Sign in to use this feature.

Years

Between: -

Subjects

remove_circle_outline
remove_circle_outline
remove_circle_outline
remove_circle_outline
remove_circle_outline
remove_circle_outline
remove_circle_outline
remove_circle_outline
remove_circle_outline

Journals

remove_circle_outline
remove_circle_outline
remove_circle_outline
remove_circle_outline
remove_circle_outline
remove_circle_outline
remove_circle_outline
remove_circle_outline
remove_circle_outline
remove_circle_outline
remove_circle_outline
remove_circle_outline
remove_circle_outline
remove_circle_outline
remove_circle_outline
remove_circle_outline
remove_circle_outline
remove_circle_outline
remove_circle_outline
remove_circle_outline
remove_circle_outline
remove_circle_outline
remove_circle_outline
remove_circle_outline
remove_circle_outline
remove_circle_outline
remove_circle_outline
remove_circle_outline
remove_circle_outline
remove_circle_outline
remove_circle_outline
remove_circle_outline
remove_circle_outline

Article Types

Countries / Regions

remove_circle_outline
remove_circle_outline
remove_circle_outline
remove_circle_outline
remove_circle_outline
remove_circle_outline
remove_circle_outline
remove_circle_outline
remove_circle_outline
remove_circle_outline

Search Results (3,667)

Search Parameters:
Keywords = edema

Order results
Result details
Results per page
Select all
Export citation of selected articles as:
9 pages, 1831 KB  
Case Report
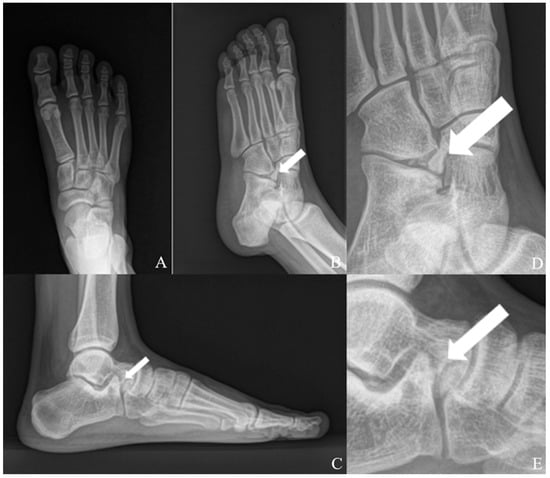
Multiple Calcaneus Secundarius Ossicles Presenting with Anterior Foot Pain: A Case Report Highlighting Characteristic Imaging Features
by Ki Jin Jung, Eui Dong Yeo, Jeong Han Nam and Woo Jong Kim
J. Clin. Med. 2026, 15(8), 3122; https://doi.org/10.3390/jcm15083122 - 20 Apr 2026
Abstract
Background: Calcaneus secundarius (CS) is an accessory ossicle located at the anterior aspect of the calcaneus and is typically an incidental and asymptomatic radiographic finding. However, it may become symptomatic following trauma or repetitive mechanical stress and can mimic anterior calcaneal process [...] Read more.
Background: Calcaneus secundarius (CS) is an accessory ossicle located at the anterior aspect of the calcaneus and is typically an incidental and asymptomatic radiographic finding. However, it may become symptomatic following trauma or repetitive mechanical stress and can mimic anterior calcaneal process fracture or tarsal coalition, leading to diagnostic confusion. The presence of multiple independent CS ossicles represents a rare morphological variant and a potential source of diagnostic ambiguity. Methods: We report the case of a 19-year-old male soldier who presented with progressive anterior foot pain following soccer activity without a clearly identifiable traumatic event. Radiographs, computed tomography (CT), and magnetic resonance imaging (MRI) were performed to evaluate the underlying pathology. Results: CT demonstrated two separate, well-corticated accessory ossicles adjacent to the anterior calcaneal process without bony continuity. MRI revealed focal bone marrow edema (BME) at the calcaneus–ossicle interface, suggesting mechanical irritation at the fibrous connection. Due to persistent symptoms and concordant imaging findings, surgical excision was performed, resulting in immediate pain relief and return to full daily and sports activities without recurrence at the 1-year follow-up. Conclusions: Multiple CS ossicles may produce fragment-like imaging appearances and increase the risk of misdiagnosis. Recognition of characteristic imaging features, particularly well-corticated ossicles and focal BME at the ossicle–calcaneus interface, together with clinical correlation, is essential for accurate diagnosis and appropriate management in patients with persistent anterior foot pain. Full article
(This article belongs to the Special Issue Foot and Ankle Surgery: Current Advances and Prospects)
Show Figures

