Sign in to use this feature.

Years

Between: -

Subjects

remove_circle_outline
remove_circle_outline
remove_circle_outline
remove_circle_outline
remove_circle_outline

Journals

Article Types

Countries / Regions

Search Results (39)

Search Parameters:
Keywords = early onset scoliosis

Order results
Result details
Results per page
Select all
Export citation of selected articles as:
20 pages, 2519 KB  
Review
Current Knowledge of Respiratory Function in Early Onset Scoliosis and the Effect of Its Contemporary Surgical Treatment
by Sai Gautham Balasubramanian, David Fender and Paul Rushton
J. Clin. Med. 2026, 15(2), 754; https://doi.org/10.3390/jcm15020754 - 16 Jan 2026
Viewed by 109
Abstract
Early Onset Scoliosis (EOS), defined as presenting before 10 years of age, often has a significant adverse impact on pulmonary function, due to a complex interrelationship between the spine, chest, pulmonary structures and their development. Left untreated, EOS leads to premature death, with [...] Read more.
Early Onset Scoliosis (EOS), defined as presenting before 10 years of age, often has a significant adverse impact on pulmonary function, due to a complex interrelationship between the spine, chest, pulmonary structures and their development. Left untreated, EOS leads to premature death, with early fusion surgery to arrest curve progression making little impact on this. To date, the natural history has not been clearly established as compounded by the heterogeneity of pathologies, causing EOS and challenges in objective measurements of pulmonary function in this young age group. A desire to address this poor natural history has motivated interest in pursuing ‘growth friendly’ surgical strategies. The implants used have evolved with time, often to address compromises and poor results, with multiple options now available based on treatment principles (distraction, compression, or guided growth systems). The aims of such strategies are to control the structural spinal deformity, whilst allowing spinal and thoracic growth, with the seemingly reasonable expectation that this will result in improved pulmonary function and avoidance of premature death. Most studies have focused on radiological outcome measures such as Cobb angle and thoracic height to gauge the success of surgery, with these measures acting as surrogate markers of improved pulmonary outcome. This assumption, however, is not supported by more recent clinical data which has attempted to assess directly the pulmonary outcomes associated with growth-friendly surgical strategies. This literature review therefore sets out to characterise the effect of EOS on pulmonary function and to critically analyse the impact surgical treatment options will have while addressing this. Full article
(This article belongs to the Special Issue Safety in Spinal Surgery)
Show Figures

Figure 1

25 pages, 2944 KB  
Systematic Review
Tips and Pitfalls of Surgical Techniques for Scoliotic Deformities in Neurofibromatosis Type 1
by Angelos Kaspiris, Ioanna Lianou, Vasileios Marouglianis, Roberta-Spyridoula Afrati, Evangelos Sakellariou, Andreas Morakis, Panagiotis Karampinas, Elias S. Vasilisadis and Spiros G. Pneumaticos
J. Clin. Med. 2026, 15(1), 104; https://doi.org/10.3390/jcm15010104 - 23 Dec 2025
Viewed by 343
Abstract
Background: Neurofibromatosis 1 is an autosomal dominant disorder accompanied by extensive early-onset spinal manifestations, with or without dystrophic scoliotic features. While non-dystrophic subtypes can often be treated similarly to idiopathic scoliosis, dystrophic scoliosis typically requires more aggressive intervention, often involving instrumentation in [...] Read more.
Background: Neurofibromatosis 1 is an autosomal dominant disorder accompanied by extensive early-onset spinal manifestations, with or without dystrophic scoliotic features. While non-dystrophic subtypes can often be treated similarly to idiopathic scoliosis, dystrophic scoliosis typically requires more aggressive intervention, often involving instrumentation in severely compromised pedicles or vertebrae. Purpose: This review aims to present recent advances in the surgical treatment of Neurofibromatosis 1-associated scoliosis, including surgical techniques and emerging guidance methods. Methods: An electronic literature search was conducted in Web of Science and PubMed to identify surgical techniques for scoliosis in patients with Neurofibromatosis 1. Results: Forty-one studies on the operative treatment of dystrophic scoliosis or both subtypes were retrieved. Although aggressive treatment with combined anterior and posterior fusion are widely used, posterior-only methods, which avoid plexiform tumours, present encouraging results. Recent studies highlight the effectiveness of growing rod systems in early-onset cases, enabling delayed fusion while preserving T1-S1 growth. Promising results from sectional or segmented correction techniques demonstrate better sagittal balance and Cobb angle correction, respectively. Preoperative use of halo-gravity traction, which has been extensively studied, is associated with reduced neurological impairment and encourages better correction results, avoiding autofusion. Various studies have also reported more precise pedicle screw placement with guidance of O-arm and triggered electromyography (t-EMG). Conclusions: The correction of spinal scoliotic deformities presents a significant challenge. However, recent advances in surgical techniques and intraoperative guidance offer promising strategies for more effective management. Full article
Show Figures

