLECs) using serum-free, low calcium Keratocyte growth medium 3 (KGM3) and CnT-2D differentiation medium. Methods: pLECs were isolated from corneoscleral rims from healthy donors and cultured in serum-free low calcium (0.06 mM Ca2+) KGM3. Differentiation was induced by supplementation with CnT-2D differentiation medium, while control cells were maintained in low-calcium KGM3 medium. Gene and protein expression analyses were performed using qPCR and Western blotting, respectively, at 72 h and at 5, 7, 10, and 14 days post-supplementation to determine the optimal time course of differentiation induction. Results: CnT-2D differentiation medium supplementation resulted in a significant upregulation of differentiation-associated markers, including desmoglein 1 (DSG1), paired box domain 6 (PAX6), keratin 3 (KRT3), fatty acid binding protein 5 (FABP5), cellular retinoic acid binding protein 2 (CRABP2), alcohol dehydrogenase 7 (ADH7), aldehyde dehydrogenase 1A1 (ALDH1A1), with the most pronounced changes observed at day 10 post-supplementation (p ≤ 0.05). Conclusions: CnT-2D differentiation medium effectively initiates differentiation of limbal epithelial cells in vitro. The gradual increase in the expression of key differentiation markers, including DSG1, KRT3, and PAX6, indicates that CnT-2D medium successfully induces differentiation in 2D cultured primary limbal epithelial cells. However, subcellular localization of these markers, epithelial barrier function, and differentiation in 3D models were not assessed and remain to be investigated. Full article
(This article belongs to the Section Cell Biology)
Show Figures

Figure 1

20 pages, 6832 KB  
Article
Management of Advanced Peri-Implantitis with Staged Explantation and Delayed Re-Implantation in the Esthetic Zone
by Alexandru Spînu, Felicia Manole, Alexandru Burcea, Cristina-Crenguţa Albu, Adrian Argint, Lavinia-Florica Mărcuț, Roxana Daniela Brata, Alexia Manole and Claudia Florina Bogdan-Andreescu
Dent. J. 2026, 14(4), 212; https://doi.org/10.3390/dj14040212 - 7 Apr 2026
Viewed by 353
Abstract
Background/Objective: Advanced peri-implantitis presents a significant challenge in contemporary implant dentistry and sometimes necessitates implant removal when regenerative therapies are no longer reliable. Protocols for staged bone reconstruction, re-implantation, and definitive prosthetic rehabilitation following peri-implantitis continue to evolve. This study aims to present [...] Read more.
Background/Objective: Advanced peri-implantitis presents a significant challenge in contemporary implant dentistry and sometimes necessitates implant removal when regenerative therapies are no longer reliable. Protocols for staged bone reconstruction, re-implantation, and definitive prosthetic rehabilitation following peri-implantitis continue to evolve. This study aims to present a clinical case of advanced peri-implantitis with vertical interproximal bone loss managed with a staged surgical and prosthetic approach and review current concepts in implant removal, bone regeneration, re-implantation, and soft-tissue management. Methods: A patient with peri-implantitis affecting two maxillary implants underwent treatment over one year. The initial surgical stage included removal of the failing implants and reconstruction of the defects using guided bone regeneration with a composite graft of 50% xenogeneic bone substitute and 50% autogenous bone, covered by a barrier membrane. After six months of healing, a second surgical stage was performed, involving placement of two new implants in positions 2.2 and 2.4, additional bone augmentation, and soft tissue grafting to enhance soft tissue volume and the width of keratinized gingiva following mucogingival line rebounce. After an additional six months of osseointegration, full maxillary prosthetic rehabilitation was completed in August 2025. Results: Clinical and radiographic assessments demonstrated successful bone regeneration, stable implant integration, adequate peri-implant soft-tissue conditions, and favorable functional and esthetic outcomes at follow-up. The case is discussed in the context of current evidence regarding indications for implant removal, regenerative strategies after explantation, timing of re-implantation, and the importance of keratinized gingiva and prosthetic design in long-term peri-implant health. Conclusions: Staged explantation, guided bone regeneration, delayed re-implantation, and comprehensive soft-tissue and prosthetic management may represent a viable treatment strategy in selected cases of advanced peri-implantitis. Full article
Show Figures

