Bilateral Simultaneous Full-Thickness Macular Holes: A Case Report with Spontaneous Resolution
Abstract
1. Introduction and Clinical Significance
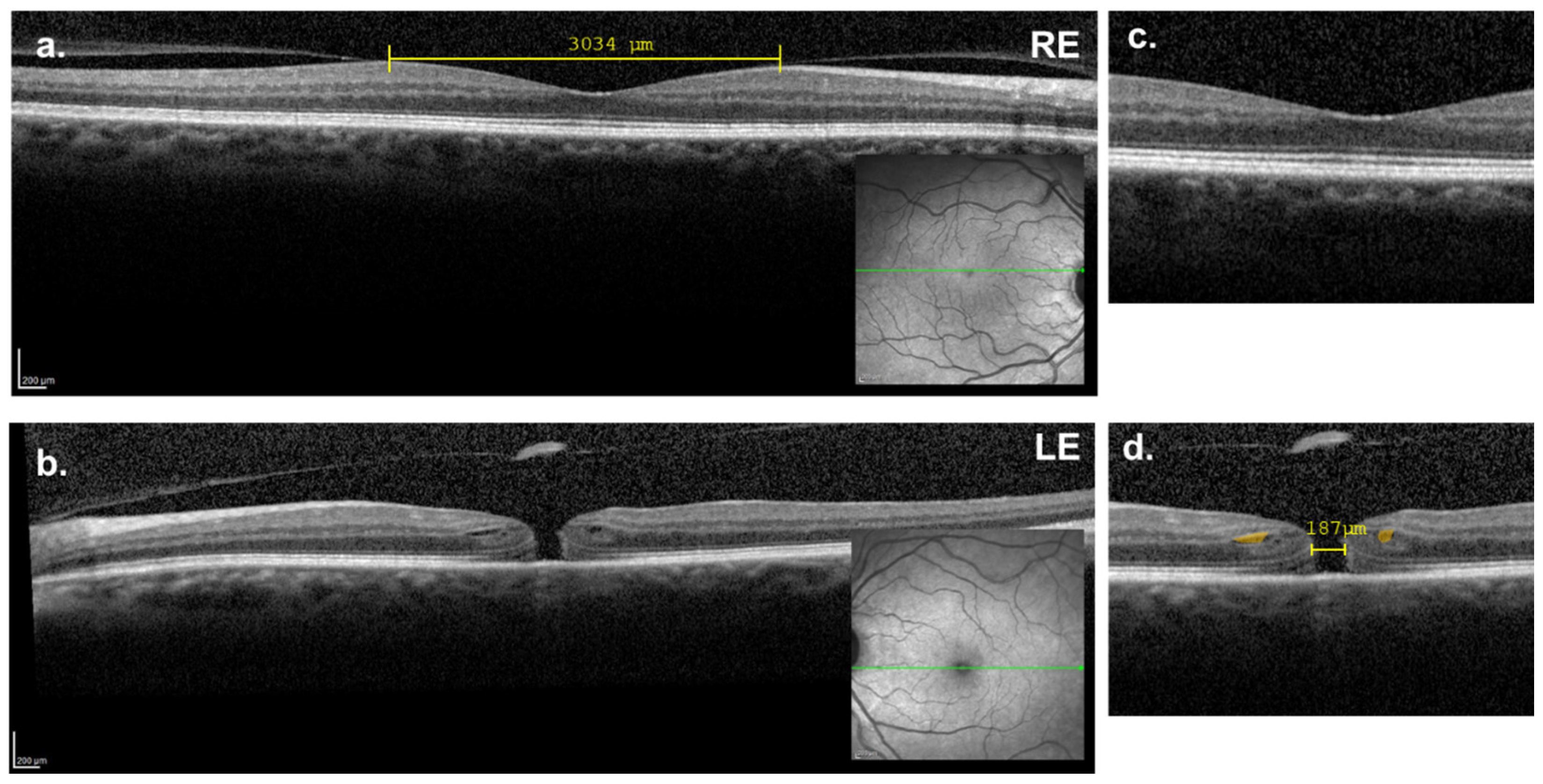
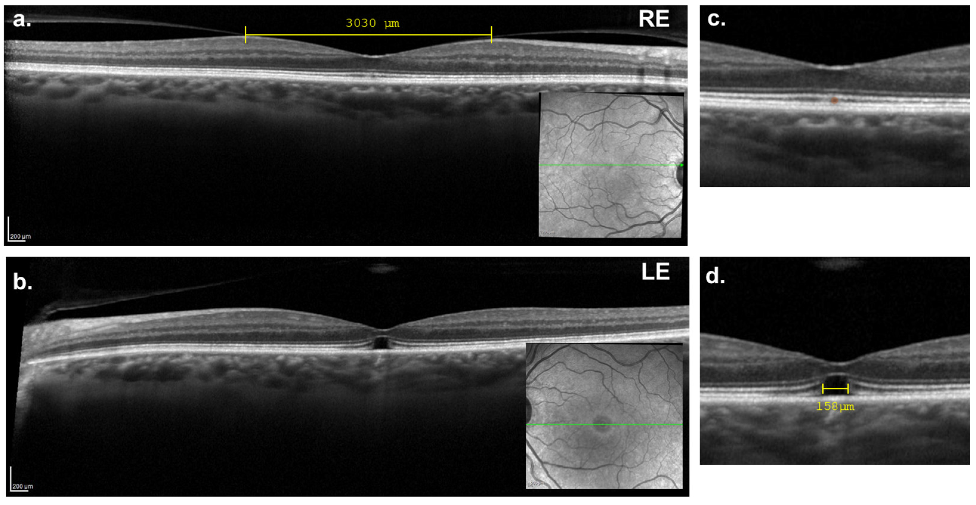
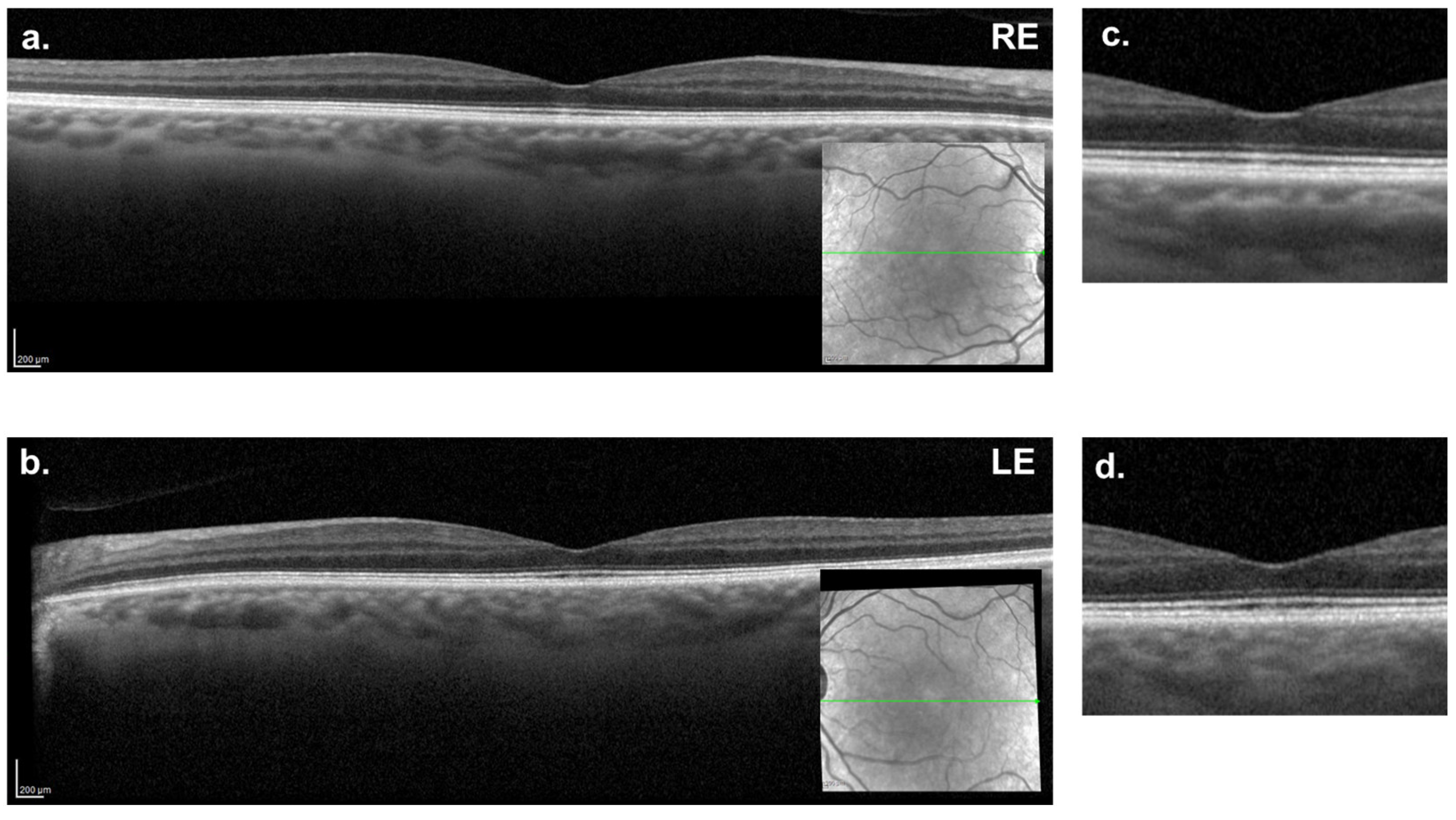
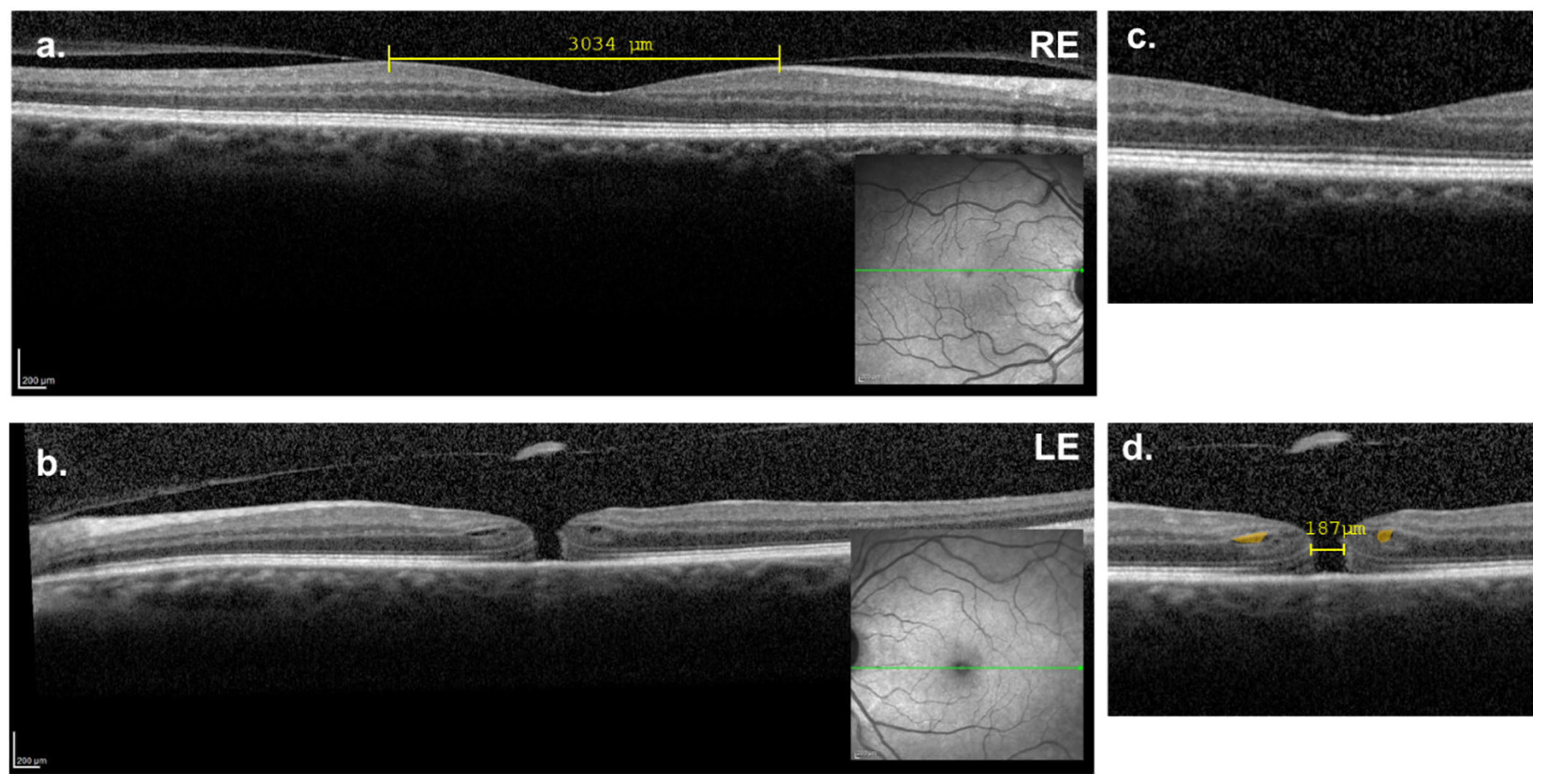
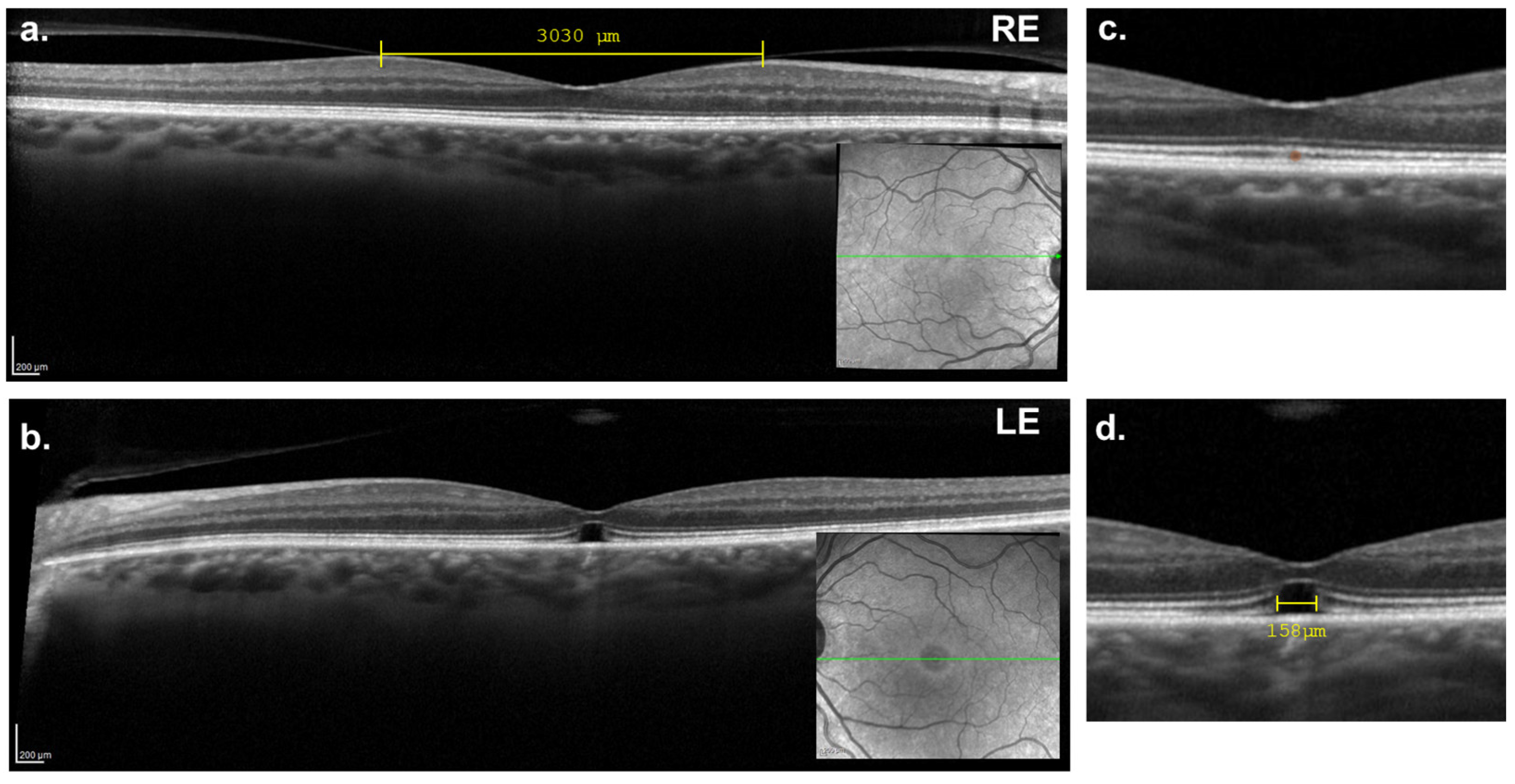
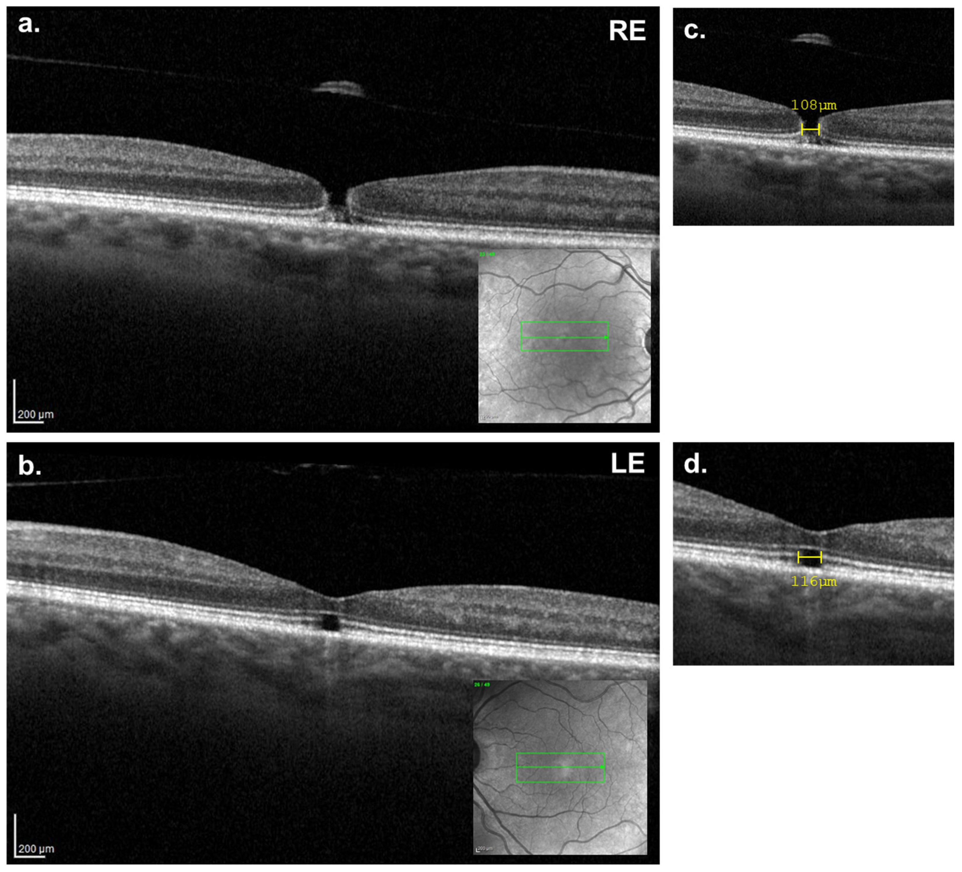
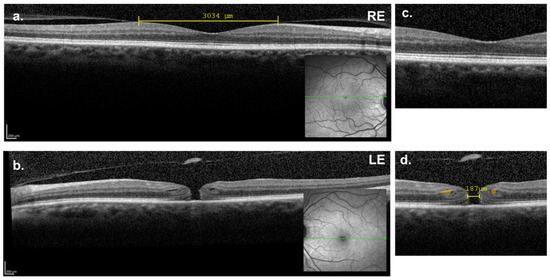
2. Case Presentation
3. Discussion
4. Conclusions
Author Contributions
Funding
Institutional Review Board Statement
Informed Consent Statement
Data Availability Statement
Conflicts of Interest
Abbreviations
| BCVA | Best-corrected visual acuity |
| ELM | External limiting membrane |
| FTMH | Full-thickness macular hole |
| HFL | Henle fiber layer |
| INL | Internal limiting membrane |
| IVMTS | International vitreomacular traction study |
| LE | Left eye |
| MH | Macular hole |
| OCT | Optical coherence tomography |
| ONL | Outer nuclear layer |
| OPL | Outer plexiform layer |
