Sign in to use this feature.

Years

Between: -

Subjects

remove_circle_outline
remove_circle_outline
remove_circle_outline
remove_circle_outline
remove_circle_outline
remove_circle_outline
remove_circle_outline

Journals

Article Types

Countries / Regions

Search Results (87)

Search Parameters:
Keywords = information transmission in neurons

Order results
Result details
Results per page
Select all
Export citation of selected articles as:
22 pages, 4951 KB  
Article
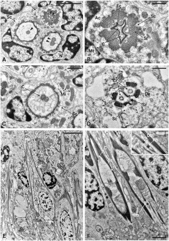
Ultrastructural Analysis of Johnston’s Organ and Brain Organization in Philaenus spumarius (Hemiptera: Aphrophoridae)
by Milos Sevarika, Christoph Kleineidam and Roberto Romani
Insects 2026, 17(1), 15; https://doi.org/10.3390/insects17010015 - 22 Dec 2025
Viewed by 85
Abstract
Insects rely on a variety of sensory cues for orientation, with antennae playing a central role in receiving and transmitting information about the environment. Philaenus spumarius (Hemiptera: Aphrophoridae), a spittlebug and vector of the bacterium Xylella fastidiosa, has a reduced number of [...] Read more.
Insects rely on a variety of sensory cues for orientation, with antennae playing a central role in receiving and transmitting information about the environment. Philaenus spumarius (Hemiptera: Aphrophoridae), a spittlebug and vector of the bacterium Xylella fastidiosa, has a reduced number of antennal sensilla, yet demonstrates effective multimodal communication through olfactory and vibrational signals. This study aimed to investigate how the simplified sensory system of P. spumarius relates to the primary neuropils of the brain. We examined the ultrastructural organization of Johnston’s organ using scanning and transmission electron microscopy, complemented by previous data on antennal sensilla. Brain organization was investigated by Micro-CT and confocal laser scanning microscopy, which enabled us to identify the primary neuropiles. In addition, we conducted antennal and single sensillum backfills to trace sensory neurons to the brain. Our findings provide insight into the adaptation of a simplified sensory system for effective communication and orientation in P. spumarius. Full article
(This article belongs to the Special Issue Insect Sensory Biology—2nd Edition)
Show Figures

Graphical abstract

29 pages, 5135 KB  
Article
Distribution and Neurochemical Characterization of Dorsal Root Ganglia (DRG) Neurons Containing Phoenixin (PNX) and Supplying the Porcine Uterine Cervix
by Urszula Mazur, Paulina Kuśmierek, Paweł Janikiewicz, Mariusz Krzysztof Majewski and Agnieszka Bossowska
Cells 2025, 14(23), 1847; https://doi.org/10.3390/cells14231847 - 23 Nov 2025
Viewed by 414
Abstract
One of most important parts of the female genital tract is the uterine cervix, both from the anatomical as well as physiological points of view. As there is currently a lack of detailed information on the presence, distribution pattern(s), and the chemical coding [...] Read more.
One of most important parts of the female genital tract is the uterine cervix, both from the anatomical as well as physiological points of view. As there is currently a lack of detailed information on the presence, distribution pattern(s), and the chemical coding of phoenixin (PNX)-containing dorsal root ganglia (DRG) neurons supplying the porcine uterine cervix, this study, using combined retrograde tracing and double-immunofluorescence techniques, was aimed at analyzing (i) the distribution pattern of uterine cervix-supplying sensory neurons (UC-SNs) at the particular spinal cord levels, (ii) their intraganglionic distribution, and (iii) the patterns of PNX co-expression with other biologically active substances. UC-SNs were identified by the presence of deposits of Fast Blue (FB), in DRG of thoracic (Th10–Th15), lumbar (L1–L5) and sacral (S2–S4) spinal cord segments. FB+/PNX+ neurons constitute approximately 33% of all UC-SNs, 73% at the L, and 27% at the S neuromeres. These neurons were mainly small sized (52%), with a slightly smaller population of medium-sized cells (40%), while large-diameter cells made up the least numerous population (8%). The vast majority of FB+/PNX+ neurons simultaneously contained calcitonin gene-related peptide (CGRP; 80.9%) or substance P (SP; 77.9%); one-third of them showed immunoreactivity toward neuronal nitric oxide synthase (nNOS; 34%), while PNX+ UC-SNs containing pituitary adenylate cyclase-activating polypeptide (PACAP), galanin (GAL), calretinin (CRT), or somatostatin (SOM) formed significantly smaller populations (21.4%, 7.4%, 3.1%, and 0.7%, respectively). The results of the present study demonstrate the presence of PNX in DRG UC-SNs, and its co-occurrence with numerous neurotransmitters suggesting a putative role for this neuropeptide in the transmission of various types of sensory information and possible effects on the functioning of this organ in the body. Full article
Show Figures