Figure 1

85 pages, 6764 KB  
Review
The Dual Role of Connexins in Stroke, Neurotrauma, Neurodegenerative and Psychiatric Disorders: A Global Systematic Review
by Stanislav Rodkin, Mitkhat Gasanov, Alexander Tushev, Elena Belousova, Yulia Gordeeva, Chizaram Nwosu and Anastasia Tolmacheva
Molecules 2026, 31(8), 1341; https://doi.org/10.3390/molecules31081341 - 19 Apr 2026
Abstract
Background: Connexins (Cx) are a family of transmembrane proteins that form gap junctions and connexin hemichannels (HCs), enabling direct intercellular communication within the nervous system. Connexin 43 (Cx43), the principal astrocytic connexin, exhibits a context-dependent dual role: under physiological conditions it maintains [...] Read more.
Background: Connexins (Cx) are a family of transmembrane proteins that form gap junctions and connexin hemichannels (HCs), enabling direct intercellular communication within the nervous system. Connexin 43 (Cx43), the principal astrocytic connexin, exhibits a context-dependent dual role: under physiological conditions it maintains tissue homeostasis and metabolic support, whereas under pathological conditions excessive activation of Cx43 hemichannels promotes neuroinflammation, excitotoxicity, blood–brain barrier disruption, and secondary neural tissue damage. Other connexin isoforms also contribute to the pathogenesis of neurological and psychiatric disorders through alterations in neuronal synchronization, glial signaling, and myelin integrity. Objective: To systematize current evidence on the role of key connexin isoforms in acute nervous system injuries—including stroke, traumatic brain injury, spinal cord injury, and peripheral nerve injury—as well as chronic disorders such as neurodegenerative diseases, epilepsy, and psychiatric disorders, with particular emphasis on the functional duality of connexin channels and the therapeutic potential of their selective modulation. Methods: A systematic literature search was conducted in the PubMed, Scopus, and Web of Science databases in accordance with the PRISMA framework and the PRISMA Extension for Scoping Reviews guidelines. The review included data from experimental models, postmortem brain studies, genetic association analyses, and pharmacological intervention studies. The retrieved studies were screened, assessed for eligibility, and integrated using a qualitative narrative synthesis approach. Results: In acute neural injuries, hyperactivation of Cx43 hemichannels amplifies inflammatory signaling, edema formation, and neuronal death, whereas selective HCs inhibitors reduce lesion volume and improve functional outcomes in experimental models. Connexin 36 (Cx36) contributes to cortical spreading depolarization and seizure propagation, while Connexin 32 (Cx32) and Connexin 47 (Cx47) are critically involved in oligodendrocyte function and white-matter demyelination. In PNI, Cx43 upregulation contributes to neuropathic pain, whereas mutations in Cx32 cause hereditary demyelinating neuropathies. In neurodegenerative diseases—including Alzheimer’s disease, Parkinson’s disease, and amyotrophic lateral sclerosis—Cx43 hemichannel activity promotes neuroinflammation and pathological protein accumulation, while reduced Cx32/Cx47 expression disrupts metabolic support of axons. In psychiatric disorders such as major depressive disorder, bipolar disorder, and schizophrenia, decreased astrocytic connexin expression (Cx43 and Cx30) has been associated with impaired glial–neuronal communication and cognitive–emotional dysfunction. In epilepsy, increased Cx43/Cx30 expression contributes to neuronal hypersynchronization and blood–brain barrier dysfunction, whereas selective hemichannel blockade suppresses seizure activity. Conclusions: Cx—particularly Cx43—occupies a central position in the molecular mechanisms of secondary neural injury and network dysfunction. The dual functional properties of gap junctions and hemichannels determine their context-dependent effects across neurological and psychiatric diseases. Selective inhibition of pathological HCs activity shows significant neuroprotective and anticonvulsant potential and represents a promising direction for the development of targeted therapeutic strategies. Further studies are required to determine optimal therapeutic time windows, tissue-specific effects, and the long-term safety of Cx modulation. Full article
19 pages, 16363 KB  
Article
Protective Role of Adenosine Triphosphate Against Tamoxifen-Induced Retinal Toxicity in a Rat Model
by Ezgi Karatas, Bulent Yavuzer, Seher Koksaldi, Mustafa Kayabasi, Esra Tuba Sezgin, Cengiz Sarigul, Ozlem Demir, Bahadir Suleyman and Halis Suleyman
Medicina 2026, 62(4), 787; https://doi.org/10.3390/medicina62040787 - 19 Apr 2026
Abstract
Background and Objectives: Tamoxifen, a cornerstone selective estrogen receptor modulator in breast cancer therapy, is increasingly recognized to be associated with retinal toxicity characterized by mitochondrial dysfunction, oxidative stress, lipid peroxidation, and oxidative DNA injury. By targeting mitochondrial bioenergetic dysfunction and redox [...] Read more.
Background and Objectives: Tamoxifen, a cornerstone selective estrogen receptor modulator in breast cancer therapy, is increasingly recognized to be associated with retinal toxicity characterized by mitochondrial dysfunction, oxidative stress, lipid peroxidation, and oxidative DNA injury. By targeting mitochondrial bioenergetic dysfunction and redox disequilibrium, adenosine triphosphate (ATP) emerges as a biologically plausible candidate for retinal cytoprotection. This study aimed to evaluate the protective effect of ATP against tamoxifen-induced retinal toxicity in a rat model. Materials and Methods: Twenty-four male albino Wistar rats were randomly assigned to four groups: healthy control (HG), ATP-alone (ATPG, 4 mg/kg, intraperitoneally), tamoxifen-alone (TAMG, 5 mg/kg, orally), and tamoxifen plus ATP-treated (ATAG; ATP, 4 mg/kg, intraperitoneally; tamoxifen, 5 mg/kg, orally). Treatments were administered once daily for 30 days. Oxidative stress markers (malondialdehyde, total glutathione), antioxidant enzyme activities (superoxide dismutase, catalase), and oxidative DNA damage (8-hydroxy-2′-deoxyguanosine) were assessed in ocular tissues. Retinal histopathological evaluation included hematoxylin–eosin staining with semiquantitative assessment of edema, vascular congestion, polymorphonuclear leukocyte infiltration, and cytoplasmic vacuolization, together with quantitative measurements of retinal layer thicknesses and ganglion cell layer (GCL) cell counts. Results: Tamoxifen administration induced marked oxidative stress, antioxidant depletion, and increased oxidative DNA damage in ocular tissues, accompanied by significant thickening of retinal layers, reduced GCL cell counts, and pronounced disruption of retinal architecture. By comparison, ATP co-administration significantly suppressed lipid peroxidation and restored antioxidant defenses, thereby reducing oxidative DNA damage and preserving retinal structural integrity, as reflected by partial normalization of retinal layer thicknesses, preservation of GCL cell counts, and the presence of only mild residual edema. Conclusions: These findings indicate that ATP attenuates tamoxifen-induced retinal toxicity by supporting mitochondrial energy balance and redox homeostasis. Accordingly, ATP administration may represent a promising protective approach for reducing retinal injury associated with long-term tamoxifen therapy. Full article
(This article belongs to the Special Issue Emerging Insights into Retinal Disease Research)
Show Figures

