Inhibitory Activity of LDT10 and LDT119, New Saturated Cardanols, Against Trypanosoma cruzi
Abstract
1. Introduction
2. Results
2.1. In Silico Analysis
2.2. Effects of LDT Compounds on T. cruzi
2.3. Evaluation of the Cytotoxicity of the Compounds in Cells of the HEPG2 and HFF-1 Strains
2.4. Effects of Phospholipid Analogs on the Morphology of Epimastigotes by Scanning Electron Microscopy (SEM)
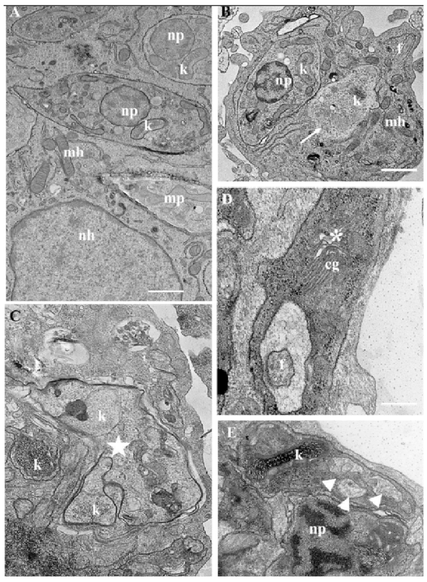
2.5. Analysis of the Effect on Ultrastructure of Epimastigotes and Amastigotes of T. cruzi Treated with LDT Compounds
2.6. ROS Production
3. Discussion
4. Materials and Methods
4.1. Synthesis of the LDT Compounds
- 3-Pentadecylphenol (LDT10)
- 2.
- (1-(2-(3-pentadecylphenoxy)ethyl)piperidine) (LDT119)
- 3.
- 1-(2-bromoethoxy)-3-pentadecylbenzene derivative (LDT117)
- 4.
- 1-(2-(3-pentadecylphenoxy)ethyl)piperidine (LDT119)
4.2. HPLC Analysis
4.3. In Silico Analysis
4.4. Cell Culture
4.5. Evaluation of the Antiproliferative Activity of the LDT Compounds in the Epimastigote Stage of T. cruzi
4.6. Evaluation of the Viability of the Trypomastigote of T. cruzi Treated with LDT Compounds
4.7. Evaluation of the Proliferation of Amastigotes of T. cruzi Treated with LDT Compounds
4.8. Evaluation of the Cytotoxicity of the Compounds in HFF-1 and HEPG2 Cells
4.9. Effects on Reactive Oxygen Species (ROS) Production
4.10. Evaluation of Ultrastructural Changes by Transmission Electron Microscopy (TEM)
4.11. Evaluation of Morphological Changes by Scanning Electron Microscopy (SEM)
4.12. Statistical Analysis
5. Conclusions
Supplementary Materials
Author Contributions
Funding
Institutional Review Board Statement
Informed Consent Statement
Data Availability Statement
Conflicts of Interest
References
- World Health Organization. Chagas Disease (Also Known as American Trypanosomiasis). 2025. Available online: https://www.who.int/news-room/fact-sheets/detail/chagas-disease-(american-trypanosomiasis) (accessed on 9 April 2025).
