Sign in to use this feature.

Years

Between: -

Subjects

remove_circle_outline
remove_circle_outline
remove_circle_outline
remove_circle_outline
remove_circle_outline
remove_circle_outline
remove_circle_outline
remove_circle_outline
remove_circle_outline

Journals

remove_circle_outline
remove_circle_outline
remove_circle_outline
remove_circle_outline
remove_circle_outline
remove_circle_outline
remove_circle_outline
remove_circle_outline
remove_circle_outline
remove_circle_outline

Article Types

Countries / Regions

remove_circle_outline
remove_circle_outline
remove_circle_outline
remove_circle_outline
remove_circle_outline
remove_circle_outline

Search Results (1,322)

Search Parameters:
Keywords = discharge coefficient

Order results
Result details
Results per page
Select all
Export citation of selected articles as:
30 pages, 5538 KB  
Article
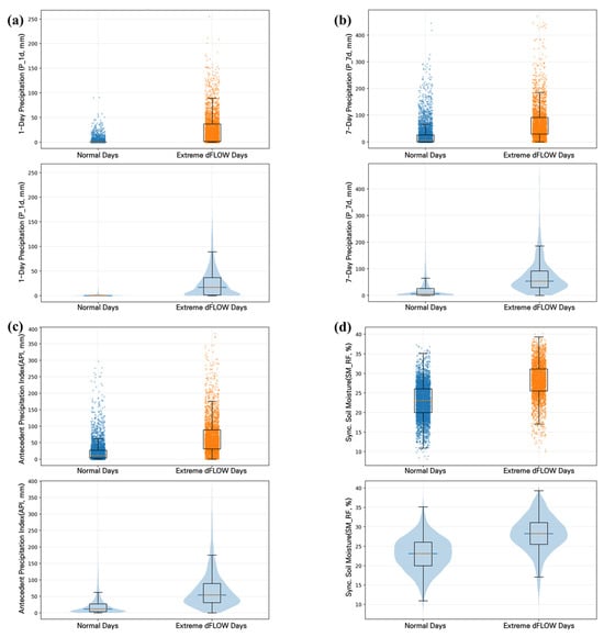
Satellite- and Ground-Soil-Moisture Synchronization and Rainfall Index Linkage for Developing Early-Warning Thresholds for Flash Floods in Korean Dam Basins
by Jaebeom Lee and Jeong-Seok Yang
Water 2026, 18(8), 909; https://doi.org/10.3390/w18080909 - 10 Apr 2026
Abstract
Intensifying hydroclimatic extremes have heightened the need for basin-scale indicators of antecedent wetness that are relevant to flood responses. However, ground-based soil-moisture observations are spatially sparse, and satellite products frequently exhibit temporal gaps. To address this limitation, this study integrated satellite- and ground-soil-moisture [...] Read more.
Intensifying hydroclimatic extremes have heightened the need for basin-scale indicators of antecedent wetness that are relevant to flood responses. However, ground-based soil-moisture observations are spatially sparse, and satellite products frequently exhibit temporal gaps. To address this limitation, this study integrated satellite- and ground-soil-moisture observations, hydro-meteorological variables, and observed streamflow data from 2018 to 2024 across 26 standard basins (SBs) within three dam basin regions in South Korea: the Nam River Dam (NGD) and the upstream and downstream regions of the Seomjin River Dam (SJD). Using this integrated dataset, we quantified the relationships among precipitation, basin wetness, and rapid discharge increases, subsequently deriving composite thresholds for flood early warnings. For each SB, we trained a Random Forest regression model using satellite-soil-moisture and basin-representative hydro-meteorological inputs—including 1-day accumulated precipitation (P_1d), 7-day accumulated precipitation (P_7d), the antecedent precipitation index (API), and related meteorological variables—to estimate a continuous, daily basin-representative soil-moisture series (SM_RF). Validation results indicated that the coefficient of determination (R2) ranged from 0.6 to 0.7 for most SBs. Extreme event days were consistently associated with elevated values of SM_RF, P_1d, P_7d, and API, demonstrating that antecedent wetness significantly influences the likelihood of rapid discharge events. Finally, composite threshold scanning yielded candidate rules characterized by high precision, moderate hit rates, and low false-alarm rates, confirming the efficacy of the proposed framework for developing flash-flood early-warning thresholds in South Korean dam basins. Full article
(This article belongs to the Special Issue Hydrological Hazards: Monitoring, Forecasting and Risk Assessment)
Show Figures

