Sign in to use this feature.

Years

Between: -

Subjects

remove_circle_outline
remove_circle_outline
remove_circle_outline
remove_circle_outline
remove_circle_outline
remove_circle_outline
remove_circle_outline
remove_circle_outline
remove_circle_outline

Journals

remove_circle_outline
remove_circle_outline
remove_circle_outline
remove_circle_outline
remove_circle_outline
remove_circle_outline

Article Types

Countries / Regions

remove_circle_outline
remove_circle_outline
remove_circle_outline
remove_circle_outline
remove_circle_outline
remove_circle_outline

Search Results (658)

Search Parameters:
Keywords = fuzzy scores

Order results
Result details
Results per page
Select all
Export citation of selected articles as:
28 pages, 463 KB  
Article
A Novel p-Norm-Based Ranking Algorithm for Multiple-Attribute Decision Making Using Interval-Valued Intuitionistic Fuzzy Sets and Its Applications
by Sandeep Kumar, Saiful R. Mondal and Reshu Tyagi
Axioms 2025, 14(10), 722; https://doi.org/10.3390/axioms14100722 - 24 Sep 2025
Viewed by 7
Abstract
The main focus of this paper is to introduce an algorithm that enhances the outcomes of multiple-attribute decision making by harnessing the adaptability of interval-valued intuitionistic fuzzy (IVIF) sets (IVIFSs). This algorithm [...] Read more.
The main focus of this paper is to introduce an algorithm that enhances the outcomes of multiple-attribute decision making by harnessing the adaptability of interval-valued intuitionistic fuzzy (IVIF) sets (IVIFSs). This algorithm utilizes IVIF numbers (IVIFNs) to represent attribute values and attribute weights, enabling the decision maker to account for the intricate nuances and uncertainties that are inherent in the decision-making process. We introduce a novel generalized score function (GSF) designed to overcome the limitations of previous functions. This function incorporates two parameters, denoted as γ1andγ2(γ1+γ2=1) with γ1(0,0.5). The core concept of this algorithm centers around the computation of the p-distance for each alternative relative to the positive ideal alternative. The p-distance is derived from the p-norm associated with each alternative’s score matrix, providing the decision maker (DM) with a tool to rank the available alternatives. Various examples are given to demonstrate the practicality and effectiveness of the proposed algorithm. Additionally, we apply the algorithm to a real event-based multiple-attribute decision-making (MADM) problem—the investment company problem—to identify the optimal alternatives through a comparative analysis. Full article
(This article belongs to the Special Issue Recent Advances in Fuzzy Theory Applications)
Show Figures

Figure 1

28 pages, 1622 KB  
Article
Vessel Arrival Priority Determination in VTS Management: A Dynamic Scoring Approach Integrating Expert Knowledge
by Gil-Ho Shin and Chae-Uk Song
J. Mar. Sci. Eng. 2025, 13(10), 1849; https://doi.org/10.3390/jmse13101849 - 24 Sep 2025
Viewed by 107
Abstract
Vessel arrival priority determination is a critical factor affecting port safety and efficiency in maritime traffic management, yet existing approaches relying on First Come, First Served (FCFS) principles or empirical judgment have limitations in systematic decision-making. This study aims to develop a systematic [...] Read more.
Vessel arrival priority determination is a critical factor affecting port safety and efficiency in maritime traffic management, yet existing approaches relying on First Come, First Served (FCFS) principles or empirical judgment have limitations in systematic decision-making. This study aims to develop a systematic decision-making framework that overcomes these limitations by creating an automated, expert knowledge-based priority determination system for vessel traffic services. A dynamic score-based vessel arrival priority determination model was developed integrating the Delphi technique and Fuzzy Analytic Hierarchy Process (Fuzzy AHP). Basic score evaluation factors were derived through Delphi surveys conducted with 50 field experts, and weights were calculated by differentially applying Fuzzy AHP and conventional AHP according to hierarchical complexity. The proposed model consists of a dynamic scoring system integrating basic scores reflecting vessel characteristics and operational conditions, special situation scores considering emergency situations, and risk scores quantifying safety intervals between vessels. To validate the model performance, simulation-based evaluation with eight scenarios was conducted targeting experienced VTS (Vessel Traffic Services) officers, demonstrating strong agreement with expert judgment across diverse operational conditions. The developed algorithm processes real-time maritime traffic data to dynamically calculate priorities, providing port managers and maritime authorities with an automated decision support tool that enhances VTS management and coastal traffic operations. Full article
(This article belongs to the Section Ocean Engineering)
Show Figures

