Sign in to use this feature.

Years

Between: -

Subjects

remove_circle_outline
remove_circle_outline
remove_circle_outline
remove_circle_outline
remove_circle_outline
remove_circle_outline
remove_circle_outline

Journals

Article Types

Countries / Regions

Search Results (30)

Search Parameters:
Keywords = inorganic phosphate carrier

Order results
Result details
Results per page
Select all
Export citation of selected articles as:
40 pages, 2306 KB  
Review
Enamel Maturation as a Systems Physiology: Ion Transport and Pi Flux
by Mehrnaz Zarinfar, Marziyeh Aghazadeh, Rucha Arun Bapat, Yanbin Ji and Michael L. Paine
Cells 2025, 14(22), 1821; https://doi.org/10.3390/cells14221821 - 20 Nov 2025
Cited by 1 | Viewed by 1279
Abstract
Dental enamel, the final product of amelogenesis, is a highly mineralized bioceramic that becomes acellular and non-regenerating after tooth eruption. This paper reviews literature that explores inorganic phosphate (Pi) transport during the process of enamel formation or amelogenesis. Evidence from transcriptomics, immunolocalization, and [...] Read more.
Dental enamel, the final product of amelogenesis, is a highly mineralized bioceramic that becomes acellular and non-regenerating after tooth eruption. This paper reviews literature that explores inorganic phosphate (Pi) transport during the process of enamel formation or amelogenesis. Evidence from transcriptomics, immunolocalization, and physiology implicates ameloblast-specific sodium-dependent Pi uptake by type III sodium–phosphate cotransporters SLC20A1 (PiT1) and SLC20A2 (PiT2), and by type IIb sodium–phosphate cotransporter SLC34A2 (NaPi-IIb) with stage-specific basal (proximal) or apical (distal) enrichment, and pH-dependent expression. Controlled Pi efflux to the enamel space has been partly attributed to xenotropic and polytropic retrovirus receptor (XPR1) mediated Pi export during maturation-stage amelogenesis. These amelogenesis-specific Pi fluxes operate within a polarized cellular framework in which Ca2+ delivery and extrusion, together with bicarbonate-based buffering regulated by cystic fibrosis transmembrane conductance regulator (CFTR), Solute carrier family 26 (SLC26) exchangers, anion exchanger 2 (AE2), and electrogenic sodium bicarbonate cotransporter 1 (NBCe1), at-least partially contribute to cellular Pi activity, and neutralize protons generated as the extracellular hydroxyapatite-based enamel matures. Disruption of phosphate handling reduces crystal growth and final mineral content of enamel, and produces hypomineralized or hypomature enamel with opacities, post-eruptive breakdown, and greater caries susceptibility. This review integrates multi-modal findings to appraise established features of ameloblast Pi handling, define constraints imposed by pH control and Ca2+ transport, and identify gaps in ion transporter topology and trafficking dynamics. Full article
Show Figures

Figure 1

22 pages, 5179 KB  
Article
Rescue of the First Mitochondrial Membrane Carrier, the mPiC, by TAT-Mediated Protein Replacement Treatment
by Samar Zabit, Orly Melloul, Michal Lichtenstein, Erin L. Seifert and Haya Lorberboum-Galski
Int. J. Mol. Sci. 2025, 26(9), 4379; https://doi.org/10.3390/ijms26094379 - 5 May 2025
Viewed by 5006
Abstract
The mitochondrial phosphate carrier (mPiC), encoded by the nuclear gene SLC25A3, is synthesized with an N-terminus mitochondrial targeting sequence (MTS), enabling its import into the mitochondria. mPiC imports inorganic phosphate (Pi) into the mitochondrial matrix for ATP production and other [...] Read more.
The mitochondrial phosphate carrier (mPiC), encoded by the nuclear gene SLC25A3, is synthesized with an N-terminus mitochondrial targeting sequence (MTS), enabling its import into the mitochondria. mPiC imports inorganic phosphate (Pi) into the mitochondrial matrix for ATP production and other matrix phosphorylation reactions, as well as regulates mitochondrial Ca2+ uptake and buffering of matrix Ca2+. PiC also imports copper (Cu), crucial to COX subunit holoenzyme assembly. Variants in SLC25A3 exist and lead to mPiC deficiency (MPCD), cause a rare autosomal recessive disease with no current cure; patients with MPCD usually die within the first year of life. We have developed a novel therapeutic approach using TAT-mPiC fusion protein for cellular delivery since the TAT peptide enables delivery of proteins across biological membranes. We designed, produced, and purified the TAT-mPiC fusion protein. The fusion protein is delivered into the mitochondria and localizes within the mIM, its natural cellular location, as a processed protein. Treatment of mPiC-knockdown cells with TAT-mPiC fusion protein increased cell growth and improved bioenergetic capabilities, as measured by oxygen consumption rate (OCR), ATP production, and reduction in lactate secretion. Most importantly, TAT-mPiC restored Pi and Cu delivery into the mitochondrial matrix. TAT-mPiC fusion protein also restored the mitochondrial activity of cells harboring various mitochondrial defects. This study presents the first successful delivery of a mitochondrial transmembrane carrier using the TAT-fusion system, offering a potential early treatment strategy for newborns with mPiC deficiency. Full article
(This article belongs to the Section Molecular Biology)
Show Figures

