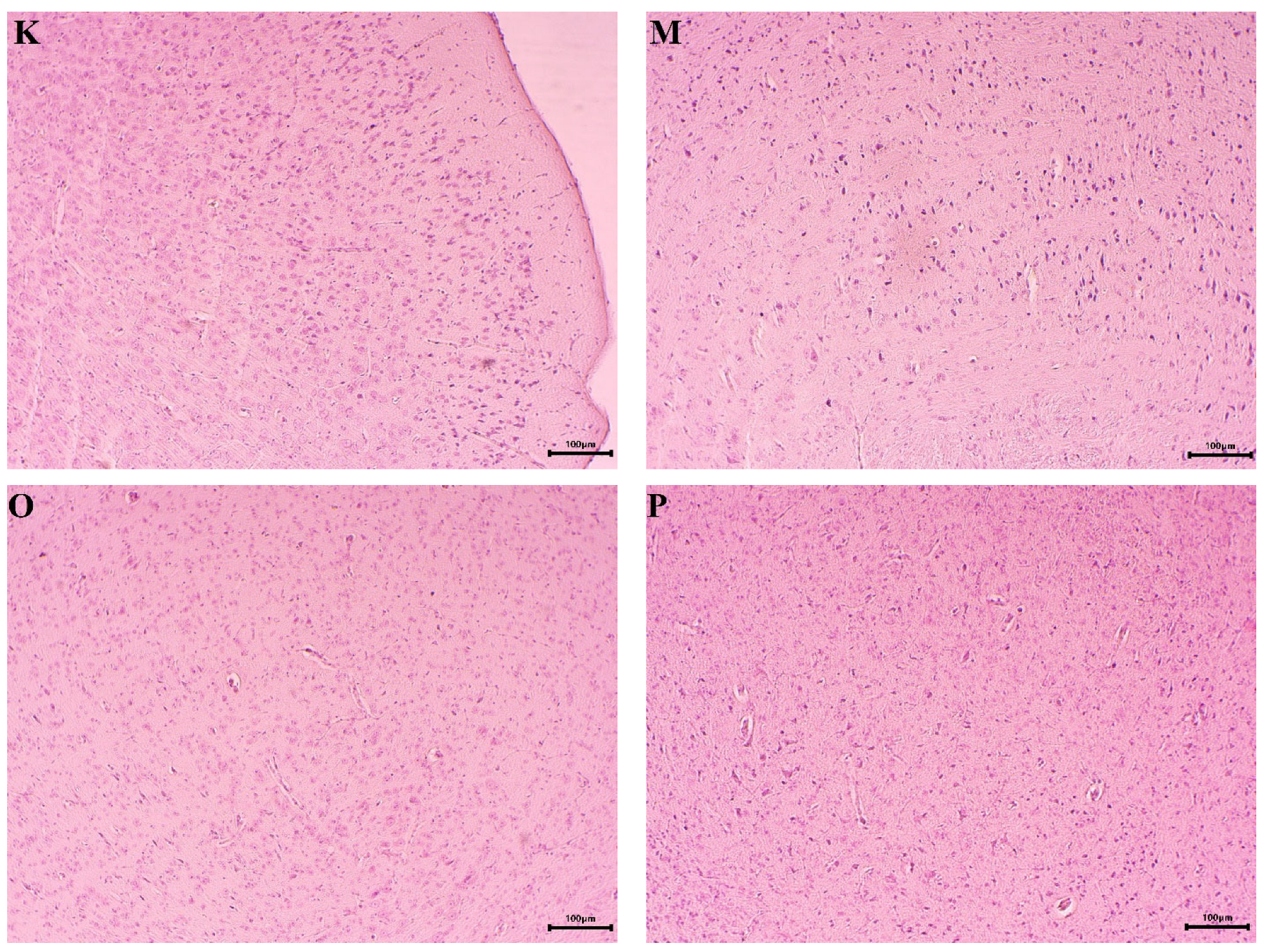
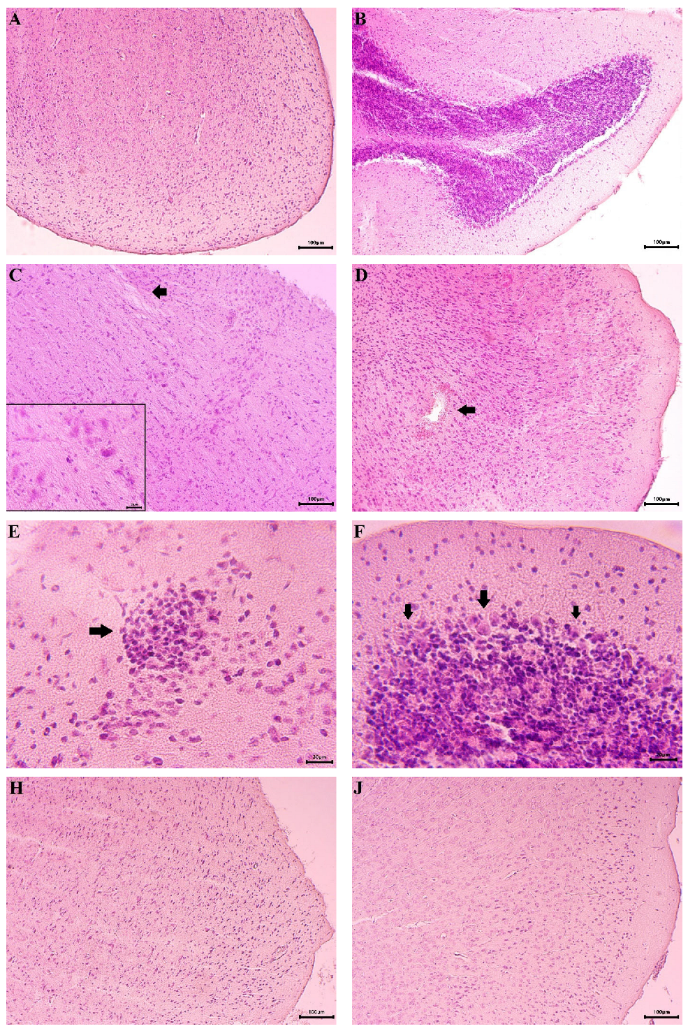
Neuroprotective and Antioxidant Activity of Newly Synthesized N-Pyrrolyl Hydrazide-Hydrazones in Experimental Models of Neurotoxicity In Vitro and In Vivo
Abstract
Share and Cite
Manov, M.; Stefanova, D.; Kondeva-Burdina, M.; Yordanov, Y.; Sharkov, M.; Tzankova, D.; Mateev, E.; Georgieva, M.; Popov, G.; Manov, V.; et al. Neuroprotective and Antioxidant Activity of Newly Synthesized N-Pyrrolyl Hydrazide-Hydrazones in Experimental Models of Neurotoxicity In Vitro and In Vivo. Int. J. Mol. Sci. 2026, 27, 370. https://doi.org/10.3390/ijms27010370
Manov M, Stefanova D, Kondeva-Burdina M, Yordanov Y, Sharkov M, Tzankova D, Mateev E, Georgieva M, Popov G, Manov V, et al. Neuroprotective and Antioxidant Activity of Newly Synthesized N-Pyrrolyl Hydrazide-Hydrazones in Experimental Models of Neurotoxicity In Vitro and In Vivo. International Journal of Molecular Sciences. 2026; 27(1):370. https://doi.org/10.3390/ijms27010370
Chicago/Turabian StyleManov, Martin, Denitsa Stefanova, Magdalena Kondeva-Burdina, Yordan Yordanov, Martin Sharkov, Diana Tzankova, Emilio Mateev, Maya Georgieva, Georgi Popov, Vasil Manov, and et al. 2026. "Neuroprotective and Antioxidant Activity of Newly Synthesized N-Pyrrolyl Hydrazide-Hydrazones in Experimental Models of Neurotoxicity In Vitro and In Vivo" International Journal of Molecular Sciences 27, no. 1: 370. https://doi.org/10.3390/ijms27010370
APA StyleManov, M., Stefanova, D., Kondeva-Burdina, M., Yordanov, Y., Sharkov, M., Tzankova, D., Mateev, E., Georgieva, M., Popov, G., Manov, V., Frosini, M., Valoti, M., & Tzankova, V. (2026). Neuroprotective and Antioxidant Activity of Newly Synthesized N-Pyrrolyl Hydrazide-Hydrazones in Experimental Models of Neurotoxicity In Vitro and In Vivo. International Journal of Molecular Sciences, 27(1), 370. https://doi.org/10.3390/ijms27010370

