Sign in to use this feature.

Years

Between: -

Subjects

remove_circle_outline
remove_circle_outline
remove_circle_outline
remove_circle_outline
remove_circle_outline
remove_circle_outline
remove_circle_outline
remove_circle_outline
remove_circle_outline

Journals

remove_circle_outline
remove_circle_outline
remove_circle_outline
remove_circle_outline
remove_circle_outline
remove_circle_outline
remove_circle_outline
remove_circle_outline
remove_circle_outline
remove_circle_outline
remove_circle_outline
remove_circle_outline
remove_circle_outline
remove_circle_outline
remove_circle_outline
remove_circle_outline

Article Types

Countries / Regions

remove_circle_outline
remove_circle_outline
remove_circle_outline
remove_circle_outline
remove_circle_outline

Search Results (2,585)

Search Parameters:
Keywords = in vitro and in vivo toxicity

Order results
Result details
Results per page
Select all
Export citation of selected articles as:
28 pages, 8942 KB  
Article
Exploration and Preliminary Investigation of Wiled Tinospora crispa: A Medicinal Plant with Promising Anti-Inflammatory and Antioxidant Properties
by Salma Saddeek
Curr. Issues Mol. Biol. 2026, 48(1), 70; https://doi.org/10.3390/cimb48010070 - 9 Jan 2026
Abstract
Background and Rationale: Tinospora crispa (L.) Hook.f. & Thomson (T. crispa) is a climbing medicinal plant with long-standing ethnopharmacological use, particularly in inflammatory and hepatic disorders and cancer-related conditions. There is a knowledge gap regarding how wild versus cultivated ecotypes differ in [...] Read more.
Background and Rationale: Tinospora crispa (L.) Hook.f. & Thomson (T. crispa) is a climbing medicinal plant with long-standing ethnopharmacological use, particularly in inflammatory and hepatic disorders and cancer-related conditions. There is a knowledge gap regarding how wild versus cultivated ecotypes differ in chemotype, bioactivity, and safety, and how this might support or refine traditional use. Study Objectives: This study aimed to compare wild and cultivated ecotypes of T. crispa from the Nile Delta (Egypt) in terms of quantitative and qualitative phytochemical profiles; selected in vitro biological activities (especially antioxidant and cytotoxic actions); genetic markers potentially associated with metabolic variation; and short-term oral safety in an animal model. Core Methodology: Standardized extraction of plant material from wild and cultivated ecotypes. Determination of total phenolics, total flavonoids, and major phytochemical classes (alkaloids, tannins, terpenoids). Metabolomic characterization using UHPLC-ESI-QTOF-MS, supported by NMR, to confirm key compounds such as berberine, palmatine, chlorogenic acid, rutin, and borapetoside C. In vitro bioassays including: Antioxidant activity (e.g., radical-scavenging assay with EC50 determination). Cytotoxicity against human cancer cell lines, with emphasis on HepG2 hepatoma cells and calculation of IC50 values. Targeted genetic analysis to detect single-nucleotide polymorphisms (SNPs) in the gen1 locus that differentiate ecotypes. A 14-day oral toxicity study in rats, assessing liver and kidney function markers and performing histopathology of liver and kidney tissues. Principal Results: The wild ecotype showed a 43–65% increase in total flavonoid and polyphenol content compared with the cultivated ecotype, as well as substantially higher levels of key alkaloids, particularly berberine (around 12.5 ± 0.8 mg/g), along with elevated chlorogenic acid and borapetoside C. UHPLC-MS and NMR analyses confirmed the identity of the main bioactive constituents and defined a distinct chemical fingerprint for the wild chemotype. Bioassays demonstrated stronger antioxidant activity of the wild extract than the cultivated one and selective cytotoxicity of the wild extract against HepG2 cells (IC50 ≈ 85 µg/mL), being clearly more potent than extracts from cultivated plants. Genetic profiling detected a C → T SNP within the gen1 region that differentiates the wild ecotype and may be linked to altered biosynthetic regulation. The 14-day oral toxicity study (up to 600 mg/kg) revealed no evidence of hepatic or renal toxicity, with biochemical markers remaining within physiological limits and normal liver and kidney histology. Conclusions and Future Perspectives: The wild Nile-Delta ecotype of T. crispa appears to be a stress-adapted chemotype characterized by enriched levels of multiple bioactive metabolites, superior in vitro bioactivity, and an encouraging preliminary safety margin. These findings support further evaluation of wild T. crispa as a candidate source for standardized botanical preparations targeting oxidative stress-related and hepatic pathologies, while emphasizing the need for: More comprehensive in vivo efficacy studies. Cultivation strategies that deliberately maintain or mimic beneficial stress conditions to preserve phytochemical richness. Broader geographical and genetic sampling to assess how generalizable the present chemotypic and bioactivity patterns are across the species. Full article
(This article belongs to the Special Issue Advances in Phytochemicals: Biological Activities and Applications)
15 pages, 2473 KB  
Article
CV1 Chimpanzee Adenovirus Efficiently Transduces Mesenchymal Stem and Leukemia Cells: Implications for Cellular Targeting and Vector Tropism
by Lorella Tripodi, Maria Vitale, Barbara Izzo, Filippo Scialò, Barbara Lombardo and Lucio Pastore
Cancers 2026, 18(2), 220; https://doi.org/10.3390/cancers18020220 - 9 Jan 2026
Abstract
Objectives: Adenoviruses (Ads) are among the most used vectors for gene therapy; human Ad serotype 5-derived (HuAd5) vectors are the most frequently used for gene transfer applications. However, Ad5 infection is endemic in humans, and 20% of the Western population has neutralizing antibodies [...] Read more.
Objectives: Adenoviruses (Ads) are among the most used vectors for gene therapy; human Ad serotype 5-derived (HuAd5) vectors are the most frequently used for gene transfer applications. However, Ad5 infection is endemic in humans, and 20% of the Western population has neutralizing antibodies (nAbs). Pre-existing immunity against HuAd5 represents a major issue for many gene therapy applications. In our study, we evaluated several Ad serotypes derived from chimpanzees (ChAds) in vitro and in vivo to assess their transduction efficiency in various cell types and tissues. We aimed at identifying Ad serotypes able either to transduce “challenging” cell types or to represent a possible alternative to Ad5-derived vectors with comparable infectivity and tropism. Methods: We evaluated the efficacy of transduction of twelve ChAds vectors expressing enhanced green fluorescent protein (EGFP) in human embryonic kidney cells, as well as human leukemic and human mesenchymal stem cells, using flow cytometry to determine the percentage of EGFP-expressing cells and their mean fluorescent intensity (MFI). We observed the highest transduction efficiency in the serotype CV1 ChAd; therefore, we proceeded to evaluate toxicity and biodistribution in vivo. Results: After in vitro evaluation of twelve ChAds serotypes, we observed that the CV1 serotype was the most efficient in transducing both leukemia cell lines (HL-60 and NB-4) and human mesenchymal stem cells. Furthermore, in vivo analysis of the CV1 serotype induced an inflammatory reaction similar to what was observed after HuAd5 administration. Conclusions: ChAds vectors represent an effective alternative for the transduction of cells resistant to HuAd5 infection, such as mesenchymal stem cells and leukemic cells. In addition, we observed that the CV1 ChAd serotype presented a transduction profile similar to HuAd5 in vitro and induced a similar inflammatory response in vivo; therefore, CV1 ChAd-derived vectors represent an interesting alternative for gene therapy applications. Full article
Show Figures

