Sign in to use this feature.

Years

Between: -

Subjects

remove_circle_outline
remove_circle_outline
remove_circle_outline
remove_circle_outline
remove_circle_outline
remove_circle_outline
remove_circle_outline
remove_circle_outline
remove_circle_outline

Journals

remove_circle_outline
remove_circle_outline
remove_circle_outline
remove_circle_outline
remove_circle_outline
remove_circle_outline
remove_circle_outline
remove_circle_outline
remove_circle_outline
remove_circle_outline

Article Types

Countries / Regions

remove_circle_outline
remove_circle_outline
remove_circle_outline
remove_circle_outline
remove_circle_outline
remove_circle_outline
remove_circle_outline

Search Results (1,581)

Search Parameters:
Keywords = cytotoxic metabolites

Order results
Result details
Results per page
Select all
Export citation of selected articles as:
24 pages, 13256 KB  
Article
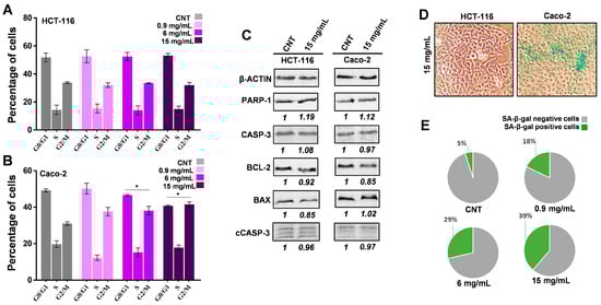
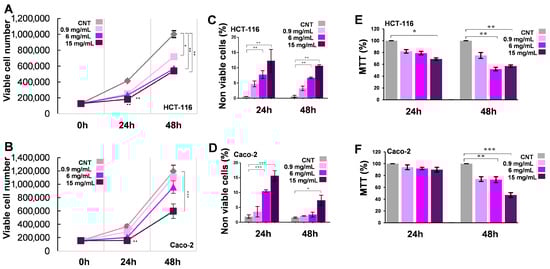
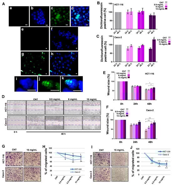
Malva sylvestris Flower Extract Exhibits Antineoplastic Potential Against Human Colon Cancer Cell Lines and Induces CDK2 Transcript Instability via Plant miR160-5p
by Valentina Villani and Angelo Gismondi
Nutrients 2026, 18(3), 495; https://doi.org/10.3390/nu18030495 - 2 Feb 2026
Abstract
Background: Malva sylvestris (the common mallow) is an herbaceous species widely used in ethnobotanical practices to treat gastrointestinal, hepatic and urinary inflammation. Objectives: Despite these beneficial effects on human health, the antineoplastic potential of this plant has not yet been fully explored. [...] Read more.
Background: Malva sylvestris (the common mallow) is an herbaceous species widely used in ethnobotanical practices to treat gastrointestinal, hepatic and urinary inflammation. Objectives: Despite these beneficial effects on human health, the antineoplastic potential of this plant has not yet been fully explored. Thus, in the present study, two human colon cancer cell lines (i.e., HCT-116 and Caco-2) were treated with an extract obtained from M. sylvestris flowers (MFE), whose composition in terms of phytochemicals and microRNAs has been recently published by our research group, to explore its potential bioactivity. Methods/Results: MTT and Trypan blue assays demonstrated that MFE reduced tumour cell growth without causing significant cytotoxicity or apoptosis. Following the diphenylboric acid 2-aminoethyl ester-induced fluorescence of some plant metabolites, microscopy analysis proved that MFE components crossed the cell membranes, accumulating into nuclei. Wound assay and transwell tests documented that MFE was also able to reduce cell motility and invasiveness. In both cell lines qPCR experiments demonstrated that MFE caused the over-expression of factors, like VIMENTIN and E-CADHERIN, which negatively influence epithelial–mesenchymal transition in colon cancers. However, the effects of MFE appeared to be time-, dose- and cell type-dependent. In fact, the treatment induced senescence in P53-null Caco-2 cells (i.e., ROS, β-galactosidase and P21WAF1/Cip1) and a premise of differentiation (i.e., P27Kip1) in P53-wild-type HCT-116 cells, also via the CDK2/c-MYC/AKT axis, justifying its antiproliferative property. In parallel, the transfection of tumour cells with pure synthetic miR160b-5p—a microRNA identified in M. sylvestris flowers and predicted to target the human CDK2 transcript—resulted in gene silencing, thereby suggesting its central role in mediating the cross-kingdom effects of MFE on the investigated cancer models. Conclusions: Overall, these findings open new perspectives on the common mallow as a source of potential antimetastatic compounds and on the possible use of its plant microRNAs in the development of gene therapies. Full article
(This article belongs to the Special Issue Natural Active Substances and Cancer)
Show Figures

