Sign in to use this feature.

Years

Between: -

Subjects

remove_circle_outline
remove_circle_outline
remove_circle_outline
remove_circle_outline

Journals

Article Types

Countries / Regions

Search Results (38)

Search Parameters:
Keywords = full thickness macular hole

Order results
Result details
Results per page
Select all
Export citation of selected articles as:
10 pages, 1262 KB  
Article
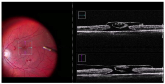
Clinical Outcomes of Full-Thickness Macular Holes with Epiretinal Proliferation Without Posterior Vitreous Detachment
by Kota Kakehashi, Reio Sekine, Tatsuya Jujo, Naoto Uchiyama, Akiko Endo, Naoto Tokuda and Yasushi Kitaoka
Medicina 2025, 61(11), 1975; https://doi.org/10.3390/medicina61111975 - 4 Nov 2025
Viewed by 231
Abstract
Background and Objective: To elucidate the clinical characteristics of full-thickness macular holes (FTMHs) with epiretinal proliferation (EP) without posterior vitreous detachment (PVD). Material and Methods: A retrospective and exploratory study reviewed clinical records of patients with FTMHs with EP without PVD [...] Read more.
Background and Objective: To elucidate the clinical characteristics of full-thickness macular holes (FTMHs) with epiretinal proliferation (EP) without posterior vitreous detachment (PVD). Material and Methods: A retrospective and exploratory study reviewed clinical records of patients with FTMHs with EP without PVD (5 eyes: EP group) and FTMHs without EP without PVD (32 eyes: non-EP group). Swept-source OCT images were analyzed for macular structure. Statistical comparisons were made between clinical characteristics and surgical outcomes. Results: The EP group had two eyes with non-closure of macular holes (40%) (p = 0.01) and three eyes with ellipsoid zone defects (60%) (p = 0.01 compared with the non-EP group). Conclusions: Although limited by a small sample size, this pilot study suggests that the observed trends—such as a lower closure rate and more outer retinal disruption in the EP group—may indicate differences in pathogenesis and surgical outcomes compared to the non-EP group. However, these findings should be interpreted with caution due to statistical limitations. Further prospective studies with larger cohorts are needed to validate these preliminary findings and better understand the underlying pathogenesis. Full article
(This article belongs to the Special Issue Modern Diagnostics and Therapy for Vitreoretinal Diseases)
Show Figures

Figure 1

19 pages, 1760 KB  
Review
An Insight into Current and Novel Treatment Practices for Refractory Full-Thickness Macular Hole
by Chin Sheng Teoh
J. Clin. Transl. Ophthalmol. 2025, 3(3), 15; https://doi.org/10.3390/jcto3030015 - 1 Aug 2025
Viewed by 1249
Abstract
Refractory full-thickness macular holes (rFTMHs) present a significant challenge in vitreoretinal surgery, with reported incidence rates of 4.2–11.2% following standard vitrectomy with internal limiting membrane (ILM) peeling and gas tamponade. Risk factors include large hole size (>400 µm), chronicity (>6 months), high myopia, [...] Read more.
Refractory full-thickness macular holes (rFTMHs) present a significant challenge in vitreoretinal surgery, with reported incidence rates of 4.2–11.2% following standard vitrectomy with internal limiting membrane (ILM) peeling and gas tamponade. Risk factors include large hole size (>400 µm), chronicity (>6 months), high myopia, incomplete ILM peeling, and post-operative noncompliance. Multiple surgical techniques exist, though comparative evidence remains limited. Current options include the inverted ILM flap technique, autologous ILM transplantation (free flap or plug), lens capsular flap transplantation (autologous or allogenic), preserved human amniotic membrane transplantation, macular subretinal fluid injection, macular fibrin plug with autologous platelet concentrates, and autologous retinal transplantation. Closure rates range from 57.1% to 100%, with selection depending on hole size, residual ILM, patient posturing ability, etc. For non-posturing patients, fibrin plugs are preferred. Residual ILM cases may benefit from extended peeling or flap techniques, while large holes often require scaffold-based (lens capsule, amniotic membrane) or fibrin plug approaches. Pseudophakic patients should avoid posterior capsular flaps due to lower success rates. Despite promising outcomes, the lack of randomized trials necessitates further research to establish evidence-based guidelines. Personalized surgical planning, considering anatomical and functional goals, remains crucial in optimizing visual recovery in rFTMHs. Full article
Show Figures

