Sign in to use this feature.

Years

Between: -

Subjects

remove_circle_outline
remove_circle_outline
remove_circle_outline
remove_circle_outline
remove_circle_outline
remove_circle_outline
remove_circle_outline

Journals

Article Types

Countries / Regions

Search Results (17)

Search Parameters:
Keywords = enterokinase

Order results
Result details
Results per page
Select all
Export citation of selected articles as:
17 pages, 3143 KB  
Article
High Cell Density Fermentation Strategy for High-Level Soluble Expression of Glucagon-like Peptide-1 Analogue in Escherichia coli
by Sushmita R. Kumar, Esha Shukla and Gaurav Pandey
Fermentation 2026, 12(1), 53; https://doi.org/10.3390/fermentation12010053 - 16 Jan 2026
Viewed by 1458
Abstract
Glucagon-like peptide-1 (GLP-1) is an incretin hormone and therapeutic agent for Type II diabetes mellitus. However, recombinant production in E. coli yields insufficient quantities, increasing manufacturing costs and limiting patient access. Improving yield and productivity is crucial to make GLP-1 treatments more affordable. [...] Read more.
Glucagon-like peptide-1 (GLP-1) is an incretin hormone and therapeutic agent for Type II diabetes mellitus. However, recombinant production in E. coli yields insufficient quantities, increasing manufacturing costs and limiting patient access. Improving yield and productivity is crucial to make GLP-1 treatments more affordable. An optimized bioprocess was developed to enhance the yield of recombinant GLP-1 (rGLP-1) analogues. Expression constructs encoding monomeric and concatemeric GLP-1 fused to GST were designed. Batch fermentations of these clones at varying pre-induction specific growth rates guided the fed-batch strategy for yield enhancement. The specific yield of monomer construct exhibited higher yields than the concatemer. Process optimization achieved a specific yield (Yp/x) of 116.7 mg/g, a dry cell weight of 88.9 g/L, and a volumetric yield of 10.3 g/L. The specific productivity of soluble rGLP-1 reached 0.4 g/L/h. Purification via affinity chromatography and enterokinase cleavage yielded authentic GLP-1 peptide confirmed by Western blot and mass spectrometry. The developed high-yield fermentation process significantly enhances rGLP-1 productivity in E. coli, potentially reducing upstream production costs by 20–30% and enabling wider accessibility to affordable GLP-1 therapies. Full article
Show Figures

Figure 1

17 pages, 5057 KB  
Article
Insight into the Probiogenomic Potential of Enterococcus faecium BGPAS1-3 and Application of a Potent Thermostable Bacteriocin
by Nikola Popović, Katarina Veljović, Dušan Radojević, Emilija Brdarić, Dušan Stevanović, Milica Živković and Milan Kojić
Foods 2024, 13(16), 2637; https://doi.org/10.3390/foods13162637 - 22 Aug 2024
Cited by 6 | Viewed by 2711
Abstract
This study aimed to investigate the probiogenomic features of artisanal bacteriocin-producing Enterococcus faecium BGPAS1-3 and the use of the improved pMALc5HisEk expression vector for overexpressing class II bacteriocins and the application of purified bacteriocin 31 in a milk model as a preservative against [...] Read more.
This study aimed to investigate the probiogenomic features of artisanal bacteriocin-producing Enterococcus faecium BGPAS1-3 and the use of the improved pMALc5HisEk expression vector for overexpressing class II bacteriocins and the application of purified bacteriocin 31 in a milk model as a preservative against L. monocytogenes. The BGPAS1-3 strain was isolated from traditional fresh soft cheese manufactured in households on a small scale in rural locations surrounding Pale Mountain City in Bosnia and Herzegovina. The whole-genome sequencing approach and bioinformatics analyses revealed that the strain BGPAS1-3 was non-pathogenic to humans. The presence of bacteriocin operons suggested the ability of the isolate to suppress the growth of pathogens. Coding regions for three maturated bacteriocins (bacteriocin 31, bacteriocin 32, and enterocin P) produced by BGPAS1-3 were amplified and expressed in Escherichia coli ER2523 using the pMALc5HisEk system. All three bacteriocins were successfully overexpressed and purified after enterokinase cleavage but showed different antimicrobial activity. Bacteriocin 31 showed significantly stronger antimicrobial activity compared with bacteriocin 32. It was the only one that proved to be suitable for use as a food preservative against L. monocytogenes in a milk model. Full article
(This article belongs to the Special Issue Lactic Acid Bacteria: The Functions and Applications in Foods)
Show Figures