Figure 1

33 pages, 2930 KB  
Article
From Gas Chromatography–Mass Spectrometry (GC–MS) to Network Pharmacology: System-Level Insights into the Multi-Target Biological Potential of Flaveria trinervia (Spreng.) C. Mohr
by Christopher Torres Flores, Eduardo Pérez-Campos, Laura Pérez-Campos Mayoral, Luis Ángel Laguna-Barrios, Karen Beatriz Méndez-Rodríguez, Francisco Javier Pérez-Vázquez, Eduardo Pérez Campos-Mayoral, Carlos Mauricio Lastre-Domínguez, Efrén Emmanuel Jarquín González, Margarito Martínez Cruz, María del Socorro Pina Canseco, Zoila Mora Guzmán, Karol Celeste López Montesinos, Hector A. Cabrera Fuentes and María Teresa Hernández-Huerta
Curr. Issues Mol. Biol. 2026, 48(2), 160; https://doi.org/10.3390/cimb48020160 - 1 Feb 2026
Abstract
Flaveria trinervia (Spreng) C. Mohr is a plant traditionally used in Mexican medicine. In this study, gas chromatography–mass spectrometry (GC–MS) combined with network pharmacology was employed to characterize volatile and semi-volatile metabolites from F. trinervia leaves and to explore their potential system-level mechanisms [...] Read more.
Flaveria trinervia (Spreng) C. Mohr is a plant traditionally used in Mexican medicine. In this study, gas chromatography–mass spectrometry (GC–MS) combined with network pharmacology was employed to characterize volatile and semi-volatile metabolites from F. trinervia leaves and to explore their potential system-level mechanisms of action in inflammatory and tumor-related disorders. A dual extraction strategy (hexane/dichloromethane and acetone/chloroform) was applied, followed by GC–MS-based compound identification. Putative molecular targets were predicted using established pharmacological databases, and protein–protein interaction networks were constructed to identify topological features and enriched biological pathways. A total of 11 bioactive compounds were tentatively identified with an identity level of ≥80%, with seven shared between both extracts, including phytol, germacrene D, caryophyllene oxide, pinene isomers, squalene, and 2,2′:5′,2″-terthiophene, metabolites previously reported to exhibit antioxidant, anti-inflammatory, and cytotoxic activities. Network topology analysis identified ESR1, RXRA/B/G, NCOA2, and CYP19A1 as central nodes, reflecting convergence on signaling axes involved in apoptosis, cell proliferation, immune modulation, and transcriptional regulation pathways. Functional enrichment analysis revealed significant associations with KEGG pathways related to immune modulation, neuroendocrine regulation, and cancer-associated pathways. Collectively, these findings suggest a multitarget biological and multipathway pharmacological profile for F. trinervia, consistent with previously reported biological activities. The concordance between in silico predictions and existing experimental evidence strengthens the pharmacological relevance of the identified metabolites and supports their prioritization for further experimental validation, including mechanistic and pharmacokinetic studies, in metabolic, immune, neurological, and cancer-related contexts. Full article
24 pages, 3358 KB  
Article
Immunomodulatory Effects of Phallus indusiatus Extract on Cytokine Responses in PBMCs: Implications for Feline Infectious Peritonitis
by Chularat Hlaoperm, Wassamon Moyadee, Emwalee Wongsaengnoi, Lueacha Tabtimmai, Amonpun Rattanasrisomporn, Atchara Paemanee, Kiattawee Choowongkomon, Christopher Gerner, Oumaporn Rungsuriyawiboon and Jatuporn Rattanasrisomporn
Int. J. Mol. Sci. 2026, 27(3), 1437; https://doi.org/10.3390/ijms27031437 - 31 Jan 2026
Viewed by 69
Abstract
Feline infectious peritonitis (FIP) is a fatal disease driven by feline coronavirus induced immune dysregulation and excessive inflammatory cytokine production. Immunomodulatory agents capable of rebalancing this response are therefore of increasing interest. Phallus indusiatus (P. indusiatus), an edible mushroom containing diverse [...] Read more.
Feline infectious peritonitis (FIP) is a fatal disease driven by feline coronavirus induced immune dysregulation and excessive inflammatory cytokine production. Immunomodulatory agents capable of rebalancing this response are therefore of increasing interest. Phallus indusiatus (P. indusiatus), an edible mushroom containing diverse bioactive compounds, has previously demonstrated antiviral and anti-inflammatory potential. This study investigated the immunomodulatory effects of P. indusiatus extract on peripheral blood mononuclear cells (PBMCs) from healthy cats and FIP cats and characterized its chemical constituents using liquid chromatography coupled with tandem mass spectrometry (LC–MS/MS). PBMCs were isolated from whole blood and FIP fluid. Cytotoxicity screening identified 19 µg/mL as a non-toxic concentration for subsequent assays. Cytokine responses (IL-1β, IFN-γ, and IL-10) were evaluated following LPS stimulation in PBMCs from whole blood and under basal conditions in PBMCs from FIP fluid after treatment with P. indusiatus extract and dexamethasone. LC–MS/MS profiling combined with STITCH analysis was used to identify bioactive metabolites and their predicted molecular targets. PBMCs derived from FIP fluid exhibited markedly elevated IL-1β and IFN-γ, indicating strong baseline immune activation. P. indusiatus significantly reduced IL-1β and IFN-γ in PBMCs from FIP fluid and suppressed LPS-induced IL-1β and IL-10 in whole-blood PBMCs, demonstrating immunomodulatory patterns comparable to dexamethasone. LC–MS/MS analysis identified compounds including adenosine, phenylalanine, tyrosine, cystathionine, arginine, and sialic acid, which were linked to inflammatory signaling. Overall, the extract exhibited context-dependent modulation of pro- and anti-inflammatory cytokines, suggesting that P. indusiatus may serve as a promising natural adjunctive candidate for managing immune imbalance in cats with FIP. Full article
15 pages, 1917 KB  
Article
Natural Product Epipyrone A from Epicoccum nigrum Exhibits Antiproliferative Activity on Canine Mammary Tumor Cells Through PI3K/Akt/mTOR Pathway Modulation
by Consiglia Longobardi, Daria Lotito, Alessia Staropoli, Valeria Iervolino, Nunzio Antonio Cacciola, Serena Montagnaro, Francesco Vinale, Sara Damiano and Roberto Ciarcia
Antioxidants 2026, 15(2), 173; https://doi.org/10.3390/antiox15020173 - 28 Jan 2026
Viewed by 141
Abstract
Canine mammary tumors (CMTs) are among the most frequent neoplasms in female dogs, with current therapeutic options being limited and non-standardized, prompting the search for alternative treatments such as fungal secondary metabolites. In this study, the fungal pigment Epipyrone A (Epy A) was [...] Read more.
Canine mammary tumors (CMTs) are among the most frequent neoplasms in female dogs, with current therapeutic options being limited and non-standardized, prompting the search for alternative treatments such as fungal secondary metabolites. In this study, the fungal pigment Epipyrone A (Epy A) was first isolated from Epicoccum nigrum and then tested in vitro on two CMT cell lines, P114 and CF33. The compound significantly reduced cell viability in both lines in a concentration- and time-dependent manner (p < 0.05), with the strongest effect observed at 175 µg/mL after 48 h (p < 0.0001), while showing no cytotoxicity in MDCK non-tumor cells. Epy A also inhibited cell migration and increased total antioxidant capacity in P114 cells, accompanied by a significant reduction in ROS levels. Western blot analysis revealed modulation of the PI3K/Akt/mTOR pathway, crucial in CMT biology. Specifically, P114 cells showed downregulation of mTOR and p-Akt, indicating inhibition of proliferative signaling, whereas CF33 cells exhibited increased Akt and p-Akt alongside reduced mTOR, consistent with a compensatory feedback mechanism, probably linked to the changing in oxidative balance after treatment. Overall, these results identified Epy A as a promising natural molecule with potential applications in innovative therapeutic approaches for veterinary and comparative oncology. Full article
Show Figures

