Sign in to use this feature.

Years

Between: -

Subjects

remove_circle_outline
remove_circle_outline
remove_circle_outline
remove_circle_outline
remove_circle_outline
remove_circle_outline
remove_circle_outline

Journals

Article Types

Countries / Regions

Search Results (16)

Search Parameters:
Keywords = hollow convolution

Order results
Result details
Results per page
Select all
Export citation of selected articles as:
22 pages, 7953 KB  
Article
Automated Evaluation of Layer Thickness Uniformity in 3D-Printed Cementitious Composites Using Deep Learning and Comparison with Manual Tracing Methods
by Jiseok Seo, Jun Lee and Bongchun Lee
Buildings 2025, 15(23), 4253; https://doi.org/10.3390/buildings15234253 - 25 Nov 2025
Viewed by 378
Abstract
Layer thickness uniformity critically influences the dimensional accuracy and mechanical performance of large-scale cementitious structures produced by material extrusion 3D printing. This study introduces a computer vision workflow that couples traditional preprocessing with a ResNet-50 convolutional neural network to automatically detect interlayer boundaries [...] Read more.
Layer thickness uniformity critically influences the dimensional accuracy and mechanical performance of large-scale cementitious structures produced by material extrusion 3D printing. This study introduces a computer vision workflow that couples traditional preprocessing with a ResNet-50 convolutional neural network to automatically detect interlayer boundaries and quantify thickness variation. Hollow 50 × 50 × 50 mm specimens, printed from mixes optimized by void ratio (0.6–0.7) for fluidity and stackability, supplied 25 labeled RGB images for training and validation. The network achieved 96% training and 95% validation accuracy, generating boundary maps that required minimal linear interpolation. Pixel-based analysis yielded uniformity indices of 0.857–0.924, closely matching those from manual tracing (0.819–0.919) but with smaller standard deviations, indicating higher measurement stability and reduced sensitivity to lighting artifacts. The proposed method therefore provides an objective, reproducible alternative to labor-intensive manual evaluation and supports real-time prediction and control of dimensional errors during construction-scale 3D printing, advancing the precision and industrial applicability of additive manufacturing with cementitious composites. However, since this study was conducted under limited variable conditions, such as a simplified and repetitive experimental environment, a larger number of images will be required for model training to enable application under more general conditions. Full article
(This article belongs to the Section Construction Management, and Computers & Digitization)
Show Figures

Figure 1

25 pages, 3160 KB  
Article
Revisiting Text-Based CAPTCHAs: A Large-Scale Security and Usability Analysis Against CNN-Based Solvers
by Mevlüt Uysal
Electronics 2025, 14(22), 4403; https://doi.org/10.3390/electronics14224403 - 12 Nov 2025
Viewed by 1490
Abstract
Text-based CAPTCHAs remain a widely deployed mechanism for mitigating automated attacks across web platforms. However, the increasing effectiveness of convolutional neural networks (CNNs) and advanced computer vision models poses significant challenges to their reliability as a security measure. This study presents a comprehensive [...] Read more.
Text-based CAPTCHAs remain a widely deployed mechanism for mitigating automated attacks across web platforms. However, the increasing effectiveness of convolutional neural networks (CNNs) and advanced computer vision models poses significant challenges to their reliability as a security measure. This study presents a comprehensive forensic and security-oriented analysis of text-based CAPTCHA systems, focusing on how individual and combined visual distortion features affect human usability and machine solvability. A real-world dataset comprising 45,166 CAPTCHA samples was generated under controlled conditions, integrating diverse anti-recognition, anti-segmentation, and anti-classification features. Recognition performance was systematically evaluated using both a CNN-based solver and actual human interaction data collected through an online exam platform. Results reveal that while traditional features such as warping and distortion still degrade machine accuracy to some extent, newer features like the hollow scheme and multi-layer structures offer better resistance against CNN-based attacks while maintaining human readability. Correlation and SHAP-based analyses were employed to quantify feature influence and identify configurations that optimize human–machine separability. This work contributes a publicly available dataset and a feature-impact framework, enabling deeper investigations into adversarial robustness, CAPTCHA resistance modeling, and security-aware human interaction systems. The findings underscore the need for adaptive CAPTCHA mechanisms that are both human-centric and resilient against evolving AI-based attacks. Full article
(This article belongs to the Section Computer Science & Engineering)
Show Figures

