High Cell Density Fermentation Strategy for High-Level Soluble Expression of Glucagon-like Peptide-1 Analogue in Escherichia coli
Abstract
1. Introduction
2. Materials and Methods
2.1. Strains, Plasmids, Chemicals, and Filters
2.2. Design and Expression of Recombinant GST-GLP-1 Analogue
2.3. Fermentation Process Development and Optimization
2.3.1. Expression Analysis in Shake Flask
2.3.2. Optimization of Process Conditions for Soluble Expression of GST-GLP-1 Fusion Protein
2.3.3. Optimizing Growth Phase-Specific Induction for Maximum GST-GLP-1 Fusion Protein Yield in Fermenter
2.3.4. High Cell Density Fermentation for Achieving High Yield and Productivity
2.4. Purification of GST-GLP-1 Analogue
2.5. Qualitative and Quantitative Analysis of Purified Protein
2.5.1. Purity Through SDS-PAGE
2.5.2. Protein Concentration Through BCA
2.5.3. Protein Estimation in Gel Through Densitometry
2.6. Cleavage of the GST-GLP-1 Fusion Protein
2.7. Western Blot
2.8. Mass Spectroscopy (Intact Mass)
3. Results
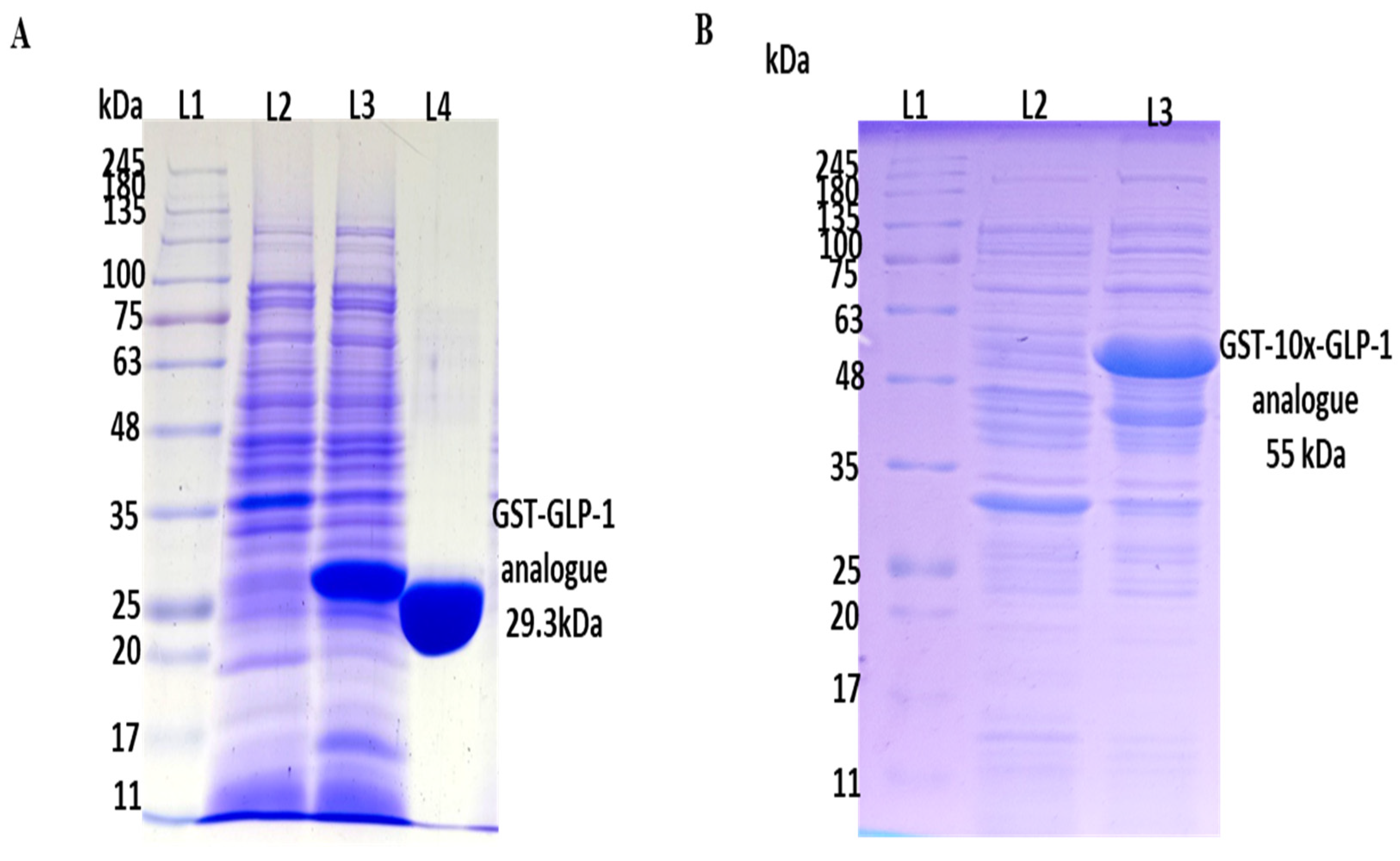
3.1. Design and Expression of Recombinant GST-GLP-1 Analogue and GST-10× GLP-1 Analogue
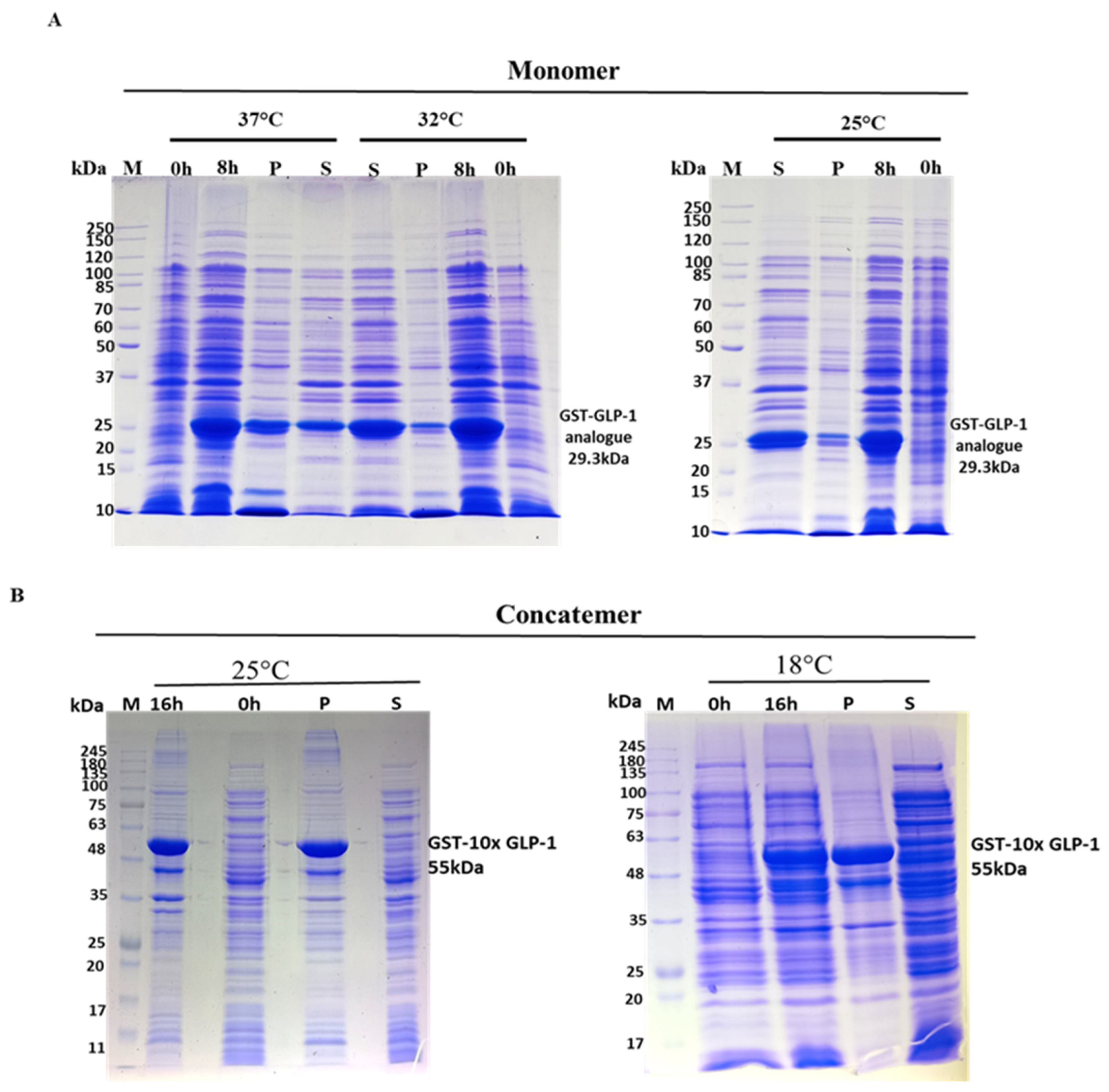
3.2. Optimization of Process Conditions for Enhanced Soluble Expression of GST-GLP-1 Fusion Protein
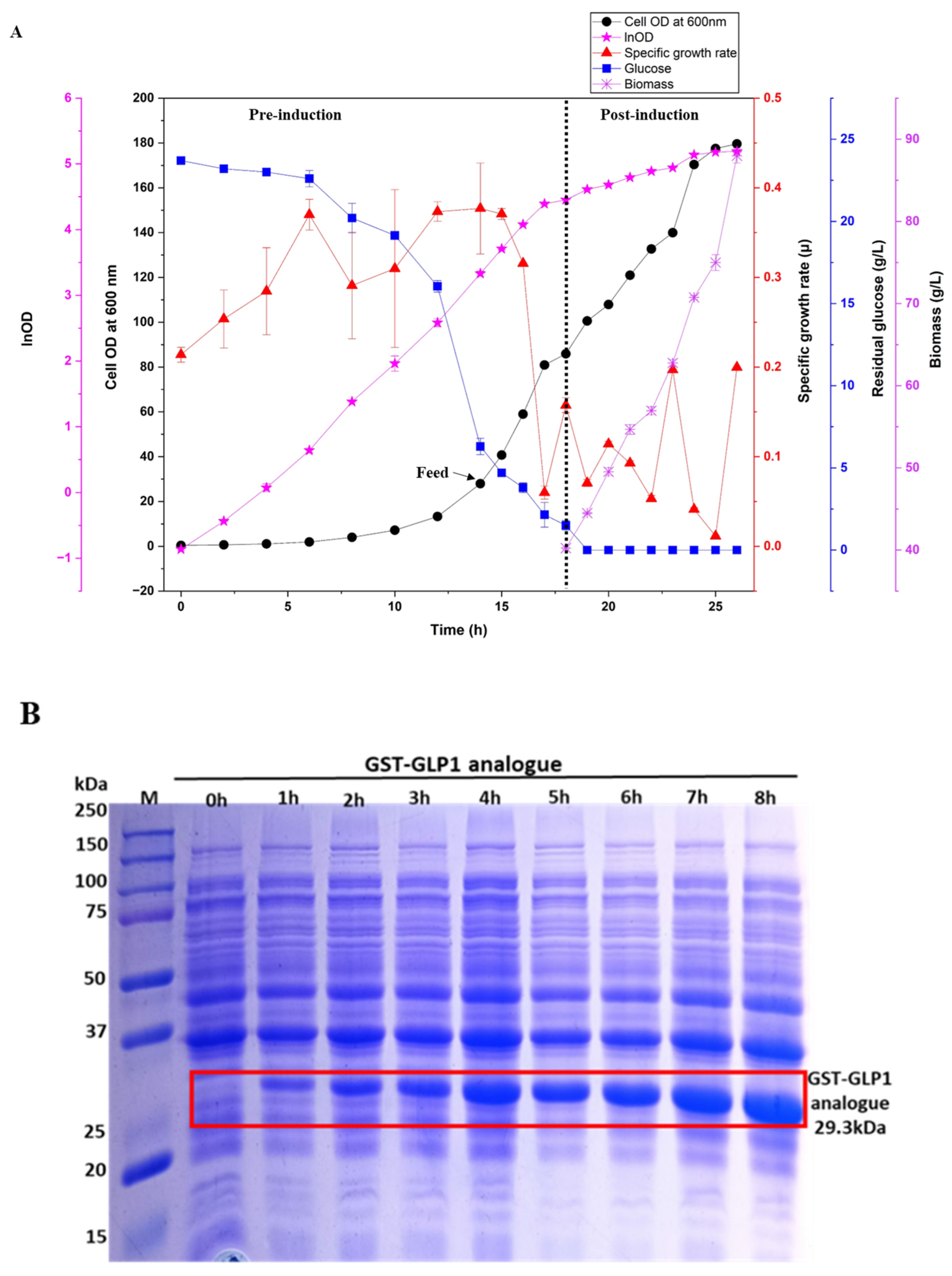
3.3. Optimizing Growth Phase-Specific Induction for Maximum GST-GLP-1 Fusion Protein Yield
3.4. Enhancing Volumetric Yield and Productivity Through High Cell Density Fermentation
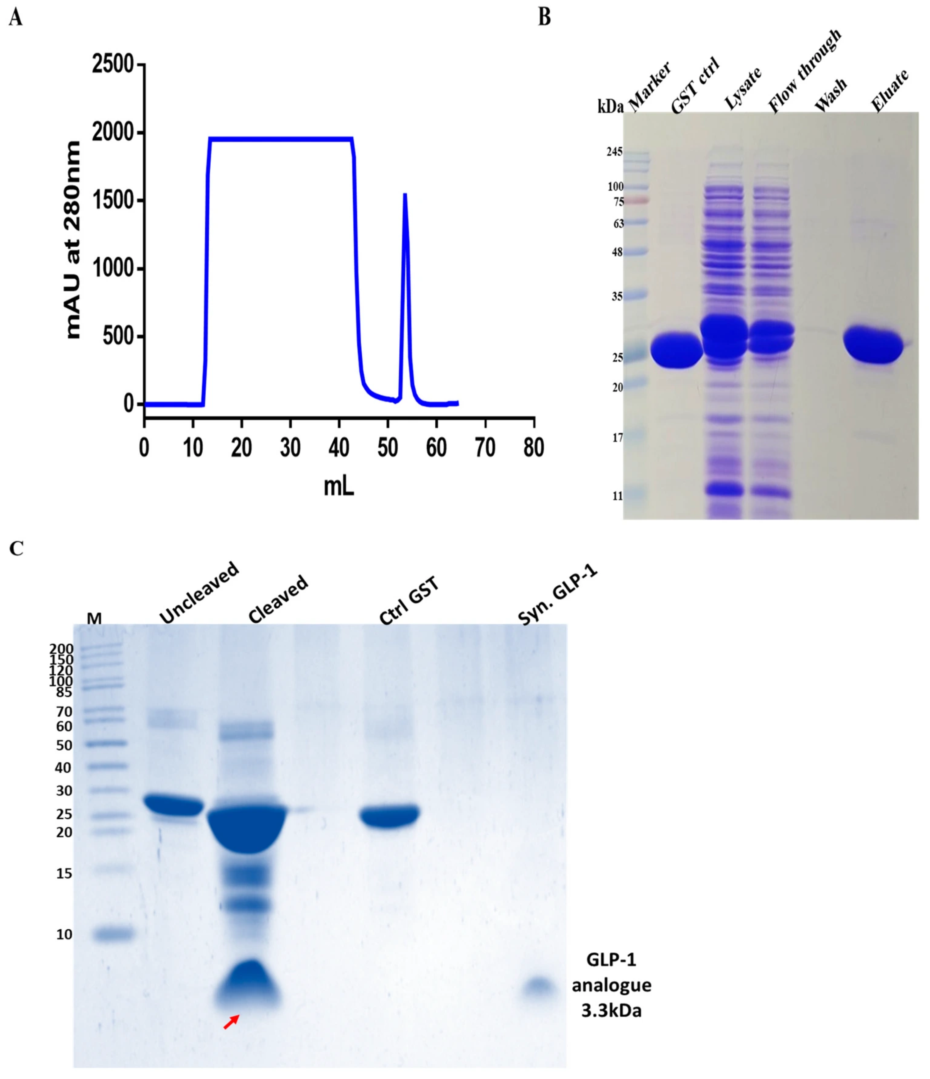
