Liver Disease in Common Variable Immunodeficiency: Current Evidence and Knowledge Gaps
Abstract
1. Overview of Common Variable Immunodeficiency
2. Liver Disease in CVID
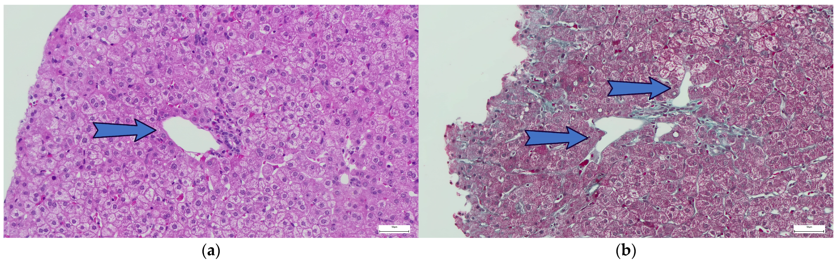
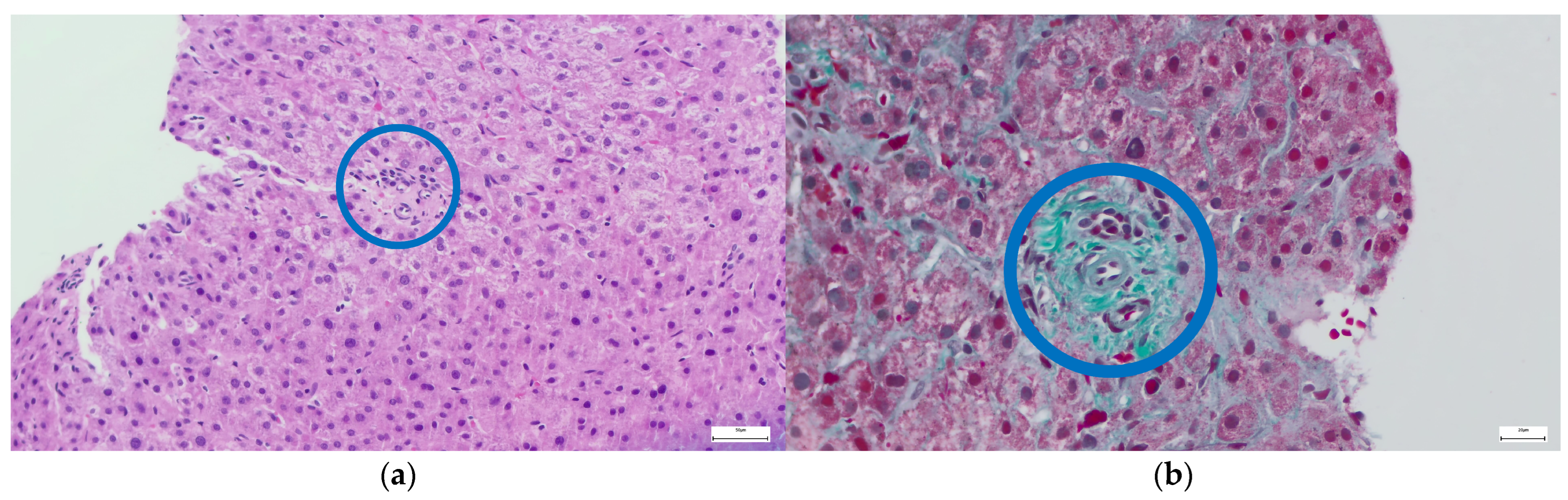
2.1. Clinical Spectrum and Histopathological Features
| Liver Manifestation | Histological and Clinical Features |
|---|---|
| PSVD (dominant liver pathology) [20,21,22,23,24,25,26,27,28,30,31,32] | Specific histological signs:
|
| Granulomatous liver disease (granulomatous disease in CVID ranges from 8–22%, with liver involvement occuring in a subset of these patients) [33,34,35] | Histological features:
|
| Autoimmune hepatitis (AIH) [6,36,37] | Histological features:
|
| Cryptogenic cirrhosis [6,38] | Histological features:
|
- Absence of cirrhosis: liver architecture is preserved without the broad fibrous septa and nodular transformation characteristic of cirrhosis.
- Presence of specific portal vascular lesions, which may include:
- -
- OPV: partial or complete loss of portal vein branches, often with replacement by small, thin-walled vessels or fibrous tissue.
- -
- NRH: diffuse transformation of hepatic parenchyma into small regenerative nodules without significant fibrosis. This is a hallmark lesion in CVID-related PSVD and is frequently observed in liver biopsies from affected patients.
- -
- Incomplete septal fibrosis/cirrhosis: thin, incomplete fibrous septa that do not form true cirrhotic nodules.
- Additional suggestive features (not required but supportive):
- -
- Herniated portal veins into the periportal parenchyma.
- -
- Hypervascularized portal tracts or abnormal periportal vessels.
- -
- Sinusoidal dilatation, especially in the absence of congestion.
- -
- Regenerative hepatocyte changes.
- liver biopsy sample (of at least 20 mm) without cirrhosis and one specific sign for PH or one histological lesion specific for PSVD; or
- liver biopsy sample (of at least 20 mm) without cirrhosis and both one sign not specific for PH and one histological lesion not specific for PSVD [27].