- Crespillo-Andújar, C.; Comeche, B.; Hamer, D.H.; Arevalo-Rodriguez, I.; Alvarez-Díaz, N.; Zamora, J.; Pérez-Molina, J.A. Use of benznidazole to treat chronic Chagas disease: An updated systematic review with a meta-analysis. PLoS Negl. Trop. Dis. 2022, 16, e0010386. [Google Scholar] [CrossRef]
- Forsyth, C.J.; Hernandez, S.; Olmedo, W.; Abuhamidah, A.; Traina, M.I.; Sanchez, D.R.; Soverow, J.; Meymandi, S.K. Safety Profile of Nifurtimox for Treatment of Chagas Disease in the United States. Clin. Infect. Dis. 2016, 63, 1056. [Google Scholar] [CrossRef]
- Francisco, A.F.; Jayawardhana, S.; Olmo, F.; Lewis, M.D.; Wilkinson, S.R.; Taylor, M.C.; Kelly, J.M. Challenges in Chagas Disease Drug Development. Molecules 2020, 25, 2799. [Google Scholar] [CrossRef]
- Rose, E.; Carvalho, J.L.; Hecht, M. Mechanisms of DNA repair in Trypanosoma cruzi: What do we know so far? DNA Repair 2020, 91, 102873. [Google Scholar] [CrossRef]
- Mazzeti, A.L.; Capelari-Oliveira, P.; Bahia, M.T.; Mosqueira, V.C.F. Review on Experimental Treatment Strategies Against Trypanosoma cruzi. J. Exp. Pharmacol. 2021, 13, 409–432. [Google Scholar] [CrossRef]
- Porta, E.O.J.; Kalesh, K.; Steel, P.G. Navigating Drug Repurposing for Chagas Disease: Advances, Challenges, and Opportunities. Front. Pharmacol. 2023, 14, 1233253. [Google Scholar] [CrossRef]
- Morillo, C.A.; Waskin, H.; Sosa-Estani, S.; Bangher, M.C.; Cuneo, C.; Milesi, R.; Mallagray, M.; Apt, W.; Beloscar, J.; Gascon, J.; et al. Benznidazole and Posaconazole in Eliminating Parasites in Asymptomatic T. cruzi Carriers: The STOP-CHAGAS Trial. J. Am. Coll. Cardiol. 2017, 69, 939–947. [Google Scholar] [CrossRef]
- Roig-Sanchis, J.; Bosch-Nicolau, P.; Silgado, A.; Salvador, F.; Sánchez-Montalvá, A.; Aznar, M.; Oliveira, I.; Espinosa-Pereiro, J.; Serre-Delcor, N.; Pou, D.; et al. Long-Term Follow-Up of Individuals with Chagas Disease Treated with Posaconazole and Benznidazole in a Non-Endemic Region: The CHAGASAZOL Cohort. Clin. Microbiol. Infect. 2025, 31, 1539–1545. [Google Scholar] [CrossRef]
- Pinazo, M.J.; Forsyth, C.; Losada, I.; Esteban, E.T.; García-Rodríguez, M.; Villegas, M.L.; Molina, I.; Crespillo-Andújar, C.; Gállego, M.; Ballart, C.; et al. Efficacy and safety of fexinidazole for treatment of chronic indeterminate Chagas disease (FEXI-12): A multicentre, randomised, double-blind, phase 2 trial. Lancet Infect. Dis. 2024, 24, 395–403. [Google Scholar] [CrossRef]
- Sangenito, L.S.; Branquinha, M.H.; Santos, A.L.S. Funding for Chagas disease: A 10-year (2009–2018) survey. Trop. Med. Infect. Dis. 2020, 5, 88. [Google Scholar] [CrossRef]
- Stasiuk, M.; Kozubek, A. Biological activity of phenolic lipids. Cell. Mol. Life Sci. 2010, 67, 841–860. [Google Scholar] [CrossRef]
- Hemshekhar, M.; Santhosh, M.S.; Kemparaju, K.; Girish, K.S. Emerging Roles of Anacardic Acid and Its Derivatives: A Pharmacological Overview. Fundam. Clin. Pharmacol. Toxicol. 2011, 110, 122–132. [Google Scholar] [CrossRef]
- Uliassi, E.; de Oliveira, A.S.; de Camargo Nascente, L.; Romeiro, L.A.S.; Bolognesi, M.L. Cashew Nut Shell Liquid (CNSL) as a Source of Drugs for Alzheimer’s Disease. Molecules 2021, 26, 5441. [Google Scholar] [CrossRef]
