Environmental Influence on the Occurrence of Multi-Organ Cystic Echinococcosis Infection in a Patient from Sardinia, Italy
Abstract
1. Introduction
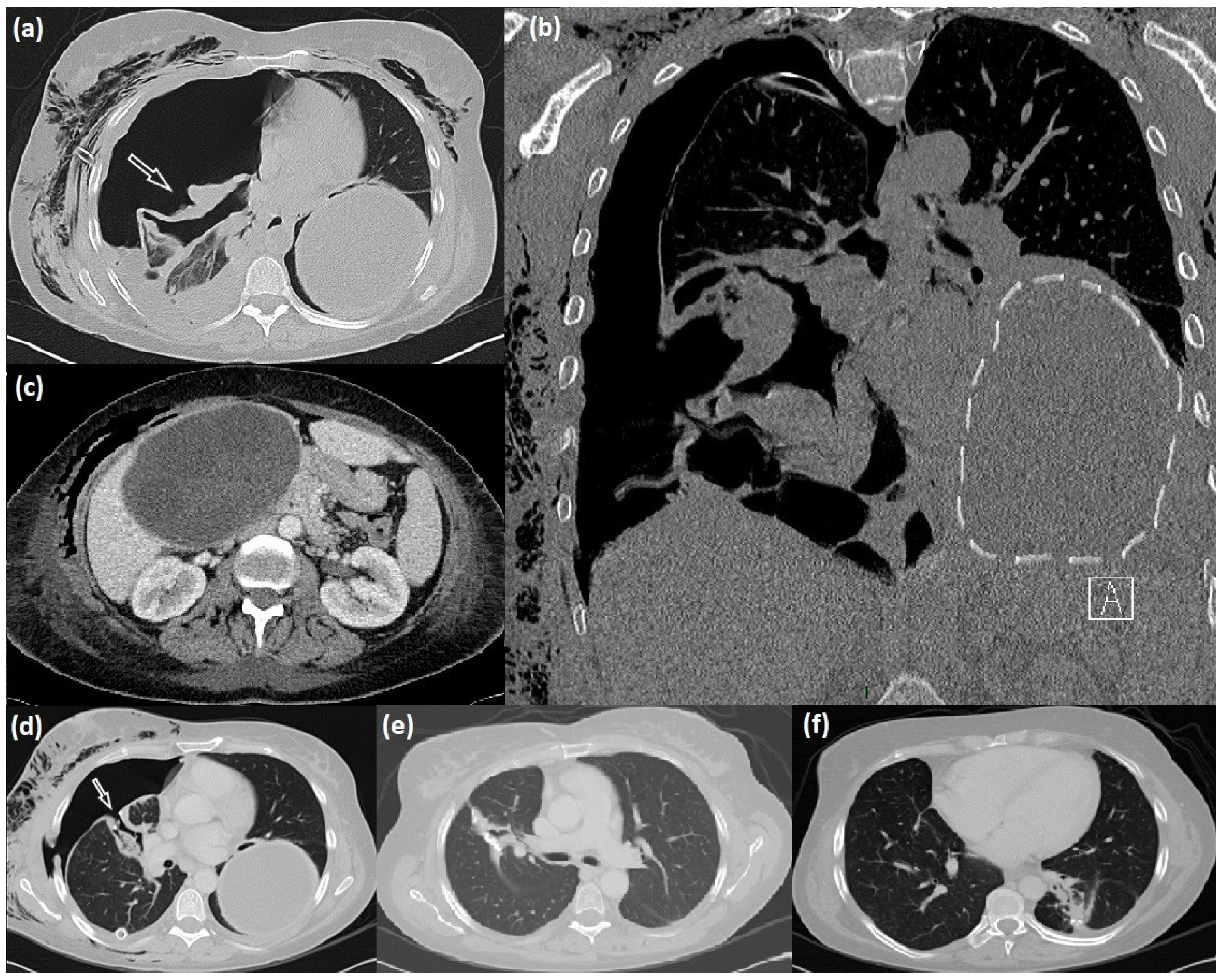
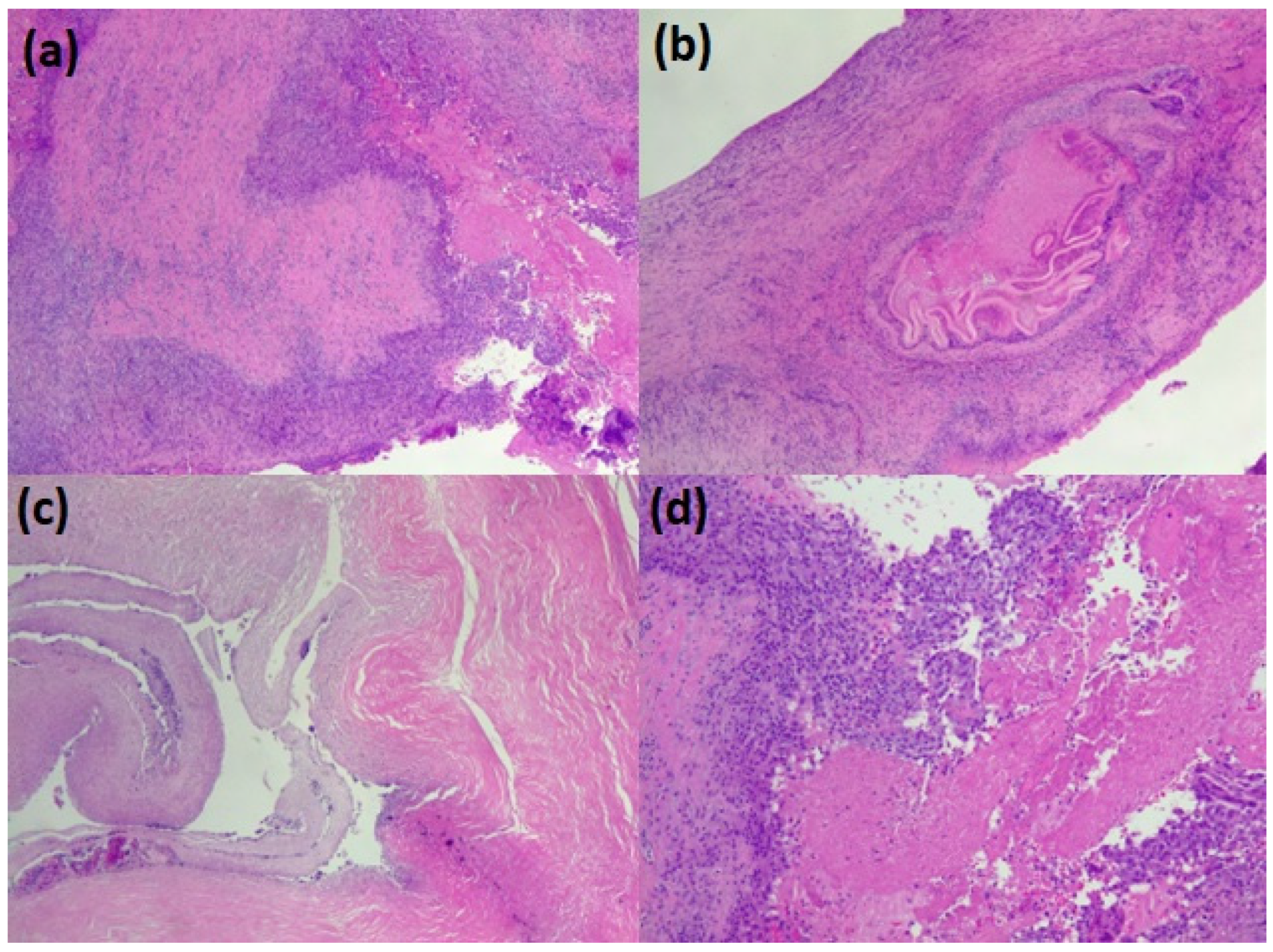
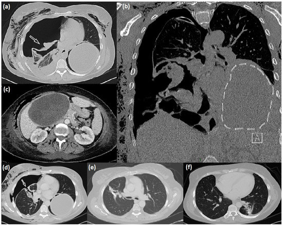
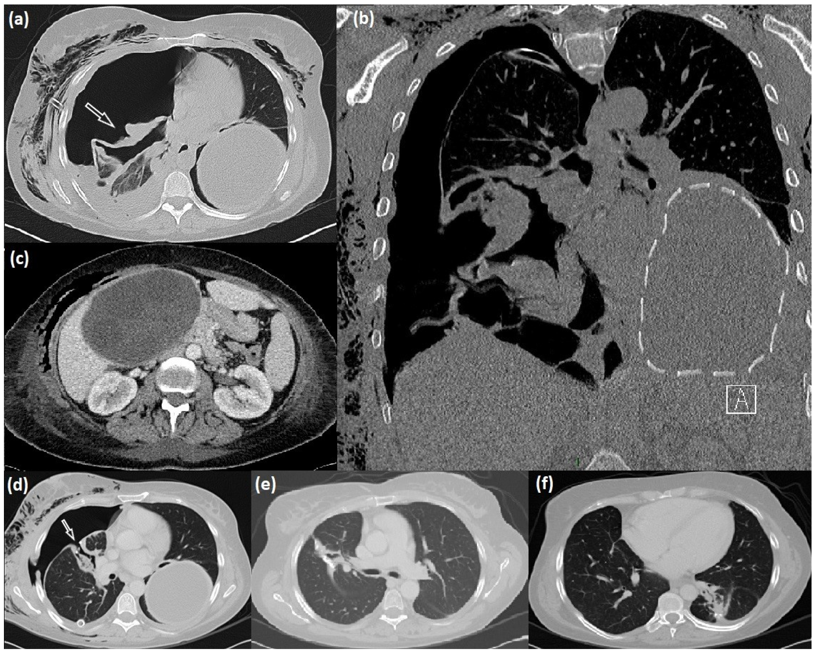
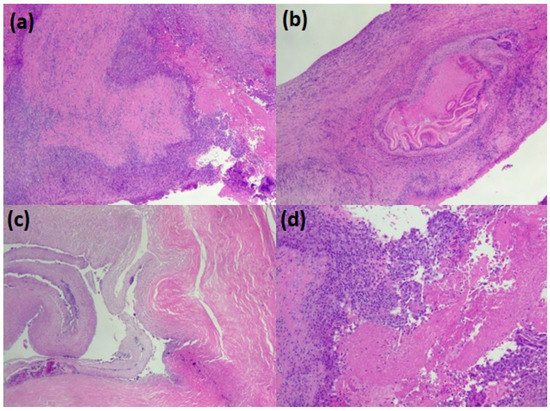
2. Case Description
3. Discussion
4. Conclusions
Author Contributions
Funding
Institutional Review Board Statement
Informed Consent Statement
Data Availability Statement
Conflicts of Interest
References
- Thompson, R.C. Biology and Systematics of Echinococcus. Adv. Parasitol. 2017, 95, 65–109. [Google Scholar] [CrossRef]
- Nakao, M.; Lavikainen, A.; Yanagida, T.; Ito, A. Phylogenetic systematics of the genus Echinococcus (Cestoda: Taeniidae). Int. J. Parasitol. 2013, 43, 1017–1029. [Google Scholar] [CrossRef]
- Knapp, J.; Gottstein, B.; Saarma, U.; Millon, L. Taxonomy, phylogeny and molecular epidemiology of Echinococcus multilocularis: From fundamental knowledge to health ecology. Vet. Parasitol. 2015, 213, 85–91. [Google Scholar] [CrossRef]
- Gottstein, B. Echinococcus spp. and echinococcosis. Acta Vet. Scand. 2010, 52 (Suppl. 1), S5. [Google Scholar] [CrossRef]
- Eckert, J.; Gemmell, M.A.; Meslin, F.-X.; Pawlowski, Z.S.; World Health Organization. WHO/OIE Manual on Echinococcosis in Humans and Animals: A Public Health Problem of Global Concern; World Organisation for Animal Health: Paris, France, 2001; ISBN 978-92-9044-522-7. [Google Scholar]
- Serra, E.; Masu, G.; Chisu, V.; Cappai, S.; Masala, G.; Loi, F.; Piseddu, T. Environmental Contamination by Echinococcus spp. Eggs as a Risk for Human Health in Educational Farms of Sardinia, Italy. Vet. Sci. 2022, 9, 143. [Google Scholar] [CrossRef]
- Dakkak, A. Echinococcosis/hydatidosis: A severe threat in Mediterranean countries. Vet. Parasitol. 2010, 174, 2–11. [Google Scholar] [CrossRef]