Figure 1

18 pages, 7746 KB  
Article
Research on Concrete Beam Damage Detection Using Convolutional Neural Networks and Vibrations from ABAQUS Models and Computer Vision
by Xin Bai and Zi Zhang
Buildings 2025, 15(2), 220; https://doi.org/10.3390/buildings15020220 - 13 Jan 2025
Cited by 3 | Viewed by 1732
Abstract
Researchers have already used vibration data and deep learning methods, such as Convolutional Neural Networks (CNNs), to detect structural damage. Moreover, some researchers have employed image-based displacement sensors (such as the template matching and edge detection methods) to obtain structural vibration information. It [...] Read more.
Researchers have already used vibration data and deep learning methods, such as Convolutional Neural Networks (CNNs), to detect structural damage. Moreover, some researchers have employed image-based displacement sensors (such as the template matching and edge detection methods) to obtain structural vibration information. It is necessary to verify whether deep learning methods can detect minor damage inside beams, for example, small hollowing in concrete. In addition, there is an urgent need to develop an effective image-based displacement sensor that can simultaneously detect a large number of reliable vibration data from different measurement points. In this study, the vibration data of two beam-ABAQUS models were used as the input data for a newly designed deep learning-based structural health monitoring method. There were 500 vibration samples for each case, and the peak of vibrations was several millimeters. The proposed CNN model can locate damage positions in beams with high accuracy (close to 100%), and the damage sizes are 3 cm and 6 cm. Laboratory experiments were carried out on four beams with different damage. The optimized displacement sensor developed based on the edge detection method was used to detect the displacement of the beams. Each beam had 200 vibration data, and there were 800 vibration data in total. These vibration data were used as input data to train the proposed deep learning architecture, and satisfactory accuracy was achieved in detecting the damage of the beams with an accuracy of 97%. The training process is satisfactory in that the training loss and validation loss dropped very quickly. Full article
(This article belongs to the Section Building Structures)
Show Figures

Figure 1

17 pages, 1791 KB  
Article
Apple Defect Detection in Complex Environments
by Wei Shan and Yurong Yue
Electronics 2024, 13(23), 4844; https://doi.org/10.3390/electronics13234844 - 9 Dec 2024
Cited by 1 | Viewed by 1882
Abstract
Aiming at the problem of high false detection and missed detection rate of apple surface defects in complex environments, a new apple surface defect detection network: space-to-depth convolution-Multi-scale Empty Attention-Context Guided Feature Pyramid Network-You Only Look Once version 8 nano (SMC-YOLOv8n) is designed. [...] Read more.
Aiming at the problem of high false detection and missed detection rate of apple surface defects in complex environments, a new apple surface defect detection network: space-to-depth convolution-Multi-scale Empty Attention-Context Guided Feature Pyramid Network-You Only Look Once version 8 nano (SMC-YOLOv8n) is designed. Firstly, space-to-depth convolution (SPD-Conv) is introduced before each Faster Implementation of CSP Bottleneck with 2 convolutions (C2f) in the backbone network as a preprocessing step to improve the quality of input data. Secondly, the Bottleneck in C2f is removed in the neck, and Multi-scale Empty Attention (MSDA) is introduced to enhance the feature extraction ability. Finally, the Context Guided Feature Pyramid Network (CGFPN) is used to replace the Concat method of the neck for feature fusion, thereby improving the expression ability of the features. Compared with the YOLOv8n baseline network, mean Average Precision (mAP) 50 increased by 2.7% and 1.1%, respectively, and mAP50-95 increased by 4.1% and 2.7%, respectively, on the visible light apple surface defect data set and public data set in the self-made complex environments.The experimental results show that SMC-YOLOv8n shows higher efficiency in apple defect detection, which lays a solid foundation for intelligent picking and grading of apples. Full article
Show Figures