Graphical abstract

25 pages, 2431 KB  
Article
Multimodal Topical Formulations Combining Synthetic Anti-Inflammatory Agents, Levofloxacin, and Plant Extracts for Veterinary Wound and Inflammation Care: In Vivo Efficacy
by Maria-Teodora Pițuru, Marina Ionela Nedea, Miruna Maria Apetroaei-Leucă, Dana Tăpăloagă, Andreea Letiția Arsene, Denisa Ioana Udeanu, Cosmin Șonea, Bruno Ștefan Velescu, Tudor Ion Năstasescu and Constantin Vlăgioiu
Vet. Sci. 2026, 13(4), 399; https://doi.org/10.3390/vetsci13040399 - 19 Apr 2026
Abstract
Skin wound management in veterinary medicine requires therapies able to control inflammation, limit microbial burden, and support tissue repair. This study evaluated the anti-inflammatory, wound-healing, and immunomodulatory effects of four novel topical formulations combining synthetic anti-inflammatory drugs, antibiotics, and plant extracts in rat [...] Read more.
Skin wound management in veterinary medicine requires therapies able to control inflammation, limit microbial burden, and support tissue repair. This study evaluated the anti-inflammatory, wound-healing, and immunomodulatory effects of four novel topical formulations combining synthetic anti-inflammatory drugs, antibiotics, and plant extracts in rat experimental models. Burn injury was induced in male Wistar rats for wound-healing assessment, while kaolin- and dextran-induced paw edema models were used to assess anti-inflammatory activity. The tested formulations were meloxicam, dexamethasone, and levofloxacin; thyme extract with meloxicam and dexamethasone; burdock extract with dexamethasone and levofloxacin; and thyme extract combined with burdock extract. Wound evolution was monitored macroscopically, edema was quantified by plethysmometry, and selected inflammatory mediators were measured by immunoassay. In the burn model, the thyme-containing formulation with meloxicam and dexamethasone, and the thyme–burdock formulation, achieved complete wound closure by the end of follow-up, whereas the reference product did not. In the acute inflammation models, all innovative formulations significantly reduced edema at the main early time points compared with the negative control and outperformed the reference product. The thyme–burdock formulation also showed the most favorable immunomodulatory profile, including normalization of interleukin-10 and marked reduction in interleukin-1 beta in both models. These results support the potential of multi-component topical formulations, particularly plant extract-based combinations, as promising candidates for veterinary wound care. Full article
Show Figures

Figure 1

21 pages, 9644 KB  
Article
Brain-Derived Cystathionine β-Synthase-Generated H2S Attenuates Cerebral Ischemia–Reperfusion Injury via VEGFR2-Mediated Angiogenesis in MCAO/R Rats
by Shuai Liang, La Jiang, Yu Jiang, Shan Wang, Jia-Rong Jiang, Ji-Yue Wen, Zhi-Wu Chen and Shuo Chen
Curr. Issues Mol. Biol. 2026, 48(4), 418; https://doi.org/10.3390/cimb48040418 - 18 Apr 2026
Viewed by 49
Abstract
Ischemic stroke (IS) remains a major cause of global disability and mortality. While exogenous H2S has demonstrated neuroprotective potential, the role of endogenous H2S generated by cystathionine β-synthase (CBS) in cerebral ischemia–reperfusion injury (CIRI) remains incompletely elucidated. L-Cysteine (L-Cys), [...] Read more.
Ischemic stroke (IS) remains a major cause of global disability and mortality. While exogenous H2S has demonstrated neuroprotective potential, the role of endogenous H2S generated by cystathionine β-synthase (CBS) in cerebral ischemia–reperfusion injury (CIRI) remains incompletely elucidated. L-Cysteine (L-Cys), as a substrate for CBS, serves as a key precursor for endogenous H2S. Using the established pre-clinical model of CIRI—middle cerebral artery occlusion/reperfusion (MCAO/R) in rats—we investigated the neuroprotective effects of brain-derived CBS-generated H2S through neurological function scoring, 2,3,5-triphenylchlorotetrazole (TTC) staining, enzyme-linked immunosorbent assay (ELISA), and histopathological examination. Immunofluorescence, Western blot, and laser speckle contrast imaging were utilized to analyze the protein expression of ZO-1, claudin-5, CBS, vascular endothelial growth factor receptor-2 (VEGFR2) and CD31, as well as cerebral blood flux changes. L-Cys treatment ameliorated neurological deficits, reduced cerebral infarct volume, decreased serum lactate dehydrogenase (LDH) and neuron-specific enolase (NSE) levels, attenuated histopathological damage, alleviated cerebral edema, and restored blood–brain barrier integrity via upregulation of tight junction proteins ZO-1 and claudin-5. Additionally, L-Cys improved MCAO/R-induced cognitive impairment and behavioral deficits. Furthermore, L-Cys upregulated CBS and VEGFR2 expression, enhanced endogenous H2S production, promoted post-ischemic cerebral angiogenesis, and improved cerebral blood flux recovery. CBS-derived H2S promoted post-ischemic angiogenesis mediated by VEGFR2, enhances cerebral reperfusion flux, and consequently ameliorated MCAO/R-induced CIRI in rats, providing experimental evidence for clinical translation. Full article
(This article belongs to the Section Molecular Pharmacology)
Show Figures

