Sign in to use this feature.

Years

Between: -

Subjects

remove_circle_outline
remove_circle_outline
remove_circle_outline
remove_circle_outline
remove_circle_outline
remove_circle_outline
remove_circle_outline
remove_circle_outline
remove_circle_outline

Journals

Article Types

Countries / Regions

Search Results (43)

Search Parameters:
Keywords = functional aquafeeds

Order results
Result details
Results per page
Select all
Export citation of selected articles as:
27 pages, 6344 KB  
Article
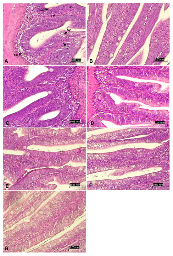
Effects of Black Soldier Fly (Hermetia illucens) Larvae Meal Replacement for Fish Meal on Growth Performance, Muscle Quality, Antioxidant Status, Immune Function, and Gut Microbiota in Juvenile Southern Catfish (Silurus meridionalis)
by Huiying Wang, Gao Gao, Jialong Chen, Dan Jia, Qing Hu, Hanqi Duan, Bin Zhang, Run Bi, Qingquan Hu and Baoliang Bi
Antioxidants 2025, 14(11), 1309; https://doi.org/10.3390/antiox14111309 - 30 Oct 2025
Viewed by 617
Abstract
This study evaluated the effects of feeding juvenile southern catfish (Silurus meridionalis) with one of six isonitrogenous and isoenergetic diets where fish meal (FM) was replaced by black soldier fly larval meal (BSFLM) at 0%, 10%, 20%, 30%, 40%, and 50% [...] Read more.
This study evaluated the effects of feeding juvenile southern catfish (Silurus meridionalis) with one of six isonitrogenous and isoenergetic diets where fish meal (FM) was replaced by black soldier fly larval meal (BSFLM) at 0%, 10%, 20%, 30%, 40%, and 50% levels on growth, muscle quality, antioxidant capacity, immune response, and gut microbiota of juvenile southern catfish (Silurus meridionalis). A total of 1620 fish (9.20 ± 0.15 g) were fed one of six experimental diets for 8 weeks. Results demonstrated that a 50% replacement (H50 group) significantly improved weight gain rate, specific growth rate, and protein efficiency ratio (p < 0.001). Antioxidant capacity (T-AOC) was enhanced in groups H30 and H50, while immune markers lysozyme (LZM) and alkaline phosphatase (AKP) showed mixed responses. Muscle texture properties such as chewiness and adhesiveness were significantly altered across treatments. Gut villi remained structurally intact in all groups, and liver histology appeared normal. No significant differences were found in muscle amino acid or fatty acid profiles. Gut microbiota analysis revealed shifts in microbial composition, with increased abundance of Clostridia and Escherichia and functional enrichment in metabolic pathways at higher substitution levels. Interspecies network analysis indicated potential cooperation among beneficial microbes through metabolite exchange. It is concluded that 50% BSFLM substitution optimizes growth performance, muscle quality, and antioxidant capacity, while modulating gut microbiota, indicating its promise as a sustainable FM alternative and functional ingredient in aquafeeds. Full article
(This article belongs to the Special Issue Antioxidant Properties in Novel Feed Ingredients for Fish)
Show Figures

Figure 1

22 pages, 1737 KB  
Review
Sustainable Aquaculture Through Enzymatic Hydrolysis of Raw Chitin from Crab By-Products: Functional Fish Feeds Targeting Fish Health with Implications for Human Health
by Ioannis Fotodimas, Kosmas L. Vidalis, John A. Theodorou, Panagiotis Logothetis and Grigorios Kanlis
Fishes 2025, 10(10), 514; https://doi.org/10.3390/fishes10100514 - 10 Oct 2025
Viewed by 562
Abstract
Valorisation of crab by-products by enzymatic hydrolysis (EH) is proving to be a promising strategy to promote sustainable aquaculture and support a circular economy for crustaceans. Crab processing generates significant amounts of by-products that, if not properly managed, pose an environmental and economic [...] Read more.
Valorisation of crab by-products by enzymatic hydrolysis (EH) is proving to be a promising strategy to promote sustainable aquaculture and support a circular economy for crustaceans. Crab processing generates significant amounts of by-products that, if not properly managed, pose an environmental and economic challenge. These by-products are rich in chitin, proteins, and bioactive compounds and offer significant untapped potential for the development of functional feed. This review focuses on the application of enzymatically hydrolysed crab by-products as functional feed additives in aquaculture and their effects on fish growth, health management, and, consequently, human health. Recent studies have shown that EH effectively recovers chitin and bioactive peptides and improves the digestibility and bioavailability of nutrients in aquaculture. The inclusion of crude chitin, along with residual proteins and calcium carbonate, in the diet of farmed fish has been associated with increased growth, improved immune responses, and greater disease resistance, emphasising their critical role in fish health management. In addition, these functional additives contribute to the development of innovative aquafeeds with high added value and improved nutritional quality, while reducing environmental waste. Overall, the utilisation of crustacean by-products through enzymatic hydrolysis represents a valuable tool for the sustainable development of crustacean aquaculture, promotes the circular economy, and supports the development of innovative functional feeds while improving the growth and health of farmed fish, which has a positive impact on human health through their consumption. Full article
(This article belongs to the Section Sustainable Aquaculture)
Show Figures

