Sign in to use this feature.

Years

Between: -

Subjects

remove_circle_outline
remove_circle_outline
remove_circle_outline
remove_circle_outline
remove_circle_outline

Journals

Article Types

Countries / Regions

remove_circle_outline
remove_circle_outline
remove_circle_outline
remove_circle_outline

Search Results (86)

Search Parameters:
Keywords = curcumin nanoformulations

Order results
Result details
Results per page
Select all
Export citation of selected articles as:
15 pages, 5961 KB  
Article
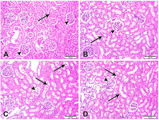
Aryl Hydrocarbon Receptor (AhR) and Vascular Endothelial Growth Factor (VEGF) Crosstalk in Doxorubicin Nephrotoxicity: Mechanisms and Therapeutic Perspectives
by Noha A. Alshuwayer, Qamraa H. Alqahtani, Marwa H. Hussein, Raeesa Mohammed and Iman H. Hasan
Curr. Issues Mol. Biol. 2026, 48(1), 116; https://doi.org/10.3390/cimb48010116 (registering DOI) - 22 Jan 2026
Abstract
Doxorubicin (DOX), a widely used chemotherapeutic, is constrained by its nephrotoxicity, characterized by endothelial injury, inflammation, and oxidative stress. Vascular endothelial growth factor (VEGF) signaling in the kidney serves a dual function. Under normal conditions, it supports the survival of glomerular endothelial cells [...] Read more.
Doxorubicin (DOX), a widely used chemotherapeutic, is constrained by its nephrotoxicity, characterized by endothelial injury, inflammation, and oxidative stress. Vascular endothelial growth factor (VEGF) signaling in the kidney serves a dual function. Under normal conditions, it supports the survival of glomerular endothelial cells and maintains vascular stability, but when excessively activated, it disrupts angiogenesis and contributes to kidney injury. In this context, we hypothesize that Nanocurcumin (CUR-NP), a nano-formulated curcumin derivative with enhanced bioavailability, can modulate the VEGF pathway and restore regular renal activity. Thus, this study aims to explore the potential protective effect of CUR-NP on DOX-induced renal injury in male rats. Thirty-two Wistar albino rats were used and distributed into four groups. CUR-NP (80 mg/kg dissolved in 1% CMC) was administered by oral gavage for two weeks. A single dose of DOX (15 mg/kg) (i.p.) was injected on day seven of the study. Results showed that DOX increased the circulating creatinine, urea, and urea-nitrogen levels, while pretreatment with CUR-NP markedly alleviated kidney function. In addition, CUR-NP treatment significantly normalized oxidative stress markers in renal tissues, such as NO, GSH, and SOD, and improved renal pro-inflammatory mediators, TNF-α, IL-6, and NF-κB-p65. DOX caused degeneration of glomeruli and tubules with degenerated epithelial lining and casts in their lumens. Conversely, CUR-NP maintained standard tubular and glomerular structure. Immunohistochemistry showed that DOX strongly upregulated VEGF and AhR, while CUR-NP markedly reduced their expression, countering VEGF/AhR pathway disruption and helping restore physiological signaling. Full article
Show Figures

Figure 1

48 pages, 2220 KB  
Review
Targeting Cancer Stem Cells with Phytochemicals: Molecular Mechanisms and Therapeutic Potential
by Ashok Kumar Sah, Joy Das, Abdulkhakov Ikhtiyor Umarovich, Shagun Agarwal, Pranav Kumar Prabhakar, Ankur Vashishtha, Rabab H. Elshaikh, Ranjay Kumar Choudhary and Ayman Hussein Alfeel
Biomedicines 2026, 14(1), 215; https://doi.org/10.3390/biomedicines14010215 - 19 Jan 2026
Viewed by 26
Abstract
Cancer stem cells (CSCs) represent a small but highly resilient tumor subpopulation responsible for sustained growth, metastasis, therapeutic resistance, and recurrence. Their survival is supported by aberrant activation of developmental and inflammatory pathways, including Wnt/β-catenin, Notch, Hedgehog, PI3K/Akt/mTOR, STAT3, and NF-κB, as well [...] Read more.
Cancer stem cells (CSCs) represent a small but highly resilient tumor subpopulation responsible for sustained growth, metastasis, therapeutic resistance, and recurrence. Their survival is supported by aberrant activation of developmental and inflammatory pathways, including Wnt/β-catenin, Notch, Hedgehog, PI3K/Akt/mTOR, STAT3, and NF-κB, as well as epithelial–mesenchymal transition (EMT) programs and niche-driven cues. Increasing evidence shows that phytochemicals, naturally occurring bioactive compounds from medicinal plants, can disrupt these networks through multi-targeted mechanisms. This review synthesizes current findings on prominent phytochemicals such as curcumin, sulforaphane, resveratrol, EGCG, genistein, quercetin, parthenolide, berberine, and withaferin A. Collectively, these compounds suppress CSC self-renewal, reduce sphere-forming capacity, diminish ALDH+ and CD44+/CD24 fractions, reverse EMT features, and interfere with key transcriptional regulators that maintain stemness. Many phytochemicals also sensitize CSCs to chemotherapeutic agents by downregulating drug-efflux transporters (e.g., ABCB1, ABCG2) and lowering survival thresholds, resulting in enhanced apoptosis and reduced tumor-initiating potential. This review further highlights the translational challenges associated with poor solubility, rapid metabolism, and limited bioavailability of free phytochemicals. Emerging nanotechnology-based delivery systems, including polymeric nanoparticles, lipid carriers, hybrid nanocapsules, and ligand-targeted formulations, show promise in improving stability, tumor accumulation, and CSC-specific targeting. These nanoformulations consistently enhance intracellular uptake and amplify anti-CSC effects in preclinical models. Overall, the consolidated evidence supports phytochemicals as potent modulators of CSC biology and underscores the need for optimized delivery strategies and evidence-based combination regimens to achieve meaningful clinical benefit. Full article
(This article belongs to the Section Cancer Biology and Oncology)
Show Figures

