Sign in to use this feature.

Years

Between: -

Subjects

remove_circle_outline
remove_circle_outline
remove_circle_outline
remove_circle_outline

Journals

Article Types

Countries / Regions

Search Results (12)

Search Parameters:
Keywords = immunoreactive trypsin

Order results
Result details
Results per page
Select all
Export citation of selected articles as:
8 pages, 2259 KB  
Case Report
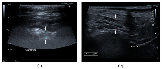
Successful Management of a Pancreatic Abscess in a Dog with Juvenile Diabetes Mellitus Through Ultrasound-Guided Drainage and Medical Therapy
by Alexandra Daravigka, Stefanos Ninis, Panagiotis Bourdekas, Alexandros O. Konstantinidis, Argyrios Ginoudis, Katerina K. Adamama-Moraitou, Maria Lyraki and Nektarios Soubasis
Vet. Sci. 2025, 12(7), 604; https://doi.org/10.3390/vetsci12070604 - 20 Jun 2025
Viewed by 2767
Abstract
A five-month-old female mixed-breed dog presented with a two-week history of polyuria, polydipsia, and vomiting. Clinical examination revealed poor body condition, growth retardation, pale oral mucous membranes, weak pulse, and prolonged capillary refill time. Laboratory findings included neutrophilic leukocytosis with a regenerative left [...] Read more.
A five-month-old female mixed-breed dog presented with a two-week history of polyuria, polydipsia, and vomiting. Clinical examination revealed poor body condition, growth retardation, pale oral mucous membranes, weak pulse, and prolonged capillary refill time. Laboratory findings included neutrophilic leukocytosis with a regenerative left shift, fasting hyperglycemia, elevated fructosamine, glycated hemoglobin, and β-hydroxybutyrate concentrations, while the acid–base balance remained normal. Canine-specific pancreatic lipase and trypsin-like immunoreactivity concentrations ruled out an underlying pancreatitis or exocrine pancreatic insufficiency, respectively. Urinalysis showed glycosuria and ketonuria. Supportive care included antibiotics and regular insulin administration. Abdominal ultrasonography identified a pancreatic cavity with a thick wall and mixed echogenic fluid. Ultrasound-guided drainage was performed without complications. Cytology confirmed a pancreatic abscess with pyogranulomatous inflammation, though the culture results were negative. The dog was discharged with intermediate-acting lente insulin. Follow-up ultrasonographic evaluations at 7, 14, and 21 days and 5 months post-drainage showed no recurrence. The diabetes remained well-controlled one year post-discharge. This case report describes the successful management of a dog with juvenile diabetes mellitus complicated by a pancreatic abscess, highlighting the effectiveness of percutaneous ultrasound-guided drainage combined with medical therapy. Full article
(This article belongs to the Section Veterinary Internal Medicine)
Show Figures

Figure 1

15 pages, 2549 KB  
Article
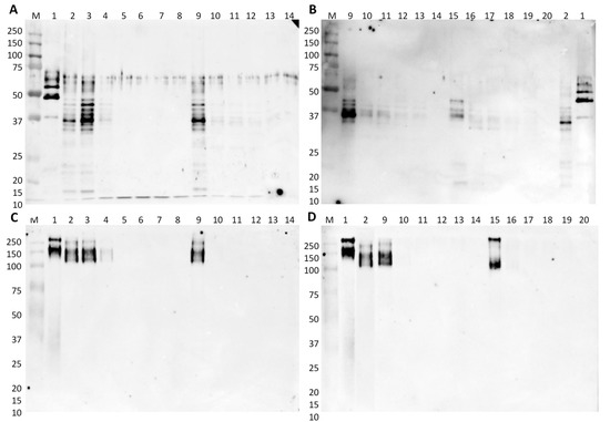
Impact of Heat and Pressure Processing Treatments on the Digestibility of Peanut, Hazelnut, Pistachio and Cashew Allergens
by Claudia Arribas, Africa Sanchiz, Mercedes M. Pedrosa, Selene Perez-Garcia, Rosario Linacero and Carmen Cuadrado
Foods 2024, 13(22), 3549; https://doi.org/10.3390/foods13223549 - 7 Nov 2024
Cited by 3 | Viewed by 3752
Abstract
Food processing can alter protein biochemical properties, impacting immunoreactivity and allergenicity. A key feature of food allergens is their resistance to enzymatic digestion, particularly by pepsin and trypsin. This study compares the digestomes of raw and heat- and/or pressure-treated peanuts, hazelnuts, pistachios and [...] Read more.
Food processing can alter protein biochemical properties, impacting immunoreactivity and allergenicity. A key feature of food allergens is their resistance to enzymatic digestion, particularly by pepsin and trypsin. This study compares the digestomes of raw and heat- and/or pressure-treated peanuts, hazelnuts, pistachios and cashews using the INFOGEST harmonized digestion protocol and analyzing their IgE-binding capacity through in vitro methods. Protein patterns from controls and digestomes were resolved by SDS-PAGE and tested with sera from allergic patients, confirmed by competitive ELISA for hazelnuts and peanuts. The results indicate that processing methods differently affect the gastrointestinal (GI) digestion of these allergens. Simulated GI digestion caused a significant destruction of protein structures, reducing but not eliminating IgE reactivity for all four nuts. Boiling for 60 min did not change the SDS-PAGE profiles, but it did stimulate enzymatic activity, decreasing IgE binding capacity. In contrast, applying heat and pressure led to a nearly complete inhibition of allergenic potential during simulated digestion. These findings suggest that employing intense food processing techniques and investigating the gastrointestinal effects of highly allergenic nuts could be crucial steps toward developing new hypoallergenic formulations. Full article
(This article belongs to the Section Food Engineering and Technology)
Show Figures