Figure 1

23 pages, 19860 KB  
Article
High-Resolution Mapping of Thermal Effluents in Inland Streams and Coastal Seas Using UAV-Based Thermal Infrared Imagery
by Sunyang Baek, Junhyeok Jung and Hyung-Sup Jung
Remote Sens. 2026, 18(8), 1121; https://doi.org/10.3390/rs18081121 - 9 Apr 2026
Abstract
Monitoring thermal effluent is critical for assessing aquatic ecosystem health, yet traditional satellite remote sensing and in situ point measurements often fail to capture fine-scale thermal dynamics in narrow streams and complex coastal areas due to spatiotemporal resolution limitations. This study establishes a [...] Read more.
Monitoring thermal effluent is critical for assessing aquatic ecosystem health, yet traditional satellite remote sensing and in situ point measurements often fail to capture fine-scale thermal dynamics in narrow streams and complex coastal areas due to spatiotemporal resolution limitations. This study establishes a high-precision surface water temperature mapping protocol using a low-cost Unmanned Aerial Vehicle (UAV) equipped with an uncooled thermal infrared sensor (FLIR Vue Pro R) to overcome these observational gaps. We investigated two distinct hydrological environments—an inland stream and a coastal sea—to provide initial evidence for the applicability of an in situ-based linear regression calibration model across contrasting aquatic settings. The initial uncalibrated radiometric temperatures exhibited significant bias errors reaching up to 9.2 °C in the stream and 9.4 °C in the coastal area, primarily driven by atmospheric attenuation and environmental factors. However, the proposed calibration method dramatically reduced these discrepancies, achieving Root Mean Square Errors (RMSE) of 0.43 °C and 0.42 °C, respectively, with high determination coefficients (R2 > 0.87). The derived high-resolution thermal maps successfully visualized the detailed diffusion patterns of thermal plumes, revealing a steep temperature gradient of approximately 13 °C in the stream discharge zone and a distinct 5 °C elevation in the coastal effluent area relative to the ambient water. These findings demonstrate that UAV-based thermal remote sensing, when coupled with a rigorous radiometric calibration strategy, can serve as a cost-effective and reliable tool for environmental monitoring, bridging the critical scale gap between local point measurements and regional satellite observations. Full article
(This article belongs to the Section Engineering Remote Sensing)
Show Figures

Figure 1

16 pages, 5067 KB  
Article
Modeling of Water Quality in Deep Tunnels Coupling Temperature–Depth Effects
by Xiaomei Zhang, Qingmin Zhang, Yuanjing Yang, Yuntao Guan and Rui Chen
Appl. Sci. 2026, 16(8), 3664; https://doi.org/10.3390/app16083664 - 9 Apr 2026
Abstract
As large-scale underground storage infrastructure, deep tunnels exhibit distinct water quality dynamics driven by ground temperature gradients. Currently, there is limited investigation into water quality modeling for deep tunnel systems. Unraveling the correlation between temperature–depth gradients and water quality evolution is crucial for [...] Read more.
As large-scale underground storage infrastructure, deep tunnels exhibit distinct water quality dynamics driven by ground temperature gradients. Currently, there is limited investigation into water quality modeling for deep tunnel systems. Unraveling the correlation between temperature–depth gradients and water quality evolution is crucial for the operation and management of such systems. In this study, field experiments were carried out in the Qianhai–Nanshan Deep Tunnel to investigate complex water quality behavior, leading to the development of chemical oxygen demand (COD) and ammonia nitrogen (NH3–N) models that incorporate temporal variation, temperature, and burial depth. Results indicate that temperature is the dominant factor influencing water quality in deep tunnel storage. Increased ground temperature promotes the degradation and mass transport of pollutants within the tunnel system. Owing to temperature–depth effects, the deeply buried Qianhai tunnel significantly reduces river discharge pollution after water storage, with COD and NH3–N removal rates reaching 74.9% and 26.8%, respectively. Temperature-controlled experiments showed that COD and NH3–N reduction rates varied between 60–94% and 10–30% across a temperature range of 20–34 °C. The proposed model was validated against experimental data, achieving Nash–Sutcliffe efficiency coefficients of 0.7–0.8. This study provides a methodological foundation for simulating complex aquatic environments and offers a decision-support tool for optimizing the operational strategies of deep tunnel systems. However, the model’s current generalization capability is constrained by the limited experimental conditions (20–34 °C, 12 days) and the lack of experimental replicates, which should be systematically addressed in future studies. Full article
(This article belongs to the Special Issue Environmental Issues in Geotechnical Engineering)
Show Figures