Figure 1

19 pages, 1396 KB  
Article
Effects of Olive Leaf (Olea europaea) Phenolic Extract on Zootechnical Parameters, Centesimal Composition, and Biochemical Parameters of Nile Tilapia (Oreochromis niloticus) Juveniles
by Thaise Dalferth Zancan, José María Monserrat, Vilásia Guimarães Martins and Marcelo Borges Tesser
Animals 2025, 15(20), 2935; https://doi.org/10.3390/ani15202935 - 10 Oct 2025
Viewed by 517
Abstract
This study evaluated the effects of dietary olive leaf extract (OLE) on Nile tilapia (Oreochromis niloticus) juveniles, focusing on growth parameters, centesimal composition, biochemical responses, and lipid peroxidation. OLE was extracted with 60% ethanol (1:20 w/v). Five diets, containing 34% crude [...] Read more.
This study evaluated the effects of dietary olive leaf extract (OLE) on Nile tilapia (Oreochromis niloticus) juveniles, focusing on growth parameters, centesimal composition, biochemical responses, and lipid peroxidation. OLE was extracted with 60% ethanol (1:20 w/v). Five diets, containing 34% crude protein and 8% lipids, were tested: a control (0 g/kg) and four with increasing OLE levels (0.25, 0.5, 1, and 2 g/kg). The 46-day trial included 225 fish (0.56 ± 0.11 g) distributed in 15 tanks. Growth performance was not affected, except for a higher condition factor in OLE0.25. This dose also resulted in lower moisture and higher lipid content, while all OLE treatments increased crude protein in fish. Muscle glycogen decreased in all OLE-fed groups, and liver glycogen was reduced in OLE0.25. Plasma triglycerides decreased in OLE0.5 and OLE0.25, while total plasma protein was lower in OLE2.0. Liver triglycerides were lower in OLE0.25 and higher in OLE0.5, whereas glucose showed a glycemic peak in OLE2.0. Hepatic lipid peroxidation was reduced in OLE2.0. Overall, dietary OLE did not compromise the growth performance of Nile tilapia, and 0.25 g/kg promoted beneficial effects on centesimal composition, biochemical parameters, and lipid peroxidation, highlighting its potential as a functional ingredient in aquafeeds. Full article
Show Figures

Graphical abstract

16 pages, 1854 KB  
Article
Towards Sustainable Aquafeeds: Valorization of Codium sp. and Osmundea sp. as Functional Ingredients to Enhance Nutrient and Bioactive Compounds in European Seabass
by Inês Guerreiro, Filipa Fontinha, Marta Monteiro, Joana Oliveira, Raquel Marçal, Rui Magalhães, Mário Pacheco, Mohamed Soula, Aires Oliva-Teles, Paula Enes and Ana Couto
J. Mar. Sci. Eng. 2025, 13(10), 1884; https://doi.org/10.3390/jmse13101884 - 1 Oct 2025
Viewed by 418
Abstract
This study aimed to valorize Codium sp. and Osmundea sp. as functional ingredients for European seabass diets. For this purpose, triplicate groups of 25 fish (20.6 g) were fed, during 8 weeks, one of seven diets: the control (CTR), 5% of Codium and [...] Read more.
This study aimed to valorize Codium sp. and Osmundea sp. as functional ingredients for European seabass diets. For this purpose, triplicate groups of 25 fish (20.6 g) were fed, during 8 weeks, one of seven diets: the control (CTR), 5% of Codium and Osmundea ground (diets CO and OS, respectively), 5% of Codium and Osmundea ground and autoclaved (diets COA and OSA, respectively), and 0.5% of Codium and Osmundea polysaccharide extracts (diets COP and OSP, respectively). The same diets were used for a digestibility trial. Fish fed the CO diet presented lower growth and an apparent digestibility coefficient (ADC) for dry matter and protein compared to fish fed the CTR and OS diets. Diet COA counteracted these negative effects. No differences were observed in feed intake, feed efficiency, and lipid ADC. Antioxidant enzyme activities and distal intestine histomorphology, an indicator of gut health, were not affected. The expression of interleukin-1β and interleukin-6 increased in fish fed the COP diet. In conclusion, the processing methods counteracted the negative effects of raw Codium, enhancing its value as a dietary ingredient, while its polysaccharides showed immunomodulatory potential that could be valuable during stress or disease periods. These findings support the valorization of these algae for aquafeeds, with Osmundea being safely included at 5% without processing. Full article
(This article belongs to the Section Marine Aquaculture)
Show Figures

