Sign in to use this feature.

Years

Between: -

Subjects

remove_circle_outline
remove_circle_outline
remove_circle_outline
remove_circle_outline
remove_circle_outline

Journals

Article Types

Countries / Regions

Search Results (77)

Search Parameters:
Keywords = ectopic endometrium

Order results
Result details
Results per page
Select all
Export citation of selected articles as:
14 pages, 3912 KB  
Article
Immunohistochemical Detection of the Mechano-Gated Piezo Channels in the Normal Endometrium and in Endometriosis
by Angel Sánchez del Rio, Yolanda García-Mesa, Ana Gutiérrez-Palacios, Patricia Cuendias, Eliseo Viña, Graciela Martínez-Barbero, José A. Vega and Olivia García-Suárez
Biomolecules 2026, 16(1), 166; https://doi.org/10.3390/biom16010166 - 19 Jan 2026
Viewed by 183
Abstract
Endometriosis is an inflammatory estrogen-dependent disorder characterized by pain, dyspareunia, dysmenorrhea, and infertility. This is due to the invasion of different organs by endometrial tissue that causes inflammation, angiogenesis, and fibrosis. The ion channels Piezo1 and Piezo2 primarily work as mechanosensors and mechanotransducers [...] Read more.
Endometriosis is an inflammatory estrogen-dependent disorder characterized by pain, dyspareunia, dysmenorrhea, and infertility. This is due to the invasion of different organs by endometrial tissue that causes inflammation, angiogenesis, and fibrosis. The ion channels Piezo1 and Piezo2 primarily work as mechanosensors and mechanotransducers but also have functions that could participate in the clinical hallmarks of endometriosis. Thus, we investigated the occurrence and localization of Piezo1 and Piezo2 in healthy human endometrium and in endometriosis using immunohistochemistry. In healthy endometrium, Piezo1 immunoreactivity was detected in the glands and to a lesser extent in the stroma; Piezo2 was present in the same locations but at low or residual levels. In ectopic endometriosis, there was an increase in the intensity of Piezo1 regardless of location; Piezo2 only showed a net increase in the ovarian and vaginal endometriosis foci. The present results demonstrate the occurrence of Piezo ion channels in the healthy human endometrium for the first time, as well as an increase in Piezo1 in ectopic endometriosis, and no changes in Piezo2 with the exception of the ovary and vagina. However, these results are descriptive and qualitative, although they may serve as the basis for further studies. The role of these ion channels in the endometrium and in the pathogenesis of endometriosis remains to be elucidated, and more precise methods are needed to follow up on this pilot study that can be better analyzed statistically to confirm the results. Full article
(This article belongs to the Special Issue Mechanosensitivity and Ion Channels)
Show Figures

Figure 1

39 pages, 1187 KB  
Review
Endometriosis as a Systemic and Complex Disease: Toward Phenotype-Based Classification and Personalized Therapy
by Daniel Simancas-Racines, Emilia Jiménez-Flores, Martha Montalvan, Raquel Horowitz, Valeria Araujo and Claudia Reytor-González
Int. J. Mol. Sci. 2026, 27(2), 908; https://doi.org/10.3390/ijms27020908 - 16 Jan 2026
Viewed by 395
Abstract
Endometriosis is traditionally conceptualized as a pelvic lesion–centered disease; however, mounting evidence indicates it is a chronic, systemic, and multifactorial inflammatory disorder. This review examines the molecular dialog between ectopic endometrial tissue, the immune system, and peripheral organs, highlighting mechanisms that underlie disease [...] Read more.
Endometriosis is traditionally conceptualized as a pelvic lesion–centered disease; however, mounting evidence indicates it is a chronic, systemic, and multifactorial inflammatory disorder. This review examines the molecular dialog between ectopic endometrial tissue, the immune system, and peripheral organs, highlighting mechanisms that underlie disease chronicity, symptom variability, and therapeutic resistance. Ectopic endometrium exhibits distinct transcriptomic and epigenetic signatures, disrupted hormonal signaling, and a pro-inflammatory microenvironment characterized by inflammatory mediators, prostaglandins, and matrix metalloproteinases. Immune-endometrial crosstalk fosters immune evasion through altered cytokine profiles, extracellular vesicles, immune checkpoint molecules, and immunomodulatory microRNAs, enabling lesion persistence. Beyond the pelvis, systemic low-grade inflammation, circulating cytokines, and microRNAs reflect a molecular spillover that contributes to chronic pain, fatigue, hypothalamic–pituitary–adrenal axis dysregulation, and emerging gut–endometrium interactions. Furthermore, circulating biomarkers—including microRNAs, lncRNAs, extracellular vesicles, and proteomic signatures—offer potential for early diagnosis, patient stratification, and monitoring of therapeutic responses. Conventional hormonal therapies demonstrate limited efficacy, whereas novel molecular targets and delivery systems, including angiogenesis inhibitors, immune modulators, epigenetic regulators, and nanotherapeutics, show promise for precision intervention. A systems medicine framework, integrating multi-omics analyses and network-based approaches, supports reconceptualizing endometriosis as a systemic inflammatory condition with gynecologic manifestations. This perspective emphasizes the need for interdisciplinary collaboration to advance diagnostics, therapeutics, and individualized patient care, ultimately moving beyond a lesion-centered paradigm toward a molecularly informed, holistic understanding of endometriosis. Full article
Show Figures