Figure 1

14 pages, 4711 KB  
Proceeding Paper
Electrical Discharge Coating Variables Multi-Criteria Optimisation Utilising TOPSIS Method on the Wear Behaviour of WS2-Cu Coating on AA7075 Alloy
by Natarajan Senthilkumar, Ganapathy Perumal, Kothandapani Shanmuga Elango, Subramanian Thirumalvalavan and Saminathan Selvarasu
Eng. Proc. 2026, 130(1), 5; https://doi.org/10.3390/engproc2026130005 - 8 Apr 2026
Abstract
Aluminium alloys are extensively considered in aviation and automobiles owing to their lightweight properties and favourable specific strength-to-weight ratio. Generally, the poor surface properties of these alloys limit their application, particularly in sliding conditions. To enhance the surface qualities, particularly the material’s wear [...] Read more.
Aluminium alloys are extensively considered in aviation and automobiles owing to their lightweight properties and favourable specific strength-to-weight ratio. Generally, the poor surface properties of these alloys limit their application, particularly in sliding conditions. To enhance the surface qualities, particularly the material’s wear resilient features, a unique surface modification process using electro-discharge coating (EDC) has been employed. This work investigates the optimisation of coating variables produced by the EDC technique utilising green compact electrodes composed of 50 wt.% tungsten disulfide (WS2) and 50 wt.% copper (Cu) powder. The substrate material utilised was AA7075 alloy. The Taguchi–TOPSIS approach was employed to determine optimal EDC process variables, with pulse-on time (Ton), current (Ip), and pulse-off time (Toff). Wear rate (WR), surface roughness (SR), and friction coefficient (CoF) were used to assess the coating features. A wear study was performed with a pin-on-disc device with an undeviating sliding speed (0.25 m/s) and a 25 N load. The results revealed that the supreme features derived from the linear plots were Ip (4 A), Ton (80 µs), and Toff (5 µs). The ANOVA found that Ip had the utmost significant impact, accounting for 44.09%; Toff, 28.01%; Ton, 20.33%; and minimum error, 8.58%. A validation trial with perfect parameters returned values of 0.000179 mm3/Nm (WR), 0.204 (CoF), and 2.818 µm (SR). These findings are significantly better than those of the other coatings. The discrepancy among the estimated and experimental relative closeness in optimal settings is 6.34%, demonstrating that the Taguchi–TOPSIS method is more appropriate for multi-criteria optimisation. Full article
(This article belongs to the Proceedings of The 19th Global Congress on Manufacturing and Management (GCMM 2025))
Show Figures

Figure 1

14 pages, 2396 KB  
Article
Vacuum Modification of the Surface Properties of T15K6 Hard Alloy by Plasma–Chemical Synthesis of TiN-Cu Coatings
by Aleksandr Semenov, Dmitriy Tsyrenov, Nikolay Ulakhanov, Irina Semenova, Undrakh Mishigdorzhiyn, Wen Ma, Simon C. Tung and George E. Totten
Lubricants 2026, 14(4), 158; https://doi.org/10.3390/lubricants14040158 - 6 Apr 2026
Viewed by 196
Abstract
The design and main parameters of a plasma–chemical reactor containing two compartments are presented. One compartment houses a vacuum-arc evaporator, while the other houses a planar magnetron. The compartments are separated by a diaphragm with a dosing slot for injecting copper vapor into [...] Read more.
The design and main parameters of a plasma–chemical reactor containing two compartments are presented. One compartment houses a vacuum-arc evaporator, while the other houses a planar magnetron. The compartments are separated by a diaphragm with a dosing slot for injecting copper vapor into the TiN synthesis compartment. The conditions for the synthesis of superhard TiN-Cu composite coatings are experimentally determined. Based on established process parameters for TiN synthesis in a nitrogen-containing plasma by Ti evaporation using a vacuum-arc discharge, it is proposed to apply TiN-Cu coatings by injecting Cu vapor into the TiN synthesis area and sputtering Cu using a magnetron discharge. XRD analyses of both TiN and TiN-Cu coatings show the presence of WC, Ti2C, and TiN. EDS analysis confirms 5.57 at. % copper on the surface of the TiN-Cu coating. Real-life operating tests of TiN-Cu coatings on replaceable WC-TiC-Co (79/15/6 wt.%) alloy hexagonal inserts used for cutting 40Kh steel revealed that applying the TiN-Cu coating extends the tool life of WC-TiC-Co inserts by about 2.5 times compared with uncoated tools. Cutting force measurements on TiN-Cu-coated inserts showed no vibration or noise during cutting, driven by a reduced friction coefficient and improved heat dissipation at the contact zone between the cutting edge and the workpiece, thereby lowering the temperature in that area. Full article
Show Figures