Figure 1

7 pages, 337 KB  
Case Report
When the Apex Deceives: A Mobile Left Ventricular Mass After Myocardial Infarction
by Georgios E. Zakynthinos, George Makavos, Nikolaos K. Kokkinos, Ourania Katsarou, Evangelos Oikonomou and Gerasimos Siasos
Reports 2026, 9(2), 124; https://doi.org/10.3390/reports9020124 - 18 Apr 2026
Viewed by 50
Abstract
Background and Clinical Significance: Mechanical complications and intracavitary thrombus are both recognized causes of clinical deterioration following acute myocardial infarction, yet they require fundamentally different therapeutic approaches. Distinguishing between these entities is critical, as misdiagnosis may lead to unnecessary surgical intervention or delayed [...] Read more.
Background and Clinical Significance: Mechanical complications and intracavitary thrombus are both recognized causes of clinical deterioration following acute myocardial infarction, yet they require fundamentally different therapeutic approaches. Distinguishing between these entities is critical, as misdiagnosis may lead to unnecessary surgical intervention or delayed anticoagulation with serious consequences. Left ventricular (LV) thrombus typically appears as a well-defined mass; however, atypical and highly mobile morphologies may closely mimic catastrophic post-infarction mechanical complications, creating significant diagnostic uncertainty. This case highlights the pivotal role of contrast-enhanced echocardiography in resolving such ambiguity and guiding appropriate management in a high-stakes clinical setting. Case Presentation: A 60-year-old man presented with acute dyspnea and pulmonary edema ten days after an anterior myocardial infarction treated with percutaneous coronary intervention, complicated by ischemic stroke. Transthoracic echocardiography demonstrated severe LV systolic dysfunction with moderate-to-severe mitral regurgitation and an unexpected, highly mobile, irregular mass protruding into the LV apex. The mass exhibited a shredded, tissue-like appearance, raising urgent concern for post-infarction mechanical complications, including papillary muscle rupture or apical myocardial disruption, and prompting immediate consideration of surgical intervention. Contrast-enhanced echocardiography was performed and revealed a mobile LV apical thrombus. Surgical management was avoided, and systemic anticoagulation was initiated, followed by transition to rivaroxaban in combination with ongoing dual antiplatelet therapy. The patient demonstrated rapid clinical improvement with optimized heart failure treatment and was discharged after four days, with planned follow-up imaging to assess thrombus resolution. Conclusions: Left ventricular thrombus may present with atypical, misleading morphologies that closely resemble life-threatening mechanical complications after myocardial infarction. Full article
(This article belongs to the Section Cardiology/Cardiovascular Medicine)
Show Figures

Figure 1

34 pages, 2578 KB  
Review
Autoimmune Features of Post-COVID-19 Vaccination Syndrome and Their Impacts on the Renin–Angiotensin System
by Paolo Bellavite, Giuseppe Di Fede, Mauro Mantovani and Elisabetta Zanolin
Vaccines 2026, 14(4), 354; https://doi.org/10.3390/vaccines14040354 - 16 Apr 2026
Viewed by 777
Abstract
One of the most critical aspects of post-acute COVID-19 syndrome (PACS) and post-acute COVID-19 vaccination syndrome (PACVS) is the presence of autoantibodies. These autoantibodies are directed against various receptors in the autonomic and cardiovascular systems, including those targeting proteins of the renin–angiotensin system [...] Read more.
One of the most critical aspects of post-acute COVID-19 syndrome (PACS) and post-acute COVID-19 vaccination syndrome (PACVS) is the presence of autoantibodies. These autoantibodies are directed against various receptors in the autonomic and cardiovascular systems, including those targeting proteins of the renin–angiotensin system (RAS). The RAS plays a central role in regulating vascular homeostasis, inflammation, and endothelial function. During SARS-CoV-2 infection, the interaction of the spike (S) protein with angiotensin-converting enzyme 2 (ACE2) can alter the balance of the RAS, favoring an imbalance towards the ACE/Angiotensin II/AT1R axis, known for its pro-inflammatory, pro-thrombotic, and vasoconstrictive properties. Similar pathological mechanisms also come into play in response to vaccinations that use the S protein as an antigen. Studies conducted by other groups and us on patients with PACS and PACVS have revealed the presence of autoantibodies directed against these RAS components and the mechanisms by which these antibodies can worsen the clinical situation. In particular, anti-ACE2, presumably formed by the anti-idiotype network or molecular mimicry, is correlated with PACVS symptoms in many patients. Furthermore, the presence of anti-MAS1 antibodies can reduce the efficiency of the ACE2/Angiotensin-(1–7)/MAS1 axis, which normally acts as a counter-regulator. Considering this evidence, an analysis of RAS molecules and the autoantibodies implicated in reactions to them may be useful for evaluating a state of persistent dysregulation associated with post-vaccination symptoms such as asthenia, headache, skin edema and bruising, cardiovascular alterations, and neurovegetative manifestations. Finally, we offer insights into diagnosing these multifaceted syndromes and working hypotheses to guide research into possible therapeutic approaches. Full article
Show Figures