2.2. Pathogenetic Mechanisms of PSVD in CVID
2.3. The Genetic Landscape of PSVD
2.4. Assessment of Liver Disease Associated with CVID
2.4.1. Laboratory Parameter Evaluation
2.4.2. Imaging Assessment
2.4.3. The Hepatic Venous Pressure Gradient
2.4.4. Liver Biopsy
2.5. Treatment of CVID and PSVD
3. Future Directions
4. Conclusions
Author Contributions
Funding
Institutional Review Board Statement
Informed Consent Statement
Data Availability Statement
Conflicts of Interest
References
- Chapel, H.; Lucas, M.; Lee, M.; Bjorkander, J.; Webster, D.; Grimbacher, B.; Fieschi, C.; Thon, V.; Abedi, M.R.; Hammarstrom, L. Common variable immunodeficiency disorders: Division into distinct clinical phenotypes. Blood 2008, 112, 277–286. [Google Scholar] [CrossRef]
- Poli, M.C.; Aksentijevich, I.; Bousfiha, A.A.; Cunningham-Rundles, C.; Hambleton, S.; Klein, C.; Morio, T.; Picard, C.; Puel, A.; Rezaei, N.; et al. Human inborn errors of immunity: 2024 update on the classification from the International Union of Immunological Societies Expert Committee. J. Hum. Immun. 2025, 1, e20250003. [Google Scholar] [CrossRef]
- Janssen, L.M.A.; van der Flier, M.; de Vries, E. Lessons Learned From the Clinical Presentation of Common Variable Immunodeficiency Disorders: A Systematic Review and Meta-Analysis. Front. Immunol. 2021, 12, 620709. [Google Scholar] [CrossRef]
- Weifenbach, N.; Schneckenburger, A.A.C.; Lötters, S. Global Distribution of Common Variable Immunodeficiency (CVID) in the Light of the UNDP Human Development Index (HDI): A Preliminary Perspective of a Rare Disease. J. Immunol. Res. 2020, 2020, 8416124. [Google Scholar] [CrossRef] [PubMed]
- Resnick, E.S.; Moshier, E.L.; Godbold, J.H.; Cunningham-Rundles, C. Morbidity and mortality in common variable immune deficiency over 4 decades. Blood 2012, 119, 1650–1657. [Google Scholar] [CrossRef] [PubMed]
- Graziano, V.; Pecoraro, A.; Mormile, I.; Quaremba, G.; Genovese, A.; Buccelli, C.; Paternoster, M.; Spadaro, G. Delay in diagnosis affects the clinical outcome in a cohort of cvid patients with marked reduction of iga serum levels. Clin. Immunol. 2017, 180, 1–4. [Google Scholar] [CrossRef] [PubMed]
- Odnoletkova, I.; Kindle, G.; Quinti, I.; Grimbacher, B.; Knerr, V.; Gathmann, B.; Ehl, S.; Mahlaoui, N.; Van Wilder, P.; Bogaerts, K.; et al. The burden of common variable immunodeficiency disorders: A retrospective analysis of the European Society for Immunodeficiency (ESID) registry data. Orphanet J. Rare Dis. 2018, 13, 201. [Google Scholar] [CrossRef]
- Gilbert, K.M.; LeCates, R.F.; Galbraith, A.A.; Maglione, P.J.; Argetsinger, S.; Rider, N.L.; Farmer, J.R.; Ong, M.S. Diagnostic disparities in inborn errors of immunity: From clinical suspicion to diagnosis. J. Allergy Clin. Immunol. Glob. 2025, 4, 100407. [Google Scholar] [CrossRef]
- Gathmann, B.; Mahlaoui, N.; Gérard, L.; Oksenhendler, E.; Warnatz, K.; Schulze, I.; Kindle, G.; Kuijpers, T.W.; van Beem, R.T.; Guzman, D.; et al. Clinical picture and treatment of 2212 patients with common variable immunodeficiency. J. Allergy Clin. Immunol. 2014, 134, 116–126. [Google Scholar] [CrossRef]
- Seidel, M.G.; Kindle, G.; Gathmann, B.; Quinti, I.; Buckland, M.; van Montfrans, J.; Scheible, R.; Rusch, S.; Gasteiger, L.M.; Grimbacher, B.; et al. The European Society for Immunodeficiencies (ESID) Registry Working Definitions for the Clinical Diagnosis of Inborn Errors of Immunity. J. Allergy Clin. Immunol. Pract. 2019, 7, 1763–1770. [Google Scholar] [CrossRef]
- Bonilla, F.A.; Barlan, I.; Chapel, H.; Costa-Carvalho, B.T.; Cunningham-Rundles, C.; de la Morena, M.T.; Espinosa-Rosales, F.J.; Hammarström, L.; Nonoyama, S.; Quinti, I.; et al. International Consensus Document (ICON): Common Variable Immunodeficiency Disorders. J. Allergy Clin. Immunol. Pract. 2016, 4, 38–59. [Google Scholar] [CrossRef]
- Bousfiha, A.; Moundir, A.; Tangye, S.G.; Picard, C.; Jeddane, L.; Al-Herz, W.; Rundles, C.C.; Franco, J.L.; Holland, S.M.; Klein, C.; et al. The 2022 Update of IUIS Phenotypical Classification for Human Inborn Errors of Immunity. J. Clin. Immunol. 2022, 42, 1508–1520. [Google Scholar] [CrossRef]
- Peng, X.P.; Caballero-Oteyza, A.; Grimbacher, B. Common Variable Immunodeficiency: More Pathways than Roads to Rome. Annu. Rev. Pathol. 2023, 18, 283–310. [Google Scholar] [CrossRef] [PubMed]
- Yazdani, R.; Habibi, S.; Sharifi, L.; Azizi, G.; Abolhassani, H.; Olbrich, P.; Aghamohammadi, A. Common Variable Immunodeficiency: Epidemiology, Pathogenesis, Clinical Manifestations, Diagnosis, Classification, and Management. J. Investig. Allergol. Clin. Immunol. 2020, 30, 14–34. [Google Scholar] [CrossRef]