Figure 1

19 pages, 2757 KB  
Article
Data-Driven Modeling and Optimization of a Modified Ludzack–Ettinger Process Using ML and DL for Effluent Quality Prediction
by Fengshi Guo, Shiyu Sun, Mingcan Cui and Daeyeon Yang
Water 2026, 18(7), 863; https://doi.org/10.3390/w18070863 - 3 Apr 2026
Viewed by 245
Abstract
Accurate prediction and optimization of effluent quality are essential for the stable operation of wastewater treatment plants under increasing influent variability and stringent discharge regulations. This study presents an integrated data-driven framework that combines machine learning, deep learning, model interpretability, and optimization to [...] Read more.
Accurate prediction and optimization of effluent quality are essential for the stable operation of wastewater treatment plants under increasing influent variability and stringent discharge regulations. This study presents an integrated data-driven framework that combines machine learning, deep learning, model interpretability, and optimization to enhance the performance of a full-scale Modified Ludzack–Ettinger (MLE) process. Three years of operational data from a municipal wastewater treatment plant were used to develop and compare random forest (RF), k-nearest neighbors (K-NN), multilayer perceptron (MLP), and deep neural network (DNN) models for the simultaneous prediction of effluent total organic carbon (TOC), biochemical oxygen demand (BOD), and total nitrogen (TN). Model performance was evaluated using the coefficient of determination (R2) and root mean square error (RMSE), and generalization capability was validated using independent field data. The results show that deep learning models, particularly DNN, outperform conventional machine learning approaches by effectively capturing complex nonlinear and multivariate process dynamics. To improve model interpretability, SHapley Additive exPlanations (SHAP) were applied to identify key operational variables affecting effluent quality. In addition, particle swarm optimization (PSO) was integrated with the trained models to determine optimal operating conditions that minimize effluent pollutant concentrations without requiring structural modifications. Overall, the proposed framework provides an interpretable and practical decision-support tool for proactive wastewater treatment plant operation, contributing to improved operational efficiency and environmental sustainability. Full article
Show Figures

Figure 1

25 pages, 2135 KB  
Review
A Critical Review of Performance Enhancement Methods for Automotive Air-Conditioning Compressors Using Nano-Enhanced Lubricants
by Rajendran Prabakaran
Machines 2026, 14(4), 391; https://doi.org/10.3390/machines14040391 - 2 Apr 2026
Viewed by 327
Abstract
The compressor in automotive air-conditioning systems consumes a significant fraction of the vehicle’s energy, thereby reducing driving range. Consequently, developing more efficient compressor operation is essential for improving overall thermal management. Nano-enhanced lubricants have emerged as a promising passive strategy to reduce compressor [...] Read more.
The compressor in automotive air-conditioning systems consumes a significant fraction of the vehicle’s energy, thereby reducing driving range. Consequently, developing more efficient compressor operation is essential for improving overall thermal management. Nano-enhanced lubricants have emerged as a promising passive strategy to reduce compressor power consumption, enhance thermodynamic performance, and improve tribological behavior by minimizing friction and wear. This review critically examines existing nano-lubricant research with a focus on automotive compressor and system-level performance, friction and wear reduction mechanisms, and the influence of nanoparticle type and concentration on lubricant thermo-physical properties. The analysis reveals that nano-lubricants consistently enhance compressor operation by lowering discharge temperature and reducing power consumption, while improving coefficient of performance and cooling capacity. However, these benefits have been validated primarily under cooling-mode conditions and predominantly for reciprocating-piston compressors. Tribological studies further demonstrate substantial reductions in coefficient of friction and surface roughness, with improved anti-wear characteristics compared to virgin lubricants. Four principal mechanisms—rolling, polishing, protective-film formation, and self-repairing—have been identified as contributors to these enhancements. Nevertheless, most tribological investigations rely on simplified test rigs that do not fully represent the complex contact, loading, and thermal environments inside actual automotive compressors. This review underscores the need for system-level, mechanism-driven, and compressor-architecture-specific investigations covering both cooling and heating modes of automotive air-conditioning operation. The insights presented aim to guide future development of reliable, durable, and refrigerant-compatible nano-lubricant technologies for next-generation automotive air-conditioning systems. Full article
(This article belongs to the Section Turbomachinery)
Show Figures

Figure 1

12 pages, 497 KB  
Article
Variability in Key Physiological Parameters in Neurocritical Stroke Patients: A Multicenter Observational Study
by Omar Alhaj Omar, Patrick Schramm, Tobias Frühwald, Stefan T. Gerner, Kilian Froehlich, Tobias Braun, Martin Juenemann, Heidrun H. Kraemer, Hagen B. Huttner, Anne Mrochen and IGNITE Study Group
J. Clin. Med. 2026, 15(7), 2674; https://doi.org/10.3390/jcm15072674 - 1 Apr 2026
Viewed by 251
Abstract
Background: Effective management of key physiological parameters, such as blood pressure, temperature, blood glucose, and gas exchange, is central to neurocritical care. However, the clinical impact of variability within guideline target ranges after an acute ischemic stroke, intracerebral hemorrhage, or subarachnoid hemorrhage [...] Read more.
Background: Effective management of key physiological parameters, such as blood pressure, temperature, blood glucose, and gas exchange, is central to neurocritical care. However, the clinical impact of variability within guideline target ranges after an acute ischemic stroke, intracerebral hemorrhage, or subarachnoid hemorrhage remains unclear. Methods: In this multicenter observational study of nine German neurocritical care units, we analyzed in-range measurements over 96 h. Of 524 screened patients, 281 met the predefined criteria for sufficient in-range data. Variability in systolic blood pressure, mean arterial pressure, body temperature, blood glucose, partial arterial pressure of oxygen and carbon dioxide was quantified using the coefficient of variation. Associations between in-range variability of each physiological parameter and clinical outcomes including duration of mechanical ventilation, NIHSS score at discharge, and in-hospital mortality were evaluated using multivariable regression models. Results: Variability for all parameters peaked in the first 24 h and then remained largely stable; blood glucose showed a secondary rise after ~60 h. Greater in-range blood glucose variability was associated with in-hospital mortality in hemorrhagic stroke (adjusted OR 1.08; 95% CI 1.00–1.17; p = 0.04), while no other parameter’s variability was associated with the evaluated outcomes. Conclusions: Overall, in-range variability had limited short-term prognostic value, supporting current guideline-based management. Full article
Show Figures