Figure 1

26 pages, 605 KB  
Review
Microalgae as an Eco-Friendly and Functional Ingredient for Sustainable Aquafeed
by Vimala Balasubramaniam, Devi-Nair Gunasegavan Rathi, Suraiami Mustar and June Chelyn Lee
Aquac. J. 2025, 5(3), 14; https://doi.org/10.3390/aquacj5030014 - 28 Aug 2025
Cited by 3 | Viewed by 1619
Abstract
Aquaculture is the fastest-growing food production sector and plays a pivotal role in global food security. However, the reliance on conventional fishmeal and fish oil in aquafeeds raises sustainability concerns due to overfishing, high costs, and ecological burden. This review explores the valorisation [...] Read more.
Aquaculture is the fastest-growing food production sector and plays a pivotal role in global food security. However, the reliance on conventional fishmeal and fish oil in aquafeeds raises sustainability concerns due to overfishing, high costs, and ecological burden. This review explores the valorisation of microalgae as a sustainable and functional alternative for aquafeed development. Microalgae are rich in proteins, polyunsaturated fatty acids, bioactive compounds, and pigments that support aquatic animal growth, immunity, and product quality. We critically examine the integration of green technologies, including cultivation systems, biomass harvesting, and eco-friendly extraction methods for optimising microalgal biomass and bioactive recovery. The review also discusses recent innovations in bioremediation and circular aquaculture systems, highlighting the role of microalgae in reducing nutrient discharge, carbon footprint, and operational cost. Challenges such as scalability, digestibility, and economic feasibility are also addressed, providing insight into pathways toward industrial adoption. This review aims to provide an updated and holistic perspective on microalgae-based aquafeeds in advancing sustainable aquaculture practices. Full article
Show Figures

Figure 1

13 pages, 745 KB  
Article
Optimizing Selenium Polysaccharide Supplementation: Impacts on Growth, Oxidative Stress, and Tissue Selenium in Juvenile Large Yellow Croaker (Larimichthys crocea)
by Jinxing Xiao, Zhoudi Miao, Shiliang Dong, Kaiyang Wang, Fan Zhou and Zilong Li
Animals 2025, 15(15), 2292; https://doi.org/10.3390/ani15152292 - 6 Aug 2025
Viewed by 571
Abstract
Selenium (Se) is an essential trace element critical for animal growth and immune function. This study investigated the dietary selenium requirement of juvenile large yellow croaker (Larimichthys crocea) through an 8-week feeding trial. Five experimental diets were formulated by supplementing a [...] Read more.
Selenium (Se) is an essential trace element critical for animal growth and immune function. This study investigated the dietary selenium requirement of juvenile large yellow croaker (Larimichthys crocea) through an 8-week feeding trial. Five experimental diets were formulated by supplementing a basal diet with selenium polysaccharides (Se-PS) at 0, 20, 30, 40, and 50 mg/kg, resulting in analyzed Se concentrations of 0.35, 0.54, 0.71, 0.93, and 1.11 mg/kg, respectively. The results demonstrated that growth performance and feed efficiency improved with increasing dietary selenium, peaking at 0.93 mg/kg before declining at higher levels. Antioxidant enzyme activities—superoxide dismutase (SOD) and catalase (CAT)—in serum and liver tissues exhibited a dose-dependent increase, reaching maximal levels at 1.11 mg/kg. Conversely, malondialdehyde (MDA), a marker of oxidative stress, progressively decreased in both serum and liver, attaining its lowest concentration at 1.11 mg/kg, though this did not differ significantly from the 0.93 mg/kg group (p = 0.056). Tissue selenium accumulation was highest at these optimal dietary levels. Based on the growth performance, oxidative stress response, and tissue selenium retention, the recommended dietary selenium requirement for juvenile large yellow croaker is 0.93 mg/kg. These findings highlight the importance of optimal Se supplementation in aquafeeds to enhance growth and physiological health in farmed fish. Full article
(This article belongs to the Section Aquatic Animals)
Show Figures