- Roy, A.; Fajardie, P.; Lepoittevin, B.; Baudoux, J.; Lapinte, V.; Caillol, S.; Briou, B. CNSL, a Promising Building Blocks for Sustainable Molecular Design of Surfactants: A Critical Review. Molecules 2022, 27, 1443. [Google Scholar] [CrossRef]
- Adekanbi, M.L.; Olugasa, T.T. Utilizing cashew nut shell liquid for the sustainable production of biodiesel: A comprehensive review. Clean. Chem. Eng. 2022, 4, 100085. [Google Scholar] [CrossRef]
- Trevisan, M.T.S.; Pfundstein, B.; Haubner, R.; Würtele, G.; Spiegelhalder, B.; Bartsch, H.; Owen, R.W. Characterization of alkyl phenols in cashew (Anacardium occidentale) products and assay of their antioxidant capacity. Food Chem. Toxicol. 2006, 44, 188–197. [Google Scholar] [CrossRef]
- de Andrade Ramos, G.; Souza, A.S.; Bartolini, M.; Naldi, M.; Liparulo, I.; Bergamini, C.; Uliassi, E.; Wu, L.; Fraser, P.E.; Abreu, M.; et al. LAS. Discovery of sustainable drugs for Alzheimer’s disease: Cardanol-derived cholinesterase inhibitors with antioxidant and anti-amyloid properties. RSC Med. Chem. 2021, 12, 1154–1163. [Google Scholar] [CrossRef]
- Gaitán-Jiménez, S.Y.; Restrepo-Sánchez, L.P.; Parada-Alfonso, F.; Narváez-Cuenca, C.E. Cashew (Anacardium occidentale) Nut-Shell Liquid as Antioxidant in Bulk Soybean Oil. Molecules 2022, 27, 8733. [Google Scholar] [CrossRef]
- Sung, B.; Pandey, M.K.; Ahn, K.S.; Yi, T.; Chaturvedi, M.M.; Liu, M.; Aggarwal, B.B. Anacardic acid (6-nonadecyl salicylic acid), an inhibitor of histone acetyltransferase, suppresses expression of nuclear factor-kappaB-regulated gene products involved in cell survival, proliferation, invasion, and inflammation through inhibition of the inhibitory subunit of nuclear factor-kappaBalpha kinase, leading to potentiation of apoptosis. Blood 2008, 111, 4880–4891. [Google Scholar]
- De Souza, W.; Godinho, J.; Barrias, E.; Roussaki, M.; Rodrigues, J.C.F.; Calogeropoulou, T. Effects of Phospholipid Analogues on Trypanosomatids. In Molecular Biology of Kinetoplastid Parasites; Majumder, H.K., Ed.; Caister Academic Press: Poole, UK, 2018; pp. 221–224. [Google Scholar]
- Getachew, F.; Gedamu, L. Leishmania donovani mitochondrial iron superoxide dismutase A is released into the cytosol during miltefosine-induced programmed cell death. Mol. Biochem. Parasitol. 2012, 183, 42–51. [Google Scholar] [CrossRef]
- Cerone, M.; Uliassi, E.; Prati, F.; Ebiloma, G.U.; Lemgruber, L.; Bergamini, C.; Watson, D.G.; Ferreira, T.A.M.; Cardoso, G.S.H.R.; Romeiro, L.A.S.; et al. Discovery of Sustainable Drugs for Neglected Tropical Diseases: Cashew Nut Shell Liquid (CNSL)-Based Hybrids Target Mitochondrial Function and ATP Production in Trypanosoma brucei. Chem. Med. Chem. 2019, 14, 621–635. [Google Scholar] [CrossRef]
- Bastos, T.M.; Russo, H.M.; Moretti, N.S.; Schenkman, S.; Marcourt, L.; Gupta, M.P.; Wolfender, J.L.; Queiroz, E.F.; Soares, M.B.P. Chemical Constituents of Anacardium occidentale as Inhibitors of Trypanosoma cruzi Sirtuins. Molecules 2019, 24, 1299. [Google Scholar] [CrossRef]