Figure 1

24 pages, 3842 KB  
Article
NUMB in Endometrial Pathology: From Adenomyosis Expression Patterns to Endometrial Cancer Survival Implications
by Walid Shaalan, Nourhan Hassan, Mohamed Gamal Ibrahim, Benedikt Schäfgen, Kathrin Haßdenteufel, Julia Gallwas, Ludwig Kiesel, Andreas N. Schüring and Martin Götte
Curr. Issues Mol. Biol. 2025, 47(12), 1027; https://doi.org/10.3390/cimb47121027 - 10 Dec 2025
Cited by 1 | Viewed by 323
Abstract
Adenomyosis, a prevalent gynecologic condition involving invasion of endometrial tissue into the myometrium, remains poorly understood in terms of its molecular pathogenesis. Numb, an important regulator of cellular destiny and stem cell maintenance, has been implicated in numerous proliferative diseases; however, the role [...] Read more.
Adenomyosis, a prevalent gynecologic condition involving invasion of endometrial tissue into the myometrium, remains poorly understood in terms of its molecular pathogenesis. Numb, an important regulator of cellular destiny and stem cell maintenance, has been implicated in numerous proliferative diseases; however, the role for Numb in adenomyosis has not yet been investigated. This research examines the degree to which Numb protein may play a role in the pathogenesis of adenomyosis and additional invasive endometrial diseases. This study analyzed Numb protein expression in tissues from 21 adenomyosis patients and 14 controls using immunohistochemistry. Numb levels were evaluated in eutopic endometrium, ectopic lesions, and myometrium. Additionally, comprehensive bioinformatics analyses were performed including TCGA expression analysis, STRING protein–protein interaction network analysis, and Kaplan–Meier survival analysis to elucidate the clinical significance and mechanistic role of NUMB in endometrial pathology linked to invasive growth. Compared to controls (p < 0.001), adenomyosis patients’ eutopic endometrium and myometrium showed considerably higher levels of numb expression. It was predominantly observed in single cells rather than clusters. No significant variation was noted across menstrual cycle phases. Elevated Numb levels in the myometrium suggest a potential role in tissue invasion. TCGA analysis revealed significant associations between NUMB alterations and expression patterns in endometrial carcinoma, with copy number alterations showing a dose-dependent relationship with the expression levels. STRING network analysis identified NUMB as a central hub protein with 20 high-confidence interactions, particularly enriched in Notch signaling pathway components (FDR = 1.0 × 10−15). Kaplan–Meier survival analysis demonstrated that endometrial carcinoma patients with NUMB alterations had significantly better overall survival compared to unaltered cases (p = 9.119 × 10−3), with 92% vs. 73% survival at 100 months. This study presents new evidence of elevated Numb expression in adenomyosis, suggesting that it may play a part in the pathophysiology of the disease and that it is a useful marker for dysregulation of endometrial stem cells. The comprehensive bioinformatics analyses establish NUMB as a central regulator of endometrial homeostasis with significant prognostic value in endometrial malignancies, providing mechanistic insights into the pathogenesis of invasive endometrial diseases and identifying potential therapeutic targets. Full article
(This article belongs to the Collection Molecular Mechanisms in Human Diseases)
Show Figures