Figure 1

12 pages, 3416 KB  
Case Report
Previously Unreported TMEM38B Variant in Osteogenesis Imperfecta Type XIV: A Case Report and Systematic Review of the Literature
by Thomas Zoller, Martina Righetti, Riccardo Cont, Ruggero Lanzafame, Irene Ambrosetti, Alessandra Guzzo, Angelo Pietrobelli and Franco Antoniazzi
Int. J. Mol. Sci. 2025, 26(24), 12169; https://doi.org/10.3390/ijms262412169 - 18 Dec 2025
Viewed by 349
Abstract
Osteogenesis imperfecta (OI) type XIV is a rare recessive disorder caused by TMEM38B pathogenic variants that disrupt an endoplasmic reticulum protein essential for calcium homeostasis and bone mineralization. This leads to severe bone fragility, early-onset fractures, skeletal deformities, low bone mass, scoliosis, and [...] Read more.
Osteogenesis imperfecta (OI) type XIV is a rare recessive disorder caused by TMEM38B pathogenic variants that disrupt an endoplasmic reticulum protein essential for calcium homeostasis and bone mineralization. This leads to severe bone fragility, early-onset fractures, skeletal deformities, low bone mass, scoliosis, and variable features like blue sclerae or dental abnormalities. We present a case report of a 21-year-old Italian male with a novel homozygous TMEM38B splice variant (c.112 + 1G > T), detailing the clinical presentation, genetic findings, and therapeutic outcomes. The patient exhibited multiple skeletal deformities and showed a moderate response to bisphosphonate therapy (neridronate). In addition, a systematic review of PubMed and Scopus identified 12 relevant studies from an initial set of 82 publications, encompassing data from 56 patients diagnosed with OI type XIV. Unlike classical collagen-related OI, TMEM38B-related OI necessitates genetic screening beyond classical collagen genes (COL1A1 and COL1A2). While bisphosphonates provide some clinical benefit, persistent fractures underscore the need for long-term management and innovative therapies. This case report and systematic review enhance understanding of OI type XIV and underscore the clinical importance of TMEM38B variants in bone fragility disorders. Full article
(This article belongs to the Special Issue Molecular Studies of Bone Biology and Bone Tissue: 2nd Edition)
Show Figures