3.5. Purification and Cleavage of GST-GLP-1 Analogue to Recover GLP-1
3.6. Characterization of GLP-1 Analogue
4. Discussion and Conclusions
Supplementary Materials
Author Contributions
Funding
Institutional Review Board Statement
Data Availability Statement
Acknowledgments
Conflicts of Interest
Abbreviations
| SDS-PAGE | Sodium dodecyl sulphate polyacrylamide gel electrophoresis |
| GST | Glutathione S-transferases |
| BCA | Bicinchoninic acid |
| ACN | Acetonitrile |
| TFA | Trifluoroacetic acid |
| H2O2 | Hydrogen peroxide |
References
- American Diabetes Association. Diagnosis and classification of diabetes mellitus. Diabetes Care 2009, 32 (Suppl. 1), S62–S67. [Google Scholar] [CrossRef]
- Hossain, M.J.; Al-Mamun, M.; Islam, M.R. Diabetes mellitus, the fastest growing global public health concern: Early detection should be focused. Health Sci. Rep. 2024, 7, e2004. [Google Scholar] [CrossRef]
- NCD Risk Factor Collaboration (NCD-RisC). Worldwide trends in diabetes prevalence and treatment from 1990 to 2022: A pooled analysis of 1108 population-representative studies with 141 million participants. Lancet 2024, 404, 2077–2093. [Google Scholar] [CrossRef]
- Diabetes Canada Clinical Practice Guidelines Expert Committee; Lipscombe, L.; Booth, G.; Butalia, S.; Dasgupta, K.; Eurich, D.T.; Goldenberg, R.; Khan, N.; MacCallum, L.; Shah, B.R.; et al. Pharmacologic Glycemic Management of Type 2 Diabetes in Adults. Can. J. Diabetes 2018, 42 (Suppl. 1), S88–S103. [Google Scholar] [CrossRef]