Figure 1

12 pages, 1586 KB  
Article
The Concept of Anatomical Reconstruction of the Foveola Using Activated Conditioned Plasma (ACP)
by Monika Popowska, Ludmila Popowska, Leonid I. Balashevich, Jacek P. Szaflik and Monika Łazicka-Gałecka
J. Clin. Med. 2025, 14(15), 5358; https://doi.org/10.3390/jcm14155358 - 29 Jul 2025
Viewed by 592
Abstract
Background: Surgical management of large full-thickness macular holes (MHs) remains challenging, particularly when aiming for both rapid visual recovery and consistent anatomical closure without inducing retinal trauma. This retrospective single-center study evaluated the efficacy of activated conditioned plasma (ACP) as an intraoperative coadjuvant [...] Read more.
Background: Surgical management of large full-thickness macular holes (MHs) remains challenging, particularly when aiming for both rapid visual recovery and consistent anatomical closure without inducing retinal trauma. This retrospective single-center study evaluated the efficacy of activated conditioned plasma (ACP) as an intraoperative coadjuvant supporting ILM (internal limiting membrane) peeling and air tamponade in the treatment of idiopathic MHs measuring 400–800 µm, under real-time intraoperative optical coherence tomography (i-OCT) guidance. Methods: Seventy eyes from fifty patients underwent pars plana vitrectomy with intraoperative ACP application. ACP, a leukocyte-poor autologous platelet concentrate, was used intraoperatively as a coadjuvant to ILM peeling and air tamponade. It facilitated the formation of a transparent fibrin membrane over the retinal surface, supporting edge approximation and promoting retinal healing. Results: The primary outcome was complete MH closure confirmed by OCT; the secondary outcome was improvement in BCVA on postoperative day 7 and during a 12-month follow-up. Anatomical closure was achieved in 98.6% of cases. On day 7, 78.6% of eyes showed a ≥ three-line BCVA improvement, with mean BCVA increasing from 0.25 ± 0.21 to 0.69 ± 0.20 (p < 0.001). These outcomes remained stable throughout the follow-up. No significant intraoperative or postoperative complications were observed. Conclusions: The combination of ACP and i-OCT appears to be a safe and effective strategy for anatomical foveolar reconstruction, enabling early visual recovery while minimizing inflammation and fibrotic scarring associated with conventional techniques. Full article
(This article belongs to the Section Ophthalmology)
Show Figures

Figure 1

21 pages, 2145 KB  
Article
Ceruloplasmin and Ferritin Changes in Ocular Fluids from Patients with Vitreoretinal Diseases: Relation with Neuroinflammation and Drusen Formation
by Graziana Esposito, Pamela Cosimi, Bijorn Omar Balzamino, Marisa Bruno, Rosanna Squitti, Lucia Dinice, Fabio Scarinci, Mauro Ciro Antonio Rongioletti, Andrea Cacciamani and Alessandra Micera
Int. J. Mol. Sci. 2025, 26(13), 6307; https://doi.org/10.3390/ijms26136307 - 30 Jun 2025
Viewed by 770
Abstract
This pilot study explored whether the ceruloplasmin (CP) and ferritin (FT) levels in ocular fluids could serve as biomarkers for early neurodegenerative diseases (Alzheimer’s, Parkinson’s, and other dementias). CP and FT are known to modulate neurodegenerative tissue responses. We analysed aqueous and vitreous [...] Read more.
This pilot study explored whether the ceruloplasmin (CP) and ferritin (FT) levels in ocular fluids could serve as biomarkers for early neurodegenerative diseases (Alzheimer’s, Parkinson’s, and other dementias). CP and FT are known to modulate neurodegenerative tissue responses. We analysed aqueous and vitreous samples from 26 patients (8M/18F, aged 60–85) who were undergoing elective vitreoretinal (VR) surgery. Of these, 14 had idiopathic epiretinal membranes (ERMs), 6 had idiopathic macular holes (MH), and 6 were patients with Alzheimer’s disease (AD) who presented with VR disorders (VRDs). CP, FT, and selected neuroinflammatory mediators such as interferon γ (IFN-γ), interleukin (IL-6), vascular endothelial growth factor (VEGF), nerve growth factor (NGF), and brain-derived neurotrophic factor (BDNF) were quantified. Odds ratio analysis was applied to assess the CP/FT ratio’s association with subretinal drusen. We found distinct CP and FT profiles in VRD samples. In aqueous fluid, the CP increased and the FT decreased in early-stage ERM, which reduced the CP/FT ratio. Similar patterns were observed in vitreous fluid. The CP levels correlated with the VEGF (aqueous), IL-4 (vitreous), NGF, and BDNF levels; FT correlated with IL-6 and NGF. A higher CP/FT ratio was associated with increased risk for neurodegenerative conditions. Our findings support the quantification of CP and FT in ocular fluids as a promising approach for identifying early neurodegenerative changes and suggest that the CP/FT ratio may be linked to drusen imaging and clinical neurodegenerative history. Full article
(This article belongs to the Section Molecular Biology)
Show Figures