Figure 1

16 pages, 15431 KB  
Article
Investigation of Signal Transmission Dynamics in Rulkov Neuronal Networks with Q-Learned Pathways
by Mio Kobayashi
Entropy 2025, 27(8), 884; https://doi.org/10.3390/e27080884 - 21 Aug 2025
Viewed by 868
Abstract
The dynamics of signal transmission in neuronal networks remain incompletely understood. In this study, we propose a novel Rulkov neuronal network model that incorporates Q-learning, a reinforcement learning method, to establish efficient signal transmission pathways. Using a simulated neuronal network, we focused on [...] Read more.
The dynamics of signal transmission in neuronal networks remain incompletely understood. In this study, we propose a novel Rulkov neuronal network model that incorporates Q-learning, a reinforcement learning method, to establish efficient signal transmission pathways. Using a simulated neuronal network, we focused on a key parameter that modulates both the intrinsic dynamics of individual neurons and the input signals received from active neighbors. We investigated how variations in this parameter affect signal transmission efficiency by analyzing changes in attenuation rate, as well as the maximum and minimum firing intervals of the start and goal neurons. Our simulations revealed that signal transmission efficiency between distant neurons was significantly impaired in the parameter region, where a chaotic attractor and an attractor of the eight-periodic points are observed to co-exist. A key finding was that low-frequency oscillatory bursts, while failing long-distance transmission, were capable of amplifying signals in neighboring neurons. Furthermore, we observed variation in signal transmission even when individual neuron dynamics remained similar. This variability, despite similar presynaptic activity, is a biologically significant phenomenon, and it is argued that it may contribute to the flexibility and robustness of information processing. These findings are discussed in the context of their biological implications. Full article
(This article belongs to the Section Complexity)
Show Figures

Figure 1

32 pages, 18359 KB  
Article
A Fractional-Order Memristive Hopfield Neural Network and Its Application in Medical Image Encryption
by Hua Sun, Lin Liu, Jie Jin and Hairong Lin
Mathematics 2025, 13(16), 2571; https://doi.org/10.3390/math13162571 - 12 Aug 2025
Cited by 1 | Viewed by 840
Abstract
With the rapid development of internet technologies, enhancing security protection for patient information during its transmission has become increasingly important. Compared with traditional image encryption methods, chaotic image encryption schemes leveraging sensitivity to initial conditions and pseudo-randomness demonstrate superior suitability for high-security-demand scenarios [...] Read more.
With the rapid development of internet technologies, enhancing security protection for patient information during its transmission has become increasingly important. Compared with traditional image encryption methods, chaotic image encryption schemes leveraging sensitivity to initial conditions and pseudo-randomness demonstrate superior suitability for high-security-demand scenarios like medical image encryption. In this paper, a novel 3D fractional-order memristive Hopfield neural network (FMHNN) chaotic model with a minimum number of neurons is proposed and applied in medical image encryption. The chaotic characteristics of the proposed FMHNN model are systematically verified through various dynamical analysis methods. The parameter-dependent dynamical behaviors of the proposed FMHNN model are further investigated using Lyapunov exponent spectra, bifurcation diagrams, and spectral entropy analysis. Furthermore, the chaotic behaviors of the proposed FMHNN model are successfully implemented on FPGA hardware, with oscilloscope observations showing excellent agreement with numerical simulations. Finally, a medical image encryption scheme based on the proposed FMHNN model is designed, and comprehensive security analyses are conducted to validate its security for medical image encryption. The analytical results demonstrate that the designed encryption scheme based on the FMHNN model achieves high-level security performance, making it particularly suitable for protecting sensitive medical image transmission. Full article
(This article belongs to the Special Issue New Advances in Nonlinear Dynamics Theory and Applications)
Show Figures