Graphical abstract

17 pages, 935 KB  
Review
From Evaporation to Edema: A Scoping Review of Physical and Biological Determinants of Early Fluid Distribution in Burn Patients
by Sergio Arlati and Paolo Aseni
Eur. Burn J. 2026, 7(2), 21; https://doi.org/10.3390/ebj7020021 - 16 Apr 2026
Viewed by 81
Abstract
Background: Evaporative water loss from burn wounds is a major but often neglected component of early fluid requirements. Despite its physiological importance, no dedicated review has quantified acute post-burn evaporative water loss (TEWL) and its interaction with modern resuscitation strategies in over [...] Read more.
Background: Evaporative water loss from burn wounds is a major but often neglected component of early fluid requirements. Despite its physiological importance, no dedicated review has quantified acute post-burn evaporative water loss (TEWL) and its interaction with modern resuscitation strategies in over 40 years. Recent mass-casualty burn events in specialized centers have re-emphasized the clinical importance of accurate early fluid balance, which is particularly challenging. Methods: A scoping review (PRISMA-ScR) of historical quantitative studies and 23 contemporary (2015–2025) adult major-burn resuscitation cohorts was conducted. Expected TEWL was derived from Lamke benchmarks; interstitial edema was estimated from the only available regression of simultaneous fluid input and 24 h weight change. A novel TEWL/edema ratio was tested against resuscitation volume (mL/kg/%TBSA) and the established input/output (I/O) ratio. Results: In the acute phase, the median TEWL normalized to total body surface area was 71 mL/m2/h [52–79 mL/m2/h], allowing for calculation of the TEWL/edema ratio. The TEWL/edema ratio was inversely correlated with the resuscitation fluid dose (R2 = 0.811) and the I/O ratio as well (R2 = 0.86), crossing unity at 2.85 mL/kg/%TBSA. A ratio > 1 signals high evaporative drive and/or possible under-resuscitation; a ratio < 1 alerts to fluid creep before significant weight gain. Conclusions: The TEWL/edema ratio is the first physiology-grounded, easily calculable resuscitation endpoint that complements urine output by providing insight into whether administered fluid is lost as obligatory evaporation or sequestered as edema. Routine estimation of expected TEWL and early monitoring of the TEWL/edema ratio may help guide goal-directed burn resuscitation, especially when early excision is delayed or impossible. Given the substantial inter-individual variability, the ratio derived from aggregate data should not be interpreted as a patient-specific predictor. Full article
Show Figures

Figure 1

17 pages, 585 KB  
Article
The Effects of Home-Based Strengthening Calf Muscle Exercise Program with Graduated Compression Stockings on Disease Severity, Muscle and Joint Function, and Quality of Life Among People with Chronic Venous Insufficiency: A Randomized Controlled Trial
by Kulweena Sisayanarane, Suchira Chaiviboontham, Piyawan Pokpalagon, Nutsiri Kittitirapong and Chutirat Sonpee
Healthcare 2026, 14(8), 1045; https://doi.org/10.3390/healthcare14081045 - 15 Apr 2026
Viewed by 182
Abstract
Background: Chronic venous insufficiency (CVI) is characterized by venous dysfunction in the lower extremities, leading to increased venous pressure, edema, and reduced quality of life. Objectives: This study aimed to evaluate the additional effect of a structured home-based calf muscle strengthening [...] Read more.
Background: Chronic venous insufficiency (CVI) is characterized by venous dysfunction in the lower extremities, leading to increased venous pressure, edema, and reduced quality of life. Objectives: This study aimed to evaluate the additional effect of a structured home-based calf muscle strengthening exercise program when combined with standard compression therapy, by comparing disease severity, musculoskeletal function, and quality of life over time between patients receiving compression therapy alone and those receiving combined intervention. Methods: A randomized controlled trial was conducted in 50 patients with CVI (CEAP C3–C5), who were assigned to an experimental group (n = 25) and a control group (n = 25). Outcomes were assessed at baseline, week 6, and week 12. Disease severity was measured using the Revised Venous Clinical Severity Score (rVCSS), and swelling, muscle, and joint function were assessed using calf muscle strength and ankle range of motion. Quality of life outcomes were assessed using the chronic venous disease quality of life questionnaire (CIVIQ-20). Data were analyzed using two-way repeated measures ANOVA. This trial was registered retrospectively at the Thai Clinical Trials Registry (registration number: TCTR20260307002). Results: Significant group × time interaction effects were observed for disease severity (right leg: F = 81.562, p < 0.001, η2p = 0.630; left leg: F = 73.765, p < 0.001, η2p = 0.606), indicating greater improvement in the experimental group over time. Calf muscle strength significantly increased in the experimental group (right leg: F = 395.246, p < 0.001, η2p = 0.892; left leg: F = 87.278, p < 0.001, η2p = 0.645). Ankle range of motion also improved significantly (p < 0.001). Quality of life showed significant improvement with a group × time interaction effect (F = 66.104, p < 0.001, η2p = 0.579). Conclusions: A structured home-based calf muscle strengthening exercise program combined with compression therapy produced significant improvements in disease severity, musculoskeletal function, and quality of life over time, demonstrating an additive therapeutic effect in patients with CVI. Full article
Show Figures