Figure 1

22 pages, 18174 KB  
Article
Research on Pupil Center Localization Detection Algorithm with Improved YOLOv8
by Kejuan Xue, Jinsong Wang and Hao Wang
Appl. Sci. 2024, 14(15), 6661; https://doi.org/10.3390/app14156661 - 30 Jul 2024
Cited by 3 | Viewed by 2267
Abstract
Addressing issues such as low localization accuracy, poor robustness, and long average localization time in pupil center localization algorithms, an improved YOLOv8 network-based pupil center localization algorithm is proposed. This algorithm incorporates a dual attention mechanism into the YOLOv8n backbone network, which simultaneously [...] Read more.
Addressing issues such as low localization accuracy, poor robustness, and long average localization time in pupil center localization algorithms, an improved YOLOv8 network-based pupil center localization algorithm is proposed. This algorithm incorporates a dual attention mechanism into the YOLOv8n backbone network, which simultaneously attends to global contextual information of input data while reducing dependence on specific regions. This improves the problem of difficult pupil localization detection due to occlusions such as eyelashes and eyelids, enhancing the model’s robustness. Additionally, atrous convolutions are introduced in the encoding section, which reduce the network model while improving the model’s detection speed. The use of the Focaler-IoU loss function, by focusing on different regression samples, can improve the performance of detectors in various detection tasks. The performance of the improved Yolov8n algorithm was 0.99971, 1, 0.99611, and 0.96495 in precision, recall, MAP50, and mAP50-95, respectively. Moreover, the improved YOLOv8n algorithm reduced the model parameters by 7.18% and the computational complexity by 10.06%, while enhancing the environmental anti-interference ability and robustness, and shortening the localization time, improving real-time detection. Full article
(This article belongs to the Topic Applications in Image Analysis and Pattern Recognition)
Show Figures

Figure 1

18 pages, 3164 KB  
Article
Fast Object Detection Leveraging Global Feature Fusion in Boundary-Aware Convolutional Networks
by Weiming Fan, Jiahui Yu and Zhaojie Ju
Information 2024, 15(1), 53; https://doi.org/10.3390/info15010053 - 17 Jan 2024
Cited by 1 | Viewed by 2583
Abstract
Endoscopy, a pervasive instrument for the diagnosis and treatment of hollow anatomical structures, conventionally necessitates the arduous manual scrutiny of seasoned medical experts. Nevertheless, the recent strides in deep learning technologies proffer novel avenues for research, endowing it with the potential for amplified [...] Read more.
Endoscopy, a pervasive instrument for the diagnosis and treatment of hollow anatomical structures, conventionally necessitates the arduous manual scrutiny of seasoned medical experts. Nevertheless, the recent strides in deep learning technologies proffer novel avenues for research, endowing it with the potential for amplified robustness and precision, accompanied by the pledge of cost abatement in detection procedures, while simultaneously providing substantial assistance to clinical practitioners. Within this investigation, we usher in an innovative technique for the identification of anomalies in endoscopic imagery, christened as Context-enhanced Feature Fusion with Boundary-aware Convolution (GFFBAC). We employ the Context-enhanced Feature Fusion (CEFF) methodology, underpinned by Convolutional Neural Networks (CNNs), to establish equilibrium amidst the tiers of the feature pyramids. These intricately harnessed features are subsequently amalgamated into the Boundary-aware Convolution (BAC) module to reinforce both the faculties of localization and classification. A thorough exploration conducted across three disparate datasets elucidates that the proposition not only surpasses its contemporaries in object detection performance but also yields detection boxes of heightened precision. Full article
(This article belongs to the Special Issue Deep Learning for Image, Video and Signal Processing)
Show Figures

Figure 1

12 pages, 3047 KB  
Article
CMKG: Construction Method of Knowledge Graph for Image Recognition
by Lijun Chen, Jingcan Li, Qiuting Cai, Xiangyu Han, Yunqian Ma and Xia Xie
Mathematics 2023, 11(19), 4174; https://doi.org/10.3390/math11194174 - 5 Oct 2023
Cited by 1 | Viewed by 3349
Abstract
With the continuous development of artificial intelligence technology and the exponential growth in the number of images, image detection and recognition technology is becoming more widely used. Image knowledge management is extremely urgent. The data source of a knowledge graph is not only [...] Read more.
With the continuous development of artificial intelligence technology and the exponential growth in the number of images, image detection and recognition technology is becoming more widely used. Image knowledge management is extremely urgent. The data source of a knowledge graph is not only the text and structured data but also the visual or auditory data such as images, video, and audio. How to use multimodal information to build an information management platform is a difficult problem. In this paper, a method is proposed to construct the result of image recognition as a knowledge graph. First of all, based on the improvement in the BlendMASK algorithm, the hollow convolution kernel is added. Secondly, the effect of image recognition and the relationships between all kinds of information are analyzed. Finally, the image knowledge graph is constructed by using the relationship between the image entities. The contributions of this paper are as follows. (1) The hollow convolution kernel is added to reduce the loss from extracting feature information from high-level feature images. (2) In this paper, a method is proposed to determine the relationship between entities by dividing the recognition results of entities in an image with a threshold, which makes it possible for the relationships between images to be interconnected. The experimental results show that this method improves the accuracy and F1 value of the image recognition algorithm. At the same time, the method achieves integrity in the construction of a multimodal knowledge graph. Full article
Show Figures

