Sign in to use this feature.

Years

Between: -

Subjects

remove_circle_outline
remove_circle_outline
remove_circle_outline
remove_circle_outline
remove_circle_outline
remove_circle_outline
remove_circle_outline

Journals

Article Types

Countries / Regions

remove_circle_outline
remove_circle_outline
remove_circle_outline
remove_circle_outline
remove_circle_outline

Search Results (304)

Search Parameters:
Keywords = global longitudinal strain (GLS)

Order results
Result details
Results per page
Select all
Export citation of selected articles as:
10 pages, 1111 KB  
Article
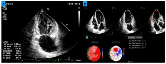
Diagnostic Value of Fractional Shortening and E-Point Septal Separation in Predicting Left Ventricular Longitudinal Strain in Dyspneic Emergency Patients
by Mustafa Ucar, Muhammed Ikbal Sasmaz, Doguhan Bitlisli and Akkan Avci
Medicina 2026, 62(2), 258; https://doi.org/10.3390/medicina62020258 - 26 Jan 2026
Abstract
Background and Objectives: Dyspnea is a common chief complaint in the emergency department. While global longitudinal strain and biplane ejection fraction are reliable markers of left ventricular systolic function, their assessment requires advanced echocardiographic tools and expertise. Simple point-of-care ultrasound parameters, such as [...] Read more.
Background and Objectives: Dyspnea is a common chief complaint in the emergency department. While global longitudinal strain and biplane ejection fraction are reliable markers of left ventricular systolic function, their assessment requires advanced echocardiographic tools and expertise. Simple point-of-care ultrasound parameters, such as E-point septal separation and fractional shortening may serve as practical alternatives for rapid bedside evaluation. Materials and Methods: EPSS and FS were measured by emergency physicians using POCUS, while reference EF and GLS were obtained by cardiologists via transthoracic echocardiography. Correlation analyses, receiver operating characteristic curves, and agreement statistics were used to evaluate the diagnostic accuracy of EPSS and FS for predicting reduced EF (<50%) and GLS (<16%). Results: Reduced EF was present in 54.0% and reduced GLS in 55.6% of patients. EPSS showed strong negative correlations with EF (ρ = −0.834) and GLS (ρ = −0.782), while FS correlated positively with EF (ρ = 0.773) and GLS (ρ = 0.714), all p < 0.001. ROC analysis demonstrated excellent diagnostic accuracy of EPSS (AUC = 0.922 for EF; 0.949 for GLS) and good accuracy of FS (AUC = 0.874 for EF; 0.865 for GLS). Optimal cut-off values were EPSS ≥ 7.0 mm and FS ≤ 25%. Agreement with reference TTE was good for EPSS (κ = 0.676 for EF; κ = 0.738 for GLS) and moderate for FS (κ ≈ 0.56). Conclusions: Both EPSS and FS measured by POCUS provide reliable estimates of left ventricular systolic function in dyspneic ED patients, with EPSS demonstrating superior diagnostic performance. Full article
Show Figures

Figure 1

15 pages, 911 KB  
Article
Vascular and Myocardial Function in Patients with Type 2 Diabetes and Ischemic Stroke Treated with Dulaglutide or Empagliflozin
by George Pavlidis, Vasiliki Prentza, Ignatios Ikonomidis, Konstantinos Katogiannis, Aikaterini Kountouri, John Thymis, Eleni Michalopoulou, Loukia Pliouta, Emmanouil Korakas, Maria-Ioanna Stefanou, Lina Palaiodimou, Georgios Tsivgoulis and Vaia Lambadiari
Medicina 2026, 62(2), 254; https://doi.org/10.3390/medicina62020254 - 25 Jan 2026
Abstract
Background and Objectives: Patients with type 2 diabetes mellitus (T2DM) and ischemic stroke present with endothelial, vascular and left ventricular (LV) myocardial dysfunction. We investigated the effects of treatment with either glucagon-like peptide-1 receptor agonists (GLP-1RA) or sodium-glucose contrasporter-2 inhibitors (SGLT-2i) on endothelial [...] Read more.
Background and Objectives: Patients with type 2 diabetes mellitus (T2DM) and ischemic stroke present with endothelial, vascular and left ventricular (LV) myocardial dysfunction. We investigated the effects of treatment with either glucagon-like peptide-1 receptor agonists (GLP-1RA) or sodium-glucose contrasporter-2 inhibitors (SGLT-2i) on endothelial glycocalyx, arterial stiffness, and LV myocardial strain in patients with metformin-treated T2DM and a prior ischemic stroke. Materials and Methods: A total of 54 consecutive patients with T2DM and ischemic stroke who attended a cardiometabolic outpatient clinic in Athens, Greece, and received either GLP-1RA (dulaglutide; n = 27) or SGLT-2i (empagliflozin; n = 27) were enrolled in the study. We measured the perfused boundary region (PBR) of the sublingual microvessels, a marker of glycocalyx thickness, as well as carotid-femoral pulse wave velocity (PWV) and LV global longitudinal strain (GLS), at baseline and at 4 and 12 months of treatment. Results: Twelve months after treatment, all patients had reduced glycosylated hemoglobin and body mass index (BMI) (p < 0.001). Patients treated with dulaglutide showed a greater reduction in BMI (−11.8% vs. −4.8%, p < 0.001) compared to those treated with empagliflozin. Compared to baseline, all patients had reduced PBR, PWV and GLS (p < 0.001) after 12 months of treatment. However, empagliflozin presented a greater decrease in PWV (−14% vs. −10.9%, p = 0.041), while dulaglutide resulted in a greater increase in GLS (14.7% vs. 8.3%, p = 0.024) compared to empagliflozin. In all patients, the reduction in PBR at 12 months was correlated with a decrease in PWV and with an increase in GLS (p < 0.05). Conclusions: Both dulaglutide and empagliflozin improve cardiovascular function in T2DM patients with ischemic stroke. Dulaglutide appears to be more effective in the improvement of LV myocardial strain, whereas empagliflozin is more effective in reducing arterial stiffness. Full article
Show Figures