Figure 1

13 pages, 1246 KB  
Article
Comparing Auto-Machine Learning and Expert-Designed Models in Diagnosing Vitreomacular Interface Disorders
by Ceren Durmaz Engin, Mahmut Ozan Gokkan, Seher Koksaldi, Mustafa Kayabasi, Ufuk Besenk, Mustafa Alper Selver and Andrzej Grzybowski
J. Clin. Med. 2025, 14(8), 2774; https://doi.org/10.3390/jcm14082774 - 17 Apr 2025
Cited by 1 | Viewed by 1233
Abstract
Background: The vitreomacular interface (VMI) encompasses a group of retinal disorders that significantly impact vision, requiring accurate classification for effective management. This study aims to compare the effectiveness of an expert-designed custom deep learning (DL) model and a code free Auto Machine Learning [...] Read more.
Background: The vitreomacular interface (VMI) encompasses a group of retinal disorders that significantly impact vision, requiring accurate classification for effective management. This study aims to compare the effectiveness of an expert-designed custom deep learning (DL) model and a code free Auto Machine Learning (ML) model in classifying optical coherence tomography (OCT) images of VMI disorders. Materials and Methods: A balanced dataset of OCT images across five classes—normal, epiretinal membrane (ERM), idiopathic full-thickness macular hole (FTMH), lamellar macular hole (LMH), and vitreomacular traction (VMT)—was used. The expert-designed model combined ResNet-50 and EfficientNet-B0 architectures with Monte Carlo cross-validation. The AutoML model was created on Google Vertex AI, which handled data processing, model selection, and hyperparameter tuning automatically. Performance was evaluated using average precision, precision, and recall metrics. Results: The expert-designed model achieved an overall balanced accuracy of 95.97% and a Matthews Correlation Coefficient (MCC) of 94.65%. Both models attained 100% precision and recall for normal cases. For FTMH, the expert model reached perfect precision and recall, while the AutoML model scored 97.8% average precision, and 97.4% recall. In VMT detection, the AutoML model showed 99.5% average precision with a slightly lower recall of 94.7% compared to the expert model’s 95%. For ERM, the expert model achieved 95% recall, while the AutoML model had higher precision at 93.9% but a lower recall of 79.5%. In LMH classification, the expert model exhibited 95% precision, compared to 72.3% for the AutoML model, with similar recall for both (88% and 87.2%, respectively). Conclusions: While the AutoML model demonstrated strong performance, the expert-designed model achieved superior accuracy across certain classes. AutoML platforms, although accessible to healthcare professionals, may require further advancements to match the performance of expert-designed models in clinical applications. Full article
(This article belongs to the Special Issue Artificial Intelligence and Eye Disease)
Show Figures