Figure 1

20 pages, 2881 KB  
Article
Surface-Exposed Protein Moieties of Burkholderia cenocepacia J2315 in Microaerophilic and Aerobic Conditions
by António M. M. Seixas, Carolina Silva, Joana M. M. Marques, Patrícia Mateus, Manuel J. Rodríguez-Ortega, Joana R. Feliciano, Jorge H. Leitão and Sílvia A. Sousa
Vaccines 2024, 12(4), 398; https://doi.org/10.3390/vaccines12040398 - 9 Apr 2024
Cited by 2 | Viewed by 2591
Abstract
Burkholderia cepacia complex infections remain life-threatening to cystic fibrosis patients, and due to the limited eradication efficiency of current treatments, novel antimicrobial therapies are urgently needed. Surface proteins are among the best targets to develop new therapeutic strategies since they are exposed to [...] Read more.
Burkholderia cepacia complex infections remain life-threatening to cystic fibrosis patients, and due to the limited eradication efficiency of current treatments, novel antimicrobial therapies are urgently needed. Surface proteins are among the best targets to develop new therapeutic strategies since they are exposed to the host’s immune system. A surface-shaving approach was performed using Burkholderia cenocepacia J2315 to quantitatively compare the relative abundance of surface-exposed proteins (SEPs) expressed by the bacterium when grown under aerobic and microaerophilic conditions. After trypsin incubation of live bacteria and identification of resulting peptides by liquid chromatography coupled with mass spectrometry, a total of 461 proteins with ≥2 unique peptides were identified. Bioinformatics analyses revealed a total of 53 proteins predicted as localized at the outer membrane (OM) or extracellularly (E). Additionally, 37 proteins were predicted as moonlight proteins with OM or E secondary localization. B-cell linear epitope bioinformatics analysis of the proteins predicted to be OM and E-localized revealed 71 SEP moieties with predicted immunogenic epitopes. The protegenicity higher scores of proteins BCAM2761, BCAS0104, BCAL0151, and BCAL0849 point out these proteins as the best antigens for vaccine development. Additionally, 10 of the OM proteins also presented a high probability of playing important roles in adhesion to host cells, making them potential targets for passive immunotherapeutic approaches. The immunoreactivity of three of the OM proteins identified was experimentally demonstrated using serum samples from cystic fibrosis patients, validating our strategy for identifying immunoreactive moieties from surface-exposed proteins of potential interest for future immunotherapies development. Full article
(This article belongs to the Special Issue Vaccinomics: Omics-System Biology Approach in Vaccine Development)
Show Figures