- Drucker, D.J.; Habener, J.F.; Holst, J.J. Discovery, characterization, and clinical development of the glucagon-like peptides. J. Clin. Investig. 2017, 127, 4217–4227. [Google Scholar] [CrossRef] [PubMed]
- Bu, T.; Sun, Z.; Pan, Y.; Deng, X.; Yuan, G. Glucagon-Like Peptide-1: New Regulator in Lipid Metabolism. Diabetes Metab. J. 2024, 48, 354–372. [Google Scholar] [CrossRef]
- Choe, H.J.; Cho, Y.M. Peptidyl and Non-Peptidyl Oral Glucagon-Like Peptide-1 Receptor Agonists. Endocrinol. Metab. 2021, 36, 22–29. [Google Scholar] [CrossRef]
- Torun, A.N.; Ertugrul, D.T. Incretin System in the Pathogenesis of Type 2 Diabetes and the Role of Incretin Based Therapies in the Management of Type 2 Diabetes. In Treatment of Type 2 Diabetes; InTech: London, UK, 2015. [Google Scholar] [CrossRef]
- Nauck, M.A.; Quast, D.R.; Wefers, J.; Meier, J.J. GLP-1 receptor agonists in the treatment of type 2 diabetes-state-of-the-art. Mol. Metab. 2021, 46, 101102. [Google Scholar] [CrossRef] [PubMed]
- Nathan, D.M.; Buse, J.B.; Davidson, M.B.; Ferrannini, E.; Holman, R.R.; Sherwin, R.; Zinman, B. Medical management of hyperglycemia in type 2 diabetes: A consensus algorithm for the initiation and adjustment of therapy: A consensus statement of the American Diabetes Association and the European Association for the Study of Diabetes. Diabetes Care 2009, 32, 193–203. [Google Scholar] [CrossRef] [PubMed]
- Müller, T.D.; Finan, B.; Bloom, S.R.; D’Alessio, D.; Drucker, D.J.; Flatt, P.R.; Fritsche, A.; Gribble, F.; Grill, H.J.; Habener, J.F.; et al. Glucagon-like peptide 1 (GLP-1). Mol. Metab. 2019, 30, 72–130. [Google Scholar] [CrossRef]