Figure 1

20 pages, 1301 KB  
Review
The Involvement of the Endocannabinoid, Glutamatergic, and GABAergic Systems in PTSD
by Anna Dorota Grzesińska
Int. J. Mol. Sci. 2025, 26(13), 5929; https://doi.org/10.3390/ijms26135929 - 20 Jun 2025
Cited by 4 | Viewed by 3267
Abstract
Post-traumatic stress disorder (PTSD) is a debilitating mental health condition that develops in response to traumatic events. The endocannabinoid, glutamatergic, and GABAergic systems play crucial roles in the neurobiological mechanisms of PTSD. Both the endocannabinoid, glutamatergic, and GABAergic systems are involved in synaptic [...] Read more.
Post-traumatic stress disorder (PTSD) is a debilitating mental health condition that develops in response to traumatic events. The endocannabinoid, glutamatergic, and GABAergic systems play crucial roles in the neurobiological mechanisms of PTSD. Both the endocannabinoid, glutamatergic, and GABAergic systems are involved in synaptic remodeling and neuronal differentiation, ensuring efficient information transmission in the brain. Their interplay influences motivation, behavior, sensory perception, pain regulation, and visual processing. Additionally, these systems regulate processes such as cellular proliferation, adhesion, apoptosis, and immune responses. This article explores the involvement of the endocannabinoid, glutamatergic, and GABAergic systems in PTSD pathogenesis. A literature review was conducted on studies examining the relationship between the endocannabinoid, glutamatergic, and GABAergic systems in PTSD. Relevant publications were sourced from the Web of Science and Scopus databases, covering research up to 29 February 2025. Neurobiological mechanisms underlying PTSD may share common pathways with other mental and somatic disorders, particularly those involving inflammatory processes. The identification of biomarkers is crucial for assessing PTSD risk and implementing targeted interventions to improve patient outcomes. A deeper understanding of these mechanisms could enhance therapeutic strategies, ultimately improving the quality of life for individuals affected by PTSD. Full article
(This article belongs to the Section Molecular Genetics and Genomics)
Show Figures

Figure 1

18 pages, 6303 KB  
Article
Formation of Neurointerfaces Based on Electrically Conductive Biopolymers by Two-Photon Polymerization Method
by Mikhail S. Savelyev, Artem V. Kuksin, Denis T. Murashko, Ekaterina P. Otsupko, Victoria V. Suchkova, Kristina D. Popovich, Pavel N. Vasilevsky, Yulia O. Vasilevskaya, Ulyana E. Kurilova, Elena M. Eganova, Polina A. Edelbekova, Sergey V. Selishchev, Alexander A. Pavlov and Alexander Yu. Gerasimenko
Polymers 2025, 17(10), 1300; https://doi.org/10.3390/polym17101300 - 9 May 2025
Cited by 2 | Viewed by 1122
Abstract
Preventing false signals of phantom pain after limb amputation is crucial. The development of neurointerfaces capable of bidirectional information exchange between the brain and external devices, along with long-term use, is a key research priority. The main problem with existing devices lies in [...] Read more.
Preventing false signals of phantom pain after limb amputation is crucial. The development of neurointerfaces capable of bidirectional information exchange between the brain and external devices, along with long-term use, is a key research priority. The main problem with existing devices lies in the potential formation of scar tissue and the death of adjacent neurons. To address this issue, a polymer composite based on new composition: chitosan, bovine serum albumin, single-walled carbon nanotubes, and Eosin Y, which was created for the fabrication of a neurointerface. A polymer composite of the required shape was formed by two-photon polymerization. In studying its nonlinear optical properties, the new effect of phase self-modulation was discovered, which is observed after exposure to laser radiation prior to the formation of the composite. The time of appearance of diffraction rings was measured. This allowed optimization of laser parameters—scanner speed and intensity. The resulting homogeneous composite exhibited a specific conductivity of 20 mS × cm−1, sufficient for electrophysiological signal transmission. Full article
Show Figures