Figure 1

30 pages, 4822 KB  
Article
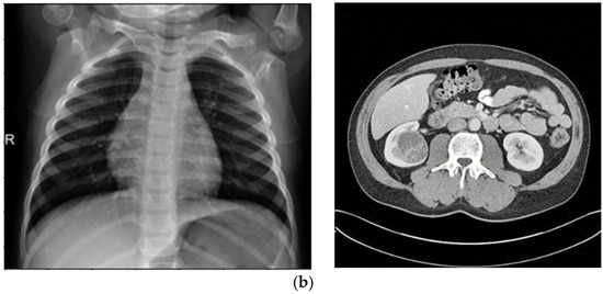
Combining Deep Learning Architectures with Fuzzy Logic for Robust Pneumonia Detection in Chest X-Rays
by Azeddine Mjahad and Alfredo Rosado-Muñoz
Appl. Sci. 2025, 15(19), 10321; https://doi.org/10.3390/app151910321 - 23 Sep 2025
Viewed by 186
Abstract
Early and accurate detection of pneumonia from chest X-ray images is essential for improving treatment and clinical outcomes. Medical imaging datasets often exhibit class imbalance and uncertainty in feature extraction, which complicates conventional classification methods and motivates the use of advanced approaches combining [...] Read more.
Early and accurate detection of pneumonia from chest X-ray images is essential for improving treatment and clinical outcomes. Medical imaging datasets often exhibit class imbalance and uncertainty in feature extraction, which complicates conventional classification methods and motivates the use of advanced approaches combining deep learning and fuzzy logic. This study proposes a hybrid approach that combines deep learning architectures (VGG16, EfficientNetV2, MobileNetV2, ResNet50) for feature extraction with fuzzy logic-based classifiers, including Fuzzy C-Means, Fuzzy Decision Tree, Fuzzy KNN, Fuzzy SVM, and ANFIS (Adaptive Neuro-Fuzzy Inference System). Feature selection techniques were also applied to enhance the discriminative power of the extracted features. The best-performing model, ANFIS with MobileNetV2 features and Gaussian membership functions, achieved an overall accuracy of 98.52%, with Normal class precision of 97.07%, recall of 97.48%, and F1-score of 97.27%, and Pneumonia class precision of 99.06%, recall of 98.91%, and F1-score of 98.99%. Among the fuzzy classifiers, Fuzzy SVM and Fuzzy KNN also showed strong performance with accuracy above 96%, while Fuzzy Decision Tree and Fuzzy C-Means achieved moderate results. These findings demonstrate that integrating deep feature extraction with neuro-fuzzy reasoning significantly improves diagnostic accuracy and robustness, providing a reliable tool for clinical decision support. Future research will focus on optimizing model efficiency, interpretability, and real-time applicability. Full article
(This article belongs to the Special Issue Machine Learning-Based Feature Extraction and Selection: 2nd Edition)
Show Figures

Figure 1

28 pages, 2869 KB  
Article
Enhancing Medical Image Segmentation and Classification Using a Fuzzy-Driven Method
by Akmal Abduvaitov, Abror Shavkatovich Buriboev, Djamshid Sultanov, Shavkat Buriboev, Ozod Yusupov, Kilichov Jasur and Andrew Jaeyong Choi
Sensors 2025, 25(18), 5931; https://doi.org/10.3390/s25185931 - 22 Sep 2025
Viewed by 275
Abstract
Automated analysis for tumor segmentation and illness classification is hampered by the noise, low contrast, and ambiguity that are common in medical pictures. This work introduces a new 12-step fuzzy-based improvement pipeline that uses fuzzy entropy, fuzzy standard deviation, and histogram spread functions [...] Read more.
Automated analysis for tumor segmentation and illness classification is hampered by the noise, low contrast, and ambiguity that are common in medical pictures. This work introduces a new 12-step fuzzy-based improvement pipeline that uses fuzzy entropy, fuzzy standard deviation, and histogram spread functions to enhance picture quality in CT, MRI, and X-ray modalities. The pipeline produces three improved versions per dataset, lowering BRISQUE scores from 28.8 to 21.7 (KiTS19), 30.3 to 23.4 (BraTS2020), and 26.8 to 22.1 (Chest X-ray). It is tested on KiTS19 (CT) for kidney tumor segmentation, BraTS2020 (MRI) for brain tumor segmentation, and Chest X-ray Pneumonia for classification. A Concatenated CNN (CCNN) uses the improved datasets to achieve a Dice coefficient of 99.60% (KiTS19, +2.40% over baseline), segmentation accuracy of 0.983 (KiTS19) and 0.981 (BraTS2020) versus 0.959 and 0.943 (CLAHE), and classification accuracy of 0.974 (Chest X-ray) versus 0.917 (CLAHE). A classic CNN is trained on original and CLAHE-filtered datasets. These outcomes demonstrate how well the pipeline works to improve image quality and increase segmentation/classification accuracy, offering a foundation for clinical diagnostics that is both scalable and interpretable. Full article
Show Figures