Figure 1

17 pages, 3074 KB  
Article
Isolation, Characterization and Growth-Promoting Properties of Phosphate-Solubilizing Bacteria (PSBs) Derived from Peach Tree Rhizosphere
by Zixuan Li, Junyan Li, Guangyuan Liu, Yanyan Li, Xuelian Wu, Jiahui Liang, Zhe Wang, Qiuju Chen and Futian Peng
Microorganisms 2025, 13(4), 718; https://doi.org/10.3390/microorganisms13040718 - 23 Mar 2025
Cited by 7 | Viewed by 2634
Abstract
Microbial fertilizers have a significant role in promoting plant growth, resistance to environmental stresses, and soil remediation. Microbial fertilizers are mainly composed of beneficial microorganisms that contain specific functions. Focusing on the peach tree rhizosphere region, this study aimed to isolate and screen [...] Read more.
Microbial fertilizers have a significant role in promoting plant growth, resistance to environmental stresses, and soil remediation. Microbial fertilizers are mainly composed of beneficial microorganisms that contain specific functions. Focusing on the peach tree rhizosphere region, this study aimed to isolate and screen bacteria with efficient phosphate-solubilizing capacity for application in microbial fertilizers, as well as to dig deeper into the other properties of the strains to further explore the roles of these phosphate-solubilizing bacteria (PSBs) in terms of plant growth in order to provide valuable microbial resources for microbial fertilizer development. By collecting soil samples from peach tree rhizospheres, we initially screened 86 PSB strains using the plate method and determined the phosphate-solubilizing capacity (ranged from 0 to 14 μg/mL). Afterwards, 51 strains with strong phosphate-solubilizing capacity were selected for molecular identification; the strains belonged to 12 genera, with Bacillus and Burkholderia accounting for the majority. Concurrent evaluation of iron carriers and indoleacetic-3-acid (IAA) production capabilities identified strain WPD85 as exhibiting dual functionality with strong performance in both parameters. Subsequently, we combined the analysis of phosphate-solubilizing capacity and growth-promoting properties to select eight strains of PSBs; characterized them physiologically, biochemically, and molecularly; determined the biofilm-forming capacity; and conducted potting experiments. Notably, strain WPD103 exhibited exceptional biofilm-forming capacity (OD595 = 1.09). Of particular interest, strain WPD16 demonstrated both an elevated inorganic phosphate solubilization index (D/d = 2.99) and remarkable iron carriers production capacity, while peach seedlings treated with WPD16 exhibited 119% enhancement in plant height increment compared to the control. This study enhances our understanding of PSB traits and identifies Burkholderia sp. WPD16 as a strategic candidate for developing targeted microbial fertilizers, offering a sustainable solution to reduce reliance on chemical inputs in orchard management. Full article
(This article belongs to the Section Environmental Microbiology)
Show Figures