- Brundu, D.; Piseddu, T.; Stegel, G.; Masu, G.; Ledda, S.; Masala, G. Retrospective study of human cystic echinococcosis in Italy based on the analysis of hospital discharge records between 2001 and 2012. Acta Trop. 2014, 140, 91–96. [Google Scholar] [CrossRef]
- Horchani, A.; Nouira, Y.; Kbaier, I.; Attyaoui, F.; Zribi, A.S. Hydatid cyst of the kidney. A report of 147 controlled cases. Eur. Urol. 2000, 38, 461–467. [Google Scholar] [CrossRef] [PubMed]
- Soin, P.; Sharma, P.; Kochar, P.S. Pancreatic echinococcosis. Proc. (Bayl. Univ. Med. Cent.) 2019, 32, 85–87. [Google Scholar] [CrossRef]
- Alizadeh, A.H.M. Primary Hydatid Cyst of the Pancreas: A Review. JOP J. Pancreas (Online) 2016, 17, 250–256. [Google Scholar]
- Bhutani, N.; Kajal, P. Hepatic echinococcosis: A review. Ann. Med. Surg. (Lond.) 2018, 36, 99–105. [Google Scholar] [CrossRef] [PubMed]
- Brunetti, E.; Tamarozzi, F.; Macpherson, C.; Filice, C.; Piontek, M.S.; Kabaalioglu, A.; Dong, Y.; Atkinson, N.; Richter, J.; Schreiber-Dietrich, D.; et al. Ultrasound and Cystic Echinococcosis. Ultrasound. Int. Open 2018, 4, E70–E78. [Google Scholar] [CrossRef]
- Siles-Lucas, M.; Casulli, A.; Conraths, F.J.; Müller, N. Laboratory Diagnosis of Echinococcus spp. in Human Patients and Infected Animals. Adv. Parasitol. 2017, 96, 159–257. [Google Scholar] [CrossRef]
- Peruzzu, A.; Mastrandrea, S.; Fancellu, A.; Bonelli, P.; Muehlethaler, K.; Masala, G.; Santucciu, C. Comparison and evaluation of analytic and diagnostic performances of four commercial kits for the detection of antibodies against Echinococcus granulosus and multilocularis in human sera. Comp. Immunol. Microbiol. Infect. Dis. 2022, 86, 101816. [Google Scholar] [CrossRef]
- Santucciu, C.; Bonelli, P.; Peruzzu, A.; Fancellu, A.; Marras, V.; Carta, A.; Mastrandrea, S.; Bagella, G.; Piseddu, T.; Profili, S.; et al. Cystic Echinococcosis: Clinical, Immunological, and Biomolecular Evaluation of Patients from Sardinia (Italy). Pathogens 2020, 9, 907. [Google Scholar] [CrossRef]
- Brunetti, E.; Kern, P.; Vuitton, D.A.; Writing Panel for the WHO-IWGE. Expert consensus for the diagnosis and treatment of cystic and alveolar echinococcosis in humans. Acta Trop. 2010, 114, 1–16. [Google Scholar] [CrossRef]