Figure 1

9 pages, 3590 KB  
Case Report
Bilateral Simultaneous Full-Thickness Macular Holes: A Case Report with Spontaneous Resolution
by Isabel López-Bernal, Ángel Sánchez Trancón and Pedro Serra
Reports 2025, 8(2), 40; https://doi.org/10.3390/reports8020040 - 28 Mar 2025
Viewed by 931
Abstract
Background and Clinical Significance: Full-thickness macular hole (FTMH) is a common retinal condition that impairs detailed vision, with idiopathic causes being the most prevalent. Small macular holes (<250 µm) have the potential for spontaneous closure, whereas larger holes typically require surgical intervention [...] Read more.
Background and Clinical Significance: Full-thickness macular hole (FTMH) is a common retinal condition that impairs detailed vision, with idiopathic causes being the most prevalent. Small macular holes (<250 µm) have the potential for spontaneous closure, whereas larger holes typically require surgical intervention to restore visual acuity (VA). The management of small macular holes remains controversial, as approximately 25% resolve spontaneously. Reporting cases of spontaneous closure may provide evidence to support a conservative, non-surgical approach in such cases. Case Presentation: We report the case of a 65-year-old female patient monitored using spectral domain optical coherence tomography (OCT). She initially presented with unilateral FTMH and subsequently developed an FTMH in the fellow eye during follow-up. Both macular holes closed spontaneously, leading to VA recovery. OCT imaging enabled the identification of vitreomacular traction as the underlying mechanism for hole formation and the bridging process responsible for spontaneous closure. Conclusions: This case highlights the potential for spontaneous anatomical and functional recovery in small-diameter macular holes (<250 µm). A conservative, observational approach may be appropriate in selected cases, potentially avoiding unnecessary surgical intervention. Full article
(This article belongs to the Section Ophthalmology)
Show Figures

Figure 1

10 pages, 2192 KB  
Article
Combined Surgically Induced Macular Detachment and Autologous Internal Limiting Membrane Transplantation for Refractory Full Thickness Macular Hole
by Rino Frisina, Laura Di Leo, Ilenia Gallo Afflitto, Andrea Vulpetti, Lorenzo Motta and Gabriella De Salvo
J. Clin. Med. 2025, 14(6), 2123; https://doi.org/10.3390/jcm14062123 - 20 Mar 2025
Viewed by 754
Abstract
Background/Objectives: To propose a combined surgery of surgically induced macular detachment (MD) and autologous internal limiting membrane (ILM) transplantation to treat refractory full thickness macular holes (FTMHs). Methods: A series of patients affected by refractory FTMHs underwent a combined surgery. The [...] Read more.
Background/Objectives: To propose a combined surgery of surgically induced macular detachment (MD) and autologous internal limiting membrane (ILM) transplantation to treat refractory full thickness macular holes (FTMHs). Methods: A series of patients affected by refractory FTMHs underwent a combined surgery. The following demographic and clinical data were collected: age, gender, eye, lens status, and best corrected visual acuity (BCVA). The tomographic pre- and post-operative parameters were the following: pre-operative FTMH diameter, refractory FTMH morphology (flat/with cuff), FTMH closure, foveal profile (regular/flat/inverted), flap displacement, and outer retinal layers restoration. Results: The study included a total of 14 pseudophakic eyes (14 patients). In all of the patients, surgical FTMH closure was reached. The mean BCVA improved after surgery from 1.1 ± 0.14 to 0.48 ± 03 logMAR (p < 0.0001). Statistical analysis demonstrated that the larger the FTMH, the poorer the post-operative gain in BCVA (p −0.5). The post-operative regular foveal profile was obtained in 50% of the eyes with a mean post-operative BCVA of 0.3 logMAR. A negative correlation between the time interval from diagnosis to surgery and post-operative BCVA gain was highlighted (p −0.8). Conclusions: The proposed combined surgical technique led to encouraging anatomical and functional results. Surgically induced MD increased the elasticity of the retina, and the free flap isolated the macular hole from the vitreous chamber favoring its closure. Full article
(This article belongs to the Special Issue Clinical Treatment of Refractory Full Thickness Macular Hole (FTMH))
Show Figures