Figure 1

18 pages, 3052 KB  
Article
Critical Factors Affecting Green Innovation in Major Transportation Infrastructure Projects
by Shuhan Wang, Long Li, Xianfei Yin, Ziwei Yi, Shu Shi and Meiqi Wan
CivilEng 2025, 6(3), 52; https://doi.org/10.3390/civileng6030052 - 22 Sep 2025
Viewed by 218
Abstract
The complexities of megaprojects, particularly major transportation infrastructure projects (MTIs), require technological innovation that advances economic, social, and ecological objectives. Traditional engineering innovation emphasizes economic gains while neglecting sustainability. Therefore, implementing green innovation (GI) in MTIs is essential. This research examines key factors [...] Read more.
The complexities of megaprojects, particularly major transportation infrastructure projects (MTIs), require technological innovation that advances economic, social, and ecological objectives. Traditional engineering innovation emphasizes economic gains while neglecting sustainability. Therefore, implementing green innovation (GI) in MTIs is essential. This research examines key factors and correlations influencing MTI-GI to strengthen theoretical understanding and guide effective implementation. First, literature and interviews are used to identify MTI-GI influencing factors through the technology–organization–environment (TOE) framework. Second, an intuitive fuzzy number approach reduces subjectivity in expert scoring and, combined with the DEMATEL method, constructs a fuzzy DEMATEL model to quantify factor importance and identify critical drivers. Critical factors are then analyzed to formulate GI promotion strategies. Results reveal that MTI-GI influencing factors span technology, organization, and environment dimensions. Prioritizing green technological innovation and feedback mechanisms, optimizing organizational structures, and aligning with regional environmental characteristics are crucial for successful MTI-GI implementation. These findings support GI expansion in MTIs and offer targeted strategies for managing complex systems. Full article
Show Figures

Figure 1

26 pages, 2614 KB  
Article
A Comparative Analysis of Parkinson’s Disease Diagnosis Approaches Using Drawing-Based Datasets: Utilizing Large Language Models, Machine Learning, and Fuzzy Ontologies
by Adam Koletis, Pavlos Bitilis, Georgios Bouchouras and Konstantinos Kotis
Information 2025, 16(9), 820; https://doi.org/10.3390/info16090820 - 22 Sep 2025
Viewed by 237
Abstract
Parkinson’s disease (PD) is a progressive neurodegenerative disorder that impairs motor function, often causing tremors and difficulty with movement control. A promising diagnostic method involves analyzing hand-drawn patterns, such as spirals and waves, which show characteristic distortions in individuals with PD. This study [...] Read more.
Parkinson’s disease (PD) is a progressive neurodegenerative disorder that impairs motor function, often causing tremors and difficulty with movement control. A promising diagnostic method involves analyzing hand-drawn patterns, such as spirals and waves, which show characteristic distortions in individuals with PD. This study compares three computational approaches for classifying individuals as Parkinsonian or healthy based on drawing-derived features: (1) Large Language Models (LLMs), (2) traditional machine learning (ML) algorithms, and (3) a fuzzy ontology-based method using fuzzy sets and Fuzzy-OWL2. Each method offers unique strengths: LLMs leverage pre-trained knowledge for subtle pattern detection, ML algorithms excel in feature extraction and predictive accuracy, and fuzzy ontologies provide interpretable, logic-based reasoning under uncertainty. Using three structured handwriting datasets of varying complexity, we assessed performance in terms of accuracy, interpretability, and generalization. Among the approaches, the fuzzy ontology-based method showed the strongest performance on complex tasks, achieving a high F1-score, while ML models demonstrated strong generalization and LLMs offered a reliable, interpretable baseline. These findings suggest that combining symbolic and statistical AI may improve drawing-based PD diagnosis. Full article
(This article belongs to the Special Issue Real-World Applications of Machine Learning Techniques)
Show Figures