Figure 1

11 pages, 1692 KB  
Article
Electrochemical Impedance Spectroscopy for the Sensing of the Kinetic Parameters of Engineered Enzymes
by Adriána Dusíková, Timea Baranová, Ján Krahulec, Olívia Dakošová, Ján Híveš, Monika Naumowicz and Miroslav Gál
Sensors 2024, 24(8), 2643; https://doi.org/10.3390/s24082643 - 20 Apr 2024
Cited by 1 | Viewed by 2618
Abstract
The study presents a promising approach to enzymatic kinetics using Electrochemical Impedance Spectroscopy (EIS) to assess fundamental parameters of modified enteropeptidases. Traditional methods for determining these parameters, while effective, often lack versatility and convenience, especially under varying environmental conditions. The use of EIS [...] Read more.
The study presents a promising approach to enzymatic kinetics using Electrochemical Impedance Spectroscopy (EIS) to assess fundamental parameters of modified enteropeptidases. Traditional methods for determining these parameters, while effective, often lack versatility and convenience, especially under varying environmental conditions. The use of EIS provides a novel approach that overcomes these limitations. The enteropeptidase underwent genetic modification through the introduction of single amino acid modifications to assess their effect on enzyme kinetics. However, according to the one-sample t-test results, the difference between the engineered enzymes and hEKL was not statistically significant by conventional criteria. The kinetic parameters were analyzed using fluorescence spectroscopy and EIS, which was found to be an effective tool for the real-time measurement of enzyme kinetics. The results obtained through EIS were not significantly different from those obtained through traditional fluorescence spectroscopy methods (p value >> 0.05). The study validates the use of EIS for measuring enzyme kinetics and provides insight into the effects of specific amino acid changes on enteropeptidase function. These findings have potential applications in biotechnology and biochemical research, suggesting a new method for rapidly assessing enzymatic activity. Full article
(This article belongs to the Special Issue Electrochemical Sensors: Technologies and Applications)
Show Figures

Figure 1

13 pages, 21447 KB  
Article
Production of Mature Recombinant Human Activin A in Transgenic Rice Cell Suspension Culture
by Van Giap Do and Moon-Sik Yang
Curr. Issues Mol. Biol. 2024, 46(2), 1164-1176; https://doi.org/10.3390/cimb46020074 - 30 Jan 2024
Cited by 3 | Viewed by 3504
Abstract
Activin A belongs to the transforming growth factor (TGF) family member, which exhibits a wide range of biological activities, including the regulation of cellular proliferation and differentiation and the promotion of neuronal survival. The isolation of AA from natural sources can only produce [...] Read more.
Activin A belongs to the transforming growth factor (TGF) family member, which exhibits a wide range of biological activities, including the regulation of cellular proliferation and differentiation and the promotion of neuronal survival. The isolation of AA from natural sources can only produce limited quantities of this bioactive protein. In this study, the whole gene of the precursor form of recombinant human activin A (rhAA) contains a signal peptide, and a pro-region and a mature region were cloned into an expression vector under the control of the rice α-amylase 3D (RAmy3D) promoter. To obtain the mature (active) form of rhAA, an enterokinase cleavage site was inserted between the pro-region and mature region of rhAA. The rice seed (Oryza sativa L. cv. Dongjin) was transformed with recombinant vectors by the Agrobacterium-mediated method, and the integration of the target gene into the plant genome was confirmed by genomic PCR. The transcript expression of rhAA in transgenic rice calli was confirmed by a Northern blot analysis of mRNA. The production of rhAA was verified by Western blot analysis and ELISA. The accumulation of secreted rhAA in the culture medium was purified by Ni2+—NTA. The mature form of AA was released from the precursor form of rhAA after proteolytically processing with enterokinase. Western blot shows that the mature AA was split into monomer and homodimer with molecular weights of 14 kDa and 28 kDa under reducing and non-reducing conditions, respectively. These results suggest that the mature form of rhAA could be produced and purified using transgenic rice cell suspension culture. Full article
(This article belongs to the Special Issue Molecular Research in Bioactivity of Natural Products)
Show Figures