Figure 1

15 pages, 1076 KB  
Article
Clinical Evaluation of the MIRA Technique in Cellulite Treatment: A Retrospective Case–Control Study
by Dora Intagliata and Maria Luisa Garo
J. Aesthetic Med. 2026, 2(2), 8; https://doi.org/10.3390/jaestheticmed2020008 - 15 Apr 2026
Viewed by 105
Abstract
Background: Cellulite is a highly prevalent aesthetic concern characterized by structural remodeling of subcutaneous adipose tissue and fibrous septa, resulting in visible skin irregularities. Despite the availability of many injectable treatments with documented efficacy, most standard approaches adopt uniform protocols that overlook [...] Read more.
Background: Cellulite is a highly prevalent aesthetic concern characterized by structural remodeling of subcutaneous adipose tissue and fibrous septa, resulting in visible skin irregularities. Despite the availability of many injectable treatments with documented efficacy, most standard approaches adopt uniform protocols that overlook interindividual anatomical variability, potentially limiting treatment precision and clinical outcomes. This retrospective case–control study evaluated the Modulated Insertion of Regenerative Activation (MIRA), a technique that individualizes needle length and injection angle according to ultrasound findings, modulating insertion parameters to stimulate regenerative responses within dermal and subcutaneous layers. Methods: Clinical and ultrasonographic data from 120 women with stage 3 cellulite were analyzed over a 30-day follow-up period. Stage 3A patients received carbon dioxide therapy (CDT), whereas stage 3B patients underwent injectable solution therapy (IST). Within each treatment, patients were allocated to MIRA or control groups. Results: Compared with controls, MIRA showed greater reductions in adipose tissue thickness (CDT: −1.6 mm; IST: −1.5 mm; padj = 0.002), nodules, pain, edema, and fibrosis, with improved fascia regularity. Patient satisfaction was higher in MIRA (CDT: 8.1 ± 1.6; IST: 8.5 ± 1.4; padj = 0.002), and over 76% reported improved skin quality. Conclusions: These explorative findings suggest that ultrasound-guided modulation of needle parameters with MIRA may enhance structural and esthetic outcomes compared with standard approaches. Prospective randomized trials are needed to confirm these results. Full article
Show Figures