Figure 1

14 pages, 1437 KB  
Article
Impact of Fitness on Cardiac Torsion and Wall Mechanics in Ischemic Heart Disease Study (FIT-TWIST)
by Priscilla Wessly, Maiteder Larrauri Reyes, Syed I. Zaidi, Selin Sendil, Tarec K. Elajami and Christos G. Mihos
J. Cardiovasc. Dev. Dis. 2026, 13(2), 62; https://doi.org/10.3390/jcdd13020062 - 24 Jan 2026
Viewed by 50
Abstract
Background: Cardiac rehabilitation (CR) and mechanics are individually associated with cardiovascular outcomes in ischemic heart disease (IHD); however, their interaction remains less defined. We hypothesized that a 36-session CR program improves cardiac strain and torsional mechanics in IHD patients. Methods: Ninety IHD patients [...] Read more.
Background: Cardiac rehabilitation (CR) and mechanics are individually associated with cardiovascular outcomes in ischemic heart disease (IHD); however, their interaction remains less defined. We hypothesized that a 36-session CR program improves cardiac strain and torsional mechanics in IHD patients. Methods: Ninety IHD patients on guideline-directed medical therapy with complete revascularization were prospectively enrolled, of which 27 electively completed a 36-session standardized exercise CR program. Speckle-tracking echocardiography was utilized to assess left ventricular (LV) global longitudinal strain (GLS) and peak twist, and right ventricular free wall strain (RVFWS) at baseline and after program completion. Participants were propensity-scoring matched 1:1 with 27 patients who declined participation (No-CR). Results: Clinical characteristics were similar between groups (mean age: 63 ± 10 years, 82% male, 31% three-vessel coronary artery disease). When compared with baseline, the CR group experienced a significant improvement in LV GLS (−14.9 ± 2.9 vs. −16.2 ± 3.1%, p = 0.003), with a numerical but non-significant increase in peak LV twist (14.4 ± 7.4 vs. 16.8 ± 5.3°, p = 0.162). The No-CR group showed significant deterioration in RVFWS (−22.9 ± 4.6% vs. −19.3 ± 5.4%, p = 0.009), with no other changes including in GLS (−14.8 ± 3.1 vs. −15 ± 3.3%, p = 0.831). Follow-up comparisons between CR versus No-CR revealed significantly greater peak LV twist (16.8 ± 5.3 vs. 12.1 ± 4.2°, p = 0.001) and a healthier RVFWS (−22.2 ± 4.5 vs. −19.3 ± 5.4, p = 0.044) in CR participants. Conclusions: CR in patients with IHD improved LV GLS and, compared with No-CR, conferred better LV twist and RVFWS. Full article
Show Figures

Figure 1

13 pages, 1041 KB  
Article
Heart Transplantation from Donors with Takotsubo Cardiomyopathy: Clinical Outcomes and Early Experience from a Single Center
by Lorenzo Giovannico, Giuseppe Fischetti, Federica Mazzone, Domenico Parigino, Luca Savino, Ilaria Paradiso, Marina Mezzina, Eduardo Urgesi, Claudia Leo, Giuseppe Cristiano, Concetta Losito, Massimiliano Carrozzini, Vincenzo Ezio Santobuono, Andrea Igoren Guaricci, Marco Matteo Ciccone, Massimo Padalino and Tomaso Bottio
J. Clin. Med. 2026, 15(2), 842; https://doi.org/10.3390/jcm15020842 - 20 Jan 2026
Viewed by 155
Abstract
Background: Takotsubo cardiomyopathy (TTC) has been historically considered a contraindication for heart donation due to its transient left ventricular dysfunction. However, emerging evidence supports that hearts from donors with fully recovered Takotsubo Cardiomyopathy can be safely transplanted. Methods: This case series describes seven [...] Read more.
Background: Takotsubo cardiomyopathy (TTC) has been historically considered a contraindication for heart donation due to its transient left ventricular dysfunction. However, emerging evidence supports that hearts from donors with fully recovered Takotsubo Cardiomyopathy can be safely transplanted. Methods: This case series describes seven heart transplantations performed between January 2022 and September 2025 using donors with previously diagnosed Takotsubo cardiomyopathy. Donor characteristics, intraoperative data, echocardiography data and postoperative outcomes were analyzed. Results: The mean donor age was 33.5 years (range 18–58), with a male-to-female ratio of 6:1. All donors exhibited echocardiographic evidence of Takotsubo Cardiomyopathy at the time of brain death, with full or partial recovery before procurement. Coronary angiography excluded obstructive coronary disease. Echocardiographic follow-up demonstrated the mean LVEF increased to 52 ± 6%, reaching 58 ± 4% at 12 months, global longitudinal strain (GLS) improved progressively (from −14.2 ± 2.8% to −18.5 ± 1.9%), confirming normalization of myocardial deformation and the right ventricular function, assessed by TAPSE, rose from 15 ± 3 mm at discharge to 20 ± 2 mm at 12 months. All patients transplanted with donors who had Takotsubo cardiomyopathy are alive at the 12-month follow-up. Conclusions: Hearts from donors with resolved Takotsubo Cardiomyopathy can be safely used for transplantation without compromising early- or mid-term outcomes. Expanding donor eligibility criteria to include selected TTC donors may contribute to mitigating organ shortages in advanced heart failure patients. Full article
(This article belongs to the Special Issue Heart Transplantation: Surgery Updates and Complications)
Show Figures