Figure 1

12 pages, 1344 KB  
Article
The Immune System Response to 15-kDa Barley Protein: A Mouse Model Study
by Barbara Wróblewska, Ewa Kubicka, Ewelina Semenowicz, Anna Ogrodowczyk, Anita Mikołajczyk and Dagmara Złotkowska
Nutrients 2022, 14(20), 4371; https://doi.org/10.3390/nu14204371 - 18 Oct 2022
Cited by 1 | Viewed by 2228
Abstract
Barley (Hordeum vulgare L.) proteins are taxonomically homologous to wheat proteins and react with sera from patients with baker’s asthma. In the current work, the crude extract of barley proteins was divided into six fractions on DEAE-Sepharose. Their immunoreactivity in reacting with [...] Read more.
Barley (Hordeum vulgare L.) proteins are taxonomically homologous to wheat proteins and react with sera from patients with baker’s asthma. In the current work, the crude extract of barley proteins was divided into six fractions on DEAE-Sepharose. Their immunoreactivity in reacting with sera from patients with a confirmed food allergy varied, and the 15-kDa fraction (B–FrVI) showed the strongest response. In silico analysis confirmed that 15-kDa B-FrVI protein belongs to the trypsin/amylase inhibitor family and to a group of MHC type II allergens. In the next step, the immunogenicity of the B-FrVI was examined in a mouse model. It was shown that, compared to the PBS group, administration of B-FrVI to mice induced almost 2× higher amounts of specific IgG, ~217, and IgA ~29, as early as day 28 after immunization, regardless of the route (intraperitoneal or oral) of antigen administration (p < 0.0001). An ELISpot for B-cell responses confirmed it. Stimulation of mesenteric lymphocytes with pure B-FrVI significantly increased (p < 0.001) the proliferation of lymphocytes from all groups compared to cells growing in media only and stimulated with lyophilized beer. The experiments prove the strong immunogenicity of the 15-kDa B-FrVI protein and provide a basis for future studies of the allergenic nature of this protein. Full article
(This article belongs to the Section Nutritional Immunology)
Show Figures

Graphical abstract

11 pages, 1162 KB  
Article
Serial Measurement of Serum Pancreatic Lipase Immunoreactivity, Feline Trypsin-like Immunoreactivity, and Cobalamin Concentrations in Kittens
by Evangelia M. Stavroulaki, Kassiopi Christina G. Kokkinaki, Manolis N. Saridomichelakis, Jörg M. Steiner, Jonathan A. Lidbury and Panagiotis G. Xenoulis
Vet. Sci. 2022, 9(9), 469; https://doi.org/10.3390/vetsci9090469 - 31 Aug 2022
Cited by 4 | Viewed by 3349
Abstract
Serum concentrations of feline pancreatic lipase immunoreactivity (fPLI), feline trypsin-like immunoreactivity (fTLI), and cobalamin are commonly used for the diagnostic investigation of cats with gastrointestinal signs. No information on these parameters in healthy cats less than 1 year of age exists. We aimed [...] Read more.
Serum concentrations of feline pancreatic lipase immunoreactivity (fPLI), feline trypsin-like immunoreactivity (fTLI), and cobalamin are commonly used for the diagnostic investigation of cats with gastrointestinal signs. No information on these parameters in healthy cats less than 1 year of age exists. We aimed to evaluate serum concentrations of fPLI, fTLI, and cobalamin in healthy cats at different time-points during their first 12 months of life. Fourteen healthy 2-month-old kittens were included. Blood was collected at 2, 3, 4, 6, and 12 months of age, and serum concentrations of fPLI, fTLI, and cobalamin were measured. While there was a statistically significant difference in serum fPLI concentrations over time, there was no statistically significant difference between individual time-points. There was no significant difference in serum fTLI concentrations over time. Serum cobalamin concentrations were below the reference interval in 3/13 cats at 2 months of age and were significantly lower by 3 months, when 13/14 had hypocobalaminemia. By 12 months, serum cobalamin had significantly increased, yet 4/12 cats still had hypocobalaminemia. Serum fPLI and fTLI concentrations did not show any statistically or clinically significant differences in young kittens. In contrast, serum cobalamin concentrations were commonly below the reference interval in kittens. Serum fPLI and fTLI concentrations are not practically affected by age in kittens as young as 2 months of age and could be used for the investigation of pancreatic diseases. Full article
(This article belongs to the Special Issue Veterinary Clinical Pathology and Diagnostic Research)
Show Figures