Figure 1

11 pages, 226 KB  
Article
Validation and Cultural Adaptation of the Polish Version of the 24-Item Early Onset Scoliosis Questionnaire (EOSQ-24)
by Edyta Kinel, Krzysztof Korbel, Piotr Janusz, Mateusz Kozinoga, Katarzyna Politarczyk, Karolina Jezierska and Tomasz Kotwicki
J. Clin. Med. 2025, 14(24), 8690; https://doi.org/10.3390/jcm14248690 - 8 Dec 2025
Viewed by 341
Abstract
Background: The negative impact of spinal deformities on health-related quality of life (HRQoL) is well known. One goal of early onset scoliosis (EOS) treatment is to improve HRQoL for patients and reduce the burden on the family. The aim of the study [...] Read more.
Background: The negative impact of spinal deformities on health-related quality of life (HRQoL) is well known. One goal of early onset scoliosis (EOS) treatment is to improve HRQoL for patients and reduce the burden on the family. The aim of the study was to carry on the process of cultural adaptation of the English version of the Early Onset Scoliosis Questionnaire 24 (EOSQ-24) into Polish. Methods: The Polish version of the EOSQ-24 -PL was applied to fifty EOS patients: age 7.5 ± 2.3 years and Cobb angle 24.6 ± 8.5 degrees. The sample included 36 patients with idiopathic, thirteen with congenital, and one with neuromuscular scoliosis. The parental assessment considered each item of the EOSQ-24 relevant to their child’s health condition. EOSQ consists of 24 question items, divided into domains. Transformed scores vary from 0 to 100; lower scores denote a lower quality of life. The reliability (internal consistency, test–retest reliability), floor and ceiling effects, and discriminative validity of the Polish version of the EOSQ-24 were calculated. Internal consistency was assessed using the Cronbach alpha coefficient. Test–retest reliability was evaluated using the intraclass correlation coefficient (ICC2.1). Results: All items and domains showed very good global internal consistencies (Cronbach’s alpha 0.901 and 0.823, respectively). There was no floor effect, and a ceiling effect ranged from 0 to 62%. The ICC2.1 values ranged from 0.74 to 0.98, indicating good to excellent agreement. Conclusions: The EOSQ-24-PL is a reliable tool for the psychometric assessment of children with EOS and the family burden. Full article
(This article belongs to the Special Issue Clinical New Insights into Management of Scoliosis)
11 pages, 1196 KB  
Article
Traditional Growth-Friendly Implants Result in Improved Health-Related Quality of Life in Cerebral Palsy Patients with Early-Onset Scoliosis
by Nicholas J. Buckler, Margaret Sun, Mason Al Nouri, Jason J. Howard, Majella Vaughan, Tricia St. Hilaire, Hiroko Matsumoto, Paul D. Sponseller, John T. Smith, George H. Thompson, Pediatric Spine Study Group and Ron El-Hawary
J. Pers. Med. 2025, 15(11), 506; https://doi.org/10.3390/jpm15110506 - 24 Oct 2025
Viewed by 440
Abstract
Background/Objectives: In an effort to promote personalized medicine, the purpose was to (1) analyze health-related quality of life (HRQoL) in cerebral palsy (CP) patients treated with growth-friendly implants for early-onset scoliosis (EOS), and (2) compare traditional implants (traditional growing rods [TGRs], VEPTR) [...] Read more.
Background/Objectives: In an effort to promote personalized medicine, the purpose was to (1) analyze health-related quality of life (HRQoL) in cerebral palsy (CP) patients treated with growth-friendly implants for early-onset scoliosis (EOS), and (2) compare traditional implants (traditional growing rods [TGRs], VEPTR) with magnetically controlled growing rods (MCGRs). Methods: Twenty-four patients with CP and EOS were identified from an international multicenter database. Mean EOSQ-24 domain and total scores and absolute differences from pre-index surgery to the minimum two-year follow-up were compared. Results: For all patients: Pre-index surgery EOSQ-24 total score: 48.9 vs. follow-up: 53.8. Follow-up scores were greater than at pre-op for 10 of the 12 domains, with the only significant difference being activities of daily living. Growth-friendly implants had positive absolute differences for 8 of the 12 domains and in the total score. Nine traditional implant patients had a pre-index surgery EOSQ-24 total of 45.8 points, while 15 MCGRs patients had a score of 50.8 points. At follow-up, traditional implant patients had greater scores than at pre-index surgery for all 12 domains, with total score of 55.1 points, and positive absolute differences for all domains (non-significant). MCGRs had greater scores than at pre-index surgery for six domains, with a total score of 53.1 points (non-significant), and positive absolute differences for seven domains. Traditional implants had a significantly greater absolute difference for emotion than MCGRs (p = 0.030). Conclusions: At the minimum two-year follow-up, CP patients had small, but statistically non-significant, improvements in HRQoL following growth-friendly surgery. Compared to MCGRs, traditional implants provided a modest additional benefit in HRQoL. Full article
Show Figures