- Fernando, S.L.; Jang, H.S.; Li, J. The Immune Dysregulation of Common Variable Immunodeficiency Disorders. Immunol. Lett. 2021, 230, 21–26. [Google Scholar] [CrossRef] [PubMed]
- Andersen, I.M.; Jørgensen, S.F. Gut inflammation in CVID: Causes and consequences. Expert Rev. Clin. Immunol. 2022, 18, 31–45. [Google Scholar] [CrossRef] [PubMed]
- Norkin, M.; Shaw, B.E.; Brazauskas, R.; Tecca, H.R.; Leather, H.L.; Gea-Banacloche, J.; Kamble, R.T.; DeFilipp, Z.; Jacobsohn, D.A.; Ringden, O.; et al. Characteristics of Late Fatal Infections after Allogeneic Hematopoietic Cell Transplantation. Biol. Blood Marrow Transplant. 2019, 25, 362–368. [Google Scholar] [CrossRef]
- Globig, A.M.; Strohmeier, V.; Surabattula, R.; Leeming, D.J.; Karsdal, M.A.; Heeg, M.; Kindle, G.; Goldacker, S.; von Spee-Mayer, C.; Proietti, M.; et al. Evaluation of Laboratory and Sonographic Parameters for Detection of Portal Hypertension in Patients with Common Variable Immunodeficiency. J. Clin. Immunol. 2022, 42, 1626–1637. [Google Scholar] [CrossRef]
- Magaz, M.; Giudicelli-Lett, H.; Abraldes, J.G.; Nicoară-Farcău, O.; Turon, F.; Rajoriya, N.; Goel, A.; Raymenants, K.; Hillaire, S.; Téllez, L.; et al. Porto-sinusoidal vascular liver disorder with portal hypertension: Natural history and long-term outcome. J. Hepatol. 2025, 82, 72–83. [Google Scholar] [CrossRef]
- Baumert, L.S.; Shih, A.; Chung, R.T. Management of liver disease and portal hypertension in common variable immunodeficiency (CVID). JHEP Rep. 2023, 5, 100882. [Google Scholar] [CrossRef]
- Pecoraro, A.; Crescenzi, L.; Varricchi, G.; Marone, G.; Spadaro, G. Heterogeneity of Liver Disease in Common Variable Immunodeficiency Disorders. Front. Immunol. 2020, 11, 338. [Google Scholar] [CrossRef]
- Bez, P.; Warnatz, K. Liver disease in primary antibody deficiencies. Curr. Opin Allergy Clin. Immunol. 2024, 24, 434–439. [Google Scholar] [CrossRef]
- Lima, F.M.S.; Toledo-Barros, M.; Alves, V.A.F.; Duarte, M.I.S.; Takakura, C.; Bernardes-Silva, C.F.; Marinho, A.K.B.B.; Grecco, O.; Kalil, J.; Kokron, C.M. Liver disease accompanied by enteropathy in common variable immunodeficiency: Common pathophysiological mechanisms. Front. Immunol. 2022, 13, 933463. [Google Scholar] [CrossRef]
- Crescenzi, L.; Pecoraro, A.; Fiorentino, A.; Poto, R.; Varricchi, G.; Rispo, A.; Morisco, F.; Spadaro, G. Liver stiffness assessment by transient elastography suggests high prevalence of liver involvement in common variable immunodeficiency. Dig. Liver Dis. 2019, 51, 1599–1603. [Google Scholar] [CrossRef]
- Farmer, J.R.; Ong, M.S.; Barmettler, S.; Yonker, L.M.; Fuleihan, R.; Sullivan, K.E.; Cunningham-Rundles, C.; USIDNET Consortium; Walter, J.E. Common Variable Immunodeficiency Non-Infectious Disease Endotypes Redefined Using Unbiased Network Clustering in Large Electronic Datasets. Front. Immunol. 2018, 8, 1740. [Google Scholar] [CrossRef]
- Sompornrattanaphan, M.; Tongdee, R.; Wongsa, C.; Jitmuang, A.; Thongngarm, T. Fatal liver mass rupture in a common-variable-immunodeficiency patient with probable nodular regenerating hyperplasia. Allergy Asthma Clin. Immunol. 2022, 18, 2. [Google Scholar] [CrossRef]
- De Gottardi, A.; Rautou, P.E.; Schouten, J.; Rubbia-Brandt, L.; Leebeek, F.; Trebicka, J.; Murad, S.D.; Vilgrain, V.; Hernandez-Gea, V.; Nery, F.; et al. Porto-sinusoidal vascular disease: Proposal and description of a novel entity. Lancet Gastroenterol. Hepatol. 2019, 4, 399–411. [Google Scholar] [CrossRef]
- Halliday, N.; Eden, N.; Somers, H.; Burke, N.; Silva, H.; Brito, C.G.; Hall, A.; Quaglia, A.; Burns, S.O.; Lowe, D.M.; et al. Common variable immunodeficiency disorder-related liver disease is common and results in portal hypertension and an increased risk of death. Hepatol. Commun. 2023, 8, e0322. [Google Scholar] [CrossRef] [PubMed]
- Li, Y.; Xu, C.; Lin, N.; Zhao, Y.; Song, J. Nodular regenerative hyperplasia and portal hypertension are the characteristics of liver abnormalities in patients with selective immunoglobulin A deficiency. Clin. Res. Hepatol. Gastroenterol. 2020, 44, e123–e125. [Google Scholar] [CrossRef] [PubMed]
- Guido, M.; Alves, V.A.F.; Balabaud, C.; Bathal, P.S.; Bioulac-Sage, P.; Colombari, R.; Crawford, J.M.; Dhillon, A.P.; Ferrell, L.D.; Gill, R.M.; et al. Histology of portal vascular changes associated with idiopathic non-cirrhotic portal hypertension: Nomenclature and definition. Histopathology 2019, 74, 219–226. [Google Scholar] [CrossRef]
- Fuss, I.J.; Friend, J.; Yang, Z.; He, J.P.; Hooda, L.; Boyer, J.; Xi, L.; Raffeld, M.; Kleiner, D.E.; Heller, T.; et al. Nodular regenerative hyperplasia in common variable immunodeficiency. J. Clin. Immunol. 2013, 33, 748–758. [Google Scholar] [CrossRef]