Figure 1

16 pages, 737 KB  
Article
Nutraceutical and Antitumoral Potential of Scenedesmus sp. in In Vitro and In Vivo Models
by Diego Fonseca-Rivera, Diana Elia Caballero-Hernández, Patricia Tamez-Guerra, Ricardo Romero-Arguelles, Joel Horacio Elizondo-Luevano, Diana Laura Clark-Perez, Celia Maria Quiñones-Flores, Alva Rocio Castillo-Gonzalez, Ricardo Gomez-Flores and César Iván Romo-Sáenz
Foods 2026, 15(2), 186; https://doi.org/10.3390/foods15020186 - 6 Jan 2026
Viewed by 107
Abstract
Microalgae are increasingly recognized as valuable dietary supplements due to their rich nutritional composition and the presence of bioactive metabolites with antioxidant, antitumor, and metabolism-modulating activities. This study evaluated the nutraceutical potential of a methanolic extract of Scenedesmus sp. using an integrated in [...] Read more.
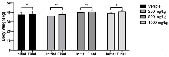
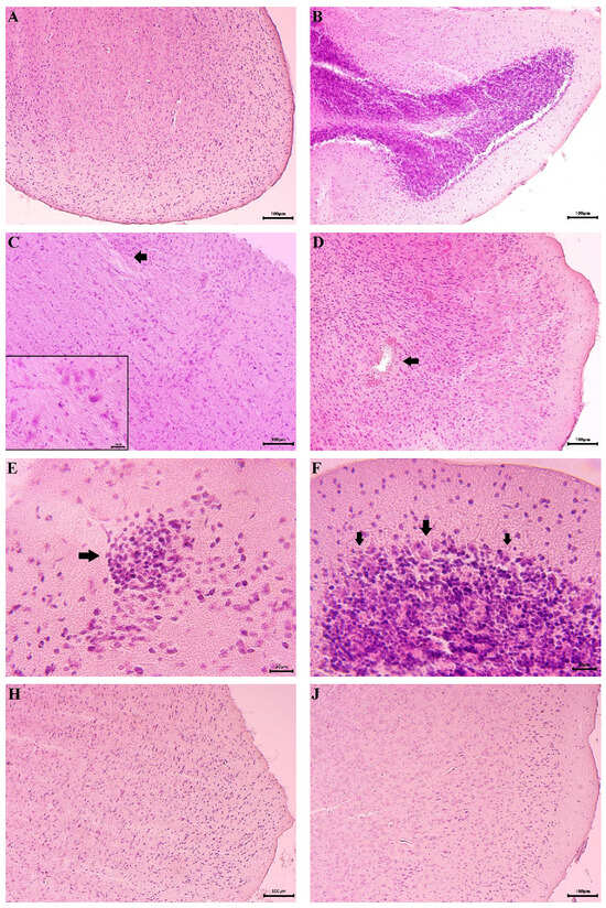
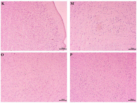
Microalgae are increasingly recognized as valuable dietary supplements due to their rich nutritional composition and the presence of bioactive metabolites with antioxidant, antitumor, and metabolism-modulating activities. This study evaluated the nutraceutical potential of a methanolic extract of Scenedesmus sp. using an integrated in vitro, in vivo, and metabolomic approach. The extract exhibited selective cytotoxicity against L5178Y-R murine lymphoma cells while showing low toxicity toward human peripheral blood mononuclear cells, indicating a favorable safety and selectivity profile. Additionally, it demonstrated moderate antioxidant activity, a significant antihemolytic effect, and no hemolytic activity even at high concentrations, supporting its hematological safety. In vivo assays showed that oral administration of doses up to 1000 mg/kg was well tolerated, with no adverse effects on body weight or hepatic biochemical markers. Treated animals displayed improved systemic antioxidant responses and enhanced glucose tolerance. Metabolomic analysis revealed a profile enriched in essential amino acids, osmolytes, organic acids, and bioactive metabolites such as β-hydroxybutyrate and betaine, compounds associated with metabolic regulation, redox balance, and epigenetic modulation. Overall, these findings highlight Scenedesmus sp. as a promising nutraceutical source with potential application as a complementary strategy for cancer prevention or treatment. Full article
(This article belongs to the Special Issue Advances in Biological Activities of Functional Food (3rd Edition))
Show Figures