Figure 1

16 pages, 12525 KB  
Article
High-Yield Preparation of American Oyster Defensin (AOD) via a Small and Acidic Fusion Tag and Its Functional Characterization
by Qingyi Zhao, Na Yang, Xinxi Gu, Yuanyuan Li, Da Teng, Ya Hao, Haiqiang Lu, Ruoyu Mao and Jianhua Wang
Mar. Drugs 2024, 22(1), 8; https://doi.org/10.3390/md22010008 - 20 Dec 2023
Cited by 4 | Viewed by 2951
Abstract
The marine peptide, American oyster defensin (AOD), is derived from Crassostrea virginica and exhibits a potent bactericidal effect. However, recombinant preparation has not been achieved due to the high charge and hydrophobicity. Although the traditional fusion tags such as Trx and SUMO shield [...] Read more.
The marine peptide, American oyster defensin (AOD), is derived from Crassostrea virginica and exhibits a potent bactericidal effect. However, recombinant preparation has not been achieved due to the high charge and hydrophobicity. Although the traditional fusion tags such as Trx and SUMO shield the effects of target peptides on the host, their large molecular weight (12–20 kDa) leads to the yields lower than 20% of the fusion protein. In this study, a short and acidic fusion tag was employed with a compact structure of only 1 kDa. Following 72 h of induction in a 5 L fermenter, the supernatant exhibited a total protein concentration of 587 mg/L. The recombinant AOD was subsequently purified through affinity chromatography and enterokinase cleavage, resulting in the final yield of 216 mg/L and a purity exceeding 93%. The minimum inhibitory concentrations (MICs) of AOD against Staphylococcus aureus, Staphylococcus epidermidis, and Streptococcus galactis ranged from 4 to 8 μg/mL. Moreover, time-killing curves indicated that AOD achieved a bactericidal rate of 99.9% against the clinical strain S. epidermidis G-81 within 0.5 h at concentrations of 2× and 4× MIC. Additionally, the activity of AOD was unchanged after treatment with artificial gastric fluid and intestinal fluid for 4 h. Biocompatibility testing demonstrated that AOD, at a concentration of 128 μg/mL, exhibited a hemolysis rate of less than 0.5% and a cell survival rate of over 83%. Furthermore, AOD’s in vivo therapeutic efficacy against mouse subcutaneous abscess revealed its capability to restrain bacterial proliferation and reduce bacterial load, surpassing that of antibiotic lincomycin. These findings indicate AOD’s potential for clinical usage. Full article
Show Figures

Figure 1

9 pages, 1795 KB  
Article
The Small Metal-Binding Protein SmbP Improves the Expression and Purification of the Recombinant Antitumor-Analgesic Peptide from the Chinese Scorpion Buthus martensii Karsch in Escherichia coli
by Evelyn Martinez-Mora, Eder Arredondo-Espinoza, Nestor G. Casillas-Vega, Maria Elena Cantu-Cardenas, Isaias Balderas-Renteria and Xristo Zarate
Curr. Issues Mol. Biol. 2022, 44(2), 550-558; https://doi.org/10.3390/cimb44020038 - 22 Jan 2022
Cited by 2 | Viewed by 3812
Abstract
We have recently shown that SmbP, the small metal-binding protein of Nitrosomonas europaea, can be employed as a fusion protein to express and purify recombinant proteins and peptides in Escherichia coli. SmbP increases solubility, allows simple, one-step purification through affinity chromatography, [...] Read more.
We have recently shown that SmbP, the small metal-binding protein of Nitrosomonas europaea, can be employed as a fusion protein to express and purify recombinant proteins and peptides in Escherichia coli. SmbP increases solubility, allows simple, one-step purification through affinity chromatography, and provides superior final yields due to its low molecular weight. In this work, we report for the first time the use of SmbP to produce a recombinant peptide with anticancer activity: the antitumor-analgesic peptide (BmK-AGAP), a neurotoxin isolated from the venom of the Chinese scorpion Buthus martensii Karsch. This peptide was expressed in Escherichia coli SHuffle for correct, cytoplasmic, disulfide bond formation and tagged with SmbP at the N-terminus to improve its solubility and allow purification using immobilized metal affinity chromatography. SmbP_BmK-AGAP was found in the soluble fraction of the cell lysate. After purification and removal of SmbP by digestion with enterokinase, 1.8 mg of pure and highly active rBmK-AGAP was obtained per liter of cell culture. rBmK-AGAP exhibited antiproliferative activity on the MCF-7 cancer cell line, with a half-maximal inhibitory concentration value of 7.24 μM. Based on these results, we considered SmbP to be a suitable carrier protein for the production of recombinant, biologically active BmK-AGAP. We propose that SmbP should be an attractive fusion protein for the expression and purification of additional recombinant proteins or peptides that display anticancer activities. Full article
(This article belongs to the Section Molecular Medicine)
Show Figures