Figure 1

12 pages, 4376 KB  
Article
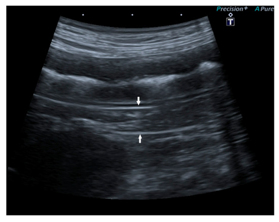
Ultrasonographic Findings of Exocrine Pancreatic Insufficiency in Dogs
by Tina Pelligra, Caterina Puccinelli, Veronica Marchetti and Simonetta Citi
Vet. Sci. 2022, 9(8), 407; https://doi.org/10.3390/vetsci9080407 - 4 Aug 2022
Cited by 2 | Viewed by 5998
Abstract
Exocrine pancreatic insufficiency (EPI) is a syndrome characterized by insufficient synthesis of pancreatic enzymes leading to clinical symptoms of malabsorption and maldigestion. There are no studies about ultrasonographic appearance of the pancreas with EPI in dogs. The purpose of this retrospective study was [...] Read more.
Exocrine pancreatic insufficiency (EPI) is a syndrome characterized by insufficient synthesis of pancreatic enzymes leading to clinical symptoms of malabsorption and maldigestion. There are no studies about ultrasonographic appearance of the pancreas with EPI in dogs. The purpose of this retrospective study was to describe ultrasound features of the pancreas during EPI in this species. Dogs with history and clinical signs of maldigestion, serum canine trypsin-like immunoreactivity (cTLI) values <5 µg/L, and abdominal ultrasound exam were included in the study. Size, shape, margin, echogenicity, echostructure, and pancreatic duct appearance of the right pancreatic lobe were valued. Additional sonographic intestinal findings were recorded. Thirty-four dogs were included. The mean pancreatic thickness in our population was significantly lower than the mean reference values of healthy dogs. In 68% of dogs, the pancreas had a normal ultrasound appearance. Ultrasonographic intestinal abnormal findings were identified in 85% of dogs and were suggestive of inflammatory bowel disease. Despite the fact that EPI is a functional diagnosis, ultrasound evaluation should be considered among the useful tests. The finding of a normal but thinned pancreas associated with sonographic intestinal signs of inflammatory bowel disease in dogs with typical history and supportive clinical signs could suggest a diagnosis of EPI. Full article
(This article belongs to the Section Veterinary Internal Medicine)
Show Figures

Figure 1

7 pages, 418 KB  
Article
A Public Dialogue to Inform the Use of Wider Genomic Testing When Used as Part of Newborn Screening to Identify Cystic Fibrosis
by Suzannah Kinsella, Henrietta Hopkins, Lauren Cooper and James R. Bonham
Int. J. Neonatal Screen. 2022, 8(2), 32; https://doi.org/10.3390/ijns8020032 - 9 May 2022
Cited by 19 | Viewed by 3863
Abstract
Cystic fibrosis (CF) has been included within the UK national newborn screening programme since 2007. The approach uses measures of immunoreactive trypsin (IRT) in dried blood spot samples obtained at day 5 of life. Samples which reveal IRT results >99.5th centile go on [...] Read more.
Cystic fibrosis (CF) has been included within the UK national newborn screening programme since 2007. The approach uses measures of immunoreactive trypsin (IRT) in dried blood spot samples obtained at day 5 of life. Samples which reveal IRT results >99.5th centile go on to be tested for a limited panel of CF mutations. While the programme works well and achieves a high level of sensitivity and specificity, it relies upon repeat testing in some cases and identifies probable carriers, both potentially provoking parental anxiety. In addition, the limited CF mutation panel may not fully reflect the ethnic diversity within the UK population. The use of wider genomic screening, made possible by next-generation sequencing to replace more limited panels, can be used to avoid these shortcomings. However, the way in which this approach is employed can either be designed to maximise specificity by limiting reporting to combinations of known pathogenic mutations or can maximise sensitivity by also reporting combinations of pathogenic mutations together with variants of uncertain significance. The latter approach also increases the number of Cystic Fibrosis Screen-Positive Inconclusive Diagnosis (CFSPID) designations reported, resulting in uncertainty for parents. To help consider the design of the programme, a dialogue was commissioned by the UK National Screening Committee (UKNSC) to elicit the views of members of the public without direct experience of CF, to determine if there was a preference for maximising the sensitivity or the specificity of CF screening. The participants initially expressed a clear preference to maximise sensitivity and avoid missing CF cases, but after time to reflect and consider the implications of their choice, a number changed their views so as to tolerate some missed cases if this resulted in greater certainty of outcome; this became the majority view. It is proposed that it may be a generalisable finding that the public, when facing whole-population screening programmes, may require significant time and information to inform and make their choices and may attach great importance to clarity and certainty of outcome in the screening process. Full article
(This article belongs to the Special Issue Ethical and Psychosocial Aspects of Genomics in the Neonatal Period)
Show Figures