Figure 1

19 pages, 7462 KB  
Article
Numerical Investigation of Plasma-Based Active Flow Control on Heaving-Pitching NACA0015 Airfoil via Large Eddy Simulation
by Chin-Cheng Wang, Dereje Arijamo Dolla and Yue-Cheng Chung
Actuators 2026, 15(4), 190; https://doi.org/10.3390/act15040190 - 30 Mar 2026
Viewed by 262
Abstract
This study implements Active Flow Control (AFC) in the form of a dielectric barrier discharge (DBD) plasma actuator to enhance aerodynamic performance during heave–pitch motions on a three-dimensional NACA 0015 airfoil at a Reynolds number of Re=5×105 [...] Read more.
This study implements Active Flow Control (AFC) in the form of a dielectric barrier discharge (DBD) plasma actuator to enhance aerodynamic performance during heave–pitch motions on a three-dimensional NACA 0015 airfoil at a Reynolds number of Re=5×105 using the Large Eddy Simulation (LES) turbulence method. The simulation at a reduced frequency of 0.14 incorporates two-degrees-of-freedom wing motion, allowing for simultaneous pitching and heaving motions with amplitudes of 75 and a chord length (1c), respectively. We evaluate the impact of localized momentum injection via a phenomenological plasma actuator model across two force intensities. A low-force configuration (Case-LF) provides marginal control, whereas a high-force configuration (Case-HF) provides greater control than the baseline without plasma. After applying DBD plasma to the airfoil, flow-field analysis revealed that the plasma treatment significantly improved the lift coefficient. It showed that the lower plasma cases achieved a 1.46% improvement only on the Clrms, a 14.57% reduction in the averaged Cd, and a 19.11% enhancement on the Clrms-to-Cdavg ratio. Furthermore, the cases with higher plasma forces resulted in significant improvements when compared to the Baseline and Case-LF; it showed a 11.65% improvement in Clrms, 19.87% in Cdavg, and 39.8% in Clrms-to-Cdavg ratio when compared to the baseline. These results validate the effectiveness of plasma actuators in enhancing wing aerodynamic performance during such complex motions. Full article
Show Figures

Figure 1

19 pages, 5614 KB  
Article
CNN-BiLSTM-CA Model with Visualized Bayesian Optimization for Structural Vibration Prediction During Flood Discharge
by Guojiang Yin and Shuo Wang
Vibration 2026, 9(2), 23; https://doi.org/10.3390/vibration9020023 - 30 Mar 2026
Viewed by 280
Abstract
Accurate prediction of vibration responses in hydraulic structures during flood discharge is essential for ensuring safe and stable operation. This study develops a hybrid deep learning model that combines Convolutional Neural Networks (CNN), Bidirectional Long Short-Term Memory (BiLSTM), and a Channel Attention (CA) [...] Read more.
Accurate prediction of vibration responses in hydraulic structures during flood discharge is essential for ensuring safe and stable operation. This study develops a hybrid deep learning model that combines Convolutional Neural Networks (CNN), Bidirectional Long Short-Term Memory (BiLSTM), and a Channel Attention (CA) mechanism, optimized through Bayesian Optimization (BO), to predict dam gantry crane beam displacements. Time-lagged Pearson correlation and Maximum Information Coefficient (MIC) are applied to select the informative input features. The CNN-BiLSTM-CA model captures both spatial patterns and temporal dependencies in vibration signals. BO tunes model hyperparameters, while Partial Dependence (PD) analysis provides insight into how these parameters affect prediction accuracy. The model is validated using vibration data from an arch dam in Southwest China during flood discharge. Results show that CNN parameters have a greater impact on prediction accuracy than BiLSTM parameters, underscoring the importance of spatial feature extraction. Ablation studies confirm each component’s contribution. Compared with existing methods, the proposed model achieves superior accuracy with a Root Mean Square Error (RMSE) of 5.49, Mean Absolute Error (MAE) of 4.34, and correlation coefficient (R) of 99.42%. This framework provides a reliable and interpretable tool for predicting structural vibrations in hydraulic engineering under complex discharge conditions. Full article
Show Figures