Graphical abstract

11 pages, 389 KB  
Review
The Possible Role of Antibodies in Alopecia: A Narrative Review
by Julia Cieślawska, Mariola Pawlaczyk and Justyna Gornowicz-Porowska
Antibodies 2026, 15(2), 31; https://doi.org/10.3390/antib15020031 - 3 Apr 2026
Viewed by 298
Abstract
Human hair performs a number of important physiological and esthetic functions. Hair loss and alopecia are complex disorders which affect people all over the world. Hair loss can be an early manifestation of various autoimmunological disorders. Despite a growing interest of researchers in [...] Read more.
Human hair performs a number of important physiological and esthetic functions. Hair loss and alopecia are complex disorders which affect people all over the world. Hair loss can be an early manifestation of various autoimmunological disorders. Despite a growing interest of researchers in the role of immune factors—especially autoantibodies—in the etiology of certain types of alopecia, their role in alopecia remains uncertain. Several potential autoantigens of follicular components, mainly derived from keratinocytes and melanocytes of the hair follicles, have been found to play a role in the development of alopecia areata. The list of autoantigens includes trichohyalin, keratin 16, fibroblast growth factor receptor 3, glycoprotein-100, melanoma-associated antigen recognized by T cells 1, dopachrome tautomerase/tyrosinase-related protein 2, tyrosinase, and tyrosine hydroxylase. This narrative review presents different aspects of immunopathogenesis of alopecia, from physiology (hair follicle immune privilege) to pathology (disruption of hair follicle immune privilege) and signaling pathways. Identification of key autoantigens could potentially pave the way for the development of new, effective, and more targeted immunotherapies for alopecia. Full article
(This article belongs to the Section Antibody-Based Therapeutics)
Show Figures

Figure 1

13 pages, 2926 KB  
Article
Topical Astaxanthin Attenuates Imiquimod-Induced Psoriasiform Dermatitis by Downregulating Psoriasis-Associated Keratin Gene Expression (Krt16, Krt17, Krt6a) and Inhibiting the JAK-STAT Signaling Pathway
by Waleed Khaled Younis Albahadly, Haider Falih Shamikh Al-Saedi, Jamal Ali Ashoor, Mohammed Ibrahim Rasool, Samer Ali Hasan and Meeqaat H. ALtrufi
Molecules 2026, 31(7), 1191; https://doi.org/10.3390/molecules31071191 - 3 Apr 2026
Viewed by 581
Abstract
Psoriasis is a chronic immune-mediated inflammatory skin disorder characterized by excessive keratinocyte proliferation, oxidative stress, and dysregulated cytokine signaling. Although topical corticosteroids remain the first-line therapy, their long-term use is often limited by adverse effects, highlighting the need for safer non-steroidal therapeutic alternatives. [...] Read more.
Psoriasis is a chronic immune-mediated inflammatory skin disorder characterized by excessive keratinocyte proliferation, oxidative stress, and dysregulated cytokine signaling. Although topical corticosteroids remain the first-line therapy, their long-term use is often limited by adverse effects, highlighting the need for safer non-steroidal therapeutic alternatives. This study investigated the therapeutic efficacy and underlying mechanisms of a topical astaxanthin (AST) formulation in an imiquimod (IMQ)-induced mouse model of psoriasiform dermatitis. Following IMQ induction, mice were randomly assigned to vehicle, clobetasol, or AST treatment groups (0.5–1.5%) for 14 days. Disease progression was evaluated through biochemical analysis of oxidative stress biomarkers, including NADPH oxidase (NOX), malondialdehyde (MDA), nitric oxide (NO), and superoxide dismutase (SOD), as well as ELISA-based quantification of inflammatory cytokines (TNF-α, IL-6, IL-17, and IL-23). Histopathological changes were assessed using hematoxylin and eosin staining, while molecular alterations were examined by RT-qPCR analysis of psoriasis-associated keratin genes (Krt16, Krt17, and Krt6a) and evaluation of JAK–STAT signaling activity. AST treatment significantly suppressed the IL-23/IL-17 inflammatory axis, reduced NOX activity and lipid peroxidation, restored endogenous antioxidant defenses, and inhibited JAK–STAT signaling. These biochemical and molecular effects were accompanied by marked downregulation of keratin gene expression and substantial histological improvement, including normalization of epidermal thickness, reduced parakeratosis, and decreased inflammatory infiltration. Notably, high-dose AST demonstrated therapeutic efficacy comparable to, and in some parameters exceeding, that of clobetasol. Collectively, these findings indicate that topical astaxanthin exerts coordinated antioxidant, anti-inflammatory, and anti-proliferative effects, supporting its potential as a promising multi-target non-steroidal therapeutic candidate for psoriasis management. Full article
Show Figures