Figure 1

14 pages, 3920 KB  
Article
Spontaneously Opening and Closing Macular Holes with Lamellar Hole Epiretinal Proliferation: A Longitudinal Optical Coherence Tomography Analysis
by Omar Moussa, Jedrzej Golebka, Gabriel Gomide, Dvir Koenigstein, Hueyjong Shih and Royce W. S. Chen
Diagnostics 2025, 15(6), 759; https://doi.org/10.3390/diagnostics15060759 - 18 Mar 2025
Cited by 1 | Viewed by 1868
Abstract
Background/Objectives: Spontaneous macular hole closure is a rare phenomenon, with lamellar hole epiretinal proliferation (LHEP) frequently implicated as a potential mechanism. This study aims to analyze the presence of LHEP in patients with full-thickness macular holes (FTMHs) or lamellar macular holes (LMHs) [...] Read more.
Background/Objectives: Spontaneous macular hole closure is a rare phenomenon, with lamellar hole epiretinal proliferation (LHEP) frequently implicated as a potential mechanism. This study aims to analyze the presence of LHEP in patients with full-thickness macular holes (FTMHs) or lamellar macular holes (LMHs) that closed spontaneously without intervention. Methods: A retrospective longitudinal analysis of optical coherence tomography (OCT) scans was conducted for 73 patients diagnosed with FTMH or LMH in a single institution. Patients with documented spontaneous hole closure were further analyzed for the presence of LHEP, other OCT findings, and clinical characteristics. Results: Of the 73 patients, eight (11%) exhibited spontaneous closure of their macular holes. LHEP was identified in all cases, regardless of hole type (FTMH or LMH). Associated OCT features on diagnosis included VMT in one eye (13%), partial or complete posterior vitreous detachment in seven eyes (88%) and epiretinal membrane in eight eyes (100%). During hole closure, an outer nuclear layer bridge was noted in six eyes (75%). Various extents of outer retinal recovery were noted following closure. After closure, five holes (63%) remained closed without further intervention, while three (38%) reopened and required surgical intervention. Conclusions: Spontaneous macular hole closure is strongly associated with the presence of LHEP, highlighting its potential role in retinal repair mechanisms. While in most patients the spontaneous closure is permanent, surgical intervention may be necessary in cases of hole recurrence. Full article
(This article belongs to the Special Issue Optical Coherence Tomography in Diagnosis of Ophthalmology Disease)
Show Figures

Figure 1

14 pages, 1562 KB  
Article
Microvascular Changes in Full-Thickness Macular Hole Patients Before and After Vitrectomy: An Optical Coherence Tomography–Angiography Study
by Aleksandra Górska, Sebastian Sirek, Dawid Woszczek and Rafał Leszczyński
Clin. Pract. 2025, 15(3), 58; https://doi.org/10.3390/clinpract15030058 - 11 Mar 2025
Cited by 2 | Viewed by 919
Abstract
Background: This study evaluates changes in the foveal avascular zone (FAZ) area and vessel density in patients with full-thickness macular hole (FTMH) before and after vitrectomy using optical coherence tomography–angiography (OCT-A). Methods: A prospective analysis was conducted on 39 patients diagnosed with FTMH [...] Read more.
Background: This study evaluates changes in the foveal avascular zone (FAZ) area and vessel density in patients with full-thickness macular hole (FTMH) before and after vitrectomy using optical coherence tomography–angiography (OCT-A). Methods: A prospective analysis was conducted on 39 patients diagnosed with FTMH who underwent pars plana vitrectomy. OCT-A imaging was performed preoperatively and at 1 and 3 months postoperatively. Parameters analyzed included FAZ area, superficial (SCP) and deep retinal vessel density (DCP), and central retinal thickness (CRT). Results: Preoperative OCT-A images showed a significant difference in the mean FAZ area between affected and healthy eyes (p < 0.01). However, a significant reduction in superficial capillary plexus (SCP) vessel density was noted after vitrectomy. Visual acuity improved significantly after surgery (p < 0.001), but no significant changes in FAZ or total vessel density were observed postoperatively. Postoperative distance visual acuity (DBCVA) correlated with preoperative macular hole size (p < 0.01). Conclusions: Vitrectomy for FTMH does not significantly alter the FAZ area or DCP vessel density, but does reduce SCP vessel density. OCT-A is a valuable tool for assessing retinal microvascular changes post-vitrectomy. Full article
Show Figures