- Gilbert, M.P.; Pratley, R.E. GLP-1 Analogs and DPP-4 Inhibitors in Type 2 Diabetes Therapy: Review of Head-to-Head Clinical Trials. Front. Endocrinol. 2020, 11, 178. [Google Scholar] [CrossRef]
- Shah, D.; Risebrough, N.A.; Perdrizet, J.; Iyer, N.N.; Gamble, C.; Dang-Tan, T. Cost-effectiveness and budget impact of liraglutide in type 2 diabetes patients with elevated cardiovascular risk: A US-managed care perspective. Clin. Outcomes Res. 2018, 10, 791–803. [Google Scholar] [CrossRef]
- Trujillo, J.M.; Nuffer, W.; Smith, B.A. GLP-1 receptor agonists: An updated review of head-to-head clinical studies. Ther. Adv. Endocrinol. Metab. 2021, 12, 2042018821997320. [Google Scholar] [CrossRef]
- Wang, L.; Ding, J.W.; Zhu, C.L.; Guo, B.R.; Yang, W.; He, W.X.; Li, X.X.; Wang, Y.Y.; Li, W.C.; Wang, F.; et al. Semaglutide attenuates seizure severity and ameliorates cognitive dysfunction by blocking the NLR family pyrin domain containing 3 inflammasome in pentylenetetrazole-kindled mice. Int. J. Mol. Med. 2021, 48, 219. [Google Scholar] [CrossRef] [PubMed]
- Barber, M.J.; Gotham, D.; Bygrave, H.; Cepuch, C. Estimated Sustainable Cost-Based Prices for Diabetes Medicines. JAMA Netw. Open 2024, 7, e243474. [Google Scholar] [CrossRef] [PubMed]
- Niazi, S.K.; Magoola, M. Advances in Escherichia coli-Based Therapeutic Protein Expression: Mammalian Conversion, Continuous Manufacturing, and Cell-Free Production. Biologics 2023, 3, 380–401. [Google Scholar] [CrossRef]