- WHO Informal Working Group. International classification of ultrasound images in cystic echinococcosis for application in clinical and field epidemiological settings. Acta Trop. 2003, 85, 253–261. [Google Scholar] [CrossRef]
- Manzano-Román, R.; Sánchez-Ovejero, C.; Hernández-González, A.; Casulli, A.; Siles-Lucas, M. Serological Diagnosis and Follow-Up of Human Cystic Echinococcosis: A New Hope for the Future? Biomed. Res. Int. 2015, 2015, 428205. [Google Scholar] [CrossRef]
- Craig, P.S.; Larrieu, E. Control of cystic echinococcosis/hydatidosis: 1863–2002. Adv. Parasitol. 2006, 61, 443–508. [Google Scholar] [CrossRef] [PubMed]
- Otero-Abad, B.; Torgerson, P.R. A systematic review of the epidemiology of echinococcosis in domestic and wild animals. PLoS Negl. Trop. Dis. 2013, 7, e2249. [Google Scholar] [CrossRef]
- Bonelli, P.; Dei Giudici, S.; Peruzzu, A.; Mura, L.; Santucciu, C.; Maestrale, C.; Masala, G. Identification of Echinococcus granulosus Genotypes G1 and G3 by SNPs Genotyping Assays. Pathogens 2021, 10, 125. [Google Scholar] [CrossRef] [PubMed]
- Nelson, G.S. Echinococcus and Hydatid Disease. Trans. R. Soc. Trop. Med. Hyg. 1995, 89, 579. [Google Scholar] [CrossRef]
- Agudelo Higuita, N.I.; Brunetti, E.; McCloskey, C. Cystic Echinococcosis. J. Clin. Microbiol. 2016, 54, 518–523. [Google Scholar] [CrossRef]
- Moro, P.; Schantz, P.M. Echinococcosis: A review. Int. J. Infect Dis. 2009, 13, 125–133. [Google Scholar] [CrossRef]
- Barrett, N.R.; Thomas, D. Pulmonary hydatid disease. Br. J. Surg. 1952, 40, 222–244. [Google Scholar] [CrossRef]
- Kuzucu, A.; Soysal, O.; Ozgel, M.; Yologlu, S. Complicated hydatid cysts of the lung: Clinical and therapeutic issues. Ann. Thorac. Surg. 2004, 77, 1200–1204. [Google Scholar] [CrossRef]
- Sahin, E.; Kaptanoğlu, M.; Nadir, A.; Ceran, C. Travmaya bağli bir akciğer kist hidatiği rüptürü: Olgu sunumu [Traumatic rupture of a pulmonary hydatid cyst: A case report]. Ulus Travma Acil Cerrahi Derg. 2006, 12, 71–75. [Google Scholar]