Figure 1

9 pages, 2046 KB  
Article
The Small Metal-Binding Protein SmbP Simplifies the Recombinant Expression and Purification of the Antimicrobial Peptide LL-37
by David A. Perez-Perez, Teresa de J. Villanueva-Ramirez, Adriana E. Hernandez-Pedraza, Nestor G. Casillas-Vega, Patricia Gonzalez-Barranco and Xristo Zarate
Antibiotics 2021, 10(10), 1271; https://doi.org/10.3390/antibiotics10101271 - 19 Oct 2021
Cited by 9 | Viewed by 4168
Abstract
(1) Background: The cathelicidin peptide LL-37 is a prominent molecule with many biological activities, including antimicrobial. Due to its importance, here, we describe the production of LL-37 tagged with SmbP, a relatively new carrier protein that improves the production of recombinant proteins and [...] Read more.
(1) Background: The cathelicidin peptide LL-37 is a prominent molecule with many biological activities, including antimicrobial. Due to its importance, here, we describe the production of LL-37 tagged with SmbP, a relatively new carrier protein that improves the production of recombinant proteins and peptides in Escherichia coli. We present an alternative method for the rapid expression, purification, and antimicrobial evaluation of LL-37, that involves only one purification step. (2) Methods: A DNA construct of SmbP_LL-37 was transformed into E. coli BL21(DE3); after overnight expression, the protein was purified directly from the cell lysate using immobilized metal-affinity chromatography. SmbP_LL-37 was treated with Enterokinase to obtain the free LL-37 peptide. The antimicrobial activity of both SmbP_LL-37 and free LL-37 was determined using the colony forming unit assay method. (3) Results: SmbP_LL-37 was observed in the soluble fraction of the cell lysate; after purification with IMAC, protein gel electrophoresis, and analysis by ImageJ, it showed 90% purity. A total of 3.6 mg of SmbP_LL-37 was produced from one liter of cell culture. SmbP_LL-37 and free LL-37 both showed inhibition activity against Staphylococcus aureus and Escherichia coli. (4) Conclusions: The SmbP fusion protein is a valuable tool for producing biologically-active LL-37 peptide. The production method described here should be of interest for the expression and purification of additional cationic peptides, since it cuts the purification time considerably prior to determination of antimicrobial activity. Full article
Show Figures

Figure 1

28 pages, 2217 KB  
Review
Both Full-Length and Protease-Cleaved Products of Osteopontin Are Elevated in Infectious Diseases
by Toshio Hattori, Hiroko Iwasaki-Hozumi, Gaowa Bai, Haorile Chagan-Yasutan, Ashwnini Shete, Elizabeth Freda Telan, Atsushi Takahashi, Yugo Ashino and Takashi Matsuba
Biomedicines 2021, 9(8), 1006; https://doi.org/10.3390/biomedicines9081006 - 13 Aug 2021
Cited by 24 | Viewed by 5348
Abstract
Circulating full-length osteopontin (FL-OPN) is elevated in plasma from patients with various infectious diseases, such as adult T-cell leukemia, Mycobacterium tuberculosis (TB), hepatitis virus infection, leptospirosis, acquired immune deficiency syndrome (AIDS), AIDS/TB, and coronavirus disease 2019 (COVID-19). Proteolysis of OPN by thrombin, matrix [...] Read more.
Circulating full-length osteopontin (FL-OPN) is elevated in plasma from patients with various infectious diseases, such as adult T-cell leukemia, Mycobacterium tuberculosis (TB), hepatitis virus infection, leptospirosis, acquired immune deficiency syndrome (AIDS), AIDS/TB, and coronavirus disease 2019 (COVID-19). Proteolysis of OPN by thrombin, matrix metalloproteases, caspase 8/3, cathepsin D, plasmin, and enterokinase generates various cleaved OPNs with a variety of bioactivities by binding to different target cells. Moreover, OPN is susceptible to gradual proteolysis. During inflammation, one of the cleaved fragments, N-terminal thrombin-cleaved OPN (trOPN or OPN-Arg168 [OPN-R]), induces dendritic cell (DC) adhesion. Further cleavage by carboxypeptidase B2 or carboxypeptidase N removes Arg168 from OPN-R to OPN-Leu167 (OPN-L). Consequently, OPN-L decreases DC adhesion. In particular, the differences in plasma level over time are observed between FL-OPN and its cleaved OPNs during inflammation. We found that the undefined OPN levels (mixture of FL-OPN and cleaved OPN) were elevated in plasma and reflected the pathology of TB and COVID-19 rather than FL-OPN. These infections are associated with elevated levels of various proteases. Inhibition of the cleavage or the activities of cleaved products may improve the outcome of the therapy. Research on the metabolism of OPN is expected to create new therapies against infectious diseases. Full article
(This article belongs to the Special Issue 30 Years of OPN Milestones and Future Avenues)
Show Figures