Figure 1

15 pages, 1951 KB  
Article
Proangiogenic and Collagen-Promoting Effects of a 70% Ethanol Extract of Grateloupia angusta in Cutaneous Wound Models
by Seongtae Jeong, Seahyoung Lee, Bomi Kim, Hanbyeol Moon, Hojin Kim, Myung Hun Yeon, Jung-Won Choi, Sang Woo Kim, Il-Kwon Kim, Byeong-Wook Song, Gyoonhee Han and Soyeon Lim
Int. J. Mol. Sci. 2026, 27(7), 3138; https://doi.org/10.3390/ijms27073138 - 30 Mar 2026
Viewed by 443
Abstract
Marine red algae have been reported to contain a variety of bioactive compounds that are effective in promoting wound-healing processes. In the present study, the wound-healing potential of Grateloupia angusta, which has been rarely explored, was examined using in vitro and in [...] Read more.
Marine red algae have been reported to contain a variety of bioactive compounds that are effective in promoting wound-healing processes. In the present study, the wound-healing potential of Grateloupia angusta, which has been rarely explored, was examined using in vitro and in vivo models. A 70% ethanol extract of G. angusta (GAE) was prepared and profiled by liquid chromatography–mass spectrometry (LC-MS). Its effects on the wound-healing process were examined using three different types of cells that participate in this process, namely, Raw264.7, human umbilical vein endothelial cells (HUVECs), and human dermal fibroblasts (HDFs). Various assays including migration/scratch, tube formation, procollagen type I C-peptide production, and Western blotting were used to investigate the therapeutic potential of GAE. In vivo efficacy was tested in a mouse full-thickness skin incision wound model. In HUVECs, GAE increased viability, migration, tube formation, and vascular endothelial growth factor (VEGF) expression. Raw264.7 cells also showed increased VEGF production following GAE treatment. In HDFs, GAE did not affect proliferation and migration, but did increase collagen production. In mice, GAE accelerated wound closure from day 3 to day 5 and increased granulation/matrix with higher proliferating cell nuclear antigen (PCNA) and cluster of differentiation 31 (CD31) expression after a single topical application. In addition, keratin 14 (K14) expression was restored in GAE-treated wound tissues, suggesting improved epidermal re-epithelialization. Taken together, GAE promotes matrix production and pro-angiogenic activity in vitro and improves early wound repair in vivo, suggesting that G. angusta is a promising marine-derived candidate for wound-healing adjuvants. The results of the present study support further bioassay-guided fractionation and mechanistic validation in future studies. Full article
(This article belongs to the Special Issue Novel Approaches for Tissue Repair and Tissue Regeneration)
Show Figures