- Reshamwala, P.A.; Kleiner, D.E.; Heller, T. Nodular regenerative hyperplasia: Not all nodules are created equal. Hepatology 2006, 44, 7–14. [Google Scholar] [CrossRef]
- Park, M.A.; Li, J.T.; Hagan, J.B.; Maddox, D.E.; Abraham, R.S. Common variable immunodeficiency: A new look at an old disease. Lancet 2008, 372, 489–502. [Google Scholar] [CrossRef] [PubMed]
- van Stigt, A.C.; Dik, W.A.; Kamphuis, L.S.J.; Smits, B.M.; van Montfrans, J.M.; van Hagen, P.M.; Dalm, V.A.S.H.; Ijspeert, H. What Works When Treating Granulomatous Disease in Genetically Undefined CVID? A Systematic Review. Front. Immunol. 2020, 11, 606389. [Google Scholar] [CrossRef] [PubMed]
- van Stigt, A.C.; von der Thüsen, J.H.; Mustafa, D.A.M.; Bosch, T.P.P.v.D.; Lila, K.A.; Vadgama, D.; van Hagen, M.; Dalm, V.A.S.H.; Dik, W.A.; Ijspeert, H. Granulomas in Common Variable Immunodeficiency Display Different Histopathological Features Compared to Other Granulomatous Diseases. J. Clin. Immunol. 2024, 45, 22. [Google Scholar] [CrossRef] [PubMed]
- European Association for the Study of the Liver. EASL clinical practice guidelines: Autoimmune hepatitis. J. Hepatol. 2015, 63, 971–1004, Erratum in J. Hepatol. 2015, 63, 1543–1544. [Google Scholar] [CrossRef]
- Daza-Cajigal, V.; Segura-Guerrero, M.; López-Cueto, M.; Robles-Marhuenda, Á.; Camara, C.; Gerra-Galán, T.; Gómez-de-la-Torre, R.; Avendaño-Monje, C.L.; Sánchez-Ramón, S.; Bosque-Lopez, M.J.; et al. Clinical manifestations and approach to the management of patients with common variable immunodeficiency and liver disease. Front. Immunol. 2023, 14, 1197361. [Google Scholar] [CrossRef]
- Ho, H.E.; Cunningham-Rundles, C. Non-infectious Complications of Common Variable Immunodeficiency: Updated Clinical Spectrum, Sequelae, and Insights to Pathogenesis. Front. Immunol. 2020, 11, 149. [Google Scholar] [CrossRef]
- Silva, H.; de Brito, C.G.X.; Hall, A.; Eden, N.; Somers, H.; Burke, N.; Burns, S.O.; Lowe, D.; Thorburn, D.; Halliday, N.; et al. Common variable immunodeficiency disorder (CVID)-related liver disease: Assessment of the main histological aspects using novel semiquantitative scoring systems, image analysis and correlation with clinical parameters of liver stiffness and portal hypertension. J. Clin. Pathol. 2024, 77, 709–716. [Google Scholar] [CrossRef] [PubMed]
- Daniels, J.A.; Torbenson, M.; Vivekanandan, P.; Anders, R.A.; Boitnott, J.K. Hepatitis in common variable immunodeficiency. Hum. Pathol. 2009, 40, 484–488. [Google Scholar] [CrossRef]
- Ameratunga, R.; Ahn, Y.; Tse, D.; Woon, S.T.; Pereira, J.; McCarthy, S.; Blacklock, H. The critical role of histology in distinguishing sarcoidosis from common variable immunodeficiency disorder (CVID) in a patient with hypogammaglobulinemia. Allergy Asthma Clin. Immunol. 2019, 15, 78. [Google Scholar] [CrossRef]
- Marsden, J.W.N.; Laclé, M.M.; Severs, M.; Leavis, H.L. Paucity of gastrointestinal plasma cells in common variable immunodeficiency. Curr. Opin. Allergy Clin. Immunol. 2024, 24, 464–471. [Google Scholar] [CrossRef]
- Zinser, E.; Tan, K.L.; Kim, D.S.; O’Brien, R.; Winstanley, A.; Yong, P.F.K. Differential Diagnosis: Hepatic Complications in Inborn Errors of Immunity. J. Clin. Med. 2023, 12, 7480. [Google Scholar] [CrossRef]
- Szablewski, V.; René, C.; Costes, V. Indolent cytotoxic T cell lymphoproliferation associated with nodular regenerative hyperplasia: A common liver lesion in the context of common variable immunodeficiency disorder. Virchows Arch. 2015, 467, 733–740. [Google Scholar] [CrossRef]
- Hanitsch, L.G.; Steiner, S.; Schumann, M.; Wittke, K.; Kedor, C.; Scheibenbogen, C.; Fischer, A. Portal hypertension in common variable immunodeficiency disorders—A single center analysis on clinical and immunological parameter in 196 patients. Front. Immunol. 2023, 14, 1268207. [Google Scholar] [CrossRef]
- Ciriaci, N.; Bertin, L.; Rautou, P.E. Genetic predisposition to porto-sinusoidal vascular disorder. Hepatology 2024, 83, 409–424. [Google Scholar] [CrossRef]
- Jharap, B.; van Asseldonk, D.P.; de Boer, N.K.H.; Bedossa, P.; Diebold, J.; Jonker, A.M.; Leteurtre, E.; Verheij, J.; Wendum, D.; Wrba, F.; et al. Diagnosing nodular regenerative hyperplasia of the liver is thwarted by low interobserver agreement. PLoS ONE 2015, 10, e0120299. [Google Scholar] [CrossRef] [PubMed]
- Malamut, G.; Ziol, M.; Suarez, F.; Beaugrand, M.; Viallard, J.F.; Lascaux, A.S.; Verkarre, V.; Bechade, D.; Poynard, T.; Hermine, O.; et al. Nodular regenerative hyperplasia: The main liver disease in patients with primary hypogammaglobulinemia and hepatic abnormalities. J. Hepatol. 2008, 48, 74–82. [Google Scholar] [CrossRef] [PubMed]