Figure 1

13 pages, 6431 KB  
Article
Classification of Liquid Ingress in GFRP Honeycomb Based on One-Dimension Sequential Model Using THz-TDS
by Xiaohui Xu, Wenjun Huo, Fei Li and Hongbin Zhou
Sensors 2023, 23(3), 1149; https://doi.org/10.3390/s23031149 - 19 Jan 2023
Cited by 8 | Viewed by 2151
Abstract
Honeycomb structure composites are taking an increasing proportion in aircraft manufacturing because of their high strength-to-weight ratio, good fatigue resistance, and low manufacturing cost. However, the hollow structure is very prone to liquid ingress. Here, we report a fast and automatic classification approach [...] Read more.
Honeycomb structure composites are taking an increasing proportion in aircraft manufacturing because of their high strength-to-weight ratio, good fatigue resistance, and low manufacturing cost. However, the hollow structure is very prone to liquid ingress. Here, we report a fast and automatic classification approach for water, alcohol, and oil filled in glass fiber reinforced polymer (GFRP) honeycomb structures through terahertz time-domain spectroscopy (THz-TDS). We propose an improved one-dimensional convolutional neural network (1D-CNN) model, and compared it with long short-term memory (LSTM) and ordinary 1D-CNN models, which are classification networks based on one dimension sequenced signals. The automated liquid classification results show that the LSTM model has the best performance for the time-domain signals, while the improved 1D-CNN model performed best for the frequency-domain signals. Full article
(This article belongs to the Special Issue Terahertz Imaging Sensors and Detectors)
Show Figures

Figure 1

12 pages, 6730 KB  
Article
Analysis of Force Sensing Accuracy by Using SHM Methods on Conventionally Manufactured and Additively Manufactured Small Polymer Parts
by Alireza Modir and Ibrahim Tansel
Polymers 2022, 14(18), 3755; https://doi.org/10.3390/polym14183755 - 8 Sep 2022
Cited by 4 | Viewed by 2181
Abstract
Fabricating complex parts using additive manufacturing is becoming more popular in diverse engineering sectors. Structural Health Monitoring (SHM) methods can be implemented to reduce inspection costs and ensure structural integrity and safety in these parts. In this study, the Surface Response to Excitation [...] Read more.
Fabricating complex parts using additive manufacturing is becoming more popular in diverse engineering sectors. Structural Health Monitoring (SHM) methods can be implemented to reduce inspection costs and ensure structural integrity and safety in these parts. In this study, the Surface Response to Excitation (SuRE) method was used to investigate the wave propagation characteristics and load sensing capability in conventionally and additively manufactured ABS parts. For the first set of the test specimens, one conventionally manufactured and three additively manufactured rectangular bar-shaped specimens were prepared. Moreover, four additional parts were also additively manufactured with 30% and 60% infill ratios and 1 mm and 2 mm top surface thicknesses. The external geometry of all parts was the same. Ultrasonic surface waves were generated using three different signals via a piezoelectric actuator bonded to one end of the part. At the other end of each part, a piezoelectric disk was bonded to monitor the response to excitation. It was found that hollow sections inside the 3D printed part slowed down the wave travel. The Continuous Wavelet Transform (CWT) and Short-Time Fourier Transform (STFT) were implemented for converting the recorded sensory data into time–frequency images. These image datasets were fed into a convolutional neural network for the estimation of the compressive loading when the load was applied at the center of specimens at five different levels (0 N, 50 N, 100 N, 150 N, and 200 N). The results showed that the classification accuracy was improved when the CWT scalograms were used. Full article
Show Figures