Figure 1

12 pages, 541 KB  
Article
Impact of Insulin Resistance and Preclinical Atherosclerosis Parameters in Long-Term Prediction of Cardiovascular Events: A Seven-Year Prospective Study
by Daniela Di Lisi, Girolamo Manno, Cristina Madaudo, Francesco Perone, Francesco Leonforte, Antonio Luca Maria Parlati, Andrea Flex, Salvatore Novo, Paolo Tondi, Alfredo Ruggero Galassi and Giuseppina Novo
J. Clin. Med. 2026, 15(2), 808; https://doi.org/10.3390/jcm15020808 - 19 Jan 2026
Viewed by 88
Abstract
Background/Objectives: Cardiovascular (CV) and cerebrovascular diseases, primarily attributed to atherosclerosis, stand as leading global causes of morbidity and mortality. This study aims to evaluate the impact of preclinical atherosclerosis parameters, including intima-media thickness (IMT) and arterial stiffness, in a seven-year follow-up of [...] Read more.
Background/Objectives: Cardiovascular (CV) and cerebrovascular diseases, primarily attributed to atherosclerosis, stand as leading global causes of morbidity and mortality. This study aims to evaluate the impact of preclinical atherosclerosis parameters, including intima-media thickness (IMT) and arterial stiffness, in a seven-year follow-up of 100 patients with CV risk factors but no known history of CV or cerebrovascular diseases. Methods: Between April 2014 and December 2015, 100 patients presenting with suspected ischemic heart disease were enrolled. The study integrates the color Doppler examination of the supra-aortic trunks with the evaluation of preclinical parameters of atherosclerosis, such as intima-media thickness (IMT), βeta index, and pulse wave velocity (PWV), as well as echocardiographic evaluations, including global longitudinal strain (GLS). CV risk factors, metabolic syndrome, and insulin resistance were assessed and measured for each patient using the Homeostasis Model Assessment of Insulin Resistance (HOMA-IR). Two- and seven-year follow-ups assessed various CV events. Results: The study population comprised 67% males and 33% females. Metabolic syndrome, impaired fasting glycemia and hypertension were prevalent. The mean value of IMT was 1.21 ± 0.26 mm, and PWV was 8.47 ± 2.14 m/s. The 7-year follow-up identified IMT, PWV, and HOMA-IR as strong positive predictors of cardiovascular events, with PWV emerging as a particularly sensitive indicator of early events. Conclusions: Insulin resistance and cardiovascular risk factors may contribute to early alterations in myocardial and vascular function, even in the absence of overt disease. PWV, as a recognized surrogate marker of arterial stiffness, may serve as a sensitive tool for the early prediction of cardiovascular events. A comprehensive screening, including the assessment of markers indicating subclinical vascular alterations, along with the implementation of preventive interventions, is crucial for populations at risk. Full article
(This article belongs to the Special Issue Cardiovascular Risks in Autoimmune and Inflammatory Diseases)
Show Figures

Figure 1

22 pages, 1265 KB  
Article
Effect of Immune Checkpoint Inhibitor Therapy on Biventricular and Biatrial Mechanics in Patients with Advanced Cancer: A Short-Term Follow-Up Study
by Andrea Sonaglioni, Emanuela Fossile, Nicoletta Tartaglia, Gian Luigi Nicolosi, Michele Lombardo, Massimo Baravelli, Paola Muti and Pier Francesco Ferrucci
J. Clin. Med. 2026, 15(2), 762; https://doi.org/10.3390/jcm15020762 - 16 Jan 2026
Viewed by 148
Abstract
Background: Immune checkpoint inhibitors (ICIs) improve cancer outcomes but may cause cardiovascular toxicity, including early subclinical myocardial injury. Conventional echocardiography has limited sensitivity, whereas speckle-tracking echocardiography (STE) allows for early detection of myocardial deformation. Data on short-term ICI-related effects on biventricular mechanics [...] Read more.
Background: Immune checkpoint inhibitors (ICIs) improve cancer outcomes but may cause cardiovascular toxicity, including early subclinical myocardial injury. Conventional echocardiography has limited sensitivity, whereas speckle-tracking echocardiography (STE) allows for early detection of myocardial deformation. Data on short-term ICI-related effects on biventricular mechanics are limited, and atrial function remains poorly characterized. This study evaluated the early impact of ICI therapy on biventricular and biatrial mechanics using STE in patients with advanced cancer. Methods: In this prospective, single-center study, 28 consecutive patients with advanced cancer undergoing ICI therapy were followed for 3 months. Clinical, laboratory, electrocardiographic, and echocardiographic assessments were performed at baseline, 1 month, and 3 months. STE was used to assess left ventricular global longitudinal strain (LV-GLS) and circumferential strain; right ventricular GLS (RV-GLS); and left and right atrial reservoir, conduit, and contractile strain parameters. Subclinical LV dysfunction was defined as a relative LV-GLS reduction >15%. Logistic and Cox regression analyses identified predictors of strain impairment and adverse clinical events. Results: Conventional echocardiographic parameters, including left ventricular ejection fraction, remained stable. In contrast, LV-GLS declined progressively from 20.7 ± 2.1% to 17.6 ± 2.7% at 3 months (p = 0.002), with subclinical LV dysfunction observed in 85.7% of patients. RV-GLS also deteriorated despite preserved TAPSE. Both left and right atrial strain and strain-rate parameters showed an early and marked decline, accompanied by increased left atrial stiffness despite unchanged atrial volumes. Older age and higher neutrophil-to-lymphocyte ratio (NLR) were associated with LV-GLS impairment. Over a mean follow-up of 5.4 ± 3 months, baseline LV-GLS independently predicted adverse clinical events and mortality. Optimal cut-off values were 67 years for age, 4 for NLR, and 19.5% for LV-GLS. Conclusions: Short-term ICI therapy is associated with early, diffuse subclinical myocardial dysfunction involving both ventricles and atria, detectable only by STE. Comprehensive biventricular and biatrial strain assessment may enhance early cardio-oncology surveillance and risk stratification in ICI-treated patients. Full article
Show Figures