Figure 1

8 pages, 1287 KB  
Proceeding Paper
Modeling Electrical Potential in Multi-Dendritic Neurons Using Bessel Functions
by Kaouther Selmi, Souhaila Khalfallah and Kais Bouallegue
Med. Sci. Forum 2024, 28(1), 2; https://doi.org/10.3390/msf2024028002 - 20 Mar 2025
Cited by 1 | Viewed by 823
Abstract
Understanding the distribution of electrical potential within neurons is critical for advancing our comprehension of neuronal signaling and communication. Neurons, the fundamental units of the nervous system, rely on complex electrochemical processes to transmit information. The intricate structure of neurons, especially those with [...] Read more.
Understanding the distribution of electrical potential within neurons is critical for advancing our comprehension of neuronal signaling and communication. Neurons, the fundamental units of the nervous system, rely on complex electrochemical processes to transmit information. The intricate structure of neurons, especially those with multiple dendrites, plays a crucial role in how these electrical signals are generated, propagated, and integrated. Despite significant progress in neuroscience, accurately modeling the electrical potential within neurons with elaborate dendritic architectures remains a challenge. This article introduces a novel approach to modeling the electrical potential in multi-dendritic neurons using Bessel functions, which offers a more precise and detailed representation of these processes. The proposed method involves solving the electric potential diffusion equation in cylindrical coordinates, a mathematical framework that naturally aligns with the geometry of dendrites. The radial and axial components of the solution are expressed using Bessel functions and sinusoidal functions, respectively. Bessel functions are particularly well-suited for this purpose due to their ability to describe waveforms in cylindrical systems, making them ideal for capturing the spatial variations in electrical potential within the cylindrical shape of dendrites. By leveraging this mathematical approach, we obtain a complete representation of the potential distribution across the neuron, from the soma (cell body) through the dendrites to the synaptic terminals. This model accurately captures the spatial variations of electrical potential in different regions of the neuron, including areas with complex dendritic arborizations, which are branching structures that significantly influence the neuron’s electrical characteristics. Simulation results underscore the effectiveness of this approach in reproducing realistic neuronal behavior. The model successfully mimics the way electrical signals propagate and interact within dendritic structures, providing crucial insights into the underlying mechanisms of signal integration and transmission in neurons. Full article
(This article belongs to the Proceedings of The 2nd International Electronic Conference on Clinical Medicine)
Show Figures