Figure 1

24 pages, 7639 KB  
Article
Enhanced Antifibrinolytic Efficacy of a Plasmin-Specific Kunitz-Inhibitor (60-Residue Y11T/L17R with C-Terminal IEK) of Human Tissue Factor Pathway Inhibitor Type-2 Domain1
by Kanagasabai Vadivel, Anne K. Zaiss, Yogesh Kumar, Frank M. Fabian, Ayman E. A. Ismail, Mark A. Arbing, Wallace G. Buchholz, William H. Velander and S. Paul Bajaj
J. Clin. Med. 2020, 9(11), 3684; https://doi.org/10.3390/jcm9113684 - 17 Nov 2020
Cited by 2 | Viewed by 2978
Abstract
Current antifibrinolytic agents reduce blood loss by inhibiting plasmin active sites (e.g., aprotinin) or by preventing plasminogen/tissue plasminogen activator (tPA) binding to fibrin clots (e.g., ε-aminocaproic acid and tranexamic acid); however, they have adverse side effects. Here, we expressed 60-residue (NH2NAE…IEK [...] Read more.
Current antifibrinolytic agents reduce blood loss by inhibiting plasmin active sites (e.g., aprotinin) or by preventing plasminogen/tissue plasminogen activator (tPA) binding to fibrin clots (e.g., ε-aminocaproic acid and tranexamic acid); however, they have adverse side effects. Here, we expressed 60-residue (NH2NAE…IEKCOOH) Kunitz domain1 (KD1) mutants of human tissue factor pathway inhibitor type-2 that inhibit plasmin as well as plasminogen activation. A single (KD1-L17R-KCOOH) and a double mutant (KD1-Y11T/L17R- KCOOH) were expressed in Escherichia coli as His-tagged constructs, each with enterokinase cleavage sites. KD1-Y11T/L17R-KCOOH was also expressed in Pichia pastoris. KD1-Y11T/L17R-KCOOH inhibited plasmin comparably to aprotinin and bound to the kringle domains of plasminogen/plasmin and tPA with Kd of ~50 nM and ~35 nM, respectively. Importantly, compared to aprotinin, KD1-L17R-KCOOH and KD1-Y11T/L17R-KCOOH did not inhibit kallikrein. Moreover, the antifibrinolytic potential of KD1-Y11T/L17R-KCOOH was better than that of KD1-L17R-KCOOH and similar to that of aprotinin in plasma clot-lysis assays. In thromboelastography experiments, KD1-Y11T/L17R-KCOOH was shown to inhibit fibrinolysis in a dose dependent manner and was comparable to aprotinin at a higher concentration. Further, KD1-Y11T/L17R-KCOOH did not induce cytotoxicity in primary human endothelial cells or fibroblasts. We conclude that KD1-Y11T/L17R-KCOOH is comparable to aprotinin, the most potent known inhibitor of plasmin and can be produced in large amounts using Pichia. Full article
(This article belongs to the Special Issue Thrombosis, Blood Clotting and Vascular Biology)
Show Figures

Figure 1

14 pages, 4214 KB  
Article
α-Conotoxin as Potential to α7-nAChR Recombinant Expressed in Escherichia coli
by Yanli Liu, Yifeng Yin, Yunyang Song, Kang Wang, Fanghui Wu and Hui Jiang
Mar. Drugs 2020, 18(8), 422; https://doi.org/10.3390/md18080422 - 12 Aug 2020
Cited by 7 | Viewed by 4245
Abstract
α7 nicotinic acetylcholine receptors (nAChR) is an important nicotinic acetylcholine receptors subtype and closely associated with cognitive disorders, such as Alzheimer’s and schizophrenia disease. The mutant ArIB (V11L, V16A) of α-conotoxin ArIB with 17-amino acid residues specifically targets α7 nAChR with no obvious [...] Read more.
α7 nicotinic acetylcholine receptors (nAChR) is an important nicotinic acetylcholine receptors subtype and closely associated with cognitive disorders, such as Alzheimer’s and schizophrenia disease. The mutant ArIB (V11L, V16A) of α-conotoxin ArIB with 17-amino acid residues specifically targets α7 nAChR with no obvious effect on other nAChR subtypes. In the study, the synthetic gene encoding mature peptide of ArIB and mutant ArIB (V11L, V16A) carried a fusion protein Trx and 6 × His-tag was separately inserted in pET-32a (+) vector and transformed into Escherichia coli strain BL21(DE3) pLysS for expression. The expressions of Trx-ArIB-His6 and Trx-ArIB (V11L, V16A)-His6 were soluble in Escherichia coli, which were purified by Ni-NTA affinity chromatography column and cleaved by enterokinase to release rArIB and rArIB (V11L, V16A). Then, rArIB and rArIB (V11L, V16A) were purified by high-performance liquid chromatography (HPLC) and identified by matrix-assisted laser desorption ionization-time of flight mass spectrometry (MALDI-TOF MS). Bioactivity of rArIB and rArIB (V11L, V16A) was assessed by two-electrode voltage-clamp electrophysiology in Xenopus laevis oocytes expressing human nAChR subtypes. The results indicated that the yield of the fusion proteins was approximately 50 mg/L and rArIB (V11L, V16A) antagonized the α7 nAChR subtype selectively with 8-nM IC50. In summary, this study provides an efficient method to biosynthesize α-conotoxin ArIB and rArIB (V11L, V16A) in Escherichia coli, which could be economical to obtain massively bioactive disulfide-rich polypeptides at fast speed. Full article
Show Figures