Figure 1

25 pages, 4813 KB  
Article
Cardiac and Vascular Adaptation During Pregnancy in Asian and Caucasian Women: Insights from a Prospective Cohort Study
by Andrea Sonaglioni, Irene Sutti, Giuditta Ferrara, Marta Ruggiero, Giovanna Margola, Gian Luigi Nicolosi, Stefano Bianchi, Michele Lombardo and Massimo Baravelli
J. Clin. Med. 2026, 15(2), 756; https://doi.org/10.3390/jcm15020756 - 16 Jan 2026
Viewed by 139
Abstract
Background/Objectives: Ethnicity is associated with differences in cardiac structure and function in non-pregnant populations, but pregnancy-specific data—particularly for myocardial deformation—remain limited. We investigated whether ethnicity influences cardiac geometry, biventricular and biatrial mechanics, hemodynamics, and carotid vascular indices in healthy women during the third [...] Read more.
Background/Objectives: Ethnicity is associated with differences in cardiac structure and function in non-pregnant populations, but pregnancy-specific data—particularly for myocardial deformation—remain limited. We investigated whether ethnicity influences cardiac geometry, biventricular and biatrial mechanics, hemodynamics, and carotid vascular indices in healthy women during the third trimester of pregnancy. Methods: In this prospective, monocentric study, 80 healthy women with singleton third-trimester pregnancies were enrolled, including 40 Asian and 40 Caucasian women matched for age and body mass index. All participants underwent standardized clinical and laboratory evaluation, comprehensive transthoracic echocardiography with Doppler, speckle-tracking analysis of both ventricles and atria, and bilateral carotid ultrasonography. Logistic regression analyses were performed in Asian women to identify correlates of supranormal left ventricular ejection fraction (LVEF ≥ 70%) and enhanced left ventricular global longitudinal strain (LV-GLS > 20%). Results: Age and gestational age were similar between groups, whereas body surface area was lower in Asian women (1.65 ± 0.12 vs. 1.77 ± 0.15 m2, p < 0.001). Asian women exhibited smaller left ventricular dimensions and volumes but higher LVEF (median 71.6% vs. 66.4%, p < 0.001). Heart rate and blood pressure were comparable, whereas stroke volume [45.5 ± 9.6 vs. 68.0 (48.9–110) mL, p < 0.001] and cardiac output (3.9 ± 0.9 vs. 4.9 ± 0.8 L/min, p < 0.001) were lower in Asian women, who also demonstrated higher total peripheral resistance and lower ventricular–arterial coupling (0.31 ± 0.09 vs. 0.37 ± 0.07, p = 0.001). Speckle-tracking echocardiography revealed higher LV-GLS (21.9 ± 1.9% vs. 20.5 ± 2.0%, p = 0.002), higher LV global circumferential strain, enhanced right ventricular longitudinal strain, and higher reservoir strain of both atria in Asian women. Carotid ultrasonography showed smaller common carotid diameter and cross-sectional area in Asian women (10.7 ± 2.5 vs. 13.7 ± 2.3 mm2, p < 0.001). In regression analyses, supranormal LVEF was independently associated with smaller LV end-diastolic diameter (OR 0.39, 95% CI 0.16–0.97), while enhanced LV-GLS was independently associated with lower neutrophil-to-lymphocyte ratio (OR 0.04, 95% CI 0.00–0.87). Conclusions: Ethnicity is associated with multidimensional differences in cardiac geometry, myocardial mechanics, vascular load, and carotid structure in healthy third-trimester pregnancy. Ethnicity-aware interpretation and tailored reference ranges may improve the accuracy of echocardiographic assessment during late gestation. Full article
(This article belongs to the Section Cardiology)
Show Figures