Figure 1

5 pages, 3568 KB  
Interesting Images
Spontaneous Closure of a Full-Thickness Traumatic Macular Hole in a Paediatric Patient
by Bogumiła Wójcik-Niklewska and Erita Filipek
Diagnostics 2025, 15(4), 400; https://doi.org/10.3390/diagnostics15040400 - 7 Feb 2025
Viewed by 1314
Abstract
A macular hole is a defect of the neurosensory retina at the fovea. Post-traumatic holes can occur immediately after blunt trauma, causing severe non-penetrating retinal contusion or after sudden detachment of the vitreous from the retina. Post-traumatic macular holes can close spontaneously or [...] Read more.
A macular hole is a defect of the neurosensory retina at the fovea. Post-traumatic holes can occur immediately after blunt trauma, causing severe non-penetrating retinal contusion or after sudden detachment of the vitreous from the retina. Post-traumatic macular holes can close spontaneously or may require vitreoretinal surgery. This paper aims to present the case of an 11-year-old boy with a macular hole following a ball injury. The child reported deterioration of visual acuity. Ophthalmic examination, ocular ultrasound, optical coherence tomography (OCT), perimetry, and a pattern visual evoked potential (VEP) test were performed. On the day of injury, the visual acuity of the right eye was 0.04 and intraocular pressure was 28 mmHg; the eyelid skin was reddened, and superficial conjunctival injection was observed. A fundus examination revealed oedema, pre-retinal haemorrhages, and a macular hole; peripheral retinal oedema in the superior temporal quadrant with pre-retinal haemorrhages was also seen. At the follow-up appointment scheduled 5 months following hospital discharge, visual acuity of the right eye was 0.3 and intraocular pressure was 20 mmHg. Follow-up OCT images of the OD macula were comparable to the findings obtained on the day of hospital discharge, i.e., 10 days after blunt trauma to the right eye. The left-eye OCT did not reveal any abnormalities. Full article
(This article belongs to the Section Medical Imaging and Theranostics)
Show Figures

Figure 1

9 pages, 736 KB  
Article
The Ellipsoid Zone Is a Structural Biomarker for Visual Outcomes in Diabetic Macular Edema and Macular Hole Management
by Shivani Chaturvedi, Amisha Paul, Samya Singh, Levent Akduman and Sandeep Saxena
Vision 2025, 9(1), 4; https://doi.org/10.3390/vision9010004 - 13 Jan 2025
Cited by 3 | Viewed by 2573
Abstract
Objectives: The goal was to study the ellipsoid zone (EZ) as a structural biomarker for final visual outcomes after pharmacological intervention in center-involving diabetic macular edema (DME) and surgical intervention for full-thickness macular holes (FTMHs). Methods: This was a tertiary care center-based retrospective [...] Read more.
Objectives: The goal was to study the ellipsoid zone (EZ) as a structural biomarker for final visual outcomes after pharmacological intervention in center-involving diabetic macular edema (DME) and surgical intervention for full-thickness macular holes (FTMHs). Methods: This was a tertiary care center-based retrospective study. After sample size calculations, data from 64 consecutive cases were collected, with subjects aged between 40 and 60 years. Thirty-two cases of DME with anti-vascular endothelial growth factor (VEGF) therapy and 32 cases of FTMHs with successful macular hole surgery (MHS) were studied. Spectral-domain optical coherence tomography (SD-OCT) data were collected. Measurements of EZ defects documented at the time of presentation and 12 weeks after intervention were analyzed using the caliper function of the machine. EZ restoration was graded, and a Pearson correlation analysis was performed. Results: Mean logMAR VA decreased after intravitreal therapy (IVT) from 1.12 ± 0.22 pre-intervention to 0.81 ± 0.41 post-intervention and after MHS, from 1.05 + 0.25 to 0.62 + 0.11 (p < 0.001). EZ disruption reduced from 73.4% to 19.4% after IVT and from 67% to 19.3% after MHS. DME and MHS postoperative visual acuity and residual EZ defect were observed to have a statistically significant linear correlation (r = 0.794, p < 0.001 and r = 0.894, p < 0.001, respectively). The EZ was found to be an excellent structural biomarker for final BCVA (area under curve = 0.95 for DME and 1.00 for MHS). Conclusion: Notable EZ restoration results were obtained from pharmacological and surgical interventions. The EZ proves to be a critical structural biomarker for predicting visual outcomes in center-involving DME and MHS. Full article
(This article belongs to the Section Retinal Function and Disease)
Show Figures