Figure 1

27 pages, 4545 KB  
Article
Protective Efficacy of Selenium in Cisplatin-Induced Retinal Toxicity: An Experimental Immunohistochemical and Ultrastructural Analysis
by Ioannis Konstantinidis, Sophia Tsokkou, Pavlos Pavlidis, Kyriaki Papadopoulou, Dimitrios Kavvadas, Vasilis-Spyridon Tseriotis, Georgios Delis, Chrysanthi Sardeli, Dimitrios Kouvelas, Antonia Siogka, Theodora Papamitsou and Sofia Karachrysafi
Nutrients 2026, 18(8), 1236; https://doi.org/10.3390/nu18081236 - 14 Apr 2026
Viewed by 216
Abstract
Background/Objectives: Cisplatin is a potent chemotherapeutic agent whose clinical utility is limited by severe side effects, including neurotoxicity affecting the ocular system. The pathophysiology involves oxidative stress and mitochondrial dysfunction, to which the retina is particularly vulnerable. Selenium (Se), an essential trace [...] Read more.
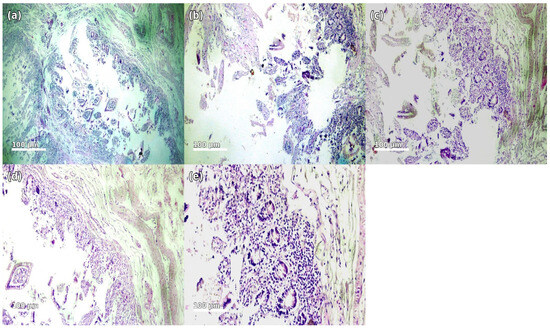
Background/Objectives: Cisplatin is a potent chemotherapeutic agent whose clinical utility is limited by severe side effects, including neurotoxicity affecting the ocular system. The pathophysiology involves oxidative stress and mitochondrial dysfunction, to which the retina is particularly vulnerable. Selenium (Se), an essential trace element and component of antioxidant enzymes, has shown potential in mitigating cisplatin toxicity, although its efficacy with respect to retinal structure and the influence of administration routes remain underexplored. This study aimed to evaluate the protective efficacy of selenium against cisplatin-induced retinal toxicity and compare the effects of intraperitoneal and oral selenium administration. Methods: Forty adult male Wistar rats were randomized into four groups (n = 10 each): Group A (Cisplatin Monotherapy, 3.5 mg/kg IP for 5 days; cumulative dose 17.5 mg/kg); Group B (Cisplatin + Intraperitoneal Selenium, 2.73 mg/kg; cumulative dose 60 mg/kg); Group C (Control); and Group D (Cisplatin + Oral Selenium). Selenium prophylaxis, administered as sodium selenite (Na2SeO3), began two days prior to cisplatin administration and continued for 15 days post-treatment. Retinal evaluation two weeks after cisplatin cessation included light microscopy, semi-quantitative immunohistochemical (IHC) analysis for inflammatory (IL-6) and fibrotic (TGF-β2) markers, and Transmission Electron Microscopy (TEM) for ultrastructural analysis, which were the primary endpoints. Statistical differences in the IHC scores were analyzed via the Kruskal‒Wallis H test with Dunn’s post hoc comparisons. Results: Cisplatin monotherapy (Group A) caused severe disruption of the retinal architecture, including edema, reactive gliosis, and significant upregulation of IL-6 and TGF-β2. Ultrastructural analysis revealed mitochondrial swelling (cristolysis) and photoreceptor disk fragmentation. Intraperitoneal selenium (Group B) was associated with significant structural preservation and intact mitochondria, with TGF-β2 levels comparable to those of the controls, although the IL-6 level remained moderately elevated. Conversely, oral selenium (Group D) suppressed both IL-6 and TGF-β2 expression to near-negative levels but provided less ultrastructural protection, resulting in persistent mitochondrial swelling and focal photoreceptor disruption. Conclusions: Systemic cisplatin induces severe subcellular retinal toxicity characterized by mitochondrial damage and photoreceptor degeneration. Selenium supplementation attenuates these effects; however, outcome patterns differ by administration route. Intraperitoneal selenium was associated with greater morphological and ultrastructural preservation despite persistent IL-6 elevation, whereas oral selenium normalized immunohistochemical marker expression to near-control levels but was associated with more pronounced residual subcellular damage on qualitative TEM assessment. These preliminary morphological and immunohistochemical findings suggest that the route of selenium delivery may influence its neuroprotective profile; however, pharmacokinetic measurements and functional retinal assessments, such as electroretinography, are warranted before its clinical translation. Full article
27 pages, 1576 KB  
Article
Synthesis of 4-Hydroxyphenylamino-Naphthoquinones as Paracetamol-Inspired Analogs: Chemical, In Silico, and Phenotypic Pharmacological Evaluation
by Iván M. Quispe-Díaz, Oswaldo Rebaza-Rioja, Sussan Lopez-Mercado, Cinthya Enriquez-Lara, Daniel Asunción-Alvarez, Roberto O. Ybañez-Julca, Elena Mantilla-Rodríguez, Wilfredo O. Gutiérrez-Alvarado, Ricardo Pino-Rios, Jaime A. Valderrama and Julio Benites
Pharmaceutics 2026, 18(4), 482; https://doi.org/10.3390/pharmaceutics18040482 - 14 Apr 2026
Viewed by 304
Abstract
Background/Objectives: Paracetamol is a widely analgesic and antipyretic drug; however, its limited anti-inflammatory efficacy and safety concerns motivate the search for novel non-opioid alternatives. In this study, a series of 4-hydroxyphenylamino-naphthoquinones were designed as paracetamol-inspired analogs and synthesized via a solvent-free, silica-assisted [...] Read more.
Background/Objectives: Paracetamol is a widely analgesic and antipyretic drug; however, its limited anti-inflammatory efficacy and safety concerns motivate the search for novel non-opioid alternatives. In this study, a series of 4-hydroxyphenylamino-naphthoquinones were designed as paracetamol-inspired analogs and synthesized via a solvent-free, silica-assisted Michael addition, providing a sustainable and efficient synthetic route. Methods: The compounds were evaluated using an integrated strategy combining in silico prediction, density functional theory calculations, molecular docking, ADMET profiling, and in vivo phenotypic pharmacological assays. Results: In vivo evaluation revealed pronounced peripheral antinociceptive activity in the acetic acid-induced writhing model and robust anti-inflammatory effects in carrageenan-induced paw edema, comparable to those of naproxen. These findings suggest a predominantly peripheral mechanism consistent with anti-inflammatory and antinociceptive profiles linked to cyclooxygenase inhibition. A normalization-based multi-criteria analysis integrating peripheral, anti-inflammatory, central, and antipyretic endpoints enabled transparent phenotypic prioritization within the series. Under this framework, compound 7 emerged as the most balanced peripheral–anti-inflammatory candidate, whereas compound 8, evaluated experimentally as a regioisomeric mixture, showed comparatively stronger central antinociceptive activity in the hot plate test. Antipyretic activity in an LPS-induced fever model was limited and not sustained. Conclusions: Overall, these findings indicated that the 4-hydroxyphenylamino-naphthoquinone scaffold emerges as a promising non-opioid platform for peripheral inflammatory pain, supporting further investigation of its pharmacological and mechanistic properties. Full article
(This article belongs to the Section Drug Targeting and Design)
9 pages, 1063 KB  
Case Report
A Case Report of Vitamin C Deficiency Mimicking Osteomyelitis
by Akash Daswaney, Nirali Borad, Anhthu Trinh, Stephanie Thompson and Youmna Mousattat
Pediatr. Rep. 2026, 18(2), 57; https://doi.org/10.3390/pediatric18020057 - 14 Apr 2026
Viewed by 152
Abstract
Vitamin C, also known as ascorbic acid, plays a pivotal role in forming blood vessels, cartilage, muscles, and collagen in bones. We report a 6-year-old non-verbal female with global developmental delay who presented with complaints of lower limb pain and inability to bear [...] Read more.
Vitamin C, also known as ascorbic acid, plays a pivotal role in forming blood vessels, cartilage, muscles, and collagen in bones. We report a 6-year-old non-verbal female with global developmental delay who presented with complaints of lower limb pain and inability to bear weight. Symptoms started five weeks prior to presentation and had progressed from decreased activity to complete loss of weight-bearing. Physical examination showed gingival hyperplasia, perifollicular petechiae, lower limb edema, and corkscrew hair. Initial radiologic findings raised concerns of osteomyelitis, showing bone marrow edema, periosteal reaction, and cortical irregularity. However, correlation with dietary history limited to flavored milk and yogurt and lacking fruits and vegetables, in conjunction with clinical presentation, suggested vitamin C deficiency, and she was started on ascorbic acid. Vitamin C deficiency was later confirmed on day 7 by a low C deficiency level (<0.1 mg/dL). Treatment with ascorbic acid, multivitamins, and supportive therapy led to gradual recovery, and gastrostomy tube placement facilitated supplementation. This case highlights the importance of detailed dietary history and recognition of clinical signs of vitamin C deficiency. Early dietary assessment and clinical correlation can prevent unnecessary invasive procedures and prolonged antibiotic therapy. Early identification enables timely intervention, reducing morbidity and improving quality of life. Full article
Show Figures