Graphical abstract

24 pages, 3695 KB  
Review
Therapeutic Advances of Curcumin and Nanocurcumin in Glioblastoma: Molecular Targets, Bioavailability, and Drug Delivery
by Md Ataur Rahman, Mahesh Kumar Yadab and Meser M. Ali
Nutrients 2026, 18(2), 194; https://doi.org/10.3390/nu18020194 - 7 Jan 2026
Viewed by 409
Abstract
Glioblastoma (GBM), the most common, invasive, and chemoresistant form of adult primary brain cancer, is characterized by rapid cell proliferation, local invasiveness, and resistance to chemotherapy (e.g., temozolomide (TMZ)) and radiation therapy. Curcumin, a bioactive polyphenol derived from Curcuma longa, has exhibited [...] Read more.
Glioblastoma (GBM), the most common, invasive, and chemoresistant form of adult primary brain cancer, is characterized by rapid cell proliferation, local invasiveness, and resistance to chemotherapy (e.g., temozolomide (TMZ)) and radiation therapy. Curcumin, a bioactive polyphenol derived from Curcuma longa, has exhibited exceptional anti-cancer properties, including anti-proliferative, pro-apoptotic, anti-inflammatory, and anti-angiogenic activities in a wide range of cancer models, including GBM. However, the clinical application of curcumin has been seriously limited by several challenges, including low water solubility, low bioavailability, rapid systemic clearance, and poor blood–brain barrier (BBB) penetration. To overcome these challenges, several nanocarrier systems to produce nanocurcumin have been developed, including liposomes, polymeric nanoparticles, solid lipid nanoparticles, dendrimers, and micelles. These nanoformulations improve the solubility, stability, systemic circulation, and target-directed delivery of curcumin to glioma cells, thereby resulting in a high level of accumulation in the glioma microenvironment. On the other hand, this work is devoted to the potential of curcumin and nanocurcumin for the treatment of GBM. The article provides a detailed review of the major molecular targets of curcumin, such as NF-κB, STAT3, PI3K/AKT/mTOR, and p53 signaling pathways, as well as recent advancements in nanotechnology-based delivery platforms that improve drug delivery across the BBB and their possible clinical translation. We also include a thorough examination of the issues, limitations, and potential opportunities associated with the clinical advancement of curcumin-based therapeutics for GBM. Full article
(This article belongs to the Special Issue Natural Active Substances and Cancer)
Show Figures