- Ziol, M.; Poirel, H.; Kountchou, G.N.; Boyer, O.; Mohand, D.; Mouthon, L.; Tepper, M.; Guillet, J.-G.; Guettier, C.; Raphael, M.; et al. Intrasinusoidal cytotoxic CD8+ T cells in nodular regenerative hyperplasia of the liver. Hum. Pathol. 2004, 35, 1241–1251. [Google Scholar] [CrossRef]
- Zhang, X.; Thomas, C.; Schiano, T.D.; Thung, S.N.; Ward, S.C.; Fiel, M.I. Aberrant von Willebrand factor expression of sinusoidal endothelial cells and quiescence of hepatic stellate cells in nodular regenerative hyperplasia and obliterative portal venopathy. Histopathology 2020, 76, 959–967. [Google Scholar] [CrossRef] [PubMed]
- Gioia, S.; Carnevale, R.; Tavano, D.; Overi, D.; Ridola, L.; Nardelli, S.; Merli, M.; D’AMati, G.; Pellicelli, A.; Cardinale, V.; et al. Association between gut-derived endotoxins and porto-sinusoidal vascular disorder with portal hypertension. Aliment. Pharmacol. Ther. 2023, 58, 1205–1216. [Google Scholar] [CrossRef]
- Overi, D.; Pugliese, N.; Carnevale, R.; Nardelli, S.; Tavano, D.; Ridola, L.; Mari, A.; Merli, M.; di Tommaso, L.; Terracciano, L.; et al. Role of Gut-Derived Endotoxins in Porto-Sinusoidal Vascular Disorder: Comparison Between patients with and without portal hypertension. Liver Int. 2025, 45, e70277. [Google Scholar] [CrossRef]
- Belkaid, Y.; Hand, T.W. Role of the microbiota in immunity and inflammation. Cell 2014, 157, 121–141. [Google Scholar] [CrossRef] [PubMed]
- Pinzone, M.R.; Celesia, B.M.; Di Rosa, M.; Cacopardo, B.; Nunnari, G. Microbial translocation in chronic liver diseases. Int. J. Microbiol. 2012, 2012, 694629. [Google Scholar] [CrossRef] [PubMed]
- Tripathi, A.; Debelius, J.; Brenner, D.A.; Karin, M.; Loomba, R.; Schnabl, B.; Knight, R. The gut-liver axis and the intersection with the microbiome. Nat. Rev. Gastroenterol. Hepatol. 2018, 15, 397–411, Erratum in Nat. Rev. Gastroenterol. Hepatol. 2018, 15, 785. https://doi.org/10.1038/s41575-018-0011-z. [Google Scholar] [CrossRef]
- Chopyk, D.M.; Grakoui, A. Contribution of the intestinal microbiome and gut barrier to hepatic disorders. Gastroenterology 2020, 159, 849–863. [Google Scholar] [CrossRef]
- Stehle, J.R., Jr.; Leng, X.; Kitzman, D.W.; Nicklas, B.J.; Kritchevsky, S.B.; High, K.P. Lipopolysaccharide-binding protein, a surrogate marker of microbial translocation, is associated with physical function in healthy older adults. J. Gerontol. A Biol. Sci. Med. Sci. 2012, 67, 1212–1218. [Google Scholar] [CrossRef] [PubMed]
- Guillot, A.; Winkler, M.; Afonso, M.S.; Aggarwal, A.; Lopez, D.; Berger, H.; Kohlhepp, M.S.; Liu, H.; Özdirik, B.; Eschrich, J.; et al. Mapping the hepatic immune landscape identifies monocytic macrophages as key drivers of steatohepatitis and cholangiopathy progression. Hepatology 2023, 78, 150–166. [Google Scholar] [CrossRef]
- Miyamoto, Y.; Kikuta, J.; Matsui, T.; Hasegawa, T.; Fujii, K.; Okuzaki, D.; Liu, Y.-C.; Yoshioka, T.; Seno, S.; Motooka, D.; et al. Periportal macrophages protect against commensal-driven liver inflammation. Nature 2024, 629, 901–909. [Google Scholar] [CrossRef]
- Holmes, S.N.; Condliffe, A.; Griffiths, W.; Baxendale, H.; Kumararatne, D.S. Familial hepatopulmonary syndrome in common variable immunodeficiency. J. Clin. Immunol. 2015, 35, 302–304. [Google Scholar] [CrossRef]
- Ward, C.; Lucas, M.; Piris, J.; Collier, J.; Chapel, H. Abnormal liver function in common variable immunodeficiency disorders due to nodular regenerative hyperplasia. Clin. Exp. Immunol. 2008, 153, 331–337. [Google Scholar] [CrossRef]
- Evcen, R.; Bıyık, M.; Çölkesen, F.; Aykan, F.S.; Kılınç, M.; Gerek, M.E.; Akçal, T.; Yıldız, E.; Arslan, Ş. Cryptogenic cirrhosis and common variable immunodeficiency: An unrecognized relationship. Eur. Res. J. 2025, 11, 244–250. [Google Scholar] [CrossRef]
- Shalaby, S.; Ramírez-Quesada, W.E.; Ojeda, A.; Perez-Campuzano, V.; Baiges, A.; Turon, F.; Fuster, C.; Díaz, A.; Hernández-Gea, V.; García-Pagán, J.C. Portosinusoidal Vascular Disorder: When to Suspect and How to Manage? Semin. Liver Dis. 2025, 45, 487–497. [Google Scholar] [CrossRef]
- Mironova, M.; Gopalakrishna, H.; Koh, C.; Kleiner, D.E.; Heller, T. Portal sinusoidal vascular diseases: Assessment and therapy. Hepatology 2025, ahead of print. [Google Scholar] [CrossRef]
- Szczawińska-Popłonyk, A.; Bekalarska, J.; Jęch, K.; Knobloch, N.; Łukasik, O.; Ossowska, A.; Ruducha, J.; Wysocka, Z. The Burden of Non-Infectious Organ-Specific Immunopathology in Pediatric Common Variable Immunodeficiency. Int. J. Mol. Sci. 2025, 26, 2653. [Google Scholar] [CrossRef]