Figure 1

17 pages, 3323 KB  
Article
Enhancing Torque Output for a Magnetic Actuation System for Robotic Spinal Distraction
by Yumei Li, Zikang Li, Ding Lu, Tairan Peng, Yunzhi Chen, Gang Fu, Zhenguo Nie and Fangyuan Wei
Sensors 2025, 25(20), 6497; https://doi.org/10.3390/s25206497 - 21 Oct 2025
Viewed by 814
Abstract
Magnetically controlled spinal growing rods, used for treating early-onset scoliosis (EOS), face a critical clinical limitation: insufficient distraction force. Compounding this issue is the inherent inability to directly monitor the mechanical output of such implants in vivo, which challenges their safety and efficacy. [...] Read more.
Magnetically controlled spinal growing rods, used for treating early-onset scoliosis (EOS), face a critical clinical limitation: insufficient distraction force. Compounding this issue is the inherent inability to directly monitor the mechanical output of such implants in vivo, which challenges their safety and efficacy. To overcome these limitations, optimizing the rotor’s maximum torque is essential. Furthermore, defining the “continuous rotation domain” establishes a vital safety boundary for stable operation, preventing loss of synchronization and loss of control, thus safeguarding the efficacy of future clinical control strategies. In this study, a transient finite element magnetic field simulation model of a circumferentially distributed permanent magnet–rotor system was established using ANSYS Maxwell (2024). The effects of the clamp angle between the driving magnets and the rotor, the number of pole pairs, the rotor’s outer diameter, and the rotational speed of the driving magnets on the rotor’s maximum torque were systematically analyzed, and the optimized continuous rotation domain of the rotor was determined. The results indicated that when the clamp angle was set at 120°, the number of pole pairs was one, the rotor outer diameter was 8 mm, the rotor achieved its maximum torque and exhibited the largest continuous rotation domain, while the rotational speed of the driving magnets had no effect on maximum torque. Following optimization, the maximum torque of the simulation increased by 201% compared with the pre-optimization condition, and the continuous rotation domain was significantly enlarged. To validate the simulation, a rotor torque measurement setup incorporating a torque sensor was constructed. Experimental results showed that the maximum torque improved from 30 N·mm before optimization to 90 N·mm after optimization, while the driving magnets maintained stable rotation throughout the process. Furthermore, a spinal growing rod test platform equipped with a pressure sensor was developed to evaluate actuator performance and measure the maximum distraction force. The optimized growing rod achieved a peak distraction force of 413 N, nearly double that of the commercial MAGEC system, which reached only 208 N. The simulation and experimental methodologies established in this study not only optimizes the device’s performance but also provides a viable pathway for in vivo performance prediction and monitoring, addressing a critical need in smart implantable technology. Full article
(This article belongs to the Special Issue Recent Advances in Medical Robots: Design and Applications)
Show Figures

Figure 1

10 pages, 1650 KB  
Article
Radiographic Outcomes After Growing Rod Treatment in Early-Onset Scoliosis: With Versus Without Final Fusion Surgery
by Yunjin Nam, Udit Patel, Sangmin Lee, Jungwook Lim, Jae Hyuk Yang and Seung Woo Suh
J. Clin. Med. 2025, 14(20), 7184; https://doi.org/10.3390/jcm14207184 - 12 Oct 2025
Viewed by 901
Abstract
Background/Objectives: Early-onset scoliosis (EOS) is often treated with growing rods, which use distraction-based correction to control deformity while allowing spinal growth. Although effective in the coronal plane, this technique may adversely affect sagittal alignment, particularly thoracic kyphosis and lumbar lordosis. Whether final [...] Read more.
Background/Objectives: Early-onset scoliosis (EOS) is often treated with growing rods, which use distraction-based correction to control deformity while allowing spinal growth. Although effective in the coronal plane, this technique may adversely affect sagittal alignment, particularly thoracic kyphosis and lumbar lordosis. Whether final fusion surgery is necessary after the growing rod treatment remains controversial. This study compared radiographic outcomes, including coronal and sagittal parameters, between patients with and without final fusion to clarify the value of final fusion. Methods: We retrospectively reviewed 19 EOS patients treated with growing rods between 2015 and 2019. Patients undergoing posterior spinal fusion after lengthening were classified as the final fusion group (n = 9), while those with more than 12 months of follow-up without fusion formed the graduated group (n = 10). Demographics, surgical variables, and radiographic parameters (Cobb angle, correction rate, coronal balance, clavicular angle, thoracic kyphosis, lumbar lordosis, sagittal vertical axis) were compared. Results: Baseline characteristics were similar. At final follow-up, the final fusion group had significantly better outcomes in Cobb angle (24.2° vs. 34.9°, p = 0.002), correction rate (66.6% vs. 40.1%, p = 0.001), and coronal balance (−1.5 mm vs. 19.7 mm, p = 0.004). Sagittal alignment did not differ significantly, but preservation of thoracic kyphosis tended to favor the fusion group. Conclusions: Final fusion surgery after growing rod treatment achieved superior coronal correction and balance compared with observation alone. Although sagittal alignment was not statistically different, a trend toward better thoracic kyphosis preservation was observed. Final fusion should be considered for larger residual curves or coronal imbalance, while observation may suffice in well-corrected cases. Full article
(This article belongs to the Special Issue Scoliosis: Advances in Diagnosis and Management)
Show Figures