Graphical abstract

31 pages, 1513 KB  
Review
Natural Killer (NK) Cell-Based Therapies Have the Potential to Treat Ovarian Cancer Effectively by Targeting Diverse Tumor Populations and Reducing the Risk of Recurrence
by Kawaljit Kaur
Cancers 2025, 17(23), 3862; https://doi.org/10.3390/cancers17233862 - 1 Dec 2025
Viewed by 2105
Abstract
Ovarian cancer is the sixth leading cause of cancer-related deaths among women in the United States. This complex disease arises from tissues such as the ovarian surface epithelium, fallopian tube epithelium, endometrium, or ectopic Müllerian components and is characterized by diverse histological and [...] Read more.
Ovarian cancer is the sixth leading cause of cancer-related deaths among women in the United States. This complex disease arises from tissues such as the ovarian surface epithelium, fallopian tube epithelium, endometrium, or ectopic Müllerian components and is characterized by diverse histological and molecular traits. Standard treatments like surgery, chemotherapy, and radiation have limited effectiveness and high toxicity. Targeted therapies, including poly (ADP-ribose) polymerase PARP inhibitors, anti-angiogenics, and immune checkpoint inhibitors (ICIs), face obstacles such as adaptive resistance and microenvironmental barriers that affect drug delivery and immune responses. Factors in the tumor microenvironment, such as dense stroma, hypoxia, immune suppression, cancer stem cells (CSCs), and angiogenesis, can reduce drug efficacy, worsen prognosis, and increase the risk of recurrence. Research highlights impaired immune function in ovarian cancer patients as a contributor to recurrence, emphasizing the importance of immunotherapies to target tumors and restore immune function. Preclinical studies and early clinical trials found that natural killer (NK) cell-based therapies have great potential to tackle ovarian tumors. This review explores the challenges and opportunities in treating ovarian cancer, focusing on how NK cells could help overcome these obstacles. Recent findings reveal that engineered NK cells, unlike their primary NK cells, can destroy both stem-like and differentiated ovarian tumors, pointing to their ability to target diverse tumor types. Animal studies on NK cell therapies for solid cancers have shown smaller tumor sizes, tumor differentiation in vivo, recruitment of NK and T cells in the tumor environment and peripheral tissues, restored immune function, and fewer tumor-related systemic effects—suggesting a lower chance of recurrence. NK cells clinical trials in ovarian cancer patients have also shown encouraging results, and future directions include combining NK cell therapies with standard treatments to potentially boost effectiveness. Full article
Show Figures

Figure 1

16 pages, 1249 KB  
Systematic Review
Uterine Ectopic Pregnancies and Live Births: Systematic Review of the Literature and Concepts Underlying Favorable Outcomes
by Guglielmo Stabile, Laura Vona, Stefania Carlucci, Anna Pitsillidi, Stefano Restaino, Giuseppe Vizzielli and Luigi Nappi
Medicina 2025, 61(11), 1915; https://doi.org/10.3390/medicina61111915 - 25 Oct 2025
Cited by 2 | Viewed by 1293
Abstract
Background and Objectives: Uterine ectopic pregnancy includes uterine extraendometrial forms such as cervical, intramural, and interstitial pregnancies, whose incidence is increasing with prior uterine surgery and assisted reproduction. Unlike cesarean scar pregnancy, which is known to occasionally progress to term, the potential [...] Read more.
Background and Objectives: Uterine ectopic pregnancy includes uterine extraendometrial forms such as cervical, intramural, and interstitial pregnancies, whose incidence is increasing with prior uterine surgery and assisted reproduction. Unlike cesarean scar pregnancy, which is known to occasionally progress to term, the potential for these other types to continue beyond the first trimester remains poorly defined. This review evaluates reported cases carried to viability, focusing on maternal and neonatal outcomes and identifying prognostic factors influencing progression. Materials and Methods: This systematic review was conducted in accordance with PRISMA guidelines and registered in PROSPERO (CRD420251070864). Comprehensive searches of PubMed, Scopus, and Web of Science up to June 2025 identified English-language case reports of uterine ectopic pregnancies (cervical, intramural, or interstitial) resulting in live birth. Data on maternal characteristics, clinical presentation, pregnancy course, delivery outcomes, and neonatal parameters were extracted. Study quality was assessed using the Joanna Briggs Institute checklist for case reports. Results: Uterine ectopic pregnancies were frequently misdiagnosed, with definitive diagnosis established only at delivery in 85% of cases. The majority of patients presented with abdominal pain or vaginal bleeding, and maternal morbidity was considerable: two-thirds required hysterectomy, and blood transfusions were often necessary due to severe hemorrhage. Fourteen live births were reported (nine interstitial, four cervical, and one intramural). Neonatal survival was primarily dependent on gestational age at delivery, while successful continuation of pregnancy appeared favored by implantation in more distensible myometrial regions and the presence of residual endometrial tissue. Conclusions: An increased amount of endometrium and greater myometrial distensibility at the implantation site enhance the likelihood of uterine ectopic pregnancies progressing to viability. These factors should guide early diagnosis, patient counseling, and individualized management, considering gestational age, implantation type, and future fertility goals. Full article
(This article belongs to the Section Obstetrics and Gynecology)
Show Figures