Figure 1

24 pages, 9297 KB  
Article
Duplex Surface Modification of 40CrMnMo7 Tool Steel by Chemical-Thermal Treatment and PVD Coating
by Boyan Dochev, Yavor Sofronov, Milko Yordanov, Valentin Mishev, Antonio Nikolov, Rayna Dimitrova, Milko Angelov, Ivan Zahariev, Georgi Todorov and Krassimir Marchev
Metals 2026, 16(4), 377; https://doi.org/10.3390/met16040377 - 28 Mar 2026
Viewed by 276
Abstract
The aim of this work is to investigate the possibility of improving the performance properties of 40CrMnMo7 steel by conducting duplex surface modification treatment. Chemical-thermal treatment processes were used—nitrocarburization and ion-nitriding and subsequent application of a nanostructured multilayer coating, Cr/(Cr-C)ml. The resulting structures [...] Read more.
The aim of this work is to investigate the possibility of improving the performance properties of 40CrMnMo7 steel by conducting duplex surface modification treatment. Chemical-thermal treatment processes were used—nitrocarburization and ion-nitriding and subsequent application of a nanostructured multilayer coating, Cr/(Cr-C)ml. The resulting structures and their influence on the adhesion of the applied coating, as well as their influence on the tribological properties of the coating, were studied. By conducting Glow Discharge Optical Emission Spectroscopy (GDOES), it was established that the penetration of nitrogen into the depth is greater in the ion-nitriding process, and the results of the conducted optical metallography and hardness measurement show that after ion-nitriding, the obtained hard layer has a greater thickness and hardness. The data obtained from the studies of the phase composition of the hard layers show that after nitrocarburization the non-stoichiometric, but crystalline phase Fe3N1.1 (ξ)—98.4% was formed. In the composition of the hard layer formed after the ion-nitriding process, the presence of Fe3N (ξ-phase) in an amount of 79.5% and Fe4N (γ′-phase) in an amount of 19.1% was established. On the chemically and thermally treated surfaces, a Cr/(Cr-C)ml coating was applied through the unbalanced magnetron sputtering technology. The applied coating has a hardness of 17.1 ± 0.6 GPa and a modulus of elasticity of 289 ± 8.7 GPa. The thickness of the coating applied on the test bodies not subjected to diffusion enrichment is 1.967 µm, and the adhesion class is classified as HF-2. It has been established that the profile of the surfaces obtained after the application of the chemical-thermal treatment processes has an impact on the thickness of the applied coating and on its adhesion. After nitrocarburization, the thickness of the coating is 2.9 µm, and the adhesion of the coating is classified as HF-0. The thickness of the applied coating on the test bodies subjected to ion-nitriding is 2.4 µm, and the adhesion class is HF-1. The results of the conducted tribological tests show that the used chemical-thermal treatment processes have an impact on the coefficients of friction and wear of the coating. The coefficient of friction for the combination of the nitriding process and Cr/(Cr-C)ml coating has the highest value (µ ≈ 0.38), while that of the ion-nitrided sample with subsequent coating has a value (µ ≈ 0.21) slightly higher than the COF of the test body with only the coating applied (µ ≈ 0.18). The lowest value of the coating wear coefficient is registered for the combination of the ion-nitriding and coating process (k = 7.96 × 10−5), while for the combination of nitriding and coating, it is the highest (k = 12.4 × 10−4). The relevance of the present work is related to the implementation of surface modification of 40CrMnMo7 steel by using established technological processes of chemical-thermal treatment and subsequent deposition of nanostructured multilayer Cr/(Cr-C)ml coating. The other novelty in the present study is related to the use of MF pulsed DC power supplies, operating at a fixed frequency of 100 kHz and a specific pulse shape, similar to the shape of HiPIMS pulses, for the deposition of nanostructured multilayer Cr/(Cr/a-C)ml coatings. Full article
Show Figures