Figure 1

13 pages, 1914 KB  
Article
Signalment and Clinical Data of Cats with Exocrine Pancreatic Insufficiency Diagnosed Using Feline Trypsin-like Immunoreactivity in Routine Diagnostics
by Katrin Törner, Julia Maria Grassinger, Corinna N. Weber, Heike Aupperle-Lellbach, Argine Cerezo-Echevarria and Elisabeth Müller
Vet. Sci. 2021, 8(8), 155; https://doi.org/10.3390/vetsci8080155 - 3 Aug 2021
Cited by 3 | Viewed by 6144
Abstract
Serum feline trypsin-like immunoreactivity (fTLI) is commonly used to diagnose feline exocrine pancreatic insufficiency (EPI). This study aimed to describe signalment and clinical data of cats with EPI. Determination of TLI was performed using an in-house ELISA; the reference interval was defined using [...] Read more.
Serum feline trypsin-like immunoreactivity (fTLI) is commonly used to diagnose feline exocrine pancreatic insufficiency (EPI). This study aimed to describe signalment and clinical data of cats with EPI. Determination of TLI was performed using an in-house ELISA; the reference interval was defined using a Reference Limit Estimator. Groups were formed from 4813 cats (2019–2020), based on their fTLI concentration: 1 (<8 µg/L; decreased; n = 275), 2 (8–88 µg/L; reference interval; n = 4256), and 3 (>88 µg/L; increased; n = 282). Males and Domestic Shorthairs were most common in all groups. Group 3 had the highest (13 years), and group 1 had the lowest (9 years), median age. Clinical information was available for 200 cats (decreased fTLI: n = 87, lower reference interval (8–12 µg/L): n = 113). Treatment response was observed in 83% (decreased fTLI) and 66% (lower reference interval). EPI cats displayed weight loss (69%), diarrhoea (68%), vomiting (41%), anorexia (39%), poor hair coat (35%), lethargy (33%), and/or polyphagia (21%). The lower the serum fTLI concentration, the more often good treatment response was reported (p = 0.022) but there were no statistically significant clinical signs. In conclusion, fTLI is a helpful parameter to diagnose EPI but predicting treatment response based on signalment or clinical signs is not possible. Full article
Show Figures

Figure 1

5 pages, 184 KB  
Review
It All Depends What You Count—The Importance of Definitions in Evaluation of CF Screening Performance
by Natasha Heather and Dianne Webster
Int. J. Neonatal Screen. 2020, 6(2), 47; https://doi.org/10.3390/ijns6020047 - 10 Jun 2020
Cited by 6 | Viewed by 2581
Abstract
Screening metrics are essential to both quality assessment and improvement, but are highly dependent on the way positive tests and cases are counted. In cystic fibrosis (CF) screening, key factors include how mild cases of late-presenting CF and CF screen positive, inconclusive diagnosis [...] Read more.
Screening metrics are essential to both quality assessment and improvement, but are highly dependent on the way positive tests and cases are counted. In cystic fibrosis (CF) screening, key factors include how mild cases of late-presenting CF and CF screen positive, inconclusive diagnosis (CFSPID) are counted, whether those at prior increased risk of CF are excluded from the screened population, and which aspects of the screening pathway are considered. This paper draws on the New Zealand experience of almost forty years of newborn screening for CF. We demonstrate how different definitions impact the calculation of screening sensitivity. We suggest that, to enable meaningful comparison, CF screening reports should clarify what steps in the screening pathway are included in the assessment, as well as the algorithm used and screening target. Full article
(This article belongs to the Special Issue Newborn Screening for Cystic Fibrosis)
16 pages, 3371 KB  
Article
Immunoreactivity of Lupine and Soybean Allergens in Foods as Affected by Thermal Processing
by Caterina Villa, Mónica B. M. V. Moura, Joana Costa and Isabel Mafra
Foods 2020, 9(3), 254; https://doi.org/10.3390/foods9030254 - 27 Feb 2020
Cited by 22 | Viewed by 4129
Abstract
Lupine and soybean are important technological aids for the food industry. However, they are also capable of inducing severe allergic reactions in food-sensitized/allergic individuals. In this context, this work intended to study the combined effects of thermal processing and food matrix on the [...] Read more.
Lupine and soybean are important technological aids for the food industry. However, they are also capable of inducing severe allergic reactions in food-sensitized/allergic individuals. In this context, this work intended to study the combined effects of thermal processing and food matrix on the immunoreactivity of lupine and soybean proteins used as ingredients in bakery and meat products, respectively. For this purpose, the effects of baking, mild oven cooking, and autoclaving on the protein profiles were evaluated, using model mixtures simulating the production of lupine-containing breads and soybean-containing cooked hams/sausages, by native- and sodium dodecyl sulfate-polyacrylamide gel electrophoresis (SDS-PAGE), and immunoblotting using specific antibodies. The results showed that lupine gamma-conglutin immunoreactivity was slightly decreased in wheat flour mixtures compared to rice, but it was more pronounced in baked products. In meat mixtures, substantial protein fragmentation was noted after autoclaving, with decreased immunoreactivity of soybean trypsin inhibitor. The analysis of 22 commercial products enabled the identification of lupine gamma-conglutin in four bakery samples and soybean trypsin-inhibitor in five sausages, and further differentiated autoclaved from other milder thermally treated products. Generally, the immunoreactivity of target proteins was reduced by all the tested thermal treatments, though at a higher extent after autoclaving, being slightly altered by the food matrix. Full article
(This article belongs to the Section Food Quality and Safety)
Show Figures