Figure 1

31 pages, 6654 KB  
Review
Nanostructured Delivery Systems for Curcumin: Improving Bioavailability and Plaque-Targeting Efficacy in Atherosclerosis
by Yu Liu, Tengfei Yu, Chao Zhang, Zhiyong Yang, Dahai Yu, Bin He and Yan Liang
Pharmaceutics 2025, 17(11), 1465; https://doi.org/10.3390/pharmaceutics17111465 - 13 Nov 2025
Cited by 1 | Viewed by 921
Abstract
Cardiovascular disease (CVD) encompasses ischemic conditions of the heart, brain, and bodily tissues, primarily resulting from hyperlipidemia, atherosclerosis (AS), hypertension, and other related factors. CVD accounts for over 40% of global non-communicable disease mortality, making it the leading cause of death and a [...] Read more.
Cardiovascular disease (CVD) encompasses ischemic conditions of the heart, brain, and bodily tissues, primarily resulting from hyperlipidemia, atherosclerosis (AS), hypertension, and other related factors. CVD accounts for over 40% of global non-communicable disease mortality, making it the leading cause of death and a significant medical burden worldwide. AS, the principal pathological basis for most cardiovascular diseases, is characterized as a chronic, sterile inflammatory condition triggered by lipid overload and various other factors. In recent years, natural bioactive compounds have gained prominence in the treatment of human diseases. Among these, curcumin (Cur) has garnered considerable attention due to its anti-inflammatory, lipid-lowering, antihypertensive, and endothelial protective properties. This review examines traditional pharmacological approaches for treating AS, with particular emphasis on the critical mechanisms through which Cur exerts its therapeutic effects. Additionally, it introduces novel nanoformulations designed to address the inherent limitations of Cur, providing valuable insights for researchers investigating its application in AS therapy. Full article
Show Figures

Figure 1

27 pages, 1756 KB  
Review
Polyphenol-Loaded Nanodevices as Innovative Therapeutic Strategies for Dry Eye Disease: Advances and Perspectives
by Raffaele Conte, Ilenia De Luca, Anna Calarco, Mauro Finicelli and Gianfranco Peluso
Antioxidants 2025, 14(11), 1280; https://doi.org/10.3390/antiox14111280 - 25 Oct 2025
Viewed by 1377
Abstract
Background: Dry Eye Disease (DED) is a multifactorial ocular disorder characterized by tear film instability, inflammation, oxidative stress, and ocular surface damage. Current therapeutic options often provide only temporary relief and are limited by poor patient compliance and inadequate drug retention at the [...] Read more.
Background: Dry Eye Disease (DED) is a multifactorial ocular disorder characterized by tear film instability, inflammation, oxidative stress, and ocular surface damage. Current therapeutic options often provide only temporary relief and are limited by poor patient compliance and inadequate drug retention at the ocular surface. Aim: This review aims to critically analyze the therapeutic potential of polyphenols and their nanoencapsulated formulations for the management of DED, focusing on pharmacological mechanisms, formulation strategies, and translational implications. Methods: A comprehensive literature search was conducted in PubMed, Scopus, and Web of Science databases using combinations of the following keywords: “dry eye disease,” “polyphenols,” “antioxidants,” “nanocarriers,” “ocular delivery,” and “bioavailability.” Studies published in English from 2000 to 2024 were considered. Inclusion criteria encompassed experimental, preclinical, and clinical studies evaluating polyphenol-based formulations for ocular application, while reviews without original data or studies unrelated to DED were excluded. Results: The analysis identified EGCG, curcumin, resveratrol, and quercetin as the most extensively investigated polyphenols, exhibiting antioxidant, anti-inflammatory, and cytoprotective activities through modulation of cytokines, reactive oxygen species, and immune signaling pathways. Nanoformulations such as lipid nanoparticles, micelles, and cyclodextrin complexes improved solubility, stability, ocular retention, and bioavailability, leading to enhanced therapeutic efficacy in preclinical DED models. Conclusions and Future Perspectives: Polyphenol-loaded nanocarriers represent a promising approach for improving the management of DED by enhancing local drug delivery and sustained release. However, further clinical studies are needed to assess long-term safety, scalability, and regulatory feasibility. Future research should focus on optimizing formulation reproducibility and exploring personalized nanotherapeutic strategies to overcome interindividual variability in treatment response. Full article
(This article belongs to the Special Issue Oxidative Stress in Eye Diseases)
Show Figures