- Pouresmaeil, M.; Azizi-Dargahlou, S. Factors involved in heterologous expression of proteins in E. coli host. Arch. Microbiol. 2023, 205, 212. [Google Scholar] [CrossRef]
- Kim, S.G.; Shin, S.Y.; Park, Y.C.; Shin, C.S.; Seo, J.H. Production and solid-phase refolding of human glucagon-like peptide-1 using recombinant Escherichia coli. Protein. Expr. Purif. 2011, 78, 197–203. [Google Scholar] [CrossRef]
- Cheng, N.; Yang, L.; Dai, N.; Hu, Z.; Yang, F.; Chen, R.; Cheng, X.; Zhou, J.; Huang, Y.; Su, Z. A novel strategy to prepare the precursor peptide of liraglutide. Process Biochem. 2017, 62, 10–15. [Google Scholar] [CrossRef]
- Li, W.; Gao, M.; Liu, W.; Kong, Y.; Tian, H.; Yao, W.; Gao, X. Optimized soluble expression and purification of an aggregation-prone protein by fusion tag systems and on-column cleavage in Escherichia coli. Protein Pept. Lett. 2012, 19, 1324–1329. [Google Scholar] [CrossRef]
- Yee, L.; Blanch, H.W. Recombinant protein expression in high cell density fed-batch cultures of Escherichia coli. Biotechnology 1992, 10, 1550–1556. [Google Scholar] [CrossRef]
- Li, X.; Robbins, J.W., Jr.; Taylor, K.B. Effect of the levels of dissolved oxygen on the expression of recombinant proteins in four recombinant Escherichia coli strains. J. Ind. Microbiol. 1992, 9, 1–9. [Google Scholar] [CrossRef] [PubMed]
- Bhardwaj, R.; Shakri, A.R.; Hans, D.; Gupta, P.; Fernandez-Becerra, C.; Del Portillo, H.A.; Pandey, G.; Chitnis, C.E. Production of recombinant PvDBPII, receptor binding domain of Plasmodium vivax Duffy binding protein, and evaluation of immunogenicity to identify an adjuvant formulation for vaccine development. Protein Expr. Purif. 2017, 136, 52–57. [Google Scholar] [CrossRef]