| RE | Right eye |
| VA | Visual acuity |
References
- Gass, J.D.M. Idiopathic Senile Macular Hole. Arch. Ophthalmol. 1988, 106, 629. [Google Scholar] [CrossRef] [PubMed]
- Darian-Smith, E.; Howie, A.R.; Allen, P.L.; Vote, B.J. Tasmanian macular hole study: Whole population-based incidence of full thickness macular hole. Clin. Exp. Ophthalmol. 2016, 44, 812–816. [Google Scholar] [CrossRef] [PubMed]
- McCannel, C.A.; Ensminger, J.L.; Diehl, N.N.; Hodge, D.N. Population-based Incidence of Macular Holes. Ophthalmology 2009, 116, 1366–1369. [Google Scholar] [CrossRef] [PubMed]
- Bikbova, G.; Oshitari, T.; Baba, T.; Yamamoto, S.; Mori, K. Pathogenesis and Management of Macular Hole: Review of Current Advances. J. Ophthalmol. 2019, 2019, 3467381. [Google Scholar] [CrossRef]
- Duker, J.S.; Kaiser, P.K.; Binder, S.; de Smet, M.D.; Gaudric, A.; Reichel, E.; Sadda, S.R.; Sebag, J.; Spaide, R.F.; Stalmans, P. The International Vitreomacular Traction Study Group Classification of Vitreomacular Adhesion, Traction, and Macular Hole. Ophthalmology 2013, 120, 2611–2619. [Google Scholar] [CrossRef]