Figure 1

13 pages, 434 KB  
Article
New Approach for Design of Broad-Crested Weirs with Exponential Sections
by Ahmed M. Abdelrazek and Mohammed A. Abourohiem
Water 2026, 18(7), 771; https://doi.org/10.3390/w18070771 - 24 Mar 2026
Viewed by 204
Abstract
A design framework is presented for broad-crested weirs with exponential (power-law) head–discharge behavior and three practical control-section shapes: Rectangular, parabolic, and triangular. Unlike ideal-flow sizing, the approach explicitly accounts for real-flow effects through a velocity coefficient at the control section. Starting from the [...] Read more.
A design framework is presented for broad-crested weirs with exponential (power-law) head–discharge behavior and three practical control-section shapes: Rectangular, parabolic, and triangular. Unlike ideal-flow sizing, the approach explicitly accounts for real-flow effects through a velocity coefficient at the control section. Starting from the energy equation and the critical-depth condition, analytical relations are obtained for the control-section depth, the critical depth, and the velocity and discharge coefficients. These relations are coupled with geometry-specific critical-flow expressions to derive a general, dimensionless design equation that links the required contraction ratio to the approach-velocity coefficient, the control-section velocity coefficient, and the head exponent n. The core innovation of the framework is a general dimensionless design equation that directly yields the required control-section area ratio A*/Ao, i.e., the geometric contraction relative to the approach section, for a specified design head and approach-velocity condition. The method provides direct design parameters for each section family: Rectangular width, parabolic parameter, and triangular head angle. A short quantitative check against representative classical experimental ratios shows very good agreement with measured values. For the applied design example based on a trapezoidal approach section and conservative lower-bound Cv values, neglecting real-flow effects underpredicts the required contraction ratio by about 28–39%, depending on the selected section shape. The developed framework provides a transparent, theoretically grounded, and practical tool for the hydraulic design of broad-crested weirs. Full article
(This article belongs to the Special Issue Advances in Open-Channel Flow Hydrodynamics)
Show Figures

Figure 1

19 pages, 6258 KB  
Article
Clogging Evolution and Structural Optimization of Drip Emitters Under Sediment-Laden Water
by Guowei Wang, Mengyang Wang, Yayang Feng, Mo Zhu, Shengliang Fan, Rui Li, Mengyun Xue and Qibiao Han
Agronomy 2026, 16(7), 682; https://doi.org/10.3390/agronomy16070682 - 24 Mar 2026
Viewed by 297
Abstract
Long-term operation of drip emitters under sediment-laden water conditions readily induces particle deposition and clogging, leading to discharge reduction and deterioration of irrigation uniformity. To clarify the temporal evolution and spatial distribution of clogging and to support structure-oriented anti-clogging improvement, three integrated drip [...] Read more.
Long-term operation of drip emitters under sediment-laden water conditions readily induces particle deposition and clogging, leading to discharge reduction and deterioration of irrigation uniformity. To clarify the temporal evolution and spatial distribution of clogging and to support structure-oriented anti-clogging improvement, three integrated drip tape emitters with different labyrinth-channel geometries were tested at sediment concentrations of 1, 2, and 3 g·L−1 under a constant pressure of 100 kPa. The average relative discharge ratio (Dra) and Christiansen’s uniformity coefficient (CU) were continuously monitored, and cross-sectional observation and numerical simulation were combined to identify dominant deposition hotspot regions within the labyrinth channel. The results showed that increasing sediment concentration significantly accelerated clogging development and shortened operating lifetime. At 1 g·L−1, the times required for the three emitter types to reach the clogging criterion of Dra < 75% were 120, 81, and 107 h, respectively, whereas at 3 g·L−1 these values decreased to 39, 42, and 39 h. CU continuously declined with operating time and, in some treatments, responded earlier than Dra to system deterioration. Sediment deposition was mainly concentrated in the inlet section and bend regions, indicating that these locations were the dominant hotspots for clogging initiation and propagation. These findings demonstrate that clogging in drip emitters is jointly regulated by sediment load and labyrinth-channel geometry, and that hotspot-based structural optimization provides an effective basis for improving anti-clogging performance under sediment-laden water conditions. Full article
Show Figures