Graphical abstract

38 pages, 1867 KB  
Review
Radiolabeled Vitamins and Nanosystems as Potential Agents in Oncology Theranostics: Developed Approaches and Future Perspectives
by Ghazal Basirinia, Albert Comelli, Pierpaolo Alongi, Muhammad Ali, Giuseppe Salvaggio, Costanza Longo, Domenico Di Raimondo, Antonino Tuttolomondo and Viviana Benfante
J. Pers. Med. 2026, 16(1), 36; https://doi.org/10.3390/jpm16010036 - 5 Jan 2026
Viewed by 96
Abstract
Theranostic approaches employing radioactive materials have emerged as innovative strategies that integrate molecular imaging with targeted therapy using nanosystems, thereby advancing the paradigm of precision medicine in oncology. Each year, substantial research efforts are dedicated to developing molecular probes capable of detecting early-stage [...] Read more.
Theranostic approaches employing radioactive materials have emerged as innovative strategies that integrate molecular imaging with targeted therapy using nanosystems, thereby advancing the paradigm of precision medicine in oncology. Each year, substantial research efforts are dedicated to developing molecular probes capable of detecting early-stage tumors, with improved efficacy and reduced toxicity to the surrounding healthy tissues. Radiopharmaceuticals based on vitamins and nanoparticles are among the most promising developments in this field, as they possess a high level of specificity and low toxicity. Vitamin B9 and vitamin B12 represent notable examples, as their targeting properties exploit the overexpression of corresponding receptors in tumor cells. In this context, future directions may include the radiolabeling of nanoparticles functionalized with these vitamins using isotopes such as [68Ga] and [177Lu], thereby enabling both diagnostic imaging and therapeutic applications. Despite the encouraging preclinical evidence, many in vitro and in vivo studies employing these strategies do not sufficiently address their translational applicability to radiotheranostics. This review highlights the most promising advances in the diagnostic and therapeutic potential of vitamin and nanoparticle-based systems. It aims to critically evaluate current findings and propose hypotheses for further study in the emerging field of radiopharmaceutical theranostics. Full article
(This article belongs to the Special Issue Cancer Immunotherapy: Current Advancements and Future Perspectives)
Show Figures

Graphical abstract

19 pages, 885 KB  
Article
Glycemic Responses, Enzyme Activity, and Sub-Acute Toxicity Evaluation of Unripe Plantain Peel Extract in Rats
by Titilope R. Komolafe, Mary T. Olaleye, Afolabi C. Akinmoladun, Kayode Komolafe and Akintunde A. Akindahunsi
Dietetics 2026, 5(1), 3; https://doi.org/10.3390/dietetics5010003 - 1 Jan 2026
Viewed by 179
Abstract
Plantain (Musa paradisiaca L.) is a tropical monocotyledonous, succulent plant of the Musaceae family commonly grown for food in the tropical regions of the African, Asian, and South American continents, where its parts are also sought for ethnomedicinal purposes in the treatment [...] Read more.
Plantain (Musa paradisiaca L.) is a tropical monocotyledonous, succulent plant of the Musaceae family commonly grown for food in the tropical regions of the African, Asian, and South American continents, where its parts are also sought for ethnomedicinal purposes in the treatment of burns, inflammation, and diabetes, among others. In the present preliminary exploratory study, the ethanol extract of the underutilized Musa paradisiaca peel (MPE) was evaluated for its in vitro inhibitory effects on α-amylase and α-glucosidase, as well as its in vivo hypoglycemic activity and potential biochemical toxicity. MPE (100, 200, 400 mg/kg) was orally administered to normal experimental rats for 30 days, following which the lipid profile, antioxidant status, and serum/tissue indices of hepatic, renal, and cardiac functions were evaluated. MPE produced significant inhibition (p < 0.05) of α-amylase (37%) and α-glucosidase (46%) at 120 µg/mL in vitro. The effect was lower than that of acarbose (IC50 = 44.4 ± 1.14 and 15.60 ± 0.01 µg/mL, respectively). A modest blood glucose-lowering effect of MPE was observed at the highest tested dose (400 mg/kg) following subacute oral administration. During this treatment period, no biochemical alterations of toxicological importance were caused by MPE, as the organ–body weight ratio and serum/tissue indicators of organ function/damage were not adversely altered. In conclusion, MPE demonstrated inhibitory activity against both α-amylase and α-glucosidase, which may contribute to its potential hypoglycemic effects. Additionally, the findings indicate that the peel extract is non-toxic in rats following sub-acute administration at doses up to 400 mg/kg body weight. Further studies involving diabetic models and chronic exposure will substantiate and extend these preliminary observations. Full article
Show Figures