- Parravano, M.; Giansanti, F.; Eandi, C.M.; Yap, Y.C.; Rizzo, S.; Virgili, G. Vitrectomy for idiopathic macular hole. Cochrane Database Syst. Rev. 2015, 2015, CD009080. [Google Scholar]
- Garg, A.; Ballios, B.G.; Yan, P. Spontaneous Closure of an Idiopathic Full-Thickness Macular Hole: A Literature Review. J. Vitr. Dis. 2022, 6, 381–390. [Google Scholar] [CrossRef]
- Neubauer, J.; Gelisken, F.; Ozturk, T.; Bartz-Schmidt, K.U.; Dimopoulos, S. The time course of spontaneous closure of idiopathic full-thickness macular holes. Graefe’s Arch. Clin. Exp. Ophthalmol. 2004, 262, 2859–2865. [Google Scholar]
- Ezra, E.; Gregor, Z.J. Surgery for Idiopathic Full-Thickness Macular Hole. Arch. Ophthalmol. 2004, 122, 224–236. [Google Scholar] [CrossRef]
- Toumi, E.; Guindolet, D.; Bonnin, S.; Bruneau, S.; Leflot, M.; Duvillier, A.; Lejoyeux, R.; Tadayoni, R. Visual outcomes after spontaneous and surgical closure of small idiopathic macular holes: A comparative study. Ophthalmologica 2024, 248, 22–28. [Google Scholar]