Figure 1

24 pages, 7353 KB  
Article
Characterization and Application of Synergistically Degraded Chitosan in Aquafeeds to Promote Immunity, Antioxidative Status, and Disease Resistance in Nile Tilapia (Oreochromis niloticus)
by Thitirat Rattanawongwiboon, Natthapong Paankhao, Wararut Buncharoen, Nantipa Pansawat, Benchawan Kumwan, Pakapon Meachasompop, Phunsin Kantha, Tanavan Pansiri, Theeranan Tangthong, Sakchai Laksee, Suwinai Paankhao, Kittipong Promsee, Mongkhon Jaroenkittaweewong, Pattra Lertsarawut, Prapansak Srisapoome, Kasinee Hemvichian and Anurak Uchuwittayakul
Polymers 2025, 17(15), 2101; https://doi.org/10.3390/polym17152101 - 31 Jul 2025
Viewed by 1223
Abstract
This study investigated the immunonutritional potential of high-molecular-weight (Mw~85 kDa), non-degraded chitosan (NCS) and gamma-radiation-degraded, low-molecular-weight chitosan (RCS) incorporated into aquafeeds for Nile tilapia (Oreochromis niloticus). RCS was produced by γ-irradiation (10 kGy) in the presence of 0.25% (w/ [...] Read more.
This study investigated the immunonutritional potential of high-molecular-weight (Mw~85 kDa), non-degraded chitosan (NCS) and gamma-radiation-degraded, low-molecular-weight chitosan (RCS) incorporated into aquafeeds for Nile tilapia (Oreochromis niloticus). RCS was produced by γ-irradiation (10 kGy) in the presence of 0.25% (w/v) H2O2, yielding low-viscosity, colloidally stable nanoparticles with Mw ranging from 10 to 13 kDa. Five diets were formulated: a control, NCS at 0.50%, and RCS at 0.025%, 0.050%, and 0.075%. No adverse effects on growth were observed, confirming safety. Immune gene expression (e.g., ifng1, nfκb, tnf), antioxidant markers (e.g., reduced MDA, increased GSH and GR), and nonspecific humoral responses (lysozyme, IgM, and bactericidal activity) were significantly enhanced in the NCS-0.50, RCS-0.050, and RCS-0.075 groups. Notably, these benefits were achieved with RCS at 10-fold lower concentrations than NCS. Following challenge with Edwardsiella tarda, fish fed RCS-0.050 and RCS-0.075 diets exhibited the highest survival rates and relative percent survival, highlighting robust activation of innate and adaptive immunity alongside redox defense. These results support the use of low-Mw RCS as a biologically potent, cost-effective alternative to traditional high-Mw chitosan in functional aquafeeds. RCS-0.050 and RCS-0.075 show strong potential as immunonutritional agents to enhance fish health and disease resistance in aquaculture. Full article
(This article belongs to the Special Issue Polysaccharides: Synthesis, Properties and Applications)
Show Figures