- Fleury, L.; Deracinois, B.; Dugardin, C.; Nongonierma, A.B.; FitzGerald, R.J.; Flahaut, C.; Cudennec, B.; Ravallec, R. In vivo and in vitro comparison of the DPP-IV Inhibitory potential of food proteins from different origins after gastrointestinal digestion. Int. J. Mol. Sci. 2022, 23, 8365. [Google Scholar] [CrossRef]
- He, F. Laemmli-sds-page. Bio-Protocol 2011, 17, e80. [Google Scholar] [CrossRef]
- Schneider, C.A.; Rasband, W.S.; Eliceiri, K.W. NIH Image to ImageJ: 25 years of image analysis. Nat. Methods 2012, 9, 671–675. [Google Scholar] [CrossRef] [PubMed]
- Choudhury, L.; Shukla, E.; Jena, R.; Yadav, V.; Ahmad, A.; Mishra, R.; Pandey, G. Staphylococcal Protein A with Engineered Cysteine: Comparison of Monomeric Content as a Critical Quality Attribute during Intracellular and Extracellular Expression. Fermentation 2022, 8, 150. [Google Scholar] [CrossRef]
- Schagger, H. Tricine-SDS-PAGE. Nat. Protoc. 2006, 1, 16–22. [Google Scholar] [CrossRef] [PubMed]
- Moldes, A.; Álvarez-Chaver, P.; Vecino, X.; Cruz, J. Purification of lipopeptide biosurfactant extracts obtained from a complex residual food stream using Tricine-SDS-PAGE electrophoresis. Front. Bioeng. Biotechnol. 2023, 11, 1199103. [Google Scholar] [CrossRef]
- Sarfo, K.; Moorhead, G.B.; Turner, R.J. A novel procedure for separating small peptides on polyacrylamide gels. Lett. Pept. Sci. 2003, 10, 127–133. [Google Scholar] [CrossRef]