Figure 1

17 pages, 3146 KB  
Article
A Recombinant Snake Cathelicidin Derivative Peptide: Antibiofilm Properties and Expression in Escherichia coli
by Mercedeh Tajbakhsh, Maziar Mohammad Akhavan, Fatemeh Fallah and Abdollah Karimi
Biomolecules 2018, 8(4), 118; https://doi.org/10.3390/biom8040118 - 22 Oct 2018
Cited by 20 | Viewed by 5580
Abstract
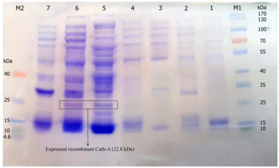
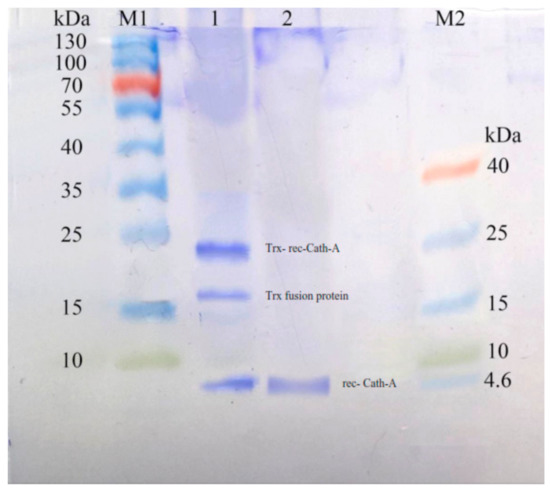
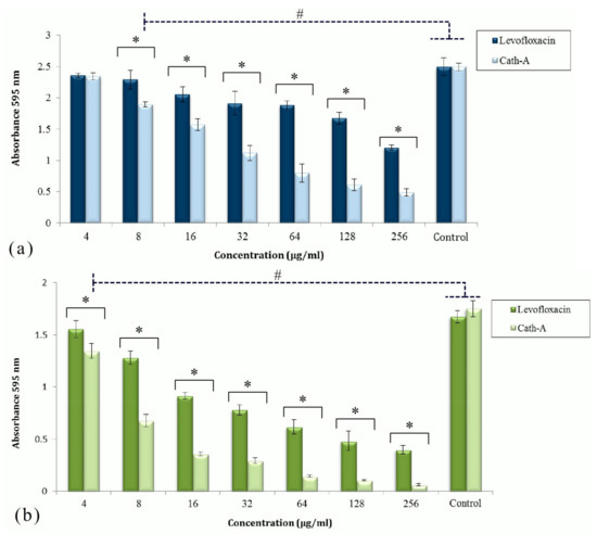
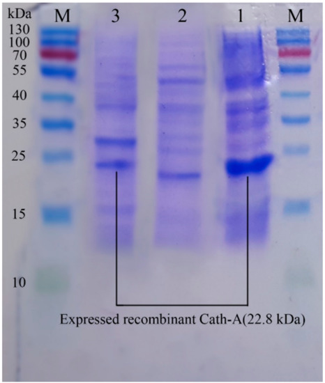
The emergence of antimicrobial resistance among pathogenic microorganisms has been led to an urgent need for antibiotic alternatives. Antimicrobial peptides (AMPs) have been introduced as promising therapeutic agents because of their remarkable potentials. A new modified cathelicidin-BF peptide (Cath-A) with 34 amino acid [...] Read more.
The emergence of antimicrobial resistance among pathogenic microorganisms has been led to an urgent need for antibiotic alternatives. Antimicrobial peptides (AMPs) have been introduced as promising therapeutic agents because of their remarkable potentials. A new modified cathelicidin-BF peptide (Cath-A) with 34 amino acid sequences, represents the potential antimicrobial effects against methicillin-resistant Staphylococcus aureus (MRSA) with slight hemolytic and cytotoxic activities on eukaryotic cells. In this study, the effects of Cath-A on Acinetobacter baumannii, and Pseudomonas aeruginosa isolated from medical instruments were studied. Cath-A inhibited the growth of bacterial cells in the range of 8–16 μg/mL and 16-≥256 μg/mL for A. baumannii and P. aeruginosa, respectively. The peptide significantly removed the established biofilms. To display a representative approach for the cost-effective constructions of peptides, the recombinant Cath-A was cloned in the expression vector pET-32a(+) and transformed to Escherichia coli BL21. The peptide was expressed with a thioredoxin (Trx) sequence in optimum conditions. The recombinant peptide was purified with a Ni2+ affinity chromatography and the mature peptide was released after removing the Trx fusion protein with enterokinase. The final concentration of the partially purified peptide was 17.6 mg/L of a bacterial culture which exhibited antimicrobial activities. The current expression and purification method displayed a fast and effective system to finally produce active Cath-A for further in-vitro study usage. Full article
Show Figures