Figure 1

24 pages, 3142 KB  
Review
Solar-Light-Activated Photochemical Skin Injury Induced by Highly Oxygenated Compounds of Sosnovsky’s Hogweed
by Valery M. Dembitsky and Alexander O. Terent’ev
Photochem 2026, 6(1), 7; https://doi.org/10.3390/photochem6010007 - 27 Jan 2026
Viewed by 99
Abstract
Sosnovsky’s hogweed (Heracleum sosnowskyi Manden.) is an invasive plant species widely distributed across Eastern Europe and Russia that poses a serious threat to human health due to its pronounced phototoxic properties. Contact with the plant sap followed by exposure to solar ultraviolet [...] Read more.
Sosnovsky’s hogweed (Heracleum sosnowskyi Manden.) is an invasive plant species widely distributed across Eastern Europe and Russia that poses a serious threat to human health due to its pronounced phototoxic properties. Contact with the plant sap followed by exposure to solar ultraviolet (UV) radiation frequently results in phytophotodermatitis, which is characterized by erythema, blistering, ulceration, and persistent hyperpigmentation. The development of these photochemical injuries—most notably furanocoumarins—act as potent photosensitizers and induce cellular and DNA damage upon UV activation. This review provides an integrated overview of the geographical spread and invasiveness of H. sosnowskyi, the chemical composition of its biologically active metabolites, and the molecular mechanisms underlying hogweed-induced skin injury. Particular emphasis is placed on the photochemical transformations of furanocoumarins, including psoralens and their photooxidation products, such as 1,2-dioxetanes, which generate reactive oxygen species and DNA crosslinks. In addition, the review examines other compounds derived from hogweed biomass—including furan derivatives, aromatic compounds, fatty acids, sterols, and their oxidative products—that may contribute to phototoxic and cytotoxic effects. Clinical manifestations of hogweed-induced burns, their classification, symptomatology, and current therapeutic approaches are critically discussed, highlighting the absence of standardized treatment guidelines. Rather than serving as a purely clinical or botanical survey, this review frames Sosnovsky’s hogweed injury as a solar-light-activated photochemical hazard, tracing the sequence from environmental sunlight exposure through molecular photochemistry to biological tissue damage. By integrating chemical, biological, and dermatological perspectives, the review aims to clarify injury mechanisms and support the development of more effective preventive and mitigation strategies under real-world exposure conditions. Full article
Show Figures