Figure 1

17 pages, 937 KB  
Article
Prospective Study on the Evaluation of Echocardiographic Parameters as Predictors of a Positive Response to Cardiac Resynchronization Therapy in a Tertiary Care Hospital in Mexico
by Juan Carlos Plata-Corona, Karla Sofia Chávez-Gómez, Enrique Torres-Rasgado, Heberto Aquino-Bruno, José Omar Arenas-Díaz, Elias Terrazas-Cervantes and Nilda Espinola-Zavaleta
J. Clin. Med. 2026, 15(2), 609; https://doi.org/10.3390/jcm15020609 - 12 Jan 2026
Viewed by 157
Abstract
Background/Objectives: Heart failure is a major global health problem. Among the available treatment options, cardiac resynchronization therapy (CRT) has been shown to improve both quality of life (QoL) and mortality; however, not all patients respond adequately. Our study aimed to identify echocardiographic [...] Read more.
Background/Objectives: Heart failure is a major global health problem. Among the available treatment options, cardiac resynchronization therapy (CRT) has been shown to improve both quality of life (QoL) and mortality; however, not all patients respond adequately. Our study aimed to identify echocardiographic parameters that predict a positive response to CRT. Methods: A total of 33 patients (10 women and 23 men) were prospectively recruited, all met the standard criteria for CRT implantation. Biochemical, clinical, QoL, 6 min walk test, and echocardiographic evaluations were performed prior to CRT implantation and reassessed after 6 months. A ≥15% reduction in left ventricular end-systolic volume was taken as the defining parameter of positive response. Based on response level, patients were divided into two groups: responders and non-responders. Results: Comparing the overall population before and after CRT, a positive impact was observed on biochemical, electrocardiographic, and echocardiographic parameters. Fourteen patients (42%) were classified as responders and nineteen (58%) as non-responders. Only two basal echocardiographic parameters showed significant baseline differences between groups: Global Longitudinal Strain (GLS) and the Kapetanakis index. ROC curve analysis showed that baseline GLS and Kapetanakis index had excellent discriminative ability for predicting CRT response. Also, binary logistic regression analysis identified the association of GLS and Kapetanakis index with CRT response. Finally, Rho Spearman analysis showed a positive correlation between the degree of response to CRT and the QoL, (ρ) of 0.663 with p = 0.001. Conclusions: Our findings confirm the overall clinical, biochemical, echocardiographic, and QoL benefits of CRT. In addition, two echocardiographic parameters proved to be potential response predictors. Full article
(This article belongs to the Section Cardiology)
Show Figures

Figure 1

27 pages, 4598 KB  
Systematic Review
Comparative Meta-Analysis of Left Ventricular Mechanics in Takotsubo Syndrome and Anterior STEMI Due to Left Anterior Descending Artery Occlusion
by Andrea Sonaglioni, Gian Luigi Nicolosi, Michele Lombardo, Massimo Baravelli and Paola Muti
J. Clin. Med. 2025, 14(24), 8748; https://doi.org/10.3390/jcm14248748 - 10 Dec 2025
Viewed by 416
Abstract
Background: Takotsubo syndrome (TTS) often mimics anterior ST-elevation myocardial infarction (STEMI) caused by left anterior descending (LAD) occlusion, yet the two entities differ fundamentally in pathophysiology and mechanical behavior. Two-dimensional speckle-tracking echocardiography (2D-STE) enables detailed assessment of left ventricular (LV) deformation beyond conventional [...] Read more.
Background: Takotsubo syndrome (TTS) often mimics anterior ST-elevation myocardial infarction (STEMI) caused by left anterior descending (LAD) occlusion, yet the two entities differ fundamentally in pathophysiology and mechanical behavior. Two-dimensional speckle-tracking echocardiography (2D-STE) enables detailed assessment of left ventricular (LV) deformation beyond conventional ejection fraction (LVEF). This meta-analysis compared global and regional LV strain patterns in TTS versus LAD-related anterior STEMI during the acute phase. Methods: A systematic search of PubMed, Embase, and Scopus through October 2025 identified observational case–control studies directly comparing TTS and angiographically confirmed anterior STEMI, with LV mechanics assessed by 2D-STE. Random-effects models were used to pool standardized mean differences (SMDs) for LVEF; global longitudinal strain (GLS); apical, mid-ventricular, and basal longitudinal strain (ALS, MLS, BLS); and global radial strain (GRS). Heterogeneity (I2), publication bias (funnel plots, Egger’s test), meta-regression, and leave-one-out sensitivity analyses were performed. Results: Six studies comprising 221 TTS and 290 anterior STEMI patients met the inclusion criteria. TTS patients were older, predominantly female, and had fewer metabolic risk factors, while LV size was comparable. LVEF was significantly lower in TTS (SMD −1.149; 95% CI −2.20 to −0.10; p = 0.032), with stable findings across sensitivity analyses and no evidence of publication bias. GLS, ALS, MLS, and BLS showed only a non-significant trend toward greater impairment in TTS, and these comparisons were limited by marked inter-study heterogeneity. In contrast, GRS was significantly and consistently more reduced in TTS (SMD −1.284; 95% CI −1.59 to −0.98; p < 0.001), indicating more profound global radial dysfunction. Meta-regression showed no significant influence of demographic factors or vendor-specific software on LVEF or GLS differences. Conclusions: Compared with LAD-related anterior STEMI, TTS is associated with more severely depressed LVEF and markedly impaired radial strain, while longitudinal strain differences remain inconclusive and suggest only a potential trend toward greater dysfunction, reflecting the limited and heterogeneous evidence. These findings are consistent with diffuse, stress-induced myocardial stunning in TTS and suggest that 2D-STE may aid differentiation between stress cardiomyopathy and ischemic infarction in the acute setting, although longitudinal strain parameters should be interpreted cautiously and regarded as hypothesis-generating. Full article
(This article belongs to the Special Issue Perspectives on the Diagnosis and Treatment of Cardiomyopathies)
Show Figures