Figure 1

18 pages, 2402 KB  
Article
Application of Biochar-Immobilized Bacillus megaterium for Enhancing Phosphorus Uptake and Growth in Rice
by Keru Yu, Zhenyu Wang, Wenyan Yang, Shuai Li, Dongtao Wu, Hongtao Zheng, Zhengqian Ye, Shaona Yang and Dan Liu
Plants 2025, 14(2), 214; https://doi.org/10.3390/plants14020214 - 14 Jan 2025
Cited by 3 | Viewed by 2537
Abstract
Phosphorus (P) is an essential nutrient for rice growth, and the presence of phosphate-solubilizing bacteria (PSB) is an effective means to increase soil P content. However, the direct application of PSB may have minimal significance due to their low survival in soil. Biochar [...] Read more.
Phosphorus (P) is an essential nutrient for rice growth, and the presence of phosphate-solubilizing bacteria (PSB) is an effective means to increase soil P content. However, the direct application of PSB may have minimal significance due to their low survival in soil. Biochar serves as a carrier that enhances microbial survival, and its porous structure and surface characteristics ensure the adsorption of Bacillus megaterium. Inoculating rice husk biochar-immobilized with Bacillus megaterium (BMB) resulted in dissolved inorganic and organic P levels of 39.55 and 31.97 mL L−1, respectively. Subsequently, rice pot experiments were conducted to investigate the response of soil microbial P mobilization and P uptake in rice to fertilizer inputs. The organic fertilizer (OF) combined with BMB treatment (MOF) showed the highest soil available phosphorus (AP) at 38 days, with a value of 7.83 mg kg−1, as well as increased the pqqC abundance while decreasing the abundance of phoD bacterial communities compared with the control. Furthermore, the bioavailable P reservoir (H2O–Pi and NaHCO3–Pi) in soil was greatly increased through the fertilizer input and microbial turnover, with the highest H2O–Pi (3.66 mg kg−1) in OF treatment and the highest NaHCO3–Pi (52.65 mg kg−1) in MOF treatment. Additionally, carbon utilization analysis was applied using the commercial Biolog system, revealing that the MOF treatment significantly increased the utilization of carbohydrates, polymers, and amino acid carbon sources. Moreover, compared to the control, MOF treatment significantly increased the shoot (0.469%) and root P (0.516%) content while promoting root development and thereby supporting rice growth. Our study demonstrates that the MOF treatment displayed higher P levels in both soil and rice plants, providing a theoretical basis for further understanding the role of biochar-based bacterial agents in rice P management. Full article
Show Figures

Figure 1

17 pages, 1012 KB  
Article
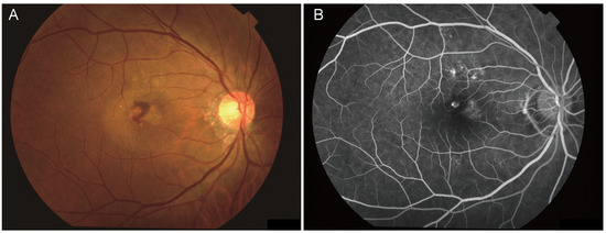
A Comprehensive Health Screening Program Reveals the Prevalence of and Risk Factors for Age-Related Macular Degeneration: A Cross-Sectional Analysis
by Dae Joong Ma, Baek-Lok Oh, Eunoo Bak, Jin-Soo Kim, Jinho Lee and Hyuk Jin Choi
Biomedicines 2024, 12(12), 2681; https://doi.org/10.3390/biomedicines12122681 - 25 Nov 2024
Viewed by 1421
Abstract
Background/Objectives: We investigated the prevalence of age-related macular degeneration (AMD) and associated risk factors in Korean subjects who underwent comprehensive health screening examinations. Methods: This single health screening center-based cross-sectional study included a total of 73,574 consecutive participants older than 30 [...] Read more.
Background/Objectives: We investigated the prevalence of age-related macular degeneration (AMD) and associated risk factors in Korean subjects who underwent comprehensive health screening examinations. Methods: This single health screening center-based cross-sectional study included a total of 73,574 consecutive participants older than 30 years who underwent a health screening examination, including fundus photography, between October 2003 and December 2010. Weighted prevalence and risk factors for AMD were evaluated. Logistic regression was used to identify AMD risk factors. Results: The weighted prevalence of AMD was 15.42%, with a prevalence of 3.34% among people in their 30s. Advanced age significantly increased the risk for both early/intermediate AMD (p < 0.001 across the age groups of 40, 50, 60, and 70+ years) and advanced AMD (p <0.001 for the age groups of 60 and 70+ years). The male sex was strongly associated with an increased risk of both early/intermediate and advanced AMD (p < 0.001 for both). Retinal arteriosclerosis, whether low- or high-grade, was linked to early/intermediate AMD (p < 0.001 for both grades), whereas only high-grade arteriosclerosis was linked to advanced AMD (p < 0.001). Additionally, hypertension (p < 0.001), the hepatitis B carrier status (p < 0.001), elevated mean corpuscular volume (p < 0.001), and lower serum uric acid levels (p = 0.014) were associated with early/intermediate AMD. Higher education levels protected against early/intermediate AMD (p = 0.004 for high school graduates, p < 0.001 for ≥college graduates). Higher serum inorganic phosphate levels (p = 0.002) and lower total serum ALB levels (p = 0.005) were significant risk factors for advanced AMD. Conclusions: Korean individuals as young as 30 years old are at risk of AMD. This study newly identified associations between retinal arteriosclerosis and both early/intermediate and advanced AMD, as well as associations between serum inorganic phosphate levels and total ALB levels with advanced AMD. Full article
(This article belongs to the Section Neurobiology and Clinical Neuroscience)
Show Figures