Figure 1

7 pages, 220 KB  
Review
History of Newborn Screening for Cystic Fibrosis—The Early Years
by Georges Travert, Mary Heeley and Anthony Heeley
Int. J. Neonatal Screen. 2020, 6(1), 8; https://doi.org/10.3390/ijns6010008 - 31 Jan 2020
Cited by 25 | Viewed by 4612
Abstract
This review summarises the trajectory of neonatal screening strategies for the detection of cystic fibrosis (CF) using the measurement of Immunoreactive Trypsin (IRT) in dried blood spots (DBS) from 1979 until the beginning of the 21st century when newborn screening (NBS) programmes started [...] Read more.
This review summarises the trajectory of neonatal screening strategies for the detection of cystic fibrosis (CF) using the measurement of Immunoreactive Trypsin (IRT) in dried blood spots (DBS) from 1979 until the beginning of the 21st century when newborn screening (NBS) programmes started to spread throughout many countries, using IRT measurement combined with a CF genotype analysis of DBS. Full article
(This article belongs to the Special Issue Newborn Screening for Cystic Fibrosis)
18 pages, 2372 KB  
Article
Venomics of Trimeresurus (Popeia) nebularis, the Cameron Highlands Pit Viper from Malaysia: Insights into Venom Proteome, Toxicity and Neutralization of Antivenom
by Choo Hock Tan, Kae Yi Tan, Tzu Shan Ng, Evan S.H. Quah, Ahmad Khaldun Ismail, Sumana Khomvilai, Visith Sitprija and Nget Hong Tan
Toxins 2019, 11(2), 95; https://doi.org/10.3390/toxins11020095 - 6 Feb 2019
Cited by 45 | Viewed by 8125
Abstract
Trimeresurus nebularis is a montane pit viper that causes bites and envenomation to various communities in the central highland region of Malaysia, in particular Cameron’s Highlands. To unravel the venom composition of this species, the venom proteins were digested by trypsin and subjected [...] Read more.
Trimeresurus nebularis is a montane pit viper that causes bites and envenomation to various communities in the central highland region of Malaysia, in particular Cameron’s Highlands. To unravel the venom composition of this species, the venom proteins were digested by trypsin and subjected to nano-liquid chromatography-tandem mass spectrometry (LC-MS/MS) for proteomic profiling. Snake venom metalloproteinases (SVMP) dominated the venom proteome by 48.42% of total venom proteins, with a characteristic distribution of P-III: P-II classes in a ratio of 2:1, while P-I class was undetected. Snaclecs constituted the second most venomous protein family (19.43%), followed by snake venom serine proteases (SVSP, 14.27%), phospholipases A2 (5.40%), disintegrins (5.26%) and minor proteins including cysteine-rich secretory proteins, L-amino acid oxidases, phosphodiesterases, 5′-nucleotidases. The venomic profile correlates with local (painful progressive edema) and systemic (hemorrhage, coagulopathy, thrombocytopenia) manifestation of T. nebularis envenoming. As specific antivenom is unavailable for T. nebularis, the hetero-specific Thai Green Pit viper Monovalent Antivenom (GPVAV) was examined for immunological cross-reactivity. GPVAV exhibited good immunoreactivity to T. nebularis venom and the antivenom effectively cross-neutralized the hemotoxic and lethal effects of T. nebularis (lethality neutralizing potency = 1.6 mg venom per mL antivenom). The findings supported GPVAV use in treating T. nebularis envenoming. Full article
(This article belongs to the Section Animal Venoms)
Show Figures

Graphical abstract

Back to TopTop