Figure 1

16 pages, 3861 KB  
Article
Wearable Wireless Functional Near-Infrared Spectroscopy System for Cognitive Activity Monitoring
by Mauro Victorio, James Dieffenderfer, Tanner Songkakul, Josh Willeke, Alper Bozkurt and Vladimir A. Pozdin
Biosensors 2025, 15(2), 92; https://doi.org/10.3390/bios15020092 - 6 Feb 2025
Viewed by 5676
Abstract
From learning environments to battlefields to marketing teams, the desire to measure cognition and cognitive fatigue in real time has been a grand challenge in optimizing human performance. Near-infrared spectroscopy (NIRS) is an effective optical technique for measuring changes in subdermal hemodynamics, and [...] Read more.
From learning environments to battlefields to marketing teams, the desire to measure cognition and cognitive fatigue in real time has been a grand challenge in optimizing human performance. Near-infrared spectroscopy (NIRS) is an effective optical technique for measuring changes in subdermal hemodynamics, and it has been championed as a more practical method for monitoring brain function compared to MRI. This study reports on an innovative functional NIRS (fNIRS) sensor that integrates the entire system into a compact and wearable device, enabling long-term monitoring of patients. The device provides unrestricted mobility to the user with a Bluetooth connection for settings configuration and data transmission. A connected device, such as a smartphone or laptop equipped with the appropriate interface software, collects raw data, then stores and generates real-time analyses. Tests confirm the sensor is sensitive to oxy- and deoxy-hemoglobin changes on the forehead region, which indicate neuronal activity and provide information for brain activity monitoring studies. Full article
Show Figures

Figure 1

20 pages, 3608 KB  
Article
Utilization of Artificial Intelligence Coupled with a High-Throughput, High-Content Platform in the Exploration of Neurodevelopmental Toxicity of Individual and Combined PFAS
by Seth D. Currie, David Blake Benson, Zhong-Ru Xie, Jia-Sheng Wang and Lili Tang
J. Xenobiot. 2025, 15(1), 24; https://doi.org/10.3390/jox15010024 - 2 Feb 2025
Cited by 7 | Viewed by 2486
Abstract
Per- and polyfluoroalkyl substances (PFAS) are synthetic chemicals used in various products, such as firefighting foams and non-stick cookware, due to their resistance to heat and degradation. However, these same properties make them persistent in the environment and human body, raising public health [...] Read more.
Per- and polyfluoroalkyl substances (PFAS) are synthetic chemicals used in various products, such as firefighting foams and non-stick cookware, due to their resistance to heat and degradation. However, these same properties make them persistent in the environment and human body, raising public health concerns. This study selected eleven PFAS commonly found in drinking water and exposed Caenorhabditis elegans to concentrations ranging from 0.1 to 200 µM to assess neurodevelopmental toxicity using a high-throughput, high-content screening (HTS) platform coupled with artificial intelligence for image analysis. Our findings showed that PFAS such as 6:2 FTS, HFPO-DA, PFBA, PFBS, PFHxA, and PFOS inhibited dopaminergic neuron activity, with fluorescence intensity reductions observed across concentrations from 0.1 to 100 µM. PFOS and PFBS also disrupted synaptic transmission, causing reduced motility and increased paralysis in aldicarb-induced assays, with the most pronounced effects at higher concentrations. These impairments in both neuron activity and synaptic function led to behavioral deficits. Notably, PFOS was one of the most toxic PFAS, affecting multiple neurodevelopmental endpoints. These results emphasize the developmental risks of PFAS exposure, highlighting the impact of both individual compounds and mixtures on neurodevelopment. This knowledge is essential for assessing PFAS-related health risks and informing mitigation strategies. Full article
Show Figures