Figure 1

19 pages, 8932 KB  
Article
Physico-Chemical Characterizations of Composited Calcium-Ortho-Phosphate Porous Particles and Their Controlled Release Behavior of Clindamycin Phosphate and Amikacin Sulfate
by Namfon Khamkaew, Sorada Kanokpanont, Jirun Apinun, Chalika Wangdee, Antonella Motta and Siriporn Damrongsakkul
Polymers 2024, 16(22), 3144; https://doi.org/10.3390/polym16223144 - 12 Nov 2024
Cited by 1 | Viewed by 2251
Abstract
The porous particles prepared from composited calcium–ortho-phosphate (biphasic), Thai silk fibroin, gelatin, and alginate, with an organic to inorganic component ratio of 15.5:84.5, were tested for their abilities to control the release of the commercialized antibiotic solutions, clindamycin phosphate (CDP) and amikacin sulfate [...] Read more.
The porous particles prepared from composited calcium–ortho-phosphate (biphasic), Thai silk fibroin, gelatin, and alginate, with an organic to inorganic component ratio of 15.5:84.5, were tested for their abilities to control the release of the commercialized antibiotic solutions, clindamycin phosphate (CDP) and amikacin sulfate (AMK). The in vitro biodegradability tests complying to the ISO 10993-13:2010 standard showed that the particles degraded <20 wt% within 56 days. The drugs were loaded through a simple adsorption, with the maximum loading of injection-graded drug solution of 43.41 wt% for CDP, and 39.08 wt% for AMK. The release profiles from dissolution tests of the drug-loaded particles varied based on the adsorption methods used. The drug-loaded particles (without a drying step) released the drug immediately, while the drying process after the drug loading resulted in the sustained-release capability of the particles. The model-fitting of drug release profiles showed the release driven by diffusion with the first-ordered kinetic after the initial burst release. The released CDF and AMK from particles could sustain the inhibition of Gram-positive bacteria and Gram-negative bacteria, respectively, for at least 72 h. These results indicated the potential of these composited particles as controlled-release carriers for CDP and AMK. Full article
(This article belongs to the Section Polymer Applications)
Show Figures

Figure 1

13 pages, 4584 KB  
Article
The Impact of Various Organic Phosphorus Carriers on the Uptake and Use Efficiency in Barley
by Yuanfeng Huo, Jingyue Wang, Yinggang Xu, Deyi Hu, Kexian Zhang, Bingjie Chen, Yueyi Wu, Jiaxin Liu, Tianlang Yan, Yang Li, Chaorui Yan, Xuesong Gao, Shu Yuan and Guangdeng Chen
Int. J. Mol. Sci. 2023, 24(24), 17191; https://doi.org/10.3390/ijms242417191 - 6 Dec 2023
Cited by 6 | Viewed by 2107
Abstract
Organic phosphorus (OP) is an essential component of the soil P cycle, which contributes to barley nutrition after its mineralization into inorganic phosphorus (Pi). However, the dynamics of OP utilization in the barley rhizosphere remain unclear. In this study, phytin was screened out [...] Read more.
Organic phosphorus (OP) is an essential component of the soil P cycle, which contributes to barley nutrition after its mineralization into inorganic phosphorus (Pi). However, the dynamics of OP utilization in the barley rhizosphere remain unclear. In this study, phytin was screened out from six OP carriers, which could reflect the difference in OP utilization between a P-inefficient genotype Baudin and a P-efficient genotype CN4027. The phosphorus utilization efficiency (PUE), root morphological traits, and expression of genes associated with P utilization were assessed under P deficiency or phytin treatments. P deficiency resulted in a greater root surface area and thicker roots. In barley fed with phytin as a P carrier, the APase activities of CN4027 were 2–3-fold lower than those of Baudin, while the phytase activities of CN4027 were 2–3-fold higher than those of Baudin. The PUE in CN4027 was mainly enhanced by activating phytase to improve the root absorption and utilization of Pi resulting from OP mineralization, while the PUE in Baudin was mainly enhanced by activating APase to improve the shoot reuse capacity. A phosphate transporter gene HvPHT1;8 regulated P transport from the roots to the shoots, while a purple acid phosphatase (PAP) family gene HvPAPhy_b contributed to the reuse of P in barley. Full article
(This article belongs to the Special Issue Plant Physiology and Molecular Nutrition)
Show Figures