Figure 1

20 pages, 6611 KB  
Article
Unraveling Lyophilization and Redispersion Effects on Miktoarm Polymer-Based Nanoformulations
by Samaneh Yousefi Adlsadabad, Gabriel Théberge-Julien, Fatima Fernanda Portillo Gutierrez, Ricardo Beltran Medina, Ximena Matias Mercado, Éric Rhéaume, Jean-Claude Tardif and Ashok Kakkar
Int. J. Mol. Sci. 2025, 26(20), 10015; https://doi.org/10.3390/ijms262010015 - 15 Oct 2025
Viewed by 925
Abstract
To enhance the scope of therapeutic interventions using star polymeric nanoparticles of desired concentrations, an understanding of the effect of converting aqueous formulations into stable redispersible dry powders by freeze drying on their physicochemical and biological properties is essential. We demonstrate that parameters [...] Read more.
To enhance the scope of therapeutic interventions using star polymeric nanoparticles of desired concentrations, an understanding of the effect of converting aqueous formulations into stable redispersible dry powders by freeze drying on their physicochemical and biological properties is essential. We demonstrate that parameters such as the choice of the cryoprotectant, its molecular weight, and concentration play an important role during lyophilization and reconstitution processes. We hypothesized that utilizing cryoprotectants akin to shell-forming polymers may be ideal in protection against aggregation and keeping the nanostructures intact during lyophilization and reconstitution, as well as retaining the overall biological efficacy of their cargo. Through an evaluation of miktoarm polymer-based nanoparticles, we demonstrate that PEG2k at 1% w/v concentration provides the optimized cryoprotection, and the resulting solid formulations upon redispersion in an aqueous medium preserve the desired nanoparticle and curcumin properties. PEG2k at 1% w/v is more efficient than PEG5k and saccharides including glucose, sucrose, trehalose, and mannitol in enhancing the integrity of micelles during lyophilization and reconstitution. Addition of PEG2k 1% w/v (with or without lyophilization and redispersion) enhances drug release in PBS buffer, while it has no impact in the cell culture media. Nanoformulations protect endothelial cells from cytotoxicity of curcumin, and addition of cryoprotectant or the lyophilization/redispersion processes did not impair anti-inflammatory efficacy of curcumin. Full article
(This article belongs to the Section Molecular Nanoscience)
Show Figures

Figure 1

27 pages, 1343 KB  
Review
Nanoformulated Curcumin for Food Preservation: A Natural Antimicrobial in Active and Smart Packaging Systems
by Edith Dube
Appl. Biosci. 2025, 4(4), 46; https://doi.org/10.3390/applbiosci4040046 - 13 Oct 2025
Viewed by 1485
Abstract
Food spoilage and contamination remain pressing global challenges, undermining food security and safety while driving economic losses. Conventional preservation strategies, including thermal treatments, refrigeration, and synthetic additives, often compromise nutritional quality and raise sustainability concerns, thereby necessitating natural, effective alternatives. Curcumin, a polyphenolic [...] Read more.
Food spoilage and contamination remain pressing global challenges, undermining food security and safety while driving economic losses. Conventional preservation strategies, including thermal treatments, refrigeration, and synthetic additives, often compromise nutritional quality and raise sustainability concerns, thereby necessitating natural, effective alternatives. Curcumin, a polyphenolic compound derived from Curcuma longa, has demonstrated broad-spectrum antimicrobial, antioxidant, and anti-inflammatory activities, making it a promising candidate for food preservation. However, its poor solubility, instability, and low bioavailability limit direct applications in food systems. Advances in nanotechnology have enabled the development of nanoformulated curcumin, enhancing solubility, stability, controlled release, and functional efficacy. This review examines the antimicrobial mechanisms of curcumin and its nanoformulations, including membrane disruption, oxidative stress via reactive oxygen species, quorum sensing inhibition, and biofilm suppression. Applications in active and smart packaging are highlighted, where curcumin nanoformulation not only extends shelf life but also enables freshness monitoring through pH-responsive color changes. Evidence across meats, seafood, fruits, dairy, and beverages shows improved microbial safety, oxidative stability, and sensory quality. Multifunctional systems, such as hybrid composites and stimuli-responsive carriers, represent next-generation tools for sustainable packaging. However, challenges remain with scale-up, migration safety, cytotoxicity, and potential promotion of antimicrobial resistance gene (ARG) transfer. Future research should focus on safety validation, advanced nanocarriers, ARG-aware strategies, and regulatory frameworks. Overall, nanoformulated curcumin offers a natural, versatile, and eco-friendly approach to food preservation that aligns with clean-label consumer demand. Full article
Show Figures

Figure 1

19 pages, 847 KB  
Review
Curcumin and Acute Myeloid Leukemia: Synergistic Effects with Targeted Therapy
by Rita Badagliacca, Manlio Fazio, Fabio Stagno, Giuseppe Mirabile, Demetrio Gerace and Alessandro Allegra
Int. J. Mol. Sci. 2025, 26(19), 9700; https://doi.org/10.3390/ijms26199700 - 5 Oct 2025
Cited by 1 | Viewed by 2469
Abstract
Acute myeloid leukemia is characterized by the presence of malignant cells and their uncontrolled growth in bone marrow. Recent studies have been focused on the ability of curcumin, a polyphenol derived from the Curcuma longa plant. The role of curcumin is currently under [...] Read more.
Acute myeloid leukemia is characterized by the presence of malignant cells and their uncontrolled growth in bone marrow. Recent studies have been focused on the ability of curcumin, a polyphenol derived from the Curcuma longa plant. The role of curcumin is currently under investigation, due to its antitumor properties and action on several pathways, including Nuclear Factor kappa-light-chain-enhancer of activated B cells, Signal Transducer and Activator of Transcription 3, Phosphatidylinositol 3-kinase/protein kinase B, and mitogen-activated protein kinase. The aim of this review is to demonstrate the possible anti-leukemic effect of curcumin, thus its ability to induce apoptosis, inhibit cell proliferation, and modulate angiogenesis. Nowadays, although multiple synergistic effects have been observed and curcumin’s efficacy has been demonstrated through several in vivo and in vitro studies, further broad and exhaustive scientific research is needed to confirm the considerable results. In fact, the low bioavailability of curcumin has limited its clinical applications, a challenge that is currently being addressed through the development of nanoformulations to enhance its stability and absorption within the body. In conclusion, curcumin exhibits antitumor properties with a favorable profile, suggesting its potential as a supportive adjunct in the treatment of patients with acute myeloid leukemia. Full article
(This article belongs to the Collection Latest Review Papers in Bioactives and Nutraceuticals)
Show Figures