Figure 1

23 pages, 1024 KB  
Article
Aspects of Support and Types of Work–Life Balance Among Employees from Rural Areas in Poland
by Marta Domagalska-Grędys, Michał Niewiadomski and Katarzyna Piecuch
Sustainability 2025, 17(18), 8313; https://doi.org/10.3390/su17188313 - 16 Sep 2025
Viewed by 258
Abstract
Rural areas offer unique contexts for work–life balance (WLB) development due to distinct working conditions and employment structures. Employees who have access to flexible work arrangements, non-material bonuses, and peaceful workplaces are more productive (lower absenteeism, greater commitment). The aim of the study [...] Read more.
Rural areas offer unique contexts for work–life balance (WLB) development due to distinct working conditions and employment structures. Employees who have access to flexible work arrangements, non-material bonuses, and peaceful workplaces are more productive (lower absenteeism, greater commitment). The aim of the study was to determine the aspects of support and types of WLB among employees from rural areas. Two analyses were conducted: PCA (principal component analysis) for the entire sample, and a fuzzy c-means cluster analysis for wage employees. Based on PCA, three aspects of WLB support were identified: leave, work, and work hygiene (regeneration). The use of emergency and family leave dominated practices supporting WLB among employees in rural areas. The respondents did not attach much importance to social benefits improving work hygiene; moreover, the work hygiene aspect was not applied in parallel with other aspects of WLB support (leave, work). As a result of clustering the respondents’ answers, four employee types were identified based on WLB assessment, demographic characteristics, and work-related factors. Clustering revealed a clear correlation between WLB assessment and employee age and gender. The highest scores in terms of the quality of work–life balance were recorded among middle-aged men (type 4). Younger people, especially women (type 1), rated their WLB as moderately good. Regardless of age and gender, as stress levels increased and personal quality of life declined, thoughts about changing jobs intensified. Employee well-being significantly influences job retention intentions among rural workers. This study uniquely integrates multiple theoretical frameworks and employs principal component analysis and fuzzy c-means clustering to explore work–life balance among rural employees, a group seldom studied. By focusing on rural contexts and offering systemic, multi-domain insights, the findings advance WLB theory and practice and provide recommendations for employers and policymakers. Full article
Show Figures

Figure 1

19 pages, 38450 KB  
Article
Color Normalization in Breast Cancer Immunohistochemistry Images Based on Sparse Stain Separation and Self-Sparse Fuzzy Clustering
by Attasuntorn Traisuwan, Somchai Limsiroratana, Pornchai Phukpattaranont, Phiraphat Sutthimat and Pichaya Tandayya
Diagnostics 2025, 15(18), 2316; https://doi.org/10.3390/diagnostics15182316 - 12 Sep 2025
Viewed by 386
Abstract
Background and Objective: The color normalization of breast cancer immunohistochemistry (IHC)-stained images helps change the color distribution of undesirable IHC-stained images to be more interpretable for the pathologists. This will affect the Allred score that the pathologists use to estimate the drug [...] Read more.
Background and Objective: The color normalization of breast cancer immunohistochemistry (IHC)-stained images helps change the color distribution of undesirable IHC-stained images to be more interpretable for the pathologists. This will affect the Allred score that the pathologists use to estimate the drug quantity for treating breast cancer patients. Methods: A new color normalization technique based on sparse stain separation and self-sparse fuzzy clustering is proposed. Results: The quaternion structural similarity was used to measure the quality of the normalization algorithm. Our technique has a structural similarity score lower than other techniques, and the color distribution similarity is closer to the target. We applied automated and unsupervised nuclei classification with Automatic Color Deconvolution (ACD) to test the color features extracted from normalized images. Conclusions: The classification result from our unsupervised nuclei classification with ACD is similar to other normalization methods, but it offers an easier perception to the pathologists. Full article
(This article belongs to the Special Issue Medical Images Segmentation and Diagnosis)
Show Figures