Graphical abstract

20 pages, 4862 KB  
Article
Ice-Phobic Keratin–Polymer Impregnation for Concrete Pavements: Performance, Adhesion, and Durability Assessment
by Rauan Lukpanov, Lyailya Kabdyrova, Duman Dyussembinov and Denis Tsigulyov
Infrastructures 2026, 11(4), 113; https://doi.org/10.3390/infrastructures11040113 - 25 Mar 2026
Viewed by 362
Abstract
This study presents the development and experimental evaluation of an impregnation composition for cement concrete pavements aimed at improving ice-phobic performance while preserving tire–pavement adhesion characteristics. The formulation is based on a combination of keratin-containing raw materials and water-soluble polymer components. Optimization showed [...] Read more.
This study presents the development and experimental evaluation of an impregnation composition for cement concrete pavements aimed at improving ice-phobic performance while preserving tire–pavement adhesion characteristics. The formulation is based on a combination of keratin-containing raw materials and water-soluble polymer components. Optimization showed that a polymer concentration of 2.5% reduces concrete water absorption by 49–53% compared with untreated specimens. Freezing tests conducted at temperatures of 0 to −5 °C demonstrated an additional reduction in water absorption of treated specimens by 33–40% relative to uncoated concrete and improved resistance to ice formation. The influence of the impregnation on tire–pavement interaction was assessed using a direct shear method, revealing minor changes in friction coefficients of up to ~6% for polished and less than 1% for rough surfaces, remaining within acceptable safety limits. Wear resistance was evaluated through rolling tests with model vehicle wheels, where laboratory abrasion occurred after several thousand loading cycles, while probabilistic correction accounting for trajectory variability indicated an extension of service life to the order of tens of thousands of vehicle passes. The results confirm the potential of the keratin–polymer impregnation as an effective approach for enhancing the durability and operational safety of concrete pavements in cold climates. Full article
Show Figures

Figure 1

39 pages, 1821 KB  
Review
Hydrogel Development, Processing and Applications in Agriculture: A Review
by Carmen Mª. Granados-Carrera, Victor M. Perez-Puyana, Mercedes Jiménez-Rosado and Alberto Romero
Gels 2026, 12(3), 259; https://doi.org/10.3390/gels12030259 - 20 Mar 2026
Viewed by 1080
Abstract
Hydrogels have emerged as promising functional materials for improving water management and nutrient delivery in agriculture, particularly under conditions of increasing water scarcity and declining soil fertility. However, most commercially available superabsorbent hydrogels are based on petroleum-derived polymers, raising concerns regarding their persistence [...] Read more.
Hydrogels have emerged as promising functional materials for improving water management and nutrient delivery in agriculture, particularly under conditions of increasing water scarcity and declining soil fertility. However, most commercially available superabsorbent hydrogels are based on petroleum-derived polymers, raising concerns regarding their persistence in soils, potential microplastic formation and long-term environmental impact. In response, significant research efforts are being directed toward the development of biodegradable hydrogels derived from renewable biopolymers. This review provides a critical overview of recent advances in hydrogel systems designed for agricultural applications, with a particular focus on biopolymer-based materials. First, the current landscape of hydrogel technologies used as soil conditioners and controlled-release systems for agrochemicals is contextualized, highlighting the limitations of conventional synthetic hydrogels. Subsequently, the main classes of natural polymers explored for hydrogel fabrication, including polysaccharides (e.g., chitosan, alginate, cellulose and starch) and proteins (e.g., gelatin, keratin and soy protein), are analyzed in terms of raw material sources, gelation mechanisms and structure–property relationships. Their performance in key agricultural functions, such as water retention, controlled nutrient release, soil conditioning and enhancement of plant growth, is also discussed. Finally, the review identifies major challenges that currently hinder large-scale implementation, including mechanical stability, degradation behavior in complex soil environments, nutrient release control and economic scalability. By integrating recent progress and outlining emerging research directions, this work aims to support the rational design of next-generation biodegradable hydrogels capable of contributing to sustainable agriculture and circular bioeconomy strategies. Full article
(This article belongs to the Special Issue Innovative Gels: Structure, Properties, and Emerging Applications)
Show Figures