Figure 1

12 pages, 2365 KB  
Article
Anti-Neuroblastoma Properties of a Recombinant Sunflower Lectin
by Marcela Pinedo, Melanie Genoula, María Ximena Silveyra, André De Oliveira Carvalho, Mariana Regente, Marianela Del Río, Júlia Ribeiro Soares, Valdirene Moreira Gomes and Laura De La Canal
Int. J. Mol. Sci. 2017, 18(1), 92; https://doi.org/10.3390/ijms18010092 - 10 Jan 2017
Cited by 1 | Viewed by 6602
Abstract
According to their sugar recognition specificity, plant lectins are proposed as bioactive proteins with potential in cancer treatment and diagnosis. Helja is a mannose-specific jacalin-like lectin from sunflower which was shown to inhibit the growth of certain fungi. Here, we report its recombinant [...] Read more.
According to their sugar recognition specificity, plant lectins are proposed as bioactive proteins with potential in cancer treatment and diagnosis. Helja is a mannose-specific jacalin-like lectin from sunflower which was shown to inhibit the growth of certain fungi. Here, we report its recombinant expression in a prokaryotic system and its activity in neurobalstoma cells. Helja coding sequence was fused to the pET-32 EK/LIC, the enterokinase/Ligation-independent cloning vector and a 35 kDa protein was obtained in Escherichia coli representing Helja coupled to thioredoxin (Trx). The identity of this protein was verified using anti-Helja antibodies. This chimera, named Trx-rHelja, was enriched in the soluble bacterial extracts and was purified using Ni+2-Sepharose and d-mannose-agarose chromatography. Trx-rHelja and the enterokinase-released recombinant Helja (rHelja) both displayed toxicity on human SH-SY5Y neuroblastomas. rHelja decreased the viability of these tumor cells by 75% according to the tetrazolium reduction assay, and microscopic analyses revealed that the cell morphology was disturbed. Thus, the stellate cells of the monolayer became spheroids and were isolated. Our results indicate that rHelja is a promising tool for the development of diagnostic or therapeutic methods for neuroblastoma cells, the most common solid tumors in childhood. Full article
(This article belongs to the Special Issue Plant Lectins: From Model Species to Crop Plants)
Show Figures

Figure 1

11 pages, 2150 KB  
Article
Expression, Purification and Antibacterial Activity of NK-Lysin Mature Peptides from the Channel Catfish (Ictalurus punctatus)
by Shurui Cai, Jun Wang, Kaiyu Wang, Defang Chen, Xiaowei Dong, Tao Liu, Yukun Zeng, Xingli Wang and Dongmei Wu
Appl. Sci. 2016, 6(9), 240; https://doi.org/10.3390/app6090240 - 26 Aug 2016
Cited by 23 | Viewed by 7135
Abstract
Antimicrobial peptides (AMPs) are small peptides and play important roles in host innate immune response against microbial invasion. Aquatic animals secrete different kinds of antimicrobial peptides which have antimicrobial activity towards microorganisms. NK-lysins, mature peptides produced by cytotoxic T lymphocytes and natural killer [...] Read more.
Antimicrobial peptides (AMPs) are small peptides and play important roles in host innate immune response against microbial invasion. Aquatic animals secrete different kinds of antimicrobial peptides which have antimicrobial activity towards microorganisms. NK-lysins, mature peptides produced by cytotoxic T lymphocytes and natural killer cells, are comprised of 74–78 amino acid residues, demonstrating broad-spectrum antimicrobial activity against bacteria, fungi, protozoa, and parasites. In this study, three distinct NK-lysin mature peptide (mNKLs), transcripts (76 amino acid residues) cloned from the channel catfish (Ictalurus punctatus) head kidney were ligated into plasmid vector pET-32a(+) to express the mNKLs fusion protein. The fusion protein was successfully expressed in E. coli Rosetta (DE3) under optimized conditions. After purification by affinity column chromatography, the fusion protein was successfully cleaved by enterokinase and released the peptide mNKLs. Tricine-SDS-PAGE results showed that mNKLs (approximately 8.6 kDa) were successfully expressed. The purified peptide mNKLs exhibited antibacterial activity against Staphylococcus aureus and E. coli. Full article
Show Figures