- Okita, N.; Higami, Y.; Fukai, F.; Kobayashi, M.; Mitarai, M.; Sekiya, T.; Sasaki, T. Modified Western blotting for insulin and other diabetes-associated peptide hormones. Sci. Rep. 2017, 7, 6949. [Google Scholar] [CrossRef] [PubMed]
- van de Walle, M.; Shiloach, J. Proposed mechanism of acetate accumulation in two recombinant Escherichia coli strains during high density fermentation. Biotechnol. Bioeng. 1998, 57, 71–78. [Google Scholar] [CrossRef]







| Strains/Plasmids | Characteristics | Sources |
|---|---|---|
| Strains | ||
| DH5α | F− φ80dlacZΔM15 ΔphoA8 recA1 relA1 endA1 gyrA96 thiE1 hsdR17(rk-,mk+) supE44 Δ(lacZYA-argF)U169 | Amersham Biosciences, Piscataway, NJ, USA |
| BL21(DE3) | F− ompT hsdSB(rB−,mB−) gal dcm λ(DE3) [lacI lacUV5-T7p07 ind1 sam7 nin5] [malB+] K-12(λS) | Novagen, Madison, WI, USA |
| Plasmid | ||
| pGEX-4T-1 (5067 bp) | lacI lacIq tac promoter AmpR lacZ alpha GST tag thrombin site | Sigma Aldrich, St. Louis, MO, USA |
| GLP1 peptide sequence | HAEGTFTSDVSSYLEGQAAKEFIAWLVRGRG | UniProt database entry: U3KRF3 |
| S.No. | Plasmid | Oligonucleotide Sequence | Restriction Site |
|---|---|---|---|
| 1 | pGEX-4T-1-GLP1 analogue | FP-5′-GGATCCGACGACGACGACA-3′ | BamHI |
| RP-5′-CTCGAGTTAACGACCACGAAC-3′ | XhoI |
| Batch | Total Fermentation Elapse Time (h) | Time of Induction (h) | Induction OD | Harvest (Final) OD | Dry Biomass (g/L) | GST-GLP-1 Analogue Volumetric Yield (g/L) | Specific Yield (g/g) | GLP-1 Analogue * (g/L) |
|---|---|---|---|---|---|---|---|---|
| Fed-batch | 26 | 18 | 86 | 180.3 | 88.9 | 10.376 | 0.1167 | 1.21 |