Figure 1

33 pages, 3339 KB  
Article
Curcumin–Piperine Self-Nanoemulsifying Delivery in Zanthoxylum rhetsa Seed Oil Attenuates Cuprizone-Induced Frontal Cortex Toxicity
by Mohammad Zubair Alam, Hala Abubaker Bagabir, Mohammad Alameen Faisal Zaher, Thamer M. A. Alqurashi, Badrah S. Alghamdi, Mohsin Kazi, Gamal Said Abd El-Aziz, Gadah Ali Alshahrany, Noor Ahmed Alzahrani, Rafal Mohammed Bakhalgi, Mona Al-Thepyani, Hanin Abdulbaset AboTaleb, Rahaf Saeed Aldhahri, Juweiriya and Ghulam Md Ashraf
Pharmaceuticals 2025, 18(10), 1478; https://doi.org/10.3390/ph18101478 - 1 Oct 2025
Viewed by 1232
Abstract
Background/Objectives: Demyelination and neuroinflammation are central features of multiple sclerosis (MS), contributing to motor deficits and cognitive decline. Cuprizone (CPZ)-induced demyelination is a well-established model for studying multiple sclerosis-like neurotoxicity. This study investigated the neuroprotective and immunomodulatory effects of self-nanoemulsifying drug delivery systems [...] Read more.
Background/Objectives: Demyelination and neuroinflammation are central features of multiple sclerosis (MS), contributing to motor deficits and cognitive decline. Cuprizone (CPZ)-induced demyelination is a well-established model for studying multiple sclerosis-like neurotoxicity. This study investigated the neuroprotective and immunomodulatory effects of self-nanoemulsifying drug delivery systems (SNEDDSs) incorporating curcumin, piperine, and Zanthoxylum rhetsa seed oil. Methods: Male mice were divided into five groups: control, CPZ-only, and CPZ co-treated with three nanoformulations BFZ (blank SNEDDS), CFZ (curcumin-SNEDDS), and PFZ (curcumin–piperine SNEDDS). CPZ was administered for 5 weeks, followed by a 2-week recovery or treatment phase. Key neuroinflammatory markers like CD4, CD8, cholinergic (acetylcholinesterase, AChE), myelin integrity (MBP), BDNF, CREB, TNFα, Il-1β were assessed at weeks 5 and 7 using ELISA. Alterations in antioxidant enzymes, brain histology, and behavioral outcomes were also investigated. Results: At week 5, CPZ significantly increased CD4 and CD8 expression and reduced AChE and MBP levels, indicating neuroinflammation, cholinergic impairment, and demyelination. Nanoformulation treatments (both prophylactic and therapeutic) markedly reduced CD4 and CD8 levels, with PFZ showing the most pronounced effect. AChE activity was significantly restored in all treatment groups, with PFZ and CFZ exceeding baseline levels, suggesting enhanced cholinergic function. MBP levels were highest in PFZ-treated mice, surpassing control values and indicating strong remyelination potential. These improvements persisted and further advanced at week 7, especially in PFZ and CFZ groups. Conclusions: Curcumin-based SNEDDS, particularly PFZ, significantly mitigated CPZ-induced neuroinflammation, promoted remyelination, and restored cholinergic activity in the frontal cortex. These findings highlight the therapeutic potential of bioenhanced curcumin nanoformulations for treating demyelinating and neuroinflammatory disorders. Full article
(This article belongs to the Special Issue Antioxidant and Anti-Inflammatory Effects of Natural Product Extracts)
Show Figures