Figure 1

23 pages, 512 KB  
Review
Anesthetic- and Analgesic-Related Drugs Modulating Both Voltage-Gated Na+ and TRP Channels
by Eiichi Kumamoto
Biomolecules 2024, 14(12), 1619; https://doi.org/10.3390/biom14121619 - 18 Dec 2024
Cited by 2 | Viewed by 3858
Abstract
Nociceptive information is transmitted by action potentials (APs) through primary afferent neurons from the periphery to the central nervous system. Voltage-gated Na+ channels are involved in this AP production, while transient receptor potential (TRP) channels, which are non-selective cation channels, are involved [...] Read more.
Nociceptive information is transmitted by action potentials (APs) through primary afferent neurons from the periphery to the central nervous system. Voltage-gated Na+ channels are involved in this AP production, while transient receptor potential (TRP) channels, which are non-selective cation channels, are involved in receiving and transmitting nociceptive stimuli in the peripheral and central terminals of the primary afferent neurons. Peripheral terminal TRP vanilloid-1 (TRPV1), ankylin-1 (TRPA1) and melastatin-8 (TRPM8) activation produces APs, while central terminal TRP activation enhances the spontaneous release of L-glutamate from the terminal to spinal cord and brain stem lamina II neurons that play a pivotal role in modulating nociceptive transmission. There is much evidence demonstrating that chemical compounds involved in Na+ channel (or nerve AP conduction) inhibition modify TRP channel functions. Among these compounds are local anesthetics, anti-epileptics, α2-adrenoceptor agonists, antidepressants (all of which are used as analgesic adjuvants), general anesthetics, opioids, non-steroidal anti-inflammatory drugs and plant-derived compounds, many of which are involved in antinociception. This review mentions the modulation of Na+ channels and TRP channels including TRPV1, TRPA1 and TRPM8, both of which modulations are produced by pain-related compounds. Full article
15 pages, 1300 KB  
Review
Endoplasmic Reticulum Calcium Signaling in Hippocampal Neurons
by Vyacheslav M. Shkryl
Biomolecules 2024, 14(12), 1617; https://doi.org/10.3390/biom14121617 - 18 Dec 2024
Cited by 3 | Viewed by 2899
Abstract
The endoplasmic reticulum (ER) is a key organelle in cellular homeostasis, regulating calcium levels and coordinating protein synthesis and folding. In neurons, the ER forms interconnected sheets and tubules that facilitate the propagation of calcium-based signals. Calcium plays a central role in the [...] Read more.
The endoplasmic reticulum (ER) is a key organelle in cellular homeostasis, regulating calcium levels and coordinating protein synthesis and folding. In neurons, the ER forms interconnected sheets and tubules that facilitate the propagation of calcium-based signals. Calcium plays a central role in the modulation and regulation of numerous functions in excitable cells. It is a versatile signaling molecule that influences neurotransmitter release, muscle contraction, gene expression, and cell survival. This review focuses on the intricate dynamics of calcium signaling in hippocampal neurons, with particular emphasis on the activation of voltage-gated and ionotropic glutamate receptors in the plasma membrane and ryanodine and inositol 1,4,5-trisphosphate receptors in the ER. These channels and receptors are involved in the generation and transmission of electrical signals and the modulation of calcium concentrations within the neuronal network. By analyzing calcium fluctuations in neurons and the associated calcium handling mechanisms at the ER, mitochondria, endo-lysosome and cytosol, we can gain a deeper understanding of the mechanistic pathways underlying neuronal interactions and information transfer. Full article
Show Figures

Figure 1

21 pages, 9357 KB  
Article
Ensuring Driving and Road Safety of Autonomous Vehicles Using a Control Optimiser Interaction Framework Through Smart “Thing” Information Sensing and Actuation
by Ahmed Almutairi, Abdullah Faiz Al Asmari, Tariq Alqubaysi, Fayez Alanazi and Ammar Armghan
Machines 2024, 12(11), 798; https://doi.org/10.3390/machines12110798 - 11 Nov 2024
Cited by 5 | Viewed by 2202
Abstract
Road safety through point-to-point interaction autonomous vehicles (AVs) assimilate different communication technologies for reliable and persistent information sharing. Vehicle interaction resilience and consistency require novel sharing knowledge for retaining driving and pedestrian safety. This article proposes a control optimiser interaction framework (COIF) for [...] Read more.
Road safety through point-to-point interaction autonomous vehicles (AVs) assimilate different communication technologies for reliable and persistent information sharing. Vehicle interaction resilience and consistency require novel sharing knowledge for retaining driving and pedestrian safety. This article proposes a control optimiser interaction framework (COIF) for organising information transmission between the AV and interacting “Thing”. The framework relies on the neuro-batch learning algorithm to improve the consistency measure’s adaptability with the interacting “Things”. In the information-sharing process, the maximum extraction and utilisation are computed to track the AV with precise environmental knowledge. The interactions are batched with the type of traffic information obtained, such as population, accidents, objects, hindrances, etc. Throughout travel, the vehicle’s learning rate and the surrounding environment’s familiarity with it are classified. The learning neurons are connected to the information actuated and sensed by the AV to identify any unsafe vehicle activity in unknown or unidentified scenarios. Based on the risk and driving parameters, the safe and unsafe activity of the vehicles is categorised with a precise learning rate. Therefore, minor changes in vehicular decisions are monitored, and driving control is optimised accordingly to retain 7.93% of navigation assistance through a 9.76% high learning rate for different intervals. Full article
(This article belongs to the Special Issue Safety and Security of AI in Autonomous Driving)
Show Figures