- Wolfgramm, S.; Alehashemi, S.; Wendlandt, M.; Thiel, F.G.; de Jesus, A.A.; Papendorf, J.J.; Wolfgramm, H.; Alvarez, F.L.; Borngräber, E.; Uss, K.; et al. A de novo dominant-negative PSMB8 mutation causes severe CANDLE/PRAAS due to arrested proteasome biogenesis. Ann. Rheum. Dis. 2025, in press. [Google Scholar] [CrossRef] [PubMed]
- Viallard, J.F.; Parrens, M.; Blanco, P.; Moreau, J.F.; Oksenhendler, E.; Fieschi, C. Influence of Splenomegaly and Splenectomy on the Immune Cell Profile of Patients with Common Variable Immunodeficiency Disease. J. Clin. Immunol. 2024, 44, 46. [Google Scholar] [CrossRef] [PubMed]
- de Franchis, R.; Bosch, J.; Garcia-Tsao, G.; Reiberger, T.; Ripoll, C.; Abraldes, J.G.; Albillos, A.; Baiges, A.; Bajaj, J.; Bañares, R.; et al. Baveno VII—Renewing consensus in portal hypertension. J. Hepatol. 2022, 76, 959–974, Erratum in J. Hepatol. 2022, 77, 271. https://doi.org/10.1016/j.jhep.2022.03.024. [Google Scholar] [CrossRef]
- Furuichi, Y.; Moriyasu, F.; Taira, J.; Sugimoto, K.; Sano, T.; Ichimura, S.; Miyata, Y.; Imai, Y. Noninvasive diagnostic method for idiopathic portal hypertension based on measurements of liver and spleen stiffness by ARFI elastography. J. Gastroenterol. 2013, 48, 1061–1068. [Google Scholar] [CrossRef]
- Ahmad, A.K.; Atzori, S.; Taylor-Robinson, S.D.; Maurice, J.B.; Cooke, G.S.; Garvey, L. Spleen stiffness measurements using point shear wave elastography detects noncirrhotic portal hypertension in human immunodeficiency virus. Medicine 2019, 98, e17961. [Google Scholar] [CrossRef]
- Glatard, A.-S.; Hillaire, S.; D’aSsignies, G.; Cazals-Hatem, D.; Plessier, A.; Valla, D.C.; Vilgrain, V. Obliterative portal venopathy: Findings at CT imaging. Radiology 2012, 263, 741–750. [Google Scholar] [CrossRef] [PubMed]
- Hashash, J.G.; Squire, J.; Francis, F.F.; Binion, D.G.; Cross, R.K.; Farraye, F.A. An Expert Opinion/Approach: Clinical Presentations, Diagnostic Considerations, and Therapeutic Options for Gastrointestinal Manifestations of Common Variable Immune Deficiency. Am. J. Gastroenterol. 2022, 117, 1743–1752. [Google Scholar] [CrossRef] [PubMed]
- Kaplan, D.E.; Ripoll, C.; Thiele, M.; Fortune, B.E.; Simonetto, D.A.; Garcia-Tsao, G.; Bosch, J. AASLD Practice Guidance on risk stratification and management of portal hypertension and varices in cirrhosis. Hepatology 2024, 79, 1180–1211. [Google Scholar] [CrossRef]
- Fevang, B. Treatment of inflammatory complications in common variable immunodeficiency (CVID): Current concepts and future perspectives. Expert Rev. Clin. Immunol. 2023, 19, 627–638. [Google Scholar] [CrossRef]
- Roosens, W.; Staels, F.; Van Loo, S.; Humblet-Baron, S.; Meyts, I.; De Samblanx, H.; Verslype, C.; van Malenstein, H.; van der Merwe, S.; Laleman, W.; et al. Rituximab and improved nodular regenerative hyperplasia-associated non-cirrhotic liver disease in common variable immunodeficiency: A case report and literature study. Front. Immunol. 2023, 14, 1264482. [Google Scholar] [CrossRef]
- Tapper, E.B.; Lok, A.S. Use of Liver Imaging and Biopsy in Clinical Practice. N. Engl. J. Med. 2017, 377, 756–768. [Google Scholar] [CrossRef]
- Crotty, R.M.; Taylor, M.S.; Farmer, J.R.; Kakar, S.; Yilmaz, F.; Ardeniz, Ö.; Patil, D.T.; Deshpande, V. Spectrum of Hepatic Manifestations of Common Variable Immunodeficiency. Am. J. Surg. Pathol. 2020, 44, 617–625. [Google Scholar] [CrossRef] [PubMed]
- van Wilder, P.; Odnoletkova, I.; Mouline, M.; de Vries, E. Immunoglobulin Replacement Therapy is critical and cost-effective in increasing life expectancy and quality of life in patients suffering from Common Variable Immunodeficiency Disorders (CVID): A health-economic assessment. PLoS ONE 2021, 16, e0247941. [Google Scholar] [CrossRef]
- Jolles, S.; Orange, J.S.; Gardulf, A.; Stein, M.R.; Shapiro, R.; Borte, M.; Berger, M. Current treatment options with immunoglobulin G for the individualization of care in patients with primary immunodeficiency disease. Clin. Exp. Immunol. 2015, 179, 146–160. [Google Scholar] [CrossRef] [PubMed]
- Bajaj, J.S.; Kamath, P.S.; Reddy, K.R. The Evolving Challenge of Infections in Cirrhosis. N. Engl. J. Med. 2021, 384, 2317–2330, Erratum in N. Engl. J. Med. 2021, 385, 1151–1152. https://doi.org/10.1056/NEJMc2111760. [Google Scholar] [CrossRef]
- Tripathi, D.; Hayes, P.C. Beta-blockers in portal hypertension: New developments and controversies. Liver Int. 2014, 34, 655–667. [Google Scholar] [CrossRef]