Figure 1

44 pages, 4218 KB  
Review
Revisiting Curcumin in Cancer Therapy: Recent Insights into Molecular Mechanisms, Nanoformulations, and Synergistic Combinations
by Khadija Akter, Kainat Gul and Sohail Mumtaz
Curr. Issues Mol. Biol. 2025, 47(9), 716; https://doi.org/10.3390/cimb47090716 - 3 Sep 2025
Cited by 9 | Viewed by 9991
Abstract
Curcumin has been extensively investigated as an anticancer agent, yet its clinical application remains constrained by low bioavailability, incomplete mechanistic understanding, and limited therapeutic optimization. In light of growing resistance to conventional chemotherapies and the demand for safer, multi-targeted agents, this review revisits [...] Read more.
Curcumin has been extensively investigated as an anticancer agent, yet its clinical application remains constrained by low bioavailability, incomplete mechanistic understanding, and limited therapeutic optimization. In light of growing resistance to conventional chemotherapies and the demand for safer, multi-targeted agents, this review revisits curcumin with a contemporary lens. We critically evaluate the literature published since 2020, focusing on newly elucidated molecular mechanisms by which curcumin regulates tumor progression, including modulation of oncogenic signaling pathways (Wnt/β-catenin, PI3K/Akt/mTOR, JAK/STAT, and MAPK), induction of ferroptosis, and epigenetic reprogramming. A particular emphasis is placed on recent advances in nanoformulation strategies that enhance curcumin’s pharmacokinetic profile and target-specific delivery. Furthermore, the emerging paradigm of combination therapy is explored, where curcumin acts synergistically with chemotherapeutics and phytochemicals to overcome drug resistance and potentiate anticancer efficacy. This review identifies key knowledge gaps, such as inconsistent clinical translation and the underexplored interplay between nanocurcumin systems and immune modulation, outlining directions for future translational research. Full article
(This article belongs to the Special Issue Natural Compounds: An Adjuvant Strategy in Cancer Management)
Show Figures

Figure 1

24 pages, 2213 KB  
Article
Triple-Loaded Nanoemulsions Incorporating Coffee Extract for the Photoprotection of Curcumin and Capsaicin: Experimental and Computational Evaluation
by Nuttapol Boonrueang, Siripat Chaichit, Wipawadee Yooin, Siriporn Okonogi, Kanokwan Kiattisin and Chadarat Ampasavate
Pharmaceutics 2025, 17(7), 926; https://doi.org/10.3390/pharmaceutics17070926 - 17 Jul 2025
Viewed by 1302
Abstract
Background/Objectives: This study aims to present a strategic approach to enhancing the photostability and antioxidative resilience of curcumin and capsaicin by integrating selected natural stabilizers within a nanoemulsion-based delivery system. Methods: Coffee extract (Coffea arabica Linn.), along with its active [...] Read more.
Background/Objectives: This study aims to present a strategic approach to enhancing the photostability and antioxidative resilience of curcumin and capsaicin by integrating selected natural stabilizers within a nanoemulsion-based delivery system. Methods: Coffee extract (Coffea arabica Linn.), along with its active components and vitamin E-containing natural oils, was assessed in terms of improving the photostabilizing and antioxidative retention abilities of curcumin and capsaicin. An optimized ratio of the active mixture was then loaded into a nanoformulation. Results: The analysis of active contents with validated high-performance liquid chromatography (HPLC), ferric reducing antioxidant power (FRAP), and 2,2-diphenyl-1-picrylhydrazyl (DPPH) assays confirmed the stabilization enhancement after irradiation with UV and white light for 72,000–84,000 lux hours. The optimized combination of coffee extract with turmeric and chili mixtures loaded into the optimized nanoemulsion enhanced the half-lives (T1/2) of curcumin and capsaicin by 416% and 390%, respectively. The interactions of curcumin and capsaicin with caffeine and chlorogenic acid were elucidated using computational calculations. Interaction energies (Eint), HOMO-LUMO energy gap (HLG) analysis, and global reactivity descriptors revealed hydrogen bonding interactions be-tween capsaicin and chlorogenic acid, as well as between curcumin and caffeine. Conclusions: By leveraging the synergistic antioxidative properties of coffee extract and vitamin E within a nanoemulsion matrix, this study overcomes the intrinsic stability limitations of curcumin and capsaicin, offering a robust platform for future pharmaceutical and nutraceutical applications. Full article
Show Figures