Figure 1

25 pages, 5650 KB  
Review
Balancing Decidualization, Autophagy, and Cellular Senescence for Reproductive Success in Endometriosis Biology
by Hiroshi Shigetomi, Miki Nishio, Mai Umetani, Shogo Imanaka, Hiratsugu Hashimoto and Hiroshi Kobayashi
Int. J. Mol. Sci. 2025, 26(18), 9125; https://doi.org/10.3390/ijms26189125 - 18 Sep 2025
Cited by 2 | Viewed by 2455
Abstract
Endometriosis is a chronic disease characterized by the ectopic presence of endometrial cells that evade apoptosis and survive and proliferate under harsh environmental conditions. It is closely associated with infertility and pregnancy-related complications. This review focuses on the molecular pathophysiology of endometriosis, particularly [...] Read more.
Endometriosis is a chronic disease characterized by the ectopic presence of endometrial cells that evade apoptosis and survive and proliferate under harsh environmental conditions. It is closely associated with infertility and pregnancy-related complications. This review focuses on the molecular pathophysiology of endometriosis, particularly the disruption of the p53–AMPK–mTOR signaling axis, and highlights the dysregulation of decidualization and cellular senescence, incorporating recent findings in reproductive physiology. A comprehensive literature search was conducted using PubMed and Google Scholar without temporal restrictions. Endometriotic cells adapt to the hostile peritoneal environment through resistance to apoptosis and alterations in autophagy. In the early stages, autophagy activation may promote cell survival; however, as the disease progresses, autophagic activity tends to decline. Aberrant activation of mTOR signaling is implicated in this process, contributing to the suppression of autophagy, impaired decidualization, and promotion of cellular senescence, ultimately facilitating lesion progression and infertility. Indeed, in the eutopic endometrium of patients with endometriosis, progesterone resistance, elevated inflammatory cytokines, and epigenetic abnormalities are known to reduce endometrial receptivity. Moreover, suppression of autophagy leads to excessive cellular senescence and secretion of the senescence-associated secretory phenotype (SASP), thereby interfering with proper decidualization. Maintaining an appropriate balance between decidualization and cellular senescence is essential for reproductive function. Future development of therapeutic strategies targeting these processes is expected to help overcome infertility associated with endometriosis. Full article
(This article belongs to the Special Issue Molecular Studies of Endometriosis and Associated Diseases)
Show Figures

Figure 1

15 pages, 4126 KB  
Article
Identification of Adeno-Associate Virus (AAV) Serotype for Endometriosis Therapy and Effect of AAV-Mediated RNAi Delivery on Gene Expression and Cell Proliferation in In Vitro Endometrial Cell Culture
by Jin Kyung Baek, Jaekyung Lee, Yun Soo Chung and Seokkyo Seo
Microorganisms 2025, 13(9), 2144; https://doi.org/10.3390/microorganisms13092144 - 13 Sep 2025
Viewed by 1162
Abstract
Endometriosis is a chronic estrogen-dependent condition with limited treatment options, often requiring surgery and long-term hormonal therapy that may impair ovarian function. Despite advancements in gene therapy for other diseases, its application in endometriosis remains largely unexplored. This study aimed to evaluate the [...] Read more.
Endometriosis is a chronic estrogen-dependent condition with limited treatment options, often requiring surgery and long-term hormonal therapy that may impair ovarian function. Despite advancements in gene therapy for other diseases, its application in endometriosis remains largely unexplored. This study aimed to evaluate the potential of adeno-associated virus (AAV) vectors for targeted gene therapy in endometriosis. We screened multiple AAV serotypes for infectivity in primary human ectopic and eutopic endometrial cells as well as normal ovarian stromal cells. AAV serotype 3 (AAV3) demonstrated selective infectivity toward endometrial cells while sparing ovarian tissue. AAV3-mediated delivery of small interfering RNA targeting estrogen receptor 2 reduced Estrogen receptor beta (ERβ) expression to 27% in ectopic and 49% in eutopic cells. Under estradiol and inflammatory stimulation, ERβ knockdown led to modest reductions in cellular metabolic activity in eutopic cells, whereas effects in ectopic cells did not reach statistical significance. Dual targeting of ERβ and prostaglandin-endoperoxide synthase 2 (PTGS2) showed numerically lower metabolic activity than controls under some conditions but without consistent statistical significances. These findings suggest that AAV3 can serve as an ovary-sparing, endometriosis-specific vector that facilitates gene silencing while yielding limited phenotypic effects. This gene delivery system may provide a basis for developing future gene-based therapies for endometriosis. Full article
(This article belongs to the Section Medical Microbiology)
Show Figures