Figure 1

16 pages, 5873 KB  
Article
Application of Convolutional Neural Networks on Digital Terrain Models for Analyzing Spatial Relations in Archaeology
by M. Fabian Meyer-Heß, Ingo Pfeffer and Carsten Juergens
Remote Sens. 2022, 14(11), 2535; https://doi.org/10.3390/rs14112535 - 25 May 2022
Cited by 4 | Viewed by 2812
Abstract
Archaeological research is increasingly embedding individual sites in archaeological contexts and aims at reconstructing entire historical landscapes. In doing so, it benefits from technological developments in the field of archaeological prospection over the last 20 years, including LiDAR-based Digital Terrain Models, special visualizations, [...] Read more.
Archaeological research is increasingly embedding individual sites in archaeological contexts and aims at reconstructing entire historical landscapes. In doing so, it benefits from technological developments in the field of archaeological prospection over the last 20 years, including LiDAR-based Digital Terrain Models, special visualizations, and automated site detection. The latter can generate comprehensive datasets with manageable effort that are useful for answering large-scale archaeological research questions. This article presents a highly automated workflow, in which a Convolutional Neural Network is used to detect burial mounds in the proximity of remotely located hollow ways. Detected mounds are then analyzed with respect to their distribution and a possible spatial relation to hollow ways. The detection works well, produces a reasonable number of results, and achieved a precision of at least 77%. The distribution of mounds shows a clear maximum in the radius of 2000–2500 m. This supports future research such as visibility or cost path analysis. Full article
(This article belongs to the Special Issue Advances in Remote Sensing for Exploring Ancient History)
Show Figures

Graphical abstract

21 pages, 5609 KB  
Article
An End-to-End Atrous Spatial Pyramid Pooling and Skip-Connections Generative Adversarial Segmentation Network for Building Extraction from High-Resolution Aerial Images
by Mingyang Yu, Wenzhuo Zhang, Xiaoxian Chen, Yaohui Liu and Jingge Niu
Appl. Sci. 2022, 12(10), 5151; https://doi.org/10.3390/app12105151 - 20 May 2022
Cited by 13 | Viewed by 3491
Abstract
Automatic building extraction based on high-resolution aerial imagery is an important challenge with a wide range of practical applications. One of the mainstream methods for extracting buildings from high-resolution images is deep learning because of its excellent deep feature extraction capability. However, existing [...] Read more.
Automatic building extraction based on high-resolution aerial imagery is an important challenge with a wide range of practical applications. One of the mainstream methods for extracting buildings from high-resolution images is deep learning because of its excellent deep feature extraction capability. However, existing models suffer from the problems of hollow interiors of some buildings and blurred boundaries. Furthermore, the increase in remote sensing image resolution has also led to rough segmentation results. To address these issues, we propose a generative adversarial segmentation network (ASGASN) for pixel-level extraction of buildings. The segmentation network of this framework adopts an asymmetric encoder–decoder structure. It captures and aggregates multiscale contextual information using the ASPP module and improves the classification and localization accuracy of the network using the global convolutional block. The discriminator network is an adversarial network that correctly discriminates the output of the generator and ground truth maps and computes multiscale L1 loss by fusing multiscale feature mappings. The segmentation network and the discriminator network are trained alternately on the WHU building dataset and the China typical cities building dataset. Experimental results show that the proposed ASGASN can accurately identify different types of buildings and achieve pixel-level high accuracy extraction of buildings. Additionally, compared to available deep learning models, ASGASN also achieved the highest accuracy performance (89.4% and 83.6% IoU on these two datasets, respectively). Full article
Show Figures