Figure 1

24 pages, 1818 KB  
Systematic Review
Ethnic Variation in Left Ventricular Size and Mechanics During Healthy Pregnancy: A Systematic Review of Asian and Western Cohorts
by Andrea Sonaglioni, Giovanna Margola, Gian Luigi Nicolosi, Stefano Bianchi, Michele Lombardo and Massimo Baravelli
J. Clin. Med. 2025, 14(24), 8745; https://doi.org/10.3390/jcm14248745 - 10 Dec 2025
Cited by 1 | Viewed by 415
Abstract
Background: Pregnancy induces substantial cardiovascular remodeling, yet whether maternal cardiac adaptation differs across ethnic groups remains unclear. Body size, ventricular geometry, and thoracoabdominal configuration may modulate key functional indices such as left ventricular ejection fraction (LVEF) and global longitudinal strain (LV-GLS). This [...] Read more.
Background: Pregnancy induces substantial cardiovascular remodeling, yet whether maternal cardiac adaptation differs across ethnic groups remains unclear. Body size, ventricular geometry, and thoracoabdominal configuration may modulate key functional indices such as left ventricular ejection fraction (LVEF) and global longitudinal strain (LV-GLS). This systematic review compared echocardiographic characteristics between Asian and Western healthy pregnant women in late gestation and explored physiological mechanisms underlying observed differences. Methods: A comprehensive search of PubMed, Scopus, and EMBASE identified studies reporting transthoracic echocardiography in healthy singleton third-trimester pregnancies across Asian and Western populations. Extracted variables included anthropometry, ventricular dimensions and volumes, LVEF, and LV-GLS. Pooled estimates were calculated using inverse-variance weighting, with heterogeneity quantified using the I2 statistic. Study quality was assessed with the NIH Case–Control Quality Assessment Tool. Comparative forest plots visualized population differences. Results: Twenty studies involving 1431 participants (578 Asian and 853 Western women) met inclusion criteria. Asian women consistently exhibited smaller ventricular chambers, higher LVEF, and more favorable LV-GLS. Importantly, these differences persisted after indexing LV-GLS to BSA, indicating that body-size normalization attenuates—but does not eliminate—population differences in myocardial deformation. Western women demonstrated slightly attenuated GLS despite preserved LVEF, plausibly attributable to larger cardiac size, higher wall stress, greater diaphragmatic elevation, and increased extrinsic thoracic compression. Between-study heterogeneity was substantial (I2 > 95%) due to variation in imaging platforms, strain software, and population characteristics. Methodological quality was fair, with frequent lack of sample-size justification and incomplete confounder adjustment. Conclusions: Healthy Asian pregnant women display a hyperdynamic systolic phenotype, whereas Western women show a physiologically appropriate, load-related attenuation of LV-GLS with preserved LVEF. These findings highlight the need for ethnicity-associated and anatomy-aware echocardiographic reference values and support incorporating thoracic geometric indices, such as the modified Haller Index, into strain interpretation during pregnancy. Full article
(This article belongs to the Special Issue Visualizing Cardiac Function: Advances in Modern Imaging Diagnostics)
Show Figures

Figure 1

15 pages, 2145 KB  
Article
Echocardiographic Predictors of Ventricular Arrhythmias Post-Automatic Implantable Cardioverter–Defibrillator Implantation
by Mehmet Harapoz, Yan Stanislaw Andrzej Zochowski, Siddharth J. Trivedi, Saurabh Kumar and Liza Thomas
J. Cardiovasc. Dev. Dis. 2025, 12(12), 476; https://doi.org/10.3390/jcdd12120476 - 3 Dec 2025
Viewed by 400
Abstract
(1) Background: Ventricular arrhythmias (VAs) are a leading cause of morbidity and mortality in ischemic and non-ischemic heart disease. While automated implantable cardioverter–defibrillators (AICDs) are standard treatment for high-risk patients, predicting future VA post-implantation remains limited. This study evaluated echocardiographic and strain parameters [...] Read more.
(1) Background: Ventricular arrhythmias (VAs) are a leading cause of morbidity and mortality in ischemic and non-ischemic heart disease. While automated implantable cardioverter–defibrillators (AICDs) are standard treatment for high-risk patients, predicting future VA post-implantation remains limited. This study evaluated echocardiographic and strain parameters for predicting VA risk in AICD recipients. (2) Methods: This retrospective cohort study included patients who underwent AICD implantation at Westmead Hospital, New South Wales, Australia (January 2014–May 2024). Pre-implant transthoracic echocardiograms (TTEs) were analysed for structural and functional parameters, including left-ventricular (LV) ejection fraction (LVEF), LV global longitudinal strain (GLS), mechanical dispersion (MD), and delta contraction duration (DCD). VA events, defined as appropriate AICD shock or anti-tachycardia pacing, were identified from electronic medical records and device checks. Univariate and multivariate Cox regression analyses were performed. (3) Results: Among 242 patients, 98 experienced VA events. Increased LV end-diastolic diameter, indexed LV mass, and right-ventricular basal diameter were associated with VA events (p < 0.05), whilst LVEF and GLS were not. LV dyssynchrony was greater in affected patients (MD 69.2 ms vs. 63 ms, p = 0.036; DCD 288.8 ms vs. 246.4 ms, p = 0.010). DCD was an independent predictor of VA events (HR 1.003; 95% CI: 1.000–1.006; p = 0.022). (4) Conclusions: DCD may improve risk stratification in AICD patients. Full article
(This article belongs to the Section Imaging)
Show Figures