Figure 1

12 pages, 652 KB  
Review
Unraveling the Contribution of Estrobolome Alterations to Endometriosis Pathogenesis
by Giulia Nannini, Francesco Cei and Amedeo Amedei
Curr. Issues Mol. Biol. 2025, 47(7), 502; https://doi.org/10.3390/cimb47070502 - 1 Jul 2025
Cited by 8 | Viewed by 5766
Abstract
Endometriosis (EMS) is a long-term inflammatory disease. It represents one of the most prevalent gynecological conditions, impacting an estimated 5% of reproductive women. Therefore, endometriosis contributes to substantial worldwide health challenges and healthcare costs. In EMS disease, endometrial glandular and stromal tissues are [...] Read more.
Endometriosis (EMS) is a long-term inflammatory disease. It represents one of the most prevalent gynecological conditions, impacting an estimated 5% of reproductive women. Therefore, endometriosis contributes to substantial worldwide health challenges and healthcare costs. In EMS disease, endometrial glandular and stromal tissues are abnormally located outside the uterus. Similarly to the natural endometrium, these tissues grow and proliferate in response to estrogen-dependent signals. The pain and limited effectiveness of treatments are often linked to the inflammatory reaction triggered by EMS-associated ectopic tissue. This is especially amplified during the peaks of estrogen release that occur as the menstrual cycle transitions from the proliferative phase to ovulation. Maintaining the integrity of the mucosal lining, defending against pathogenic insults, and controlling physiological processes are all made possible by a healthy, balanced state of gut biomass. Additionally, numerous intestinal bacteria have been discovered to possess estrogen-metabolizing enzymes, which affect the estrobolome and, consequently, influence estrogen-related disorders. Therefore, there is increasing interest in understanding the role of microbiota and the estrobolome in endometriosis pathogenesis. This review will focus on the role of microbiota and the impact of estrobolome alterations in endometriosis pathogenesis. Full article
(This article belongs to the Section Molecular Medicine)
Show Figures

Figure 1

14 pages, 567 KB  
Review
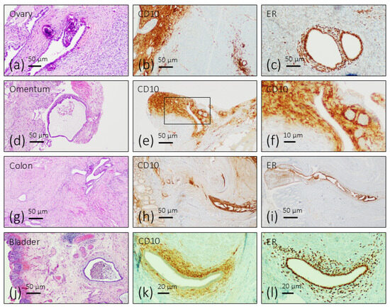
Pathophysiology of Endometriosis: Insights from Immunohistochemical Analysis of Ectopic and Eutopic Tissues
by Fahad T. Alotaibi
Int. J. Mol. Sci. 2025, 26(13), 5998; https://doi.org/10.3390/ijms26135998 - 22 Jun 2025
Cited by 2 | Viewed by 2511
Abstract
Endometriosis is a complex gynecological disorder characterized by the presence of endometrial-like tissue outside the uterus, leading to chronic pain and infertility. Immunohistochemistry (IHC) serves as a vital technique for elucidating the molecular and cellular differences between ectopic endometriotic tissues and eutopic endometrium. [...] Read more.
Endometriosis is a complex gynecological disorder characterized by the presence of endometrial-like tissue outside the uterus, leading to chronic pain and infertility. Immunohistochemistry (IHC) serves as a vital technique for elucidating the molecular and cellular differences between ectopic endometriotic tissues and eutopic endometrium. IHC reveals significant variations in the expression of inflammatory markers, adhesion molecules, and cell cycle regulators. This literature review compiles findings from various studies that assess the role of key proteins, such as leukemia inhibitory factor (LIF), cyclooxygenase-2 (COX-2), and b-cell lymphoma 2 (BCL-2), across different menstrual phases and lesion types. Notably, elevated LIF levels and increased mast cell activity in ectopic tissues underscore the inflammatory landscape of endometriosis. Additionally, altered expression of adhesion molecules like integrins and cluster of differentiation 44 (CD44) suggests modified cellular interactions, while apoptotic markers reveal a survival advantage for ectopic cells. These insights enhance our understanding of endometriosis pathophysiology. Full article
(This article belongs to the Section Molecular Endocrinology and Metabolism)
Show Figures