Graphical abstract

13 pages, 1199 KB  
Review
Vitamin C and Benzoic Acid Intake in Patients with Kidney Disease: Is There Risk of Benzene Exposure?
by Manuela Yepes-Calderón, Caecilia S. E. Doorenbos, Eva Corpeleijn, Casper F. M. Franssen, Michel J. Vos, Daan J. Touw, Christophe Mariat, Annelies E. de Weerd and Stephan J. L. Bakker
Nutrients 2026, 18(1), 132; https://doi.org/10.3390/nu18010132 - 31 Dec 2025
Viewed by 283
Abstract
Vitamin C is a small water-soluble molecule primarily cleared by the kidneys. Therefore, its plasma concentration would be expected to increase as kidney function declines. However, studies in patients with chronic kidney disease (CKD) and kidney transplant recipients have shown the opposite: a [...] Read more.
Vitamin C is a small water-soluble molecule primarily cleared by the kidneys. Therefore, its plasma concentration would be expected to increase as kidney function declines. However, studies in patients with chronic kidney disease (CKD) and kidney transplant recipients have shown the opposite: a positive correlation between kidney function and plasma vitamin C levels. In this review, we discuss potential explanations for this counterintuitive finding and suggest alternative mechanisms influencing vitamin C bioavailability in this population. We also explore the hypothesis that this phenomenon may be linked to benzoic acid (benzoate) exposure. Benzoic acid is a widely used food preservative that, like vitamin C, is water-soluble and renally excreted. In individuals with impaired kidney function, reduced clearance may lead to elevated circulating benzoic acid levels, which could increase the likelihood of an in vivo chemical reaction between benzoic acid and vitamin C, resulting in the formation of benzene, which is a known toxic and carcinogenic compound. We summarize experimental evidence demonstrating the vitamin C–benzoic acid reaction in vitro, along with preliminary animal studies suggesting it may also occur in vivo. We also discuss the potential clinical consequences of benzene exposure in the context of patients with kidney function impairment. Given the widespread use of benzoic acid as a food preservative and the ongoing discussion around vitamin C supplementation in patients with kidney disease, this review invites further investigation to evaluate whether this reaction represents a health hazard for this population. Full article
Show Figures

Figure 1

37 pages, 2862 KB  
Review
Exploring the Benefits of Cranberries in Dentistry: A Comprehensive Review
by Isabella Schönhofen Manso, Yasmim Guterres Bauer, Eduarda Blasi Magini, Gabriel Leonardo Magrin, Izabella Thais da Silva and Ariadne Cristiane Cabral Cruz
Biomedicines 2026, 14(1), 85; https://doi.org/10.3390/biomedicines14010085 - 31 Dec 2025
Viewed by 344
Abstract
Objectives: Despite the increasing scientific evidence regarding the application of Cranberries in dentistry, a comprehensive understanding of their potential benefits, active constituents, and mechanisms of action remains lacking. Consequently, this narrative review aims to meticulously analyze and consolidate the existing scientific literature on [...] Read more.
Objectives: Despite the increasing scientific evidence regarding the application of Cranberries in dentistry, a comprehensive understanding of their potential benefits, active constituents, and mechanisms of action remains lacking. Consequently, this narrative review aims to meticulously analyze and consolidate the existing scientific literature on the utilization of Cranberries for the prevention and treatment of oral diseases. Materials and Methods: Electronic databases (PubMed, Scopus, and Web of Science) were searched up to October 2025. This review included in vitro, in vivo, and clinical research studies. A two-phase selection process was carried out. In phase 1, two reviewers independently screened titles and abstracts to identify potentially eligible studies. In phase 2, the same reviewers performed the full-text assessments of the eligible articles. Results: Among the 93 eligible articles, most assessed Cranberry use in Cariology (n = 28) and Periodontics (n = 26). Biofilm and microbial virulence factors (n = 46) were the most frequently studied topics. Cranberry extract (n = 32) and high-molecular-weight non-dialyzable material (NDM) (n = 23) were the most evaluated Cranberry fractions. Overall, Cranberry-derived compounds were identified as non-toxic and demonstrated promising antimicrobial activity against dental caries-related microorganisms in preclinical studies (n = 20). Regarding periodontal and peri-implant diseases, Cranberry demonstrated host immune modulator effects, counteracting the inflammatory and destructive mechanisms (n = 8). Additionally, Cranberries presented benefits in reducing the inflammation associated with periodontal disease and temporal mandibular joint lesions (n = 1). Regarding dental erosion, Cranberry inhibited dentin erosion (n = 4); however, no effect was observed on enamel lesions (n = 2). As an antioxidant agent, Cranberry showed effectiveness in preventing dental erosion (n = 18). Beyond that, Cranberry neutralized reactive oxygen species generated immediately after dental bleaching, enhancing bond strength (n = 2) and counteracting the oxygen ions formed on the tooth surface following bleaching procedures (n = 3). In osteoclastogenesis assays, A-type proanthocyanidins inhibited bone resorption (n = 1). In osteogenic analysis, preservation of hydroxycarbonate apatite deposition and an increase in early and late osteogenic markers were observed (n = 2). Conclusions: Cranberry bioactive compounds, both individually and synergistically, exhibit substantial potential for diverse applications within dentistry, particularly in the prevention and management of oral and maxillofacial diseases. This review provides insights into the plausible incorporation of Cranberries in contemporary dentistry, offering readers an informed perspective on their potential role. Full article
(This article belongs to the Special Issue Poly-Pharmacological Effects and Mechanisms of Phytochemicals)
Show Figures