Figure 1

19 pages, 6656 KB  
Article
Dynamic Analysis and FPGA Implementation of Fractional-Order Hopfield Networks with Memristive Synapse
by Andrés Anzo-Hernández, Ernesto Zambrano-Serrano, Miguel Angel Platas-Garza and Christos Volos
Fractal Fract. 2024, 8(11), 628; https://doi.org/10.3390/fractalfract8110628 - 24 Oct 2024
Cited by 8 | Viewed by 1814
Abstract
Memristors have become important components in artificial synapses due to their ability to emulate the information transmission and memory functions of biological synapses. Unlike their biological counterparts, which adjust synaptic weights, memristor-based artificial synapses operate by altering conductance or resistance, making them useful [...] Read more.
Memristors have become important components in artificial synapses due to their ability to emulate the information transmission and memory functions of biological synapses. Unlike their biological counterparts, which adjust synaptic weights, memristor-based artificial synapses operate by altering conductance or resistance, making them useful for enhancing the processing capacity and storage capabilities of neural networks. When integrated into systems like Hopfield neural networks, memristors enable the study of complex dynamic behaviors, such as chaos and multistability. Moreover, fractional calculus is significant for their ability to model memory effects, enabling more accurate simulations of complex systems. Fractional-order Hopfield networks, in particular, exhibit chaotic and multistable behaviors not found in integer-order models. By combining memristors with fractional-order Hopfield neural networks, these systems offer the possibility of investigating different dynamic phenomena in artificial neural networks. This study investigates the dynamical behavior of a fractional-order Hopfield neural network (HNN) incorporating a memristor with a piecewise segment function in one of its synapses, highlighting the impact of fractional-order derivatives and memristive synapses on the stability, robustness, and dynamic complexity of the system. Using a network of four neurons as a case study, it is demonstrated that the memristive fractional-order HNN exhibits multistability, coexisting chaotic attractors, and coexisting limit cycles. Through spectral entropy analysis, the regions in the initial condition space that display varying degrees of complexity are mapped, highlighting those areas where the chaotic series approach a pseudo-random sequence of numbers. Finally, the proposed fractional-order memristive HNN is implemented on a Field-Programmable Gate Array (FPGA), demonstrating the feasibility of real-time hardware realization. Full article
Show Figures