Figure 1

15 pages, 2081 KB  
Article
A Direct Comparison of Peptide Drug Delivery Systems Based on the Use of Hybrid Calcium Phosphate/Chitosan Nanoparticles versus Unmixed Calcium Phosphate or Chitosan Nanoparticles In Vitro and In Vivo
by Ekaterina Popova, Victoria Tikhomirova, Olga Beznos, Natalia Chesnokova, Yuri Grigoriev, Michael Taliansky and Olga Kost
Int. J. Mol. Sci. 2023, 24(21), 15532; https://doi.org/10.3390/ijms242115532 - 24 Oct 2023
Cited by 6 | Viewed by 2418
Abstract
Nanocarriers provide a number of undeniable advantages that could improve the bioavailability of active agents for human, animal, and plant cells. In this study, we compared hybrid nanoparticles (HNPs) consisting of a calcium phosphate core coated with chitosan with unmixed calcium phosphate (CaP) [...] Read more.
Nanocarriers provide a number of undeniable advantages that could improve the bioavailability of active agents for human, animal, and plant cells. In this study, we compared hybrid nanoparticles (HNPs) consisting of a calcium phosphate core coated with chitosan with unmixed calcium phosphate (CaP) and chitosan nanoparticles (CSNPs) as carriers of a model substrate, enalaprilat. This tripeptide analog is an inhibitor of angiotensin-converting enzyme and was chosen by its ability to lower intraocular pressure (IOP). In particular, we evaluated the physicochemical characteristics of the particles using dynamic light scattering (DLS) and scanning electron microscopy (SEM) and analyzed their ability to incorporate and release enalaprilat. HNPs exhibited the highest drug loading capacity and both HNPs and CSNPs demonstrated slow drug release. The comparison of the physiological effects of enalaprilat-loaded CaP particles, HNPs, and CSNPs in terms of their impact on IOP in rabbits revealed a clear advantage of hybrid nanoparticles over both inorganic and chitosan nanoparticles. These results could have important mechanistic implications for developing nano-based delivery systems for other medical, veterinary, and agricultural applications. Full article
(This article belongs to the Collection Feature Papers in Materials Science)
Show Figures

Figure 1

22 pages, 5058 KB  
Article
Synthesis and Utilisation of Hybrid Metal-Carbonic Anhydrase Enzyme Carrier System for Soil Biocementation
by Wilson Mwandira, Diane Purchase, Maria Mavroulidou and Michael J. Gunn
Appl. Sci. 2023, 13(17), 9494; https://doi.org/10.3390/app13179494 - 22 Aug 2023
Cited by 7 | Viewed by 3293
Abstract
Biocementation is an emerging nature-inspired method of producing eco-friendly cement for soil stabilization. This paper used the bovine-derived carbonic anhydrase (CA) enzyme to catalyse the bioprecipitation of CaCO3 in a fine-grained soil and thus to biocement the soil. To increase the efficiency [...] Read more.
Biocementation is an emerging nature-inspired method of producing eco-friendly cement for soil stabilization. This paper used the bovine-derived carbonic anhydrase (CA) enzyme to catalyse the bioprecipitation of CaCO3 in a fine-grained soil and thus to biocement the soil. To increase the efficiency of the CA, an innovative copper–carbonic anhydrase (CA) hybrid was fabricated. This study is a proof-of-concept of the potential application of these enzyme carriers for soil biocementation. The hybrid carriers are aimed to enhance the stability, recovery and reusability of the enzyme used in the biocementation process. The results showed that the fabricated copper phosphate-based inorganic hybrid was stable throughout the duration of the tests (2 months) and under a wide range of pH and temperatures. Its enzymatic activity was enhanced compared to the free CA enzyme and it was proved suitable for soil biocementation. This was further confirmed by the SEM analysis. Additionally, the treated soil with the formulated hybrid carrier showed improved unconfined compressive strength, especially when the carriers were implemented into the soil by mixing. The material analysis by Raman spectroscopy confirmed calcium carbonate as the primary precipitate, consistent with soil biocementation. Overall, this innovative method of delivery of enzymes with enhanced stability and activity shows promise that, upon further development, it can be successfully used to increase the efficiency and sustainability of the biocementation process. Full article
(This article belongs to the Special Issue Sustainability in Geotechnics)
Show Figures