Figure 1

36 pages, 15093 KB  
Systematic Review
Benzotriazole in Cancer: A Systematic Review on Preclinical Evidence and Structure–Activity Relationship
by Gabriel Mardale, Alexandra Prodea, Andreea Munteanu, Mihaela Jorgovan, Sabina Mardale, Victor Cristian Dumitrascu and Codruța Șoica
Pharmaceuticals 2026, 19(1), 77; https://doi.org/10.3390/ph19010077 - 30 Dec 2025
Viewed by 250
Abstract
Background: A benzotriazole is a heterocycle frequently used in medicinal chemistry to obtain potent drug candidates, including anticancer agents. Nonetheless, the available literature lacks a comprehensive review of the in vitro and in vivo studies regarding these derivatives. Thus, our study aims to [...] Read more.
Background: A benzotriazole is a heterocycle frequently used in medicinal chemistry to obtain potent drug candidates, including anticancer agents. Nonetheless, the available literature lacks a comprehensive review of the in vitro and in vivo studies regarding these derivatives. Thus, our study aims to review the preclinical evidence on benzotriazole derivatives that showed potential as anticancer candidates, focusing on the cytotoxicity, mechanisms of action, structure–activity relationship, and methodological rigor of the included studies. Methods: We searched PubMed, Scopus, and Web of Science and included 41 studies in our analysis following the selection process. Additionally, we assessed the risk of bias using the QUIN tool for in vitro and the SYRCLE tool for in vivo studies in order to assess the methodological rigor of the included studies. Results: The benzotriazole derivatives were classified according to their structure in four classes, namely N-derivatives, C-derivatives, fused derivatives, and organometallic compounds. The in vitro results showed that certain derivatives, such as halogen, alkyl-aryl, or natural-base hybrids, can have superior cytotoxicity compared to parent molecules, exerted through multiple mechanisms, such as apoptosis and cell cycle arrest. Additionally, the in vivo analysis highlighted that benzotriazole derivatives can reduce tumor mass in a dose-dependent manner, with only a slight degree of hepatotoxicity reported in one case. However, histopathological data were generally absent or limited and based on a very limited number of in vivo studies. Conclusions: Overall, benzotriazole derivatives remain promising candidates for cancer treatment. However, limited mechanistic and toxicity data, as well as the moderate risk of bias identified across studies, may limit our assessment. Therefore, future studies should employ more rigorous methodologies and explore the underlying anticancer and toxicity mechanisms to fully assess the therapeutic potential of benzotriazole derivatives. Full article
(This article belongs to the Special Issue Heterocyclic Compounds in Medicinal Chemistry, 2nd Edition)
Show Figures

Graphical abstract

23 pages, 3847 KB  
Article
Neuroprotective and Antioxidant Activity of Newly Synthesized N-Pyrrolyl Hydrazide-Hydrazones in Experimental Models of Neurotoxicity In Vitro and In Vivo
by Martin Manov, Denitsa Stefanova, Magdalena Kondeva-Burdina, Yordan Yordanov, Martin Sharkov, Diana Tzankova, Emilio Mateev, Maya Georgieva, Georgi Popov, Vasil Manov, Maria Frosini, Massimo Valoti and Virginia Tzankova
Int. J. Mol. Sci. 2026, 27(1), 370; https://doi.org/10.3390/ijms27010370 - 29 Dec 2025
Viewed by 231
Abstract
Oxidative stress plays a central role in the pathogenesis of neurodegenerative disorders, including Parkinson’s disease. Therefore, compounds with antioxidant and neuroprotective properties represent promising candidates for therapeutic development. N-pyrrolyl hydrazide-hydrazones, a class of pyrrole-based derivatives, have shown promising potential due to their diverse [...] Read more.
Oxidative stress plays a central role in the pathogenesis of neurodegenerative disorders, including Parkinson’s disease. Therefore, compounds with antioxidant and neuroprotective properties represent promising candidates for therapeutic development. N-pyrrolyl hydrazide-hydrazones, a class of pyrrole-based derivatives, have shown promising potential due to their diverse biological activities, including monoamine oxidase-B (MAO-B) inhibition. This study investigated the neuroprotective properties of 10 N-pyrrolyl hydrazide-hydrazones using experimental in vitro and in vivo models of neurodegeneration. The compounds were tested on SH-SY5Y neuroblastoma cells subjected to oxidative stress induced by 6-hydroxydopamine (6-OHDA) and 1-methyl-4-phenylpyridinium (MPP+). A battery of in vitro and in vivo experimental methods was used, including cell viability assay, reactive oxygen species (ROS) production, and apoptosis evaluation by quantifying the sub-G0/G1 cell population. In vivo neuroprotective efficacy was further tested in a rotenone-induced Parkinsonism mouse model by analyzing oxidative biomarkers and brain histopathology. Compounds 2, 4, 5, 6, and 10 significantly preserved cell viability in the 6-OHDA-induced toxicity model, while no protection was observed in the MPP+ model. Particularly compound 2 reduced ROS levels and apoptosis in SH-SY5Y cells. In vivo, compound 2 demonstrated strong antioxidant activity by maintaining glutathione levels and reducing lipid peroxidation. Histological analysis confirmed its protective effect against rotenone-induced neuronal damage. These results suggest that N-pyrrolyl hydrazide-hydrazones, especially compound 2, possess significant antioxidant and MAO-B inhibitory properties, supporting their potential as neuroprotective agents. Full article
(This article belongs to the Section Molecular Neurobiology)
Show Figures