Figure 1

16 pages, 1205 KB  
Article
Molecular Profile (Estrogen Receptor, Progesterone Receptor, Bcl-2 and Ki-67) of the Ectopic Endometrium in Patients with Endometriosis
by Ciprian-Andrei Coroleucă, Cătălin-Bogdan Coroleucă, Ruxandra Coroleucă, Petre Cornel Brătilă, Aniela-Roxana Nodiți, Ioana Roșca, Lăcrămioara Aurelia Brîndușe, Elvira Brătilă and Mihaela Boț
Int. J. Mol. Sci. 2025, 26(7), 2983; https://doi.org/10.3390/ijms26072983 - 25 Mar 2025
Cited by 5 | Viewed by 3634
Abstract
Endometriosis is characterized by alterations of the action and control mechanisms that lead to the development of ectopic endometrial tissue. This study aimed to analyze the molecular profile of ectopic endometrium by evaluating the expression of several biomarkers [estrogen receptor (ER), progesterone receptor [...] Read more.
Endometriosis is characterized by alterations of the action and control mechanisms that lead to the development of ectopic endometrial tissue. This study aimed to analyze the molecular profile of ectopic endometrium by evaluating the expression of several biomarkers [estrogen receptor (ER), progesterone receptor (PR), anti-apoptotic protein Bcl-2, and Ki-67 antigen] in relation to the stage of the disease and symptoms. A prospective study over a period of one year, consisting of 14 patients with endometriosis, was performed. All patients received laparoscopic surgical treatment for excision of the lesions and staging of the disease. The expression of the aforementioned biomarkers was assessed in the ectopic endometrial tissue from the excised lesions using immunohistochemistry to determine their expression in the glandular epithelium and stroma. The mean expression of biomarkers in the epithelial and stromal levels did not differ significantly based on disease stage. Epithelial ER expression was significantly positively correlated with stromal ER, epithelial PR, and stromal PR. Stromal ER was significantly positively correlated with epithelial PR and stromal Ki-67. Epithelial Bcl-2 was significantly positively correlated with stromal Bcl-2. Epithelial Ki-67 was significantly positively correlated with stromal Ki-67. Finally, epithelial Bcl-2 expression was significantly positively correlated with the intensity of dyspareunia. The correlation between epithelial Bcl-2 expression and the intensity of dyspareunia highlights a potential molecular link to the severity of symptoms in endometriosis. These results suggest that further exploration of these biomarkers could lead to improved understanding of their clinical implications and more personalized therapies for patients with endometriosis. Full article
(This article belongs to the Special Issue Endometriosis: Focusing on Molecular and Cellular Research)
Show Figures

Figure 1

15 pages, 2672 KB  
Article
Potential Modulatory Role of Phoenixin-14 in Epithelial–Mesenchymal Transition of Endometriotic 12Z Cells
by Karolina Iwona Kulinska, Magdalena Wierzbicka, Anna Dera-Szymanowska, Krzysztof Szymanowski, Mirosław Andrusiewicz and Maria Wołuń-Cholewa
Biomedicines 2025, 13(1), 158; https://doi.org/10.3390/biomedicines13010158 - 10 Jan 2025
Viewed by 1938
Abstract
Background/Objectives: Endometriosis is a painful chronic condition in which the endometrium grows outside the uterus. The epithelial–mesenchymal transition (EMT) is critical to endometriosis progression, where cells lose epithelial traits and gain invasiveness. Methods: This study investigates the effects of phoenixin-14 (PNX-14), [...] Read more.
Background/Objectives: Endometriosis is a painful chronic condition in which the endometrium grows outside the uterus. The epithelial–mesenchymal transition (EMT) is critical to endometriosis progression, where cells lose epithelial traits and gain invasiveness. Methods: This study investigates the effects of phoenixin-14 (PNX-14), a neuropeptide found at reduced levels in endometriosis patients, on the expression of two molecular EMT markers, CDH1 (E-cadherin) and THBS2 (thrombospondin 2), as well as cell viability in the endometriosis-derived 12Z cell line. Cells were treated with physiological (0.2 nM) and endometriosis-relevant (0.05 nM) concentrations of PNX-14. Gene expression was analyzed using RT-qPCR, while protein localization was assessed by immunocytochemistry. Cell viability was measured using an XTT assay. Results: THBS2 gene expression was significantly decreased, and CDH1 remained unchanged in cells stimulated by 0.05 nM PNX-14. Immunolocalization indicates a weaker THBS2 and CDH1 protein immunosignal reaction for 0.05 nM PNX-14. PNX-14 treatment also exhibited a biphasic effect on cell viability. Lower concentration initially decreased viability at 48 h but then significantly increased it at 72 h. This increase coincided with the decrease in THBS2 expression, suggesting a potential link between PNX-14, THBS2, and cell viability. Conclusions: A negative correlation between cell viability and the expression of both EMT markers further highlights their possible involvement in the survival and adaptability of ectopic epithelial cells. Our findings suggest a complex interplay between PNX-14, EMT markers, and cell viability in ectopic epithelial cells. PNX-14’s ability to modulate these factors warrants further investigation to elucidate its role in endometriosis. Full article
(This article belongs to the Special Issue Molecular and Clinical Aspects of Endometriosis Pathophysiology)
Show Figures