Figure 1

29 pages, 4504 KB  
Systematic Review
When the Liver Echoes to the Heart: Assessing Subclinical Cardiac Dysfunction in NAFLD Using Speckle Tracking Echocardiography—A Systematic Review and Meta-Analysis
by Micha Gruber, Malaz Almasri, Rania Abdulredha, Iulia Tecar, Daniel-Corneliu Leucuta, Stefan-Lucian Popa, Dan L. Dumitrascu and Abdulrahman Ismaiel
Biomedicines 2025, 13(12), 2908; https://doi.org/10.3390/biomedicines13122908 - 27 Nov 2025
Viewed by 583
Abstract
Introduction: Worldwide, non-alcoholic fatty liver disease (NAFLD) is the most prevalent chronic liver disorder, strongly associated with increased cardiovascular morbidity and mortality. Although patients have a preserved left ventricular ejection fraction (LVEF), individuals having NAFLD may demonstrate subclinical cardiac dysfunction. Speckle tracking echocardiography [...] Read more.
Introduction: Worldwide, non-alcoholic fatty liver disease (NAFLD) is the most prevalent chronic liver disorder, strongly associated with increased cardiovascular morbidity and mortality. Although patients have a preserved left ventricular ejection fraction (LVEF), individuals having NAFLD may demonstrate subclinical cardiac dysfunction. Speckle tracking echocardiography (STE) enables a more sensitive evaluation, identifying even subtle alterations of myocardial strain, compared to conventional LVEF measurements. This systematic review and meta-analysis sought to examine the relationship between NAFLD and subclinical left ventricular systolic impairment, utilizing STE-derived strain parameters. Methods: A comprehensive search of the literature was undertaken using PubMed, EMBASE, and Scopus. Observational studies evaluating patients with NAFLD through STE-derived myocardial strain parameters were included. Study quality was appraised using the Newcastle-Ottawa Scale. The primary outcomes were the mean differences (MD) in global longitudinal strain (GLS), global circumferential strain (GCS), global radial strain (GRS), global area strain (GAS), and related strain rate indices between NAFLD spectrum patients and controls. Results: A total of sixteen studies, comprising 8359 participants, were included in the analysis. Compared to controls, patients with NAFLD demonstrated significant reductions in GLS (MD: −2.043; 95% CI: −2.868, −1.218), GAS (MD: −3.706; 95% CI: −4.999, −2.413), and GCS (MD: −1.415; 95% CI: −2.893, 0.064). These reductions were more substantial among individuals with moderate to severe NAFLD and those with concomitant type 2 diabetes mellitus (GLS MD: −4.385; 95% CI: −5.400, −3.369 in diabetic NAFLD vs. diabetic controls). Subgroup analysis further revealed a progressive deterioration in strain parameters from simple steatosis to more severe NAFLD. Notably, LVEF remained preserved in all groups, highlighting the subclinical nature of this dysfunction. Conclusions: This meta-analysis verifies the presence of subclinical left ventricular systolic dysfunction in individuals with NAFLD, which is identifiable by STE despite preserved LVEF. Myocardial strain metrics, particularly GLS, serve as sensitive early markers of myocardial impairment. Routine application of STE in the clinical assessment of NAFLD may support earlier cardiovascular risk detection and timely intervention. Full article
(This article belongs to the Special Issue Emerging Trends in Liver Diseases and Cirrhosis Research)
Show Figures

Figure 1

20 pages, 1122 KB  
Article
Moderate Normobaric Hypoxia Does Not Exacerbate Left Ventricular Dysfunction After Exhaustive Exercise in Athletes and Untrained Individuals
by Robert Gajda, Kamila Płoszczyca, Ewa Kowalik, Adam Niemaszyk, Michał Starczewski, Natalia Grzebisz-Zatońska, Katarzyna Kaczmarczyk, Józef Langfort and Miłosz Czuba
J. Clin. Med. 2025, 14(23), 8391; https://doi.org/10.3390/jcm14238391 - 26 Nov 2025
Viewed by 384
Abstract
Background: Exposure to hypoxia is widely used to enhance training adaptations, but its acute effects on cardiac function remain unclear. Exercise-induced cardiac fatigue (EICF), defined as transient impairments in left ventricular (LV) systolic and diastolic function, has been reported after endurance exercise. Whether [...] Read more.
Background: Exposure to hypoxia is widely used to enhance training adaptations, but its acute effects on cardiac function remain unclear. Exercise-induced cardiac fatigue (EICF), defined as transient impairments in left ventricular (LV) systolic and diastolic function, has been reported after endurance exercise. Whether moderate hypoxia influences EICF, particularly in athletes, is unknown. Methods: Twenty-four healthy men participated: 12 endurance-trained cyclists (T) and 12 untrained individuals (UT). Each completed two exhaustive cycling tests under normoxia (FiO2 = 20.9%) and moderate normobaric hypoxia (FiO2 = 14.4%; ~3000 m). Echocardiography was performed at rest and immediately post-exercise to assess LV systolic and diastolic function. Results: Exhaustive exercise reduced LV diastolic function in both groups, with no significant condition-related differences. Under normoxia, early peak filling velocity (Mitral E) decreased by 21.2% in UT and 23.2% in T, and under hypoxia, by 16.2% in UT and 14.9% in T. Global longitudinal strain (LV GLS) became less negative after exercise under normoxia (UT: +25.2%, T: +30.6%) and hypoxia (UT: +24.8%, T: +20.3%). Athletes exhibited slightly less post-exercise systolic impairment under hypoxia than normoxia, reflected by the maintenance of a more negative LV GLS (∆GLS: 6.87 ± 2.65% in normoxia vs. 4.55 ± 1.86% in hypoxia, p < 0.05). Conclusions: Moderate normobaric hypoxia (~3000 m) did not exacerbate EICF in either group. Athletes showed slightly less post-exercise systolic impairment under hypoxia. Moderate hypoxia may modify the cardiac response to exhaustive exercise, but studies with larger samples and direct preload assessment are needed. Full article
(This article belongs to the Section Sports Medicine)
Show Figures