Figure 1

10 pages, 1700 KB  
Article
Serial Casting for Early-Onset Scoliosis
by Jakub Adamczyk, Slawomir Duda, Wojciech Kacki, Barbara Jasiewicz and Tomasz Potaczek
J. Clin. Med. 2025, 14(12), 4329; https://doi.org/10.3390/jcm14124329 - 18 Jun 2025
Cited by 1 | Viewed by 1313
Abstract
Background: Early-onset scoliosis (EOS) is a severe spinal deformity that can compromise thoracic development and pulmonary function if left untreated. While Mehta casting is widely used to manage deformity non-surgically in young children, its effects on spinal and thoracic growth remain underexplored. [...] Read more.
Background: Early-onset scoliosis (EOS) is a severe spinal deformity that can compromise thoracic development and pulmonary function if left untreated. While Mehta casting is widely used to manage deformity non-surgically in young children, its effects on spinal and thoracic growth remain underexplored. Methods: In this retrospective case series, 15 children with EOS underwent serial elongation–derotation–flexion (EDF) Mehta casting. Radiographic assessments were performed pre-treatment, post-casting, and at follow-up, including measurements of Cobb angle, rib–vertebral angle difference (RVAD), Th1–Th12 spinal length, coronal chest width (CCW), and space available for lung (SAL). Growth rates were estimated based on the duration of treatment. Correlation analyses were conducted to examine associations between baseline deformity and structural outcomes. Results: Serial casting reduced the mean Cobb angle by 22.2° and RVAD by 15.5°. During treatment, measurable increases were observed in Th1–Th12 length (mean: 2.93 cm), CCW (1.12 cm), SAL-L (2.60 cm), and SAL-R (2.98 cm). Estimated annual growth was significantly greater in children with lower initial Cobb and RVAD values. In contrast, total casting duration showed no consistent correlation with growth outcomes. Conclusions: Mehta casting is effective not only in correcting spinal deformity but also in supporting thoracic and axial growth in children with EOS. Early application in flexible, less severe curves may optimize structural outcomes and preserve thoracic development during early growth. Full article
(This article belongs to the Special Issue New Progress in Pediatric Orthopedics and Pediatric Spine Surgery)
Show Figures

Figure 1

16 pages, 284 KB  
Article
Final Fusion Strategies in Early-Onset Scoliosis: Does Implant Density Make a Difference After Magnetically Controlled Growing Rod Treatment?
by Paolo Brigato, Leonardo Oggiano, Sergio De Salvatore, Davide Palombi, Sergio Sessa, Umile Giuseppe Longo, Andrea Vescio and Pier Francesco Costici
Children 2025, 12(6), 731; https://doi.org/10.3390/children12060731 - 31 May 2025
Viewed by 1153
Abstract
Background/Objectives: Early-onset scoliosis (EOS) frequently requires growth-friendly interventions, such as magnetically controlled growing rods (MCGRs), followed by definitive spinal fusion upon skeletal maturity. The optimal implant density (ID) for final posterior spinal fusion in these patients remains controversial. This study aimed to compare [...] Read more.
Background/Objectives: Early-onset scoliosis (EOS) frequently requires growth-friendly interventions, such as magnetically controlled growing rods (MCGRs), followed by definitive spinal fusion upon skeletal maturity. The optimal implant density (ID) for final posterior spinal fusion in these patients remains controversial. This study aimed to compare the radiographic, surgical, and economic outcomes associated with high-density (HD) versus low-density (LD) screw constructs in EOS patients previously treated with MCGRs undergoing definitive fusion. Methods: This retrospective study included 27 EOS patients who underwent definitive posterior spinal fusion between January 2017 and September 2022. Participants were categorized into two groups: HD (n = 13) and LD (n = 14). Primary outcomes included coronal and sagittal radiographic parameters assessed at early postoperative and final follow-up visits (minimum of 2 years). The secondary outcomes analyzed were major postoperative complications (grade ≥ IIIB according to Clavien–Dindo–Sink Classification [CDSC]), operative time, blood loss, hospital stay length, and total implant costs. Results: Baseline characteristics between the HD and LD groups were comparable. Early postoperative radiographic assessment demonstrated significantly greater thoracic kyphosis (16.3 ± 7.6° vs. 10.9 ± 14.4°, p = 0.021) and T1-S1 spinal height (43.3 ± 6.7 mm vs. 39.1 ± 4.3 mm, p = 0.039) in the HD group. At final follow-up, only T1-S1 spinal height remained significantly higher in the HD group (45.4 ± 7 mm vs. 39.7 ± 5.1 mm, p = 0.021). Implant costs were significantly higher in the HD group (EUR 6046.5 ± 1146.9 vs. EUR 4376.4 ± 999.4, p < 0.001), while operative time, blood loss, and hospital stay length showed no significant differences. HD constructs had three major complications requiring surgical revision, whereas LD constructs reported no perioperative complications but experienced three late-onset complications also necessitating revision surgery. Conclusions: LD constructs provided comparable long-term radiographic and clinical outcomes to HD constructs, with significantly lower implant-related costs. Despite initial superior kyphosis correction in HD constructs, this benefit diminished by the final follow-up. These findings support a selective, lower-density screw placement strategy to minimize costs and surgical complexity without compromising patient outcomes in EOS undergoing definitive spinal fusion. Full article
Show Figures