Figure 1

13 pages, 2124 KB  
Article
Electrophysiological and Behavioral Markers of Hyperdopaminergia in DAT-KO Rats
by Zoia Fesenko, Maria Ptukha, Marcelo M. da Silva, Raquel S. Marques de Carvalho, Vassiliy Tsytsarev, Raul R. Gainetdinov, Jean Faber and Anna B. Volnova
Biomedicines 2024, 12(9), 2114; https://doi.org/10.3390/biomedicines12092114 - 17 Sep 2024
Cited by 6 | Viewed by 2230
Abstract
Background/Objectives: Dopamine dysfunction (DA) is a hallmark of many neurological disorders. In this case, the mechanism of changes in dopamine transmission on behavior remains unclear. This study is a look into the intricate link between disrupted DA signaling, neuronal activity patterns, and behavioral [...] Read more.
Background/Objectives: Dopamine dysfunction (DA) is a hallmark of many neurological disorders. In this case, the mechanism of changes in dopamine transmission on behavior remains unclear. This study is a look into the intricate link between disrupted DA signaling, neuronal activity patterns, and behavioral abnormalities in a hyperdopaminergic animal model. Methods: To study the relationship between altered DA levels, neuronal activity, and behavioral deficits, local field potentials (LFPs) were recorded during four different behaviors in dopamine transporter knockout rats (DAT-KO). At the same time, local field potentials were recorded in the striatum and prefrontal cortex. Correlates of LFP and accompanying behavioral patterns in genetically modified (DAT-KO) and control animals were studied. Results: DAT-KO rats exhibited desynchronization between LFPs of the striatum and prefrontal cortex, particularly during exploratory behavior. A suppressive effect of high dopamine levels on the striatum was also observed. Wild-type rats showed greater variability in LFP patterns across certain behaviors, while DAT-KO rats showed more uniform patterns. Conclusions: The decisive role of the synchrony of STR and PFC neurons in the organization of motor acts has been revealed. The greater variability of control animals in certain forms of behavior probably suggests greater adaptability. More uniform patterns in DAT-KO rats, indicating a loss of striatal flexibility when adapting to specific motor tasks. It is likely that hyperdopaminergy in the DAT-KO rat reduces the efficiency of information processing due to less synchronized activity during active behavior. Full article
Show Figures

Figure 1

12 pages, 517 KB  
Review
Recent Advances in the Study of Alphaherpesvirus Latency and Reactivation: Novel Guidance for the Design of Herpesvirus Live Vector Vaccines
by Shinuo Cao, Mo Zhou, Shengwei Ji, Dongxue Ma and Shanyuan Zhu
Pathogens 2024, 13(9), 779; https://doi.org/10.3390/pathogens13090779 - 10 Sep 2024
Cited by 4 | Viewed by 5026
Abstract
Alphaherpesviruses, including herpes simplex virus type 1 (HSV-1), herpes simplex virus type 2 (HSV-2), and varicella-zoster virus (VZV), infect a diverse array of hosts, spanning both humans and animals. Alphaherpesviruses have developed a well-adapted relationship with their hosts through long-term evolution. Some alphaherpesviruses [...] Read more.
Alphaherpesviruses, including herpes simplex virus type 1 (HSV-1), herpes simplex virus type 2 (HSV-2), and varicella-zoster virus (VZV), infect a diverse array of hosts, spanning both humans and animals. Alphaherpesviruses have developed a well-adapted relationship with their hosts through long-term evolution. Some alphaherpesviruses exhibit a typical neurotropic characteristic, which has garnered widespread attention and in-depth research. Virus latency involves the retention of viral genomes without producing infectious viruses. However, under stress, this can be reversed, resulting in lytic infection. Such reactivation events can lead to recurrent infections, manifesting as diseases like herpes labialis, genital herpes, and herpes zoster. Reactivation is a complex process influenced by both viral and host factors, and identifying how latency and reactivation work is vital to developing new antiviral therapies. Recent research highlights a complex interaction among the virus, neurons, and the immune system in regulating alphaherpesvirus latency and reactivation. Neurotropic alphaherpesviruses can breach host barriers to infect neurons, proliferate extensively within their cell bodies, and establish latent infections or spread further. Whether infecting neurons or spreading further, the virus undergoes transmission along axons or dendrites, making this process an indispensable part of the viral life cycle and a critical factor influencing the virus’s invasion of the nervous system. Research on the transmission process of neurotropic alphaherpesviruses within neurons can not only deepen our understanding of the virus but can also facilitate the targeted development of corresponding vaccines. This review concentrates on the relationship between the transmission, latency, and activation of alphaherpesviruses within neurons, summarizes recent advancements in the field, and discusses how these findings can inform the design of live virus vaccines for alphaherpesviruses. Full article
(This article belongs to the Special Issue Herpesvirus Latency and Reactivation)
Show Figures

Figure 1

Back to TopTop