Figure 1

19 pages, 7057 KB  
Article
Thymol Impacts the Progression of Endometriosis by Disrupting Estrogen Signaling Pathways and Inflammatory Responses
by Yu Zhang, Aftab Shaukat, Han Zhang, Yao-Feng Yang, Hui-Xia Li, Guang-Ya Li, Ying-Nan Liu, Chen Liang, Jin-Wen Kang, Shao-Chuan Li and Ren-Wei Su
Int. J. Mol. Sci. 2024, 25(23), 13150; https://doi.org/10.3390/ijms252313150 - 7 Dec 2024
Cited by 6 | Viewed by 2830
Abstract
Endometriosis is a chronic inflammatory, estrogenic disorder caused by endometrial tissue growth places other than uterine lumen, resulting in infertility and severe pelvic pain. Thymol, an extract of Thymus vulgaris, processes diverse biological properties, including anti-inflammatory, local anesthetic, decongestant, and antiseptic effects. [...] Read more.
Endometriosis is a chronic inflammatory, estrogenic disorder caused by endometrial tissue growth places other than uterine lumen, resulting in infertility and severe pelvic pain. Thymol, an extract of Thymus vulgaris, processes diverse biological properties, including anti-inflammatory, local anesthetic, decongestant, and antiseptic effects. However, the efficacy of thymol in treating endometriosis has still not been explored. Herein, this research aimed to investigate the role of thymol in the treatment of endometriosis using a murine model and Ishikawa cells. Thirty C57BL/6 mice were administered 17β-E2 (100 ng/mouse) subcutaneously for three consecutive days to induce synchronous estrus. On the last day of injection, the mice underwent surgical induction of endometriosis. After that, the mice were divided into three groups, i.e., Control (CTRL), Thymol 30 mg/kg and Thymol 60 mg/kg, receiving oral administration of either saline or thymol (30 mg/kg/d or 60 mg/kg/d, as 0.1 mL/kg/d, respectively) for a three-week duration. Each group consisted of ten mice and was evenly divided into estrus and diestrus according to the vaginal cytology on the last day of treatment. Thymol significantly (p < 0.05) reduced the weight and volume of ectopic tissue, hindered cell proliferation, and stimulated apoptosis compared to the CTRL group. Additionally, in the thymol-treated group, the levels of pro-inflammatory cytokines, tumor necrosis factor-α (TNF-α), interleukin (IL)-1β, and IL-6, as well as the numbers of neutrophils and macrophages, were significantly (p < 0.05) decreased. Moreover, a novel role of thymol in rebalancing estrogen and progesterone (E2-P4) signaling was explored, and it was distributed in the ectopic endometrium. Next, the role of thymol on Ishikawa cells was determined. The results demonstrated that thymol significantly (p < 0.05) suppressed the E2-induced proliferation of Ishikawa cells. Furthermore, molecular docking analyses suggested that thymol potentially binds to ESR1-like estrogens, indicating its antagonistic activity against estrogens. The estrogen receptor 1 (ESR1) and its target gene expression exhibited significant (p < 0.05) downregulation, while progesterone receptor (PGR) and target genes were markedly (p < 0.05) upregulated following thymol treatment in the ectopic endometrium. Most importantly, our data revealed the minimal impact of thymol treatment on the eutopic endometrium and its crucial role in supporting pregnancy, thus indicating the safety of thymol in treating endometriosis. Overall, our study suggests that thymol holds promising therapeutic implications for endometriosis by virtue of its anti-inflammatory properties and ability to antagonize estrogen activity. Full article
Show Figures

Figure 1

31 pages, 2500 KB  
Review
Motile Cilia in Female and Male Reproductive Tracts and Fertility
by Dorota Wloga, Ewa Joachimiak, Anna Osinka, Salman Ahmadi and Sumita Majhi
Cells 2024, 13(23), 1974; https://doi.org/10.3390/cells13231974 - 28 Nov 2024
Cited by 3 | Viewed by 3970
Abstract
Motile cilia are evolutionarily conserved organelles. In humans, multiciliated cells (MCCs), assembling several hundred motile cilia on their apical surface, are components of the monolayer epithelia lining lower and upper airways, brain ventricles, and parts of the reproductive tracts, the fallopian tube and [...] Read more.
Motile cilia are evolutionarily conserved organelles. In humans, multiciliated cells (MCCs), assembling several hundred motile cilia on their apical surface, are components of the monolayer epithelia lining lower and upper airways, brain ventricles, and parts of the reproductive tracts, the fallopian tube and uterus in females, and efferent ductules in males. The coordinated beating of cilia generates a force that enables a shift of the tubular fluid, particles, or cells along the surface of the ciliated epithelia. Uncoordinated or altered cilia motion or cilia immotility may result in subfertility or even infertility. Here, we summarize the current knowledge regarding the localization and function of MCCs in the human reproductive tracts, discuss how cilia and cilia beating-generated fluid flow directly and indirectly contribute to the processes in these organs, and how lack or improper functioning of cilia influence human fertility. Full article
(This article belongs to the Special Issue The Role of Cilia in Health and Diseases)
Show Figures