Graphical abstract

13 pages, 744 KB  
Article
Extraction, Characterization and Biological Activities of Selected Lichens Growing in Serbia
by Marijana Kosanić, Tatjana Stanojković, Nevena Petrović, Anja Manojlović and Nedeljko Manojlović
J. Fungi 2026, 12(2), 83; https://doi.org/10.3390/jof12020083 (registering DOI) - 26 Jan 2026
Viewed by 203
Abstract
This study presents a comparative analysis of secondary metabolites and antioxidant, antimicrobial, and anticancer activities of acetone extracts obtained from the lichens Lepraria incana and Pertusaria amara. HPLC-UV analysis identified divaric acid, divaricatinic acid, norstictic acid, divaricatic acid and usnic acid in [...] Read more.
This study presents a comparative analysis of secondary metabolites and antioxidant, antimicrobial, and anticancer activities of acetone extracts obtained from the lichens Lepraria incana and Pertusaria amara. HPLC-UV analysis identified divaric acid, divaricatinic acid, norstictic acid, divaricatic acid and usnic acid in L. incana, and conprotocetraric acid, protocetraric acid, picrolichenic acid and atranorin in P. amara. Free radical scavenging capacity and reducing power assays were employed to assess the antioxidant activity of the extracts. The IC50 values in the free radical scavenging assay were 664.23 μg/mL for L. incana and 750.50 μg/mL for P. amara, while reducing power absorbances varied between 0.0875–0.2562 and 0.0336–0.2011, respectively. Total phenolic contents in L. incana and P. amara extracts were 40.81 and 33.67 μg PE/mg of extract, while total flavonoid contents were 24.74 and 23.61 μg RE/mg of extract, respectively. Antimicrobial activity, determined by the microdilution method, ranged from 156 to 20 × 103 μg/mL for L. incana and from 312 to 20 × 103 μg/mL for P. amara. Cytotoxicity was tested using the MTT method. Among the tested samples, the L. incana extract showed the strongest cytotoxic activity toward A549 cells, with an IC50 value of 47.53 μg/mL. Based on the results, the lichens examined demonstrate promise for future studies and potential development in biopharmaceutical applications. Full article
(This article belongs to the Special Issue Taxonomy, Phylogeny, Ecology, and Metabolites of Lichen)
Show Figures

Graphical abstract

25 pages, 8717 KB  
Article
Lactic Acid Bacteria Postbiotics as Adjunctives to Glioblastoma Therapy to Fight Treatment Escape and Protect Non-Neoplastic Cells from Side Effects
by Pola Głowacka, Agnieszka Pudlarz, Joanna Wasiak, Magdalena Peszyńska-Piorun, Michał Biegała, Karol Wiśniewski, Dariusz J. Jaskólski, Adam Marek Pieczonka, Tomasz Płoszaj, Janusz Szemraj and Monika Witusik-Perkowska
Cells 2026, 15(3), 226; https://doi.org/10.3390/cells15030226 - 24 Jan 2026
Viewed by 289
Abstract
Despite tremendous scientific efforts aimed at glioblastoma’s (GB) ability to escape therapeutic attempts, the concern remains unsolved. Postbiotics, metabolites, and macromolecules of probiotic bacteria could become adjuvant therapeutics both dealing with cellular events constituting tumor therapy escape mechanisms and protecting normal cells from [...] Read more.
Despite tremendous scientific efforts aimed at glioblastoma’s (GB) ability to escape therapeutic attempts, the concern remains unsolved. Postbiotics, metabolites, and macromolecules of probiotic bacteria could become adjuvant therapeutics both dealing with cellular events constituting tumor therapy escape mechanisms and protecting normal cells from therapy-induced damage. The study aims to evaluate the dual potential of postbiotics obtained from lactic acid bacteria, L. plantarum and L. rhamnosus, on patient-derived and commercially available GB and normal cells alone and in combination with chemotherapeutic and irradiation oncotreatment regimens. Postbiotic mixtures (PMs) show cytoprotective potential against a new anti-cancer agent—ARA12—on astrocytes and cytoprotective action to irradiated normal fibroblast cells. Although GB cells’ apoptotic response varied between patient-derived cells, both PMs exert cytotoxic or cytostatic effects alone and, in most of the studied therapeutic combinations, on all tested GB cell lines. In particular, L. plantarum PM alleviates treatment escape, possibly shifting the tumor drug response from senescence to apoptosis. The results suggest that postbiotic-based adjunctive treatment could potentiate the therapeutic effect toward neoplastic cells, while alleviating chemotherapy’s adverse effects, helping clinicians to tackle the issue of therapy resistance and improve patients’ comfort. Full article
(This article belongs to the Special Issue Cell Death Mechanisms and Therapeutic Opportunities in Glioblastoma)
Show Figures