Figure 1

10 pages, 1799 KB  
Article
Macular Pigment Changes and Visual Recovery Following Successful Full-Thickness Macular Hole Closure Using the Inverted Flap Technique
by Michele Rinaldi, Nicola Galantuomo, Maria Laura Passaro, Gilda Cennamo, Flavia Chiosi and Ciro Costagliola
J. Clin. Med. 2025, 14(1), 290; https://doi.org/10.3390/jcm14010290 - 6 Jan 2025
Viewed by 1043
Abstract
Objectives: This study aimed to assess the role of macular pigment optical density (MPOD) in patients with a full-thickness macular hole (FTMH) compared to healthy controls, evaluating postoperative changes in MPOD and exploring potential correlations with visual outcomes. Methods: This prospective, [...] Read more.
Objectives: This study aimed to assess the role of macular pigment optical density (MPOD) in patients with a full-thickness macular hole (FTMH) compared to healthy controls, evaluating postoperative changes in MPOD and exploring potential correlations with visual outcomes. Methods: This prospective, cross-sectional, comparative study included 16 eyes from FTMH patients who achieved anatomical hole closure following pars plana vitrectomy with the inverted ILM flap technique. Each eye underwent a comprehensive ophthalmologic examination, including BCVA and intraocular pressure measurements, anterior segment evaluation, fundus examination, and macular assessment with Enhanced Depth Imaging Optical Coherence Tomography (EDI-OCT, Spectralis, Heidelberg Engineering Inc., Heidelberg, Germany). Macular pigment optical density (MPOD) was measured using one-wavelength reflectometry (Visucam 200, Zeiss Meditec, Jena, Germany). These evaluations were conducted preoperatively and at 1, 3, and 6 months postoperatively to assess changes over time and correlate MPOD with visual outcomes. Results: Significant baseline differences were observed between FTMH patients and controls for BCVA, mean MPOD, maximum MPOD, and MPOD volume (p < 0.05). Postoperative BCVA improved significantly (p = 0.0011), with a notable increase in MPOD volume at 6 months (p = 0.01). A positive correlation was found between BCVA improvement and MPOD volume increase (r = 0.739; p = 0.002). Conclusions: In conclusion, MPOD measurement may serve as a valuable addition to the follow-up of FTMH surgery, providing insights into photoreceptor function and macular metabolic activity, potentially correlating with visual recovery. Further longitudinal studies are needed to clarify its relationship with clinical variables, such as metamorphopsia and OCT microstructural findings. Full article
(This article belongs to the Section Ophthalmology)
Show Figures

Figure 1

13 pages, 2458 KB  
Article
Long-Term Results of Pars Plana Vitrectomy with Internal Limiting Membrane Peeling for Vitreomacular Traction Syndrome: A Prospective Investigation in Central Asian Population
by Gulnar Zhurgumbayeva, Dastan Kyrykbayev, Kairat Ruslanuly, Susanne Binder and Mukhit Kulmaganbetov
Healthcare 2025, 13(1), 44; https://doi.org/10.3390/healthcare13010044 - 30 Dec 2024
Cited by 1 | Viewed by 1688
Abstract
Background: There is a lack of research on the clinical characteristics of vitreomacular traction (VMT) in the Central Asian population, which evaluates the visual recovery and macular hole closure outcomes of pars plana vitrectomy (PPV) with membrane peel in this population. Methods: This [...] Read more.
Background: There is a lack of research on the clinical characteristics of vitreomacular traction (VMT) in the Central Asian population, which evaluates the visual recovery and macular hole closure outcomes of pars plana vitrectomy (PPV) with membrane peel in this population. Methods: This long-term prospective cohort study, conducted at the Kazakh Eye Research Institute from June 2015 to December 2021 with a follow-up period until December 2022, included 1574 patients (1784 eyes) with VMT syndrome. Among the eyes, 724 (40.58%) had VMT, 620 (34.75%) had a lamellar macular hole (LMH), and 440 (24.66%) had a full-thickness macular hole (FTMH). Results: The FTMH group consisted of small (≤250 μm) holes in 14 (3.2%) eyes, medium (250–400 μm) holes in 79 (17.9%) eyes, and large (>400 μm) holes in 347 (78.9%) eyes. Significant improvements in visual acuity, retinal thickness reduction, and macular hole closure were observed in 98.79% of patients with LMH and 81.14% of patients with FTMH at 1.5 months after surgery. PPV with membrane peel resulted in improved clinical outcomes, including enhanced visual acuity and macular structure. Conclusions: These findings support the existing research indicating the efficacy and relative safety of this surgical approach for VMT, despite the potential risks of postoperative complications. Full article
(This article belongs to the Special Issue Eye Care and Vision Health Beyond 20/20)
Show Figures