- Li, T.; Ke, W.; Sun, P.; Chen, X.; Belgaumkar, A.; Huang, Y.; Xian, W.; Li, J.; Zheng, Q. Carvedilol for portal hypertension in cirrhosis: Systematic review with meta-analysis. BMJ Open 2016, 6, e010902. [Google Scholar] [CrossRef]
- Bañares, R.; Moitinho, E.; Piqueras, B.; Casado, M.; García-Pagán, J.-C.; de Diego, A.; Bosch, J. Carvedilol, a new nonselective beta-blocker with intrinsic anti-Alpha1-adrenergic activity, has a greater portal hypotensive effect than propranolol in patients with cirrhosis. Hepatology 1999, 30, 79–83. [Google Scholar] [CrossRef] [PubMed]
- Niu, C.; Zhang, J.; Daniel-Jose, I.D.; Zachary, T.; Abdullah, O.; Shah, P.; Basant, E.; Maity, D.; Abdullah, F.A.; Jadhav, N.; et al. Anticoagulation outcomes in cirrhotic patients with portal vein thrombosis: A tertiary center study. Postgrad. Med. J. 2025, 101, 1166–1172. [Google Scholar] [CrossRef]
- Davis, J.P.E.; Lim, J.K.; Francis, F.F.; Ahn, J. AGA Clinical Practice Update on Management of Portal Vein Thrombosis in Patients with Cirrhosis: Expert Review. Gastroenterology 2025, 168, 396–404.e1. [Google Scholar] [CrossRef]
- Bissonnette, J.; Garcia-Pagán, J.C.; Albillos, A.; Turon, F.; Ferreira, C.; Tellez, L.; Nault, J.; Carbonell, N.; Cervoni, J.; Rehim, M.A.; et al. Role of the transjugular intrahepatic portosystemic shunt in the management of severe complications of portal hypertension in idiopathic noncirrhotic portal hypertension. Hepatology 2016, 64, 224–231. [Google Scholar] [CrossRef]
- Azzu, V.; Elias, J.E.; Duckworth, A.; Davies, S.; Brais, R.; Kumararatne, D.S.; Gimson, A.E.S.; Griffiths, W.J.H. Liver transplantation in adults with liver disease due to common variable immunodeficiency leads to early recurrent disease and poor outcome. Liver Transplant. 2018, 24, 171–181. [Google Scholar] [CrossRef] [PubMed]
- Murakawa, Y.; Miyagawa-Hayashino, A.; Ogura, Y.; Egawa, H.; Okamoto, S.; Soejima, Y.; Kurosawa, M.; Sumiyoshi, S.; Uemoto, S.; Haga, H. Liver transplantation for severe hepatitis in patients with common variable immunodeficiency. Pediatr. Transplant. 2012, 16, E210–E216. [Google Scholar] [CrossRef]
- Torres-Valle, A.; Neirinck, J.; Silva, S.L.; de Arriba, S.; Serrano, C.; Cordón, L.; Arenas-Caro, P.P.; Subirá, D.; Mercado, M.R.; Granado, L.I.G.; et al. Immunologic biomarkers of noninfectious complications and overall survival in common variable immunodeficiency. J. Allergy Clin. Immunol. 2025, in press. [Google Scholar] [CrossRef] [PubMed]
- Elmoursi, A.; DiGiacomo, D.V.; Farmer, J.R.; Barmettler, S. Hepatic Manifestations in Common Variable Immunodeficiency Associated with Mortality and Worse Hospital Outcomes in Nationwide Analysis Using National Readmission Database. J. Allergy Clin. Immunol. Pract. 2025, 13, 3118–3128.e3. [Google Scholar] [CrossRef]
- Bez, P.; Smits, B.; Geier, C.; Hirsch, A.; de Oyteza, A.C.; Proietti, M.; Grimbacher, B.; Wolkewitz, M.; Goldacker, S.; Warnatz, K. Uncovering Risk Factors of Premature Mortality in Common Variable Immunodeficiency. J. Allergy Clin. Immunol. Pract. 2025, 13, 1201–1209.e10. [Google Scholar] [CrossRef]
- e Silva, R.S.; da Silva, S.P.; Luís, R.; Baldaia, C.; Silva, S. Nodular regenerative hyperplasia in CVID patients: Could low-dose oral glucocorticoids be part of the solution? Eur. Ann. Allergy Clin. Immunol. 2023, 55, 313–315. [Google Scholar] [CrossRef]
- Musumba, C.O. Review article: The association between nodular regenerative hyperplasia, inflammatory bowel disease and thiopurine therapy. Aliment Pharmacol. Ther. 2013, 38, 1025–1037. [Google Scholar] [CrossRef]
- Vernier-Massouille, G.; Cosnes, J.; Lemann, M.; Marteau, P.; Reinisch, W.; Laharie, D.; Cadiot, G.; Bouhnik, Y.; De Vos, M.; Boureille, A.; et al. Nodular regenerative hyperplasia in patients with inflammatory bowel disease treated with azathioprine. Gut 2007, 56, 1404–1409. [Google Scholar] [CrossRef]
- de Boer, N.K.; Mulder, C.J.; van Bodegraven, A.A. Nodular regenerative hyperplasia and thiopurines: The case for level-dependent toxicity. Liver Transplant. 2005, 11, 1300–1301. [Google Scholar] [CrossRef]
- Sarin, S.K.; Wadhawan, M.; Gupta, R.; Shahi, H. Evaluation of endoscopic variceal ligation (EVL) versus propanolol plus isosorbide mononitrate/nadolol (ISMN) in the prevention of variceal rebleeding: Comparison of cirrhotic and noncirrhotic patients. Dig. Dis. Sci. 2005, 50, 1538–1547. [Google Scholar] [CrossRef] [PubMed]
- Sarin, S.K.; Gupta, N.; Jha, S.K.; Agrawal, A.; Mishra, S.R.; Sharma, B.C.; Kumar, A. Equal efficacy of endoscopic variceal ligation and propranolol in preventing variceal bleeding in patients with noncirrhotic portal hypertension. Gastroenterology 2010, 139, 1238–1245. [Google Scholar] [CrossRef] [PubMed]