Figure 1

11 pages, 1007 KB  
Article
Diagnostics and Surgical Treatment of Deep Endometriosis—Real-World Data from a Large Endometriosis Center
by Marcel Grube, Maren Castan, Alexander Drechsel-Grau, Teresa Praetorius, Karen Greif, Annette Staebler, Felix Neis, Katharina Rall, Bernhard Kraemer, Stefan Kommoss and Jürgen Andress
J. Clin. Med. 2024, 13(22), 6783; https://doi.org/10.3390/jcm13226783 - 11 Nov 2024
Cited by 4 | Viewed by 2330
Abstract
Background: Deep endometriosis (DE) is a special form of endometriosis, one of the most common benign diseases in gynecology. In the specific case of DE, ectopic endometrium can be found not only in peritoneal but also in deeper tissue layers or even as [...] Read more.
Background: Deep endometriosis (DE) is a special form of endometriosis, one of the most common benign diseases in gynecology. In the specific case of DE, ectopic endometrium can be found not only in peritoneal but also in deeper tissue layers or even as parenchymal organ infiltration. Symptoms include dysmenorrhea, dyspareunia, dyschezia, and dysuria, as well as asymptomatic hydronephrosis or other organ dysfunctions. Due to a pathogenesis of the disease that has not been conclusively clarified to date, no causal therapy exists, which is why surgical resection of DE is still the gold standard for symptomatic cases. Methods: This article retrospectively describes the challenges in diagnosis and surgical treatment of DE at a German Level III Endometriosis Center, with a focus on diagnosis and surgical treatment, as well as the analysis of perioperative and postoperative complications. Results: The surgical treatment of DE is performed in most cases by minimally invasive laparoscopy (94.1%), whereas complex procedures such as ureterolysis, adhesiolysis, or preparation of the rectovaginal septum are considered standard procedures as well. The complexity of the procedures is further underlined by a high need for interdisciplinary operations (28%). Despite high complexity, severe postoperative complications occurred in only 3.1% of surgeries, with the complication rate being significantly higher whenever bowel surgery was necessary for DE resection. Conclusions: Our results emphasize the complexity and interdisciplinary nature of the disease. Therefore, treatment should preferably take place at an endometriosis center of the highest level with experienced, well-coordinated teams. Full article
(This article belongs to the Section Obstetrics & Gynecology)
Show Figures

Figure 1

16 pages, 3890 KB  
Article
miR-193b-5p and miR-374b-5p Are Aberrantly Expressed in Endometriosis and Suppress Endometrial Cell Migration In Vitro
by Caroline Frisendahl, Yiqun Tang, Nageswara Rao Boggavarapu, Maire Peters, Parameswaran Grace Lalitkumar, Terhi T. Piltonen, Riikka K. Arffman, Andres Salumets, Martin Götte, Eberhard Korsching and Kristina Gemzell-Danielsson
Biomolecules 2024, 14(11), 1400; https://doi.org/10.3390/biom14111400 - 3 Nov 2024
Cited by 6 | Viewed by 2663
Abstract
(1) Background: Endometriosis is a highly prevalent gynecological disease affecting 10% of women of reproductive age worldwide. miRNAs may play a role in endometriosis, though their exact function remains unclear. This study aimed to identify differentially expressed miRNAs in endometriosis and study their [...] Read more.
(1) Background: Endometriosis is a highly prevalent gynecological disease affecting 10% of women of reproductive age worldwide. miRNAs may play a role in endometriosis, though their exact function remains unclear. This study aimed to identify differentially expressed miRNAs in endometriosis and study their functions in the disease. (2) Methods: Endometrial tissue was collected from women with endometriosis (n = 15) and non-endometriosis controls (n = 17). Dysregulated miRNAs were identified through small RNA-sequencing, and their biological significance was explored by target gene prediction and pathway analysis. Selected miRNAs were examined in paired ectopic endometriomas and eutopic endometrium (n = 10) using qRT-PCR. Their roles in cell migration and proliferation were further examined in vitro using functional assays. To identify potential target genes, we performed mRNA sequencing on transfected cells and the endometrioma cohort. (3) Results: We identified 14 dysregulated miRNAs in the eutopic endometrium of women with endometriosis compared to endometrial tissue from women without endometriosis. Pathway analysis indicated enrichment in cell migration and proliferation-associated pathways. Further ex vivo studies of miR-193b-5p and miR-374b-5p showed that both miRNAs were upregulated in endometrioma. Overexpression of these two miRNAs in vitro inhibited cell migration, and mRNA sequencing revealed several migration-related genes that are targeted by these miRNAs. (4) Conclusions: Our study identified two key endometrial miRNAs that may be involved in the pathogenesis of endometriosis by regulating cell migration. Full article
(This article belongs to the Special Issue Cellular and Molecular Mechanisms of Endometriosis)
Show Figures

Figure 1

Back to TopTop