Figure 1

6 pages, 4767 KB  
Brief Report
Use of Cabbage Leaf Inverted Flap Technique in the Management of a Stage IV Full-Thickness Macular Hole
by Kristina J. Hartung, Fran Drnovšek and Xhevat Lumi
J. Clin. Med. 2024, 13(23), 7120; https://doi.org/10.3390/jcm13237120 - 25 Nov 2024
Viewed by 966
Abstract
Background: The purpose of this study was to evaluate the anatomical and visual outcomes of patients with stage IV full-thickness macular holes (FTMHs) treated by the cabbage leaf inverted internal limiting membrane (ILM) flap technique. Methods: We conducted a retrospective study, enrolling patients [...] Read more.
Background: The purpose of this study was to evaluate the anatomical and visual outcomes of patients with stage IV full-thickness macular holes (FTMHs) treated by the cabbage leaf inverted internal limiting membrane (ILM) flap technique. Methods: We conducted a retrospective study, enrolling patients with stage IV FTMH operated by a single surgeon. Six patients with FTMH and no other known ocular comorbidities were included in the study. Results: Four patients (66.6%) were female, two were male. The median age was 71. The average duration of symptoms before surgery was 10.5 months (6–24 months). The mean preoperative minimum hole diameter was 480 μm (337–602), and the mean basal hole size was 1208 μm (703–1748). The mean preoperative BCVA was 0.63 LogMAR. Postoperatively, the BCVA improved in 5 (83.3%) patients and remained the same in 1 (16.7%). The mean postoperative BCVA was 0.42 LogMAR (0.0–0.70). The FTMH has closed in all cases (100%). At the follow-up examination three months after the surgery, we observed complete closure of the FTMH with the restoration of retinal layers. Conclusions: This approach resulted in a complete closure of FTMH with significant visual acuity improvement. The technique could represent the surgical procedure of choice in the management of stage IV FTMH. Full article
(This article belongs to the Section Ophthalmology)
Show Figures

Figure 1

16 pages, 17310 KB  
Article
Machine Learning and Optical-Coherence-Tomography-Derived Radiomics Analysis to Predict the Postoperative Anatomical Outcome of Full-Thickness Macular Hole
by Yuqian Hu, Yongan Meng, Youling Liang, Yiwei Zhang, Biying Chen, Jianing Qiu, Zhishang Meng and Jing Luo
Bioengineering 2024, 11(9), 949; https://doi.org/10.3390/bioengineering11090949 - 22 Sep 2024
Cited by 1 | Viewed by 2095
Abstract
Full-thickness macular hole (FTMH) leads to central vision loss. It is essential to identify patients with FTMH at high risk of postoperative failure accurately to achieve anatomical closure. This study aimed to construct a predictive model for the anatomical outcome of FTMH after [...] Read more.
Full-thickness macular hole (FTMH) leads to central vision loss. It is essential to identify patients with FTMH at high risk of postoperative failure accurately to achieve anatomical closure. This study aimed to construct a predictive model for the anatomical outcome of FTMH after surgery. A retrospective study was performed, analyzing 200 eyes from 197 patients diagnosed with FTMH. Radiomics features were extracted from optical coherence tomography (OCT) images. Logistic regression, support vector machine (SVM), and backpropagation neural network (BPNN) classifiers were trained and evaluated. Decision curve analysis and survival analysis were performed to assess the clinical implications. Sensitivity, specificity, F1 score, and area under the receiver operating characteristic curve (AUC) were calculated to assess the model effectiveness. In the training set, the AUC values were 0.998, 0.988, and 0.995, respectively. In the test set, the AUC values were 0.941, 0.943, and 0.968, respectively. The OCT-omics scores were significantly higher in the “Open” group than in the “Closed” group and were positively correlated with the minimum diameter (MIN) and base diameter (BASE) of FTMH. Therefore, in this study, we developed a model with robust discriminative ability to predict the postoperative anatomical outcome of FTMH. Full article
(This article belongs to the Special Issue Recent Progress of Deep Learning in Healthcare)
Show Figures

Graphical abstract

Back to TopTop