- Bettinger, D.; Schultheiss, M.; Boettler, T.; Muljono, M.; Thimme, R.; Rössle, M. Procedural and shunt-related complications and mortality of the transjugular intrahepatic portosystemic shunt (TIPSS). Aliment. Pharmacol. Ther. 2016, 44, 1051–1061. [Google Scholar] [CrossRef] [PubMed]




| Major Category | ||||||
|---|---|---|---|---|---|---|
| I. Bone marrow failure with immune deficiency | ||||||
| IEI | Genetic defect | Inheritance | Gene OMIM | T cells, B cells, other affected cells | Associated features | Variant associated with PSVD [50] |
| DKCA2 | TERT | AD/AR | 187,270 | Normal to low T cells, B cells HSC | Bone marrow failure, pulmonary and hepatic fibrosis, nail dystrophy, leukoplakia, reticulate skin pigmentation; microcephaly, neurodevelopmental delay | K570-S368F-Gly135Glu-Val170Met-His983Tyr-Lys1050Asn |
| DKCX1 | DKC1 | XL | 305,000 | Bone marrow failure, pulmonary and hepatic fibrosis, nail dystrophy, leukoplakia, reticulate skin pigmentation; microcephaly, neurodevelopmental delay | IVS1 + 592 C>G | |
| DKCB5 | RTEL1 | AR | 615,190 | Low | Nail dystrophy, leukoplakia, bone marrow failure, severe B-cell immunodeficiency, intrauterine growth retardation, growth retardation, microcephaly, cerebellar hypoplasia, and esophageal dysfunction | Arg1010 |
| Coats plus syndrome | CTC1 | AR | 617,053 | Not reported | Intrauterine growth retardation, premature aging, pancytopenia, hypocellular bone marrow, gastrointestinal hemorrhage due to vascular ectasia, intracranial calcification, abnormal telomeres | c.833G>T–c.841T>C |
| STN1 | AR | 613,129 | Normal | c.404G>C–C.469G>T | ||
| II. Autoinflammatory disorders Type 1 Interferonopathies | ||||||
| TREX1 deficiency, Aicardi-Goutieres syndrome 1 (AGS1) | TREX1 | AR/AD | 606,609 | Not assessed Functional defect: Intracellular accumulation of abnormal ss DNA species leading to increased type I IFN production | Classical AGS, SLE, FCL | V235Gfs*6 |
| III. Diseases of Immune Dysregulation, Autoimmunity with or without Lymphoproliferation | ||||||
| Prolidase deficiency | PEPD | AR | 613,230 | Normal circulating T and B cells, peptidase D functional defect | Autoantibodies common, chronic skin ulcers, eczema, infections | c.671+2 T > G (likely pathogenic) c.1354G>A; p.Glu452Lys and c.671+3_671+11del (VUS) |
| Intervention | Rationale |
|---|---|
| IgRT [6,33,78,79] |
|
| Antimicrobial prophylaxis [80] |
|
| Immunosuppressive and immunomodulatory therapy (e.g., corticosteroids, azathioprine, mycophenolate mofetil, biologics) [22,74] |
|
| Nonselective beta-blockers [19,81,82,83] |
|
| Endoscopic variceal ligation [19] |
|
| Anticoagulants [84,85] |
|
| Transjugular intrahepatic portosystemic [19,20,21,86] |
|
| Liver transplantation [19,21,37,87,88] |
|
| Other supportive care measures |
|
Disclaimer/Publisher’s Note: The statements, opinions and data contained in all publications are solely those of the individual author(s) and contributor(s) and not of MDPI and/or the editor(s). MDPI and/or the editor(s) disclaim responsibility for any injury to people or property resulting from any ideas, methods, instructions or products referred to in the content. |
© 2026 by the authors. Licensee MDPI, Basel, Switzerland. This article is an open access article distributed under the terms and conditions of the Creative Commons Attribution (CC BY) license.
Share and Cite
Nedelea, I.; Nicoara-Farcau, O.; Procopet, B.; Stefanescu, H.; Radu, C.; Balan, R.; Fit, A.-M.; Rusu, I.; Deleanu, D. Liver Disease in Common Variable Immunodeficiency: Current Evidence and Knowledge Gaps. Int. J. Mol. Sci. 2026, 27, 1518. https://doi.org/10.3390/ijms27031518
Nedelea I, Nicoara-Farcau O, Procopet B, Stefanescu H, Radu C, Balan R, Fit A-M, Rusu I, Deleanu D. Liver Disease in Common Variable Immunodeficiency: Current Evidence and Knowledge Gaps. International Journal of Molecular Sciences. 2026; 27(3):1518. https://doi.org/10.3390/ijms27031518
Chicago/Turabian StyleNedelea, Irena, Oana Nicoara-Farcau, Bogdan Procopet, Horia Stefanescu, Corina Radu, Radu Balan, Ana-Maria Fit, Ioana Rusu, and Diana Deleanu. 2026. "Liver Disease in Common Variable Immunodeficiency: Current Evidence and Knowledge Gaps" International Journal of Molecular Sciences 27, no. 3: 1518. https://doi.org/10.3390/ijms27031518
APA StyleNedelea, I., Nicoara-Farcau, O., Procopet, B., Stefanescu, H., Radu, C., Balan, R., Fit, A.-M., Rusu, I., & Deleanu, D. (2026). Liver Disease in Common Variable Immunodeficiency: Current Evidence and Knowledge Gaps. International Journal of Molecular Sciences, 27(3), 1518. https://doi.org/10.3390/ijms27031518