Graphical abstract

24 pages, 5142 KB  
Review
Receptor-Mediated Drug Delivery: Redefining Targeted Drug Conjugates in Oncology
by Keon Niles Jafari, Charlene Chai, Shelby Kim and Kamaljit Kaur
Pharmaceutics 2026, 18(3), 386; https://doi.org/10.3390/pharmaceutics18030386 - 20 Mar 2026
Viewed by 1136
Abstract
Targeted drug delivery (TDD), specifically through targeting ligand–drug conjugates, has reshaped oncology by enabling selective delivery of cytotoxic payloads to cancer cells while minimizing uptake by normal tissues. A key approach relies on exploiting overexpressed cell surface receptors (CSRs) to enable selective uptake [...] Read more.
Targeted drug delivery (TDD), specifically through targeting ligand–drug conjugates, has reshaped oncology by enabling selective delivery of cytotoxic payloads to cancer cells while minimizing uptake by normal tissues. A key approach relies on exploiting overexpressed cell surface receptors (CSRs) to enable selective uptake of drug conjugates via receptor-mediated endocytosis. This review delineates four clinically validated CSRs (HER2, Trop-2, Nectin-4, and SSTR2) with several FDA-approved drug conjugates. Furthermore, emerging CSRs (EGFR, DLL3, and keratin 1) that may support next-generation TDD platforms for cancer treatment are also highlighted. We discuss how CSR type, density on cancer cells, and its mechanism of endocytosis, as well as the conjugate design for cellular uptake, tissue distribution, ligand size, and linker stability, collectively determine tumor drug accumulation and therapeutic efficacy. From representative examples, we elucidate the rationale for judicious refinement of these parameters, guiding the development of more potent ligands and drug conjugates to enhance the therapeutic efficacy of cytotoxic agents. Full article
(This article belongs to the Special Issue Peptide–Drug Conjugates for Targeted Delivery)
Show Figures

Figure 1

20 pages, 2684 KB  
Article
Acute Oroantral Communication Closure: Resorbable Collagen Membrane vs. Buccal Advancement Flap Outcomes: A Clinical Trial
by Agnieszka Balicz, Agnieszka Szurko, Magdalena Jędzierowska, Agnieszka Kiełboń, Sylwia Wójcik, Jakub Adamczyk, Martin Starosta, Jakub Fiegler-Rudol and Tadeusz Morawiec
J. Funct. Biomater. 2026, 17(3), 150; https://doi.org/10.3390/jfb17030150 - 18 Mar 2026
Viewed by 792
Abstract
Background: Oroantral communication (OAC) is a frequent complication after the extraction of maxillary posterior teeth and requires immediate closure to prevent sinus pathology and long-term functional impairment. Objectives: This study aimed to compare the clinical and radiographic outcomes of acute OAC [...] Read more.
Background: Oroantral communication (OAC) is a frequent complication after the extraction of maxillary posterior teeth and requires immediate closure to prevent sinus pathology and long-term functional impairment. Objectives: This study aimed to compare the clinical and radiographic outcomes of acute OAC closure using resorbable heterogeneous collagen membranes with those of the conventional buccal advancement flap (Rehrmann method). Methods: Twenty-four patients with OACs diagnosed within 24 h post-extraction were enrolled, and 20 completed follow-up. Patients were allocated to a membrane group treated with a resorbable collagen membrane (Creos Xenoprotect) or a control group treated with a buccal advancement flap. Clinical parameters, including vestibular depth, width of keratinized gingiva, alveolar socket dimensions, postoperative complications, and pain intensity assessed using the Visual Analogue Scale, were evaluated at 1, 7, 14, and 90 days. Radiographic outcomes were assessed using cone-beam computed tomography with linear measurements and normalized bone density analysis in Hounsfield Units at baseline and 90 days. Results: The membrane technique provided significantly better preservation of vestibular depth, keratinized gingiva width, and alveolar socket dimensions, with significantly lower postoperative pain and fewer complications compared with the buccal advancement flap. Higher normalized bone density values were observed in the membrane group, although differences were not statistically significant. Conclusions: Resorbable collagen membranes represent a safe, minimally invasive, and clinically effective alternative to buccal advancement flaps for acute OAC closure. Full article
(This article belongs to the Section Dental Biomaterials)
Show Figures

Figure 1

Back to TopTop