- Rawat, S.; Kumar, R.; Raja, J.; Singh, R.S.; Thingnam, S.K.S. Pulmonary hydatid cyst: Review of literature. J. Family Med. Prim. Care 2019, 8, 2774–2778. [Google Scholar] [CrossRef]
- Akhan, O.; Erdoğan, E.; Ciftci, T.T.; Unal, E.; Karaağaoğlu, E.; Akinci, D. Comparison of the Long-Term Results of Puncture, Aspiration, Injection and Re-aspiration (PAIR) and Catheterization Techniques for the Percutaneous Treatment of CE1 and CE3a Liver Hydatid Cysts: A Prospective Randomized Trial. Cardiovasc. Interv. Radiol. 2020, 43, 1034–1040. [Google Scholar] [CrossRef]
- Khuroo, M.S.; Dar, M.Y.; Yattoo, G.N.; Zargar, S.A.; Javaid, G.; Khan, B.A.; Boda, M.I. Percutaneous drainage versus albendazole therapy in hepatic hydatidosis: A prospective, randomized study. Gastroenterology 1993, 104, 1452–1459. [Google Scholar] [CrossRef]
- Neumayr, A.; Troia, G.; de Bernardis, C.; Tamarozzi, F.; Goblirsch, S.; Piccoli, L.; Hatz, C.; Filice, C.; Brunetti, E. Justified concern or exaggerated fear: The risk of anaphylaxis in percutaneous treatment of cystic echinococcosis-a systematic literature review. PLoS Negl. Trop. Dis. 2011, 5, e1154. [Google Scholar] [CrossRef] [PubMed]
- Richter, J.; Profis, E.; Holtfreter, M.C.; Orhun, A.; Müller-Stöver, I.; Dedelen, H.; Kubitz, R. Anaphylactic shock ensuing therapeutic puncture of an echinococcal cyst. Parasitol. Res. 2015, 114, 763–766. [Google Scholar] [CrossRef] [PubMed]
- Li, Y.; Zheng, H.; Cao, X.; Liu, Z.; Chen, L. Demographic and clinical characteristics of patients with anaphylactic shock after surgery for cystic echinococcosis. Am. J. Trop. Med. Hyg. 2011, 85, 452–455. [Google Scholar] [CrossRef]
- Sokouti, M.; Sadeghi, R.; Pashazadeh, S.; Abadi, S.E.H.; Sokouti, M.; Ghojazadeh, M.; Sokouti, B. A systematic review and meta-analysis on the treatment of liver hydatid cyst using meta-MUMS tool: Comparing PAIR and laparoscopic procedures. Arch. Med. Sci. 2019, 15, 284–308. [Google Scholar] [CrossRef]