Figure 1

36 pages, 4953 KB  
Article
Can Proxy-Based Geospatial and Machine Learning Approaches Map Sewer Network Exposure to Groundwater Infiltration?
by Nejat Zeydalinejad, Akbar A. Javadi, Mark Jacob, David Baldock and James L. Webber
Smart Cities 2025, 8(5), 145; https://doi.org/10.3390/smartcities8050145 - 5 Sep 2025
Viewed by 1580
Abstract
Sewer systems are essential for sustainable infrastructure management, influencing environmental, social, and economic aspects. However, sewer network capacity is under significant pressure, with many systems overwhelmed by challenges such as climate change, ageing infrastructure, and increasing inflow and infiltration, particularly through groundwater infiltration [...] Read more.
Sewer systems are essential for sustainable infrastructure management, influencing environmental, social, and economic aspects. However, sewer network capacity is under significant pressure, with many systems overwhelmed by challenges such as climate change, ageing infrastructure, and increasing inflow and infiltration, particularly through groundwater infiltration (GWI). Current research in this area has primarily focused on general sewer performance, with limited attention to high-resolution, spatially explicit assessments of sewer exposure to GWI, highlighting a critical knowledge gap. This study responds to this gap by developing a high-resolution GWI assessment. This is achieved by integrating fuzzy-analytical hierarchy process (AHP) with geographic information systems (GISs) and machine learning (ML) to generate GWI probability maps across the Dawlish region, southwest United Kingdom, complemented by sensitivity analysis to identify the key drivers of sewer network vulnerability. To this end, 16 hydrological–hydrogeological thematic layers were incorporated: elevation, slope, topographic wetness index, rock, alluvium, soil, land cover, made ground, fault proximity, fault length, mass movement, river proximity, flood potential, drainage order, groundwater depth (GWD), and precipitation. A GWI probability index, ranging from 0 to 1, was developed for each 1 m × 1 m area per season. The model domain was then classified into high-, intermediate-, and low-GWI-risk zones using K-means clustering. A consistency ratio of 0.02 validated the AHP approach for pairwise comparisons, while locations of storm overflow (SO) discharges and model comparisons verified the final outputs. SOs predominantly coincided with areas of high GWI probability and high-risk zones. Comparison of AHP-weighted GIS output clustered via K-means with direct K-means clustering of AHP-weighted layers yielded a Kappa value of 0.70, with an 81.44% classification match. Sensitivity analysis identified five key factors influencing GWI scores: GWD, river proximity, flood potential, rock, and alluvium. The findings underscore that proxy-based geospatial and machine learning approaches offer an effective and scalable method for mapping sewer network exposure to GWI. By enabling high-resolution risk assessment, the proposed framework contributes a novel proxy and machine-learning-based screening tool for the management of smart cities. This supports predictive maintenance, optimised infrastructure investment, and proactive management of GWI in sewer networks, thereby reducing costs, mitigating environmental impacts, and protecting public health. In this way, the method contributes not only to improved sewer system performance but also to advancing the sustainability and resilience goals of smart cities. Full article
Show Figures