Figure 1

12 pages, 3189 KB  
Opinion
Evaluation and Treatment of Thoracic Insufficiency Syndrome and Early-Onset Scoliosis
by Margaret Bowen, Vineet Desai, Jason B. Anari and Patrick J. Cahill
J. Clin. Med. 2025, 14(3), 753; https://doi.org/10.3390/jcm14030753 - 24 Jan 2025
Cited by 1 | Viewed by 3042
Abstract
Thoracic insufficiency syndrome (TIS) and early-onset scoliosis (EOS) are complex pediatric conditions involving deformities of the spine and chest wall, which can significantly impact respiratory function and overall development. Managing these conditions requires a comprehensive approach that combines precise diagnosis and innovative treatment [...] Read more.
Thoracic insufficiency syndrome (TIS) and early-onset scoliosis (EOS) are complex pediatric conditions involving deformities of the spine and chest wall, which can significantly impact respiratory function and overall development. Managing these conditions requires a comprehensive approach that combines precise diagnosis and innovative treatment strategies. This opinion article provides a critical discussion of the diagnosis and treatment of TIS and EOS and reflects upon the advancement of methods that are crucial for assessing these conditions and guiding treatment decisions. Full article
Show Figures

Figure 1

14 pages, 5551 KB  
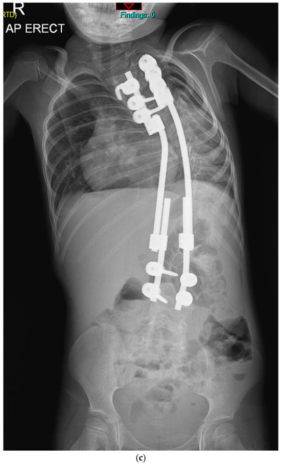
Article
Surgical Treatment of Early-Onset Scoliosis: Traditional Growing Rod vs. Magnetically Controlled Growing Rod vs. Vertical Expandable Prosthesis Titanium Ribs
by Bruna Maccaferri, Francesco Vommaro, Chiara Cini, Giuseppe Filardo, Luca Boriani and Alessandro Gasbarrini
J. Clin. Med. 2025, 14(1), 177; https://doi.org/10.3390/jcm14010177 - 31 Dec 2024
Cited by 4 | Viewed by 3249
Abstract
Objectives: Severe early-onset scoliosis (EOS) can be addressed by different growth-friendly approaches, although the indications of each technique remain controversial. The aim of this study was to compare, in a large series of patients, the potential and limitations of the different distraction-based surgical [...] Read more.
Objectives: Severe early-onset scoliosis (EOS) can be addressed by different growth-friendly approaches, although the indications of each technique remain controversial. The aim of this study was to compare, in a large series of patients, the potential and limitations of the different distraction-based surgical techniques to establish the most suitable surgical approach to treat EOS. Methods: We conducted a retrospective observational cohort study evaluating 62 EOS cases treated between January 2002 and December 2021 with a traditional growing rod (TGR), a magnetically controlled growing rod (MCGR) and vertical expandable prosthesis titanium ribs (VEPTR) at IRCSS Istituto Ortopedico Rizzoli, Bologna, Italy. The patients included had a mean age of 7 years and a mean follow-up of 36 months. The COBB angle was measured on x-rays at preoperative, early postoperative, and end of follow-up, and complications were recorded. Results: in our cohort, VEPTR was mainly used in congenital scoliosis (50% vs. a mean value of 25.8%) and syndromic scoliosis (42.9% vs. a mean value of 25.8%). MCGR was mainly used in idiopathic scoliosis (73.9% vs. an average value of 41.9%). TGR was mostly used in muscular neurology EOS (16% vs. an average value of 6.5%). The collected data show a similar deformity correction rate in growing-rod implants in VEPTR, TGR, and MCGR. The mean curve reduction was 25.8 95% CI (21.8–29.8) (p < 0.0005). Compared with preoperative measurements, significant differences in curve magnitude correction between subgroups occurred at the final treatment measurements, when patients with MCGR had a significantly larger correction (53.2° ± 20.84 in %33.9 con DS ± 14.27) than VEPTR (27.12°± 19.13 in %19.7° ± 13.7). Conclusions: Different growing-rod techniques are applied based on EOS etiology. While all EOS etiologies benefited from this surgical approach, congenital EOS had poorer results. Overall, MCGR has been the preferred option for idiopathic EOS and appears to be the most effective in correcting the primary curve. Full article
(This article belongs to the Section Orthopedics)
Show Figures