Figure 1

23 pages, 348 KB  
Article
Phytochemical Composition, Biological Activity and Application of Cymbopogon citratus In Vitro Microshoot Cultures in Cosmetic Formulations
by Ewelina Błońska-Sikora, Jakub Wawrzycki, Paulina Lechwar, Katarzyna Gaweł-Bęben, Paulina Żarnowiec, Klaudia Wojtaszek and Małgorzata Wrzosek
Appl. Sci. 2026, 16(3), 1158; https://doi.org/10.3390/app16031158 - 23 Jan 2026
Viewed by 153
Abstract
This study investigated the phytochemical composition and biological activity of Cymbopogon citratus microshoot cultures and evaluated their suitability for incorporation into a cosmetic formulation. Microshoot cultures were established on Murashige and Skoog media supplemented with plant growth regulators and served as a reproducible [...] Read more.
This study investigated the phytochemical composition and biological activity of Cymbopogon citratus microshoot cultures and evaluated their suitability for incorporation into a cosmetic formulation. Microshoot cultures were established on Murashige and Skoog media supplemented with plant growth regulators and served as a reproducible source of biomass. Methanolic and ethanolic extracts were analyzed for total phenolic content (TPC), total flavonoid content (TFC), and antioxidant activity using 2,2-diphenyl-1-picrylhydrazyl (DPPH) and ferric reducing antioxidant power (FRAP) assays. Chemical composition was characterized using LC-MS/MS analysis, which revealed the presence of phenolic acids and flavonoids, with p-coumaric, caffeic, and ferulic acids being among the most abundant detected constituents. In biological assays, the extracts inhibited murine tyrosinase in a concentration-dependent manner and exhibited antimicrobial activity against selected oral and skin-associated microorganisms, including Streptococcus mutans, Streptococcus pyogenes, and Staphylococcus epidermidis, as well as showing fungistatic and fungicidal effects against Candida albicans. Cytotoxicity analysis performed on HaCaT keratinocytes confirmed biocompatibility within the tested concentration range. To assess formulation suitability, the microshoot extract was incorporated into an oil-in-water (O/W) cream, which maintained stable pH, viscosity, and physical properties while preserving the antioxidant activity of the extract. Overall, these findings indicate that C. citratus microshoot cultures represent a reproducible source of bioactive metabolites with potential application in cosmetic formulations. Full article
19 pages, 2834 KB  
Article
Antiprotozoal Potential of Cultivated Geranium macrorrhizum Against Giardia duodenalis, Trichomonas gallinae and Leishmania infantum
by Sara Marcos-Herraiz, María José Irisarri-Gutiérrez, Javier Carrión, Iris Azami Conesa, Rodrigo Suárez Lombao, Juliana Navarro-Rocha, Jose Francisco Quilez del Moral, Alejandro Fernández Barrero, Eneko Ochoa Larrigan, Azucena González-Coloma, María Teresa Gómez-Muñoz and María Bailén
Int. J. Mol. Sci. 2026, 27(2), 1125; https://doi.org/10.3390/ijms27021125 - 22 Jan 2026
Viewed by 111
Abstract
Plant-derived natural products are an invaluable source of structurally diverse secondary metabolites with ecological and pharmacological significance. Geranium macrorrhizum, a species known for producing essential oils rich in monoterpenoids and sesquiterpenes, has been scarcely explored for its antiparasitic potential. This study represents [...] Read more.
Plant-derived natural products are an invaluable source of structurally diverse secondary metabolites with ecological and pharmacological significance. Geranium macrorrhizum, a species known for producing essential oils rich in monoterpenoids and sesquiterpenes, has been scarcely explored for its antiparasitic potential. This study represents the first comprehensive evaluation of the antiprotozoal activity of G. macrorrhizum obtained from cultivated plants. Plant material was produced under controlled greenhouse cultivation systems, ensuring high-quality and reproducible metabolite profiles. Essential oils were obtained through hydrodistillation and chemically characterized by Gas Chromatography-Mass Spectrometry (GC–MS). In vitro assays were conducted against Giardia duodenalis, Trichomonas gallinae, and Leishmania infantum to assess antiparasitic efficacy and cytotoxicity. The results demonstrated strong activity of essential oils against Trichomonas gallinae, and Leishmania infantum, indicating the relevance of lipophilic compounds—especially germacrone—as key bioactive constituents. Germacrone exhibited strong and selective antiparasitic activity, outperforming its structural analogues. Microscopic analyses revealed distinct parasite-specific morphological alterations, differing from those induced by conventional drugs such as metronidazole and amphotericin B. These findings highlight G. macrorrhizum obtained through biotechnological cultivation as a novel and sustainable source of natural antiprotozoal agents. The study underscores the importance of integrating controlled cultivation with phytochemical and biological evaluation to advance the discovery of innovative bioactive compounds. Full article
(This article belongs to the Section Molecular Pharmacology)
Show Figures