- Mitrea, I.L.; Ionita, M.; Costin, I.I.; Predoi, G.; Avram, E.; Rinaldi, L.; Maurelli, M.P.; Cringoli, G.; Genchi, C. Occurrence and genetic characterization of Echinococcus granulosus in naturally infected adult sheep and cattle in Romania. Vet. Parasitol. 2014, 206, 159–166. [Google Scholar] [CrossRef] [PubMed]
- Šnábel, V.; Kuzmina, T.; Cavallero, S.; D’Amelio, S.; Georgescu, S.; Szénási, Z.; Cielecka, D.; Sałamatin, R.; Yemets, A.; Kucsera, I. A molecular survey of Echinococcus granulosus sensu lato in central-eastern Europe. Open Life Sci. 2016, 11, 524–532. [Google Scholar] [CrossRef]
- Casulli, A.; Massolo, A.; Saarma, U.; Umhang, G.; Santolamazza, F.; Santoro, A. Species and genotypes belonging to Echinococcus granulosus sensu lato complex causing human cystic echinococcosis in Europe (2000–2021): A systematic review. Parasites Vectors 2022, 15, 109. [Google Scholar] [CrossRef]
- Federer, K.; Armua-Fernandez, M.T.; Gori, F.; Hoby, S.; Wenker, C.; Deplazes, P. Detection of taeniid (Taenia spp., Echinococcus spp.) eggs contaminating vegetables and fruits sold in European markets and the risk for metacestode infections in captive primates. Int. J. Parasitol. Parasites Wildl. 2016, 5, 249–253. [Google Scholar] [CrossRef]
- Orusa, T.; Viani, A.; Moyo, B.; Cammareri, D.; Borgogno-Mondino, E. Risk Assessment of Rising Temperatures Using Landsat 4–9 LST Time Series and Meta® Population Dataset: An Application in Aosta Valley, NW Italy. Remote Sens. 2023, 15, 2348. [Google Scholar] [CrossRef]



| SNPs | Primers | Sequences |
|---|---|---|
| 758 | SNP_758_F SNP_758_R Probe_G1 Probe_G3 | 5′-GGTTTATGTTGTTGAAGTTGATTGTTTTGT-3′ 5′-AAAACCTAACAACACCTAAATACTCTCAAAGAA-3′ VIC-5′-TGTTGGTATGTAGTGGTGAT-3′ FAM-5′-TGTTGGTATGTACTGGTGAT-3′ |
| 1123 | SNP_1123_F SNP_1123_R Probe_G1 Probe_G3 | 5′-CTGGTGTTTGGTTTGTTATGCGTTA-3′ 5′-CCAGTAATAAAAACCGTCAACAAAAGCA-3′ VIC-5′-CGACCTACCAAAATG-3′ FAM-5′-CCGACCTACTAAAATG-3′ |
| 1380 | SNP_1380_F SNP_1380_R Probe_G1 Probe_G3 | 5′-GTGATGTGATGAGCGGTAGGG-3′ 5′-CACGACCCATACAAAACAGACCTAT-3′ VIC-5′-CAGGCTAGGAATTGT-3′ FAM-5′-CAGGCTAGAAATTGT-3′ |