Figure 1

17 pages, 1932 KB  
Article
Association Between Left Ventricular Global Longitudinal Strain and Hepatic Inflammation and Fibrosis in Metabolic Dysfunction-Associated Steatotic Liver Disease
by Alberto Rodolpho Hüning, Vitor Emer Egypto Rosa, Diogo Silva Piardi, Daniara Viegas Rebelo Assis, Tainá Vanes Ferreira, Leonardo Griseli, Fabio Cañellas Moreira, Luiz Alberto De Carli, Carolina Rigatti Hartmann, Gabriela Perdomo Coral, Roney Orismar Sampaio, Marcelo Luiz Campos Vieira, Flávio Tarasoutchi, Paulo Ernesto Leães and Angelo Alves De Mattos
Diagnostics 2025, 15(23), 3007; https://doi.org/10.3390/diagnostics15233007 - 26 Nov 2025
Viewed by 621
Abstract
Background/Objectives: Cardiovascular disease is the leading cause of mortality in patients with metabolic dysfunction-associated steatotic liver disease (MASLD), which includes simple steatosis (metabolic dysfunction-associated steatotic liver, MASL), metabolic dysfunction-associated steatohepatitis (MASH), and fibrosis. This study aimed to evaluate the association between left [...] Read more.
Background/Objectives: Cardiovascular disease is the leading cause of mortality in patients with metabolic dysfunction-associated steatotic liver disease (MASLD), which includes simple steatosis (metabolic dysfunction-associated steatotic liver, MASL), metabolic dysfunction-associated steatohepatitis (MASH), and fibrosis. This study aimed to evaluate the association between left ventricular (LV) systolic function, measured by global longitudinal strain (GLS), and liver inflammation and fibrosis in obese patients with MASLD undergoing preoperative evaluation for bariatric surgery. Methods: Intraoperative liver biopsies classified patients into four groups: non-MASLD; MASL; MASH; and MASH with fibrosis. Preoperative transthoracic echocardiography (TTE) was performed, and LV GLS was assessed using automated strain analysis. Results: Ninety-two patients were included: 13 non-MASLD, 34 MASL, 21 MASH, and 24 MASH with fibrosis. Although most patients had normal LV GLS, values were significantly lower in the MASH with fibrosis group compared to the MASL and non-MASLD groups (p = 0.011). In multivariate analysis adjusted for HDL cholesterol and LV mass, LV GLS was associated with inflammation and fibrosis (OR 0.784; 95% CI 0.637–0.965; p = 0.022). Conclusions: LV GLS was significantly lower in patients with MASH and MASH with fibrosis and was associated with hepatic inflammation and fibrosis in obese individuals undergoing bariatric surgery. Full article
Show Figures

Figure 1

22 pages, 1320 KB  
Review
The Use of Myocardial Work in Athletes: A Novel Approach to Assess Cardiac Adaptations and Differentiate Physiological Remodeling from Pathology
by Simona Mega, Chiara Fossati, Andrea Segreti, Riccardo Cricco, Zlatan Lazarevic, Myriam Carpenito, Federica Coletti, Jacopo Valeri, Erika Lemme, Fabio Pigozzi and Francesco Grigioni
Appl. Sci. 2025, 15(23), 12490; https://doi.org/10.3390/app152312490 - 25 Nov 2025
Viewed by 604
Abstract
Myocardial work (MW), derived from non-invasive pressure–strain loop (PSL) analysis, has recently emerged as a promising echocardiographic index for assessing left ventricular performance. It integrates speckle-tracking echocardiography with estimated left ventricular pressure, providing a load-adjusted measure of myocardial performance. This technique addresses the [...] Read more.
Myocardial work (MW), derived from non-invasive pressure–strain loop (PSL) analysis, has recently emerged as a promising echocardiographic index for assessing left ventricular performance. It integrates speckle-tracking echocardiography with estimated left ventricular pressure, providing a load-adjusted measure of myocardial performance. This technique addresses the limitations of traditional parameters such as global longitudinal strain (GLS) and ejection fraction (EF), particularly in populations exposed to dynamic loading conditions, such as athletes. Athletic training induces a spectrum of cardiac adaptations, collectively referred to as the “athlete’s heart,” which may mimic or mask pathological conditions. In this context, MW represents a valuable tool to differentiate physiological remodeling from early myocardial dysfunction or underlying cardiovascular disease (e.g., cardiomyopathies, myocarditis). The aim of this review is to explore the physiological rationale for using MW in athletes, evaluate its relationship with performance metrics (e.g., VO2max, lactate threshold), and discuss its potential, yet still emerging and not fully validated, role in informing training adaptation and detecting subclinical cardiac conditions. Additionally, we examine MW applications across different sport disciplines (strength, mixed-sport, and endurance), highlighting its role in individualized assessment and risk stratification. By synthesizing current evidence and outlining future research directions, this work emphasizes the potential of MW to become a standard component of cardiovascular evaluation in sports cardiology. Full article
(This article belongs to the Special Issue Research of Sports Medicine and Health Care: Second Edition)
Show Figures

Figure 1

Back to TopTop