- Lemes, L.F.N.; Magoulas, G.E.; Oliveira, A.S.; Barrias, E.; Nascente, L.C.; Granado, R.; Silva, S.T.M.; Assimomytis, N.; de Souza, W.; Bolognesi, M.L.; et al. Valorizing Constituents of Cashew Nut Shell Liquid toward the Sustainable Development of New Drugs against Chagas Disease. ACS Infect. Dis. 2023, 9, 1334–1345. [Google Scholar] [CrossRef]
- Maxwell, P.I.; Popelier, P.L.A. Unfavorable regions in the Ramachandran plot: Is it truly due to steric hindrance? The interacting quantum atoms perspective. J. Comput. Chem. 2017, 38, 2459–2474. [Google Scholar] [CrossRef]
- de Souza, T.G.; de Lucena Costa, B.; Holanda, C.A.; Romeiro, L.A.S.; de Souza, W.; Benchimol, M. Effects of cardanol-based phospholipid analogs on Trichomonas vaginalis. Exp. Parasitol. 2024, 266, 108839. [Google Scholar] [CrossRef]
- Minini, L.; Álvarez, G.; González, M.; Cerecetto, H.; Merlino, A. Molecular docking and molecular dynamics simulation studies of Trypanosoma cruzi triosephosphate isomerase inhibitors. Insights into the inhibition mechanism and selectivity. J. Mol. Graph. Model. 2015, 58, 40–49. [Google Scholar] [CrossRef]
- Chazapi, E.; Magoulas, G.E.; Prousis, K.C.; Calogeropoulou, T. Phospholipid Analogues as Chemotherapeutic Agents Against Trypanosomatids. Curr. Pharm. Des. 2021, 27, 1790–1806. [Google Scholar] [CrossRef]
- Urbina, J.A. Mechanisms of action of lysophospholipid analogues against trypanosomatid parasites. Trans. R. Soc. Trop. Med. Hyg. 2006, 100, 9–16. [Google Scholar] [CrossRef]
- Van Hoogvest, P.; Wendell, A. The use of natural and synthetic phospholipids as pharmaceutical excipients. Eur. J. Lipid. Sci. Technol. 2014, 116, 1088–1107. [Google Scholar] [CrossRef]
- Smith, T.K.; Bütikofer, P. Lipid metabolism in Trypanosoma brucei. Mol. Biochem. Parasitol. 2010, 172, 66–79. [Google Scholar] [CrossRef]
- Lynch, T.; Price, A. The effect of cytochrome P450 metabolism on drug response, interactions, and adverse effects. Am. Fam. Physician 2007, 76, 391–396. [Google Scholar]
- Katsuno, K.; Burrows, J.N.; Duncan, K.; Hooft Van Huijsduijnen, R.; Kaneko, T.; Kita, K. Hit and lead criteria in drug discovery for infectious diseases of the developing world. Nat. Rev. Drug Discov. 2015, 14, 751–758. [Google Scholar] [CrossRef]
- Kirchmair, J.; Göller, A.H.; Lang, D.; Kunze, J.; Testa, B.; Wilson, I.D.; Glen, R.C.; Schneider, G. Predicting drug metabolism: Experiment and/or computation? Nat. Rev. Drug Discov. 2015, 14, 387–404. [Google Scholar] [CrossRef]
- Pires, D.E.; Blundell, T.L.; Ascher, D.B. pkCSM: Predicting Small-Molecule Pharmacokinetic and Toxicity Properties Using Graph-Based Signatures. J. Med. Chem. 2015, 58, 4066–4072. [Google Scholar] [CrossRef] [PubMed]
- Tornio, A.; Backman, J.T. Cytochrome P450 in Pharmacogenetics: An Update. Adv. Pharmacol. 2013, 83, 3–32. [Google Scholar]
- Vargas, J.A.; López, A.G.; Pérez, Y.; Cos, P.; Froeyen, M. In vitro evaluation of arylsubstituted imidazoles derivatives as antiprotozoal agents and docking studies on sterol 14α-demethylase (CYP51) from Trypanosoma cruzi, Leishmania infantum, and Trypanosoma brucei. Parasitol. Res. 2019, 118, 1533–1548. [Google Scholar] [CrossRef]
- Kip, A.E.; Schellens, J.H.M.; Beijnen, J.H.; Dorlo, T.P.C. Clinical Pharmacokinetics of Systemically Administered Antileishmanial Drugs. Clin. Pharmacokinet. 2018, 57, 151–176. [Google Scholar] [CrossRef]