- Freeman, W.R.; Azen, S.P.; Kim, J.W.; El-Haig, W.; Mishell, D.R.; Bailey, I. Vitrectomy for the Treatment of Full-Thickness Stage 3 or 4 Macular Holes. Arch. Ophthalmol. 1997, 115, 11–21. [Google Scholar] [CrossRef] [PubMed]
- Lewis, M.L.; Cohen, S.M.; Smiddy, W.E.; Gass, J.D.M. Bilaterality of idiopathic macular holes. Graefe’s Arch. Clin. Exp. Ophthalmol. 1996, 234, 241–245. [Google Scholar] [CrossRef] [PubMed]
- Win, P.H.; Young, T.A. Spontaneous Macular Hole Closure in Bilateral Macular Holes. Semin. Ophthalmol. 2007, 22, 167–169. [Google Scholar] [CrossRef] [PubMed]
- Matsumiya, W.; Honda, S.; Imai, H.; Kusuhara, S.; Tsukahara, Y.; Negi, A.A. Case of Bilateral Macular Holes Showing Onset and Spontaneous Closure over Very Short Intervals. Case Rep. Ophthalmol. 2010, 1, 47–52. [Google Scholar] [CrossRef][Green Version]
- Gonzalez-Cortes, J.H.; Toledo-Negrete, J.J.; Bages-Rousselon, Y.; de Alba-Castilla, M.A.; Mohamed-Hamsho, J. Spontaneous closure of simultaneous idiopathic macular holes documented by spectral-domain optical co-herence tomography. Retin. Cases Brief. Rep. 2021, 15, 27–30. [Google Scholar] [CrossRef]
- Bringmann, A.; Duncker, T.; Jochmann, C.; Barth, T.; Duncker, G.I.W.; Wiedemann, P. Spontaneous closure of small full-thickness macular holes: Presumed role of Müller cells. Acta Ophthalmol. 2020, 98, E447–E456. [Google Scholar] [CrossRef]
- Choi, J.H.; Kim, K.T.; Kang, S.W.; Bae, K.; Lee, S.E.; Kim, A.Y. Development of idiopathic macular hole in fellow eyes. Retina 2020, 40, 765–772. [Google Scholar] [CrossRef]
- McDonnell, P.J.; Fine, S.L.; Hillis, A.I. Clinical Features of Idiopathic Macular Cysts and Holes. Arch. Ophthalmol. 1982, 93, 777–786. [Google Scholar] [CrossRef]
- Singh, S.; Saxena, S.; Meyer, C.H.; Chandra, A.; Akduman, L. Retinal photoreceptor ellipsoid zone is a structural biomarker for visual outcome after successful macular hole surgery: A novel grading system-based study. Indian J. Ophthalmol. 2025, 73 (Suppl. 1), S126–S131. [Google Scholar] [CrossRef]