Figure 1

17 pages, 2279 KB  
Article
L19-Conjugated Gold Nanoparticles for the Specific Targeting of EDB-Containing Fibronectin in Neuroblastoma
by Chiara Barisione, Silvia Ortona, Veronica Bensa, Caterina Ivaldo, Eleonora Ciampi, Simonetta Astigiano, Michele Cilli, Luciano Zardi, Mirco Ponzoni, Domenico Palombo, Giovanni Pratesi, Pier Francesco Ferrari and Fabio Pastorino
Pharmaceutics 2026, 18(1), 24; https://doi.org/10.3390/pharmaceutics18010024 - 24 Dec 2025
Viewed by 322
Abstract
Background/Objectives: Neuroblastoma (NB) is the most common extracranial solid tumor in children and accounts for 12–15% of pediatric cancer-related deaths. Current multimodal therapies lack specific cellular targets, causing systemic toxicity and drug resistance. The development of innovative tumor-targeted nanoformulations might represent a [...] Read more.
Background/Objectives: Neuroblastoma (NB) is the most common extracranial solid tumor in children and accounts for 12–15% of pediatric cancer-related deaths. Current multimodal therapies lack specific cellular targets, causing systemic toxicity and drug resistance. The development of innovative tumor-targeted nanoformulations might represent a promising approach to enhance NB diagnosis and antitumor efficacy, while decreasing off targets side effects. Fibronectin extra-domain B (FN-EDB) is upregulated in the tumor microenvironment. Methods: FN-EDB expression was evaluated by immunohistochemical staining in cell line-derived and tumor patient-derived animal models of NB. A gold nanoparticle, decorated with an antibody (Ab) recognizing FN-EDB (L19-AuNP) was developed by the company Nano Flow and its tumor binding was tested by ELISA in vitro and in patient-derived xenograft (PDX) models of NB by photoacoustic imaging in vivo. Results: All animal models of NB used have been shown to express FN-EDB. L19 Ab demonstrated excellent binding specificity to FN-EDB both when used in free form and after conjugation to AuNP. Compared to the non-functionalized (no Ab L19-coupled) AuNP, which showed an increase in PDI and zeta potential over time, making them unsuitable for use in in vivo studies, L19-AuNP demonstrated good stability. In vivo, L19-AuNP specifically homed into PDX models of NB, accumulating better in tumors expressing higher levels of FN-EDB. Negligible distribution to healthy organs occurred. Conclusions: In this preliminary study, L19-AuNP was shown to be a novel diagnostic tool specifically for binding NB expressing FN-EDB, paving the way for the development of theranostic nanoformulations co-encapsulating gold moiety and standard-of-care therapy for NB. Full article
(This article belongs to the Special Issue Nanomedicine and Nanotechnology: Recent Advances and Applications)
Show Figures

Graphical abstract

19 pages, 1187 KB  
Review
Preclinical Risk Assessment of Plant Lectins with Pharmacological Applications: A Narrative Review
by Amanda de Oliveira Marinho, Maria Nívea Bezerra da Silva, Suéllen Pedrosa da Silva, Isabella Coimbra Vila Nova, Jainaldo Alves da Costa, Patrícia Maria Guedes Paiva, Lidiane Pereira de Albuquerque, Emmanuel Viana Pontual, Leydianne Leite de Siqueira Patriota and Thiago Henrique Napoleão
Molecules 2026, 31(1), 55; https://doi.org/10.3390/molecules31010055 - 23 Dec 2025
Viewed by 296
Abstract
Plants have been used for medicinal purposes both intuitively and based on traditional knowledge for centuries. Recently, however, there has been a significant increase in research focused on medicinal plants to meet the growing demands of the pharmaceutical industry. As a result, it [...] Read more.
Plants have been used for medicinal purposes both intuitively and based on traditional knowledge for centuries. Recently, however, there has been a significant increase in research focused on medicinal plants to meet the growing demands of the pharmaceutical industry. As a result, it has become essential to evaluate the safety of natural products for human use. This review examines in vitro and in vivo toxicity studies of lectins, a class of plant proteins with pharmacological applications. The reviewed data indicate that many of these proteins do not appear to be toxic to human and animal cells, nor when administered to rodents through oral, intraperitoneal, or intravenous routes. However, some lectins have shown toxicity under certain conditions, such as depending on the administration route, dose, and treatment duration. These adverse effects may include behavioral changes, antinutritional effects, hepatotoxicity, nephrotoxicity, pancreatic hypertrophy, allergic reactions, and even death. Therefore, it is crucial to prioritize toxicological studies to ensure the safety of these plant proteins as potential drug candidates in the future. Full article
Show Figures