Figure 1

24 pages, 1937 KB  
Article
Asparagopsis taxiformis Feed Supplementation as a Tool to Improve the Resilience of Farmed Diplodus sargus to Marine Heatwave Events—A Metabolomics Approach
by Marta Dias, Isa Marmelo, Carla António, Ana M. Rodrigues, António Marques, Mário S. Diniz and Ana Luísa Maulvault
Fishes 2025, 10(7), 350; https://doi.org/10.3390/fishes10070350 - 15 Jul 2025
Viewed by 1038
Abstract
The need to maximize aquaculture production while addressing environmental and food security challenges posed by climate change has driven research towards the development of functional aquafeeds that enhance performance and immunity in farmed species. However, exposure to dietary and environmental stressors affects marine [...] Read more.
The need to maximize aquaculture production while addressing environmental and food security challenges posed by climate change has driven research towards the development of functional aquafeeds that enhance performance and immunity in farmed species. However, exposure to dietary and environmental stressors affects marine organisms, altering key metabolic pathways best understood through high-throughput “omics” tools. This study assessed the effects of Asparagopsis taxiformis supplementation on central metabolic pathways by analyzing changes in primary metabolite levels in the liver of farmed Diplodus sargus under optimal and suboptimal temperature conditions. Results showed that seaweed supplementation had a beneficial effect on the fish’s primary metabolome; however, inclusion levels and rearing conditions played a crucial role in determining outcomes. While 1.5% supplementation maintained a balanced primary metabolome under optimal temperature conditions, 3.0% supplementation most effectively mitigated the adverse effects of acute thermal stress during a marine heatwave. These findings highlight the nutritive and functional potential of A. taxiformis supplementation in aquafeeds for marine omnivorous fish species and emphasize the importance of evaluating functional aquafeeds under suboptimal rearing conditions. Overall, our results demonstrate the value of metabolomics in elucidating the molecular basis underlying biological pathways in farmed marine fish and optimizing production through climate-smart dietary strategies. Full article
(This article belongs to the Special Issue Advances in Aquaculture Feed Additives)
Show Figures

Graphical abstract

19 pages, 18888 KB  
Article
Effects of Lactobacillus plantarum-Fermented Feed on Growth and Intestinal Health in Haliotis discus hannai
by Ling Ke, Chenyu Huang, Song Peng, Mengshi Zhao, Fengqiang Lin and Zhaolong Li
Microorganisms 2025, 13(7), 1603; https://doi.org/10.3390/microorganisms13071603 - 8 Jul 2025
Viewed by 933
Abstract
This study multidimensionally investigates the comprehensive effects of Lactobacillus plantarum (LP)-fermented feed on growth performance, intestinal health, and metabolic regulation in Pacific abalone (Haliotis discus hannai). The results demonstrate that LP fermentation significantly alters feed’s physical properties and nutritional profile, softening [...] Read more.
This study multidimensionally investigates the comprehensive effects of Lactobacillus plantarum (LP)-fermented feed on growth performance, intestinal health, and metabolic regulation in Pacific abalone (Haliotis discus hannai). The results demonstrate that LP fermentation significantly alters feed’s physical properties and nutritional profile, softening texture, increasing viscosity, and emitting an acidic aroma. Notably, it enhanced contents of cis-9-palmitoleic acid, α-linolenic acid (ALA), and functional amino acids (GABA, L-histidine, and L-asparagine), indicating that fermentation optimized ω-3 fatty acid accumulation and amino acid profiles through the modulation of fatty acid metabolic pathways, thereby improving feed biofunctionality and stress-resistant potential. Further analyses revealed that fermented feed markedly improved intestinal morphology in abalone, promoting villus integrity and upregulating tight junction proteins (ZO-1, Claudin) to reinforce intestinal barrier function. Concurrently, it downregulated inflammatory cytokines (TNF-α, NF-κB, IL-16) while upregulating anti-inflammatory factors (TLR4) and antioxidant-related genes (NRF2/KEAP1 pathway), synergistically mitigating intestinal inflammation and enhancing antioxidant capacity. Sequencing and untargeted metabolomics unveiled that fermented feed substantially remodeled gut microbiota structure, increasing Firmicutes abundance while reducing Bacteroidetes, with the notable enrichment of beneficial genera such as Mycoplasma. Metabolite profiling highlighted the significant activation of lipid metabolism, tryptophan pathway, and coenzyme A biosynthesis. A Spearman correlation analysis identified microbiota–metabolite interactions (such as Halomonas’ association with isethionic acid) potentially driving growth performance via metabolic microenvironment regulation. In conclusion, LP-fermented feed enhances abalone growth, immune response, and aquaculture efficiency through multi-dimensional synergistic mechanisms (nutritional optimization, intestinal homeostasis regulation, microbiota–metabolome crosstalk), providing critical theoretical foundations for aquafeed development and probiotic applications in aquaculture. Full article
(This article belongs to the Special Issue Microbiome in Fish and Their Living Environment)
Show Figures