Disclaimer/Publisher’s Note: The statements, opinions and data contained in all publications are solely those of the individual author(s) and contributor(s) and not of MDPI and/or the editor(s). MDPI and/or the editor(s) disclaim responsibility for any injury to people or property resulting from any ideas, methods, instructions or products referred to in the content. |
© 2023 by the authors. Licensee MDPI, Basel, Switzerland. This article is an open access article distributed under the terms and conditions of the Creative Commons Attribution (CC BY) license (https://creativecommons.org/licenses/by/4.0/).
Share and Cite
Santucciu, C.; Ferrari, P.A.; Grimaldi, G.; Murenu, A.; Nemolato, S.; Bonelli, P.; Masala, G.; Porcu, G.S.; Cherchi, R. Environmental Influence on the Occurrence of Multi-Organ Cystic Echinococcosis Infection in a Patient from Sardinia, Italy. Diseases 2023, 11, 90. https://doi.org/10.3390/diseases11030090
Santucciu C, Ferrari PA, Grimaldi G, Murenu A, Nemolato S, Bonelli P, Masala G, Porcu GS, Cherchi R. Environmental Influence on the Occurrence of Multi-Organ Cystic Echinococcosis Infection in a Patient from Sardinia, Italy. Diseases. 2023; 11(3):90. https://doi.org/10.3390/diseases11030090
Chicago/Turabian StyleSantucciu, Cinzia, Paolo Albino Ferrari, Giulia Grimaldi, Alessandro Murenu, Sonia Nemolato, Piero Bonelli, Giovanna Masala, Giuseppe Salvatore Porcu, and Roberto Cherchi. 2023. "Environmental Influence on the Occurrence of Multi-Organ Cystic Echinococcosis Infection in a Patient from Sardinia, Italy" Diseases 11, no. 3: 90. https://doi.org/10.3390/diseases11030090
APA StyleSantucciu, C., Ferrari, P. A., Grimaldi, G., Murenu, A., Nemolato, S., Bonelli, P., Masala, G., Porcu, G. S., & Cherchi, R. (2023). Environmental Influence on the Occurrence of Multi-Organ Cystic Echinococcosis Infection in a Patient from Sardinia, Italy. Diseases, 11(3), 90. https://doi.org/10.3390/diseases11030090