Disclaimer/Publisher’s Note: The statements, opinions and data contained in all publications are solely those of the individual author(s) and contributor(s) and not of MDPI and/or the editor(s). MDPI and/or the editor(s) disclaim responsibility for any injury to people or property resulting from any ideas, methods, instructions or products referred to in the content. |
© 2026 by the authors. Licensee MDPI, Basel, Switzerland. This article is an open access article distributed under the terms and conditions of the Creative Commons Attribution (CC BY) license.
Share and Cite
Kumar, S.R.; Shukla, E.; Pandey, G. High Cell Density Fermentation Strategy for High-Level Soluble Expression of Glucagon-like Peptide-1 Analogue in Escherichia coli. Fermentation 2026, 12, 53. https://doi.org/10.3390/fermentation12010053
Kumar SR, Shukla E, Pandey G. High Cell Density Fermentation Strategy for High-Level Soluble Expression of Glucagon-like Peptide-1 Analogue in Escherichia coli. Fermentation. 2026; 12(1):53. https://doi.org/10.3390/fermentation12010053
Chicago/Turabian StyleKumar, Sushmita R., Esha Shukla, and Gaurav Pandey. 2026. "High Cell Density Fermentation Strategy for High-Level Soluble Expression of Glucagon-like Peptide-1 Analogue in Escherichia coli" Fermentation 12, no. 1: 53. https://doi.org/10.3390/fermentation12010053
APA StyleKumar, S. R., Shukla, E., & Pandey, G. (2026). High Cell Density Fermentation Strategy for High-Level Soluble Expression of Glucagon-like Peptide-1 Analogue in Escherichia coli. Fermentation, 12(1), 53. https://doi.org/10.3390/fermentation12010053