Figure 1

35 pages, 1992 KB  
Article
Integrating Large Language Models into a Novel Intuitionistic Fuzzy PROBID Method for Multi-Criteria Decision-Making Problems
by Ferry Anhao, Amir Karbassi Yazdi, Yong Tan and Lanndon Ocampo
Mathematics 2025, 13(17), 2878; https://doi.org/10.3390/math13172878 - 5 Sep 2025
Viewed by 814
Abstract
As vision and mission statements embody the directions set forth by an organization, their connection to the Sustainable Development Goals (SDGs) must be made explicit to guide overall decision-making in taking strides toward the sustainability agenda. The semantic alignment of these strategic statements [...] Read more.
As vision and mission statements embody the directions set forth by an organization, their connection to the Sustainable Development Goals (SDGs) must be made explicit to guide overall decision-making in taking strides toward the sustainability agenda. The semantic alignment of these strategic statements with the SDGs is investigated in a previous study, although several limitations need further exploration. Thus, this study aims to advance two contributions: (1) utilizing the capabilities of LLMs (Large Language Models) in text semantic analysis and (2) integrating fuzziness into the problem domain by using a novel intuitionistic fuzzy set extension of the PROBID (Preference Ranking On the Basis of Ideal-average Distance) method. First, a systematic approach evaluates the semantic alignment of organizational strategic statements with the SDGs by leveraging the use of LLMs in semantic similarity and relatedness tasks. Second, viewing it as a multi-criteria decision-making (MCDM) problem and recognizing the limitations of LLMs, the evaluations are represented as intuitionistic fuzzy sets (IFSs), which prompted the development of an IF extension of the PROBID method. The proposed IF-PROBID method was then deployed to evaluate the 47 top Philippine corporations. Utilizing ChatGPT 3.5, 7990 prompts with repetitions generated the membership, non-membership, and hesitance scores for each evaluation. Also, we developed a cohort-dependent SDG–vision–mission matrix that categorizes corporations into four distinct classifications. Findings suggest that “highly-aligned” corporations belong to the private and technology sectors, with some in the industrial and real estate sectors. Meanwhile, “weakly-aligned” corporations come from the manufacturing and private sectors. In addition, case-specific insights are presented in this work. The comparative analysis yields a high agreement between the results and those generated by other IF-MCDM extensions. This paper is the first to demonstrate two methodological advances: (1) the integration of LLMs in MCDM problems and (2) the development of the IF-PROBID method that handles the resulting inherently imprecise evaluations. Full article
Show Figures

Figure 1

25 pages, 6156 KB  
Article
A Personalized 3D-Printed Smart Splint with Integrated Sensors and IoT-Based Control: A Proof-of-Concept Study for Distal Radius Fracture Management
by Yufeng Ma, Haoran Tang, Baojian Wang, Jiashuo Luo and Xiliang Liu
Electronics 2025, 14(17), 3542; https://doi.org/10.3390/electronics14173542 - 5 Sep 2025
Viewed by 430
Abstract
Conventional static fixation for distal radius fractures (DRF) is clinically challenging, with methods often leading to complications such as malunion and pressure-related injuries. These issues stem from uncontrolled pressure and a lack of real-time biomechanical feedback, resulting in suboptimal functional recovery. To overcome [...] Read more.
Conventional static fixation for distal radius fractures (DRF) is clinically challenging, with methods often leading to complications such as malunion and pressure-related injuries. These issues stem from uncontrolled pressure and a lack of real-time biomechanical feedback, resulting in suboptimal functional recovery. To overcome these limitations, we engineered an intelligent, adaptive orthopedic device. The system is built on a patient-specific, 3D-printed architecture for a lightweight, personalized fit. It embeds an array of thin-film pressure sensors at critical anatomical sites to continuously quantify biomechanical forces. This data is transmitted via an Internet of Things (IoT) module to a cloud platform, enabling real-time remote monitoring by clinicians. The core innovation is a closed-loop feedback controller governed by a robust Interval Type-2 Fuzzy Logic (IT2-FLC) algorithm. This system autonomously adjusts servo-driven straps to dynamically regulate fixation pressure, adapting to changes in limb swelling. In a preliminary clinical evaluation, the group receiving the integrated treatment protocol, which included the smart splint and TCM herbal therapy, demonstrated superior anatomical restoration and functional recovery, evidenced by higher Cooney scores (91.65 vs. 83.15) and lower VAS pain scores. This proof-of-concept study validates a new paradigm for adaptive orthopedic devices, showing high potential for clinical translation. Full article
Show Figures