Figure 1

26 pages, 3302 KB  
Article
Comparison of Controller Logics for Automating Vasopressor Administration Using a Hardware-in-Loop Test Platform
by Michael D. Lopez, Jonathan Marrero Bermudez, David Berard, Lawrence Holland, Austin J. Ruiz, Jose M. Gonzalez, Sofia I. Hernandez Torres and Eric J. Snider
Bioengineering 2026, 13(4), 454; https://doi.org/10.3390/bioengineering13040454 - 13 Apr 2026
Viewed by 314
Abstract
Hemorrhagic shock remains one of the leading causes of preventable death for both civilian and military trauma. Fluid resuscitation is the primary treatment but requires constant monitoring, particularly for volume non-responsive patients susceptible to fluid overload, pulmonary edema, and other life-threatening conditions. To [...] Read more.
Hemorrhagic shock remains one of the leading causes of preventable death for both civilian and military trauma. Fluid resuscitation is the primary treatment but requires constant monitoring, particularly for volume non-responsive patients susceptible to fluid overload, pulmonary edema, and other life-threatening conditions. To overcome fluid non-responsiveness, vasoactive drugs or vasopressors can be necessary adjuvants to fluid therapy but require tedious titrations that can be difficult to manage during mass-casualty situations. This study developed and evaluated automated closed-loop vasopressor controllers for hemorrhage scenarios. Ten physiological closed-loop controller (PCLC) configurations with different underlying functionalities were tuned to be either more aggressive or conservative to reach the target mean arterial pressure. A hardware-in-loop test platform with fluid-pressure responsiveness, derived from animal data, tested each controller across three different starting pressure scenarios. The platform successfully differentiated controller designs based on performance metrics. While some configurations overshot the target and others could not reach the target pressure, strong-performing PCLCs consistently reached and maintained the target quickly. Three candidate PCLCs outperformed the rest and will be evaluated across wider scenarios to develop a robust controller design. This work accelerates PCLC-driven vasopressor administration development, providing a necessary fluid resuscitation adjuvant for precise hemodynamic management in hemorrhagic trauma. Full article
(This article belongs to the Section Biomedical Engineering and Biomaterials)
Show Figures

Figure 1

15 pages, 837 KB  
Article
Postoperative Outcomes of Transaxillary First Rib Resection with Anterior Scalenotomy for Thoracic Outlet Syndrome: An Ambispective Multimodal Cohort Study
by Thrasyvoulos Michos, Anastasia Roumpaki, Emmanouil I. Kapetanakis, Petros Michos, Ioannis Gakidis, Christos Chantziantoniou, Aikaterini Kotroni, Ioanna Vlachou, Asterios Kanakis, Vicenzo Castilletti, Chara Tzavara, George Babis, Periklis Tomos and Spiros Pneumaticos
Medicina 2026, 62(4), 735; https://doi.org/10.3390/medicina62040735 - 12 Apr 2026
Viewed by 217
Abstract
Background and Objectives: This study aimed to evaluate postoperative outcomes following transaxillary first rib resection with concomitant anterior scalenotomy (Roos procedure) for Thoracic Outlet Syndrome, using an ambispective design with a standardized two-year multimodal follow-up in a prospectively observed subgroup. Materials and [...] Read more.
Background and Objectives: This study aimed to evaluate postoperative outcomes following transaxillary first rib resection with concomitant anterior scalenotomy (Roos procedure) for Thoracic Outlet Syndrome, using an ambispective design with a standardized two-year multimodal follow-up in a prospectively observed subgroup. Materials and Methods: This ambispective observational cohort study included 32 patients (87.5% women; mean age, 33.8 years) who underwent transaxillary first rib resection with anterior scalenotomy for Thoracic Outlet Syndrome. Of these, seven patients comprised the retrospective cohort, having undergone surgery between 2017 and 2019, while the remaining 25 patients were enrolled prospectively and underwent surgery from 2020 onwards. Patients were classified as having neurogenic, vascular (arterial or venous), or mixed Thoracic Outlet Syndrome. Retrospective data were obtained from medical records, while prospectively treated patients were followed according to a predefined postoperative protocol. Longitudinal changes in clinical outcomes were analyzed using mixed linear and logistic regression models. Results: All analyzed symptoms improved after surgery (p < 0.05), with a significant reduction in upper limb edema over time (OR = 0.44, p = 0.002). The prevalence of positive provocative tests decreased notably across all maneuvers postoperatively. Pathological color duplex ultrasound findings of the upper limb vessels resolved almost completely during follow-up. Patient-reported outcome measures (CBSQ, DASH, and BPI) demonstrated meaningful postoperative improvement with sustained benefits over time. Electrophysiological evaluation revealed notable improvement in median sensory and motor nerve conduction parameters. Conclusions: Transaxillary first rib resection with anterior scalenotomy appears to improve clinical, functional, and objective outcomes in patients with Thoracic Outlet Syndrome; however, findings should be interpreted with caution due to the ambispective design, small sample size, and cohort heterogeneity, and require confirmation in larger prospective studies. Full article
(This article belongs to the Special Issue Advances and Challenges in Skeletal Diseases)
Show Figures

Figure 1

Back to TopTop