Graphical abstract

16 pages, 4010 KB  
Article
Nano-Curcumin Mitigates Doxorubicin-Induced Reproductive Toxicity via Antioxidant, Anti-Apoptosis, and SIRT1-Modulating Effects in Rat Model
by Noha A. Alshuwayer, Qamraa H. Alqahtani, Marwa H. Hussein, Raeesa Mohammed, Abdulaziz Siyal and Iman H. Hasan
Toxics 2025, 13(7), 574; https://doi.org/10.3390/toxics13070574 - 8 Jul 2025
Cited by 1 | Viewed by 1415
Abstract
Background: Doxorubicin (DOX) is a potent anti-cancer agent that is widely described in cancer treatment. However, its administration is often limited by its adverse effects, particularly its testicular toxicity, which can induce infertility in male patients. DOX-induced testicular damage is due to oxidative [...] Read more.
Background: Doxorubicin (DOX) is a potent anti-cancer agent that is widely described in cancer treatment. However, its administration is often limited by its adverse effects, particularly its testicular toxicity, which can induce infertility in male patients. DOX-induced testicular damage is due to oxidative stress, apoptosis, and inflammation. Nanocurcumin (NCR) is a nano-formulated edition of curcumin with a higher therapeutic potential. NCR has demonstrated antioxidant and anti-inflammatory properties. Methods: This study is designed to inspect the potential validity of NCR on DOX-induced testicular damage in male rats. We used thirty-two Wistar albino rats (150–200 g) and divided them into four groups. NCR (80 mg/kg/ dissolved in 1% CMC) was given orally by oral gavage for 14 days. A single dose of DOX (15 mg/kg) (i.p.) was injected on the 7th day of the experiment. Results: DOX treatment reduced the sperm viability and motility rate, cellular antioxidants, and gonadal hormones; it led to higher levels of inflammatory mediators, necrosis, and sloughing in seminiferous tubules. Conversely, NCR treatment significantly alleviated these side effects by improving sperm count/motility and reducing sperm abnormalities. The testicular function recovery was likely driven by stimulating the cytoprotective SIRT1/NF-κB pathway, depressing the testicular level of oxidative indicators such as MDA, TNF-α, iNOS, IL-1β, and NO, and increasing levels of antioxidants such as GSH and SOD. In addition, NCR contradicted the apoptotic changes by downregulating the pro-apoptotic signals Bax and caspase-3, while inducing Bcl-2 upregulation. Moreover, NCR increased levels of gonadal hormones, attenuated histological abnormalities, and preserved testicular structure when compared with the DOX group. Conclusions: NCR treatment can effectively ameliorate DOX-induced testicular toxicity. Full article
(This article belongs to the Special Issue Drug and Pesticides-Induced Oxidative Stress and Apoptosis)
Show Figures

Graphical abstract

25 pages, 1205 KB  
Review
Antioxidant Naturally Occurring Pleiotropically Acting Bioactive Compounds, as Polymeric Nanotherapeutics Against Autoimmune Diseases Progression
by Panagiotis Theodosis-Nobelos, Fani-Niki Varra, Michail Varras, Georgios Papagiouvannis and Eleni A. Rekka
Curr. Issues Mol. Biol. 2025, 47(6), 411; https://doi.org/10.3390/cimb47060411 - 1 Jun 2025
Cited by 4 | Viewed by 2028
Abstract
Autoimmune diseases are driven by chronic inflammation and oxidative stress, thus requiring innovative therapeutic approaches. Polymeric nanotherapeutics incorporating antioxidant bioactive compounds offer a promising strategy for immune modulation and enhanced drug delivery. This review explores the application of polymer-based nanocarriers for improving the [...] Read more.
Autoimmune diseases are driven by chronic inflammation and oxidative stress, thus requiring innovative therapeutic approaches. Polymeric nanotherapeutics incorporating antioxidant bioactive compounds offer a promising strategy for immune modulation and enhanced drug delivery. This review explores the application of polymer-based nanocarriers for improving the solubility, bioavailability, and targeted delivery of antioxidant compounds in autoimmune disease treatment. A comprehensive analysis of recent advancements in polymeric nanoformulations, including poly(lactic-co-glycolic acid) (PLGA), polyethylene glycol (PEG), chitosan, and hyaluronic acid, was conducted. The therapeutic efficacy of various antioxidant-loaded nanoparticles has been assessed in both preclinical and clinical studies. Phenolic antioxidants, such as resveratrol, curcumin, quercetin, and epigallocatechin-3-gallate, exhibit potent anti-inflammatory effects; however, their poor solubility limits their clinical application. Nanocarriers such as dendrosomes, tannic acid-based reactive oxygen species (ROS)-scavenging nanoparticles, and folic acid-functionalized systems enhance drug stability, controlled drug release, and macrophage targeting. Carotenoid and bilirubin nanoparticles further demonstrate immunomodulatory effects in multiple sclerosis, psoriasis, rheumatoid arthritis, and inflammatory bowel disease. Polymeric antioxidant nanotherapeutics provide targeted and sustained drug delivery, offering improved efficacy and reduced toxicity. Future research should focus on optimizing these nanocarriers for clinical translation and patient-centered therapeutic strategies. Full article
Show Figures