Figure 1

17 pages, 5358 KB  
Article
Adsorption Behavior and Mechanism of Cesium Ions in Low-Concentration Brine Using Ammonium Molybdophosphate–Zirconium Phosphate on Polyurethane Sponge
by Hao Wang, Guihua Ma, Ke Zhang, Zhi Jia, Yuzhuo Wang, Li Gao and Bingxin Liu
Materials 2023, 16(13), 4583; https://doi.org/10.3390/ma16134583 - 25 Jun 2023
Cited by 8 | Viewed by 1989
Abstract
Salt lake brine originating from Qinghai, China has abundant cesium resources and huge total reserves. The inorganic ion exchangers ammonium molybdophosphate (AMP) and zirconium phosphate (ZrP) have the significant advantages of separating and extracting Cs+ as a special adsorbent. Nevertheless, their high [...] Read more.
Salt lake brine originating from Qinghai, China has abundant cesium resources and huge total reserves. The inorganic ion exchangers ammonium molybdophosphate (AMP) and zirconium phosphate (ZrP) have the significant advantages of separating and extracting Cs+ as a special adsorbent. Nevertheless, their high solubility in water leads to a decrease in their ability to adsorb Cs+ in aqueous solutions, causing problems such as difficulty with using adsorbents alone and a difficult recovery. In this work, an environmentally friendly polyurethane sponge (PU sponge) with a large specific surface area is employed as an adsorbent carrier by physically impregnating dopamine-coated AMP and ZrP onto a PU sponge, respectively. The experiment found that under the same conditions, the AMP/PU sponge performs better than the ZrP/PU sponge for Cs+ adsorption. When the amount of adsorbent reaches 0.025 g, the adsorption capacity reaches saturation. The adsorption efficiency remains above 80% when the concentration of Cs+ is 5–35 mg/L. The kinetic calculations show that adsorption is spontaneous, feasible, and has a higher driving force at high temperatures. In addition, the power and mechanism of the interaction between adsorbent and adsorbent are explained using the density functional theory calculation. This efficient, stable, and selective Cs+ adsorbent provides design guidelines. Full article
Show Figures

Figure 1

16 pages, 4098 KB  
Article
Synthetic Calcium Silicate Biocomposite Based on Sea Urchin Skeleton for 5-Fluorouracil Cancer Delivery
by Evgeniy K. Papynov, Oleg O. Shichalin, Olesya V. Kapustina, Igor Yu. Buravlev, Vladimir I. Apanasevich, Vitaly Yu. Mayorov, Alexander N. Fedorets, Alexey O. Lembikov, Danila N. Gritsuk, Anna V. Ovodova, Sofia S. Gribanova, Zlata E. Kornakova and Nikolay P. Shapkin
Materials 2023, 16(9), 3495; https://doi.org/10.3390/ma16093495 - 1 May 2023
Cited by 10 | Viewed by 3573
Abstract
Synthetic calcium silicates and phosphates are promising compounds for targeted drug delivery for the effective treatment of cancerous tumors, and for minimizing toxic effects on the patient’s entire body. This work presents an original synthesis of a composite based on crystalline wollastonite CaSiO [...] Read more.
Synthetic calcium silicates and phosphates are promising compounds for targeted drug delivery for the effective treatment of cancerous tumors, and for minimizing toxic effects on the patient’s entire body. This work presents an original synthesis of a composite based on crystalline wollastonite CaSiO3 and combeite Na4Ca4(Si6O18), using a sea urchin Mesocentrotus nudus skeleton by microwave heating under hydrothermal conditions. The phase and elemental composition and structure of the obtained composite were studied by XRF, REM, BET, and EDS methods, depending on the microwave heating time of 30 or 60 min, respectively, and the influence of thermo-oxidative post-treatment of samples. The role of the sea urchin skeleton in the synthesis was shown. First, it provides a raw material base (source of Ca2+) for the formation of the calcium silicate composite. Second, it is a matrix for the formation of its porous inorganic framework. The sorption capacity of the composite, with respect to 5-fluorouracil, was estimated, the value of which was 12.3 mg/L. The resulting composite is a promising carrier for the targeted delivery of chemotherapeutic drugs. The mechanism of drug release from an inorganic natural matrix was also evaluated by fitting its release profile to various mathematical models. Full article
Show Figures