Graphical abstract

21 pages, 1466 KB  
Article
Marine Bromophenols from Laminaria hyperborea’s Epiphytic Biomass: Chemical Profiling, Cytotoxicity, and Antioxidant Activity
by Angeliki Barouti, Vinh Le Ba, Lars Herfindal and Monica Jordheim
Mar. Drugs 2026, 24(1), 52; https://doi.org/10.3390/md24010052 - 21 Jan 2026
Viewed by 219
Abstract
The epiphytic community of Laminaria hyperborea, dominated by red algae, is typically discarded during industrial processing despite its potential as a source of high-value natural products. This study aims to valorize this underutilized biomass by characterizing its secondary metabolites and evaluating the [...] Read more.
The epiphytic community of Laminaria hyperborea, dominated by red algae, is typically discarded during industrial processing despite its potential as a source of high-value natural products. This study aims to valorize this underutilized biomass by characterizing its secondary metabolites and evaluating the biological activities of its major bromophenols. A combined chromatographic workflow enabled the isolation and structural elucidation of five bromophenols (15), including one previously undescribed compound (5). Among these, compound 4 exhibited the strongest cytotoxicity against the acute myeloid leukemia (AML) cell line MOLM-13 (EC50 = 6.23 μM) and induced pronounced apoptotic features. When tested on two normal cell lines (NRK and H9c2) and in zebrafish larvae, it showed moderate toxicity at higher concentrations, indicating a reasonable selectivity window. In contrast, compound 5 was more toxic to normal cells than to MOLM-13 in vitro, while showing no acute toxicity in zebrafish; however, interpretations are preliminary due to compound purity. Bromophenols 14 were also tested for antioxidant activity, with 4 being the most potent (ABTS EC50 = 22.1 μM), although this did not translate into protection against doxorubicin-induced cardiotoxicity. Additionally, non-targeted UHPLC-QTOF MS/MS analysis tentatively identified nine additional bromophenols and provided an estimation of their origin species within the epiphytic assemblage. Full article
(This article belongs to the Section Marine Biotechnology Related to Drug Discovery or Production)
Show Figures

Graphical abstract

44 pages, 5904 KB  
Review
Steroidal Compounds at the Crossroads of Inflammation and Cancer: Implications for Drug Discovery and Therapy
by Valery M. Dembitsky and Alexander O. Terent’ev
Biomedicines 2026, 14(1), 214; https://doi.org/10.3390/biomedicines14010214 - 19 Jan 2026
Viewed by 213
Abstract
Steroidal compounds lie at the crossroads of inflammation and cancer, where modulation of common signaling pathways creates opportunities for dual-action therapeutic intervention. Accumulating evidence indicates that their anti-inflammatory and antitumor activities are frequently interconnected, reflecting shared molecular mechanisms that regulate immune signaling, oxidative [...] Read more.
Steroidal compounds lie at the crossroads of inflammation and cancer, where modulation of common signaling pathways creates opportunities for dual-action therapeutic intervention. Accumulating evidence indicates that their anti-inflammatory and antitumor activities are frequently interconnected, reflecting shared molecular mechanisms that regulate immune signaling, oxidative stress, cell proliferation, and apoptosis. This review provides a critical and comparative analysis of major classes of bioactive steroids—including furanosteroids, neo-steroids, aromatic steroids, α,β-epoxy steroids, peroxy steroids, cyanosteroids, nitro- and epithio steroids, halogenated steroids (fluorinated, chlorinated, brominated, iodinated), and steroid phosphate esters—with emphasis on their dual anti-inflammatory and anticancer potential. More than one thousand steroidal metabolites derived from plants, fungi, marine organisms, bacteria, and synthetic sources are surveyed. While the majority exhibit either anti-inflammatory or antineoplastic activity alone, only a limited subset displays potent activity in both domains. Comparative evaluation highlights the structural features that favor dual functionality, including epoxide, peroxide, nitrile, nitro, halogen, and phosphate ester moieties, as well as rearranged or heteroatom-enriched steroidal frameworks. Where available, biological data from in vitro and in vivo assays (IC50 values, enzyme inhibition, cytokine modulation, and antiproliferative effects) are summarized and critically compared. Special attention is given to rare natural metabolites—such as polyhalogenated marine steroids, phosphorylated sterols, and heteroatom-containing derivatives—as well as synthetic analogues designed to enhance cytotoxic or immunomodulatory efficacy. Mechanistically, steroids exhibiting dual activity commonly modulate convergent signaling pathways, including NF-κB, JAK/STAT, MAPK, PI3K/AKT, redox homeostasis, and apoptosis regulation. Collectively, these findings underscore the potential of structurally optimized steroids as multifunctional therapeutic agents and provide a framework for the rational design of next-generation anti-inflammatory and anticancer drugs. Full article
Show Figures