Figure 1

20 pages, 2418 KB  
Article
Dietary Administration of Postbiotics from Vibrio proteolyticus DCF12.2 Enhanced Intestinal Integrity, Microbiota, and Immune Response in Juvenile Gilthead Seabream (Sparus aurata)
by Olivia Pérez-Gómez, Sonia Rohra-Benítez, Marta Domínguez-Maqueda, Isabel M. Cerezo, Alba Galafat, Eduardo Martínez-Manzanares, Juan Miguel Mancera, Francisco Javier Alarcón-López, Jorge García-Márquez, Miguel Ángel Moriñigo and Salvador Arijo
Animals 2025, 15(13), 1982; https://doi.org/10.3390/ani15131982 - 5 Jul 2025
Cited by 2 | Viewed by 727
Abstract
The use of postbiotics for dietary fortification in aquaculture is gaining increasing attention due to their potential immunomodulatory and gut health benefits. In this study, we evaluated the effects of postbiotics derived from Vibrio proteolyticus DCF12.2 on intestinal histology, microbiota composition, and the [...] Read more.
The use of postbiotics for dietary fortification in aquaculture is gaining increasing attention due to their potential immunomodulatory and gut health benefits. In this study, we evaluated the effects of postbiotics derived from Vibrio proteolyticus DCF12.2 on intestinal histology, microbiota composition, and the expression of genes related to epithelial integrity and inflammation in juvenile gilthead seabream (Sparus aurata). Fish were fed either a control (CRTL) diet or the postbiotic-supplemented diet (VP) for 62 days. At the end of the feeding trial, a lipopolysaccharide (LPS) challenge was conducted to evaluate the immune response in fish. Histological analysis revealed a healthy mucosa in both groups, though fish fed the VP diet reduced fold height and mucosal layer thickness, alongside a significant increase in goblet cells. Microbiota profiling indicated higher alpha diversity and significant shifts in community composition in the VP group, including enrichment of potentially beneficial genera (Pseudomonas, Sphingomonas) and depletion of opportunistic taxa (Enterococcus, Stenotrophomonas). After the feeding trial, fish fed the VP diet exhibited downregulation of pro-inflammatory markers (tnfα, cox2). Following LPS challenge, cdh1—a key epithelial adhesion protein required for maintaining intestinal barrier integrity—expression was upregulated significantly in the VP group, suggesting enhanced epithelial resilience. These findings demonstrate that dietary fortification with V. proteolyticus-derived postbiotics supports mucosal health as well as modulates the intestinal microbiota and immune responses in gilthead seabream juveniles, offering a promising strategy for functional aquafeed development in sustainable aquaculture. Full article
(This article belongs to the Special Issue Novel Feeds Affect Fish Growth Performance and Immunity)
Show Figures

Figure 1

24 pages, 1814 KB  
Article
Functional Feed for Tilapia: Exploring the Benefits of Aspalathus linearis Tea Extract
by Grace Okuthe, Bongile Bhomela and Noluyolo Vundisa
Biology 2025, 14(7), 778; https://doi.org/10.3390/biology14070778 - 27 Jun 2025
Viewed by 1083
Abstract
To address the growing global demand for aquatic protein and the need for sustainable aquaculture, this study explored Aspalathus linearis tea extract as a novel feed additive for Oreochromis mossambicus larvae. Over an eight-week feeding trial, the efficacy of diets supplemented with 30% [...] Read more.
To address the growing global demand for aquatic protein and the need for sustainable aquaculture, this study explored Aspalathus linearis tea extract as a novel feed additive for Oreochromis mossambicus larvae. Over an eight-week feeding trial, the efficacy of diets supplemented with 30% fermented or green rooibos extract was assessed against a control. Both fermented and green rooibos treatments significantly (p < 0.05) enhanced larval growth, evidenced by improved weight gain and feed conversion ratios (fermented: 1.50 ± 0.25; green: 1.41 ± 0.07). Notably, A. linearis extracts also demonstrated genoprotective potential, as indicated by a marked reduction in micronucleus frequency, most likely attributed to their abundant phenolic compounds. These findings demonstrate that rooibos extract, especially the green variety, can improve growth performance and feed utilization, and also provide genoprotective benefits. The superior outcomes in growth and feed conversion are likely due to the bioactive phenolic compounds, which may enhance palatability, gut health, and nutrient absorption, rather than macronutrient content. This positions rooibos extract as a promising natural functional additive for aquafeed, offering a sustainable strategy to enhance tilapia farming productivity and resource utilization. However, further research is necessary to uncover specific molecular mechanisms, conduct in-depth analyses of gut health and immune responses, and evaluate effects on product quality to facilitate its sustainable and effective integration into aquaculture practices, thereby contributing to both fish health and food security. Full article
Show Figures