- Inoue, M.; Arakawa, A.; Yamane, S.; Watanabe, Y.; Kadonosono, K. Long-term Outcome of Macular Microstructure Assessed by Optical Coherence Tomography in Eyes With Spontaneous Resolution of Macular Hole. Am. J. Ophthalmol. 2012, 153, 687–691. [Google Scholar] [CrossRef]
- Smiddy, W.E.; Flynn, H.W. Pathogenesis of macular holes and therapeutic implications. Am. J. Ophthalmol. 2004, 137, 525–537. [Google Scholar] [CrossRef]





Disclaimer/Publisher’s Note: The statements, opinions and data contained in all publications are solely those of the individual author(s) and contributor(s) and not of MDPI and/or the editor(s). MDPI and/or the editor(s) disclaim responsibility for any injury to people or property resulting from any ideas, methods, instructions or products referred to in the content. |
© 2025 by the authors. Licensee MDPI, Basel, Switzerland. This article is an open access article distributed under the terms and conditions of the Creative Commons Attribution (CC BY) license (https://creativecommons.org/licenses/by/4.0/).
Share and Cite
López-Bernal, I.; Sánchez Trancón, Á.; Serra, P. Bilateral Simultaneous Full-Thickness Macular Holes: A Case Report with Spontaneous Resolution. Reports 2025, 8, 40. https://doi.org/10.3390/reports8020040
López-Bernal I, Sánchez Trancón Á, Serra P. Bilateral Simultaneous Full-Thickness Macular Holes: A Case Report with Spontaneous Resolution. Reports. 2025; 8(2):40. https://doi.org/10.3390/reports8020040
Chicago/Turabian StyleLópez-Bernal, Isabel, Ángel Sánchez Trancón, and Pedro Serra. 2025. "Bilateral Simultaneous Full-Thickness Macular Holes: A Case Report with Spontaneous Resolution" Reports 8, no. 2: 40. https://doi.org/10.3390/reports8020040
APA StyleLópez-Bernal, I., Sánchez Trancón, Á., & Serra, P. (2025). Bilateral Simultaneous Full-Thickness Macular Holes: A Case Report with Spontaneous Resolution. Reports, 8(2), 40. https://doi.org/10.3390/reports8020040