Graphical abstract

24 pages, 4491 KB  
Review
Bioimaging and Sensing Properties of Curcumin and Derivatives
by Chiara Maria Antonietta Gangemi, Salvatore Mirabile, Maura Monforte, Anna Barattucci and Paola Maria Bonaccorsi
Int. J. Mol. Sci. 2025, 26(10), 4871; https://doi.org/10.3390/ijms26104871 - 19 May 2025
Cited by 5 | Viewed by 2344
Abstract
Curcumin (Cur) is one of the most studied natural polyphenolic compounds, with many pharmacological properties and a luminescent skeleton. Natural fluorescent molecules are peculiar tools in nanomedicine for bioimaging and sensing, and this review focuses on the photophysical properties and applications of Cur [...] Read more.
Curcumin (Cur) is one of the most studied natural polyphenolic compounds, with many pharmacological properties and a luminescent skeleton. Natural fluorescent molecules are peculiar tools in nanomedicine for bioimaging and sensing, and this review focuses on the photophysical properties and applications of Cur in these biomedical fields. The first part of the review opens with a description of the Cur chemical skeleton and its connection with the luminescent nature of this molecule. The 1,6-heptadiene-3,5-dionyl chain causes the involvement of Cur in a keto–enol tautomerism, which influences its solvatochromism. The polyphenolic nature of its skeleton justifies the Cur generation of singlet oxygen and ROS upon photoexcitation, and this is responsible for the photophysical processes that may be related to the photodynamic therapy (PDT) effects of Cur. In the second part of the review, bioimaging based on Cur derivatives is reviewed, with a deeper attention paid to the molecular diagnostic and nano-formulations in which Cur is involved, either as a drug or a source of fluorescence. Theragnostics is an innovative idea in medicine based on the integration of diagnosis and therapy with nanotechnology. The combination of diagnostics and therapy provides optimal and targeted treatment of the disease from its early stages. Curcumin has been involved in a series of nano-formulations exploiting its pharmacological and photophysical characteristics and overcoming its strong lipophilicity using biocompatible nanomaterials. In the third part of the review, modifications of the Cur skeleton were employed to synthesize probes that change their color in response to specific stimuli as a consequence of the trapping of specific molecules. Finally, the methodologies of sensing biothiols, anions, and cations by Cur are described, and the common features of such luminescent probes reveal how each modification of the skeleton can deeply influence its natural luminescence. Full article
(This article belongs to the Special Issue Luminescent Dyes as Tools for Biological and Medical Applications)
Show Figures

Graphical abstract

18 pages, 4050 KB  
Article
Curcumin Nanocarriers in the Protection Against Iron- and Alcohol-Induced Oxidative Stress in a Cellular Model of Liver Disease
by Lucy Petagine, Mohammed G. Zariwala, Satyanarayana Somavarapu, Stefanie Ho Yi Chan and Vinood B. Patel
Biology 2025, 14(5), 455; https://doi.org/10.3390/biology14050455 - 23 Apr 2025
Viewed by 2275
Abstract
During chronic alcohol misuse, hepatic iron overload occurs, leading to exacerbated oxidative stress and liver injury. The aim was to study formulations encapsulated with the antioxidant curcumin to assess their ability protect against oxidative stress in a model of alcohol-related liver disease (ALD) [...] Read more.
During chronic alcohol misuse, hepatic iron overload occurs, leading to exacerbated oxidative stress and liver injury. The aim was to study formulations encapsulated with the antioxidant curcumin to assess their ability protect against oxidative stress in a model of alcohol-related liver disease (ALD) combined with iron. HepG2 (VL-17A) cells were treated with iron (50 µM) alone or with alcohol (200 to 350 mM) over 72 h and markers of oxidative damage, cell death, and mitochondrial function were assessed. Nanoformulations encapsulating curcumin were also studied. VL-17A cells treated with both ethanol and iron showed significant decreases in cell viability (64%, p < 0.0001) when compared to control, and a 56% decrease (p = 0.0279) when compared to iron-only treatment. Iron-alone treatment caused a 115% increase (p < 0.0001) in ROS at 48 h as well as increases of up to 118% when treated with 200 mM ethanol + 50 μM iron (p < 0.0001), compared to control DMEM. The study found that 10 µM curcumin DSPE-PEG increased cell viability by 17% and 41% when compared to control and iron treatment alone, respectively. Formulations reduced ROS by 36% (p = 0.0015) when compared to iron-alone treatment. In summary, encapsulated curcumin provided antioxidant capacity and reduced oxidative stress, demonstrating the therapeutic potential for curcumin formulations in ALD combined with iron dysregulation. Full article
(This article belongs to the Special Issue Recent Advances in Metabolic Disorders)
Show Figures

Figure 1

Back to TopTop