Figure 1

17 pages, 1892 KB  
Article
A New Trichlorinated Xanthone and Compounds Isolated from Cladonia skottsbergii with Antimicrobial Properties
by Marvin J. Rositzki, Achara Raksat, Charles J. Simmons, Clifford Smith, Reverend Danette V. Choi, Supakit Wongwiwatthananukit and Leng Chee Chang
Pharmaceuticals 2026, 19(1), 174; https://doi.org/10.3390/ph19010174 - 19 Jan 2026
Viewed by 266
Abstract
Background/Objectives: The global rise in multidrug-resistant (MDR) bacteria, particularly methicillin-resistant and methicillin-susceptible Staphylococcus aureus (MRSA and MSSA), continues to pose a major public health challenge, including in Hawaii. This underscores the need to discover new antimicrobial agents from natural sources. Guided by [...] Read more.
Background/Objectives: The global rise in multidrug-resistant (MDR) bacteria, particularly methicillin-resistant and methicillin-susceptible Staphylococcus aureus (MRSA and MSSA), continues to pose a major public health challenge, including in Hawaii. This underscores the need to discover new antimicrobial agents from natural sources. Guided by teachings from a Buddhist master regarding the medicinal value of lichens, we investigated the endemic Hawaiian lichen Cladonia skottsbergii. Methods: Specimens of C. skottsbergii were collected from the Lotus Buddhist Monastery in Mountain View, Hawaii. A methanolic extract was prepared and purified using chromatographic techniques, and compound structures were elucidated through spectroscopic analyses and single-crystal X-ray diffraction. The antibacterial activity of the compounds was assessed against Gram-positive strains (MRSA, MSSA) and Gram-negative bacteria (Escherichia coli, Klebsiella pneumoniae, Pseudomonas aeruginosa). Cytotoxicity was assessed using A549 (non-small cell lung cancer) and Vero E6 (non-tumorigenic) cell lines. Results: Three compounds were isolated: clarosione (1), a newly identified trichlorinated xanthone, and two known metabolites, (S)-usnic acid (2) and perlatolic acid (3). Compounds 2 and 3 demonstrated strong inhibitory effects against MRSA and MSSA. Their minimum inhibitory concentrations (MICs) ranged from 2 to 4 µg/mL, compared with vancomycin (0.5–1 µg/mL). Cytotoxicity testing showed higher sensitivity in A549 cells than in Vero E6 cells, resulting in favorable selectivity indices for the active compounds. Conclusions: In the current study, a new compound, clarosione (1) was discovered. This enhances our understanding of the constituents of C. skottsbergii and its potential antibacterial properties. Lichen-derived compounds may serve as lead candidates for further development, and further study is warranted. Full article
Show Figures

Graphical abstract

22 pages, 3586 KB  
Article
Targeting Infected Host Cell Heme Metabolism to Kill Malaria Parasites
by Faiza A. Siddiqui, Swamy R. Adapa, Xiaolian Li, Jun Miao, Liwang Cui and Rays H. Y. Jiang
Pharmaceuticals 2026, 19(1), 167; https://doi.org/10.3390/ph19010167 - 17 Jan 2026
Viewed by 331
Abstract
Background/Objectives: Malaria remains a major global health burden, increasingly complicated by resistance to artemisinin-based therapies. Because artemisinin activation depends on heme and porphyrin chemistry, we sought to exploit host red blood cell (RBC) heme metabolism as a therapeutic vulnerability. This study aims [...] Read more.
Background/Objectives: Malaria remains a major global health burden, increasingly complicated by resistance to artemisinin-based therapies. Because artemisinin activation depends on heme and porphyrin chemistry, we sought to exploit host red blood cell (RBC) heme metabolism as a therapeutic vulnerability. This study aims to develop and evaluate a host-directed “bait-and-kill” strategy that selectively sensitizes malaria-infected RBCs to artemisinin. Methods: We integrated quantitative proteomics, erythropoiesis transcriptomic analyses, flow cytometry, and in vitro malaria culture assays to characterize heme metabolism in mature RBCs and Plasmodium falciparum-infected RBCs (iRBCs). The heme precursor 5-aminolevulinic acid (ALA) was used to induce porphyrin accumulation, and dihydroartemisinin (DHA) was applied as the killing agent. Drug synergy, porphyrin accumulation, reactive oxygen species (ROS) induction, and parasite survival were assessed, including ring-stage survival assays using artemisinin-resistant clinical isolates. Results: Mature RBCs retain a truncated heme biosynthesis pathway capable of accumulating porphyrin intermediates, while uninfected RBCs are impermeable to ALA. In contrast, iRBCs exhibit increased membrane permeability, allowing selective ALA uptake and porphyrin accumulation. ALA alone did not induce cytotoxicity or ROS, whereas DHA induced ROS and parasite killing. The ALA + DHA combination resulted in synergistic parasite elimination, including complete clearance of artemisinin-resistant P. falciparum isolates from the Greater Mekong Subregion, with no recrudescence observed over three weeks of culture. Evidence supports a predominant role for host-derived heme metabolites in mediating this synergy. Conclusions: The bait-and-kill strategy selectively exploits host RBC heme metabolism to restore and enhance artemisinin efficacy while sparing uninfected cells. Using clinically safe compounds, this host-directed approach provides a promising, resistance-bypassing framework for malaria treatment and combination drug development. Full article
Show Figures