Figure 1

27 pages, 12059 KB  
Article
Interpretation of Sustainable Spatial Patterns in Chinese Villages Based on AHP-GIS-FCE: A Case Study of Chawan Village, East Mountain Island, Taihu Lake, Suzhou
by Lei Wang, Yu Bi, Yang Hu and Sheng Yang
Buildings 2025, 15(17), 3198; https://doi.org/10.3390/buildings15173198 - 4 Sep 2025
Viewed by 484
Abstract
To address the dilemma of China’s rural areas becoming increasingly homogeneous due to large-scale, campaign-style rural construction. This study proposes an innovative rural spatial pattern evaluation model that integrates geomancy theory with modern spatial analysis methods. Chawan village, Suzhou city, Jiangsu Province, China, [...] Read more.
To address the dilemma of China’s rural areas becoming increasingly homogeneous due to large-scale, campaign-style rural construction. This study proposes an innovative rural spatial pattern evaluation model that integrates geomancy theory with modern spatial analysis methods. Chawan village, Suzhou city, Jiangsu Province, China, is used as the study area, with the aim of better assessing and optimizing rural spatial patterns in China. The Analytic Hierarchy Process (AHP) is a method for ranking factors based on their relative importance, which is used to assign weights to indicators. Combined with the fuzzy comprehensive evaluation (FCE) method based on fuzzy set theory and ArcGIS weighted overlay analysis, it is used for evaluating rural spatial patterns. The results show that natural environmental indicators hold more weight than artificial ones. Among these, water body landscapes (0.111), water body buffer zones (0.103), and vegetation ecology (0.073) are the highest weighted indicators. The top three spatial pattern evaluation values are landscape environment (3.85), water bodies (3.52), and vegetation (3.51). The final result for the village is moderate, with an evaluation score of 3.385. This result suggests that the rural spatial pattern has a solid foundation for cultural continuity and significant potential for optimization, particularly in ecological and water body features. The AHP–GIS–FCE multi-method evaluation framework provides an effective tool for assessing and optimizing rural spatial patterns. This approach offers a systematic solution for rural development, promoting localized and diverse planning models, as opposed to the homogenized “one-size-fits-all” approach, and contributes to the protection of cultural heritage and sustainable development. Full article
(This article belongs to the Section Architectural Design, Urban Science, and Real Estate)
Show Figures

Graphical abstract

19 pages, 17084 KB  
Article
SPADE: Superpixel Adjacency Driven Embedding for Three-Class Melanoma Segmentation
by Pablo Ordóñez, Ying Xie, Xinyue Zhang, Chloe Yixin Xie, Santiago Acosta and Issac Guitierrez
Algorithms 2025, 18(9), 551; https://doi.org/10.3390/a18090551 - 2 Sep 2025
Viewed by 509
Abstract
The accurate segmentation of pigmented skin lesions is a critical prerequisite for reliable melanoma detection, yet approximately 30% of lesions exhibit fuzzy or poorly defined borders. This ambiguity makes the definition of a single contour unreliable and limits the effectiveness of computer-assisted diagnosis [...] Read more.
The accurate segmentation of pigmented skin lesions is a critical prerequisite for reliable melanoma detection, yet approximately 30% of lesions exhibit fuzzy or poorly defined borders. This ambiguity makes the definition of a single contour unreliable and limits the effectiveness of computer-assisted diagnosis (CAD) systems. While clinical assessment based on the ABCDE criteria (asymmetry, border, color, diameter, and evolution), dermoscopic imaging, and scoring systems remains the standard, these methods are inherently subjective and vary with clinician experience. We address this challenge by reframing segmentation into three distinct regions: background, border, and lesion core. These regions are delineated using superpixels generated via the Simple Linear Iterative Clustering (SLIC) algorithm, which provides meaningful structural units for analysis. Our contributions are fourfold: (1) redefining lesion borders as regions, rather than sharp lines; (2) generating superpixel-level embeddings with a transformer-based autoencoder; (3) incorporating these embeddings as features for superpixel classification; and (4) integrating neighborhood information to construct enhanced feature vectors. Unlike pixel-level algorithms that often overlook boundary context, our pipeline fuses global class information with local spatial relationships, significantly improving precision and recall in challenging border regions. An evaluation on the HAM10000 melanoma dataset demonstrates that our superpixel–RAG–transformer (region adjacency graph) pipeline achieves exceptional performance (100% F1 score, accuracy, and precision) in classifying background, border, and lesion core superpixels. By transforming raw dermoscopic images into region-based structured representations, the proposed method generates more informative inputs for downstream deep learning models. This strategy not only advances melanoma analysis but also provides a generalizable framework for other medical image segmentation and classification tasks. Full article
Show Figures