- Berman, J. Recent Developments in Leishmaniasis: Epidemiology, Diagnosis, and Treatment. Curr. Infect. Dis. Rep. 2005, 7, 33–38. [Google Scholar] [CrossRef]
- Amin, M.L. P-glycoprotein Inhibition for Optimal Drug Delivery. Drug Target Insights 2013, 7, 27–34. [Google Scholar] [CrossRef]
- Nacer, A.; Movila, A.; Baer, K.; Mikolajczak, S.A.; Kappe, S.H.; Frevert, U. Neuroimmunological blood brain barrier opening in experimental cerebral malaria. PLoS Pathog. 2012, 8, e1002982. [Google Scholar] [CrossRef]
- Murta, S.M.; dos Santos, W.G.; Anacleto, C.; Nirdé, P.; Moreira, E.S.; Romanha, A.J. Drug resistance in Trypanosoma cruzi is not associated with amplification or overexpression of P-glycoprotein (PGP) genes. Mol. Biochem. Parasitol. 2001, 117, 223–228. [Google Scholar] [CrossRef] [PubMed]
- Wang, P.; Tu, Y.; Tseng, T.J. PgpRules: A Decision Tree Based Prediction Server for P-glycoprotein Substrates and Inhibitors. Bioinformatics 2019, 35, 4193–4195. [Google Scholar] [CrossRef] [PubMed]
- Geldenhuys, W.J.; Mohammad, A.S.; Adkins, C.E.; Lockman, P.R. Molecular determinants of blood-brain barrier permeation. Ther. Deliv. 2015, 6, 961–971. [Google Scholar] [CrossRef]
- Croft, S.L.; Neal, R.A.; Thornton, E.A.; Herrmann, D.B.J. Antileishmanial activity of the ether phospholipid ilmofosine. Trans. R. Soc. Trop. Med. Hyg. 1993, 87, 217–219. [Google Scholar] [CrossRef] [PubMed]
- Dorlo, T.P.C.; Balasegaram, M.; Beijnen, J.H.; De Vries, P.J. Miltefosine: A review of its pharmacology and therapeutic efficacy in the treatment of leishmaniasis. J. Antimicrob. Chemother. 2012, 67, 2576–2597. [Google Scholar] [CrossRef]
- López-Arencibia, A.; Martín-Navarro, C.; Sifaoui, I. Perifosine mechanisms of action in Leishmania species. Antimicrob. Agents Chemother. 2017, 61, 10–128. [Google Scholar] [CrossRef]
- Fortin, A.; Hendrickx, S.; Yardley, V.; Cos, P.; Jansen, H.; Maes, L. Efficacy and tolerability of oleylphosphocholine (OlPC) in a laboratory model of visceral leishmaniasis. J. Antimicrob. Chemother. 2012, 67, 2707–2712. [Google Scholar] [CrossRef]
- Barrias, E.; Reignault, L.C.; Calogeropoulou, T.; De Souza, W. In Vitro activities of adamantylidene-substituted alkylphosphocholine TCAN26 against Trypanosoma cruzi: Antiproliferative and ultrastructural effects. Exp. Parasitol. 2019, 206, 107730. [Google Scholar] [CrossRef]
- Magoulas, G.E.; Afroudakis, P.; Georgikopoulou, K.; Roussaki, M.; Borsari, C.; Fotopoulou, T.; Santarem, N.; Barrias, E.; Tejera Nevado, P.; Hachenberg, J.; et al. Design, Synthesis and Antiparasitic Evaluation of Click Phospholipids. Molecules 2021, 26, 4204. [Google Scholar] [CrossRef]
- Rios-Marco, P.; Marco, C.; Galvez, X.; Jimenez-Lopez, J.M.; Carrasco, M.P. Alkylphospholipids: An update on molecular mechanisms and clinical relevance. Biochim. Biophys. Acta (BBA)-Biomembr. 2017, 1859, 1657–1667. [Google Scholar] [CrossRef]
- Godinho, J.L.P.; Georgikopoulou, K.; Calogeropoulou, T.; De Souza, W.; Rodrigues, J.C.F. A novel alkyl phosphocholine-dinitroaniline hybrid molecule exhibits biological activity in vitro against Leishmania amazonensis. Exp. Parasitol. 2013, 135, 153–165. [Google Scholar] [CrossRef] [PubMed]