Figure 1

10 pages, 1569 KB  
Case Report
Cardiomyopathy in Non-Ambulatory Patients with Duchenne Muscular Dystrophy: Two Case Reports with Varying Outcomes, Considering Novel Treatments
by Marcello Marcì, Paola Vaccaro, Vincenzo Polizzi and Grazia Crescimanno
Reports 2025, 8(1), 2; https://doi.org/10.3390/reports8010002 - 27 Dec 2024
Viewed by 3243
Abstract
Background and Clinical Significance: Cardiomyopathy is a significant cause of mortality in patients with Duchenne muscular dystrophy (DMD). Key prognostic factors include the age of onset of cardiomyopathy, low body mass index (BMI), and poor respiratory function. Detection of cardiac abnormalities can be [...] Read more.
Background and Clinical Significance: Cardiomyopathy is a significant cause of mortality in patients with Duchenne muscular dystrophy (DMD). Key prognostic factors include the age of onset of cardiomyopathy, low body mass index (BMI), and poor respiratory function. Detection of cardiac abnormalities can be challenging, which complicates timely diagnosis and treatment. Common treatments for heart failure include ACE inhibitors, beta-blockers, and mineralocorticoids. However, their effectiveness can vary, and the progression of cardiomyopathy may differ from one patient to another. Ongoing research aims to identify better therapeutic strategies and biomarkers for early intervention, ultimately improving the quality of life for patients affected by cardiomyopathy. New medications for heart failure, such as sodium/glucose co-transporter 2 inhibitors (SGLT2i) and valsartan/sacubitril (V/S), have been proposed, but their safety and efficacy in DMD patients remain unknown. Case Presentation: We present two cases that illustrate the histories of two patients who experienced different outcomes. The management of the first patient was complicated by several factors, including an early onset of cardiomyopathy, intolerance to ACE inhibitors, and untreated scoliosis, which hindered the implantation of a cardioverter defibrillator (ICD). Unfortunately, he only benefited from dapagliflozin in the later stages of his cardiomyopathy. Neurological complications further exacerbated the advanced state of his disease. In contrast, the second patient adhered to all recommended therapies, including innovative medications, and he currently has compensated heart failure. Conclusions: We concluded that several factors, beyond genetic ones, may have influenced their prognosis, including updated guidelines for cardiomyopathy treatment and the utilization of innovative medications. Full article
(This article belongs to the Section Cardiology/Cardiovascular Medicine)
Show Figures

Figure 1

14 pages, 4811 KB  
Review
Current Concepts in the Treatment of Early Onset Scoliosis
by Alexandra N. Johnson and Robert K. Lark
J. Clin. Med. 2024, 13(15), 4472; https://doi.org/10.3390/jcm13154472 - 31 Jul 2024
Cited by 4 | Viewed by 4396
Abstract
Despite many surgical advances in the treatment of early onset scoliosis (EOS) over the past two decades, this condition remains a challenge to address. While otherwise healthy children can have EOS, many of these patients have complicated comorbidities making proper treatment algorithms extraordinarily [...] Read more.
Despite many surgical advances in the treatment of early onset scoliosis (EOS) over the past two decades, this condition remains a challenge to address. While otherwise healthy children can have EOS, many of these patients have complicated comorbidities making proper treatment algorithms extraordinarily difficult. Non-operative measures can be successful when initiated early, but are many times utilized as a delay tactic until growth-friendly operative procedures can be safely performed. This article will summarize the current concepts in the treatment of EOS with a focus on the surgical advances that have recently been made. Full article
Show Figures