Figure 1

33 pages, 1619 KB  
Review
Cellular Solutions: Evaluating Single-Cell Proteins as Sustainable Feed Alternatives in Aquaculture
by Korale Kankanamge Dinuka Chamodi, Nguyen Thanh Vu, Jose A. Domingos and Jiun-Yan Loh
Biology 2025, 14(7), 764; https://doi.org/10.3390/biology14070764 - 25 Jun 2025
Cited by 2 | Viewed by 4851
Abstract
The rapid expansion of the global population has intensified the demand for protein-rich food sources, positioning aquaculture as a crucial sector in the endeavor to alleviate global hunger through the provision of high-quality aquatic protein. Traditional protein sources such as fishmeal have historically [...] Read more.
The rapid expansion of the global population has intensified the demand for protein-rich food sources, positioning aquaculture as a crucial sector in the endeavor to alleviate global hunger through the provision of high-quality aquatic protein. Traditional protein sources such as fishmeal have historically served as the foundation of aquafeeds; however, their elevated costs and limited availability have catalyzed the search for sustainable alternatives. These alternatives encompass plant-based proteins, insect meals, and, more recently, single-cell proteins (SCPs), which are derived from microorganisms including bacteria, yeast, fungi, and microalgae. Nonetheless, SCP remains in its nascent stages and currently accounts for only a minor fraction of aquafeed formulations relative to other established alternatives. The production of SCP utilizes low-cost substrates, such as agricultural and dairy wastes, thereby supporting waste mitigation and principles of the circular economy. This review elucidates the nutritional value of SCPs, their potential for biofortification, and their emerging roles as functional feeds with immunomodulatory and nutrigenomic effects. Additionally, the review underscores the potential of endophytes as a novel SCP source, highlighting their underutilized capacity to foster sustainable innovations in aquafeeds. Full article
Show Figures

Graphical abstract

19 pages, 1228 KB  
Article
Processing of Tuna Head By-Products into Antioxidant Peptide Ingredients for Aquaculture Feeds
by Raúl Pérez-Gálvez, F. Javier Espejo-Carpio, Pedro J. García-Moreno, Antonio Guadix and Emilia M. Guadix
Antioxidants 2025, 14(7), 770; https://doi.org/10.3390/antiox14070770 - 23 Jun 2025
Cited by 1 | Viewed by 1407
Abstract
This study aimed to produce antioxidant peptide fractions from Skipjack tuna (Katsuwonus pelamis) head by-products through enzymatic hydrolysis and membrane filtration. Raw materials were sequentially hydrolyzed with Alcalase® (4 h) and Flavourzyme® (1 h), reaching a final degree of [...] Read more.
This study aimed to produce antioxidant peptide fractions from Skipjack tuna (Katsuwonus pelamis) head by-products through enzymatic hydrolysis and membrane filtration. Raw materials were sequentially hydrolyzed with Alcalase® (4 h) and Flavourzyme® (1 h), reaching a final degree of hydrolysis of 18.5 ± 0.9%. The crude hydrolysate was fractionated using ceramic membranes with molecular weight cut-offs of 8, 3, and 1 kDa. Some peptide fractions presented a relevant proportion of short-chain peptides (>50% w/w) and free amino acids (>10% w/w), as well as a high content of essential amino acids (>64% mol), supporting their value as dietary ingredients for aquafeeds. In vitro antioxidant activities were assessed by 2,2-diphenyl-1-picrylhydrazyl (DPPH) radical scavenging and ferrous ion chelation assays. Some fractions (e.g., F3R1 with IC50 = 1.04 ± 0.01 mg·mL−1 for metal chelating activity) displayed significantly improved (p < 0.05) antioxidant properties compared to the unfractionated hydrolysate (IC50 = 2.75 ± 0.08 mg·mL−1). This may be linked to their molecular weight profile and hydrophobic amino acid content. These results demonstrate the potential of the proposed approach to obtain bioactive peptide fractions with functional properties for aquafeeds. Zootechnical trials are needed to assess their effects on feed utilization and in vivo mitigation of oxidative stress. Full article
Show Figures