Graphical abstract

21 pages, 43352 KB  
Article
Green Synthesis of Copper-Doped ZrO2 Nanoparticles Using Calendula officinalis Flower Extract: Comprehensive Characterization, Biocompatibility, and Anticancer Evaluation
by Dhruv Suraneni, Balasubramanian Deepika, Kavinithi Jaganathan Mahadevan, Sanjana Raghupathy, Shangavy Pandiarajan, Devadass Jessy Mercy, Agnishwar Girigoswami, Sanjay Kisan Metkar, Surajit Hansda and Koyeli Girigoswami
Physchem 2026, 6(1), 1; https://doi.org/10.3390/physchem6010001 - 23 Dec 2025
Viewed by 307
Abstract
The field of nanotechnology has witnessed a paradigm shift towards eco-friendly and sustainable synthesis methods for nanoparticles due to increasing concerns over environmental toxicity and resource sustainability. Among various metal oxide nanoparticles, zirconium dioxide (ZrO2) nanoparticles have garnered significant attention owing [...] Read more.
The field of nanotechnology has witnessed a paradigm shift towards eco-friendly and sustainable synthesis methods for nanoparticles due to increasing concerns over environmental toxicity and resource sustainability. Among various metal oxide nanoparticles, zirconium dioxide (ZrO2) nanoparticles have garnered significant attention owing to their exceptional thermal stability, biocompatibility, mechanical strength, and catalytic properties. Doping ZrO2 with transition metals such as copper (Cu) further enhances its physicochemical attributes, including antibacterial activity, redox behaviour, and electronic properties, rendering it suitable for a diverse range of biomedical and industrial applications. In the present study, we report the green synthesis of copper-doped ZrO2 nanoparticles (Cu-ZrO2-CO NPs) using an aqueous extract of Calendula officinalis (marigold) flowers as a natural reducing and stabilizing agent. The complete characterization was performed using UV–vis spectrophotometry, dynamic light scattering (DLS), zeta potential, FTIR, SEM, EDAX, and XRD, revealing its size to be around 20–40 nm and zeta potential as −20 mV, indicating nano size and stability. The biocompatibility of the as-synthesized nanoparticle was analyzed in vitro using fibroblast cell viability and haemolysis assay, and in vivo using brine shrimp assay. The nanoparticles were safe up to a dose of 50 μg/mL, showing more than 95% cell viability and less than 2% haemolysis, which is within an acceptable range. Finally, the anticancer activity was explored for A549 cells by MTT assay and live-dead assay, with an IC50 value of 38.63 μg/mL. The chorioallantoic membrane (CAM) model was used to assess the anti-angiogenesis potential of the Cu-ZrO2-CO NPs. The results showed that the nanoparticles could kill the cancer cells via apoptosis, and one of the reasons for the anticancer effect was angiogenesis inhibition. Further research is needed using other cancer cell lines and animal tumour models. Full article
(This article belongs to the Section Biophysical Chemistry)
Show Figures

Graphical abstract

19 pages, 6919 KB  
Article
Trypanocidal Activity of Dual Redox-Active Quinones: Trypanosoma cruzi Mitochondrion as a Target Organelle In Vitro and Anti-Inflammatory Properties In Vivo
by Raquel B. Duarte, Victor F. S. Ramos, Juliana M. C. Barbosa, Gabriel M. Oliveira, Emilay B. T. Diogo, Renata G. Almeida, Alastair J. J. Lennox, Eufrânio N. da Silva Júnior, Yasmin Pedra-Rezende and Rubem F. S. Menna-Barreto
Pathogens 2026, 15(1), 17; https://doi.org/10.3390/pathogens15010017 - 23 Dec 2025
Viewed by 273
Abstract
Chagas disease is caused by the protozoan Trypanosoma cruzi, and its current treatment is limited to the use of two nitroderivatives, benznidazole (Bz) and nifurtimox; however, their toxicity often leads to discontinuation, justifying the search for new therapeutic options. The biological activity [...] Read more.
Chagas disease is caused by the protozoan Trypanosoma cruzi, and its current treatment is limited to the use of two nitroderivatives, benznidazole (Bz) and nifurtimox; however, their toxicity often leads to discontinuation, justifying the search for new therapeutic options. The biological activity of quinones has long shown efficacy towards pathogenic microorganisms. In our previous investigations, two naphthoquinones combining ortho- and para-quinoidal moieties exhibited remarkable trypanocidal activity and presented low toxicity to host cells. Here, these two active compounds were further assessed. On trypomastigotes and epimastigotes, brominated (NQ1) and chlorinated (NQ2) nor-beta-lapachone-derived 1,2,3-triazoles were more active than Bz, presenting IC50/24 h values in the range of 0.8 to 3.1 µM. NQ1-treated epimastigotes showed a mitochondrial impairment and reactive oxygen species (ROS) production under electron microscopy and flow cytometry. The in vitro evaluation of both combinations of compounds with Bz indicated an additive interaction. In vivo, oral treatment with NQ1 reduced parasitemia in an acute model, with no evidence of toxicity. The treatment also led to a reduction in myocarditis, decreasing the PR interval in electrocardiographic analysis and reversing the sinus bradycardia caused by infection. These data suggest that T. cruzi mitochondrion are part of the NQ1 mechanism of action. In vivo, this compound presented moderate trypanocidal and promising anti-inflammatory activity. Its combination with Bz could enhance current therapeutic protocols and should be better explored in the future. Full article
Show Figures