Figure 1

22 pages, 30412 KB  
Article
Complications and Health-Related Quality of Life in Children with Various Etiologies of Early-Onset Scoliosis Treated with Magnetically Controlled Growing Rods—A Multicenter Study
by Pawel Glowka, Pawel Grabala, Munish C. Gupta, Daniel E. Pereira, Michal Latalski, Anna Danielewicz, Michal Grabala, Marek Tomaszewski and Tomasz Kotwicki
J. Clin. Med. 2024, 13(14), 4068; https://doi.org/10.3390/jcm13144068 - 11 Jul 2024
Cited by 6 | Viewed by 4080
Abstract
Background: Early-onset scoliosis (EOS) refers to spinal deformities that develop and are diagnosed before the age of 10. The most important goals of the surgical treatment of EOS are to stop the progression of curvature, achieve the best possible correction, preserve motion, and [...] Read more.
Background: Early-onset scoliosis (EOS) refers to spinal deformities that develop and are diagnosed before the age of 10. The most important goals of the surgical treatment of EOS are to stop the progression of curvature, achieve the best possible correction, preserve motion, and facilitate spinal growth. The objectives of this multicenter study were to analyze the risk of complications among patients with EOS treated using magnetically controlled growing rods (MCGRs) and assess the patients’ and their parents’ quality of life after diagnosis and treatment with a minimum two-year follow-up. Methods: Patients given an ineffective nonoperative treatment qualified for surgery with MCGRs. This study involved 161 patients (90 females and 71 males) who were classified according to the etiology of curvature. The intraoperative and postoperative complications and those that occurred during the continuation of treatment with MCGRs were recorded and analyzed. The 24-item Early-Onset Scoliosis Questionnaire (EOSQ-24) was used to evaluate the patients’ quality of life and satisfaction with the treatment. Results: Implant-related complications requiring instrumentation revision were recorded in 26% of the patients. Medical complications occurred in 45% of the population. The EOSQ-24 revealed a significant improvement in the average scores during the follow-up. Conclusions: The treatment of early-onset scoliosis with MCGRs carries 66% risks of incurring medical and mechanical complications, the latter 26% of patients requiring revision procedures. Children with neuromuscular scoliosis, females, and with curvature greater than 90 degrees are at a higher risk of developing complications. Limiting the number of elective surgeries necessitated to prolong the instrumentation and treatment process for patients with MCGRs can greatly enhance their quality of life and satisfaction throughout the follow-up period. Full article
(This article belongs to the Special Issue Spinal Disorders: Current Treatment and Future Opportunities: Part II)
Show Figures

Figure 1

12 pages, 269 KB  
Review
Spinal Muscular Atrophy Scoliosis in the Era of Background Therapies—A Review of the Literature
by Fred Ruythooren and Pierre Moens
J. Clin. Med. 2024, 13(12), 3467; https://doi.org/10.3390/jcm13123467 - 14 Jun 2024
Cited by 11 | Viewed by 5397
Abstract
Spinal deformities are considered an important complication of neuromuscular disorders such as spinal muscular atrophy (SMA). SMA patients typically develop progressive early-onset scoliosis, which is associated with increased functional decline, discomfort, and respiratory dysfunction. Over the second decade of the twenty-first century, a [...] Read more.
Spinal deformities are considered an important complication of neuromuscular disorders such as spinal muscular atrophy (SMA). SMA patients typically develop progressive early-onset scoliosis, which is associated with increased functional decline, discomfort, and respiratory dysfunction. Over the second decade of the twenty-first century, a lot has changed in terms of the therapeutic options available to people with SMA. Specifically, the use of pharmaceutical agents such as nusinersen (Spinraza), onasemnogene abeparvovec (Zolgensma), and risdiplam (Evrysdi) has dramatically changed the landscape for SMA patients. These medications significantly alter motor- and respiratory functioning, as well as the natural progression of spinal deformities. When evaluating these agents and their impact on the development of scoliosis and motor functioning, it is important to consider the timing of treatment initiation. In patients treated after they had already developed symptoms, a shift of phenotype to a less severe subtype has been observed. This results in a delay in the onset of scoliosis for the less severe SMA types and an increase in early-onset scoliosis for the severe types in patients who would typically not live to develop scoliosis. Patients who receive treatment before they develop symptoms achieve almost normal motor functioning and will likely have a significant decrease in scoliosis prevalence or at least delay its onset. Full article
Back to TopTop