Figure 1

7 pages, 1890 KB  
Case Report
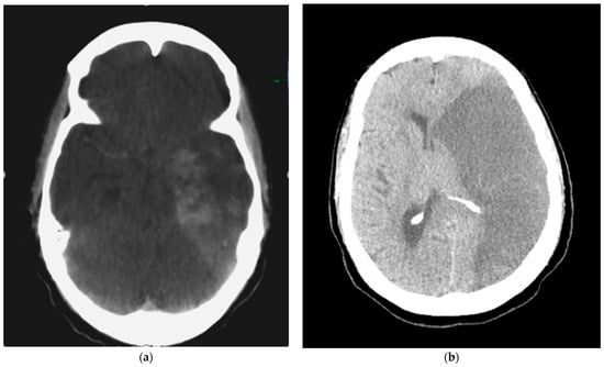
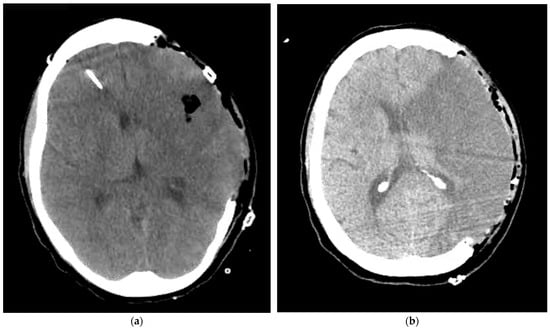
Cerebral Autoregulation Monitoring to Evaluate for Clinical Outcome After Decompressive Hemicraniectomy for Acute Ischemic Stroke: Case Series
by Julia E. Alexander, Daniel R. Felbaum, Jeffrey C. Mai and Jason J. Chang
Reports 2026, 9(2), 95; https://doi.org/10.3390/reports9020095 - 24 Mar 2026
Viewed by 232
Abstract
Background and Clinical Significance: Decompressive hemicraniectomy (DHC) is a life-saving intervention for malignant middle cerebral artery (MCA) infarction, but postoperative secondary injury mechanisms and functional outcome remain difficult to evaluate using intracranial pressure (ICP) alone. The pressure reactivity index (PRx), calculated as [...] Read more.
Background and Clinical Significance: Decompressive hemicraniectomy (DHC) is a life-saving intervention for malignant middle cerebral artery (MCA) infarction, but postoperative secondary injury mechanisms and functional outcome remain difficult to evaluate using intracranial pressure (ICP) alone. The pressure reactivity index (PRx), calculated as the moving correlation coefficient between ICP and mean arterial pressure (MAP), provides a measure of cerebral autoregulation. The utility of PRx monitoring in ischemic stroke, especially following DHC, remains uncertain. Case Presentation: We describe two patients presenting with acute ischemic stroke in the MCA territory who underwent DHC followed by postoperative ICP and PRx monitoring. Case 1 is a 40-year-old female with a left proximal MCA occlusion initially treated with endovascular thrombectomy (EVT) who required emergent DHC due to re-occlusion. Postoperatively, ICPs remained controlled, and PRx values were favorable (<0.2), indicating preserved cerebral autoregulation. She later showed moderate neurological improvement. Case 2 was a 68-year-old female with a left proximal MCA occlusion treated with EVT who developed worsening cerebral edema and midline shift, necessitating emergent DHC. Despite adequate ICP control, PRx values remained markedly elevated (0.45 to 0.73), consistent with impaired cerebral autoregulation, and her neurologic state remained poor at discharge. Conclusions: These contrasting cases suggest that PRx may provide physiologic information not reflected by ICP metrics alone post-DHC. PRx monitoring may provide complementary physiologic insight into postoperative autoregulatory status following DHC. Further investigation is warranted to define its role in individualized post-DHC management and prognostication in malignant ischemic stroke. Full article
(This article belongs to the Section Critical Care/Emergency Medicine/Pulmonary)
Show Figures

Figure 1

27 pages, 61924 KB  
Article
Estimating Discharge Time Series in Data-Scarce Mountainous Areas Using Remote Sensing Inversion and Regionalization Methods
by Adilai Wufu, Shengtian Yang, Junqing Lei, Hezhen Lou and Alim Abbas
Remote Sens. 2026, 18(6), 958; https://doi.org/10.3390/rs18060958 - 23 Mar 2026
Viewed by 217
Abstract
The Tianshan–Pamir mountain region, serving as the core “water tower” for countries in Central Asia east of the Aral Sea, is a critical bulwark for sustaining downstream socioeconomic systems. However, constrained by complex topography and harsh climatic conditions, this region suffers from a [...] Read more.
The Tianshan–Pamir mountain region, serving as the core “water tower” for countries in Central Asia east of the Aral Sea, is a critical bulwark for sustaining downstream socioeconomic systems. However, constrained by complex topography and harsh climatic conditions, this region suffers from a severe scarcity of long-term, continuous hydrological observation data. This study focuses on a typical data-scarce mountainous area, coupling UAV and satellite imagery-based (e.g., Landsat/Sentinel) flow inversion with a hybrid spatial regionalization method—integrating spatial proximity, basin similarity, and regression-based hydrograph reconstruction—to quantitatively estimate long-term discharge time series. The results indicate that, for the validation of instantaneous discharge inversion, the Nash–Sutcliffe efficiency coefficient (NSE) at 29 river cross-sections was consistently greater than 0.80, with the coefficient of determination (R2) reached 0.94 (p < 0.01). Subsequently, for the long-term discharge series reconstructed using the regionalization method, the NSE values at three representative verification sites—each corresponding to a distinct basin type—were 0.88, 0.84, and 0.86, respectively. These findings exhibit higher precision compared to direct temporal upscaling, confirming the reliability of the regionalization method across varying temporal scales. An analysis of monthly discharge trends from 1989 to 2020 revealed a decreasing trend in the discharge of glacier-dominated rivers, with an average rate of change of −2.89 ± 2.54% (p < 0.05); the Pamir Plateau experienced the largest decline (−4.89 ± 6.58%), which is closely linked to large-scale glacial retreat within the basins. Conversely, the discharge of non-glacier-dominated rivers showed an increasing trend, with a multi-year average rate of change of +0.32 ± 8.43% (n.s.), primarily driven by shifts in precipitation and vegetation cover. This research introduces a new approach for hydrological monitoring in data-scarce regions and provides essential data and methodological support for water resource management decisions in arid zones. Full article
Show Figures

Figure 1

Back to TopTop