Figure 1

19 pages, 1150 KB  
Article
A Fuzzy Multi-Criteria Decision-Making Framework for Evaluating Non-Destructive Testing Techniques in Oil and Gas Facility Maintenance Operations
by Kehinde Afolabi, Olubayo Babatunde, Desmond Ighravwe, Busola Akintayo and Oludolapo Akanni Olanrewaju
Eng 2025, 6(9), 214; https://doi.org/10.3390/eng6090214 - 1 Sep 2025
Viewed by 393
Abstract
This study presents a comprehensive multi-criteria decision-making (MCDM) framework for evaluating and selecting optimal non-destructive testing (NDT) techniques for oil and gas facility maintenance operations. This research used a Fuzzy Analytic Hierarchy Process (FAHP) integrated with multiple MCDM methods to assess eight NDT [...] Read more.
This study presents a comprehensive multi-criteria decision-making (MCDM) framework for evaluating and selecting optimal non-destructive testing (NDT) techniques for oil and gas facility maintenance operations. This research used a Fuzzy Analytic Hierarchy Process (FAHP) integrated with multiple MCDM methods to assess eight NDT techniques including radiographic testing, ultrasonic testing, and thermographic testing. The evaluation framework incorporated seven technical criteria and seven economic criteria. The FAHP results revealed spatial resolution (0.175) as the most critical technical criterion, followed by depth penetration (0.155) and defect characterization (0.143). For economic criteria, downtime costs (0.210) and operational costs (0.190) emerged as the most significant factors. This study used TOPSIS (Technique for Order Preference by Similarity to Ideal Solution), PROMETHEE (Preference Ranking Organization Method for Enrichment of Evaluations), and VIKOR (VIseKriterijumska Optimizacija I Kompromisno Resenje) methods to rank NDT techniques, with results consolidated using the CRITIC (CRiteria Importance Through Intercriteria Correlation) method. The final techno-economic analysis identified radiographic testing as the most suitable NDT method with a score of 0.665, followed by acoustic emission testing at 0.537. Visual testing ranked lowest with a score of 0.214. This research demonstrates the effectiveness of combining fuzzy logic with multiple MCDM approaches for NDT method selection in offshore welding operations. Full article
(This article belongs to the Special Issue Interdisciplinary Insights in Engineering Research)
Show Figures

Figure 1

22 pages, 720 KB  
Systematic Review
A Systematic Review of Integrated Risk Indicators for PET Radiopharmaceutical Production: Methodologies and Applications
by Frank Montero-Díaz, Antonio Torres-Valle and Ulises Javier Jauregui-Haza
Appl. Sci. 2025, 15(17), 9517; https://doi.org/10.3390/app15179517 - 29 Aug 2025
Viewed by 494
Abstract
This systematic review examines the methodologies and applications of integrated risk indicators in positron emission tomography (PET) radiopharmaceutical production, focusing on occupational, technological, and environmental risks. Conducted in accordance with PRISMA 2020 guidelines and utilizing the Ryyan software 2023 for article screening, the [...] Read more.
This systematic review examines the methodologies and applications of integrated risk indicators in positron emission tomography (PET) radiopharmaceutical production, focusing on occupational, technological, and environmental risks. Conducted in accordance with PRISMA 2020 guidelines and utilizing the Ryyan software 2023 for article screening, the review synthesizes findings from 70 studies published between 2020 and 2025 in English and Spanish, including articles, conference papers, and reviews. The review was registered on PROSPERO (CRD420251078221). Key disciplines contributing to risk assessment frameworks include environmental science, occupational health and safety, civil engineering, mining engineering, maritime safety, financial/economic risk, and systems engineering. Predominant risk assessment methods identified are probabilistic modeling (e.g., Monte Carlo simulations), machine learning (e.g., neural networks), multi-criteria decision-making (e.g., AHP and TOPSIS), and failure mode and effects analysis (FMEA), each offering strengths, such as uncertainty quantification and systematic hazard identification, alongside limitations like data dependency and subjectivity. The review explores how frameworks from other industries can be adapted to address PET-specific risks, such as radiation exposure to workers, equipment failure, and waste management, and how studies integrate these factors into unified risk indicators using weighted scoring, probabilistic methods, and fuzzy logic. Gaps in the literature include limited stakeholder engagement, lack of standardized frameworks, insufficient real-time monitoring, and under-represented environmental risks. Future research directions propose developing PET-specific tools, integrating AI and IoT for real-time data, establishing standardized frameworks, and expanding environmental assessments to enhance risk management in PET radiopharmaceutical production. This review highlights the interdisciplinary nature of risk assessment and the critical need for comprehensive, tailored approaches to ensure safety and sustainability in this field. Full article
Show Figures

Figure 1

Back to TopTop