Figure 1

19 pages, 8092 KB  
Article
Clindamycin-Loaded Nanosized Calcium Phosphates Powders as a Carrier of Active Substances
by Dagmara Słota, Karina Piętak, Wioletta Florkiewicz, Josef Jampilek, Agnieszka Tomala, Mateusz M. Urbaniak, Agata Tomaszewska, Karolina Rudnicka and Agnieszka Sobczak-Kupiec
Nanomaterials 2023, 13(9), 1469; https://doi.org/10.3390/nano13091469 - 25 Apr 2023
Cited by 12 | Viewed by 2858
Abstract
Bioactive calcium phosphate ceramics (CaPs) are one of the building components of the inorganic part of bones. Synthetic CaPs are frequently used as materials for filling bone defects in the form of pastes or composites; however, their porous structure allows modification with active [...] Read more.
Bioactive calcium phosphate ceramics (CaPs) are one of the building components of the inorganic part of bones. Synthetic CaPs are frequently used as materials for filling bone defects in the form of pastes or composites; however, their porous structure allows modification with active substances and, thus, subsequent use as a drug carrier for the controlled release of active substances. In this study, four different ceramic powders were compared: commercial hydroxyapatite (HA), TCP, brushite, as well as HA obtained by wet precipitation methods. The ceramic powders were subjected to physicochemical analysis, including FTIR, XRD, and determination of Ca/P molar ratio or porosity. These techniques confirmed that the materials were phase-pure, and the molar ratios of calcium and phosphorus elements were in accordance with the literature. This confirmed the validity of the selected synthesis methods. CaPs were then modified with the antibiotic clindamycin. Drug release was determined on HPLC, and antimicrobial properties were tested against Staphylococcus aureus. The specific surface area of the ceramic has been demonstrated to be a factor in drug release efficiency. Full article
(This article belongs to the Special Issue Feature Papers in Nanomaterials Science)
Show Figures

Figure 1

30 pages, 3091 KB  
Review
Calcium Phosphate Loaded Biopolymer Composites—A Comprehensive Review on the Most Recent Progress and Promising Trends
by Monika Furko, Katalin Balázsi and Csaba Balázsi
Coatings 2023, 13(2), 360; https://doi.org/10.3390/coatings13020360 - 5 Feb 2023
Cited by 29 | Viewed by 5755
Abstract
Biocompatible ceramics are extremely important in bioengineering, and very useful in many biomedical or orthopedic applications because of their positive interactions with human tissues. There have been enormous efforts to develop bioceramic particles that cost-effectively meet high standards of quality. Among the numerous [...] Read more.
Biocompatible ceramics are extremely important in bioengineering, and very useful in many biomedical or orthopedic applications because of their positive interactions with human tissues. There have been enormous efforts to develop bioceramic particles that cost-effectively meet high standards of quality. Among the numerous bioceramics, calcium phosphates are the most suitable since the main inorganic compound in human bones is hydroxyapatite, a specific phase of the calcium phosphates (CaPs). The CaPs can be applied as bone substitutes, types of cement, drug carriers, implants, or coatings. In addition, bioresorbable bioceramics have great potential in tissue engineering in their use as a scaffold that can advance the healing process of bones during the normal tissue repair process. On the other hand, the main disadvantages of bioceramics are their brittleness and poor mechanical properties. The newest advancement in CaPs doping with active biomolecules such as Mg, Zn, Sr, and others. Another set of similarly important materials in bioengineering are biopolymers. These include natural polymers such as collagen, cellulose acetate, gelatin, chitosan, and synthetic polymers, for example, polyvinyl pyrrolidone (PVP), polyvinyl alcohol (PVA), and polycaprolactone (PCL). Various types of polymer have unique properties that make them useful in different fields. The combination of CaP particles with different biopolymers gives rise to new opportunities for application, since their properties can be changed and adjusted to the given requirements. This review offers an insight into the most up-to-date advancements in the preparation and evaluation of different calcium phosphate–biopolymer composites, highlighting their application possibilities, which largely depend on the chemical and physical characteristics of CaPs and the applied polymer materials. Overall, these composites can be considered advanced materials in many important biomedical fields, with potential to improve the quality of healthcare and to assist in providing better outcomes as scaffolds in bone healing or in the integration of implants in orthopedic surgeries. Full article
(This article belongs to the Special Issue Surface Treatment of Biomedical Polymer Scaffolds)
Show Figures