Graphical abstract

20 pages, 4104 KB  
Article
Integrated Targeted and Untargeted Metabolomics Reveals the Toxic Mechanisms of Zearalenone in Goat Leydig Cells
by Chunmei Ning, Jinkui Sun, Ying Zhao, Houqiang Xu, Wenxuan Wu and Yi Yang
Animals 2026, 16(2), 283; https://doi.org/10.3390/ani16020283 - 16 Jan 2026
Viewed by 157
Abstract
Zearalenone (ZEA) is a mycotoxin commonly found in animal feed and is associated with pronounced reproductive toxicity. However, most studies on ZEA’s reproductive effects have focused on female monogastric animals, while research on male ruminants remains limited. This study aimed to investigate the [...] Read more.
Zearalenone (ZEA) is a mycotoxin commonly found in animal feed and is associated with pronounced reproductive toxicity. However, most studies on ZEA’s reproductive effects have focused on female monogastric animals, while research on male ruminants remains limited. This study aimed to investigate the cytotoxic and metabolic mechanisms underlying ZEA-induced damage in goat Leydig cells (LCs). The CCK8 assay was first used to determine the effective ZEA concentration (IC50 ≈ 20 μM), and a cytotoxicity model was subsequently established. The model’s validity was confirmed using qRT-PCR, transmission electron microscopy, flow cytometry, and JC-1 staining. Results showed that ZEA significantly reduced LCs viability in a dose-dependent manner, decreased mitochondrial membrane potential, induced cell cycle arrest, and triggered apoptosis. Targeted and untargeted metabolomics analyses revealed that ZEA disrupts steroidogenic pathways and alters steroid hormone secretion, resulting in elevated levels of progesterone, corticosterone, and androstenedione, and reduced dihydrotestosterone levels. Furthermore, 52 significantly altered metabolites were identified, predominantly enriched in glycerophospholipid metabolism, choline metabolism, and neurotransmitter vesicle pathways, with corresponding changes in gene expression. Collectively, this study has confirmed that ZEA causes harm to the reproductive cells of male goats in multiple aspects, underscoring the link between metabolic dysregulation and reproductive impairment, and offering a foundation for evaluating ZEA’s impact on goat reproductive performance. Full article
(This article belongs to the Section Small Ruminants)
Show Figures

Figure 1

22 pages, 3068 KB  
Article
Hydroalcoholic Extracts of Cucumis prophetarum L. Affect the Insulin Signaling Pathway in an In Vitro Model of Insulin-Resistant L6 Myotubes
by Zewdie Mekonnen, Giuseppe Petito, Getasew Shitaye, Gianluca D’Abrosca, Belete Adefris Legesse, Sisay Addisu, Antonia Lanni, Roberto Fattorusso, Carla Isernia, Lara Comune, Simona Piccolella, Severina Pacifico, Rosalba Senese, Gaetano Malgieri and Solomon Tebeje Gizaw
Molecules 2026, 31(2), 307; https://doi.org/10.3390/molecules31020307 - 15 Jan 2026
Viewed by 224
Abstract
Type 2 diabetes mellitus (T2DM) can be traditionally treated by edible and medicinal species rich in flavonoids and triterpenoids known for their metabolic benefits. Cucumis prophetarum L. has shown antioxidant and antidiabetic properties in decoction extracts. Since solvent polarity strongly influences the extraction [...] Read more.
Type 2 diabetes mellitus (T2DM) can be traditionally treated by edible and medicinal species rich in flavonoids and triterpenoids known for their metabolic benefits. Cucumis prophetarum L. has shown antioxidant and antidiabetic properties in decoction extracts. Since solvent polarity strongly influences the extraction of secondary metabolites, this study investigated the hydroalcoholic extracts of C. prophetarum L. to explore their chemical composition and insulin-sensitizing potential. Hydroalcoholic extracts from the leaf, stem, and root of C. prophetarum L. were analyzed by UV-Vis spectroscopy, ATR-FTIR, and UHPLC-ESI-QqTOF–MS/MS to profile their secondary metabolites. The insulin-sensitizing potential of each extract was assessed using an in vitro model of palmitic-acid-induced insulin resistance in L6 skeletal muscle cells, followed by Western blot analysis of key insulin-signaling proteins. Flavonoid glycosides such as apigenin-C,O-dihexoside, apigenin-malonylhexoside, and luteolin-C,O-dihexoside were abundant in leaf and stem extracts, while cucurbitacins predominated in the root. MTT assay confirmed that hydroalcoholic stem and root extracts of C. prophetarum L. were non-cytotoxic to L6 myotubes, whereas the leaf extract reduced viability only at higher concentrations. Oil Red O staining revealed a pronounced decrease in lipid accumulation following stem and root extract treatment. Consistently, the stem extract enhanced insulin signaling through the activation of the IRS-1/PI3K/Akt pathway, while the root extract primarily modulated the AMPK–mTOR pathway. Importantly, both extracts promoted GLUT4 translocation to the plasma membrane, highlighting their complementary mechanisms in restoring insulin sensitivity. Hydroalcoholic extracts of C. prophetarum L. alleviate insulin resistance through multiple molecular mechanisms, with bioactivity and composition differing markedly from previously reported in the decoctions, which highlight a promising source of insulin-sensitizing phytochemicals and underscore the importance of solvent selection in maximizing therapeutic potential. Full article
(This article belongs to the Special Issue Bioactive Natural Products and Derivatives)
Show Figures

Graphical abstract

Back to TopTop