Figure 1

19 pages, 2574 KB  
Article
Efficient Open-Set Recognition for Interference Signals Based on Convolutional Prototype Learning
by Xiangwei Chen, Zhijin Zhao, Xueyi Ye, Shilian Zheng, Caiyi Lou and Xiaoniu Yang
Appl. Sci. 2022, 12(9), 4380; https://doi.org/10.3390/app12094380 - 26 Apr 2022
Cited by 7 | Viewed by 3153
Abstract
Interference classification plays an important role in anti-jamming communication. Although the existing interference signal recognition methods based on deep learning have a higher accuracy than traditional methods, these have poor robustness while rejecting interference signals of unknown classes in interference open-set recognition (OSR). [...] Read more.
Interference classification plays an important role in anti-jamming communication. Although the existing interference signal recognition methods based on deep learning have a higher accuracy than traditional methods, these have poor robustness while rejecting interference signals of unknown classes in interference open-set recognition (OSR). To ensure the classification accuracy of the known classes and the rejection rate of the unknown classes in interference OSR, we propose a new hollow convolution prototype learning (HCPL) in which the inner-dot-based cross-entropy loss (ICE) and the center loss are used to update prototypes to the periphery of the feature space so that the internal space is left for the unknown class samples, and the radius loss is used to reduce the impact of the prototype norm on the rejection rate of unknown classes. Then, a hybrid attention and feature reuse net (HAFRNet) for interference signal classification was designed, which contains a feature reuse structure and hybrid domain attention module (HDAM). A feature reuse structure is a simple DenseNet structure without a transition layer. An HDAM can recalibrate both time-wise and channel-wise feature responses by constructing a global attention matrix automatically. We also carried out simulation experiments on nine interference types, which include single-tone jamming, multitone jamming, periodic Gaussian pulse jamming, frequency hopping jamming, linear sweeping frequency jamming, second sweeping frequency jamming, BPSK modulation jamming, noise frequency modulation jamming and QPSK modulation jamming. The simulation results show that the proposed method has considerable classification accuracy of the known classes and rejection performance of the unknown classes. When the JNR is −10 dB, the classification accuracy of the known classes of the proposed method is 2–7% higher than other algorithms under different openness. When the openness is 0.030, the unknown class rejection performance plateau of the proposed method reaches 0.9883, while GCPL is 0.9403 and CG-Encoder is 0.9869; when the openness is 0.397, the proposed method is more than 0.89, while GCPL is 0.8102 and CG-Encoder is 0.9088. However, the rejection performance of unknown classes of CG-Encoder is much worse than that of the proposed method under low JNR. In addition, the proposed method requires less storage resources and has a lower computational complexity than CG-Encoder. Full article
Show Figures

Figure 1

17 pages, 2086 KB  
Article
Canalized Morphogenesis Driven by Inherited Tissue Asymmetries in Hydra Regeneration
by Lital Shani-Zerbib, Liora Garion, Yonit Maroudas-Sacks, Erez Braun and Kinneret Keren
Genes 2022, 13(2), 360; https://doi.org/10.3390/genes13020360 - 16 Feb 2022
Cited by 11 | Viewed by 3643
Abstract
The emergence and stabilization of a body axis is a major step in animal morphogenesis, determining the symmetry of the body plan as well as its polarity. To advance our understanding of the emergence of body axis polarity, we study regenerating Hydra. [...] Read more.
The emergence and stabilization of a body axis is a major step in animal morphogenesis, determining the symmetry of the body plan as well as its polarity. To advance our understanding of the emergence of body axis polarity, we study regenerating Hydra. Axis polarity is strongly memorized in Hydra regeneration even in small tissue segments. What type of processes confer this memory? To gain insight into the emerging polarity, we utilize frustrating initial conditions by studying regenerating tissue strips which fold into hollow spheroids by adhering their distal ends of opposite original polarities. Despite the convoluted folding process and the tissue rearrangements during regeneration, these tissue strips develop in a reproducible manner, preserving the original polarity and yielding an ordered body plan. These observations suggest that the integration of mechanical and biochemical processes supported by their mutual feedback attracts the tissue dynamics towards a well-defined developmental trajectory biased by weak inherited cues from the parent animal. Hydra thus provide an example of dynamic canalization in which the dynamic rules are instilled, but, in contrast to the classical picture, the detailed developmental trajectory does not unfold in a programmatic manner. Full article
Show Figures