Graphical abstract

23 pages, 1452 KB  
Article
Effect of Two Different Pretreatments of Brewers Spent Grain Used as Feed Ingredient on Nutritional, Immunological, and Metabolical Parameters in Gilthead Seabream (Sparus aurata)
by Francisca P. Martínez-Antequera, Paula Simó-Mirabet, Verónica de las Heras, Marta Román, Juan Miguel Mancera, Juan Antonio Martos-Sitcha and Francisco J. Moyano
Biology 2025, 14(6), 585; https://doi.org/10.3390/biology14060585 - 22 May 2025
Viewed by 993
Abstract
Brewer’s spent grain (BSG), the primary byproduct generated by the brewing industry, holds significant potential as an ingredient in aquafeeds. However, its high content of non-starch polysaccharides (NSP) restricts the amount that can be incorporated into fish diets. To address these limitations, various [...] Read more.
Brewer’s spent grain (BSG), the primary byproduct generated by the brewing industry, holds significant potential as an ingredient in aquafeeds. However, its high content of non-starch polysaccharides (NSP) restricts the amount that can be incorporated into fish diets. To address these limitations, various pretreatment methods (physical, chemical, or enzymatic) can be applied prior to its inclusion in feed formulations. The objectives of the present study were (i) to optimize the conditions for enzymatic or microwave pretreatments to enhance the nutritional and functional profile of BSG, (ii) to determine the bioaccessibility and availability of specific nutrients and antioxidant compounds in diets including a high amount of BSG (pretreated or not) using an in vitro assay simulating the digestion of the gilthead seabream (Sparus aurata), and (iii) to evaluate the effect of such diet pretreatments on growth, metabolism, intestinal microbiota, and oxidative status in live fish. For this study, three experimental diets were formulated: one containing 20% untreated BSG (C) and two containing the same amount of BSG pretreated either enzymatically (H) or with microwave heating (MW). Each diet was administered ad libitum to triplicate groups of 22 juvenile sea bream (mean weight 60 g) over a period of three months. The results indicated that the microwave-treated BSG led to improved growth (0.69 ± 0.02%) and feed efficiency (0.80 ± 0.02 weight gain/total feed intake) and enhanced immune status (alkaline phosphatase activity = 11,811.68 ± 3426.92 U/mg SP), compared to the control diet (SGR = 0.59 ± 0.06%; FE: 0.68 ± 0.03 weight gain/total feed intake; alkaline phosphatase activity = 8590.29 ± 3663.44 U/mg SP). Moreover, fish fed on both pretreated BSG diets exhibited significant differences in metabolic parameters and functional profile of their intestinal microbiota when compared to the control group. Consequently, the findings suggest that the pretreatment of BSG, whether by enzymatic or microwave methods, results in notable differences in its nutritional value and the bioavailability of functional components, which, in turn, have a substantial impact on the growth and metabolism of gilthead seabream. Full article
(This article belongs to the Special Issue Aquatic Animal Nutrition and Feed)
Show Figures

Figure 1

26 pages, 769 KB  
Article
Inclusion of Pineapple By-Products as Natural Antioxidant Sources in Diets for European Sea Bass (Dicentrarchus labrax)
by Ricardo Pereira, Ana Basto, Manuela Pintado, Luisa M. P. Valente and Cristina Velasco
Antioxidants 2025, 14(3), 333; https://doi.org/10.3390/antiox14030333 - 11 Mar 2025
Cited by 2 | Viewed by 1827
Abstract
This study investigates the effects of pineapple by-products on feed preservation during storage at two different temperatures (25 °C and 4 °C) and on European sea bass (Dicentrarchus labrax) stress resistance. Four isoproteic, isolipidic, and isoenergetic diets were manufactured: CTRL—negative control, [...] Read more.
This study investigates the effects of pineapple by-products on feed preservation during storage at two different temperatures (25 °C and 4 °C) and on European sea bass (Dicentrarchus labrax) stress resistance. Four isoproteic, isolipidic, and isoenergetic diets were manufactured: CTRL—negative control, commercial diet without added antioxidants; VITE—positive control, CTRL diet with 100 mg kg−1 of vitamin E; and P2 and S2—VITE diet with 2% pineapple peel or stem flour, respectively. The fish (13.5 ± 0.8 g) were split into four replicate groups per diet and fed ad libitum for 12 weeks, after which they were subjected to a stress challenge of air exposure (1 min) followed by confinement (5 min, 100 kg m−3). Despite storage time lowering the antioxidant properties of all diets, P2 and S2 showed increased antioxidant capacity (DPPH, ABTS•+, and ORAC) before and after storage. The diets were well accepted by the fish, and the VITE-fed fish showed significantly lower lipid peroxidation values in the liver and muscle compared to all remaining diets. However, pineapple by-product inclusion did not result in increased fish stress resistance. Further optimization is required for the successful use of pineapple by-products as natural antioxidants in aquafeeds. Full article
Show Figures

Figure 1

Back to TopTop