- Sahin, C.; Magomedova, L.; Ferreira, T.A.M.; Liu, J.; Tiefenbach, J.; Alves, P.S.; Queiroz, F.J.G.; Oliveira, A.S.; Bhattacharyya, M.; Grouleff, J.; et al. Phenolic Lipids Derived from Cashew Nut Shell Liquid to Treat Metabolic Diseases. J. Med. Chem. 2022, 65, 1961–1978. [Google Scholar] [CrossRef] [PubMed]
- Nefertiti, A.S.G.; Batista, M.M.; Da Silva, P.B.; Batista, D.G.J.; Da Silva, C.F.; Peres, R.B.; Torres-Santos, E.C.; Cunha-Junior, E.F.; Holt, E.; Boykin, D.W. In Vitro and In Vivo Studies of the Trypanocidal Effect of Novel Quinolines. Antimicrob. Agents Chemother. 2018, 62, 10–128. [Google Scholar] [CrossRef] [PubMed]












| Compound | LDT10 | LDT119 | BZN | NFX |
|---|---|---|---|---|
| MW (g/mol) | 305.52 | 415.69 | 270.33 | 267.29 |
| LogP | 4.77 | 6.99 | 0.50 | 0.54 |
| Solubility | Low | Low | High | High |
| Lipinski Violation | 0 | 1 | 0 | 0 |
| Intestinal absorption | 93.01% | 89.79% | 66% | 83.9% |
| Blood–brain barrier | No | No | No | No |
| GpP Substrate | No | Yes | Yes | No |
| GpP Inhibitor | No | Yes | No | No |
| CYP1A2 Inhibitor | Yes | No | No | No |
| CYP2C19 Inhibitor | Yes | No | No | No |
| CYP2D6 Inhibitor | No | No | No | No |
| CYP3A4 Inhibitor | No | No | No | Yes |
| Mutagenic potential | No | No | No | No |
| Hepatotoxicity | No | No | Yes | No |
| Dose (mg/kg/day) | 0.408 | 0.273 | 0.254 | 0.216 |
Disclaimer/Publisher’s Note: The statements, opinions and data contained in all publications are solely those of the individual author(s) and contributor(s) and not of MDPI and/or the editor(s). MDPI and/or the editor(s) disclaim responsibility for any injury to people or property resulting from any ideas, methods, instructions or products referred to in the content. |
© 2025 by the authors. Licensee MDPI, Basel, Switzerland. This article is an open access article distributed under the terms and conditions of the Creative Commons Attribution (CC BY) license.
Share and Cite
Granado, R.; de Lucena Costa, B.; Holanda, C.A.; Moreira, D.C.; Romeiro, L.A.S.; Barrias, E.S.; de Souza, W. Inhibitory Activity of LDT10 and LDT119, New Saturated Cardanols, Against Trypanosoma cruzi. Pharmaceuticals 2026, 19, 30. https://doi.org/10.3390/ph19010030
Granado R, de Lucena Costa B, Holanda CA, Moreira DC, Romeiro LAS, Barrias ES, de Souza W. Inhibitory Activity of LDT10 and LDT119, New Saturated Cardanols, Against Trypanosoma cruzi. Pharmaceuticals. 2026; 19(1):30. https://doi.org/10.3390/ph19010030
Chicago/Turabian StyleGranado, Renato, Brenda de Lucena Costa, Cleonice Andrade Holanda, Daniel Carneiro Moreira, Luiz Antonio Soares Romeiro, Emile Santos Barrias, and Wanderley de Souza. 2026. "Inhibitory Activity of LDT10 and LDT119, New Saturated Cardanols, Against Trypanosoma cruzi" Pharmaceuticals 19, no. 1: 30. https://doi.org/10.3390/ph19010030
APA StyleGranado, R., de Lucena Costa, B., Holanda, C. A., Moreira, D. C., Romeiro, L. A. S., Barrias, E. S., & de Souza, W. (2026). Inhibitory Activity of LDT10 and LDT119, New Saturated Cardanols, Against Trypanosoma cruzi. Pharmaceuticals, 19(1), 30. https://doi.org/10.3390/ph19010030