Figure 1

24 pages, 5593 KB  
Article
Comparative Gravimetric Studies on Carbon Steel Corrosion in Selected Fruit Juices and Acidic Chloride Media (HCl) at Different pH
by Stanley Udochukwu Ofoegbu
Materials 2021, 14(16), 4755; https://doi.org/10.3390/ma14164755 - 23 Aug 2021
Cited by 6 | Viewed by 5175
Abstract
Food contamination due to metal corrosion and the consequent leakage of metals into foods is a problem. Understanding the mechanism(s) of metal corrosion in food media is vital to evaluating, mitigating, and predicting contamination levels. Fruit juices have been employed as model corrosive [...] Read more.
Food contamination due to metal corrosion and the consequent leakage of metals into foods is a problem. Understanding the mechanism(s) of metal corrosion in food media is vital to evaluating, mitigating, and predicting contamination levels. Fruit juices have been employed as model corrosive media to study the corrosion behaviour of metallic material in food media. Carbon steel corrosion in fresh juices of tomato, orange, pineapple, and lemon, as well as dilute hydrochloric acid solutions at varied pH, was studied using scanning electron microscopy, gravimetric and spectrophotometric techniques, and comparisons made between the corrosivity of these juices and mineral acids of comparable pH. The corrosion of carbon steel in fruit juices and HCl solutions manifests as a combination of uniform and pitting corrosion. Gravimetric data acquired after one hour of immersion at ambient temperature (22 °C) indicated corrosion rates of 0.86 mm yr−1 in tomato juice (pH ≈ 4.24), 1.81 mm yr−1 in pineapple juice (pH ≈ 3.94), 1.52 mm yr−1 in orange juice (pH ≈ 3.58), and 2.89 mm yr−1 in lemon juice (pH ≈ 2.22), compared to 2.19 mm yr−1 in 10−2 M HCl (pH ≈ 2.04), 0.38 mm yr−1 in 10−3 M HCl (pH ≈ 2.95), 0.17 mm yr−1 in 10−4 M HCl (pH ≈ 3.95), and 0.04 mm yr−1 in 10−5 M HCl (pH ≈ 4.98). The correlation of gravimetrically acquired corrosion data with post-exposure spectrophotometric analysis of fruit juices enabled de-convolution of iron contamination rates from carbon steel corrosion rates in fruit juices. Elemental iron contamination after 50 h of exposure to steel samples was much less than the values predicted from corrosion data (≈40%, 4.02%, 8.37%, and 9.55% for tomato, pineapple, orange, and lemon juices, respectively, relative to expected values from corrosion (weight loss) data). Tomato juice (pH ≈ 4.24) was the least corrosive to carbon steel compared to orange juice (pH ≈ 3.58) and pineapple juice (pH ≈ 3.94). The results confirm that though the fruit juices are acidic, they are generally much less corrosive to carbon steel compared to hydrochloric acid solutions of comparable pH. Differences in the corrosion behaviour of carbon steel in the juices and in the different mineral acid solutions are attributed to differences in the compositions and pH of the test media, the nature of the corrosion products formed, and their dissolution kinetics in the respective media. The observation of corrosion products (iron oxide/hydroxide) in some of the fruit juices (tomato, pineapple, and lemon juices) in the form of apparently hollow microspheres indicates the feasibility of using fruit juices and related wastes as “green solutions” for the room-temperature and hydrothermal synthesis of metal oxide/hydroxide particles. Full article
(This article belongs to the Section Corrosion)
Show Figures

Figure 1

13 pages, 5163 KB  
Article
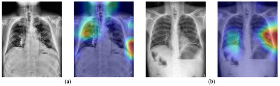
A Deep Learning Method for Alerting Emergency Physicians about the Presence of Subphrenic Free Air on Chest Radiographs
by Che-Yu Su, Tsung-Yu Tsai, Cheng-Yen Tseng, Keng-Hao Liu and Chi-Wei Lee
J. Clin. Med. 2021, 10(2), 254; https://doi.org/10.3390/jcm10020254 - 12 Jan 2021
Cited by 8 | Viewed by 6191
Abstract
Hollow organ perforation can precipitate a life-threatening emergency due to peritonitis followed by fulminant sepsis and fatal circulatory collapse. Pneumoperitoneum is typically detected as subphrenic free air on frontal chest X-ray images; however, treatment is reliant on accurate interpretation of radiographs in a [...] Read more.
Hollow organ perforation can precipitate a life-threatening emergency due to peritonitis followed by fulminant sepsis and fatal circulatory collapse. Pneumoperitoneum is typically detected as subphrenic free air on frontal chest X-ray images; however, treatment is reliant on accurate interpretation of radiographs in a timely manner. Unfortunately, it is not uncommon to have misdiagnoses made by emergency physicians who have insufficient experience or who are too busy and overloaded by multitasking. It is essential to develop an automated method for reviewing frontal chest X-ray images to alert emergency physicians in a timely manner about the life-threatening condition of hollow organ perforation that mandates an immediate second look. In this study, a deep learning-based approach making use of convolutional neural networks for the detection of subphrenic free air is proposed. A total of 667 chest X-ray images were collected at a local hospital, where 587 images (positive/negative: 267/400) were used for training and 80 images (40/40) for testing. This method achieved 0.875, 0.825, and 0.889 in sensitivity, specificity, and AUC score, respectively. It may provide a sensitive adjunctive screening tool to detect pneumoperitoneum on images read by emergency physicians who have insufficient clinical experience or who are too busy and overloaded by multitasking. Full article
(This article belongs to the Section Nuclear Medicine & Radiology)
Show Figures

Figure 1

Back to TopTop