Graphical abstract

21 pages, 7060 KB  
Article
Inhibitory Activity of LDT10 and LDT119, New Saturated Cardanols, Against Trypanosoma cruzi
by Renato Granado, Brenda de Lucena Costa, Cleonice Andrade Holanda, Daniel Carneiro Moreira, Luiz Antonio Soares Romeiro, Emile Santos Barrias and Wanderley de Souza
Pharmaceuticals 2026, 19(1), 30; https://doi.org/10.3390/ph19010030 - 22 Dec 2025
Viewed by 196
Abstract
Background/Objectives: Chagas disease, caused by Trypanosoma cruzi, remains a major neglected tropical disease with limited therapeutic options restricted to benznidazole and nifurtimox, both associated with significant toxicity and reduced efficacy during chronic infection. Seeking novel, safe, and sustainable chemotherapeutic candidates, two new [...] Read more.
Background/Objectives: Chagas disease, caused by Trypanosoma cruzi, remains a major neglected tropical disease with limited therapeutic options restricted to benznidazole and nifurtimox, both associated with significant toxicity and reduced efficacy during chronic infection. Seeking novel, safe, and sustainable chemotherapeutic candidates, two new saturated cardanol-derived phospholipid analogs—LDT10 and LDT119—were rationally designed based on the molecular scaffold of miltefosine and biosourced from cashew nut shell liquid (CNSL). This study aimed to evaluate the pharmacokinetic properties of these compounds in silico and assess their antiparasitic activity, cytotoxicity, and morphological and ultrastructural effects on all developmental forms of T. cruzi in vitro. Materials and Methods: In silico ADMET predictions (SwissADME, pkCSM) were performed to determine bioavailability, pharmacokinetic behavior, CYP inhibition, mutagenicity, and hepatotoxicity. Antiproliferative activity was evaluated in epimastigotes, trypomastigotes, and intracellular amastigotes using dose–response assays and flow cytometry. Cytotoxicity was assessed in HEPG2 and HFF-1 cells using resazurin-based viability assays. Morphological and ultrastructural alterations were investigated through scanning (SEM) and transmission (TEM) electron microscopy. Reactive oxygen species (ROS) generation was quantified with H2DCFDA after 4 h and 24 h of exposure. Results: In silico analyses indicated favorable drug-like profiles, high intestinal absorption (>89%), absence of mutagenicity or hepatotoxicity, and non-penetration of the blood–brain barrier. LDT10 was not a P-gp substrate, and LDT119 acted as a P-gp inhibitor, suggesting reduced efflux and higher intracellular retention. Both compounds inhibited epimastigote proliferation with low IC50 values (LDT10: 0.81 µM; LDT119: 1.2 µM at 48 h) and reduced trypomastigote viability (LD50 LDT10: 2.1 ± 2 µM; LDT119: 1.8 ± 0.8 µM). Intracellular amastigotes were highly susceptible (IC50 LDT10: 0.48 µM; LDT119: 0.3 µM at 72 h), with >90% inhibition at higher concentrations. No cytotoxicity was observed in mammalian cells up to 20 µM. SEM revealed membrane wrinkling, pore-like depressions, rounded cell bodies, and multiple flagella, indicating cell division defects. TEM showed Golgi disorganization, autophagic vacuoles, mitochondrial vesiculation, and abnormal kinetoplast replication, while host cells remained structurally preserved. Both compounds induced significant ROS production in trypomastigotes after 24 h in a dose-dependent manner. Conclusions: LDT10 and LDT119 exhibited potent and selective in vitro activity against all developmental stages of T. cruzi, with low micromolar to submicromolar IC50/LD50 values, minimal mammalian cytotoxicity, and extensive morphological and ultrastructural damage consistent with disruption of phospholipid biosynthesis pathways. Combined with favorable in silico pharmacokinetic predictions, these CNSL-derived phospholipid analogs represent promising candidates for future Chagas disease chemotherapy and warrant further in vivo evaluation. Full article
(This article belongs to the Section Biopharmaceuticals)
Show Figures

Figure 1

22 pages, 6141 KB  
Article
Construction and Characterization of PDA@MnO2-Cored Multifunctional Targeting Nanoparticles Loaded with Survivin siRNA for Breast Tumor Therapy
by Jing Zhang, Wenhao Jiang, Lei Hu, Qing Du, Nina Filipczak, Satya Siva Kishan Yalamarty and Xiang Li
Pharmaceutics 2026, 18(1), 10; https://doi.org/10.3390/pharmaceutics18010010 - 21 Dec 2025
Viewed by 354
Abstract
Objective: This study aims to engineer a novel nanoparticle formulation for combined tumor therapy, designated as PDA@Mn-siSur-c-NPs, which comprises a polydopamine/manganese dioxide (PDA@MnO2) core alongside survivin-targeting siRNA and cyclo(RGD-DPhe-K)-targeting moiety. Methods: The PDA@Mn-siSur-c-NPs were constructed and subjected to detailed characterization. [...] Read more.
Objective: This study aims to engineer a novel nanoparticle formulation for combined tumor therapy, designated as PDA@Mn-siSur-c-NPs, which comprises a polydopamine/manganese dioxide (PDA@MnO2) core alongside survivin-targeting siRNA and cyclo(RGD-DPhe-K)-targeting moiety. Methods: The PDA@Mn-siSur-c-NPs were constructed and subjected to detailed characterization. Inductively coupled plasma optical emission spectroscopy (ICP-OES) was employed to quantify manganese content. To assess siRNA stability within the system, samples were incubated with 50% fetal bovine serum (FBS) before agarose gel electrophoresis analysis. Additionally, cellular internalization by 4T1 cells and in vitro photothermal conversion efficiency of the formulation were evaluated. ICP-OES was further utilized to investigate the in vivo pharmacokinetics and tissue distribution of manganese. Animal model studies were conducted to assess the anti-breast cancer efficacy of PDA@Mn-siSur-c-NPs in combination with infrared irradiation. Results: The newly developed PDA@Mn-siSur-c-NPs demonstrated superior siRNA protection, reduced toxicity, and high photothermal conversion capacity. When combined with photothermal therapy (PTT), these nanoparticles exerted enhanced synergistic anti-tumor effects. Delivery of survivin siRNA resulted in a significant downregulation of survivin protein expression in tumor tissues. Moreover, magnetic resonance imaging (MRI) confirmed that the nanoparticles possess favorable imaging properties. Conclusions: This research demonstrates that the integration of PDA@Mn-siSur-c-NPs with PTT holds considerable therapeutic promise for improved breast cancer treatment. Full article
(This article belongs to the Special Issue Hybrid Nanoparticles for Cancer Therapy)
Show Figures

Graphical abstract

Back to TopTop