Graphical abstract

17 pages, 2782 KB  
Review
Phosphorus Mobilization in Plant–Soil Environments and Inspired Strategies for Managing Phosphorus: A Review
by Muhammad Ibrahim, Muhammad Iqbal, Yu-Ting Tang, Sardar Khan, Dong-Xing Guan and Gang Li
Agronomy 2022, 12(10), 2539; https://doi.org/10.3390/agronomy12102539 - 17 Oct 2022
Cited by 109 | Viewed by 18061
Abstract
Crop productivity and yield are adversely affected by the deficiency of P in agricultural soil. Phosphate fertilizers are used at a large scale to improve crop yields globally. With the rapid increase in human population, food demands are also increasing. To see that [...] Read more.
Crop productivity and yield are adversely affected by the deficiency of P in agricultural soil. Phosphate fertilizers are used at a large scale to improve crop yields globally. With the rapid increase in human population, food demands are also increasing. To see that crop yields meet demands, farmers have continuously added phosphate fertilizers to their arable fields. As the primary source of inorganic phosphorous, rock phosphate is finite and the risk of its being jeopardized in the foreseeable future is high. Therefore, there is a dire need to improve plant-available P in soil, using feasible, environmentally friendly technologies developed on the basis of further understanding of P dynamics between soil and plants. This study systemically reviews the mechanism of P uptake and P-use efficiency by plants under starvation conditions. The recent advances in various strategies, especially imaging techniques, over the period 2012–2021 for the measurement of plant-available P are identified. The study then examines how plants fulfill P requirements from tissue-stored P during P starvation. Following this understanding, various strategies for increasing plant-available P in agricultural soil are evaluated. Finally, an update on novel carriers used to improve the P content of agricultural soil is provided. Full article
(This article belongs to the Special Issue The Role of Mineral Elements in the Crop Growth and Production)
Show Figures

Figure 1

18 pages, 4383 KB  
Article
Phosphate Metabolic Inhibition Contributes to Irradiation-Induced Myelosuppression through Dampening Hematopoietic Stem Cell Survival
by Yiding Wu, Weinian Liao, Jun Chen, Chaonan Liu, Shuzhen Zhang, Kuan Yu, Xinmiao Wang, Mo Chen, Song Wang, Xinze Ran, Yongping Su, Tianmin Cheng, Junping Wang and Changhong Du
Nutrients 2022, 14(16), 3395; https://doi.org/10.3390/nu14163395 - 18 Aug 2022
Cited by 10 | Viewed by 3331
Abstract
Myelosuppression is a common and intractable side effect of cancer therapies including radiotherapy and chemotherapy, while the underlying mechanism remains incompletely understood. Here, using a mouse model of radiotherapy-induced myelosuppression, we show that inorganic phosphate (Pi) metabolism is acutely inhibited in hematopoietic stem [...] Read more.
Myelosuppression is a common and intractable side effect of cancer therapies including radiotherapy and chemotherapy, while the underlying mechanism remains incompletely understood. Here, using a mouse model of radiotherapy-induced myelosuppression, we show that inorganic phosphate (Pi) metabolism is acutely inhibited in hematopoietic stem cells (HSCs) during irradiation-induced myelosuppression, and closely correlated with the severity and prognosis of myelosuppression. Mechanistically, the acute Pi metabolic inhibition in HSCs results from extrinsic Pi loss in the bone marrow niche and the intrinsic transcriptional suppression of soluble carrier family 20 member 1 (SLC20A1)-mediated Pi uptake by p53. Meanwhile, Pi metabolic inhibition blunts irradiation-induced Akt hyperactivation in HSCs, thereby weakening its ability to counteract p53-mediated Pi metabolic inhibition and the apoptosis of HSCs and consequently contributing to myelosuppression progression. Conversely, the modulation of the Pi metabolism in HSCs via a high Pi diet or renal Klotho deficiency protects against irradiation-induced myelosuppression. These findings reveal that Pi metabolism and HSC survival are causally linked by the Akt/p53–SLC20A1 axis during myelosuppression and provide valuable insights into the pathogenesis and management of myelosuppression. Full article
(This article belongs to the Special Issue Minerals Metabolism and Human Health)
Show Figures

Figure 1

Back to TopTop