Graphical abstract

12 pages, 1964 KB  
Article
Characterization and Recombinant Expression of Terebrid Venom Peptide from Terebra guttata
by John Moon, Juliette Gorson, Mary Elizabeth Wright, Laurel Yee, Samer Khawaja, Hye Young Shin, Yasmine Karma, Rajeeva Lochan Musunri, Michelle Yun and Mande Holford
Toxins 2016, 8(3), 63; https://doi.org/10.3390/toxins8030063 - 3 Mar 2016
Cited by 9 | Viewed by 8358
Abstract
Venom peptides found in terebrid snails expand the toolbox of active compounds that can be applied to investigate cellular physiology and can be further developed as future therapeutics. However, unlike other predatory organisms, such as snakes, terebrids produce very small quantities of venom, [...] Read more.
Venom peptides found in terebrid snails expand the toolbox of active compounds that can be applied to investigate cellular physiology and can be further developed as future therapeutics. However, unlike other predatory organisms, such as snakes, terebrids produce very small quantities of venom, making it difficult to obtain sufficient amounts for biochemical characterization. Here, we describe the first recombinant expression and characterization of terebrid peptide, teretoxin Tgu6.1, from Terebra guttata. Tgu6.1 is a novel forty-four amino acid teretoxin peptide with a VI/VII cysteine framework (C–C–CC–C–C) similar to O, M and I conotoxin superfamilies. A ligation-independent cloning strategy with an ompT protease deficient strain of E. coli was employed to recombinantly produce Tgu6.1. Thioredoxin was introduced in the plasmid to combat disulfide folding and solubility issues. Specifically Histidine-6 tag and Ni-NTA affinity chromatography were applied as a purification method, and enterokinase was used as a specific cleavage protease to effectively produce high yields of folded Tgu6.1 without extra residues to the primary sequence. The recombinantly-expressed Tgu6.1 peptide was bioactive, displaying a paralytic effect when injected into a Nereis virens polychaete bioassay. The recombinant strategy described to express Tgu6.1 can be applied to produce high yields of other disulfide-rich peptides. Full article
(This article belongs to the Special Issue Venomics, Venom Proteomics and Venom Transcriptomics)
Show Figures

Graphical abstract

16 pages, 597 KB  
Article
TupA: A Tungstate Binding Protein in the Periplasm of Desulfovibrio alaskensis G20
by Ana Rita Otrelo-Cardoso, Rashmi R. Nair, Márcia A. S. Correia, Maria G. Rivas and Teresa Santos-Silva
Int. J. Mol. Sci. 2014, 15(7), 11783-11798; https://doi.org/10.3390/ijms150711783 - 2 Jul 2014
Cited by 12 | Viewed by 8317
Abstract
The TupABC system is involved in the cellular uptake of tungsten and belongs to the ABC (ATP binding cassette)-type transporter systems. The TupA component is a periplasmic protein that binds tungstate anions, which are then transported through the membrane by the TupB component [...] Read more.
The TupABC system is involved in the cellular uptake of tungsten and belongs to the ABC (ATP binding cassette)-type transporter systems. The TupA component is a periplasmic protein that binds tungstate anions, which are then transported through the membrane by the TupB component using ATP hydrolysis as the energy source (the reaction catalyzed by the ModC component). We report the heterologous expression, purification, determination of affinity binding constants and crystallization of the Desulfovibrio alaskensis G20 TupA. The tupA gene (locus tag Dde_0234) was cloned in the pET46 Enterokinase/Ligation-Independent Cloning (LIC) expression vector, and the construct was used to transform BL21 (DE3) cells. TupA expression and purification were optimized to a final yield of 10 mg of soluble pure protein per liter of culture medium. Native polyacrylamide gel electrophoresis was carried out showing that TupA binds both tungstate and molybdate ions and has no significant interaction with sulfate, phosphate or perchlorate. Quantitative analysis of metal binding by isothermal titration calorimetry was in agreement with these results, but in addition, shows that TupA has higher affinity to tungstate than molybdate. The protein crystallizes in the presence of 30% (w/v) polyethylene glycol 3350 using the hanging-drop vapor diffusion method. The crystals diffract X-rays beyond 1.4 Å resolution and belong to the P21 space group, with cell parameters a = 52.25 Å, b = 42.50 Å, c = 54.71 Å, β = 95.43°. A molecular replacement solution was found, and the structure is currently under refinement. Full article
(This article belongs to the Special Issue Proteins and Protein-Ligand Interactions)
Show Figures

Figure 1

Back to TopTop